When Doctor’s Advice Does Not Add Up

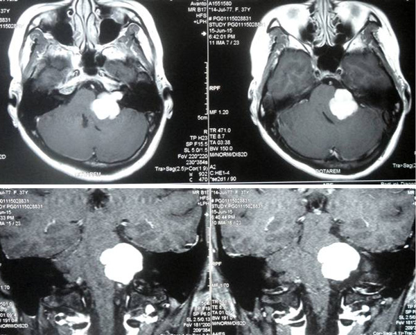
CT is a 38-year-old Indonesian lady. About 3 years ago, she started to lose her hearing of the left ear. Later, pain developed on the left side of her head. In April 2015, the problem became more severe. She could not tell what others were saying around her. Then her left ear became deaf. When she lie down and sleep on her left side, she felt giddy. When standing with eyes closed, she lost her balance. The left arm was weak.

In May 2015, she came to Singapore and consulted an ENT specialist. She was given medication for a month. Her condition worsened. She came back to Singapore again in June and had an MRI.  There was a 3 cm tumour in her brain.

Composite

The doctor told CT to undergo surgery immediately. CT refused. CT and her husband came to seek our help in July 2015. Listen to our conversation that morning.

 

 

Husband: We saw a doctor (in Singapore). He told her to have an operation immediately. She refused.

Chris: Can surgery cure her?

H: Of course, can cure 99 percent. BUT have to operate the skull. Two doctors involved. One is ENT specialist and the other a neurosurgeon.

C: Why don’t you want to go for the operation?

Patient: But 5 percent of patients can’t swallow after that.

H: She cannot control her face muscle — muscle dead. Hearing gone, and cannot be restored.

C: How much is it going to cost you to operate?

H: Six hundred million rupiahs, about SGD 60,000.

C: After the operation, did the doctor say you need to go for chemotherapy?

P: No, because the tumour cannot be completely removed, I need to go for radiation.

C; You were told the operation is going to cure you — 99 percent. Now, the doctor said he cannot remove all the tumour. How can this be 99 percent cure when the tumour cannot be removed completely? Any logic?

H: That’s why — no logic!

P: My mom’s friend had the same problem like me. She went for an operation. She was not able to swallow after that. Saliva drooled out of her mouth.

C: What happened to her now?

P: She had improved but her two eyes are pointing inwards, not straight. Her husband said: Don’t go for operation, You will suffer a lot. She also had her operation in Singapore.

C: Are you very sure that you don’t want to go for the operation?

P: No operation. When the doctor said he can cure me, I want it …

H: The doctor said: We do this kind of operation everyday.

P: But the doctor said he cannot guarantee.

H: The doctor was scared of the nerve system.

C: So, it seems that 99 percent cure is not true then? I am aware that all patients want a cure. If I tell them that I can cure them, all will come to me. But I am going to be honest. I don’t want to bluff or mislead patients. Here we want to help you. Even if you take our herbs, don’t expect us to cure you.

Oh, this is a very difficult problem because there is a 3 cm tumour in there. To tell you NOT to go for surgery is not right. But if you don’t want to operate, I would not force you to do that either because I know that you may have to suffer many side effects.

Try to take the herbs — don’t expect us to cure you, but after a month or so, let’s see what happen. May be after this, it can give you an indication and direction — whether what we are doing is correct or not. Ask yourself — After taking the herbs, how do I feel? Better? Less problems? Worse? If better, then be patient and we continue.

We have helped many patients with brain tumour before.

For more read:

Brain Tumour Shrunk With Herbs: https://cancercaremalaysia.com/2010/12/11/brain-tumour-shrunk-with-herbs/

Brain Cancer: She Was in a Coma: https://cancercaremalaysia.com/2010/12/11/brain-cancer-she-was-in-a-coma/

Now, let us try our best to find a way out — to help you. The tumour is not going to disappear. But if you can lead a normal life, please don’t ask for more. After 3 months, if you find that the herbs do not help you, please go for the operation. I can’t help you anymore.

Comment

CT was told to undergo surgery immediately! Why immediately? She had been living with her problems for the past 3 years! No need to panic. Take time to evaluate your options.

When making your own decision, perhaps you want to reflect on the following:

10 You-decide-NO-treatment

11 Value-judgment-doc-cant-dec16 Groopman Choice within you17 Take-time-to-decide-no-hurr

 

 

 

 

 

 

Lymphoma Part 3: Digging my own grave with my folk and spoon!

Lymphoma Part 1: Eighty-percent-cure-rate-chemo Failed. No to Bone Marrow Transplant. I don’t want to die before my parents. 

Lymphoma Part 2: Healing in Progress After Two months on CA Care Therapy. Full of fear. But you would not die in December! 

Lymphoma Part 3:  Digging my own grave with my fork and spoon!

 

Forty-two-year-old Daisy had 6 cycles of chemo for her peripheral T-cell lymphoma. The treatment failed to cure her. The cancer relapsed 6 months after completion of her chemotherapy. She was asked to undergo more chemo and bone marrow transplantation. She refused and opted for CA Care Therapy instead. One year on, Daisy said she was not so worried about her cancer but her diet caused her much distress. I want to eat! 

Listen to this video.

 

Chris: The only thing that you cannot do is eat any “rubbish” that you like. Is that okay?

Daisy: Hm, hm. I have been tolerating this. I cannot help it. But sometimes I had the urged of wanting to eat …

C: Do you think one day, you would just say: Never mind la — eat and die, that’s okay.

D: Especially when I watched the cooking program on Astro … I felt like I wanted to eat and die, it’s okay.

C: You are already one year and you are not getting worse?

D: But I have been tolerating the food. During Christmas and Chinese New Year (CNY) everyone was eating …turkey, etc. and I could not eat. You know, I cried. They can eat but I cannot eat. I stayed home and cried.

C: So your main concern now is not cancer anymore? Now, food is more important? You worry about your food.

D: When people are alive, they want to eat (anything).

C: The last time when you came, you were so worried that you would die because of your cancer. Now do you still think that you are going to die?

D: No! I know I can live. Last time I was so worried that probably when I go to sleep I would not wake up the next morning.

C:  Ha, ha, is it not better (to die that way)? So today you go to sleep, you know that you would wake up?

D: I know, I know ( I can wake up).

Chinese New Year is coming – be careful with your diet!

C: Chinese New Year is coming. Don’t go and start eating “rubbish” ah.

D: Already two years I cannot eat. Since 2012 until now (2015) cannot eat, you know!

C: But you were supposed to die within four months! Now you’re well — you are healthy, you are okay. What do you want some more?

D: I want to eat. Eat first before I die.

C: Okay, if you want to eat, go and eat a lot. Eat a lot. To eat a piece of chicken and die … not worth it. It’s stupid. Eat a lot and then die. That’s okay.

D: I want to dig my own grave with my fork and spoon.

Gentle Warning: Itchy rashes that took months to go away

D: For two years, I never eat ….

C: What did you eat (during the Chinese New Year, 2015)?

D: I ate 2 kampung chicken eggs .. twice .. some CNY cookies … chocolates .. not much,  plus fish. After that …

Leg2

C: When you came home after eating all these …  any problem? Itchy?

D: No.

C: Before you ate all these, did you have such problem?

D:  No such problem. About one month after taking these CNY food this problem happened. I felt itchy and I started to scratch.

C:  And until today?

D: Yes, it’s already one and half months. It takes a long time to heal. Before I had cancer it was easy to heal.

C: Food is important. If they say you eat anything you like — that’s not true.

Comments

All patients who come to seek our help are always told: Apart from taking the herbs, you have to take care of your diet. You cannot eat anything you like. We would also want to remind everyone, if you can’t take care of your diet, there is not point coming to see us. We would not be able to help you. This is because food  ….

1 deVita

The unhappiness expressed by Daisy in this case, is understandable. Most patients would not want to change. The moment they get well — when they don’t feel that they are going to die anymore  — they will come with all the excuses for wanting to forget what we tell them about food.

One classical example that came to mind now is the case of an Indonesia lady who had lymphoma. She underwent chemotherapy and almost died from the treatment. After the treatment the cancer recurred. There was a hard swelling on her cheek. She was asked to undergo more chemotherapy. She was not prepared to accept that anymore.  She told us that she prayed that God would grant her the strength to come and see Chris Teo in Penang. Then if she died after that she would be satisfied. We took care of this lady for three years and she was well. The swelling in her cheek was gone. Then, the “monster within” started to awaken. She told us that she had been taking the herbs for so long. It caused much strain on her children, etc., etc. We knew what her real problem was! We also knew that if the heart would not want to change there is nothing we can do to help.

Later, we were told she went to Singapore for a holiday. Ate  …. (we did not know what). After she came home to Jakarta, her stomach became bloated. That was when she wrote us for help. Our answer was: Go to the doctor and ask for help. She had chemotherapy. After the second shot of chemo, she died.

This is another lymphoma case. This story is beyond our comprehension. TL was a 59-year-old man. He was diagnosed with lymphoma in September 2012. Like the Indonesian lady above, he had surgery to remove part of his stomach. He was subsequently asked to undergo chemotherapy which he declined.

He came to seek our help in October 2012. From the very beginning we explained to TL that it would be futile to take our herbs without taking care of his diet. In short, he must eat rightly and under no circumstances take junk food.

On many visits, TL asked us about what food to eat and what food not to eat,  giving us the impression that he was eating right!

About 8 months later, TL suffered a relapse.  It shocked us to learn that all along TL had been pretending and  “cheating” on himself as far as his diet was concerned.  Listen to his “confession” that day (4 November 2013).

A few days after this “confession”, TL checked into the hospital, underwent medical procedures and died while in the hospital.
Why did he play such a game and cheated himself?  We cannot understand.

One outstanding lymphoma case is that of Devi. She had radiotherapy and was well. But about a year later, her cancer recurred. She was asked to go for chemotherapy.  She had chemo but at the same time started to take herbs and change her diet and lifestyle. From 1998 to this day (2015) Devi stayed on course and is extremely well.

https://cancercaremalaysia.com/2011/07/05/the-story-of-devi-a-lady-lawyer-about-40-years-old-afflicted-by-non-hodgkin%E2%80%99s-lymphoma/

Chris: Why were you on morphine?

Devi: Because I was in pain. The moment I consumed food, I had very severe pain. I was lying in the hospital for two weeks until one day I went berserk because I had an overdose of morphine…I was not getting any better. I discharged myself (from the hospital)….I went to a clinic that practised chelation therapy and the doctor asked me what sort of diet I was on? I was told to stop taking solid food and to go on fruits, vegetables, semi-solids and fluids. Within two days on the recommended diet, the pain was gone. 

C: Did you take any other medication? 

D: No. I was only on the diet, no medication whatsoever. I was on fruits, vegetables and semi-solids. Within a month, my digestive system was back to normal. 

C: After the radiation, you thought you were cured. Did you go back to your old diet? 

Yes, I went back to my old lifestyle. I forgot about the fruit juices. I had a relapse of the cancer, this time in the abdominal region.

The doctor said radiation was out. I went for six cycles of chemotherapy. 

Devi came to seek our help and was well. 

C: What about your diet?

D: I am more of a vegetarian now, I keep off red meat and sea food except for fish. I eat fruits and vegetables. 

C: Some people say that if I cannot take my favourite food, life if not worth living. What is your comment to that ? 

D: What I have to say to those people is, life is worth more than just your favourite food. It is a very small sacrifice to make. Life is much more that just food. 

C: You were a meat eater before and now you are a vegetarian. Many people say that if you don’t eat meat, you have no strength. What have you got to say about that? 

D: No, not really. In fact, I feel much healthier now that I cut meat out of my diet. I have not lost energy at all. 

Patients, you have a choice — to live or to die. If you wish to live, CHANGE — your lifestyle and your diet.

The choice is yours!

9 Disease-enter-through-the-m

10  Nutriton-stop-growth-spread

8-Diet-must-be-integral-par

Balanced-Yin-and-Yang-food

Capturefood

Lymphoma Part 2: Healing in Progress After Two months on CA Care Therapy. Full of fear. But you would not die in December!

Lymphoma Part 1: Eighty-percent-cure-rate-chemo Failed. No to Bone Marrow Transplant. I don’t want to die before my parents. 

Lymphoma Part 2: Healing in Progress After Two months on CA Care Therapy. Full of fear. But you would not die in December! 

Lymphoma Part 3:  Digging my own grave with my fork and spoon!

 

Daisy, 42 years old, was diagnosed with peripheral T-cell lymphoma, Stage 2. She underwent 6 cycles of chemotherapy. Six months after the completion of her treatment, the lymphoma relapsed and Daisy was asked to undergo more treatment — 4 cycles of high dose chemotherapy followed by an autologous transplant (BMT — bone marrow transplant).

Daisy felt that she would not survive the BMT procedure. But without BMT Daisy was given the impression that she would also die — within four months. By December she would be gone! Daisy was in a dilemma and came to seek our help. She was started on herbs and was told to take care of her diet.

In  October 2013 — after two months of the herbs  — Daisy shared her anxiety, fear, frustrations and wishful hope! Watch this video.

 

 

Lymph nodes grew bigger after 2 months on herbs. Oncologist did not show any concern — Go and continue taking your herbs! 

Two months on our CA Care Therapy, Daisy came back to us. She was full of anxiety and fear. She just went to see her oncologist and was told that the swollen lymph nodes had grown bigger.  Since she did not proceed with the BMT, her oncologist was not interested to talk further with her and instead cynically asked her to go ahead and take the herbs. 

Daisy did a blood test and an ultrasound.

White Cell count 1.71  Low
Lymphocyte 0.44  L
Red blood count 3.55  L
Platelets 160
LDH 254  High

USG on 30 September 2013 indicated:

  • Bilateral enlarged cervical nodes … the largest at the left submandibula measuring 1.7 x 0.7 cm and at the left posterior triangle, 1.4 x 0.5 cm.
  • Enlarged axillary nodes seen bilaterally. The largest node is seen at the left axilla measuring 1.9 x 2.3 cm and 1.8 x 2.2 cm.
  • A hypoechoiec nodule seen within the subcutaneous plane at the left posterior scapular region measuring 1.5 x 0.6 cm.

For the above consultation, the total bill came to RM 774.00 made up of the following:

  1. Lab test RM 202.00
  2. Ultrasound examination RM 480.00
  3. X-ray RM 42.00
  4. Consultation (oncologist) RM  50.00

Like most patients who come and see us, they like to go for a scan after taking our herbs for a month or two! That is unrealistic! Our herbs are not magic bullets. Healing takes time.

The results showed the lumps had gone bigger! We told Daisy, You are just asking for unnecessary problem!

Daisy: What if the lumps grow bigger and bigger? 

Chris: Yes, that is always the concern of patients … and of course ours too. But what can we do? Is there another alternative? 

No! Daisy said she would not go for any chemo, radiotherapy or surgery. She would like to stick on with our herbs.

We told Daisy — we wish we could cure her or promise her a cure but we know we would be dishonest if we do that.

Promising false assurance is cruel and sinful!  We would not be able to ensure any positive outcome even though we have helped so many lymphoma patients before.

The only advice we could give is: Don’t panic, relax. This implies patients need to believe and trust.

Good thing is, Daisy seemed to trust us. She knew what it was like to undergo chemotherapy. The fact that she survived the 6 cycles of chemo earlier was already fortunate. Then, she was told that her CHOP chemotherapy would give her a 80 percent chance of cure. But this is not true! Barely 6 months after the completion of her chemo, the lymphoma recurred.  Where is that 80 percent chance?

After the relapse, the oncologist offered BMT and said the cure rate would be 50 to 60 percent but the procedure would be more drastic, invasive and expensive — RM 100,000.

Daisy had lost confidence with medical treatment. Probably this was the driving force that made her come to seek our help. She said she would rather “gamble” her life with our herbs.

Are you getting worse after taking the herbs? You wouldn’t die in December! 

Even though the lumps had grown in sizes, Daisy did not feel any worse. Actually she was doing fine … except for the knowledge that the lumps were getting bigger! Daisy was given the impression that without BMT she would only have 4 months to live. So by December she would be gone! No, during our discussion in October 2013, Daisy did not show any sign that she was about to die. We told Daisy: You are not going to die in December! 

(Daisy continued to get well and is still alive after 2 years. Most of the lumps that made her worry so much earlier on had almost disappeared!) Question: What if she were to undergo the Bone Marrow Transplant?

 

 

 

Lymphoma Part 1: Eighty-percent-cure-rate-chemo Failed. No to Bone Marrow Transplant. I don’t want to die before my parents

Lymphoma Part 1: Eighty-percent-cure-rate-chemo Failed. No to Bone Marrow Transplant. I don’t want to die before my parents. 

Lymphoma Part 2: Healing in Progress After Two months on CA Care Therapy. Full of fear. But you would not die in December! 

Lymphoma Part 3:  Digging my own grave with my fork and spoon!

 

Daisy (not real name) was 42 years when her problem started around July/August 2012. She found lumps in her arm pit and groin. The lumps grew bigger. She went to a private hospital. A biopsy was done.  She was told she had peripheral T cell lymphoma, Stage 2.

Daisy underwent 6 cycles of chemotherapy  — CHOP regimen. The treatment cost RM 40,000 — paid for by her insurance company. She suffered severe side effects: nausea, vomiting, mouth ulcers, numbness, loss of appetite, chest pain, constipation and hair loss.

Daisy said she almost died after 3 chemos, but she  managed to complete the scheduled 6 cycles by January 2013.

Chris: Before chemotherapy, did you ask the oncologist if the treatment was going to cure you?

Daisy: The oncologist said, “There is a 80 percent cure rate.” It was just a Stage 2 cancer.

C: You believe that?

D: Yes and I was happy!

Everything went well for Daisy during the initial stage after the completion of the treatment. She went back to work.  Unfortunately, soon afterwards she found a lump in her left arm just above her elbow and also swelling of her axillary lymph nodes,  but she did not tell her doctor. She thought there was nothing to worry about since she had just completed the treatment. However, during the second follow up she told her oncologist about the lump. In July 2013, Daisy had surgery to remove the lump in the arm. Histology confirmed recurrence of the T cell lymphoma.

A whole body CT scan was done on 30 July 2013 and indicated the following:

  • There are bilateral multiple mildly enlarged cervical nodes which are increased in size when compared with the previous scan. The largest node measures 14 mm.
  • Bilateral mild to moderately enlarged axillary nodes have increased both in number and size since the previous scan. The largest node the left axilla measures 13 x 8 mm.

The oncologist told Daisy that she had no other option but to go for  BMT – bone marrow transplant. She would need to undergo 4 cycles of high dose chemotherapy followed by an autologous transplant.

 C: Can BMT cure you? 

D: The oncologist said the cure rate is 50 to 60 percent. 

C: You believe that? Previously he said chemo would give you an 80 percent chance and you had a recurrence.                                                                          

The BMT procedure would cost RM 100,000 and this would be paid for by the insurance company.

C: So, that’s free treatment, why don’t you want to go for it. 

D: I am afraid I would just die. My father and mother are still alive. That’s why, I don’t want to die before them. 

C: I understand, if your father has to bury you … no, I don’t like the idea either. 

C: How many sisters and brothers do you have? 

D: Six. 

C: What did they say? 

D: All of them do not know what to do. 

C: Good to have sisters and brothers like that. At least they don’t fight among themselves for trying to be too smart.

Now, go home and decide what you want to do. After you have made your decision, there will be a lot of people who will say this or that! 

Don’t worry. Learn how to take care of yourself. Go home. Pray that God will tell you what is the right thing for you to do. Don’t eat anything you like. Above all, be friends with your cancer. No need to fight with the cancer. 

For more, watch this video. 

 

 

 

Stomach Cancer: No to surgery and chemo. Why?

EK is a 66-year-old female. About 2 years ago, she felt stomach discomforts after eating. If she had soft diet, then she was okay. She did nothing about this problem. During the Chinese New Year, 2015, she felt something blocking when she took food. Then she vomited. The problem went away after that. In June 2015, she went to a medical clinic and the doctor said she might have thyroid problem. However, an endoscopy and biopsy in July 2015 indicated stomach cancer.

EK and her son came to seek out help after being told that EK had to undergo chemotherapy followed by surgery. EK did not want to undergo these procedures. Why? Listen to our conversation that day.

 

 

Summary of our conversation

Chris:  Does your mother know about this?

Patient: Yes. When doing the scope, the doctor told me on the spot that I have cancer. The doctor then asked me to undergo chemo. Must decide immediately. Chemo is to shrink the tumour first. After that, they will operate me, to remove my stomach.

Son: He was trying to convince her to immediately proceed with the treatment. But when I did research on line the chemo does not work so well with diet causing cancer.

C: I understand. You are not the only one. Many others are like you too. You do not get cancer only yesterday. Perhaps it has been there for the past 5 or even 10 years already.

P: Only 2 years ago.

C: Perhaps 5 years ago it was already there but it did not show up and you did not feel anything. Most people do not “listen” to their body. For you, only now it shows up. What do you want to do? You have to decide. Correct, on the one hand you can have it removed and maybe it is gone. Do you want to operate?

P: I don’t want to operate. The doctor told me if I do not operate the tumour will grow. It may cause blockage and  bleeding. And it is going to be very painful.

C: The doctor said you have to do chemo first and then surgery. Did you ask him if these procedures are going to cure you?

P: No doctor would guarantee that.

S: Why I feel not satisfied is every time we discuss with the doctor — he never want to tell us the probability. They don’t know. Depend on patient, this can happen, that can happen. They don’t know and dare not go into this subject.

P: The doctor told me it is going to be 50: 50.

S: They never tell us about the side effects. What can happen after that? I spent about 2 weeks researching (in the internet) I know that there are a lot of (side effects).

C: Okay, take it easy. Relax. Go home and think about it and decide. Listen to your heart and not your head. If your heart says operate, then go for the operation. If your heart says no operation, then don’t do the operation.  Take it easy.

This is a major surgery. The whole stomach has to be removed. Understand this. If the cancer does not spread, then removing it is good. Clean and throw it away and it is gone. But if the cancer has already spread, that is where the problem is. If it has already gone to the liver, what do you do? Cut the liver also? It is hard for us to decide what is the best thing to do now.

After removing your stomach, you can’t eat anything you like any more. You need to adjust your diet. It is going to be a bit difficult.

Then that 50:50 chance — may be it may not end up 50:50 at all — we don’t know.

You can’t blame the doctor because that is all they know.

Then, back to this again. What if you do not do operate? First, the tumour may grow and block (the passage way). You cannot eat and vomit. So, you may have to face these problems.

All these basically mean — you cut, you die; you don’t cut you also die. But everybody also has to die. The question to ask is: How do you want to die? That is the most important thing.

If you go for surgery, you may die on the table. We don’t know.

P: Yes, that was what the doctor told me. If something goes wrong, you die.

C: You also need to know this. If you cut, you also need to suffer later … due to the chemo, etc. Go through all these sufferings and die. May be not worth it. This is one scenario. Another scenario is, now you are still well with no problem. If you can take care of yourself, maybe you don’t have to die sooner, may be you don’t have to suffer so much. But know that one day you have to die. So, which one do you want” Think for yourself.

You come and see us — can we cure you? No, we are not god. But we also know that we have helped a lot of people already. They don’t die that soon. But they have to learn how to help themselves. Learn how to live with your cancer. Tell your cancer — you stay in there but don’t disturb me, and I don’t disturb you. If I die, you (cancer) also die.

If there is blockage, then you have to go for surgery. If not, relax.

We know this is dangerous, we know this is a rare cancer. In one year, we do not see many case like this.

Okay, do you want to go home and think first what you want to do?

P: No, I don’t want surgery. Then go for chemo — no, my whole body would collapse! The doctor also told me that even if I did the operation, he would not be able to remove everything. May be something may be left behind. Because of that, I want to go for natural therapy.

C: Do you understand that it may not cure you? People come and ask us to cure them. Our answer is, No we cannot cure you. Because we know that cancer cannot be cured, but to help you — YES. But you have to want to help yourself first. But how long you want to help yourself is up to you. Some people get well after 6 months — they forget what we taught them after that!

S: Professor. Thanks for reminding us. I know in terms of diet, it is not easy to change.

Comments

EK and her son were desperate. And they need help. The doctor wanted her to go for chemo and surgery for her stomach cancer that had probably spread to the liver, pancreas, spleen and lymph nodes. In simple language, this is an advanced cancer,  where surgery alone cannot cure her.  The cancer cannot be totally removed. That means, the chance of recurrence is very high. In addition EK has to undergo chemotherapy. EK knew what she was asked to go into and decided not to follow the medical way.

EK and her son clearly need help. CA Care was set up to exactly to do this — to help those in need of direction and help. And we are ready to help. But for those who come to CA Care in search of “magic bullet” or any easy way out, then we say you have come to the wrong place. Please go elsewhere to shop for your cure.

EK’s son took time to browse the internet for more information. He was clearly unhappy that he could not discuss anything with the doctors. Understandable, doctors are busy people and they don’t have the time to explain things to the patients or their family members.  Read what Dr. Heymann wrote:

Doctor visit 12 minutes

It is unfortunate that doctors do not have the time to show much concern about the patients. EK was told right there and then, while doing the scope, that she has cancer and chemo has to be done immediately. The message came like a bomb. No doubt about, the “death sentence” as many like to call it, caused much anxiety and distress not only to the patient but also the entire family. Patients and their family members want to know MORE, but they cannot get much information from the doctor. At CA Care, we try our best to answer your concerns and provide information as honestly as we can — to empower you with knowledge so that you can make informed decisions.

Bill-Henderson-Informatin-i

While in the midst of writing this story, a patient came to our centre. He was diagnosed with pancreatic cancer that has spread extensively to his liver. After the CT scan, the doctor told him: We cannot operate you. We cannot chemo you. Go home, eat anything you like and go and play as much golf as you like. The patient told us, I know what that mean. The doctor virtually told me to go home and wait to die. It was indeed a great let down. We don’t know how he took it, knowing that this man was once the deputy head of a state government, a VVIP.  He and his wife spent about one and half hours at our centre. We answered everything that they wanted to know. No doubt, they were satisfied. They now know what they CAN and NEED to do next.

Read again what Dr. Jody Heymann wrote:

Hospital not concern of patients

Pose this question to the Power-that-Be, Given the above situation, what can we do to improve the situation? Is building more hospitals  the answer? Perhaps we don’t need expensive hospitals but train people who run hospitals with a more “human heart”.

I am fully aware too that during our consultation, I am often very blunt. To most people, may be the mention of the word “death” is a taboo and is very objectionable. But at CA Care, we often bring this subject up with the patients. This is because we want them to understand the bigger picture of the problem. We fully understand, ALL patients want to be cured of their cancer, no matter how advanced their disease may be. Many patients say they want to “fight” to the end. Well said, but do you still want to fight with the SAME weapons,  if you know with almost certainty that you are going to lose the war. In addition, you  suffer as a consequence. Some even leave a “big hole” in their bank account for the next-of-kin to settle. The only winners in the game are the doctors, hospitals and drug companies!

Perhaps you may wish to reflect on these two quotations:

47-Late-stage-cancer-no-tre

 

Chemo-Suffer-near-death

We are not implying here that patients with terminal cancer should just give up — go home and wait to die like the case of the VVP above. Far from it. Perhaps the question to ask is, If the expensive, scientific medicine cannot cure your cancer, can there be another option? At least another option which can allow patients to live in peace without suffering, even though we all know that cancer cannot be cured.

EK and the VVIP above did not give up. At least they came to CA Care and they found “peace” and a new “hope”.

 

 

 

Better to let the doctors take care of her. We can’t cure her!

HL came to see us on behalf of her 70-yer-old mother who was diagnosed with T-cell lymphoma. Her mother had been in the hospital for the past 2 weeks. She needed blood transfusion every 2 days because her platelets count was down to 1.0 (normal range 150-400). Her red blood count had stabilized at 8.0. For the past 1 week HL’s mother was given steroid injection.

What to do now?

  1. The doctor suggested chemotherapy and this would be a 50:50 chance. The idea is to “control” the cancer.
  2. If the patient does not want chemo, it is okay. But according to the doctor it would be a “hopeless” case. She could stay in the hospital to receive supporting treatment, such as blood transfusion, etc. when needed.

Desperate and not knowing what to do, HL came to seek our opinion. Listen to our conversation that day.

 

 

 

Gist of what we talked about. We hope that all who come and seek our help learn this too.

Part 1

  1. What can we do with her platelets so low. Let her stay in the hospital and let the doctors take care of her. They have all the facilities to assist her.
  2. The doctors did not pressure the family to do chemotherapy — they are open. To do chemo, they claimed it would be a 50:50 chance (of what?) but not to do chemo it would be a case without any “hope”.
  3. The daughter asked the doctor: Her condition is deteriorating, can she stand the chemo? The doctor said it would a modified low dosage.
  4. The question to ponder: Even when you give full dosage, you cannot cure the cancer, what do you expect to get with a low dosage?
  5. The doctor said chemo is just to suppress or control the cancer. To put the cancer cells to sleep.
  6. Daughter was very concerned about the side effects of chemo but someone told her that chemo had to be done to cure the cancer first. Only after the cure, then she can try natural therapy.
  7. Question to ponder: What happen if the chemo kills the patient right away?
  8. With your mother’s condition — platelet = 1, did you ever ask the doctor if your mother is going to be able to survive the chemo treatment? Can it kill her right away or not? Reply: Yes, that’s our worry too.
  9. I would be very happy if the chemo does not kill your mother. But know that nobody can cure any cancer. When you come and see us, don’t ever believe that we are going to be able to cure your mother’s cancer.
  10. 10.Since your mother is now in the hospital, let her stay there and you should follow the doctors’ instructions. Don’t take our herbs. Because if anything goes wrong, after she takes the herbs, you are going to blame us.
  11. Many people are like that. They sent us e-mails asking if our herbs caused these problems or that problems. And their cases were already medically given up. For this type of people I say — Please don’t come and see us.
  12. When you take our herbs, you may feel unwell first (healing crisis) before you start feeling better.

Part 2

  1. Know that everyone has to die. Today, I am not sick but I may also die tomorrow. That is the reality. It is a fact.
  2. With your mother’s condition like that, platelet = 1, what is the chemo going to do for her? Daughter: That is why the oncologist said there is only a 50:50 chance.
  3. You have to decide, she is your mother. Daughter: There is no other solution.
  4. Do chemo, your mother may die, don’t do chemo she may also die.
  5. Let me remind you. If you don’t do the chemo and if your mother dies, people will blame you and you are going to regret. If you do chemo and she died you will also regret. In life you cannot win all the time. And I know, in cancer, most people are going to lose.
  6. So go back, take time and discuss with your two brothers and sister. Decide what you want to do.
  7. You come here wanting herbs, believing that these are going to cure your mother — forget about that. Our herbs are not magic. We cannot cure her cancer. That is why I ask you to go home and think about what you want to do.
  8. Daughter: With my mother’s condition like this, we cannot wait! Aya, always want to win! There is still time.
  9. Daughter: You mean the herbs cannot cure her? Cure cannot — how can? I don’t see how our herbs can help her. You expect the platelets to go up by tomorrow after taking the herbs? No way.
  10. Daughter: Can she just take the herbs for a while? Well, what do you say if she dies?
  11. Daughter: Are there any herbs to strengthen her body now? There is no magic bullet.
  12. Daughter: While doing the chemo, no need for her to take herbs? NO. Because if anything happens, the doctor is going to blame the herbs.
  13. Daughter: Can she take your herbs after her chemo? We will wait and see what happen first after the chemo.

Go home and Pray

  1. You pray to who? Reply: Buddha.
  2. Okay, go home and pray to Buddha. Ask Buddha for an answer — now that my mother is in this condition, Buddha can you help me and tell me what shall I do now? If Buddha says do not go for chemo then you can come back and see me again. But if Buddha says she goes for chemo, then go ahead and do the chemo. This is the only sensible advice I can give you.
  3. There is this lady from Indonesia. She was scheduled to do chemotherapy on Monday. But on Friday she came to see us. She was not happy with chemotherapy. I told her to go back and pray to Jesus (since she is a Christian). Ask Jesus to tell her what she should do — go for chemo or not. We did not give her any herbs yet. On Monday, she came back and said God has given her the answer. She would not go for chemo. Only then we gave her the herbs.
  4. I am telling you to do the same thing. Go home and pray to Buddha and ask for guidance. By doing this, you cannot blame anybody anymore. And you will be at peace with yourself.
  5. We respect all religions. Many people came here and told us that Buddha asked them to come and see us. Some said Kuan Yin asked them to come. And some Christians said God showed them the way to see us.
  6. Let me say again, we cannot answer all the questions you asked. Nobody can answer all the questions either. The One who can answer you is Buddha. So go home and take time to pray to Buddha. Ask one simple question — What do I do now. I am lost. I have been praying to You for so long. Please let me have Your guidance.
  7. Follow your heart, not your brain.
  8. Now, there are millions of people out there. Ask them and you get a million answers.
  9. For now, don’t take our herbs yet. Like your mother I am just as desperate. I am also in the hole. I give you the herbs … that does not seem right. My conscience is not clear. And I also cannot sleep.

Comments

Many patients and their family members are often made to believe that chemotherapy — even if it cannot cure cancer — can prolong life and can control the cancer from spreading. They are also told that chemotherapy can also promote patients’ quality of life. Do you believe all these?

Ask those who have undergone chemotherapy and see what they have to say! Some told us they went through “hell” while undergoing chemotherapy but so far no one has yet tell us that undergoing chemo is a “heavenly” experience. Yes, some patients did say they did not suffer much during their chemo. Some said they could tolerate the chemo. But some others said after one, two or six shots of chemo, their loved ones just died. So, in chemo it is always, to each your own.

To say that chemo would prolong your life or improve your quality of life — as in the case above — may be stretching the imagination a bit too far. Research has shown that these claims are not necessarily true. On the contrary even the American Society of Clinical Oncology acknowledged that in some or most cases, chemotherapy was wasteful and unnecessary, in cases where cancer was too far advanced.

Chemo-and-Prolong-Life

 

Chemo-and-QOL

Perhaps you may wish to ponder seriously the advice of Drs. Blanke & Fromme below.

Chemo-Suffer-near-death

What about the claim that chemotherapy can stop the cancer from spreading or make the cancer cells go to sleep? It is indeed most shocking to know what some cancer researchers tell us.

Read this:  Chemo spreads and makes cancer more aggressive.

Chem-spreads-cancer-Fred-Hu

Chemo-drug-makes-cancer-wor

Our final word 

When patients come and see us. Please show us your commitment and show us that you really believe in what we are doing. Of course, you can come here for “shopping” — just to know what to do, but we want you to go home after that to make your own decision. Please do not ask us to decide if you should go for chemo or not. Also do not come saying my doctor said this or my doctor said that. We know in cancer there is no right or wrong answer. So it is no use commenting of what others say you should do or not do. Know that YOU, and you alone must decide what you want to do with your cancer. We can only provide up to date, honest information, but whatever you want to do after that must be your own decision and your responsibility.

You may also wish to read our earlier postings:

When chemotherapy does more harm than good  

Follow your heart not your head when it comes to deciding whether you should go for chemo /radiation or not

Breast Cancer: Surgery, Chemo, Radiation and Hormonal Therapy Did Not Cure Her. Xeloda made her miserable! Patient, Only You Should Decide What You Want To Do!