Breast Lump: Different Surgeons, Different Approaches and Different Costs of Surgery

CR (S-19) is a 73-year-old female from Indonesia. Sometime in June 2011, she felt a lump in her left breast. In August 2011, she came to a private hospital A in Penang for consultation. A breast specialist saw her, did an ultrasound and told her that she had a 3 cm mass in her breast. CR had to undergo a biopsy to determine if it was a cancer. CR was not agreeable to the biopsy, paid RM 60 for consultation and walked away.

In the same afternoon, CR and her two daughters came to CA Care. We were unable to say much because the doctor did not give her anything apart from saying that she has a mass in her breast.  On this visit, we could see they were rather desperate and were at a loss as to what to do next.

Second Opinion

We suggested that CR go and consult another doctor. We gave three names of surgeons in the private hospitals here. It is up to her to choose which one to go to. We also suggested some questions that she might want to ask the doctors.

The next day, CR and her daughters came back to report what had happened the previous day.  Apparently CR went to private hospital B and asked to see surgeon X but someone at the reception desk diverted her to surgeon Y of the hospital.

Dr. Y did an ultrasound of her breasts. Lumps were found on both the left and right breasts.  Subsequently, CR did a mammogram. There were pleomorphic calcifications in an area of 7 x 4 cm at the upper outer quadrant of her left breast suggestive of carcinoma.

Dr. Y told CR that she had to undergo a biopsy. But CR said she would rather have the lump removed right away without having to undergo a biopsy first. Dr. Y replied: “Saya tidak mahu bunuh payudara anda (I don’t want to unnecessarily kill your breast).” The biopsy costs RM 2,800. If it is found to be cancerous, a mastectomy follows later, at an additional cost of RM 12,000.  Dr. Y also asked CR if she has taken any herbs or supplements for her problem. Dr. Y said, “Don’t take all these. They are not effective.”  Then Dr. Y asked CR, “Why do you have to come to Penang. You can go home and do the surgery in Indonesia.” For consultation CR paid RM 46.00 while the mammogram cost her RM 383.00. Obviously, CR and her daughters were not at all satisfied with this consultation.

Third Opinion

CR came back to CA Care again the next day. We suggested that they go to hospital C and consulted with Dr. Z. The next day they came back to tell us what had happened. They showed the USG and mammogram reports to Dr. Z. As expected Dr. Z said CR has to undergo a biopsy. The daughter suggested that her mother would rather have the breast removed without having to go through a biopsy first. Dr. Z laughed aloud! He was in a jovial mood in spite of having to see many other patients. Dr. Z said: “It is fine. I would have the lump removed totally. Then we will send it for testing immediately. We’ll wait for about half an hour. If it is cancerous I would remove the whole breast. If it is benign I would close it back without having to remove your breast.” Dr. Z also said it is good that CR has not done any biopsy before. Dr. Z said, “It is not good to poke here and there.” The total cost of the mastectomy is RM 6000. If only the lump is removed the cost is RM 2000.

CR’s visit to the third doctor seemed most satisfying. She said, “Dr. Z seems to be more humane and he answered my questions unlike Dr. Y who would not want to talk much.”

We asked CR, “When you first came here you appeared rather lost. After coming here three times, do you now know how to handle your problem?” The answer was, Yes! In fact, by looking at their faces we knew that they were pleased and were more confident.  And costwise CR will have to decide to do the same kind of surgery that cost RM 14,800 or RM6,000!

Comments

Dr. Donald Murphy in his book, Honest Medicine wrote, “Medical science is very subjective … which does not provide clear cut, black and white answers.” Unknown to many patients doctors differ in their opinions and approaches to doing things, so patients ended up being treated different by different doctors even though the disease is the same.

In this case, CR would not have been a satisfied patient if she were to just do what the first two doctors asked her to do. She found the third doctor to be more suitable and sensible in approach. I always tell patients, “Go for a second or third opinion. Find a doctor who you think can provide you with the comfort and confidence to allow you to go through your ordeal. What is the point of going to the famous if he does not have time for you?  You may end up talking only to  his nurse most of the time while you pay his fees through your nose.” So if you are not happy with a doctor, go find another one to help you.

Dr. William Untereker at Penn Presbyterian Medical Center said, “One of the biggest mistakes patients make is not getting a second opinion. People’s life goals are different and treatments are different. If there is any serious risk to a recommended treatment, the patient should seek a second opinion.”  (http://penn-medicine-advances-in-medicine.blogspot.com/2011/02/it-pays-to-get-second-opinion.html).

Dr. Paul Turek (http://www.theturekclinic.com/urologist-san-francisco.html) said, “the discussion that you have with your doctor should make sense to you, and you have a right to have all of your questions answered so that it does make sense to you. I always tell patients that if it doesn’t make sense to you, then don’t do it.

Liver Cancer Part 2: After chemoembolization and Radiofrequency Failed, He Turned to Herbs and e-Therapy

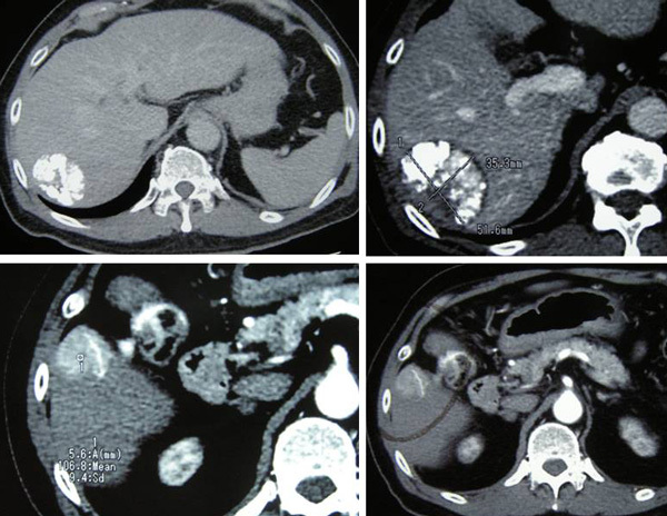
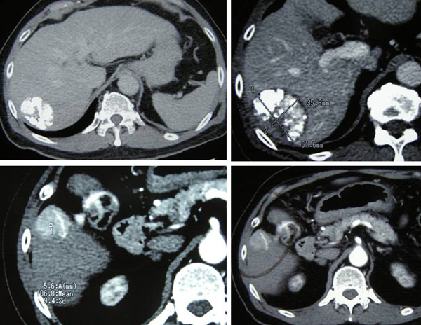
TD (S21), 67-year-old Indonesian male had a 7.8 x 6.5 x 8.4 cm mass in his liver. He underwent He underwent six cycles of chemoembolization (TACE) and one radiofrequency ablation procedure. In addition, he received six monthly injection of Zometa. About six months after the completion of the treatments, new growths were found in his liver, around the right and left adrenal glands and T12 of his backbone.

TS decided to give up further medical treatments and came to seek our help on 14 August 2011. He was prescribed Capsule A and B, Liver 1 and Liver 2 tea, Bone Tea and Pain Tea. For his pain, TG underwent the e-Therapy.  Since he has four stents in the arteries of his heart, he was started on Ray therapy, followed by Detox 2 program the next day. Since there was no side effect, TD continued with the e-therapy from 17 to 21 August to 2011. He was happy with what he was doing.

Listen to his conversation.

Gist of our conversation.

TD had lower back pain and was not sleeping well. Otherwise he had no other symptoms.

  1. Since TD has four stents in his heart arteries, we had to be careful. We initially used the Ray e-Therapy using the Ray #29 – Lumbago program. As a result of this treatment, he had 20 percent less pain.
  2. On the second day, TD received e-Therapy using the hand paddle. The program used was Detox #2. As a result of this treatment, there was 50 percent less pain.
  3. On the third day, TD received Detox # 3. His pains and discomforts were reduced by 70 percent.
  4. On the fourth day, TD received Detox #3 and Lumbago # 98 programs. His pains and discomforts were further reduced by 90 percent.
  5. Five days on herbs and e-Therapy TD has less pain, felt better, could sleep well and bowel movements were good. It was time for TD and his wife to go home to Jakarta.
  6. TD was reminded to take care of his diet, take the herbs as prescribed, do the e-Therapy, be happy and think of best possible things that can happen and pray!

We also reminded TD that he is welcome to go to his doctors for more chemotherapy or radiotherapy if he wishes. The decision has to be entirely his.

Comments

No one cure can cure liver cancer – that is what we believe after seeing so many tragic cases that come to see us. Coming to CA Care does not mean we can offer a cure either. And patients are told this fact clearly. But what we can do is to offer relief and perhaps an ability to live a normal life. And for how long? No one can tell.

Read full medical history:  Liver Cancer Part 1: Tumour shrunk after chemoembolization (TACE) and radiofrequency ablation (RFA) but new growths after six months.

Liver Cancer Part 1: Tumour Shrunk After Chemoembolization (TACE) and Radiofrequency Ablation (RFA) But New Growths After Six Months. What has gone wrong?

TD (S21) is a 67-year-old male from Indonesia. Sometime in May 2010, he suffered chest pains while visiting Shanghai, China. He subsequently underwent an angioplasty with (four) stent placement. While in the hospital, a CT scan showed a 8.5 x 7.0 x 4.5 cm mass in his liver. After TD was discharged from the Chinese hospital, he went back to Indonesia. On 2 June 2010,he went to Singapore for treatment of his liver cancer.

CT scan on 2 June 2010 showed a solitary mass in segments 6 and 7 in the right lobe of his liver, It  measures 7.8 x 6.5 x 8.4 cm. This is compatible with a hepatoma. There is no involvement of the hepatic or portal veins. There is no definite extension beyond the liver capsule. No enlarge lymph nodes were seen in the para-aortic or portahepatis region.

 Bone scan on 2 June 2010 showed a mildly increased tracer activity in the mid to lower cervical spine, T4 and T5 vertebrae. No conclusive scan evidence of bone metastasis.

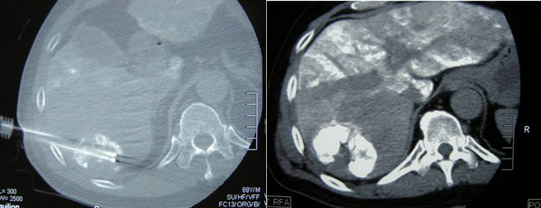
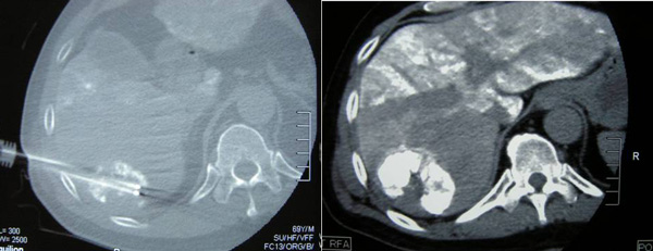
 On 3 June 2010, TD underwent transarterial chemo-embolization (TACE). This procedure cost about S$9,000 each time.

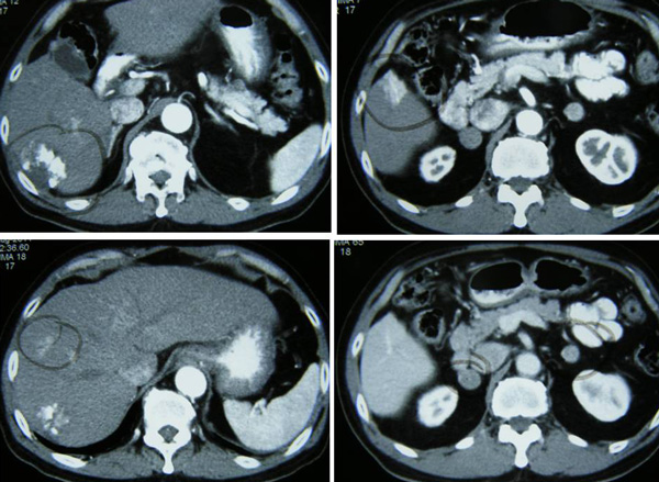
 After two cycles of TACE, CT scan on 5 August 2010 showed the tumour has shrunk. The entire mass now measures 6.2 x 4.5 x 5.5 cm. The response was good with no evidence of metastasis.

TACE was continued and on 16 September 2010, radiofrequency ablation (RFA) of the liver tumour was performed using a 2.5 x 20 cm cluster Cool-Tip RF electrode system. Two cycles of ablation were performed with repositioning of the cluster electrode in-between each cycle.

CT scan on 6 October 2010 showed the tumour was significantly smaller in size, 4.7 x 5.4 x 4.6 cm. There was no evidence of recurrent or new lesions in the rest of the liver. No evidence of pulmonary metastataic deposits and no enlarged mediastinal or lymph nodes.

A bone scan was also performed on 6 October 2010.

 

TD was told that there was nothing to worry about. The total cost of his treatment came to about S$60,000.

During the routine checkup TD was asked to receive Zometa injection for his bone. Each injection coast S$1,200 and he received a total of 6 injections.

On 6 April 2011, a CT scan was performed. The previously treated mass in the right lobe of his liver measures approximately 3.5 x 5.1 x 4.8 cm in size. There is no associated hypervascularity seen with this mass. However, there is a new lesion in segment 5 of the right lobe of his liver. It is 3.1 x 2.3 x 3.6 in size.  This mass was not present on the previous scan of October 2010 and is suspicious of recurrent disease.

 

TD was told to come back in two months’ time for another scan. Disappointed, TD did not want to see his Singapore oncologist any more.

TD came to a private hospital in Penang and underwent a CT scan of his brain, neck, thorax, abdomen and pelvis on 12 August 2011. The results showed:

  1. There is a 5.1 x 4.2 x 4.8 cm mass in segment 6 of the liver.
  2. There is a 2.7 x 2.8 x 3.3 cm enhancing lesion in segment 5 of the liver.
  3. There is an ill-defined enhancing lesion measuring about 2.3 cm in segment 8 of the liver.
  4. There is a 2.5 x 2 x 2.1 cm mass just inferior to the right adrenal gland. Metastasis?
  5. There is a 1.9 x 1.6 x 2.5 cm mass just inferior to the left adrenal gland. Metastasis?
  6. There is a lytic lesion in the vertebral body of T12. Fracture of the superior endplate of T12 is noted. This probably represents a bony metastasis.

On 13 August 2011, MRI of the thoracic spine was carried out. The result confirmed a lesion measuring 3.5 x2.4 x 2.2 cm in T12 vertebra. The mass extends into the spinal canal and displacing the nerve roots. Findings are in keeping with a metastatic lesion.

TS was referred to an oncologist who suggested that he undergo 10 times of radiation treatment to this back. This is to relieve the minor pains he complained about.

TS came to CA Care on 14 August 2011. Listen to his story.

Comments

How does chemoembolization (trans-arterial chemoembolization or TACE) work? Chemoembolization attacks the cancer in two ways. First, it delivers a very high concentration of chemo-drugs directly into the tumor, without exposing the entire body to the effects of those drugs. Second, the procedure cuts off blood supply to the tumor, trapping the chemo-drugs at the site and depriving the tumor of the oxygen and nutrients it needs to grow. (http://www.radiologyinfo.org/en/info.cfm?pg=chemoembol)

Can chemoembolization  cure liver cancer?  It is not a cure and can only control the cancer for a limited time. TACE can help to keep patients alive longer.  Although the tumor may shrink up to 70% of the time, the associated liver damage can cause pain, fever, nausea, infection, fluid accumulation, and rarely, death. TACE is not suitable for people with very sick livers (http://www.medicinenet.com/liver_cancer/page10.htm)

Benefits of chemoembolization:  Left untreated, patients with primary liver cancer who are ineligible for transplant or surgical resection have a life expectancy of three to six months.

Recurrence: Even when chemoembolization eliminates existing tumors in the liver, new ones may appear.  (University of Washington – http://www.rad.washington.edu/clinical/radiology-clinics/interventional-radiology-clinic/chemoembolization-of-liver-tumors).  In about two-thirds of cases treated, chemoembolization can stop liver tumors from growing or cause them to shrink. This benefit lasts for an average of 10 to 14 months. Chemoembolization is a treatment, not a cure (http://www.radiologyinfo.org/en/info.cfm?pg=chemoembol).

Risk of chemoembolization: Serious complications from chemoembolization occur after about one in 20 procedures. Most major complications involve either infection in the liver or damage to the liver. Reporting indicates that approximately one in 100 procedures result in death, usually due to liver failure. (http://www.radiologyinfo.org/en/info.cfm?pg=chemoembol)

 

What is Radiofrequency Ablation (RFA)?  RFA is an image-guided technique that heats and destroys cancer. Heat is generated locally by high frequency radio waves that are channeled into metal electrodes. A probe is inserted into the center of the tumor and the non-insulated electrodes, which are shaped like prongs, are projected into the tumor. The local heat that is generated melts the tissue. The probe is left in place for about 10-15 minutes. The ideal size of a liver cancer tumor for RFA is less than 5 cm. Larger tumors may require more than one session.  (http://www.medicinenet.com/liver_cancer/page10.htm).

Benefits of RFA: In most studies, more than half of the liver tumors treated by radiofrequency ablation have not recurred. The success rate for completely eliminating small liver tumors is greater than 85 percent.

(http://www.radiologyinfo.org/en/info.cfm?pg=rfaliver)

What RFA cannot do: Only lesions which can be seen on ultrasound are ablated. Undetected cancer cells, due to the technical limitations of ultrasound, are not treated. Ultrasound cannot detect cells. Therefore there is a chance that some tumor cells will not be killed during ablation and that new lesions in the liver can occur later (http://www.clevelandclinic.org/general/rfa/indication.html).

Can RFA cure liver cancer? RFA of liver tumors is not considered a cure from cancer disease (http://www.clevelandclinic.org/general/rfa/indication.html).  This treatment should be viewed as palliative (providing some relief), not curative (http://www.medicinenet.com/liver_cancer/page10.htm).

A few years ago, I had a chance to visit a hospital in China and discuss with a doctor specialized in cryoablation (low temperature ablation). One concern about this treatment is recurrence or new growths found in other parts of the liver  after the ablation procedure has been done.

What then has gone wrong in this case? Nothing wrong actually! Recurrence or new growth can be expected. If that happens, do more of the same treatment again.  The problem lies with TD and his wife. They are not computer savvy enough to be able to surf the net and find out the truth for themselves. And they are not  knowledgeable enough to ask this all important question, “Can the treatment cure my cancer?” They took it for granted that it would.

Indeed, patients need to be forewarned about this. Again, let me repeat, the procedures are palliative not curative. Patients may be disappointed if they expect that chemoembolization and/or RFA can cure their liver cancer.

Follow up report, Liver Cancer Part 2: After chemoembolization and Radiofrequency Failed, He Turned to Herbs and e-Therapy 

Hepatitis C: Medical Treatment or Herbs – Your have a choice!

 


Asma is a 67-year-female from Indonesia. In 2005, she felt lethargic and had pains in the sternum (chest). She came to Penang and was diagnosed with chronic hepatitis C infection (HCV – subtype 1b). She was subsequently put on interferon therapy and at the same time, on Copegus, an oral medication. Asma received a total of 16 interferon injections. Each injection cost RM 800.00.

The following are the results of her blood test from 2005 to 2011.

After the interferon therapy, Asma’s condition deteriorated. The levels of her haemotcrit, platelets and neutrophils decreased while the lymphocytes increased. With continued treatment, blood test on 21 December 2007, showed the levels of her white and red blood cells, haemoglobin, haemotocrit, platelet and neutrophils tumbled down further while the level of lymphocyte remained high –  a greater deterioration of blood conditions.

The doctor terminated the therapy after four months although the treatment was scheduled for six months. The doctor wrote: I have advised her to continue regular checkup with a view to resuming interferon therapy perhaps at a lower dose. Meanwhile she is only on Revicon. I suggest a repeat of her viral titre in three months’ time.

(Note: Revicon Forte Tablet is a nutritional supplement that provides essential vitamins, minerals and amino acids to maintain general good health).

Asma came to seek our help on 22 February 2008 but did not bring any medical reports. She was unable to explain what was wrong with her. We requested that she go back to her doctor and ask him to write her medical history and treatment. On 27 February 2008, Asma and two friends came to see us again. She was then started on herbs: Capsule A and B, Liver P and LL-tea.

The following are excerpts of our video-taped conversation on 27 February 2008.

Chris: Comparing the time before you had this treatment and the time when you were having the treatment (sixteen injections) – did you feel any difference about your health?

Asma: Yes. After I received the injection I felt lemah (weak – lack of strength).

C: So from your point of view, did the treatment bring you any benefit?

A: No.

C: It now appears that the virus is still there – not killed. Ibu (Mama), you need to take care of your diet. Avoid all forms of meat, oil, white sugar, dairy products and fine table salt. After this you can try some herbs that I am going to prescribe to you. There is NO medicine for me to kill the virus in you. But if the herbs can suppress the virus in you, that would be good enough.

Female friend: Can she eat fish?

C:  Yes, but avoid the toxic type of fish. But remember again to avoid proteins from animals and eggs. These are not good for you.

C:  Ibu, three years ago (before the treatment), you said you were tired. Did you suffer from any other problem?

A: I felt pulling pains on my chest. After the treatment, the pains were gone.

Female friend: Now there are no more pains but the doctor said there is still virus in her.

Male friend: Initially the doctor said the treatment would be for six months. After four months of treatment the doctor said she could not proceed with the treatment anymore.

C: Why?

A: According to the doctor, if I continue with the treatment I can either die or become “lumpuh” (lack of strength and would be unable to walk).

Male friend: If she continued with the treatment she might die or become lumpuh.

C: Was that what the doctor said?

A: Yes.

Male friend: After the four months, the doctor was afraid to continue with the treatment. The blood was no good.

C: Oh, now I understand. You come here because the doctor told you that he could not treat you anymore. When did he tell you that?

Female friend: Last Thursday. The next day, Friday (22 February 2008), we came to see you.

Male friend: The doctor said, “Just go home first”.

A: The doctor said I am already old.

Female friend: But four months ago, before the treatment, her age was not a factor. At that time the doctor said she was not old and she could undergo the treatment.

On 30 August 2008, Asma came to see us again with her blood test results.  All parameters were within normal limit. The numbers are a far cry from the time when she was under treatment.

We asked Asma the following questions:

Chris: You came to see us on 22 February 2008 and now it is 30 August 2008 – essentially that is six months ago. Are you on the herbs all this while?

Asma:  No, in total I took for about three months only. This is because I could not find anyone to come and collect herbs for me. (Note: the patient is from Aceh, Indonesia).

C:  Tell us frankly, how do you feel now compared to those days before you were on the herbs?

A:  I feel much healthier now. Before I took your herbs I felt lethargic – no energy. My appetite was poor and I was not able to sleep well. I was also constipated.

C: One interferon injection cost RM 800 and you have done a total of 16 injections. Were you getting any better than before you started with this treatment?

A: I was not better at all. I felt tired. But the pulling pains at the chest had disappeared.

C: Now after taking the herbs are you better?

A: Yes, I am better. I am more energetic. I have good appetite and I sleep well. My bowels movements are good.

C: You have just gone to see your doctor. What did he say?

A:  He wanted me to continue with my interferon therapy again in November 2008. No, I am not going to go for this treatment anymore.

On 17 April 2009, Asma came to CA Care again. She was still doing well although she had not been taking herbs regularly.  We reminded Asma that there is no such thing as a permanent cure for hepatitis. She has to take care of her diet and also continue to take the herbs. She should be responsible for her own well being.

On 22 July 2011, Asma came back to see us again, after almost one and a half years of absence. Since the past  three and a half years, she has been taking the herbs off and on.

C: You took herbs since 2008 – more than three years ago. You came in February 2008 and it is now July 2011. Okay, how have you been doing?

A: I am well. No problems.

C: Not tired?

A: If I work too much, I felt tired, otherwise I am okay. My son just passed away and I felt tired.

C: Sleep well?

A:Yes, before the herbs it was not good.

C: Before you said your appetite was not good?

A: Now, it is good.

C: Before you had pains in the chest?

A: No more pains but if I am tired I will feel the pains.

C: After coming here and starting to take the herbs, did you ever go back to your doctor? Took any medication from the doctor?

A: No, never seen any doctor and I did not take any doctor’s medication.

C: Tell me again, are you really healthy? You started to take the herbs three over years ago.

A: I am healthy and better off today than when I was on doctor’s medication. I am a lot better now.

C: What do you mean by better?

A: I don’t feel lethargic anymore. And I feel healthy.

C: Thank God for this. I did not expect such healing. You are indeed blessed. If you wish to continue taking the herbs, go ahead. Take care and know that this illness will not go away completely.

Comments:  According to Dr. Gabriel Ionescu, physician in the Division of Gastroenterology at St. Luke’s-Roosevelt Hospital Center in New York City, USA,  the decision to start treatment for hepatitis C must be shared by doctor and patient. While this advice is most commendable, it is unfortunate that it did not happen in this case. Asma is a soft spoken and timid lady. Even to this day she is totally ignorant of what is going on or what is happening to her. She just accepted what was “dished” out to her without having the slightest clue of what the treatment is all about. Often we would say to patients: Patients educate yourselves! But this message has no meaning to such a person as Asma.

Unknown to Asma, a diagnosis of HCV doesn’t necessarily mean she needs any treatment. According to the Mayo Clinic website: If you have only slight liver abnormalities, your doctor may decide against medical treatment because your long-term risk of developing a serious disease is slight, and the side effects of treatment can be severe. (http://www.mayoclinic.com/health/hepatitis-c/DS00097/DSECTION=treatments-and-drugs).

Even if when treatment is deemed necessary, patients may not know that the treatment helps some, but cure remains elusive. Once HCV is contracted, treatment or the body’s defenses can cure a small portion of patients. In most others, however, HCV’s frequent mutations allow it to evade the immune system, defeating attempts to develop a cure. Some treatments are available, but they don’t work for all patients.  (FDA Consumer, http://www.fda.gov/fdac/features/1999/299_hepc.html).

Let me quote the Australian Prescriber, Not everyone infected with the virus requires drug treatment. Hepatitis C itself is often not going to cause severe liver disease. It is the combination of the viral infection plus factors such as alcohol excess, obesity, diabetes … that leads to more severe liver disease. Addressing the secondary factors will lead to significant changes in liver function (http://www.australianprescriber.com/magazine/29/2/36/9/).

From this statement it appears that a change of lifestyle and diet is even more important than the treatment itself. But in this case, Asma was given the treatment but the doctor did NOT tell her to address the “secondary factors” that are so important for her protection.

In this case, there is no doubt at all that the interferon treatment made her worse. Her blood parameters deteriorated; compelling her doctor to stop the treatment, otherwise she might just die or become “lumpuh”.  She was told, After all you are already old. But the irony is that, according to the doctor’s letter, when Asma’s blood had improved or returned to normal, the doctor wanted to resume the interferon therapy again. And this time at a lower dosage – is this REALLY necessary or wise? Why use a drug that did not work anyway?

Based on the natural history of the virus, only 5% to 20% of infected patients would go on to develop liver cirrhosis over a period of 20 to 30 years. And 1% to 5% of them would develop liver cancer and die. Noting that Asma was already 64 years old then, could it be that she would develop liver cirrhosis when she is 84 or 94 years old? Even with cirrhosis she would not die yet. Even more so if she takes care of her diet. But the doctor did not tell her about the need to take care of her diet!

This story was left unfinished for many months. It was only when Asma came in again in July 2011 when we thought there is a good reason to finish it and publish! Now, let us get to the crux of the case.

Asma was on medical treatments for her hepatitis for three years. She spent a good amount of money for that treatment. What then was the result? She ended worse off than before receiving the interferon injections. The doctor prematurely terminated her treating saying that she just might die or become paralysed from it.  It was only then that Asma came to us for help. She was on the herbs. It has been more than three years and Asma is still healthy.  Asma said she is better off today than when she was on medical treatment.

Take and pause and reflect of the following:

  1. If herbs are harmful, what could have happened to Asma after her medical treatment was abandoned? Given at that time, the blood parameters were “bad.” If the herbs were harmful, the numbers would have become worse! But she got better instead.
  2. They say medical treatments – the Interferon or the Copegus are FDA-approved, scientifically proven. Proven to do harm or proven to cure in this case?
  3. One amusing advice which I gathered from the internet is this (see notes below). We are told that patients can help keep the hepatitis from getting worse by not taking any herbal supplements unless the doctor tells it is okay.  What do you think of such advice? What do doctors know about herbs? Can doctors give a knowledgeable and unbiased opinion about herbs?

What you need to know about Hepatitis C (information obtained from the net)

What is hepatitis C infection?

Hepatitis is a Latin word for inflamed liver. In this case, the inflammation is due to virus. Currently five viruses, A, B, C, D and E have been identified to have the ability to attack and damage the liver. Of these five, Hepatitis C virus (HVC) is viewed as the most serious.  It can cause irreversible scarring or cirrhosis of the liver which later can lead to liver cancer or liver failure.

Hepatitis C infection is often referred to as a “silent epidemic” and is a worldwide problem. Millions of people are infected with this virus for years. The virus may just lie dormant and many people may not experience any symptom – no symptoms of liver damage and the liver enzymes are at normal levels. In other cases, HCV can be detected in their blood and the liver enzymes are elevated.

It is said that of every 100 people infected with the hepatitis C virus about 75 to 85 people will develop chronic HCV infection. Of those with chronic HCV, 60 to70 people will go on to develop chronic liver disease, 5 to20 people will go on to develop cirrhosis over a period of 20 to 30 years and 1 to 5 people will die from cirrhosis or liver cancer.

In severe cases of HCV, patients show symptoms of liver damage such as:

  • yellowish eyes or skin (jaundice),
  • fatigue, or an extreme feeling of being tired all the time,
  • pain or tenderness in the right upper quadrant of the body,
  • persistent nausea or pains in the stomach,
  • lingering fever,
  • loss of appetite,
  • diarrhea,
  • dark yellow urine or light-colored stools.

Treatment of Hepatitis C.

A diagnosis with HCV does not mean that you must receive treatment. This is not necessarily the best option because the drugs used to treat HCV have serious side effects, are expensive and do not work for everyone. That being the case you need to “wait and see” and monitor your liver function enzymes to know how well your liver is working.

Studies have shown that current drugs are effective in up to 50% of patients with genotype 1 and up to 80% of people with genotype 2 or 3.

The drugs for treating HCV are:

  • Pegylated interferon alfa-2b (Peg-Intron) or pegylated interferon alfa-2a. In Malaysia pegylated interferon alfa-2a is sold as Pegasys (by Roche) and comes in a pre-filled syringe with fine gauge needle. Patients can bring the syringe home and inject the drug him/herself once a week.
  • Ribavirin. This oral drug is available in Malaysia as Copegus (by Roche) and comes as a 200 mg tablet. Patients generally take 3 tablets, twice a day. Taking Copegus alone without Pegasys is not effective for the treatment of chronic HCV infection.

The length of treatment depends on the type of the hepatitis C virus or genotype. For genotype 1 generally the treatment lasts for one year, while genotypes 2 and 3 are treated for six months.

If the drug is ineffective after three months, the treatment is usually discontinued.

Patients are advised to avoid this treatment if they drink alcohol, have advanced cirrhosis or liver damage, have severe depression or other mental health problems, are pregnant or might become pregnant, have autoimmune diseases such as lupus, rheumatoid arthritis, psoriasis, and advanced diabetes, heart diseases or seizures.

Dietary habit and life style change and NO herbs:

According to medical advice as found in the internet, patients can help keep the disease from getting worse by:

  • Stopping the use of alcohol.
  • Eating well.
  • Not taking any herbal supplements unless the doctor tells it is okay.
  • Seeing a doctor regularly.

Side effects of drugs

Interferon can cause severe flu-like symptoms (chills and body ache), irritability, depression, concentration and memory problems, skin irritation, decreased thyroid function, constant fatigue, headaches, fevers, nausea, and insomnia.

Ribavirin can cause a low red blood cell count (anemia), itchiness, nasal congestion, skin irritation, and fatigue. Ribavirin accumulates in the testicles and ovaries and causes birth defects. Combined therapy of pegylated interferon and ribavirin may cause suicidal behaviour in some patients. Patients may also suffer from nausea, cough, shortness of breath, rash, itching, insomnia, and loss of appetite.


Dissecting Chemotherapy Part 8: Chemo for Colon Cancer – Only Three Percent Benefit

DL is a 47 year-old-male. Sometime in September 2010, he had uncomfortable feelings in his stomach. He went to see a GP who thought it was a food poisoning or gastric problem. He was told not to worry about it as the problem would just go away in a day or two.  Unfortunately it was not to be. The problem persisted and in early February 2011, DL felt there was lots of air/gas in his stomach.  In the early morning of 8 February 2011, DL went to see the same GP again. This time the doctor took his blood sample for analysis. An ultrasound was also done.

The blood test results of 8 February 2011 showed ESR = 40 (high), GGT 67 (high) while the cancer markers were all within normal range; CEA = 0.7, CA19.9 = 7.7, and Total PSA = 0.5.

Ultrasound of the abdomen showed “thickened loop of bowel, suggestive of colorectal malignancy”. He was advised to undergo a colonoscopy and CT scan of the abdomen.  A follow up CT scan confirmed thickening in the colorectal region.

On 10 February 2011, a colonoscopy was performed. There was a caecal polyp, and ulcerated growths in the transverse and sigmoid colon.

Biopsy report confirmed the following:

  1. Caecal polyp:  tubule-villous adenoma with high grade dysplasia, along with suspicious foci of infiltration.
  2. Transverse colon: malignant transformation of a tubule-villous adenomatous polyp with foci of infiltration.
  3. Sigmoid colon: malignant tubule-villous adenoma with foci of infiltration. Grade 2 adenocarcinoma with infiltration.

DL was referred to the government hospital for surgery.  A second colonoscopy was done at the government hospital and on 1 March 2011, DL underwent an operation to remove the cancer. According to the pathology report, the descending colon, part of ileum of appendix, caecum, ascending colon and descending colon and mesocolon were resected.  Histology indicated:

  1. Mycinous adenocarcinoma, well differentiated, pT3NoMx
  2. Tubular adenoma with invasive adenocarcinoma at caecum, well differentiated.
  3. Intramucosal adenocarcinoma (at caecum) forming small polyp.
  4. Inferior mesenteric lymph node: no malignancy.

DL was in the hospital for seven days.  He was told that it was a Stage 2 cancer. DL was subsequently referred to an oncologist in the same government hospital. The oncologist offered chemotherapy and this is what DL was told:

“With chemotherapy, the chance of recurrence would be 17 percent, without chemotherapy the chance of recurrence would be 20 percent.” DL would have to undergo thirty cycles of chemotherapy.

Listen to what DL told us when he came to CA Care on 15 July 2011.

Comments

DL was indeed lucky to have met an honest oncologist who told him the “reality” of what chemo is all about.

  • In exchange for thirty cycles of chemotherapy, DL would stand to cut recurrence rate by 3 percent.
  • An equally important   point not said but implied is that even with chemotherapy there is no certainty that DL would remain cancer free. There is a 17 percent chance of recurrence.

So in dealing with cancer, no one will know with certainty its ultimate outcome.  Patients need to be honestly told the odds against them. The cards must be laid out openly on the table. Patients must be the ones to make the decision since this involves their life.

It is most unfair for those in the know to tell only the “good things” about chemo treatment, downplaying the many “bad things.” Patients are sometime “threatened” and “pushed” or “cheered” into taking a path that they are reluctant to take. We salute DL’s oncologist for being honest with DL. Even more so, when he told DL that should DL decids to do chemotherapy in the future, he is welcome to come back to receive the treatment. Many patients tell us, “If we defy our doctors, we will not be able to go back to the hospital again.”  This fear is real and has “cowed” patients into following what their doctors want them to do.

Dissecting Chemotherapy Part 7: Avastin + Alimta Nearly Killed Me

Avastin belongs to the group of chemo-agents called the “Smart Bomb” or Targeted Drug. It is used in combination with the conventional chemo-drug for metastatic colorectal, non-small cell lung cancer, metastatic kidney cancer and glioblastoma (brain cancer).

The drug is not only expensive but also comes with a variety of scary side effects. Patients receiving Avastin may suffer from the following:

  1. Serious, and sometimes fatal, side effect called gastrointestinal (GI) perforation. Perforation is the development of a hole in the stomach, small intestine, or large intestine.
  2. Serious and sometimes fatal bleeding, such as coughing up blood, bleeding in the stomach, vomiting blood, bleeding in the brain, nosebleeds, and vaginal bleeding.
  3. Nervous system and vision disturbances. Symptoms may include high blood pressure, headache, seizure, sluggishness, confusion, and blindness.
  4. Stroke or heart problems, which can be fatal. Heart problems include blood clots, mini-stroke, heart attack and chest pain.
  5. Abdominal pain
  6. Nausea,
  7. Vomiting
  8. Constipation
  9. Fever
  10. Slow or incomplete wound healing
  11. Too much protein in the urine, which may lead to serious kidney problems
  12. High blood pressure.

Alimta is used in combination with the conventional chemo-drug for the treatment of non-squamous non-small cell lung cancer and malignant pleural mesothelioma. Alimta is not indicated for squamous cell lung cancer.

Patients may be allergic to Alimta and suffer from hives, difficulty breathing; swelling of face, lips, tongue, throat, pale skin, easy bruising or bleeding and unusual weakness.

The side effects of Alimta include:

  1. Fever, chills, body aches, flu symptoms
  2. White patches or sores inside mouth or on lips
  3. Urinating less than usual, or not at all
  4. Chest pain, trouble breathing
  5. Swelling, rapid weight gain
  6. Skin rash
  7. Numbness or tingling
  8. Depressed mood
  9. Sore throat
  10. Tired feeling
  11. Nausea, vomiting, diarrhea, constipation, indigestion, loss of appetite
  12. Muscle pain.

The most important question which patients want to know:

Can Avastin cure cancer? Try type this question on Google search and see what answer you get? You get nothing. No one is talking about cure at all. They only talk about prolonging life! And that too is amazingly ridiculous.

Q: Does Avastin cure colon cancer?

A: No.

Avastin (Bevacizumab): Good or Bad Cancer Treatment? http://yalepress.typepad.com/fightingcancer/2011/07/avastin-bevacizumab-good-or-bad-cancer-treatment.html

Dr. Richard Frank, M.D. wrote:  “The cost of cancer medicines is breaking the banks of Medicare and patients (private insurers continually raise their rates to cover costs) as well as forcing the closing of many oncology practices across the country. Access to basic cancer care and medicines is being jeopardized because of the exorbitant costs of the new biologic medicines. Unless these medicines can show at least a meager, repeatable improvement in survival for patients battling cancer, then they should not be approved and patients should not be given them in false hope.”

Q: Can Alimta cure lung cancer? This is the answer I got.

A: Alimta does not cure mesothelioma or lung cancer. 

Having understood the risks and the potential benefit (but what benefit are we talking about?) let us watch this video on what Alimta + Avastin did to a patient with lung cancer that had spread to his liver.

 

Note: We received a message on 18 September 2011 that this patient died.

When a lawyer makes a mistake, he loses his case in court; When an engineer makes a mistake, the building collapses; But when a doctor makes a mistake, it gets buried in his patient’s grave  ~ A Cancer Patient

 

Comments

In his website, http://www.utopiaawaits.com/index.php?option=com_content&task=view&id=53&Itemid=2

Dr. Carlos Garcia, M.D. wrote, “Many patients and support individuals … get incensed when I state that chemotherapy has a FAILURE RATE of ninety-seven percent (97%), or a cure rate of a mere three percent (3%).  They are usually shocked and then appalled by this statement.  Their body posture changes, their mood becomes more confrontational, in short this statement touches the very core of their belief structure.  That is if I am correct, as I will attempt to corroborate with the attachments herein, then why were they not told this prior to being told that chemotherapy, along with surgery and radiation are the ONLY ways of treating cancer and furthermore that alternative practitioners are mere quacks.

The FACTS are that after years of trying, and FAILURE and trillions of dollars in research with no improvement in success why is chemotherapy still being used?  Are the oncologists just mindless heartless doctors in it for the buck?  How do they justify just recommending chemotherapy, radiation and surgery, while ignoring dietary changers, and emotional issues?  How do they justify the continued endorsement that was first known to be ineffective in 1985 and remains ineffective with a ninety-seven percent (97%) failure rate today?

Let’s be honest, spontaneous remission, has a higher success rate than chemotherapy.  So potentially one could reach the logical and perhaps factual conclusion that doing nothing when diagnosed with the symptom of cancer is a better medical choice than opting for chemotherapy, with definitely a higher quality of life than that presented by chemotherapy.”

Breast Lump: Two Experts, Two Different Opinions – you like that?

Pet (not real name, H621) is a 42-year-old female. Sometime in early 2011 she felt a lump in her right breast. She did not see a doctor until May 2011. An ultrasound on 24 May 2011 showed:

  • An irregular hypoechoic mass at 12 o’clock position of her right breast. The size is 4.4 x 3.0 cm. The margin is irregular.
  • Another  three hypoechoic nodules noted at 8 and 10 o’clock position of right breast and behind the nipple (0.5 x 0.7 cm, 0.5 x 0.5 cm and 1.7 x 1.8 cm)
  • A right axillary node is also seen, 0.9 x 0.8 cm.

Impression: Findings in keeping with Ca breast.

Trucut biopsy was performed. The histopathology report indicated: Invasive ductal carcinoma, NOS; grade 3.

Pet met a surgeon of a private hospital who told her that she needed a mastectomy. However, before surgery, she has to undergo chemotherapy first. This is to shrink the tumour. She may need 2 cycles of chemo or more, depending on the outcome.

Not satisfied, Pet went to see a breast surgeon at a government hospital. She was told there is no need for chemo. The surgery can be done right away.  Confused?

Pet came to see us on 3 June 2011. Watch this video and listen to our interesting conversation.

Comments

It is hard enough to be told that you have cancer – that applies to everybody! Then, you have the high hope that the experts know how to cure you. You met the surgeon. Oh, he said, the lump was too big. Go for chemo first. So there you are having to shuttle to the oncologist. The oncologist said you might need two cycles of chemo to shrink the lump. But you may need more. It all depends.

You wondered aloud, even if you had surgery or chemo, the cancer may come back again?  You make known this concern to your oncologist, hoping to get some reassurance. Imagine the answer he gave you – Do you have any disease that medicine can cure you?  Then he equated that with diseases like diabetes or hypertension. See, there is no cure. Instead you will get hooked to the drugs until you die! But you may wonder, is the analogy correct or logical? Is it logical to believe that you will need to depend on chemo all your life? Chemo drugs are toxic – they night just kill you after a while unlike the diabetes or hypertension pills.

Not satisfied with the first surgeon and the oncologist, you decided to seek a second opinion. Indeed a correct thing to do, so they say. So you went to see a breast surgeon – after all, a breast specialist is supposed to know more than other experts about the breast. Furthermore he is from a government hospital. In your mind, you tend to trust doctors in government hospitals than those in the private hospitals. You know la, these days.  At least those in the government  are there not for money – rather, as a national service to the country.

To your surprise, this breast expert said there is no need to do chemo first. Go straight for surgery! Now, you are at the cross road – another confusion in your mind.  How is that, two experts tell you two different stories. Who is right? Who is a better expert then? Whom to listen to now? They say, medicine is based on scientific fact – but in this case, one expert must have got his fact mixed up! Both experts cannot be right in trying to solve your “simple” problem. Or is it truly simple?

Since both doctors say different things, why not turn to a “quack” – the non-medical doctor and let’s see if he can pull out another trick. So, there it is – you went to CA Care and met with a Dr. Chris, a Ph.D. not a M.D. You had a chat with him. You were confident and hoping that he would say – No surgery, just take herbs and you shall be well. But you were disappointed. He wanted you to have your breast cut off as well – like those two doctors. The only consolation is that after surgery, you could see him again if you decided not to undergo chemotherapy or radiotherapy.

In your discussion with him you also learned that doctors are basically disease- and drug-orientated. The job of the surgeon is to cut. The job of the oncologist is to chemo. They have nothing else to offer more than that. You will be left on your own to fend for yourself after you leave the hospital.  This is like what Barry Boyd, M.D., wrote in his book, The cancer recovery plan, “Many doctors don’t bother to counsel their patients after treatment. Once cancer treatment is completed, most patients are left on their own to cope with the rest of their lives. This is what I call falling off the cliff. Patients are left in free fall.”

Of course, you are told: “There is nothing else to do. Go home and do what you want to do. Eat what you want to eat.” You just did exactly that – followed what the experts told you. And if the cancer comes back again, there is nothing to worry. Go back to the hospital again. You can go through the entire procedures again – the devastating regimen you did before. There is still hope –  that’s the saving grace!

Perhaps that is why you don’t get well? Do they ever teach you how to get well? Do they teach you how to increase your odds against recurrence of the cancer? No, only the “quacks” in the alternative medicine do that.  You may now wonder – are those in the alternatives really “quacks”? Who are the real quacks in this case?

In this video, Pet was trying to understand or defend her doctor – to be fair, we cannot blame the doctors if they are not sure if they can cure your cancer or not, in spite of the chemo.  After all everything depends on the patients themselves. Yes, exactly, that is true but such thinking is not scientific! When experimenting with the chemo drug to see how effective it is, factors like diet, lifestyle, personality, lifestyle, etc., do not count. They are not supposed to exist. You get cured by that drug – nothing else count. So to say that it all depends on the patients whether you get cured or not is “scientifically flawed” thinking. And in CA Care,  it is this flawed thinking that is important and must not be ignored!

Two questions are always in the minds of most cancer patients. One, is the chemo doing going to be effective? Two, will the cancer come back again after the surgery, chemo or radiation? Every cancer patient is seeking for a cure. Unfortunately, scientific medicine cannot give you any definitive answer to these all-important questions. One renowned oncologist of Singapore put it this way: “Oncology is not like other medical specialties where doing well is the norm. In oncology, even prolong a patient’s life for three months to a year is considered an achievement. Achieving a cure is like striking a jackpot. Not all cancers can be cured.”

We wonder, how many newly diagnosed cancer patients have gone through such a dilemma. If that is the situation you are in, take comfort, you are not the only one feeling lost, disappointed, frustrated or helpless. Many are just like you too.

Penelope Williams, a Canadian breast cancer survivor, was diagnosed with breast cancer in late 1988. She had surgery, chemotherapy and radiation – a treatment referred to as “slash, poison and burn”.  In her book, New Cancer Therapies – the patient’s dilemma, she wrote in detail the issues facing a cancer patient after being diagnosed with cancer.

She reasoned, “There had to be a better way. Why, in these days of modern medicine, was the treatment for cancer almost as bad as the disease?”

In spite of all these treatments which they claim to be scientific, “there is no certainty of a cure for cancer, the specter of recurrence is always lurking.”

Surgery “is invasive, disfiguring, often unnecessary, and rarely gets all the cancer despite the frequent claim by the surgeon that “we got it all”; according to some, surgery actually encourages the proliferation of cancer cells.”

Chemotherapy “ Is the cornerstone of modern cancer therapy… it kills  more patients than it cures, is useless for many cancers, causes secondary cancers, and is so toxic it destroys the immune system, leaving  the body susceptible to other diseases, including new cancers. To find a chemical that will make cancer disappear and leave normal tissues unharmed would be like finding a drug that you can take by mouth that will make one ear disappear and not the other.”

“Radiation therapy was at best an inexact science, at worst, highly dangerous to patients. Fifty years later, this observation still applies. Even in low doses, it can cause cancer and is highly invasive, painful and disfiguring. It can only be successful in curing cancer in dosages so high as to kill the patient. It damages body organs and tissues and actually increases death rates when used as adjuvant treatment for such diseases as breast cancer.”

“For many people, the anguished struggle to sort out treatment options comes down to a decision whether to go with the heart or the mind.  Ultimately, it must be your call because it is your body and your mind that are in danger of becoming the casualties, not of cancer, but of the cancer wars. So what to do? How to choose? “