It was a good death
InĀ late April 2022, I received a message from my “adopted brother”. He was admitted to the government hospital and was down with cancer.

He was a smoker but had stopped smoking some two years ago!
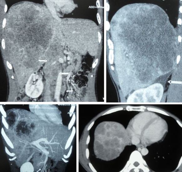
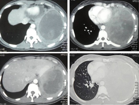
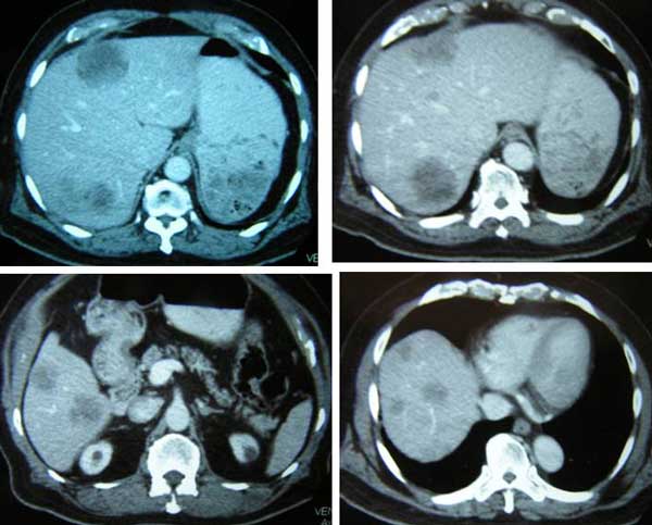
I had a chance to talk to his doctor who told me my brother had anaplastic thyroid cancer. In addition, there were extensive metastases in his lungs and liver. Without doubt – by just looking at the CT scan images (below) – I knew that his days were numbered. No treatment would be able to save him.

The following are records of our conversation during the last few days before he died. I hope you can learn some lessons from this.
Chris: The doctors said they want to do biopsy for the lung and liver to confirm if it is cancer or not. NO, I would not do that if possible. That is why I say I need to see the CT pictures.
Brother: 3:39 pm, 22/04/2022]: Ok. I will try my best.
B: 4:20 pm, 23/04/2022]: Hi Ko Dam. Tomorrow they are going to extract some samples from the swelling near the base of my throat.
C: Your lung is bad — yes– I expect that because of the long smoking. I have all the herbs for lung, lymph, liver and thyroid.
B: 11:50 am, 24/04/2022: Sorry reply a bit late. They are taking blood samples from me. Thank you so much Ko Dam.
C: Now, the question is what treatment the doctors are going to give you? Generally it is chemotherapy – 6 x and then radiotherapy. For the thyroid it is radio-iodine to drink. This is okay… you don’t dink every day. For chemotherapy,,ask the doctor can cure or not? For radiotherapy — ask, can cure or not? Also with chemo and radiotherapy — you suffer from the effects of treatment or not? I would not do chemo or radiotherapy (radioiodine for the thyroid — ok). BUT I cannot say you must follow me.You have to decide what you want to do. Of course I have herbs for your lung and liver …no problem .. I shall help you with that.
B: They did not say anything yet. Just now they took samples from my throat. I will follow your advice completely.
C: Can you breathe okay now — without oxygen?
B: When I go to the toilet I feel ok.
C: Listen to what the doctor want you to do. Ask questions and then don’t commit to anything yet. Say you need time to discuss with your family first and to prepare. No need to rush. My main concern is your breathing now.
B: 24/04/2022: Ok.
C: When are they going to let you out of the hospital?
B: 24/04/2022: Don’t know yet.
C: How are you now? Breathing still need oxygen?
B: 7:27 pm, 24/04/2022: They still insist that I use the oxygen.
C: Okay, but without oxygen — are you ok?
B: 7:34 pm, 24/04/2022: If I walk around more I do feel a bit tired.
C: I am going to send you many herbs …bitter, not good taste …can take or not. Then must take care of diet – no meat, fried food, hawker food, etc.
B: 8:06 pm, 24/04/2022: Have to take. No problem.
C: let me know as soon as you know what doctors want you to do.
B: 8:07 pm, 24/04/2022: Ok. Will do.
B: 10:16 am, 28/04/2022: This is the report for the samples they obtained from the thyroid the other day. They will send the surgical team to talk to me later.
C: Okay, just listen but tell them you need to seek second opinion or advice from family members before doing anything.
B: 10:48 am, 28/04/2022: Ok.
C: I sent out the herbs already and I hope by Saturday it should get to you. Attached is the instruction on how to use the herbs. I sent the herbs for one month first, see how you react to the herbs. Then I shall send again if everything is okay.
(Note: the herbs here delayed due to the Raya holidays and arrived a day after he died)
B: 0:05 pm, 28/04/2022: Ok. Tqvm Ko Dam.
B:0:19 pm, 29/04/2022: Hi Ko Dam. Going to be discharged today. In the process of doing the paperwork.
C: 0:21 pm, 29/04/2022: What did the doctor say?
B: 0:23 pm, 29/04/2022: He gives a discharge cause I have no money.
C: What do you mean? Why, staying in GH also have to pay?
B: 0:39 pm, 29/04/2022: They asked me if I have any savings to the tune of RM10,000. I said I don’t have the money. Maybe this is for the operation and chemo. I can breathe ok.
C: Now what is important is your breathing – can you breathe okay? Your lung is not good. Make sure you can breathe … if cannot you need to use oxygen.
B: 6:52 pm, 29/04/2022: Ko Dam arrived home safely now.
B: 3:13 pm, 03/05/2022: Less coughing. But still weaÄ· due to low oxygen.
C: My concern is your breathing … low oxygen … can you get oxygen from somewhere?
B: 3:17 pm, 03/05/2022: Now I use portable oxygen. Tomorrow rent the permanent one. We rent from the pharmacy.
C: How are you today? Is your breathing okay?
B: 0:04 pm, 05/05/2022: Okay thank you. I’m on the oxygen machine.
C: Do you need to use the machine all the time of the day?
B: 0:28 pm, 05/05/2022: Yes.
C: Who is going to cook the herbs for you?
B: 0:29 pm, 05/05/2022: Wife.
C: She is working from 10 am to 10 pm?
B: 0:32 pm, 05/05/2022: Stop working until I get better.
C: Without oxygen — you cannot breathe?
B: 7:23 pm, 05/05/2022: Yes.
C: So 24 hours must use oxygen?
B: 7:24 pm, 05/05/202: Yes
Daughter: 1:31 am, 06/05/2022 Hi Ku Dam . I’m Alicia. My father just passed away.
A Good Death – The Ultimate Healing
My attempt to try and “save” my adopted brother failed. He did not have the chance to even “receive” the full range of herbs that I sent him.
To be honest, deep down in my heart, I knew well in advance that this would be the ultimate result – death. And this is case it was a good death. And I am grateful for this.
Death is one thing in life which is beyond our control. It has always been my wish that when the time for me to die, let me go Lord in peace, without suffering. That is also what I ask for.
The doctor sent my brother home because he could not cough out RM10,000. I am glad that my brother declined further medical intervention. If he had RM10K, he might just ended up dead on the operation table – who knows? Or even if the operation is a success, can he be cured? NO way. He might end up suffering.
This suffering is not confined to the sick. It affects his wife and daughter as well. It ends up everyone having to suffer. Is it worth it?
You might say I am very pessimistic. You do not provide hope. I understand. But I am also realistic. In my brother’s case he had anaplastic thyroid cancer. In my 27 years of caring for cancer patients I have seen NO more than half a dozen of such cases. This is what the internet says:
Anaplastic thyroid carcinoma, also known as undifferentiated thyroid carcinoma, is a rare, highly aggressive malignant tumor accounting for 2 to 3 percent of all thyroid gland neoplasms. Anaplastic thyroid carcinoma continues to be one of the most deadly diseases worldwide and carries a very poor prognosis.
On top of this aggressive, rare cancer he also had metastases in his lung and liver. His metastasis was very serious indeed. There is no way anyone can pretend to be a “hero” trying to save him. Added to that was the metastasis to the liver. I was not able to know how extensive it was because I was not able to see the CT scan of his liver.
So again, I am being realistic. But that does not mean that I give up on him and leave him to die. Don’t get me wrong – what we can do is to make his life better. I know that our herbs may be able to do that. So, I sent him a boxful of herbs but the transit was delayed due to the festive season. My brother died.
No, life is not cheap. It is precious but what is the use of living if you are just a “vegetable”?
No question about it, my brother’s sudden death is very “hurtful” for those around him. It was a great loss for his wife and only daughter. Let us grieve for the loss of our loved one. But, I believe, we need to be realistic and accept the fact that it is better for him to go rather than drag on with his suffering.
About a week ago I received an email from someone in Penang. The writer wanted to bring her 65-year-old mother for surgery or/and chemo, in spite of extensive cancer in her live. There was also cancer in her bones.
This was my reply:
I have seen thousands of cases – where chemo had failed them miserably. Then they come to see me for help! Your mom’s case is way too advanced — nothing can cure her. So learn to live with it and not fight it. If you fight you die faster ending up miserable besides finding a big hole in your bank account.
But it is up to you. Some people don’t believe in herbs but some do. Some people believe that the doctors know best. Well, it is all yours to decide.
My final comment – No one on earth can cure such serious cancer. So if you have to die, better die in peace without any suffering. If you fight it will be like Iraq or Ukraine …. bomb, bomb, bomb. Who win?
The writer replied:
I understand that my mother’s sickness could not be cured. But we are hoping the best that at least she can have a better quality life then just waiting to die with it. Is it possible to remove the tumour and eat herbs to maintain/control the cancer? I’m not a doctor. This is just my guessing.
You may not agree with my take. That’s okay. If you wish to fight a war, go ahead.
To me, there is no better death than to be able to smile, fold my arms together and go in peace! There is no need for anyone to display any “heroic” act in trying to save me. Let’s be realistic.






































You must be logged in to post a comment.