Chai is a 64 year-old-Malaysian. He was diagnosed with Hepatitis B since the past twenty over years. He had no symptoms. The doctor prescribed him Tenorfovir (viral load well suppressed).
A check up in June 2015 showed elevated liver function enzymes – AST = 111, ALT = 169.
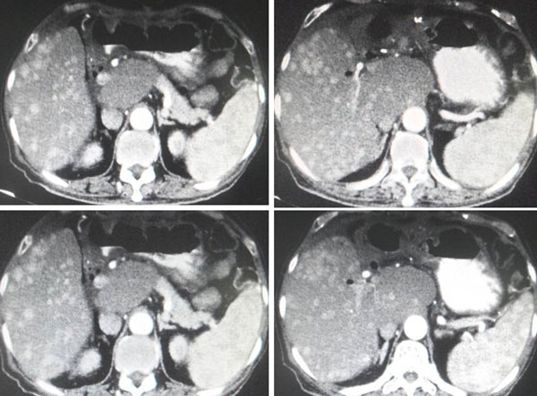
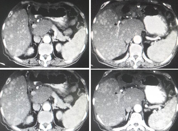
A CT scan showed:
- The liver is normal in size but coarse echotexture and irregular border.
- A hyperechoic lesion but no obvious intralesional. Vascularity note at left lobe of the liver measures 0.8 x 0.9 x 1 cm.
Impression: Features suggestive of liver parenchyma disease with hyperechoic lesion left lobe of liver likely menangioma.
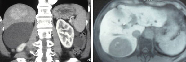
A triphasic CT scan of liver done in July 2015 confirmed:
- Irregular liver surface. Hypodense lesions are seen at both liver lobes, the largest is at segment 7 measures 1.2 cm. These lesions not enhanced in all CT phases.
- Prostate enlarged measuring 4.7 x 5.1 x 4.1 cm.
Impression:
- Liver cirrhosis with no CT evidence of hepatoma.
- Multiple liver cysts.
- Cholelithlasis.
- Prostatomegaly.
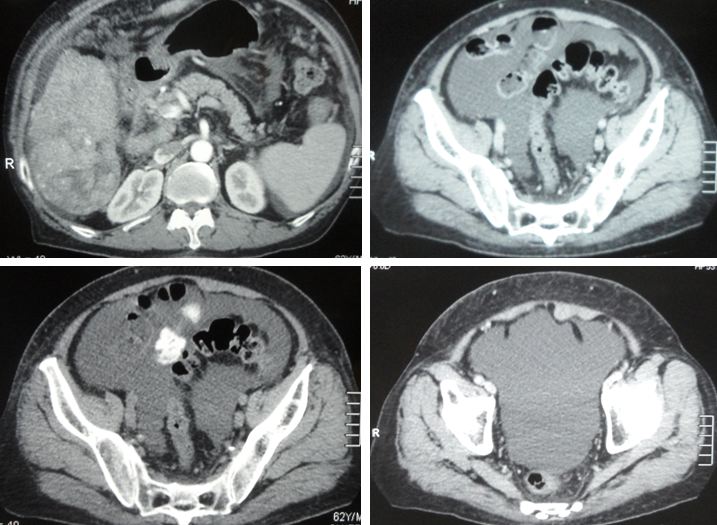
Fast forward to April 2018 – a repeat Triphasic CT scan showed:
- A solitary non-enchancing homogenous isodense liver nodule 3.3 x 3.6 cm. In view of underlying chronic hepatitis carrier, need to exclude atypical hepatocellular carcinoma.
- Associated underlying liver cysts and haemangioma.
On 8 August 2019, Chai was admitted to a government hospital and underwent surgery to removed about 70 percent of his liver. After being discharged from hospital, he was not offered further treatment (like chemotherapy) nor given any medication to take. He was sent home to recover and was told he can go back to his old lifestyle and can eat whatever he likes – no pantang!
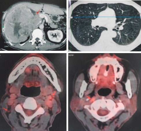
A follow up CT in July 2020 showed:
- Increasing size and number of liver lesions in segment 2 and 3.
- Lung nodules with pleural-based lesions suggestive of lung and pleural metastases.
- Prostatomegaly with chronic bladder obstruction.
Chai was asked to undergo transarterial chemoembolization (TACE) for his recurrent liver cancer. He refused to undergo this treatment and came to seek our help instead.
Chai told us that:
1. The size of the tumour in his liver was about 15 x 18 cm before it was removed by surgery.
2. About 9 months later, the cancer recurred. The tumour in his liver is now about 8 cm in size. The cancer had also spread to his lungs.
3. The liver operation done in the government cost only RM250 (two hundred and fifty ringgit). If he were to go to a private hospital it would have cost him about RM60,000.
Watch this video:
Comments: If there is one lesson we can learn from this case is that if we are diagnosed with Hepatitis, we need to take care of our problem. Just because there is no symptom , it does not mean we can live like there is no tomorrow. One day this hepatitis may develop into liver cirrhosis or/and liver cancer as in the case of Chai.
When Chai first came to see us, he looked alright (from the outside) and we highlighted the following points:
1. Surgery cannot cure liver cancer. Unlike in cases of breast or colon cancer, would not “push” or recommend patients to undergo surgery for liver cancer. We have seen many cases of failures. In the case of Chai the tumour recurred about nine months after surgery. He was back to square one. The doctor suggested TACE. But Chai’s cancer had already spread to his lungs. What can TACE do for his lungs?
His tumour in his liver is about 15 x 18 cm in size. That is huge and because of that 70 percent of the liver had to be removed. In such a situation, the chances of recurrence is very high – almost a certainty. If the tumour is small – below 3 cm, maybe surgery is a good bet.
Cancer Recurred After Liver Surgery: The same story again and again!
Cancer Recurred After Liver Surgery: The same story again and again!
Liver Cancer: 3 cm Tumour OUT, 8 cm Tumour IN After 9 Months and S$28,000-Surgery
Liver Cancer: 3 cm Tumour OUT, 8 cm Tumour IN After 9 Months and S$28,000-Surgery
2. Chai has to take care of his diet – no meat, no sugar and no oil / oily, fried food. No one has ever told him to “pantang” or take care of diet. So after the surgery, he was back to his old life style and ate whatever he wanterd.
3. Chai has to face reality. There is no cure for cancer. So don’t be misled or “fooled” by people who claim that their “therapy” can cure cancer. There is no magic – and CA Care has no magic potion either. So why take our herbs then? Our experience showed that herbs do help – perhaps to make life a little better or to even prolong life.
Liver Cancer: Two months to live yet still fine after one and a half years!
8 cm Liver Tumour Shrunk After 8 Months On Herbs. Still Alive and Well After 2 Years
8 cm Liver Tumour Shrunk After 8 Months On Herbs. Still Alive and Well After 2 Years
Liver Cancer: You are still around? It’s a miracle
4. Be grateful. We would like to remind all patients – if you can eat, can sleep, have no pain and can move around – learn to be grateful for what you are. Nobody can do anything to make you better than that.
5. Learn to take care of yourself. To win or to lose depends on you – the patient. Others around you can only help but they cannot cure you! Learn to eat healthy. We have written two books on this subject – Food & Cancer and Healthy Cooking. It is up to you to read and learn to make yourself healthy.
Besides healthy food, learn to lead a stress-free and contented life.
6. Going for TACE? The doctor suggested Chai undergo TACE – that’s the only option there is. We have made it clear to Chai that he has to make his own decision with regards to TACE. We cannot tell him to go or not to go for the treatment. Chai understood the situation he is in and understood our message.
7. Herbs are bitter and the smell is awful (to most people). You need to boil them as tea – so it is a chore that you have to deal with.
8. Chai may have to suffer “healing crisis” initially before he can get well. In the first two herbs after taking the herbs, he may have diarrhoea, feel tired, etc. That is okay – continue taking the herbs. After a month – ask this question: Am I getting better? Our advice – if you feel better, then continue taking the herbs. But if after a month on the herbs, your condition does not improve or gets worse, then stop taking the herbs.
9. Finally, we ask Chai and his son: What do you want to do now? Are you prepared to go through the “challenge” outline above? Without hesitation Chai replied: I want to take your herbs. Chai did not want to go for TACE.
















































You must be logged in to post a comment.