The Cold Hard Facts About the US Cancer Program: Misguided and Ineffective

Townsend Letter, the Examiner of Alternative Medicine, is a magazine published in Washington, USA. It is written by researchers, health practitioners and patients. Its editorial staff is headed by Jonathan Collin, a medical doctor. The aim of this magazine is to provide a forum for discussion on the pros and cons of alternative medicine.

In October 2010 and August /September 2011 issues of The Townsend Letter are two interesting articles, The US Cancer Program and Specific Types of Cancer, 1975–2007: A Failure (Part 1 and 2) by Anthony D. Apostolides, PhD, and Ipatia K. Apostolides, BA.

Dr. Anthony D. Apostolides is a researcher and teacher of health-care economics. He received a doctoral degree in economics from the University of Oxford, UK, and a master’s degree from the University of Pittsburgh.

Ipatia K. Apostolides has more than 15 years of experience in the cancer field (Cleveland Clinic Foundation, and Children’s Hospital, Cincinnati). She has a bachelor’s degree in biology from Case Western Reserve University.

You can read their papers by clicking this link:  Part 2:  http://www.townsendletter.com/Oct2010/cancerprogram1010.html

and Part 1:  http://www.townsendletter.com/AugSept2011/uscancer0811.html#.Tmh2rd1WYAs.email

  1. The authors examined cancer statistics over a span of 32 years, from 1975 to 2007. Studying data over a long-term period like this provides a more accurate and reliable evaluation. The authors wrote:  “Public announcements are typically made by government agencies and presented in the news media, by using cancer statistics that cover only a short period – for example, 2 to 3 years. In such cases, the public can easily be misled, since a short time period conceals the more comprehensive, long-term picture of the disease.”
  2. The data they used for their studies are from SEER-9 (Surveillance Epidemiology and End Results). Cancer statistics review 1975–2007 [online document]. Available at: www.seer.cancer.gov/statistics.
  3. With regard to assessing the treatment … the criteria used were the mortality rate and the numbers of Americans who died from a cancer.
  • A constant or increasing mortality rate of a cancer over time, along with increased number of deaths, indicates a failure … in the treatment of that cancer.
  • If the mortality rate declines over time but the number of deaths increases, then the program for the treatment side is shown to be a failure.
  • If the mortality rate declines over time and the number of deaths decline, this indicates success in the treatment of a cancer.

Here are some of the cold, hard facts about cancer today.

  1. Lifetime Probability of Americans Getting Cancer
  • During 1975 to 1977 – probably of male was 33%, i.e., 1 in 3 males would get cancer.
  • During 1990 to 1992, the probably for male climbed to a shocking 46% to 50%, almost 1 out of 2.
  • During 1975 to 1977 – probably of a woman was 34%.
  • During 1990 to 1992, the probably for a woman climbed to 42%, very close to 1 out of 2.

          2. Mortality or Death due to Cancer

  • From 1975 to 2000 – more Americans per 100,000 died from cancer than in 1975.
  • More died from cancer in 2006 than in 1975.
  • The number of Americans who died of cancer in the 1990s and 2000s translates into 63 deaths every hour of the day, or 1 every minute of each hour.

           3.       The US Cancer Program: Misguided and Ineffective

Cancer death or mortality relates to the effectiveness or ineffectiveness of treatments. An increasing mortality rate shows lack of effectiveness of the cancer treatment.

  • Death rate increased from 1975to 2000. It did not decrease nor did it even stay the same as in 1975.
  • From 2000 to 2006 death rate was virtually zero decrease.
  • For every year following 1975, the number of Americans dying from cancer rose annually until 2000. If the cancer treatment program of the US had been successful, there would have been declines in the cancer mortality rate after 1975 instead of increases. This indicates an inefficiency in the treatment of cancer patients.
  • From 2000 to 2006 death rate may well have been affected by the increasing use of alternative or integrative treatments for cancer. People have increasingly become discouraged with and weary of traditional cancer treatments (chemotherapy, etc.), and more would have chosen to use either an integrative approach (combining an alternative approach with conventional treatment) or solely alternative treatments.

The authors wrote:

  • The American people have been paying too high a price – with their lives – for a misguided and ineffective cancer program.
  • In a proper framework of providing treatment, cancer patients would be given the choice of approach to pursue – based on currently available information. They could then choose and accept their preferred method of treatment. There could be at least three choices: (1) conventional approaches (surgery, etc.); (2) integrative approaches; and (3) alternative approaches.
  • It is a sad and incredible fact that presently Americans do not have such a freedom of choice in cancer treatment.
  • The NCI (National Cancer Institute) should be radically revamped, to include much more work on alternative treatments for cancer. This is unlikely to happen with the current structure of the NCI. There are many vested interests there in maintaining the status quo, and a substantial change in its program would indicate acceptance of the fact that its treatment programs did not work.
  •  It seems unthinkable that the US, which professes to champion freedom around the world, does not offer that same freedom to its people in their choice of cancer treatment. That is the mark of a totalitarian regime.
  • Consequently, the last hope of a change in cancer prevention and treatment remains on the shoulders of the American people. They need to be informed and convinced of the need for change. Then, they need to organize and act, at the political level, to transform the cancer program.

The authors, Dr Anthony  and Ipatia Apostolides are not alone in calling for a radical change in the way we handle cancer today. Over the past years, many other brave souls have spoken up but unfortunately nothing had changed or are going to change!

Other Experts Echoed A Similar Message

  1. In the prestigious New England Journal of Medicine (8 May 1986; 314:1226-1232) Harvard professors, John Bailar III and Elaine Smith, wrote an article, Progress against cancer? The authors assessed the overall progress against cancer during the years 1950 to 1982 and concluded that there is “no evidence that some 35 years of intense and growing efforts to improve the treatment of cancer have had much overall effect on the most fundamental measure of clinical outcome—death… We are losing the war against cancer”.
  2. In Fortune Magazine, 22 March 2004, Clifton Leaf, the Executive Editor of the magazine and also a survivor of Hodgkin’s disease, wrote an article, Why We’re Losing The War On Cancer [And How To Win It] [Avastin, Erbitux, Gleevec … The new wonder drugs might make you think we’re finally beating this dreaded scourge. We’re not. Here’s how to turn the fight around.] http://money.cnn.com/magazines/fortune/fortune_archive/2004/03/22/365076/index.htm The author asked, “Why have we made so little progress in the War on Cancer? The question may come as a shock to anyone … we are far from winning the war. So far away, in fact, that it looks like losing… Just count the bodies on the battlefield. In 2004, cancer will claim some 563,700 of your family, friends, co-workers, and countrymen. More Americans will die of cancer in the next 14 months than have perished in every war the nation has ever fought … combined. Even as research and treatment efforts have intensified over the past three decades and funding has soared dramatically, the annual death toll has risen 73%”.
  3. Dr. Guy Faguet received his M.D. degree in Bogota, Colombia. He pursued postgraduate studies in Internal Medicine at the University of Texas, and in Hematology/Oncology at Ohio State University, leading to an academic career at the Medical College of Georgia. He has published more than 140 peer-reviewed articles. In his book, The War on Cancer – an anatomy of failure and a blueprint for the future, Dr. Faquet wrote, “The message of this book is that, contrary to recurrent announcements of breakthroughs in the War on Cancer designated to influence policy makers and impress the public, little progress has been made in the treatment of cancer since the enactment of the National Cancer Act of 1971.  An objective analysis of cancer chemotherapy outcomes over the last three decades reveals that, despite vast human and financial expenditures, the cell-killing paradigm has failed to achieve its objective … and the conquest of cancer remains a distant and elusive goal … the three crucial measures of progress in the War on Cancer, cure rates, prolongation of survival, and quality of life, remain stagnant despite enactment of the National Cancer Act of 1971″.

Kidney-Lung-Brain Cancer: Sutent = Heart Damage

MF (H614) is a 49-year old male.  He and his family came to seek our help on 27 May 2011. Watch this video and listen to his story.

 

 

Gist of our conversation.

  • MF was diagnosed with kidney cancer in June 2004. As a result his left kidney was removed. This operation cost him RM 8,000. After the operation MF was told that everything would be alright since the cancer had been removed. He was told not to worry and could go back to his normal life again. After all, the cancer has been cured.
  • It was not to be.  Three years later, June 2007, the cancer had spread to his lungs. MF received 10 times of radiation treatments. Then he was told that there was no further treatment.
  • MF turned to herbs. He received fresh herbs from a farm in Johor. He took the herbs for almost one a half years. According to MF, his lung cancer did not improve, but he did not get worse either.
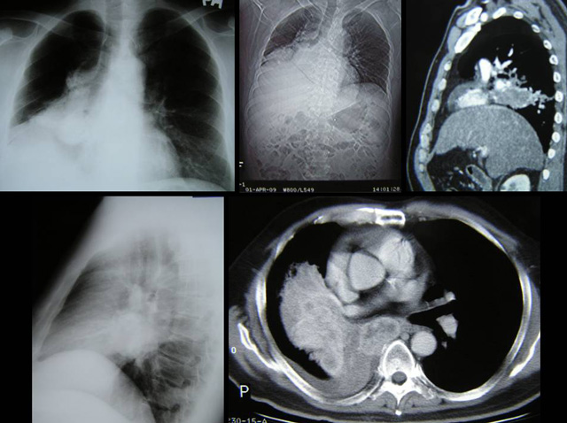
  • But a CT scan done on 1 April 2009 showed the mass had increased in size from 5 x 5 x 7cm to 4 x 11.5 x 6 cm. The lymph node increased (?) from 2.5 x 4.5 x 6 cm to 3 x 3 x 4 cm. Impression: Features are suggestive of progressive enlargement of the right hilaar mass with lymph nod metastasis. Suspicious right main pulmonary artery thrombosis.
  • MF turned to medical treatment again. In May 2009, he was accepted into a Patent Assistance Program on Sutent offered by a local university hospital. For the first three months on Sutent, MF had to pay a total cost of RM 51,000 for the drug. After that, Sutent was supplied free of charge.
  • A CT scan on 4 September 2009, i.e.,  after about four months on Sutent – showed the right lower lobe is much smaller now …  measures approximately 5 x 4.4 cm.  Impression: Left renal cell carcinoma with lung metastases post nephrectomy and chemotherapy showing good response to chemotherapy as evidenced by significant reduction in size of the lung metastases.
  • MF was on Sutent from May 2009 until March 2011. He took 4 pills a day for 4 weeks followed by 2 weeks of rest. Then the cycle was repeated. He suffered numerous side effects after taking Sutent. Among them are:
  1. swollen and bleeding gum
  2. fingers of skin became thin and peeled off
  3. legs with blisters with fluid. It was painful when he stepped on the floor.
  4. rashes on the body
  5. breathing was slow
  6. coughs with blood clot
  7. skin became yellow like jaundice
  8. his black hairs and eye brow turned white
  9. urine with bubbles
  10. the worse side effect was heart failure – currently on heart medications.

He wrote, “This problem (heart failure) was detected in February 2011. And the doctor advised me to stop Sutent indefinitely. Now, I am looking for an alternative treatment. Hopefully you can help me.”

Update

 

3 June 2011

Dear Dr. Chris,

My father, from Malacca who visited you last Friday (27 May 2011) at Penang was admitted to Melaka General Hospital today. He doesn’t have energy to walk, lost the power to speak and see everything in blur ways. May I know what causes all these? My mother gave him the herbal tea to drink as you told. And he lost his appetite. Thus when the doctor checked his sensitivity, his left side of body is less sensitive than his right side of body. Are these the symptoms of having mild stroke? Hope you can reply me as soon as possible. Thank you.

Reply: I cannot tell you exactly what happen — because I am not there to know what actually was going on … even more so when after all the drugs that he was taking …. he is the one who took Sutent and got the heart attack right?

7 June

Dear Dr.Chris,

My father’s cancer cells from the kidney which spread to the lungs a few years ago, now has spread to his brain. I found this from the doctor after doing the CT scan yesterday. The doctor says that there are many white spots on his brain and he has a high level of calcium. Doctor says that maybe it has spread to the bone too, but unfortunately, they don’t have the machine for the bone scan in Melaka General Hospital. And, my father keeps on complaining about his headache. What should my mother and I do right now?

Reply: I think I have already told you this … from the Kidney it goes to the lungs and from the lungs it goes to the brain. That is the way it goes and Suntent makes things worse. I am in the US now and shall only come home in July. I really don’t know what else to say.

Lessons we can learn from this case

1. Surgery does not cure any cancer. It is a big mistake to think that after a surgery, the cancer is gone. It is most unfortunate that patients are not forewarned of this possibility of recurrence.  Even if you are told that the cancer has all been taken out, please take this with a pinch of salt! The cancer can come back again. And if you are told to go home and eat anything you like, remember that may not be a good advice at all as in this case. Read another story, Kidney Cancer Part 1: Get it removed! …….

2. MF was on herbs for more than a year. He was not getting worse. He said he was not getting better either. For sure, he did not suffer during those months while on herbs. Also he did not have to spend RM 51,000 on the herbs. MF turned to Sutent and he took the drug for over a year. He had to endure all the side effects. Sutent consumption had to be stopped after his heart was damaged. Which is more beneficial – the so called unproven herbs or the so called scientifically proven Sutent? In addition to those side effects, he had to fork out RM 51,000 –  worth it?

3.  After about four months on Sutent, the CT scan showed the lung mass became smaller. The CT scan report reads, “good response to chemotherapy as evidenced by significant reduction in size of the lung metastases”. Unfortunately, reduction in tumour size (although accepted by the US-FDA and medical community as an indicator of effectiveness) is meaningless. After a prolonged consumption of Sutent, in February 2011, MF suffered a heart failure and the doctor advised MF to stop taking Sutent indefinitely. So ended this sad story about Sutent.

4.  Before taking any chemo drugs – this is our advice to all patients. Ask some basic questions first  — such as, Can the drug cure your cancer? What are the side effects of the drugs?  Check with the internet to verify the information provided to you by the doctors.  Be reminded by what Professor Jane Plant said (in Prostate Cancer, page 231), “Much of the advice given to us, even from some government sources, cannot be regarded as reliable, because of the overwhelming influence of vested-interest groups. We must, therefore, rely very much on ourselves and our own efforts to safeguarding our health.”

Below are information obtained from the official website of the Sutent company http://www.sutent.com/

The possible side effects of Sutent are

  1. SUTENT can cause serious liver problems, including death.
  2. SUTENT may cause heart problems, including: heart failure, heart muscle problems (cardiomyopathy) and abnormal heart rhythm changes.
  3. SUTENT may cause high blood pressure
  4. SUTENT may cause bleeding sometimes leading to death. Serious bleeding problem such as painful swollen stomach (abdomen), vomiting blood, black sticky stools and bloody urine
  5. SUTENT may cause hormone problems, including thyroid and adrenal gland problem.
  6. Tiredness that worsens and does not go away
  7. Loss of appetite
  8. Heat intolerance
  9. Feeling nervous or agitated, tremors
  10. Sweating
  11. Nausea or vomiting
  12. Diarrhea
  13. Fast heart rate
  14. Weight gain or weight loss
  15. Feeling depressed
  16. Irregular menstrual periods or no menstrual periods
  17. Headache or change in your mental status.
  18. Hair loss
  19. The medicine in SUTENT is yellow, and it may make your skin look yellow. Your skin and hair may get lighter in color
  20. Weakness
  21. Fever
  22. Gastrointestinal symptoms, including diarrhea, nausea, vomiting, mouth sores, upset stomach, abdominal pain, and constipation.
  23. Rash or other skin changes, including drier, thicker, or cracking skin
  24. Blisters or a rash on the palms of your hands and soles of your feet
  25. Taste changes
  26. Pain or swelling in your arms or legs
  27. Cough
  28. Shortness of breath
  29. Bleeding, such as nosebleeds or bleeding from cuts.

Alert … Beware

I accessed this link on 18 September 2011: http://www.druglib.com/adverse-reactions_side-effects/sutent/seriousness_death/

Sutent (Sunitinib) – Adverse Event Reports – Death

Cases resulting in death (704). You shall see the entry like this …

Suspect drug(s): Sutent

Possible Sutent side effects / adverse reactions in 52 year old male

Reported by a physician from United States on 2010-03-31

Patient: 52 year old male, weighing 70.0 kg (154.0 pounds)

Reactions: Renal Cancer, White Blood Cell Count Increased, Disease Progression

Adverse event resulted in: death

Suspect drug(s): Sutent

Read more: Sutent for Advance Kidney Cancer https://cancercaremalaysia.com/2011/09/18/sutent-for-advanced-kidney-cancer/

Kidney Cancer Part 2: Two Oncologists Two Different Opinions – Is Sutent indicated in this case? https://cancercaremalaysia.com/2011/09/19/kidney-cancer-part-2-two-oncologists-two-different-opinions-%E2%80%93-is-sutent-indicated-in-this-case/

Read more about Kidney Cancer:  https://cancercaremalaysia.com/category/kidney-cancer/

Kidney Cancer Part 2: Two Oncologists Two Different Opinions – Is Sutent indicated in this case?

LC underwent an operation to remove his right kidney.

Histopathology report dated 19 August 2011 indicated, “Right radical nephrectomy specimen and paracortical node:

  1. Papillary renal cell carcinoma, Stage 3 (pT1b,pN1,pMx).
  2. Paracortical lymph node with tumour metastasis.
  3. The resection margins of ureter and renal vessels are free of tumour.

LC and his family came to CA Care again on 11 September 2011. The following are excerpts of our conversation that evening.

 

 

Sister-in-law:  After the operation, he was referred to the oncologist of the hospital.  So they went to see the oncologist and later went to seek a second opinion of another oncologist.

Chris: What did the first oncologist say?

Wife:  He said, you need to take medication to prevent the cancer from spreading. He needs to take the oral drug, Sutent.

C: How long does he need to take the Sutent?

W: For six months.

C: How much that cost you per month?

W: Approximately RM 13,000 to RM 15,000 – not sure yet.

C: What do you expect to get after taking the drug?

W: The doctor said to control the cancer.

C: Then you went to see another oncologist – what did he say?

W: The second oncologist said there is no need to take any medication. What you need to do is to take care of your body and health. Your diet is also important. Your mind must be relaxed and do not be afraid. Open up your mind. There is no medication to take.

C: Is this person an oncologist?

W: Yes, cancer doctor – an oncologist.

C:Is he really an oncologist?

SIL: He is a new chap. I think he is a new oncologist of the hospital.

W: He is about in his forties.

C: Oh, he will find it hard to earn a living then.

W: He is a very nice person. He advised us to be open minded. You need to have a fighting spirit. You should not be afraid.

C: When you come here, I also tell you the same thing. Did the second oncologist tell you to eat right?

W: Yes, we need to take care of the diet. Don’t eat too much meat.

C: And he told you not to take the oral drug (Sutent)?

W: Yes, yes. And then if you want to take Chinese herbs, it is alright. You can take Chinese herbs.

C: He never gets angry about you taking herbs?

W: No.

C: Oh, so he said you can take Chinese herbs?

W: Yes, since you have no medication to take, and if you believe in the herbalist, go ahead and take his herbs.

C: Did you tell him you wanted to take herbs? And he did not get angry with you?

W: No, the second oncologist agreed with us. But the first oncologist said we cannot take Chinese herbs. But the second oncologist said it is okay to take herbs. But don’t get cheated. If the herbs are not too expensive, go ahead and take them if we have confidence in the herbalist.

C: So, all in all, the second oncologist asked you to take care of yourself, don’t think too much and if you want to take herbs it is okay.

W: He also said we need to exercise.

C: Very good. This oncologist is really a great guy!

SIL: Very good.

Comments

I cannot believe what I have heard! Twice, I asked if the second doctor that they consulted was indeed an oncologist! We salute you doc., for being so open-minded.

Place yourself in LC’s situation. After the operation, he faced a real dilemma. Two different cancer experts provided two divergent opinions. What to do now?  The family came to CA Care for help. Let us get this straight. It is not for us to make decisions for the patient.  Patients need to make their own decisions – because it is you, and you alone, who will have to bear the consequences of that decision.

If you are faced with such a dilemma, we suggest that you ask the following questions and then seek out the answers for yourself. Based on what you learn, make your decision that makes sense to you.

Question 1 to ask yourself:  What is Sutent? What is it used for? Go to Google search.  And you get this: http://www.sutent.com/  This is the official site of the drug company.

Answer: SUTENT is used to treat advanced kidney cancer (advanced renal cell carcinoma or RCC).

Question 2 to ask yourself:  What are the side effects of Sutent?

Answer: You may have side effects or reactions to SUTENT. For many patients, these may be managed. However, some side effects can be serious.

The following are possible side effects

  1. SUTENT can cause serious liver problems, including death.
  2. SUTENT may cause heart problems, including: heart failure, heart muscle problems (cardiomyopathy) and abnormal heart rhythm changes.
  3. SUTENT may cause high blood pressure
  4. SUTENT may cause bleeding sometimes leading to death. Serious bleeding problem such as painful swollen stomach (abdomen), vomiting blood, black sticky stools and bloody urine
  5. SUTENT may cause hormone problems, including thyroid and adrenal gland problem.
  6. Tiredness that worsens and does not go away
  7. Loss of appetite
  8. Heat intolerance
  9. Feeling nervous or agitated, tremors
  10. Sweating
  11. Nausea or vomiting
  12. Diarrhea
  13. Fast heart rate
  14. Weight gain or weight loss
  15. Feeling depressed
  16. Irregular menstrual periods or no menstrual periods
  17. Headache or change in your mental status.
  18. Hair loss
  19. The medicine in SUTENT is yellow, and it may make your skin look yellow. Your skin and hair may get lighter in color
  20. Weakness
  21. Fever
  22. Gastrointestinal symptoms, including diarrhea, nausea, vomiting, mouth sores, upset stomach, abdominal pain, and constipation.
  23. Rash or other skin changes, including drier, thicker, or cracking skin
  24. Blisters or a rash on the palms of your hands and soles of your feet
  25. Taste changes
  26. Pain or swelling in your arms or legs
  27. Cough
  28. Shortness of breath
  29. Bleeding, such as nosebleeds or bleeding from cuts.

Question 3 to ask yourself: If you take Sutent, you run the risk of suffering from the above side effects. Is it worth it? What benefit can you expect from Sutent? Can the drug cure your cancer?

Answer: SUTENT may slow or stop the growth of cancer. It may also help shrink tumors. Take note, it may only. But it may not do what it is supposed to do.

This is one of the research results that were used to justify the use of Sutent for kidney cancer.

Patient and Methods:  Seven hundred fifty treatment-naïve patients with metastatic clear cell RCC were randomly assigned to sunitinib 50 mg orally once daily on a 4 weeks on, 2 weeks off dosing schedule or to IFN-alpha 9 MU subcutaneously thrice weekly.

Results:  Median overall survival was greater in the sunitinib group than in the IFN-alpha group (26.4 v 21.8 months respectively)

Take note of the above research results:

  1. If Sutent was taken, patients survived 26.4 months, if patients took IFN-alpha injections they survived 21.8 months. This means Sutent prolonged survival by only 4.6 months.
  2. To live longer by 4.6 months, you need to spend about RM 15,000 per month. Perhaps for those who can afford to pay, money is not an issue. But for those who are poor, money is a big issue indeed.
  3. Now, if you are still “healthy” – meaning able to eat, sleep, move around and have no pains. Do you think you need to take Sutent? It does not look like you are going to die anytime yet – do you need to survive longer by 4.6 months?
  4. The question which no one can answer is, what happens if you don’t take Sutent at all? Do you die sooner, or do you die later? No research is ever done on that. But based on the possible side effects of Sutent, how sure are we that Sutent really prolong life if compared to no treatment? How sure are we that patients cannot live much longer even without taking Sutent?
  5. Is Sutent a medicine to cure kidney cancer? Nobody is talking about curing kidney cancer. There is no mention of cure at all anywhere in the research report.

Patients, make your own decision. Again, as I have said earlier, whatever you do, make sure that it makes sense to you.

Alert … Beware

I accessed this link on 18 September 2011: http://www.druglib.com/adverse-reactions_side-effects/sutent/seriousness_death/

Sutent (Sunitinib) – Adverse Event Reports – Death

Cases resulting in death (704). You shall see the entry like this …

Possible Sutent side effects / adverse reactions in 40 year old male

Reported by a physician from Turkey on 2010-03-31

Patient: 40 year old male

Reactions: Thrombocytopenia

Adverse event resulted in: death

Suspect drug(s): Sutent

 

Possible Sutent side effects / adverse reactions in 52 year old male

Reported by a physician from United States on 2010-03-31

Patient: 52 year old male, weighing 70.0 kg (154.0 pounds)

Reactions: Renal Cancer, White Blood Cell Count Increased, Disease Progression

Adverse event resulted in: death

Suspect drug(s): Sutent

Read more: Sutent for Advance Kidney Cancer https://cancercaremalaysia.com/2011/09/18/sutent-for-advanced-kidney-cancer/
Lung-Brain Cancer: An Impossible Healing Part 3: Reflection and Confession of a Husband https://cancercaremalaysia.com/2011/09/10/lung-brain-cancer-an-impossible-healing-part-3-reflection-and-confession-of-a-husband/
Read more about Kidney Cancer:  https://cancercaremalaysia.com/category/kidney-cancer/

Kidney Cancer Part 1: Get the tumour removed!

LC is a 50-year-old male. He and his entire family together with a sister-in-law, came to see us on 14 August 2011. His sister –in-law is a nurse. She was a participant of the International Nurses Conference held in Kuala Lumpur a year ago. And I was a speaker at that conference. She wanted me to help her brother-in-law who had a tumour in his right kidney.

An ultrasound done on 8 August 2011 indicated a 1.3 x 1.6 cm cyst at the upper pole of his left kidney and a focal lesion, 4.8 x 4.4 cm at the upper pole of his right kidney. A CT scan done on 11 August 2011 confirmed the presence of a 5.2 x 5.7 x 5 cm solid tumour in the upper pole of his right kidney. There was a 1.5 cm cyst in the upper pole of his left kidney.

Based on the above medical reports, we suggested the following:

  1. The right kidney tumour has to be removed. From our experience no drug or herbs would be able to reverse the situation.
  2. However, before undergoing the operation, it would be wise to do a PET scan first. This is to determine if the cancer has spread to any other parts of the body. If the cancer has spread extensively elsewhere, then surgical removal – although necessary, would not be meaningful. There is now a company which does PET scan at a cheaper price than the hospitals. So go there if money is a concern. (Later: we were told that a PET scan that LC did cost only RM 2,000 against RM 5,000 to RM 6,000 if done in certain hospitals).
  3. LC should be aware that the cancer can spread even if surgery is done successfully. The targets of metastasis are the lungs, liver, bones and brain. Over the years we have patients who came to us with such metastasis after an apparent “successful operation.”  Read our story, Kidney-Lung-Brain Cancer: Sutent = Heart Damange.
  4. After the operation, we suggest that LC change his lifestyle and diet. He can take herbs too if he believes in what we are doing.
  5. LC  and his family agreed to the above suggestions  and would wait for about three more weeks before undergoing the operation. They would not want to do an operation during the Chinese Ghost month!

LC underwent a PET/CT scan after meeting us. The report on 18 August 2011 indicated “a right renal mass as malignant and a small metastatic node is seen situated between the right kidney and L2. No other suspicious lesion is detected”.

Comments

I presented our case studies on Kidney Cancer in my talk at the MMA Monthly Joint Clinical Meeting of doctors from three hospitals – JSH, PSH and HAS –  in Johor Baru on 30 October 2006. Below are three patients who had undergone surgery for their right kidney cancer. The first patient was a 40-year-old female. After about five years the cancer recurred in her liver. A 30-year-old male also had liver recurrence after only two years.

Watch this video. This 53-year-old male had surgery in 1997. After the surgery, the surgeon did not consider mop-up treatment like radiotherapy or chemotherapy necessary. There was no medication to take either. Lee came to know us through our book:  Cancer Yet They Live, which was given to him by a friend. Since then he has been on our therapy. Lee has been doing well – as of 2011, it has been more than 15 years now!

For more details of Lee’s case, click this link: https://cancercaremalaysia.com/2011/09/18/kidney-cancer-a-success-story-fifteen-years-on-herbs-and-doing-great/

NHL-Kidney: Cancer-free after Six Months On the Herbs

Peter is a male, 56 years old. He was diagnosed with renal lymphoma involving both kidneys. The CT-scan on 12 November 1995 showed infiltration of the kidney by diffuse NHL (non-Hodgkin’s Lymphoma), intermediate grade T-immuno type. Three years after chemotherapy, Peter had a relapse. He was then prescribed oral chemo, which made him miserable. Peter came to seek our help in August 1999. Six months later, he was cancer-free.  

Peter shared his story with us in July 2000.

The kidney specialist told me I had to go for a kidney biopsy. First, they did an ultrasound on me. The doctor told me: Mr. Tham, I’m sorry to say that the report has come back, and you are in the third stage of cancer. You have a cancer in both kidneys. I was shocked. I just didn’t know what to say. So I told the doctor: I need a rest. After that I went to a university hospital for a second opinion and the doctors confirmed that it was cancer.

I was put on chemotherapy. It was terrible. I suffered very, very badly. After the first treatment, I didn’t want to go back anymore. I just couldn’t eat and my stools couldn’t come out. I began to worry too much. That was the first chemotherapy. They told me that I had to go for at least six cycles. The drugs used were: cyclophosphamide 500 mg, + epirubicin 100 mg, + vincristine 2 mg, and Prednisone 100 mg (oral).

My life was miserable. I just couldn’t face the facts of life. Cancer meant death. I was really, really down. I prayed to all the gods for peace in my life. But I just couldn’t find one who could give me the peace. Then my daughter said: Why don’t you go to church? My wife agreed. At that time, I couldn’t sleep at night. Every hour I woke her up to be sure that I was still alive. I went to church and the pastor prayed for me. That night I could sleep. I felt brave, knowing that God was with me. I put my faith and trusted in the Living God. Since God gave us life, He also had the right to take it away. Then and only then did I go for chemotherapy, the second, third, fourth, until the sixth time.

The doctors said that I was OK. I had no guidance about food. The doctors told me: You can eat anything you want but they also told me not to touch red meat. I went to two hospitals every three months for check-ups.

In June 1999, the doctor advised me to go for a CT scan (Gallium test). I also went for an ultrasound and two weeks later, a medical check-up. My kidneys were swollen.

The doctor told me that I had cancer again.

The doctors didn’t want to give me liquid chemotherapy, because they found out that my heart was weakened from the first chemotherapy. So they prescribed oral chemotherapy instead.

At first, these drugs were 100 gm cyclophosphamide and 100 gm procarbizide as the first dose. I couldn’t complete the first course of fourteen doses over fourteen days. I felt very weak, and couldn’t eat or sleep properly. I lost weight. My stools were sometimes very soft, sometimes very hard. But all these were not as severe as the first time I underwent chemotherapy, though.

On the 12th day of the course, I collapsed when I was in church. I didn’t realise that my stools had came out. I had loose stools. It was most embarrassing. I was carried out to another room and people prayed for me. I was awakened by those around me, and I was helped home. At home, I collapsed again, twice.

I went to see the Professor at the university hospital again. This time, I couldn’t even walk properly. I had a limp. I think the medicine affected my legs. My stomach was cramped. It was really, very painful. The doctor prescribed a reduced dose, half of the original dose I took earlier. During the second course, I still felt horrible. They seemed to be poisoning me. But, after a while I felt I was getting better, although I still couldn’t eat or sleep well and had no appetite. I continued to take the oral chemo-drugs for 14 days. I was miserable, but at least I didn’t collapse.

I was on the second course for about a week, when I saw the article on herbs in the newspaper. I called the Centre (CA Care in Subang Jaya). That was the turning point for me. When I came, I saw that I was not alone. Why not give it a try? I was doubtful but the article said that there was hope, and I had no choice. I explained my problems to Mr. Yeong and brought my medical records to him.

I was prescribed Capsule A and deTox tea. I continued with the chemotherapy. Within a week, I found that I could eat. I felt hungry. For about two weeks, I farted a lot. It was very, very smelly. My bowel movements progressively improved. The first week I had very bad diarrhoea. I panicked as the stools just gushed out. I wondered if something was wrong. I thought everything was loosening up inside me. I called the Centre and they told me to keep on taking the herbs. So I continued. Gradually, the sweating and the diarrhoea disappeared. I found that I could eat and sleep. That made me feel secure. I found hope. If I couldn’t eat or sleep, it made me miserable. I knew that this improvement was the effect of the herbs. I began to trust the herbs more.

Apart from the herbs and the oral chemotherapy, did you take anything else?

No,nothing else. Only oral chemotherapy and capsule A and the deTox tea. And I felt much better.

How long were you on chemotherapy?

I was on chemotherapy for six cycles.

So let’s recall – you went for the first cycle of fourteen days, then you collapsed. You had the second cycle at a reduced dose for another fourteen days, rested for fourteen days before going on to the third cycle (again for fourteen days), still at the reduced dose. You kept going until your completed six cycles (of fourteen days with the drug and fourteen days of rest).

Yes. When I took the herbs during the chemotherapy, I felt great, and I found that my creatinine readings kept decreasing. After the sixth cycle it was 145. From 280 to 290, it gradually went down to 145.

Did the doctor ask you anything?

The doctor told me that I was improving. I wasn’t sure whether to tell the doctor about the herbs or not. As you know, doctors don’t like you taking herbs. So I didn’t tell her. But I did talk about the herbs with other cancer patients while I was in the waiting room. I don’t know if that got across to the doctor.

After you finished your six cycles of chemotherapy, what happened next?

They gave me an appointment to come back and see them in three to four months’ time. Every three to four months, I was to have a check-up – they check the urine, blood, everything.

The doctor advised me to go for a CT scan … That was done in March 1999 at the university hospital. … When I saw the doctor, she told me: I have very good news for you’re completely healed.  I was stunned!

Medical report from the Nuclear Medicine Unit – UHKL, dated 1 March 2000 indicated that: The repeat Gallium study now shows no Gallium uptake on both kidneys indicating complete healing of NHL of both kidneys. Inference: Complete healing of NHL of both kidneys.

After the report, what did the doctor say?

The doctor reminded me of the previous blood sample that they took in 1996, after I had finished the first course of chemotherapy. They refrigerated it, intending to put it back into me. (This is to do the bone marrow transplant – BMT). The doctor suggested that perhaps I should do the BMT. The doctor told me that it would cost RM20,000 to RM30,000 to do the procedure here, but it would cost over a hundred thousand inAustralia. I might suffer some side effects and might also die during the process of returning my cells to my body.

The first thing I said was: I can’t tell you now (if I would do the BMT or not). I have to discuss it with my family. I thought about it and called the Centre and asked for advice. The answer given to me was: Why must you go through all this? You’re doing well, why must you take the risk? You’ve got the herbs! My family agreed. I told the doctor that I had decided not to go for the BMT.

When was the offer to do the transplant made to you?

After the report was released, after the CT scan, when I was cancer-free.

After you were declared cancer-free, they wanted to perform a bone marrow transplant on you? Why would they want to do something like that?

To prevent a relapse – they said by doing that I could live ten or fifteen years longer. But I thought to myself: Why should I take the risk?

Since March you have been cancer-free. How have you felt these past four months?

I am feeling good. Yes. I go back to see my doctor every three months. I saw the doctor on 7 July 2000. Now, I can drive. Before, I dared not even drive.

Besides driving, what other things do you feel that you are able to do?

I am able to work. I find that I can walk without getting tired, go fishing, reading any books or newspapers without feeling tired in my eyes.

Note: As of this writing, June 2009 – Peter is still doing fine, living a happy, cancer-free life.

Kidney Cancer Metastatised to Lungs After Seven Years

Ray (M578) is a restaurant owner inIndonesia. In December 2007, at the age of 53, he was diagnosed with kidney cancer. He underwent a radical nephrectomy in a hospital in Melaka. It was a grade 2 RCC (renal cell carcinoma) which had invaded the renal capsule.

After the surgery, Ray was well and life was back to normal again.

 

 

Chris: After the operation, no chemo, no nothing? Did the doctor ever ask you to take care of your diet?

Ray: The doctor told me: Eat whatever you like!

About seven years later, August 2007, Ray developed a cough. A CT scan on 17 August 2007 showed 3 lung nodules of size 1 cm to 2.5 cm. One nodule each in left upper lobe and one in anterior segment right lower lobe.

Ray consulted 4 oncologists who differed in their opinions and offered different treatment options.

Onclogist 1: An oncologist in Melaka asked Ray to take Nexavar (sorafenib). This was a new oral drug. Ray declined the medication.

Onclogist 2: Ray’s wife asked Ray to see an oncologist in Subang where a PET/CT scan was done. This oncologist recommended radiotherapy and Ray was subsequently referred to a radiologist who was hesitant to do the treatment mainly because one of the nodules was situated near Ray’s heart.

Onclogist 3: Ray’s friend from London called and suggested that Ray consulted with an oncologist in Kuala Lumpur. This oncologist did not agree that Ray undergo radiotherapy. He suggested that Ray take an oral drug, Sutent (sunitinib). So Ray was started on Sutent in late August 2007 at a dose of 50 mg daily for 4 weeks (to be recycled every 6 weeks).

Within days after taking Sutent, Ray developed severe side effects which he found intolerable. He had diarrhea, his skin turned yellow, his face swelled, he had painful ulceration of his mouth and throat, blunting of taste sensation, hypertension and worse of all severe hand-foot syndrome. His skin peeled off and he could not walk due to severe pains.

Oncologist 4: Not happy with his Sutent treatment, Ray went to see an oncologist in Singapore. This oncologist was surprised to see Ray all yellow. He told Ray that he disagreed with him taking Sutent and then said: In the first instance, I want to be sure that the nodule is cancer. A biopsy was performed which confirmed that it was indeed a lung metastasis. Ray did another PET/CT scan. The results were amazing. The 3 nodules in the lungs had shrunk in size. This Singapore oncologist was lost for words and was not sure what to do next.

Ray decided to go back to Oncologist 3 in Kuala Lumpur for further management. Oncologist 3 told him: You suffered 7 side effects only. According to the drug company’s information, there are 21 side effects. And you “belum apa-apa” (implying that you are not dead yet!). So it is okay. Ray was asked to continue taking Sutent but at a reduced dosage – 37.5 mg or 3 tablets her day instead of 50 mg or 4 tablets per day). However, even at a reduced dosage Ray still suffered and subsequently Ray took only 2 tablets (25 mg) per day. By January 2008, Ray totally stopped taking Sutent because of the intolerable side effects. Even after stopping Sutent, the problems persisted so much so that Ray was unable to stand up and walk. Ray told the oncologist: I am stopping Sutent, I might die because of the drug and not because of the cancer.

A PET/Scan was performed in June 2008. The tumours had since grown back to their original sizes. The oncologist suggested a new oral drug, Afinitor (everolimus) which has yet to be approved for use by the Malaysian Government. This drug cost RM 1,000 per tablet, meaning a month’s supply costs RM30,000 (as opposed to Sutent which costs RM 18,000 per month).

Ray suffered similar side effects from taking Afinitor – ulcerations of his mouth and itchiness of his head, etc.

Realizing that his father was not going anywhere with these doctors, Ray’s son surfed the net and found CA Care. Ray decided not to take any more of his doctor’s medication and came to seek our help on 29 May 2009.

Comments

There are some lessons we can learn from this story.

  1. Medicine is supposed to be scientific and based on solid proof. In this case, where is the proof? Ray consulted 4 oncologists and each gave their own expert opinions. Dr. Robert Weinberg had rightly said: At present, the choice of drugs to be used … is inspired by … intuition or poorly informed guesses. Note again what he said –  based on poorly informed guesses. Perhaps Voltaire was not far wrong when he said: Doctors are men who prescribe medicines of which they know little,   to cure diseases of which they know less, in human beings of whom they know nothing.

Oncologist 1 was for Nexavar. Nexavar, which also costs about RM 20,000 per month, is not shown to cure metastatic kidney cancer. Data showed that Nexevar only increased survival by 83 days (With Nexavar median survival = 167 days, Placebo, median survival = 84 days).

Oncologist 2 suggested radiotherapy for reason only known to himself. Radiotherapy is not shown to cure metastatic cancer. The radiologist was right being skeptic about this recommendation. Radiotherapy could damage the heart.

Oncologist 3 was trying new drugs on Ray. The approval of Sutent by the FDA – USA, was on the basis that Sutent shrank tumors in 26% to 37% of patients. Studies have not yet shown that Sutent improves survival, let alone cure cancer.

When Sutent failed, Oncologist 3 suggested a switch to another drug– everolimus (commercial name Afinitor). This drug was approved for use by the FDA on 30 March 2009. It has not been shown to cure any kidney cancer or even prolong survival. It was said to prolong progression-free survival by about 3 months (PFS survival with everolimus – 4.9 months versus 1.9 months with placebo). PFS means the length of time during and after treatment in which patient is living with a disease that does not get worse.

Oncologist 4 took a different route. He thought he had to make sure that the nodules in the lungs were indeed cancerous. It was indeed a thoughtful act or was it due to some other reason best known to himself? Anyway, he was dumbfounded when he found out the Sutent did indeed shrunk the tumours. It should not be any surprise since medical literature said similar thing, except one ought to ask if shrinkage of tumour has any meaning or significance at all.

Patients ought to be informed or know that the use of such drug like Sutent (which is referred to as inhibitor of tumour angionenesis, anti-angiogenic or VEGF-targeted therapy drug) did shrink tumours in clinical studies. These drugs often prolong survival of cancer patients by only months, without offering enduring cure.  But one most important concern is that in studies with mice, these VEGF-targeted drugs initially inhibited primary tumour growth, but later the tumours showed an unexpected surge in growth and became more invasive and spread widely to other parts of the body.

  1. Ray suffered relapse after 7 years after an apparent cure. Most patients are often misled or lulled into a false security or belief that after treatment they are cured. Far from it. This case proved that surgery does not cure cancer. Period.

Over the years, I have seen many case of relapse after surgery. Let me give some examples. These cases involved patients with right kidney cancer. They had undergone surgery to remove the diseased kidney and did not undergo any other follow up treatment since they were deemed cured.

Patient 1 is a 40-year-old female. Surgery done in March 1996. After 5 years, December 2001,  5 lesions her found in her liver. The largest being 4 cm.

Patient 2 is a 30-year-old male. He had surgery in January 2003. Barely 2 years later, December 2004, the cancer spread to his liver. There were 11mm lesion in Segment 8 of his liver and a 8.7 x 7.8 x 12 cm mass in the left para-aortic region.

Patient 3 is a 53-year-old male. He had surgery in December 2000. About 7 years later, in Agusut 2007, there were three lesions in his lungs.

Patient 4 is a 53-year-old male. He had surgery in March 1997. The tumour in his kidney was 4 cm in size. As of this writing, June 2009, he is still doing well. There is no metastasis.

Study these cases again carefully. Patients 1 to 3 all suffered metastasis after their surgery. Patient 4 did not suffer any metastasis. Do you want to know why? From November 1997 immediately after his surgery he was on herbs and has changed his lifestyle and diet. For his story, click on this link: http://cacare.com/index.php?option=com_easyfaq&task=view&id=248&Itemid=39

They say herbal and dietary therapies are not proven! Is the above not proof enough? The proof is in the healing! The above data also proved that medical treatment for renal cancer is on shaky ground indeed.

  1. Medical literature reports effectiveness of Sutent and other drugs, in terms of tumour shrinkage, median survival, progression-free survival, etc. All these are evasive tactics to distract the real issue. What patients want is a cure, after paying for the drugs through their noses. Tumour shrinkage and all these confusing terminologies are meaningless to patients.

Note:

  1. To view video on side effects of Sutent: http://cacare.com/index.php?option=com_easyfaq&task=view&id=270&Itemid=39
  2. To view video on the side effects of Afinitor: http://cacare.com/index.php?option=com_easyfaq&task=view&id=271&Itemid=39

Everolimus for Kidney Cancer Metastatised to Lungs

Ray (M578) is a restaurant owner in Indonesia. In December 2007, at the age of 53, he was diagnosed with kidney cancer. He underwent a radical nephrectomy. After the surgery, Ray was well and life was back to normal again. About seven years later, the cancer recurred in his lungs. Ray was put on Sutent and suffered severe intolerable side effects. Ray totally stopped taking Sutent.

 

 

The oncologist suggested a new oral drug, Afinitor (everolimus) which has yet to be approved for use by the Malaysian Government. This drug cost RM 1,000 per tablet, meaning a month’s supply costs RM30,000 (as opposed to Sutent which costs RM 18,000 per month).

Ray suffered similar side effects from taking Afinitor – ulcerations of his mouth and itchiness of his head, etc.

Realizing that his father was not going anywhere with his doctor, Ray’s son surfed the net and found CA Care. Ray decided not to take any more of his doctor’s medication and came to seek our help on 29 May 2009.

 

Comments

When Sutent failed, the oncologist suggested that Ray switched to another drug– everolimus (commercial name Afinitor). This drug was approved for use by the FDA on 30 March 2009. It has not been shown to cure any kidney cancer or even prolong survival. It was said to prolong progression-free survival by about 3 months (PFS survival with everolimus – 4.9 months versus 1.9 months with placebo). PFS means the length of time during and after treatment in which patient is living with a disease that does not get worse.

Medical literature reports effectiveness of Sutent and other drugs, in terms of tumour shrinkage, median survival, progression-free survival, etc. All these are evasive tactics to distract the real issue. What patients want is a cure, after paying for the drugs through their noses. Tumour shrinkage and all these confusing terminologies are meaningless to patients.

Kidney Mass Miraculously Disappeared After Herbs

Sam (not real name) is a 74-year old male from Singapore. He had undergone an operation to remove a 8 x 4 cm tumor at his colon in October 2005. The pathology report indicated a “moderately differentiated adenocarcinoma infiltrating into the subserosal fat with no lymph node metastasis”. The resection margins were free of the tumor. Nothing eventful happened after the surgery and Sam recovered well. A follow up surveillance check with a CT scan on 21 February 2006, indicated “a new left adrenal mass measuring 4.5 x 3.6 cm”. This was suspicious of metastasis.

Due to the renal mass, Sam was asked to undergo chemotherapy — either via intravenous injection or oral drug. Sam opted for an oral drug. After collecting his medication, he was told of the drug’s side effects. Shocked by such revelation, Sam and his wife debated while driving home whether to take the drug or not. Sam finally decided not to take the chemo-drug.

Soon afterwards, someone happened to find our books and passed them on to Sam, who read them. He decided to send his sister and daughter to come and see us. Their mission was to find out more about our therapy. It turned out they (sister and daughter) decided that Sam should take our herbs without further delay.

Two weeks after taking the herbs, Sam went back for another CT scan follow up. The report dated 12 April 2006, showed “no adrenal mass is seen. The previously visualized ‘mass’ in the left suprarenal region is artefactual in nature”.

I received an e-mail from Sam’s daughter on 13 April 06 with this message: “He (my father) visited his surgeon … and to everyone’s amazement there was no longer any sign of spot that was present in earlier scans. It has miraculously disappeared. Needless to say we also see God’s intervention and kindness at work here”.

Sam, his wife and daughter, came to see us on 11 August 2006. Sam appeared to be a jovial, healthy man who could travel to Korea, Taiwan, etc. without problems.

This is wonderful news for two reasons. One, Sam’s tumor had disappeared. Just imagine what could have happened if he had undergone chemotherapy? We see this as a miracle – but for some others it was just a coincidence or luck. Two, now we have chemotherapy “going” herbal. The next time if you are asked to go for chemotherapy, why not ask for the “herbal type”? And better still, if they have the “organic variety”!

Sutent for Advanced Kidney Cancer

SC (TK826) was a 53-year-old male. He had a history of pains in his right shoulder for almost a year. An X-ray did not show any problem. Then in October 2008, his right hand became weak. MRI showed tumour in his spine – T1 / T2. Titanium stent inserted to support the crushed T1.  Further investigation indicated the primary as cancer of the kidney. He received 20 radiation treatments. In spite of the treatment, the tumour grew bigger and spread to his liver, lungs and abdomen. He was started on Sutent in January 2009. As of 3 February he had started on the second cycle of Sutent. In spite of the drug, MRI on 11 February 2009 showed a large mass in C3 to C7 and there were more metastases in T1/T2 and T5/T6.

 

 

This video was recorded on 9 February 2009. Sadly, SC died on 30 April 2009.

SC suffered the following side effects:

  1. Lost of appetite.
  2. Diarrhoea up to 10 times per day.
  3. Swelling of face.
  4. Ulceration of mouth.
  5. Yellowing of skin.
  6. Difficulty breathing.
  7. Peeling of skin in the feet and hands.

Comments

Below are vital information about Sutent – sunitinib which patients ought to know.

Use: For treatment of refractory unresectable and/or malignant gastrointestinal stromal tumors (GIST) and advanced kidney cancer (advanced renal cell carcinoma or mRCC).

Cost: RM 20,000 per cycle of treatment which last 4 weeks. Take 4 tablets per day. Rest for 2 weeks before starting a new cycle of 4 weeks.

Effectiveness

  • Approval for kidney cancer was based on a review of the drug’s efficacy in reducing tumor size. Approval of the GIST was mainly based on studies showing that sunitinib delay tumor growth.
  • Sutent shrank tumors in 26% to 37% of patients, according to the FDA. Studies have not yet shown that Sutent improves survival.
  • Liz Szabo, USA TODAY Jan 26, 2006, wrote: Sutent doesn’t cure cancer, but experts say it is an important advance – both for patients and for science. Sutent is a product by Pfizer. Another drug used to treat advanced kidney cancer is Nexavar by Bayer.
  • The median OS for patients receiving SUTENT was 26.4 months vs 21.8 months with IFNα (Note: IFN-α has been used extensively in the treatment of metastatic melanoma. Human IFN-α1 is a type I interferon. It is for research use only, not for diagnostic or therapeutic use)

Side effects 
The adverse events included:

The most serious adverse events associated with Sutent therapy included

  • pulmonary embolism
  • thrombocytopenia
  • bleeding from the tumor bleeding or bruising under the skin; coughing blood
  • febrile neutropenia
  • hypertension
  • may harm an unborn baby (cause birth defects). Do not become pregnant. Do not breastfeed while taking SUTENT.
  • may cause heart problems.
  • may cause a hole in the stomach or bowel wall. This could cause symptoms such as painful, swollen abdomen, vomiting or coughing blood, and black, sticky s tools.

Recent research findings on Sutent

  •  Researchers in Canada had reported that Sutent accelerated metastatic tumour growth and decreased overall survival in mice receiving short-term therapy (Cancer Cell 15: 232-239. March 2009).
  • Using mouse model researchers in Spain and California, USA, also showed that Sutent promoted the incidence of highly invasive tumours. The incidence of liver micrometastases was significantly increased by 3.5-fold in treated animal (Cancer Cell 15:220-231. March 2009).

 


Kidney Cancer: A Success Story – Fifteen years on herbs and doing great!

Lee, male, was 53 years old when he was diagnosed with cancer of the kidney in March 1997. A CTscan showed a well defined solid mass in the right kidney. This could be an adenoma or a low grade carcinoma. Lee underwent an immediate surgery to remove his right kidney. The pathology report dated 14 March 1997 stated: Specimen of kidney: 225 gm, measuring about 11 cm x 5 cm x 4 cm. Yellowish tumour with fibrous areas seen in the middle of the kidney. The tumour measures about 4 cm in diameter. Interpretation: right kidney consistent with clear cell adenocarcinoma.

After the surgery, the surgeon did not consider mop-up treatment like radiotherapy or chemotherapy necessary. There was no medication to take either. Lee came to know us through our book:  Cancer Yet They Live, which was given to him by a friend. Since then he has been on our therapy.

On 31 August 2006, we had a three-hour long conversation with Lee.

Lee: My operation was in March 1997. So by March 2007, it would be ten years after my cancer diagnosis. I am doing fine.

Q: So for the past nine years, you have been taking the herbs and taking care of your diet?

A: Yes, I had been taking your herbs very seriously since my operation and I took care of my diet as you recommended.

Q: Now that you have lived for more than nine years after your cancer diagnosis – did you ever feel that cancer has been a threat to you?

A: No. I didn’t think that cancer is the only threat to my life. Everyday we all face many threats to our life. So cancer is just one of these things. In this world you face threats when you step out of the house. Even in the house, there are dangers. The idea that just because someone has cancer, he is more vulnerable than others is not right. I may die of other causes.

Q: So, during the nine years, was there a time when you felt you could not make it?

A: No, there was no such feeling. This is because the body does not show any sign of problems at all. I always look at the positive side of things and I do not pay much attention to the negative. I accept cancer as part of my life.

Q: When you look back at your cancer experience, what do you think are the factors or things that had contributed to your well-being today?

A: Firstly, it was the people around me who directly and indirectly gave me their love and touch. By their actions they expressed their desire that I get well and this made me feel much wanted. Let me give you some examples.

There was this lady who came to the hospital with a bagful of money. She placed it on my bed and said: Brother, this is seven thousand ringgit for you. If this amount is not enough, mama said please let us know. This person is not related to me. She was just a friend – a former Hainanese neighbour, belonging to the same clan as I am. I never asked anybody for any help. She came and she did not even ask me if I needed any financial help. She just deposited the money on my bed. Her action showed me that people wanted me to get well. Therefore to me, I must get well because they wanted me to get well. This incidence created a strong feeling within me that I must get well for their sake. I felt so wanted. If I was left unwanted, there was no need for me to live anymore. I might as well die.

People showed their concern and love in different ways. There was a three-year-old boy. My wife used to take care of him when he was a baby. He came and held my hand while I was lying immobilised in bed. I called out to him: Ah Boy, Ah Boy. He responded: Uncle, no need to say anything and he cried. By doing this he showed me that I was wanted. There must be a purpose for me to live on. As I have said earlier, life has a purpose and by what these people had demonstrated, I should not die yet.

Another contribution was a lady friend who gave me your book. At that time I did not know anything about cancer or about you. She personally gave me your book for she wanted me to get well. She told me: This is something which can help you, read this book and then call Dr. Chris. I felt the love and concern she had for me. Again, I felt wanted. That book was the one with a simple white cover (note: our earliest version of Cancer Yet They Live).

I did not judge the book by its cover. I read it over and over again. What the book pointed out – or what you pointed out – was very true. The junk food and the negative emotions did not take care of my body. What you wrote made a lot of sense. All along in my life in the navy, I had been eating plenty of meat – meat for breakfast, meat for lunch and meat for dinner. I ate very little vegetables and even that was over cooked. I drank a lot of hard liquor. That book made a lot of sense and I could relate it with my lifestyle. It was there for me to see and compare. That book made me realise that I had been abusing my body all those years. After I found out the mistakes of my earlier lifestyle, I started to do the right thing. The information in your book woke me up and showed me where I went wrong. Knowing my mistakes, I started to make the necessary changes and corrections. The only way for me to carry on was to stop abusing my body. Without your book, I would not have known where I had gone wrong. When I wrote you, you asked for my medical reports and later prescribed Capsule A and Mt.Guava deTox tea.

Q: After reading the book, did you need to be “pushed” to do something or did you, on your own, willingly decided to practise what I said?

A: I decided willingly to put into practice what you wrote without any push from anybody. There were friends who told me that without chemotherapy, the cancer would spread, etc., etc. But I ignored such comments. My doctor did not give me any medication. I told him that I was taking your herbs. He did not object and said: Whatever you do, you must come back for a check-up. Initially I went back for a check- up every six months and later once a year. This routine lasted for six years – doing the X-ray and scanning. I stopped going for the check- up after the seventh year although I still continue with the blood test.

Q: After you read the book, did the knowledge you got from it help you very much?

A: The contribution arising from the knowledge obtained from the book has lasted even to this day. It has not stopped. That book was the one that started to move me forward and made me want to understand more about cancer. It has changed my destiny and the outcome of my cancer journey. When I read the book, I began to fathom what the authors wanted me to know and understand. Of course, if you just skim through the pages, you learn nothing. The book has changed my life. Even today I still read it – I have done it a thousand and one times!

Q: When you took the herbs, did you believe they were going to work?

A: Yes, my hair became black and I felt better just after one week. Even before I took the herbs, I had believed what you wrote.

Q: What would you say about your doctor?

A: I was very lucky to have a kind and understanding doctor who operated on me. He not only did his job well but also was wiser than just being a doctor who operated on patients. He went further to arrange for me to be operated earlier, on the day which was not his scheduled operation day. He was prompted to do so because I had already done a biopsy and the kidney had been poked. To him it was best that the kidney be removed as quickly as possible. This caring attitude made me feel really good. My doctor did not want me to go for chemotherapy. If he had asked me to undergo chemotherapy, I would have done that too. In his wisdom he did not see the need for chemotherapy.

All the above are things that have contributed to what I am today.

Q: Now that you are doing very well and are very confident, does it occur to you that one day the cancer may come back – have you given this any thought?

A: Yes, you use the word confident. I don’t want to use that word at all. Life is uncertain. If we understand that cancer has no permanent cure, you can accept that you may be able to live for two, three, ten or twenty years and then cancer comes back again. So, that is expected.

Q: What if the cancer comes back?

A: When it comes back, I will look at it again and find out why it comes back. Maybe at that time, my body is on the downward turn due to old age. Because of that, cancer takes advantage of the situation. So, we cannot blame anything or anybody. It is a natural process of life that the body shuts down. It is just like my old Opel car. I sent it to my mechanic and he told me: Uncle, the car is “lok” (beyond repair) already and cannot be repaired anymore. I had to accept it and write it off. Life is like that and is full of uncertainty. So in life, I cannot use the word confident. If I am too certain about things, I may end up disappointed. If you don’t hope for something, there will be no disappointment.

Comment

As of this writing, September 2011, Lee has been doing well – 15 years now!

Toxic Responses to New Ideas: The nails that stick their heads out get hammered down

Once upon a time some of us (me included!) were perhaps naïve. We thought that if we do something new and beneficial, many people around us would support us full heartedly. Why not? But history has taught us this is not the way how the world operates. Haig & Kay wrote, “a new idea has to fight its way to acceptance. The path may be long and conflicted. The opposition may be intense and torturous.”  It appears that opposition to new ideas is an expected normal, human behavior. In my younger days, I used to visit my scientist friends in Japan. There was one thing that I learned from them, The nails that stick their heads out get hammered down.  So, stick out your neck at your own perils!

Here are some quotes for you to ponder on.

  • New opinions are always suspected, and usually opposed, without any other reason but because they are not already common ~ John Locke.
  • The man with a new idea is a crank—until the idea succeeds ~ Mark Twain.
  • There is a natural opposition among men to anything they have not thought of themselves ~ Barnes Wallis.
  • New ideas are not only the enemies of old ones, they also appear often in an extremely unacceptable form ~ Carl Jung.
  • An age is called dark, not because the light fails to shine, but because people refuse to see it ~ James Michener.
  • Every great advance in natural knowledge has involved the absolute rejection of authority ~ Thomas Huxley.
  • Great spirits have often encountered violent opposition from mediocre minds ~ Albert Einstein.

History is replete with examples of how brave souls have to endure and suffer the abuse from the Power-that-Be because they stood up and spoke up. Before Galileo many were burnt at the stakes for believing that the world was round! Even Einstein, the Scientist of the 20th Century was not spared. Initially he could not even get into a university as a student. Then after he graduated, he could not find a suitable job – except being a clerk at a patent office. His ideas were very much against the established academic elite.

Let’s look at history again and let me give you three examples in a greater detail. Be reminded, and make no mistake, even today such “battles of the mind” do happen – anywhere.

Dr. Ignaz Semmelweis (1818-65) – Austria / Hungary

Ignaz Philipp Semmelweis was born in 1818 in Taban (Budapest) Hungary. He finished schooling at the University of Pest. In 1837 and went on to study law at the University of Vienna. But he switched to medicine due to personal inclination. He received his master’s (Magister) degree in medicine in 1844 with specialization in midwifery. After graduation he took a position in the Vienna General Hospital.

During his job at the hospital, Semmelweis concerned himself with the study of puerperal fever that caused high maternal and neonatal deaths at that time. The Vienna (Austria) General Hospital operated two maternity clinics – the first clinic was where treatment was given by the medical students while the second clinic by midwives. He observed that the death rate in the first clinic was 13.10% –  much higher than the 2.03% death rate in the second clinic.

In Vienna during the 1840’s it was common practice for doctors to go straight from autopsies each morning on women who had died the previous day to delivering babies (and doing pelvic exams) without washing their hands. The doctors and the medical students were infecting their own patients.  Based on his observation, Semmelweiss declared that medical students carried infectious substances on their hands from dissected cadavers to the laboring mothers. A lower death rate in the second clinic, which was operated by midwives, was because they were not involved with autopsies or surgery.

Based on his analysis, Semmelweis  established a simple but revolutionary protocol  in 1847. He insisted that medical students and doctors wash their hands first with chlorinated lime solutions before they treated obstetrical patients.

The application of his method instantly reduced the cases of fatal puerperal fever from 12.24% to 2.38%, while in some months there were no deaths from childbed fever at all. Besides the hands, he initiated using preventive washing for all instruments making contact with the patients which literally removed puerperal fever from the hospital. This was the beginning of an antiseptic era.

Although hugely successful,  Semmelweis’ discovery directly confronted with the beliefs of science and medicine in his time. His colleagues and other medical professionals refused to accept his findings. He was dismissed from the hospital and harassed by the medical community in Vienna, which eventually forced him to move to Budapest. Despite this success, Semmelweis  was rejected and ridiculed by his peers.  Outraged at his rejection by the medical community, he began writing angry open letters to European obstetricians, calling them irresponsible murderers. In 1865 Semmelweise was committed to a mental institution where only 14 days later he died, possibly after being severely beaten by guards.

Unfortunately indeed Semmelweis had to “go mad” in trying to promote something right while many patients died unnecessarily – just because ego and arrogance stood in the way of truth. The outstanding German scientist, Max Planck said, “A new scientific truth does not triumph by convincing opponents and making them see the light, but rather because its opponents eventually die, and a new generation grows up that is familiar with it.” Max Planck went on to say, “Science progresses funeral by funeral.”

Today, aseptic procedures are a routine, essential protocol in modern medicine. Semmelweis had to pay with his life to fight for this change.

Read more: http://www.experiment-resources.com/semmelweis-germ-theory.html#ixzz1XwTTDrAu

Dr. Barry Marshall – Australia

Dr. Barry Marshall completed his medical studies in Perth, Australia in 1974. He worked as a resident physician. He and Dr Robin Warren found mysterious bacteria in the stomachs of many patients who suffered from stomach ulcers. This observation led Drs Marshall and Warren to believe that bacteria were the cause of stomach ulcer. This is a direct contradiction of long standing medical dogma – bacteria cannot survive in a strong acidic environment of the human stomach.

Marshall submitted his paper to a gastroenterology conference in his own country, Australia. It was rejected! “Well, they said, “Dear Dr. Marshall, we’re so sorry that we couldn’t accept your abstract. It was such a high standard this year, we had 67 applications and we could only accept 64.” So mine was in the bottom 10 percent. Looking back at it I can say I was pushing it a bit to try and get it accepted, but it’s fun to have the rejection letter after all these years. My boss knew about the conference in Brussels, so he said, “Don’t be down hearted, I still think it’s good. You go to Belgium.” The hospital paid my airfare, and I connected up with some researchers in Belgium, and made phone calls and whatever, and presented it in Belgium.

In September 1983, Marshall presented his findings at an international conference in Brussels, Belgium.  Everyone laughed at his idea. One prominent gastroenterologist dismissed him as a “crazy guy saying crazy things.” Marshall’s idea threatened the status quo.

In an interview, Dr. Marshall said:  It was a campaign, everyone was against me. But I knew I was right, because I actually had done a couple of years’ work at that point. I had a few backers. And when I was criticized by gastroenterologists, I knew that they were mostly making their living doing endoscopies on ulcer patients. So I’m going to show you guys. A few years from now you’ll be saying, “Hey! Where did all those endoscopies go to?” And it will be because I was treating ulcers with antibiotics. 

Do you think there was an economic motive that made some people unwilling to consider this?  Barry Marshall: That’s true. The livelihood of gastroenterologists and many of the drug companies depended on these drugs that were worth billions of dollars, treating millions of people with ulcers.

What did you do at that point? There was I. I had treated a few patients with antibiotics successfully at that point, so I thought I could probably cure it. I was a bit overconfident in retrospect. I wanted to make sure that it did take, because I didn’t know whether I’d have the guts to do this every week. We mixed up a complete flourishing growth of bacteria from a petri dish — we calculated out later that it was a thousand million bacteria — and mixed it up, and I said, “Well, here it goes, down the hatch.” And my lab technician, who was fairly conventional, he was horrified. He was waiting for me to drop dead, but I said, “Well, I’m feeling all right. Okay, let’s press on.” You know, go and do ward rounds. The plan was, a week or so later I was going to have an endoscopy. I already had one at baseline to show I didn’t have any bacteria and I was normal, and a week later I planned to have another endoscopy.  About the fifth or the sixth day I’d wake up at the crack of dawn and say, “I’m going to be sick.” I’d run into the bathroom and I would vomit.  The BBC reported, Barry Marshall turned medical science upside down when he swallowed a dish of dangerous bacteria to prove it caused stomach ulcers. http://www.bbc.co.uk/news/health-11686825. In 2005, Marshall and Robin Warren were awarded the Nobel Prize in Physiology or Medicine.

Read more: http://www.achievement.org/autodoc/printmember/mar1int-1

Dr. Stanislaw Burzynski – Texas, USA

Dr. Stanislaw Burzynski  was born in the early 1940’s in Poland,  and was trained as both a biochemist and a physician. He’s spent the last 35 years developing and successfully treating cancer patients suffering with some of the most lethal forms of cancer at his clinic in Houston, Texas. Dr. Burzynski discovered the gene-targeted non-toxic peptides and amino acids known as antineoplastons. Antineoplastons are responsible for curing some of the most incurable forms of terminal cancer.

The following account is extracted from Dr. Mercola’s website. http://articles.mercola.com/sites/articles/archive/2011/06/11/burzynski-the-movie.aspx

Success Rates of Chemo and Radiation versus Antineoplastons

The film features several remarkable case stories of people who were successfully cured of cancer, but it’s when the clinical trial data of conventional therapies versus antineoplastons are stacked against each other that the benefits of antineoplastons become really obvious:

Radiation or Chemotherapy Only Antineoplastons Only
5 of 54 patients (9 percent)
were cancer free at the end of treatment
5 of 20 (25 percent)
were cancer free at the end of treatment
Toxic side effects No toxic side effects

Dr. Burzynski was so confident in his antineoplastons that he even accepted the most difficult and “hopeless” cases, such as childhood brain tumors. Conventional medicine has little or nothing to offer in these cases, and the side effects can be as horrific as the disease itself, if not more. Furthermore, the best outcome conventional treatment can offer is to slow down the growth of the tumor.

Using antineoplastons, however, Dr. Burzynski has been able to successfully cure many of these otherwise hopeless cases. When comparing FDA-supervised studies of treatments for lethal childhood brainstem gliomas, antineoplastons again comes out as a clear winner:

Chemotherapy Only

Antineoplastons Only

1 of 107 patients (0.9 percent)
were cancer free at end of treatment

11 of 40 patients (27.5 percent)
were cancer free at end of treatment

0 of 107 patients (0 percent)
survived past five years

11 of 40 patients (27.5 percent)
survived past five years

Even more interesting, while some of Dr. Burzynski’s patients did eventually die after the five-year mark, most who did NOT undergo chemotherapy prior to getting antineoplastons have gone on to live normal, healthy lives—yet another indication that in many cases, the conventional treatments are more lethal than the disease itself.

Burzynski’s Troubles Begins…

Word spread, and patients started traveling to his office from out of state.

Suddenly, in 1984, he found out that agents from the Texas board of medical examiners were visiting  patients across the country trying to convince them to file charges against him.

What followed next truly challenges the rational mind.

In 1988, despite not breaking any laws, and having produced more evidence than was required to show that his treatment was effective and that no harm was coming to his patients from the treatment, the Texas medical board charged him with breaking a law that didn’t exist, claiming it was grounds for revoking his medical license.

They didn’t have a case, but kept the charges going by continuing to file slightly amended complaints, until finally, in 1993, the case went to trial. By then, 60 of Dr. Burzynski’s patients had filed a petition for the medical board to stop harassing their doctor—a petition that the board successfully eliminated from the trial by filing a motion to strike it from the record.

The judge ruled in Dr. Burzynski’s favor, confirming that no laws had been broken.

You’d think that would be the end of it. But not so in this case.  Instead of accepting defeat, the Texas medical board filed charges against Dr. Burzynski with the Texas Supreme Court.

The FDA’s Madness

It eventually came to light that the US Food and Drug Administration (FDA) had pressured the Texas medical board to revoke Dr. Burzynski’s medical license—despite the fact that no laws were broken, and his treatment was proven safe and effective.

But WHY?

It’s been stated many times that a crime can be solved simply by following the money, and this case is no exception. The FDA and the pharmaceutical industry had realized that if Dr. Burzynski’s discovery—which he owned the patent for—received a fair review, chemotherapy and radiation would rapidly dwindle into obscurity, effectively crippling the industry. Not only that, but if antineoplastons were approved, billions of dollars of cancer research funds would get funneled over to one single scientist who had exclusive patent rights…

Dr. Richard Crout, Director of the FDA Bureau of Drugs, once wrote in a 1982 newsletter: “I never have and never will approve a new drug to an individual, but only to a large pharmaceutical firm with unlimited finances.”

The Harassment Continues Unabated

The FDA, under the direction of Commissioner Dr. David Kessler, called no fewer than FOUR different grand jury investigations into Dr. Burzynski’s practice, despite the fact that none of the grand juries ever found him to be at fault, and no indictment ever came from any of the investigations.

But the FDA did not let up.

Finally, in 1995, just days after the final grand jury investigation, which also had found no fault, Dr. Burzynski was inexplicably indicted on charges of fraud, and 75 counts of violating federal law. If found guilty, he now faced 290 years in federal prison, and $18.5 million in fines.

Federal Government Spent $60 Million Trying to Bury Dr. Burzynski

This second trial cost American tax payers a whopping $60 million just in legal fees alone—that’s not counting the cost of continually harassing him (including several raids on his office) and his patients over the preceding 11 years. Dr. Burzynski spent $2.2 million on his own defense, $700,000 of which was raised by Dr. Julian Whitaker through requests for donations in his newsletter Health & Healing.

On March 4, 1997, the judge declared it a mistrial, due to a deadlocked jury. However, after stating the government had not presented sufficient evidence in its case, he ordered that Dr. Burzynski be acquitted of 42 of the 75 counts.

But the FDA wasn’t done yet. They took him to court AGAIN!

On May 28, 1997, after three hours of deliberation, the jury came back with their final verdict: Not Guilty.

By now you’re probably thinking that this victory surely must mark the end of the wrongful harassment of Dr. Burzynski.  But no. It got worse.

Theft and Patent Infringement

In October 1991—while the Texas medical board kept filing amended complaints against him in an effort to revoke his license, due to pressure from the FDA—the National Cancer Institute (NCI) had conducted a site visit to Dr. Burzynski’s clinic, and verified that “anti-tumor activity was documented by the use of antineoplastons.”

As it turns out, a mere 17 days after this visit, the United States of America as represented by “The Department of Health and Human Services,” filed a patent for antineoplastons AS2-1… one of the two antineoplastons Dr. Burzynski had already patented.

The inventor listed?

“Dr. Dvorit Samid,” Dr. Burzynski’s former research consultant. The patent states:

“The invention described herein may be manufactured, used and licensed by or for the government, for governmental purposes, without the payment to us of any royalties thereon.”

Over the next four years, while the witch hunt to put Dr. Burzynski behind bars was in full swing, the US Government filed 10 more patents antineoplastons.

In November of 1995, a month into Dr. Burzynski’s trial, where he faced 290 years in prison, the US Patent office approved the first US Government patent for antineoplastons.  Between 1995 and 2000, the US Patent office approved all 11 copycat patents on antineoplastons AS2-1….

By now your head is probably spinning, so let’s recap.

Dr. Burzynski developed a cancer treatment that surpassed all other treatments on the market, and the FDA, the pharmaceutical industry, and the National Cancer Institute all knew it. They also knew he was the sole owner of the patents for this therapy, and these two facts combined, threatened the entire paradigm of the cancer industry.

So they tried to copy his invention using a single non-patented ingredient. It failed. The next step was to steal the whole thing right from under him. There was just one problem. They knew they couldn’t use the stolen patents as long as Dr. Burzynski walked free and had the ability to defend his rights to them… So they concocted 75 fraudulent charges to tuck him away in jail for the rest of his life.

Fortunately for us, they failed in that too.

Dr. Whitaker sums it up nicely when he says: “How can the US Patent office be corrupted to the point they issue patents for a medical treatment that’s already been patented and issue them to someone who had nothing to do with their discovery or use?  And how can the Patent office then assign these fraudulent patents to some of the most powerful institutions in the American government?  And, imagine, all of this was done while these same agencies were spending millions of taxpayer dollars trying to put Dr. Burzynski in jail, so he could not fight the criminal theft of his discovery!”

This whole sordid story is retold in a movie – click here,  http://vimeo.com/24821365

Read more: http://www.burzynskimovie.com/

Note: My wife and I had a wonderful opportunity to meet Dr. Burzynski and his wife (also a doctor) when we visited Houston, Texas, some years ago.

Why the Violent Opposition to New Ideas?

Do the above stories make sense?  Let there be no illusions, this “battle of the mind” is going on anywhere – even at CA Care. And it is going to go on for as long as the Homo sapiens are human beings. Why? The following could be one of the reasons.

1.       It is a human nature

This webpage http://mises.org/resources.aspx?Id=ea881007-5be3-40cd-a55c-0279a415ab60 reads as follow,

“Every new theory encounters opposition and rejection at first. The adherents of the old, accepted doctrine object to the new theory, refuse it recognition, and declare it to be mistaken. Years, even decades, must pass before it succeeds in supplanting the old one. A new generation must grow up before its victory is decisive. To understand this one must remember that most men are accessible to new ideas only in their youth. With the progress of age the ability to welcome them diminishes, and the knowledge acquired earlier turns into dogma. In addition to this inner resistance, there is also the opposition that develops out of regard for external considerations. A man’s prestige suffers when he sees himself obliged to admit that for a long time he has supported a theory that is now recognized as mistaken. His vanity is affected when he must concede that others have found the better theory that he himself was unable to find. And in the course of time the authority of the public institutions of compulsion and coercion, i.e., of state, church, and political parties, has somehow become very much involved with the old theory. These powers, by their very nature unfriendly to every change, now oppose the new theory precisely because it is new.”

2.       There is such thing as a day light robbery by the Power-That-Be

Dr. Julian Whitaker (in The Introduction to Politics of Healing) wrote, “Virtually every scientific discovery over the ages has met a wall of resistance. The authority figures first recognize and acknowledge that value of the discovery. Next, they try to separate the innovator from his discovery, to essentially steal it … with a profit motive in mind. Finally, without fail, they pursue a no-holds-barred course to destroy the discoverer.  A good example of this is what they did to Dr. Burzynski.

Colon Cancer: Oncologist Said Chemotherapy Would Not Cure Her or Make Any Difference –But CEA Declined After Herbs

This is an e-mail we received on 16 October 2010.

Dear Dr. Chris K.H. Teo,

My mom’s oncologist told us her cancer had recurred and if she does chemo it will extend her life by another six months, and if lucky another twelve months.  But the oncologist does not recommend chemo and thought the treatment would make her worse. He suggested waiting until her condition becomes painful or other symptoms appear. He told us chemotherapy does not cure her cancer and it does not make much difference.

I found out about you from the internet. I would like to bring my mom to see you to help treat her.

We are living in Singapore and planning to go to Penang next week to see you. I think we may need to stay in Penang but not sure how many days to stay. Are you able to advise how many days we should stay? I saw the video on healing crisis after taking your herbs. I’m afraid if we just take your herbs and go back, my mom may experience pain, vomiting or has diarrhoea, Then my mom may think the herb is not working and would not like to continue taking the herbs. I think your presence and guidance will give us confidence to face the battle against her cancer.

Here is what I know of my mom’s condition and cancer.

Histology report identified the cancer to be mucinous adenocarcinoma of the iluem which has invaded the muscular wall and peritoneal surface. Conclusion: Pseudmyxoma peritonei, stage 2B.

Surgery was done to remove 10cm of iluem and 7.5 cm of caecum. This was March 2010.

She refused to undergo chemotherapy immediately after surgery.

Subsequently doctor ordered blood tests and PET/CT scan. Her CEA marker has been rising from 5.4 to 6.3, 9.6 and yesterday the oncologist said her CEA was12.9. But the PET/CT did not show any tumour.

My mom easily gets stomach and intestine bloating and discomforts, after she takes cooling food or if it is cold/rainy weather. Even some vegetables make her have loose stools and diarrhoea. Ginger tea helps remove the wind.

Other than that she is losing weight, about 0.5 to 1 kg every 3 to 4 weeks.

She can eat, sleep and has no pain. She has been taking some Chinese medicine to help her but her condition is like above with CEA rising. We do not know what the Chinese medicine contains. Please reply as soon as you can. We pray for God’s help and yours too.

Patient (H-434) and her son came to see us in Penang on 22 October 2010.

e-mail 28 October  2010

Hi Chris,

My mom … is happy and confident about the herbs you prescribed her. She fell asleep Tuesday morning and I didn’t want to disturb her. So we did not come to see you on Tuesday. Please accept my apologies for not turning up Tuesday morning. I’ll keep you updated about her progress via email. Many Thanks and God bless you and Ms Teo.

e-mail 29 October 2010

Thanks for the update —- when she goes home, how is she? Does she feel any better now?

Chris

e-mail 1 November 2010

She feels better after taking the herbs you have prescribed. Thanks for your concern and please take care too.

e-mail 18 May 2011

Hello Dr Chris,

After taking your herbs, her cancer marker came down from 12.9 to 8.8 and the doctor advised her to come back in six months for checkup. My mom feels okay now. I made vegetables and apple juice for her once a week. But she finds them ‘cooling’ and gets diarrhea / indigestion or lots of gas after that. Taking ginger soup helps though.

The patient came to see us for the second time on 21 May 2011. Listen to our conversation that day

Comments

The doctor conveyed this gloomy prognosis:

  • Since cancer has recurred, patient had only about six months more to live – or at best with luck, a year!

Since human beings are not God, we always tell patients, Believe the diagnosis but don’t believe the prognosis. It is sad that the practitioner of noble profession has come to a point of not realizing what he says is insensitive or   damaging to the patient whom he is supposed to help. Telling patients that they are going to die soon is inflicting a nocebo effect.

The oncologist did not recommend chemo and thought the treatment would make her worse. How many oncologists would admit to the fact that there is no cure for metastatic cancers and that chemotherapy will do more harm than good? In most cases and most of the time, chemotherapy seems to be the standard fare “dished” out to all patients – irrespective of age or stage.

Given that this patient has come to the end of the road, there is no option left other than alternative medicine.  In spite of that, we often have to remind patients that they have to relax and take it easy. Face the fact squarely and fairly. Do not come expecting us to “dish” out an instant or magic cure. One patient wrote that after taking herbs and the change to vegetarian diet and juices for a month, the tumour is still growing in her colon! What do you expect? Cure cancer with herbs and juice within a month?

Another mistake that caregivers often commit is to over-react. After reading about the purported benefits of juices, raw diet, supplements, etc. they would go over-board feeding their loved ones with all these stuff, sometimes resulting in more problems. In this case, the enthusiastic  son thought that juices might perhaps cure his mother. His mother has a yin (cool) body and cannot tolerate raw food and juices. So she ended end up having diarrhea.

Listen carefully to what this patient said if you want to live well with your cancer. She had clearly accepted her lot and has a positive attitude. Relax, be happy and take life easy. Enjoy your days while there is still time to enjoy. You don’t have to give up but at the same time you don’t have to live each day with fear of dying. Go out and smell the flowers.

Update:  27 February 2012

Hello Dr Chris,

My mom is getting better. Just 2 weeks ago she went for medical test and the doctor said he cancer CEA marker has dropped to 5.9. Thank you Dr Chris. And wishing you good health.

Reply:  Wah, your mom is doing well and her CEA  is 5.9 ? What did her doctor say? Did the doctor ask her why? Did he know that she is taking herbs? And is your mom taking the herbs without stopping?

Yes my mom CEA was as high as 12. She continues to take your herbs. We now add ginger into the C-Tea so that she does not get stomach bloatedness.

Doctor did not even ask why the marker reading is low or ask whether she is taking herbs. All they do is blood tests for cancer marker. Also because her doctor got promoted he now passed my mom to one of the doctor in his team. We only found out on the day of the medical appointment. Also I learned from the nurse that the promoted doctor attends to private patients only. What a surprise to us the way they handled patient.

Lung-Brain Cancer: An Impossible Healing Part 4. What It Takes to Be a Winner

In my book, Prostate Cancer Healed Naturally, I wrote, “To me, cancer is not just about a tumour in your breast, lung or liver. It is about you, as a human being. There is this quotation, There is no incurable disease, only incurable people. Therefore, my lengthy interview with patients enable me to assess each patient as a whole and “predict” the probable outcome – whether we would be able to repeat the healings that we experience in CA Care. Unfortunately, only 30 percent of patients who came to us can benefit from our therapy.”

Let me say again, it not just about taking my herbs. Many patients come to us with a very high expectation of finding a “magic bullet”. We have none. Over and over again, my experience tells me that the most important criteria for success is the person himself. This statement also applies to those who care for the patient. When a person in the family is down with cancer, it also means that everyone in the family is somehow is equally affected by the illness. That is why, sometimes I insist that the whole family come and meet me. By meeting them, I would be able to “sense” what is “really going on.” Talk to those around the patient and from what they say and how they behave I could sense what the eventual outcome would be. I often tell patients, “After talking to you for five minutes, I would probably know if I can help you or not.” Perhaps, most patients don’t understand what I meant by this.

Having assessed the patient as a person, I shall then proceed to prescribe herbs. This is a very simple thing to do.

We receive many emails each day. These email writers expect to find healing from the comfort of their own world – hoping to find “cures” with a minimum of effort.  CA Care cannot help such people.  Ours is a hard and windy road to take.

Learn from the experiences of Suri’s case. During her first visit here, I was very blunt with her husband and daughter. Let me repeat what I told them that night, “I don’t want to mislead or cheat you – making you believe that you can find a cure here. Don’t think too much or too far! If she cannot drink the herbal teas I prescribed, there is no need to bring her here again. There is nothing I can do. But if she can drink the teas, she may benefit from them. And I shall do my best to help.”

Even today the words that I said to them that night still ring in their ears. Despite these “hard” words the message was well taken. For the next few days and weeks, Suri’s husband, daughter, sister and others, were “battling” with a rebellious patient who did not want to swallow the herbs! But they did not give up. I dare say that it is their perseverance that made this amazing healing possible.

Hear the story for yourself.

This was what happened:

  • Daughter: The first time she took the herbs, she spat out the herbal tea on my face. She yelled – “Get out, get out. Don’t let me drink this.” She knew that we were boiling something. She asked, “ What is that medicine – very smelly.”
  • Daughter: This is good medicine for you.
  • The first day (turning to his nephew) even his mother got the herbs on her face. (This lady is another sister who lives in Penang).
  • Then what we did was to divert her attention away from the herbs. We joked with her. When she was more relaxed, four or five people held her head, hands and legs and we poured the herbs into her mouth. She kicked and yelled, “Let me die, let me die. I don’t want to drink the medicine. Let me die.”
  • Daughter: Mother, you do not say such things. This medicine is good for you. Normally you did not have problem taking medicine. Why are you wanting to make things difficult now?
  • Chris: Wah, if you do not have a “firm heart” and do not believe in what we are doing, you all would have given up.
  • The first few days were real “terrible”. I was afraid that she would bite her tongue. So I put my fingers into her mouth and let her bite me. She resisted strongly and refused to drink the herbal tea.
  • That is what I mean – if you don’t believe and do not help yourself, nobody can help you. I remember telling you that when you first came.
  • The first time we came to see you, I said to you,” Doc., can you give us tablets instead of the tea”. You replied, “No we only have the herbal tea. If you cannot take the tea then there is no need to come and see me.”
  • Daughter: So we had no choice. She spit it out, we put it in again. She spit out all the herbs and my whole dress was wet.
  • If you did not have this “firm will” you would not have any hope.
  • Exactly.
  • This is the message I would like to impart to all patients who come and see me. Many would say, I don’t like the bitter and smelly taste of the herbs, etc. I tell them to go home. I can’t help such people.
  • Daughter: I told everyone. Let’s have patience, have patience.
  • After taking the herbs for three days, the headaches were better?
  • Headaches were less.
  • When you came you also said she vomited. How long did it take for your to see some positive results?
  • Sister: She vomited after taking the herbs. About a month later, we started to see improvements.
  • After joking and some persuasion, she started to take the herbs without resistance. Then we have to bribe her. We gave her some money, and she would drink the tea voluntarily.
  • Sister: I left my family and came to stay with her for more than two months.
  • Early every morning I bring her out for a walk in our housing park. She walks around the basket ball court. Depending on her strength she would walk four to twelve rounds each morning.

Things went on fine. Then at the end of August 2011, Suri had a fall – ending up with two lumps on her head. Then she developed severe headaches.  Her sister called us. I requested that they come and see me immediately.   Suri, her husband and her younger sister flew to Penang on 28 August 2011 to undergo the e-Therapy at our centre. Unfortunately, this was the most awkward time to fly – Ramadan. Flights from Jakarta to Penang on all airlines were fully booked. They had to fly business class on Malaysian Airlines. It cost US$1,025.80 (8.6 million rupiahs) per person – and there were three of them!

From my observation being with them for many days, her husband and her younger sister were very dedicated caregivers. I salute them for their commitment and dedication. When they were here in Penang, we worked through the Hari Raya and Independence Day holidays. Every morning Suri underwent the e-Therapy. The results were just beyond our expectation.

This is the most rewarding experience for all of us – the patient and her family and me and my  wife.

Read the full story …

Part 1: Hope after a disaster

Part 2: A week of amazing healing

Part 3: Reflection and confession of a husband

Part 4: What it takes to be a winner

Update: 6 August 2012

Hello Prof. Chris,

This morning Suryana Tukiman call me and we had a talk. Now his wife has already started to take our herbs again. According him the Neurosurgeon was surprised to see the MRI result of the Brain …  full with white marks  but she is still alive and healthy after 1,5 years suffering cancer. The paralysis is due to the tumor pressing onto the motor nerve.

Now they use the NGT for food, juice and herbs into her stomach. But as you can see on the photo … she looks healthy, only a little bit skinny. These photos were taken this morning after Tukiman finished talking with me. I asked him to take these photos so I can send it to you. Teddy.

Lung-Brain Cancer: An Impossible Healing Part 3: Reflection and Confession of a Husband

When a lawyer makes a mistake, he loses his case in court; When an engineer makes a mistake, the building collapses; But when a doctor makes a mistake, it gets buried in his patient’s grave  ~ A Cancer Patient

Acknowledgment:  We thank the patient and her family for sharing this bitter-sweet story with us. Permission to use these video clips without having to cover their faces is granted by the patient’s husband.

While Suri was undergoing the e-Therapy at our centre in Penang, we took the opportunity to interview her husband. This is an opportunity to get to know in greater detail about what had really happened.  Below are excerpts of our conversation over a period of three days – 30th and 31st August and 1 September 2011.

 

 

1.       The Surrender and Started on Sutent 

  • Actually her problem was detected in 2007. Examination showed a small dot in her lung. She refused to do anything about it. In 2008, while on a holiday trip to China with some friends, she became breathless and vomited. On her return from China she went to Singapore for consultation. Scan showed a large tumour in her lung – probably Stage 3A.
  • She underwent medical treatment for her lung cancer. Unfortunately her health deteriorated. Sometime in February 2011 she complained of poor vision. The eye specialist told her this could be due to cataract. But suddenly she developed severe headaches.
  •  When was she not able to walk? You came to see us in May 2011. About three months before our first visit here. Suddenly her condition just “drop” severely accompanied with severe headache. So when she came here she was not able to walk, her vision was poor – unable to recognize people around her, her left hand and right leg had no strength. Before that she was okay.
  • We brought her to Singapore to do chemotherapy. After the chemo, her condition “dropped” further. We brought her back to Jakarta and did another cycle of chemo.
  •  After that we brought her back to Singapore again to do more chemo. But “someone” up there seems to intervene. She did not have enough white blood cells. So the oncologist could not give her anymore chemo.
  • If her WBC was okay, would you have done the chemo?  We would. I fully believe in the doctor. Daughter: But I never agree to chemotherapy since the very beginning.
  • Daughter: The oncologist surrendered … she gave up. She suggested taking Sutent saying that many of her patients were cured after taking this drug. The doctor told me, “Bring this medication (Sutent) home and try it.”
  • A table of Sutent cost S$210. She took a tablet a day. She had more pains after taking the Sutent. The side effects for her were:  increased blood pressure, headaches and diabetes.  I asked the doctor why she prescribed this drug to her. The oncologist replied, “Many of my patients took it and get well. Go home and try it. If it works it works. If not she just … (gesture with his bent finger).
  • Before she took Sutent, did you not ask if the drug can cure her? No one dares to answer such a question. The oncologist told me, “I cannot say. The only one who knows the answer is the one up there!”
  • After she took Sutent her consumption of Panadol gradually increased from one tablet per day to six tablets per day.

 

 

2.       I regretted – Money Does Not Buy Cure 

  • For all the treatments – radiotherapy, Iressa, Tarceva, chemotherapy and Sutent – the total cost came to more or less 2 milyar rupiah (1 milyar is 1,000,000,000 – nine zeros) which is about S$300,000. The cost of one tablet of Tarceva is S$195 and she took this for about 2 years. One tablet of Sutent cost S$210 and she took this for a month plus. One chemo cost about S$7,000. I was curious about one expenditure item of S$120.00. After an enquiry I was told that it was the cost of the chair (plus services provided) which my wife sat on while receiving chemotherapy. The doctor’s consultation cost S$150.00, if I am not mistaken. I was also told to only buy the drugs from the doctor. I was told that cheaper drugs bought outside the oncologist’s clinic could be a fake. I believed everything what the doctor told me.
  • It is okay to spend that kind of money if there was a cure. But there was no cure. I regretted for going to Singapore for the treatment.
  • Let me confess. I was full of remorse. I regretted because even before she went for chemo, my relative in Penang had suggested that we try the herbs. I refused to entertain that idea. In my mind, that is all hocus pocus. How can herbs be better than the doctors in Singapore? Herbs are just traditional stuff and if they are that good then all doctors will have to close shop. So I dismissed the idea of taking herbs as being absolutely nonsensical.  I say again, I regretted this very much.
  • The doctors told her to eat anything – to make her stronger. And when she regained her strength, she got “hammered” with the chemo again. The cycle went on and one. Where do we go from there? On reflection, I begun to see how illogical it is.
  • While we were in the hospital in Singapore, I saw a patient from Medan. This patient had been going in and out for the past eight years – coming for chemo and chemo. There was no end to it. I was afraid to ask the details of what had really happened. Anyway the patient eventually died after eight years of struggle. It struck me – this is a prolongation of a meaningless survival.

 

 

3. CA Care, the Last Hope

  • In low voice, Suri’s husband said, “Actually my wife requested that I leave her to die. She did not want to suffer any more.” At that point, a distant relative in Penang called us and suggested that we try CA Care. I had a discussion with my children. We shall abandon further medical treatment and go for herbs. At that time we were hoping for pain relief. We would accept if she dies but not to be in pain.
  • When you first came to CA Care, did you ever believe in what we do? I made it very clear to you from the very beginning that I cannot cure you. What you told me that night was most sensible. Stop taking all the bad food that encourage cancer and then use the herbs to help the body against cancer. This makes a lot of sense to me. 
  • We gave her the herbs for a week. She spat it all out onto our face. My relative talked and joked with her. When she was more relaxed we held her down, squeezed her nose and forced the herbs into her throat. After three days of doing that, there were less headaches. We had more confidence in your herbs.
  • She has been on the herbs for 4 months now, have you got anything to say about that? I would like to say thank you so much for helping us. I don’t know what to say. We have been doing this therapy everyday and you didn’t even charge us (broke down and cried). If you want me to worship you, I would do that.

To this Chris replied, Don’t worship me.  Worship God and give thanks to Him. It is not me who do all these. I was just doing my best to help. My two children are doing well with their Ph.D.s. What we are doing here is not about money. In life money is not all important.

  • It is hard to do “good” for others. If you have not experienced what it is like to get cancer, you cannot understand what we are doing and why we are doing this work. 

I understand. I have gone through this suffering for two and half years now. I know what you mean. That is why I am spreading words around about my wife. Many people saw my wife’s improvement.

  • My job is now done. I have nothing else to offer. Now it is your turn to take care and heal her. Never, never ever make any mistake again. Second, take care of her diet well.

Comments

It is not necessary for me to add any more comment. The story and the videos should convey enough messages.

We recognize that the work at CA Care is at odd with current medical thinking. Modern medicine wants to kill or shrink the tumour. And in the process kill the patients too. In The War on Cancer – an anatomy of failure; Dr.  Guy Faguet , a cancer researcher and medical doctor, wrote, “An objective analysis of cancer chemotherapy outcomes over the last three decades reveals that … the cell-killing paradigm has failed to achieve its objective … a model based on flawed premises with unattainable goal, cytotoxic chemotherapy in its present form will neither eradicate cancer nor alleviate suffering” (pg.89).

Dr. Ralph Moss, Ph.D., a highly respected advocate of non-conventional cancer treatment, said, “  If you shrink the tumour by 50% or more for 28 days you got the FDA’s definition of an active drug …. (but) when you see if there is any life prolongation from taking this treatment what you find is all kinds of hocus pocus … this is the great lie about chemotherapy.”

At CA Care we teach patients to live with their cancers. Concentrate on what matters. We don’t know how to cure your cancer and we don’t pretend we can cure your cancer either. But like in this case, we know how to make your life better – if you can eat, sleep,  walk, have no pains and can have a bit longer of meaningful life– what else do you want? Now, we say – Patients, you have a choice! Whatever you choose, is your prerogative. But it is you, and I emphasize –  you and you alone, who are responsible for that choice.

 

Read the full story …

Part 1: Hope after a disaster

Part 2: A week of amazing healing

Part 3: Reflection and confession of a husband

Part 4: What it takes to be a winner


Lung-Brain Cancer: An Impossible Healing Part 2: A Week of Amazing Healing

Suri started the e-Therapy at our centre from Sunday 28 August 2011 – everyday (inclusive of the Raya Hari and Independence Day holidays.) The only thing I can say is, It is most rewarding to see how she benefited from what we do here. It is fun to joke with her and see her infectious smile! An inspiring experience indeed!

Happy Hour at CA Care

  • When she is not in pain, she is happy. She would tell stories and sing.
  • She is able to react to the environment and respond to our questions, etc.
  • Before the e-Therapy, she was feeling “cold” and could not take to the air-con in the room. After a few days, she was fine – no need thick clothings or a cap to cover her head.
  • Everyday her strength seemed to increase!
  • Each morning her husband shared with us Suri’s dream. One night she dreamt of eating a certain kind of fruit – she couldn’t remember the name. Suri made her sister name all the fruits. At last one name came up, “duku” and yes, that was the fruit that she ate! One night she dreamt of a person wanting to sell her a Mercedes Benz. She did not get to buy the car because her husband woke her up. Then the next night she dreamt of buying an expensive diamond ring.

The following is an interview with her husband on 5 September 2011 – after undergoing 8 cycles of the e-Therapy.

You came to see us on Sunday 28 August 2011. You had to pay over a thousand US dollars for each ticket. And there are three of you. That’s a lot of money. Why did you want to spend that kind of money when at ordinary time it cost only about US$150 to fly return?

Husband: This is because my wife is very important to me. She was in a lot of pain and I didn’t know what to do to help her.  So I have to fly in immediately to see you.

As I told you that night, I cannot guarantee good results but I would do my best to help her. But deep inside me, I felt that I could “win”.

H: Yes, we agreed that we would try.

On Sunday night (28 August 2011) we started the e-Therapy. This is Monday 5 September 2010. That means she had undergone 8 cycles of the therapy. Do you see any difference in her?

H: Wah, tremendous improvements. This morning is the best results I have seen. This morning she can shake her feet. This was what she used to do when she was healthy but since she had cancer she could not do that anymore.

So you really “see” improvements?

H: A lot of improvements. I  have not seen  such great improvements. You see, just now she could stand up by herself – something that she could not do before.

So are you satisfied with the results?

H: Extremely satisfied – very, very satisfied.

When you first came last Sunday, she had a few problems. What were these problems?

H: First, she had severe pains in her head. She is a person who can tolerate pain. And yet I could “see” that she was suffering due to this pain. It is so extraordinarily painful.

Is the pain less now?

H: No more pain – totally gone.

With regards to her movements – when you first came here, could she walk?

H: Wah, when we came last Saturday, we had to use the wheel chair. When we got to the door of the airplane, she switched to a narrowed wheel chair to  go through the aisle.

What happen now?

H: Now, she can walk!

So, are you certain that she has improved?

Yes, now she can take the herbs five times a day without any problem or protest.

What about her mental response? Can she respond to what you say to her?

H: Yes, if she sits quietly, she begins to remember many things.

Before this, can she respond to your questions?

H: Depends. Yesterday she was very, very angry with her sister. She was not allowed to eat “wan tan mee.” So she refused to talk to her and would not answer her. But during ordinary time, she can tell stories, sing and reply to our questions.

Is she aware and sensitive to her surrounding now?

H: Yes. (Note: the first few days at our centre she could not stand the cool air-conditioning of the room. She had to wear a sweater and a cap to cover her head. After a few days she did need these anymore).

Are you happy and satisfied having to go through all the trouble to come here?

H: Extremely satisfied. Let me honestly tell you this. When the Singapore oncologist “surrendered” and would not give her more chemo, I told all my children – “We shall go for herbs and hope that she would not suffer any pain. If she has to die, let her go in peace without any pain”. Pain is terrible. But after two months on your herbs, she started to recover – extraordinary healing indeed. It is a miracle (mujizat). It is Godsend. I did not expect this at all. I have suffered for two and a half years when she was undergoing her medical treatments. Come 9 September 2011 (4 days more!) she would have been on your herbs for four months.

Very good (sigh) I am real happy to be able to see her getting better every day.

H: I am extremely happy.

Read the full story …  

Part 1: Hope after a disaster

Part 2: A week of amazing healing

Part 3: Reflection and confession of a husband

 

Part 4: What it takes to be a winner

Update: 6 August 2012

Hello Prof. Chris,

This morning Suryana Tukiman call me and we had a talk. Now his wife has already started to take our herbs again. According him the Neurosurgeon was surprised to see the MRI result of the Brain …  full with white marks  but she is still alive and healthy after 1,5 years suffering cancer. The paralysis is due to the tumor pressing onto the motor nerve.

Now they use the NGT for food, juice and herbs into her stomach. But as you can see on the photo … she looks healthy, only a little bit skinny. These photos were taken this morning after Tukiman finished talking with me. I asked him to take these photos so I can send it to you. Teddy.