CHK is 60 years old man from Johor. In May 2018, he had pains in the right lower abdomen. He consulted a GP in his hometown and was told that he had appendicitis. He was advised to see a surgeon in the hospital for an operation.
The next day, CHK went to a thoracic specialist in a private hospital. He was told outright that he had to immediately undergo a surgery to remove his appendix (i.e. appendectomy). The next day, 13 May 2018, CHK underwent the operation which cost him RM14,000.
While performing the surgery, the doctor found a mild bleeding surrounding the colon. He suspected a growth in the colon. The surgeon also noted that the liver showed symptoms of cirrhosis. After this surgery CHK went home to rest.
On 29 May 2018, CHK went back to the hospital again for a colonoscopy. There was a tumour in his colon and 85 percent of the passageway was blocked. A biopsy confirmed adenocarcinoma of the ascending colon.

On 29 May 2018, CHK went to seek a second opinion in Kuala Lumpur.
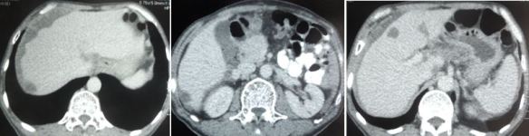
CT scan showed:
- An irregular mass in the distal segment of ascending colon, measuring 4.1 x 1 cm and it is 8.6 cm long. There is narrowing of the colonic lumen.
- There is pericolonic tumour infiltration and the lymph nodes are mildly enlarged.
- There are two small metastatic liver nodules measuring 1.3 cm and 1.4 cm.
On 26 June 2018, CHK underwent another operation (right hemicolectomy) in a private hospital in Kuala Lumpur.
The surgeon removed about 17 cm of the colon, in addition to the omentum. Unfortunately, the surgeon did not do anything to the two metastatic liver nodules.

CHK was discharged from the hospital on 1 July 2018. He was given pain killers and anti-inflammatory medication and asked to recuperate at home.
He returned to his surgeon for monitoring on 23 July 2018.
A PET scan showed:
- Two hypermetabolic metastatic nodules in the liver.
- No abnormal hypermetabolic foci or metastases elsewhere.


The oncologist suggested the CHK undergo six cycles of chemotherapy with the view of follow up liver surgery. The drugs to be used are: Erbitux and Folfiri regimen (consisting of Leucovorin + 5-FU and irinotecan). Each cycle of chemo cost RM15,000.
CHK’s son-in-law, Jack (not his real name) brought him to Singapore for more opinions. Unfortunately the story is the same — revolving around chemotherapy and surgery.
On 26 July 2018, I received an email from Jack.
Dear Professor Chris,
My father-in-law, aged 60 was diagnosed with stage 4 colon cancer and liver metastasis in June 2018. He had undergo a surgical procedure to remove the affected colon part on 26th June 2018 and is now recuperating at home.
On 23rd July 2018 he did a PET scan. The result confirmed the cancer had spread to his liver.
We also did a few genome testing on the tumor for potential immunotherapy. The result were negative for the “smart bomb” approach.
Like most of other patient, we were told to go for chemotherapy treatment with the goal that the lesions in liver will shrink and ready for another surgical removal. I do have strong concerns about the chemo treatment especially with liver cirrhosis condition. At the same time, oncologist couldn’t give me answers about taking care of the immune systems and complications during chemo treatment.
Before we make any decision on the next treatment options, we would like to pay you a visit next week. I would love to get your precious input about body healing itself. We clearly understand there is no magic bullet from you and we wish to know more about how to cope and “live” with cancer management.
Please find the attached of first time visit form. We will sign the disclaimer form when we visit you at CA Care center. I’ve also prepared a copy of medical history for CA Care center and will bring it along as well.
I look forward to hear from you.
Jack, his wife and his father-in-law came to our centre in early August 2018. Let me share with you what I have said that morning. This certainly apply to all patients who want to come and see us. May be you can learn something from this case.
- At CA Care we don’t play god. We do not promise you a cure.
We also don’t want to mislead you into believing that we have a magic bullet for your cancer. We can only do our best to help you if you want to help yourself. Unfortunately, most patients (I say again, MOST) who come to us, are searching for a cure! Some want healing on their own terms without wanting to help themselves. There is no point taking our herbs if you insist on picking only what you want to do.
Most of the time too, if I find that the patients are not up to the “mark”, I would suggest that they go home and think about it first. I also ask them to go home and pray to ask for guidance.
When I received the above email from Jack, my instinct tells me that CHK is going to be a “good” patient. Jack reads and he knows what he wants for his father-in-law. He is not looking for a cure because he knows there is NO cure. What he wants is for his father-in-law to be able to live a life without any suffering — can eat, can sleep, can more around and there is no pain. What else do you want? But we do have patients who are not satisfied with that. They want to be cured!
- Before you undergo any treatment, ask, if surgery or chemotherapy / radiotherapy, is going to cure you?
See what the answer is. Then go to the internet and check what the ordinary folks have got to say after receiving such treatments.
In this case, CHK started off with an operation of his appendix only to be told that there was something in his colon and liver. How could that be? Why the “rush” to do the appendectomy? Did the doctor not give the patient a thorough check? Apparently he did but sorely missed the target.
On the morning of 13 May 2018, before the surgery, an ultrasound of the abdomen was done. The result said:
- No focal liver lesion. Kidney, pancreas, gallbladder are all normal.
How reliable is the ultrasound result then? While performing the operation the surgeon suspected where was a tumour in the colon. And he also saw that the liver was NOT normal.
With metastatic liver cancer, CHK was asked to undergo chemotherapy using Erbitux and Folfiri regimen. A total of six cycles would cost a cool RM90,000. But what good can you expect to get from this expenditure?
Go to the website and read the side effects of the treatment. Then go and “hunt” for data to see if such treatment did ever cure such metastatic cancer.
Jack had probably done his homework before he came to CA Care. All patient should do the same!
- Go for surgery and get the tumour totally removed.
Generally this is my advice to all patients if you have cancer of the breast, colon, stomach, sarcoma, etc. If you don’t want to remove it, I would tell you not to come and see me. Our herbs cannot make your tumour go away. But if the cancer has already spread to other organs, then surgery may not be as helpful anymore.
However, there are exceptions. Over the years, I have seen that surgery can do more harm than good if you have cancer of the brain, liver, lung and pancreas. If you have any of these cancer, I would not push you to go for surgery.
I would want you to ponder carefully what you want to do. Perhaps there are time when you need to learn how to live with your cancer rather than trying to chase the non-existent cure.

- Learning to live with your cancer.
For CHK, whatever he does, we all agree that his metastatic cancer cannot be cured. Well, the mantra is: Go for chemo so that the cancer does not spread more, or Do chemo to prolong life, or Do chemo to enhance quality of life. If you have been following what I have been writing in this blog, you will know that such statements have to be taken with a heavy pinch of salt. They may not make sense.
So when CHK came to us, my first point is that we cannot cure his cancer. But we may be able to help him live a good life. There is no obsession of wanting to kill the cancer cells or going to war with cancer. Learn from your TV that no one wins in a war — see what is happening to Middle East today or Vietnam some years ago! But Americans never learn their mistakes. The same can be said about cancer. Fight and declare war on your cancer — the patient may just die sooner.

For cancer patients, it is better to learn how to live with the cancer. Take care of your diet. Lead a stress-free life. Turn to your god for guidance and comfort.
Yes, doctors say eat what you like, food has nothing to do with your cancer. I say, no! Eat what you like and you die sooner. I have seen many patients suffer recurrence after taking bad food.
So, what is happening to CHK after he decided to follow our therapy? The following are the e-mail exchanges we had over the past months.
After one week
Yesterday marks the first week of my father in-law on herbs. I just want to provide a quick update here. Generally, he is doing well with exception to the following:
- Occasionally mild dizziness.
- Pinch pain on big toe when pressure applied. (e.g walking)
- Slightly more tired. Taking more nap in afternoon as compare to previous weeks.
- Increased of bowel movement (2-3 times/day). Dark stools similar to color of the boiled herbs.
After two weeks
Yesterday, we completed two weeks of the treatment. My father in law continue to do well and coping better with new lifestyle.
His previous symptoms now reduced to:
- Increase bowel movement (2-3 times). Sometimes loose bowel.
- Occasionally mild giddiness.
After three weeks
It’s already three weeks he is on herbs. He continue to do well. All the previous symptoms seems to go away. The only concern now is he continue losing weight despite eating well.
Reply: Did I give you SuperP (protein). That will make him better. Just take it as food once or twice a day.
Professor, we manage to take the result from PATH LAB today. The numbers on tumor markers were worrisome. The latest result shows the CEA spike to 11 from previous 5.5 while CA 19.9 increases to 55.2 from previous 19.
Reply: The results are not good. If the numbers double after one month — no good.
Professor, my father in law is doing fine overall with exception of the numbness and cramp pain issue which I shared with you previously. His cramp pain now “move” from the right side (where surgery was done) and occasionally towards the left. It’s like Chinese saying “wind pain” if you know what I meant.
It is not very painful type and it does happen intermittently especially when he goes jogging. However, it is getting more frequent as day pass.
The surgeon we went back for follow up, described this will prolong for some months and he is fine as long as he doesn’t vomit or passing blood in stools.
We intend to bring him for colonoscopy to find out reason of the abdominal pain but this procedure will give him sedative. Do you foresee any issue on this? Can you share with me your thoughts & experiences with other colon cancer patients on this one?
Other than the above symptom, he is doing fairly well with his routine even though the tumor marker increased in the previous blood test. He sleep well, eat well and go out meet with friends by himself. Bowel movement is good too.
Reply: OK. If pain moves from one spot to another that may be due to wind. That is easy. I have herbs for that.
You can try Stomach Function tea — need to boil like other teas or take Gastrovit — no need to boil.
Professor, I want to share the latest blood test result that we did last week. Again, he failed the blood test. CEA continues to increase from previous 11.1 to 18.9 while CA 19.9 increases from previous 55.2 to 84.6.
Physically, my father-in-law is doing well. No pain, good appetite, sleep well and jogging almost every morning. Just like normal person. He still lose weight but at very slow pace. Overall he look good without looking at the medical record.
We are under impression that his healing might be slower since healing take time. Sometime we have to get worse before we get better. Are we the only odd one that have this kind of result? I look forward to your experience on this.
On a side note, we have amazing experience with e-therapy. I was having flu and I manage to recover in three days just using the machine alone. My father in law tried the program 72 – Stomach Function for three days and he can feel the wind pain is almost gone.
Reply: No, I don’t think so. The fact that CEA and CA19.9 increase significantly over so short period of time means something is not right.
This is not good at all. I must say I am disappointed. May be there is still something inside. Yes, once a while I do get such case.
Do you think you want to see the doctor? May be a PET scan can show what is not right. But then after that it may mean chemo.
I have given him all the herbs that I have. There is NOTHING more that I can give to solve the rising tumour markers.
CHK is doing okay BUT his CEA and CA19.9 markers are rising. Something is not right somewhere. As I have written to Jack, I really don’t have anything else to give his father-in-law to address that problem. May be we just have to learn to live with it. Accept that reality. A rising marker level is not good sign but a high maker level in itself is not going to kill him yet.
No, some of you may want to argue that to stop the CEA and CA19.9 from rising, CHK should go for chemo! Yes, that may be true. You can achieve “temporary happiness” for a while. But I have seen cases after cases of tumour marker levels shooting up high again after an initial decrease with chemotherapy.
My final advice.
Do your homework well. Don’t just simply believe everything that you are told. Make sure that you know the truth. Don’t be impressed just because someone is said to be an expert.
Lay out all your options and make your own informed decision. Remember, you are the one who has to suffer the consequences of your action, not the so called expert.
Over the years, I have come to sense that the “cancer world” is a rotten world. It is good to be aware of it. Read these articles below to get an idea of what I am talking about.
You must be logged in to post a comment.