KP is a 56-yer-old man. His problems started about 4 years ago, in 2013, when he had coughs and often vomited blood. He was subsequently diagnosed with cancer of the larynx and underwent 12 sessions of radiotherapy and 7 cycles of chemotherapy. This was done at a government hospital.
He was okay after the treatments.
In 2017, i.e. barely 4 years later, KP had difficulty eating. Whatever he ate, he vomited it out. HIs stomach felt uncomfortable. He felt very tired.
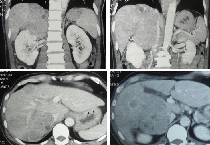
A CT scan done in a private hospital in July 2017, showed the following:
- Multiple masses in both liver lobes. The largest is about 7.5 x 8.6 x 14 cm.
- The mass compressed the inferior vena cava and the right adrenal.
- Right vocal cord paralysis.
- Mild ascites.
- Abdominal paraorta and aortocaval adeonopathy.
The doctor told KP that nothing more could be done. He was asked to go home — without any medication, and wait to die.
Listen to what his daughter told us this morning.
Part 1: Go home and wait to die
Part 2: Doctor has given up. Anything CA Care can do for him?
Comments
- Doctors can treat cancers, but they CANNOT cure them, even with their so-called scientifically proven magic bullets — surgery, chemotherapy and radiotherapy.
- Doctors know how to treat patients but they don’t know how to make patients healthy.
- Sometimes, doctors play god, which often may make the patients much worse off after the consultation. Perhaps it would be much better if doctors don’t say anything at all.





You must be logged in to post a comment.