Pain Gone After e-Therapy

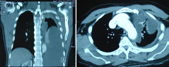
Jane (not real name) was a 47-year old lady from South Africa. She lived with her husband and their dog in a boat that sailed around the world. The happy family had been sailing like this for the past 15 years. Sometime in mid-2013, they landed in Malaysia. Jane developed breathing difficulty and was subsequently diagnosed with lung cancer. CT scan showed a 3.2 x 4.1 x 6.7 cm mass in her lung.

Jane was asked to go for chemotherapy but she refused. She was in severe pain when she came to seek our help. One way to help Jane with her recurrent persisted pains was to put her on the e-Therapy.

Listen to what happened to her.

 

 

Day 1: After detox 1 and detox 2: She went through “hell”. She felt very tired and the pains were more severe.

Day 2: She had nausea, was very tired and the severe pains persisted! She became very irritable, did not feel like eating and it was pain, pain, pain – all the time.

Day 3: In the morning, things seemed to improve a little bit. She became less irritable and less nauseous. However, the pain remained the same.

In the evening, Jane had more of the e-Therapy (almost 2 hours). She had hot flushes, she had a lot of sweat and felt something “moving” inside. The pains did not improve.

Day 4: She awoke at 3 a.m. and felt real good! I jumped out the bed. No pain. I felt absolutely healthy. Jane had more of the e-Therapy in the morning. She walked some distance to an organic shop for lunch. Her pains started to come back.

Day 5: I felt good, rested and it was fantastic.            

Day 6: Jane was better off today than she was on Day 1.

Comment

boat

We were glad to be able to help Jane with her pains. The next day, she sailed away with her boat (picture) and we never get to see Jane again. Later we received an e-mail from her husband saying that Jane had passed away on 1 January 2014. The cancer had spread to her brain. It was indeed unfortunate that we were unable to help Jane using herbs because her “Caucasian” stomach would not tolerate them.

 

Up On My Feet Again Four Days After Another (slipped disc) Attack

What does earthquake and backache (or slipped disc) have in common? Both are unpredictable. They strike at any time – at any unsuspecting moment. Let me share with you what happened in this second week of April.

On Monday morning, 9 April 2012, I was getting ready to go to our cancer centre. As usual I went to my computer to check if I have any emails waiting to be answered. The Google Chrome did not work!  I looked at the wire connection and thought it could be due to some misconnection. I bent down to check. I turned a bit and twisted my back! I could feel the muscle “snapped.” Initially it did not feel that bad. I could still go downstairs to have my breakfast. Then I went upstairs into my study to try to “repair” my back. After all I expected to have a busy morning at the centre – formulating all those herbal teas that had to be replenished. But it was not to be. The problem became more serious. I thought I should just stay home. I sat on my reclining chair and did the e-Therapy, using my favourite program – Lumbago. It did not work! In fact, it gave me more pain. I felt tightness of my stomach muscle. I could not stand up straight after being in a sitting position. Then I found it hard to walk. Lying down or etting up was a torture. The amazing thing was – I did not feel any numbness in my feet.

So for the whole day, I stayed in bed – reading many books! Since I could not walk much, I had to take lunch and dinner in our bedroom! Wah, good to have a loving wife sitting together for (sorry, not candle light) dinner. Then it was back to bed again to rest by “fragile” back. I did more programs from the e-Therapy machine, such as Backache & Spasm.

Day 2: Tuesday 10 April 2012. I did not get any better! It seemed that the machine was “useless”. It was indeed a difficult day – painful to wake up, painful to sit up straight and painful to lie down. I had to use a walking stick to push myself up.  But when I lie down on my back, I was just fine. But turning to the left or right was painful. Unfortunately, I did not video tape what I had suffered. But to give you an idea of I went through, just see the video of this Aceh lady – how she struggled to get up and walk. Yes, I was just like that, more or less.

Then I remembered that I had appointments with two patients on Wednesday (tomorrow). One was from India. It would be unfair if I could not meet this person who had to fly all the way from India. I managed to write an email to him asking if it was possible to defer his trip. I wrote the same to another patient in Kuala Lumpur. Good that both understood my situation and agreed.

I did not let up on using the e-Therapy but the problem did not seem to improve. I took a few doses of the Backache Wine over a period of time. These generally would help based on previous experiences. But the wine did not help either. What has gone wrong? With this same therapy, I managed to help others “like magic” but I could not do that for myself? Was this just a placebo effect that we the alternative practitioners are often being accused of? It is all in the mind! And my mind cannot work on me?

Day 3: Wednesday 11 April 2012. My condition improved slightly. There was less pain and less muscle tension. Actually when I was lying down I felt great. I was my normal self in that position. In fact I told my wife that if the person in India comes because he has already bought his plane ticket, then what we could do is – let him come and see me in my home. I can still talk – just cannot walk around too much. Fortunately we did not have to come to that.

In the late afternoon – the house trembled! I was in bed reading. I felt the bed shaking lightly at first and then it became more violent. The glass panels of our three-tier- from-floor-to-ceiling book shelf rattled vigorously.  I thought it was going to topple down. The shaking lasted for quite a while and then stopped. That was the 8.7-magnitude earthquake off the coast of Sumatra.

Day 4: Thursday 12 April 2012. I felt much better. I was able to walk downstairs and have my meals – breakfast, lunch and dinner. It looked like I would be okay by tomorrow! I found out that the e-Therapy program: Muscle Spasm and Detox seemed to make me better.

Day 5: Friday 13 April 2012. This is our cancer care day. I was able to go up and down the stairs with a lot more confidence. I took a walk in the garden. And just be sure that I would be well rested for our afternoon consultation, I remained in bed all morning. Then at about 2.30 p.m. we went to see patients at our centre. About a dozen patients came for help that afternoon. The consultation session ended by 6.30 p.m. I came home to take a rest.

Day 6: Saturday 14 April 2012. Great day! I could manage to sit up in front of my computer and write the first draft of this story! Yesterday’s consultation session with patients did not cause any adverse effects. But I was aware that I was still fragile. I felt my back was still “soft” – perhaps could break any time!  No, I have no more pains when waking up or lying down. There were no pains when I stood up. I could walk about without a walking stick.  I could now bathe by myself but I could not bend down to wipe and dry my legs! Yes, I did recover. But not fully yet!

At the end, I realised that the e-Therapy did not let me down! Perhaps I was expecting too much too soon. Okay, let me go back to my bed and rest. I should not be sitting down in front of the computer for too long!

In the evening we brought our visiting relatives for dinner in town.

Comments

  1. I am aware that there is no cure for low back pain. It will recur and recur. I just have to be careful and try to avoid any situation that can cause it to come back. Indeed it is hard to anticipate. It can strike at any odd moment at any place. I just have to learn to live with it.
  2. This was not the first time I suffered from such problems. It happened many times before. The first two times landed me in hospital. That was in the “good (or bad?) old days” when I believed modern medicine could solve all the world’s problem. I have written about this earlier (see  My Own Personal Experience With Lower Back Pain)  With a problem like this, the obvious reaction is to rush to the hospital. No, I did not do that now.  I just wanted to relax and allow my body to heal. It is not an emergency!
  3. This week’s episode is just unfortunate but it was one of the worst that I have ever suffered since the past many years. Nevertheless, I thought I could handle it myself. My earlier experiences with the orthopedic taught me  that I need not rush to the hospital for this kind of problem. I just need to take care of myself. I would “reserve” going to the hospital for some other more serious problem!
  4. While in bed, I took time to read many books. I read Mitch Albom’s – Have a Little Faith and Randy Pausch’s The Last lecture. Professor Pausch had pancreatic cancer and underwent surgery and chemo. Then he ended up with 10 spots in his liver and was told he had a few months to live. Read this if you have time.  I also read Life Before Life – documentation about young children telling about their past lives. Then I read some chapters of Michio Kaku’s, Parallel World, Bruce Lipton’s, The Biology of Belief and Jerome Groopman’s,  How Doctors Think. So, it was a time well spent in bed.
  5. Those of you who have this e-Therapy machine – can you read at the same time you do the program? No, you have to hold the hand-set! About a month ago, I made a bit of modification and instead of using the hand set we could also use a stick-on electrode (used for ECG, etc.). So, this time I have the opportunity to try out this hands-free treatment on myself for the first time. So with my hands free, I can do other things. Real cool!

Let me conclude by quoting some of what Dr. Jerome Groopman wrote in his book, How doctors think.

  • How doctors think about a problem like chronic low back pain is heavily influenced by the speciality that they are trained in – who you see is what you get.
  • Each of the various muscles, tendons, bones, joints and ligaments in the lower back contains sensory nerves that can transmit messages of pain through the spinal cord to the brain. There are also organs in the abdomen and pelvis that, when they become inflamed or diseased, can signal pain in the back. Given all of these structures, the source of the chronic low back pain is often a mystery. Doctors can be hard-pressed to identify why a patient is uncomfortable.
  • Each approach to diagnosis and treatment is essentially a “franchise,” and that too many franchises are battling for control.
  • The technology has also developed rapidly. New sorts of screws, rods, and cages, as well as other devices, can be inserted into the spine. These instruments are aggressively marketed and generate high profit margins for both the manufacturer and the hospitals that use them.
  • Research showed that 85 percent of patients who suffer from low back pain cannot be given a precise diagnosis; the pain is usually vaguely ascribed to “strain” or “sprain” in the lumber region. It turns out that the diagnosis is not critical, because the outcomes tend to be similar anyway. With acute low back pain, 90 percent improve within two to seven weeks without specific therapy. Even with an acute ruptured disc … 80 percent feel significantly better within six weeks without surgery. Over time the disc retracts, so it no longer presses on the nerves and the inflammation subsides.

Wow! Lower back pain heals by itself but it takes about two to seven weeks to do so. So, I am not doing badly  – being able to be on my feet after a few days!

Update: 30 April 2012 

I was able to drive to the Botanical Gardens and walked around. There was not more pain anywhere in my body. It appeared that I was back to my normal self again. One lesson learnt: As one gets older, the body will need more time to recover from any health challenge!

Ovarian Cancer: After Surgery Left Leg Swollen, Painful and Uncomfortable – Herbs and e-Therapy Helped Her

SLK (S51) is a 49-year-old Indonesian female. For about a year she had complaints of abdominal distension with mild abdominal pain on and off.  She suffered occasional pain during menses. An ultrasound showed a large right ovarian cyst with nodules within it.

SLK came to a private hospital in Penang and underwent a surgery on 4 October 2011.

Things did not turn out right for SLK after the surgery.

  • She was discharged after 8 days in the hospital for her surgery.
  • After being discharged from the hospital, SLK suffered cramps and muscle pull in her left thigh. She had to be hospitalized again. This time it was for 6 days.
  • Unfortunately the pains and discomforts in her leg did not go away. The doctor told her that he had done his best and could not offer any more help.
  • The next day, on 20 October 2011, a desperate SLK and her family came to CA Care. They wanted us to help SLK with the pain in her leg.
  • Unfortunately there were no medical reports and we did not know what had happened. We told the family to go back to the doctor and ask for all the medical records.  We did not get to see SLK again after that.

On 23 November 2011, SLK and her husband came back to see us again – this time with a photograph of the ovarian cyst that had been removed and its histopathology report.  The histopathology report dated 14 October 2011 indicated clear cell  adenocarcinoma of the ovary. Endometriosis.

Let SLK tell her story.

Gist of our conversation:

  1. The surgery for my ovarian cancer was done on 4 October 2011. Before the surgery I was able to walk without any problem. But before that I used to have cramps in my left leg – but no swelling.
  2. There were some varicose veins in my left foot.
  3. Four days after the surgery, my left calf became uncomfortable – muscle pull.
  4. On 12 October 2011, I was discharged from the hospital, i.e. after eight days.
  5. But on 14 October 2011 I had to be readmitted into the hospital because my left leg became swollen. It was painful and heavy. I was discharged on 19 October 2011. While in the hospital I received a total of 12 injections – 2 injections a day. In addition I took Warfarin and Dalfon (a non-steroidal anti-inflammatory drug). These medications did not help much. I was still in pain and my leg felt uncomfortable.
  6. That was why on 20 October 2011 we came and see you.
  7. We returned to Jakarta on 2 November 2011. At that time my leg was still swollen, but the size had somewhat reduced.
  8. At home, I continued taking the doctor’s medication – Warfarin and Dalfon.
  9. I came back to Penang again and saw my doctors (the surgeon and blood specialist-oncologist) on 18 November 2011. The oncologist asked me to continue taking the Warfarin for another six months and this time with an increased dosage. The doctor said I would be cured after six months.  In the meantime, I was asked to undergo chemotherapy for my ovarian cancer.
  10. I refused to undergo chemotherapy. I also did not want to take the Warfarin anymore. We waited for you to return from Laos and came to see you.

CA Care from 23 November to 28 November 2011

  1. I took the herbs that you prescribed me and also underwent the e-Therapy. These treatments helped me.
  2. After three times of e-Therapy, I could now walk. And my leg did not swell any more. Previously if I walked, my left leg become swollen. I could now walk to the market and also travel by bus. I felt lighter when I walked. Before coming to CA Care I could not walk like I do now.
  3. Husband: Now she can walk so far – from Gurney Park to Pulau Tikus market – with no problem. Before your treatment, we had to take a taxi to come and see you. Now we just take the bus and walked to wherever we want to go.

Watch this video carefully and see how SLK walked, before and after the herbs plus the e-Therapy

 

Pancreatic Cancer: Severe Itch Disappeared and Health Improved After Herbs and the e-Therapy

Bak (M952) is a 56-year-old male from Indonesia. Sometime in November 2010, he complained of itchiness but he did nothing about it. In April 2011, he went for a checkup in a hospital in Aceh, North Sumatera. He was told there was a tumour in his bile duct. On 8 April 2011, he came to Penang for further checkup. CT scan of his abdomen and pelvis indicated the following:

  • A rounded hypodense lesion seen in mid-transverse colon measuring 10.5 x 21.3 mm. The doctor was unsure of what it was polyp ?
  • Pancreatic head and uncinate process carcinoma with distal CBD (common biliary duct) obstruction.
  • Left inguinoscrotal hernia.

His liver function results on 8 April 2011 are as follows:

Parameters

8 April 2011

5 October 2011

Total protein

79  H

76

Albumin

26  L

34

Globulin

53  H

42

A/G ratio

0.5  L

0.8  L

Total bilirubin

284.4  H

62

Direct bilirubin

212.2  H

Indirect bilirubin

72.2    H

Alanine transaminase

90   H

44

Alkaline phosphatase

222 H

62

GGT

67   H

68  H

AST

110 H

46  H

Alpha-fetoprotein

4.62

CEA

3.5

CA 19.9

1569.55

7.9

Bak was asked to undergo an operation for his pancreatic cancer. He declined, but he opted for ERCP (Endoscopic Retrograde Cholangiopancreatography). This is a specialized technique to clear off the bile duct obstruction. Three plastic stents (tube) were installed to help with the flow of the bile. The total cost of hospitalization came to RM 4300.

After this procedure, Bak was asked to undergo chemotherapy. He refused. Instead, on 10 April 2011, he came to seek our help. He presented with the following:

  • Severe itch throughout the whole body
  • No appetite
  • Fevers, unable to sleep
  • Diarrhoea
  • Yellow urine

We had no choice but to put Bak on the e-Therapy hoping to help him with the itchiness. After one session of the e-Therapy, the itchiness was reduced. After two sessions, his itch was reduced by 50 percent. After four sessions of the e-Therapy his itch was totally gone. Bak had fevers. We prescribed him with Appetite & Fever tea. After taking a glass of this tea, his fevers were resolved. Then he went home to Aceh.

On 7 July 2011, Bak came back to see us again. He said for the past two weeks, he started to itch again. It came on and off and affected the palms, elbows and feet.  We were not able to put him of the e-Therapy because he had to go home the next day.

On 5 October 2011, Bak showed up at our centre again. This time he came specifically for the e-Therapy. Bak said that since taking the herbs in April 2011, his health had improved. He felt more comfortable, his sleep was better and he felt more energetic. Previously he had to wake up 4 to 5 times a night to urinate. After taking the A-Kid-6 tea his urination frequency has reduced to only once a night. He started to itch again but this was not as serious as before the e-Therapy. Before the e-Therapy the whole body was itchy and he had to scratch until the skin bled. Now the itch was confined to his elbows and feet only.

A blood test was done on 5 October 2011. The results showed improvements in his GGT, AST and CA 19.9 (Table,   Column 3).  Bak underwent the e-Therapy again from 5 October to 11 October 2011. After two sessions, the itch reduced by about 50 percent. By 10 October 2011, six days on the e-Therapy, the itch was almost totally gone. What remained were the itches on his finger tips.

Over the past six months since taking the herbs, his health had improved, his sleep was good and so was his appetite. The e-Therapy had helped tremendously with his itchiness.

The video clip below documented his progress with the e-Therapy.

 

Breast Cancer: Herbs and e-Therapy Restored Her Wellbeing After 106 Times of Radiation Treatments Part 4: Radiation Helped but Did Not Cure, Tamoxifen Disastrous

Acknowledgment: Permission to use this video without having to hide her identity is granted by the patient.

This is a bitter-sweet story of Le, a 37-year-old female from Indonesia. She came to us on 14 October 2011 after having been diagnosed with breast cancer that had probably spread to her lungs. She had undergone 106 radiation treatments besides taking a variety of supplements. She presented with aches and pains throughout her body, especially the joints. She could not bend her fingers.  She could not sleep well and she had coughs.

You did radiotherapy – how many times of radiation did they give you? Le: One hundred and six.

Are you sure? Is that correct? Le: Sure, correct. I received 25 treatments on my left breast (a), then another 25 times below my collarbone (b). Another lump appeared on my right breast and I again had 25 treatments for my right breast (c). Then they radiated my ovaries – that was done for six times. The cancer spread again to my left breast and I again had 25 treatments (d). Actually I have just completed the 106th treatment a few days ago. Then I came here.

You got one treatment a day, so this means you have been going to the hospitals for at least 106 times then? Le: Yes.

Do you want some more radiation? Le: Oh no. I don’t want anymore. That is why I came here. Every time I went for radiation, I prayed, “O god please help me to stop this radiation treatment”.

While undergoing radiation, you were told to take Tamoxifen? Le: Yes, before they radiated my right breast. Husband: About three months ago, around August 2011.

So in August 2011, you started taking Tamoxifen and at the same time had radiation? Le: Yes and ten days after taking Tamoxifen my left wrist swelled. It was a soft swelling – not hard. Then my right wrist also swelled. This was bigger than the one on my left wrist. I had pain when I bent my wrists.

Did you ask the doctor why this swelling? Le: The doctor said the cancer had spread to my wrists. Husband: No, the doctor said the cancer had spread to all her bones.

And you still continued to take the Tamoxifen? Le: Yes. Then within a month, I lost my strength. Husband: The swellings in her wrists were “hot”. Le: Every joint  in my body felt “hot”.  After a month of taking Tamoxifen I was not able to walk.

You couldn’t walk? Le: Yes, I could not walk (demonstrate her physical disability).

Before you took the Tamoxifen, were you able to walk? Le: Okay, no problem. I could exercise and do the “Thian Kung”. Husband: After taking Tamoxifen, she could not walk.

Then what did you do? Le: I took supplements and drank coconut water. The situation improved.

Did you become normal again physically? Le: No, not until I came here (CA Care Penang). After I took your herbs and did the e-Therapy, I can now stand up straight. Before this I could not do this.

Read her full story:

Part 1: Well Being Restored After Two Days on Herbs and e-Therapy

Part 2: Alternative Therapies  –  My Twenty-One-Million-Rupiah Per Month Treatment

Part 3: Why I Declined Chemotherapy / Medical Treatments 

Part 4: Radiation Helped but Did Not Cure, Tamoxifen Disastrous

Part 5: My Dreams and Near Death Experience 

Part 6: My  Four Days of Healing at CA Care  

Breast Cancer: Herbs and e-Therapy Restored Her Wellbeing After 106 Times of Radiation Treatments Part 1: Well Being Restored After Two Days on Herbs and e-Therapy

Acknowledgment: Permission to use this video without having to hide her identity is granted by the patient.

It all began with a small lump in my left breast. I ignored it. Some years later, I went to see an oncologist. He asked me to undergo a biopsy and later operate. I declined. I opted for alternative therapy. I took all kinds of supplements (See Part 2: Alternative Therapies  –  My Twenty-One- Million-Rupiah Per Month Treatment).

The lump grew bigger and eventually burst. It was then that I went to see a radiologist and underwent radiotherapy. I had my first radiation treatment in November 2009. I received 25 treatments for my left breast. The tumour shrunk and eventually disappeared.

Three months later, another lump grew just below my neck. It grew bigger and bigger. I again received another 25 radiation treatments for this. The lump also disappeared after the treatment.

Four months later, two more tumours appeared, one on each of my breasts. I again received 25 radiation treatments for each of my left and right breasts.

I also received 6 radiation treatments for my ovaries.

While on radiotherapy, another lump appeared just below my left collar bone but this eventually disappeared after I completed the radiation treatment for my two breasts. However, now I have another lump in my abdomen.

While undergoing the later stage of radiotherapy, I took Tamoxifen.  After two weeks on Tamoxifen my fingers became stiff and it was difficult and painful to bend them. After a month on Tamoxifen I was unable to walk. Also, my neck muscles became stiff.  Before the Tamoxifen I was agile and had no mobility problems. I could exercise. I stopped taking Tamoxifen after a month. My doctor told me the cancer had gone to my bones.

Early this month, a good friend in Makassar called me. She advised that I have had too much radiation already and my body would not be able to accept it anymore. I should look for other alternative treatment. But all this while, I had been on alternative treatments. I took all kinds of supplements. My friend suggested that I go to Penang and meet a Chris Teo.

The above is a bitter-sweet story of Le, a 37-year-old female from Indonesia. She came to us on 14 October 2011 after having been diagnosed with breast cancer that had probably spread to her lungs. She presented with aches and pains throughout her body, especially the joints. She could not bend her fingers.  She could not sleep well and she had coughs.

Le was prescribed Capsule A, Breast L and Breast M teas, Pain tea, Lung 1 and Lung 2 teas besides Cough # 10. She was put on the e-Therapy with Detox #2. That was on Friday evening.

On Sunday night (two days later), Le came back and reported as follows.

I went back to my apartment and slept through the night, from 7 pm to 6 am. I woke up just to eat and drink the herbal teas and then went back to sleep again.

Before this therapy, were you able to sleep? Le: Difficult.

On Saturday (no e-Therapy but only on herbs) did you sleep through the day? Le: Yes. I slept, woke up to eat and then went back to sleep again. I ate corn and fruits.

When you were at home, could you sleep like this? Le: No. At home when I woke up from sleep, I would feel pains. Now, I have no more pain. I could sleep in any position or posture, I had no pain. I was unable to do such a thing when I was at home.

Did you really sleep well – soundly? Le: Yes. I also passed out a lot of “gas” … boot, boot. I would walk to and fro from Kenny’s apartment to the market. I did not have any problem walking. I could not do such thing at home. I would become breathless if I walk like that.

Now, when you walk, did you become breathless? Le: No. Now, I can also hold the broom and sweep the floor. I can now make my bed and fold the blanket. I could not do that before. I could not even lift the blanket let alone fold it. This morning, I even “hit” the pillows.

Now, what other problems do you have? Le: Coughs. Before, I was not able to twist my body around – to the right or left. I would have muscle pull or cramp. Now, no more cramps. After taking the herbs for two days, there are no more body pains.

No more pain anywhere? Le: No more.

So, for the past two days, do you really feel well? Le: Yes. Strong (taking a deep breath).

Do you have any other problem? Le: Only cough now.

Read her full story:

Part 1: Well Being Restored After Two Days on Herbs and e-Therapy

Part 2: Alternative Therapies  –  My Twenty-One-Million-Rupiah Per Month Treatment

Part 3: Why I Declined Chemotherapy / Medical Treatments 

Part 4: Radiation Helped but Did Not Cure, Tamoxifen Disastrous

Part 5: My Dreams and Near Death Experience 

Part 6: My  Four Days of Healing at CA Care  


e-Therapy is Effective for Aches and Pains

The e-mails below do not need further comments from us. They speak for themselves!

11 October 2011

Dear Dr Teo,

I have been reading about this e-therapy on your blog and also receive some info about this from your good friend Hanafi.

I am very interested to try this machine and hope it can help me with the pain that I have been experiencing on my right shoulder and upper right arm. I only experience this pain when I am going to sleep.  The pain will disappear in the morning and throughout the day. However, if I raise my hand half way and try to move backward, then I can feel some pressure on my upper arm.

Another reason for wanting to try this e-therapy is because I also have some blood pressure issues.

Since early June, I have been taking your Capsule A, C-tea and Thyroid tea.

Thank you.

Reply: Where are you from? KL? If KL then susah, you have to come to Penang. You need to do a few days to know if it works.

13 October 2011

Dear Dr. Teo,

I am very keen in purchasing the e-therapy machine.  After reading the testimonials from people who had use the machine on your blog, I also feel that I can benefit from the use.  As the price is also quite high, I agree with you that I need to try first to see the effect on me.

I have spoken to Hanafi and he is willing to let me try his machine.  I would probably be able to try this machine this weekend.  Please assist me in giving the instruction as to what type of treatment I should do.

FYI, since the past two days, I had been having this lower back pain that started rather mild on Tuesday afternoon and gets worst yesterday.  The pain seems to radiate from the back and I can also feel inside my body on the right side near the hip sometimes.  The pain is more on the right side than the left. The pain also becomes more pronounced when I move, walk or change position especially doing all these when I lie down.

The pain is also restricting me from moving or bending. When I need to bend, I have to do it slowly to avoid feeling the sharp pain.  The pain is more like a dull muscle ache. What puzzled me is I did not so anything strenuous, had a fall or bumped into anything. In the past I would probably had taken a few pain killers to solve this situation.

Reply: First you must do Detox #2 —that will take 34 minutes. Drink a lot of water, if your face feels tight or if you feel heaty. Next day do Detox #3. Third day do Lumbago #98. After you are done with it, continue with another program Backache #57. Let me know what happens after you do the program.

16 October 2011

Dear Dr. Teo,

I managed to use the e-therapy machine yesterday at 6.30pm.  Kak Inin started on a moderate intensity just to get me have a feel of the treatment.  After doing the Detox #2, I did not feel any changes to my health initially.

When I went to bed last night, I did feel some difference from the previous few nights. I do not feel the pain on my lower back and inside my abdomen. And I can roll from side to side with no discomfort. Also   there was less discomfort on my upper right arm and shoulder.  The pain on my lower back seemed to be less on Friday but got worst on Friday night (day before starting e-therapy).

Another difference that I observed was when I woke up in the morning, It is easier for me to get out of bed.  I can spontaneously sit-up and get up as opposed to a few days back when I have to move my body slowly before I can get off the bed and after 10-15 minute all the body ache will disappear.  I only experienced this backache since last Tuesday (about 4 days back), I did not have this back ache before this.

I also slept well.  Normally, I woke at least once during the night. On bad nights, a few times. So last night I managed to sleep close to 5 1/2 hours straight.

Today, I will try Detox #3. With just 1 session, I am happy that there has been improvement on some of my health issues. Will do this Detox #3 and will let you know the outcome.

Thank you and regards.

17 October 2011

Dear Dr. Teo,

I managed to use the e-therapy machine again yesterday at 3.00pm.

Again I had better sleep last night and pain in my lower back is no longer there.  Pain on my upper right arm and shoulder is also getting better. Generally, my whole body feels ‘lighter’.

As for my blood pressure, the readings are still not below 120/80.

Looking forward to see you tomorrow.

18 October 2011

Our conversation —  Subang Jaya, Selangor.

Experiencing the e-Therapy: A Chat With My Buddy

He is my buddy. We spent our young days in the State of Kelantan and were classmates while in the Agriculture College in Serdang.  In December 2010, my buddy and his family came to Penang for a visit. My buddy’s wife has a long standing problem with rheumatoid arthritis. While at the centre we put her on the e-Therapy. She felt good! That’s another story! My buddy also used the e-Therapy at home.

Listen to what he has got to say about his experience with the e-Therapy.

 

Note: More about my buddy https://cancercaremalaysia.com/2010/12/10/the-story-of-my-buddy-colon-liver-cancer/

 

Medically written off liver cancer: Severe itchiness disappeared after four sessions of e-Therapy

Bob was a 57-year-old male. In early 2010 he went to a government hospital complaining of shortness of breath. Examination indicated irregular hard swelling below the costal margin (liver area). He was jaundiced. A CT scan on 19 April 2010 indicated multiple nodules of varying sizes in both lung fields suggestive of metastases. Soft tissue nodules at the hilum – right measures 1.4 x 1.4 cm, left measures 2.3 x 2.7 cm. Enlarged liver with a 9.9 x 10.5 cm lesion in the right lobe. Multiple lesions present in both lobes of the liver. These may represent metastases.

The doctor asked Bob to go home and wait for his time. This was no treatment for him and he was given a referral letter to the Hospice.

Bob came to CA Care on 7 May 2010 and presented with difficulty breathing and shortness of breath, itchiness throughout the whole body and he was not able to sleep flat.

He was prescribed: Capsule A & B, Lung 1 and Lung 2, Liver 1 and Liver 2 teas. A week on the herbs, Bob’s health improved. He was able to sleep well. He had more energy and his breathing had improved. On 30 May 2010, Bob said his appetite was extremely good. But he was unable to sleep because of severe itchiness. We put Bob on the e-therapy. After a day on the e-therapy, his itchiness subsided and he was able to sleep well. After four days, the itchiness disappeared.

Believing that he was already cured, Bob started to go around with his friends and ate anything he liked. He became breathless and died a few days later. He came to tell us his story a day before he died. Listen to the video below to know what happened.

 

e-Therapy Effective for Rheumatoid Arthritis

My former college mate brought his family for a holiday in Penang. I took this opportunity to have them over for dinner at my home. That was on 3 December 2010. The next morning all of them visited our CA Care centre. This was when something amazing happened!

For the past many years, my buddy’s wife (let’s call her Ani, 59 years old) has been suffering from rheumatoid arthritis. Doctor’s medication did not help her. Each day she moves around with much difficulty. I could see that even walking for a short distance is a “suffering”.

An AcuGraph reading done in the morning of 4 December 2010 showed Ani’s qi or vital energy was very low. I recommended that she takes the Energy Tea. Then I asked Ani: “Do you want me to try and help you with your arthritis? Try the e-therapy machine!” Without hesitation Ani agreed. I said: “Okay, relax on the couch. We will give you the therapy for 17 minutes!”

Half way through the therapy Ani said: “It is good – my ankles have loosened up. I want to have the machine.”  I could not believe what Ani said and asked her again. “Are you sure it worked on you?”  “Yes, I felt better” was the reply. The reason for my skepticism is understandable. I only used a preliminary detox program on her – not the Arthritis program. How could that be?

Three days later, my wife contacted Ani via sms at her home in Kuala Lumpur.

Question: How are you? Better?

Reply: Yes, much better. For three days, I have not taken any painkillers yet. Thank you.

Question: Good, keep it up. Can you confirm again: a) what was your condition diagnosed as by doctors? b) What medication were you on? c) What was the dosage each day?

Reply: a) Rheumatoid arthritis. b) Two painkillers (1) Diclofenac, 50 mg, take when in pain – normally on alternate days (2) Methotrexate, 20 mg once a week. After I took the herbs my conditions improved a lot. Thank you so much.

Question: You mean the Energy Tea? Ha, ha, Good. What programs did you use? Did you try the programs Chris suggested?

Reply: Yes, the herbs worked well on me. The programs I am doing are: Arthritis after the Detox 3.

On 29 December 2010, my buddy called. This is what he said about Ani: “Up to this day, she is doing fine. It is already three weeks and she does not need to take any more painkillers – which actually are killing her! Last week we went back to Kelantan to attend a wedding celebration. She was able to walk without problem –  no pain. Previously after sitting on the plane for a while she had difficulty even standing up to walk. Now, there is no more problem with that.”

Notes on Diclofenac
The brand names of diclofenac are: Cambia, Cataflam, Voltaren, Zipsor, etc. It is a non-steroidal anti-inflammatory drug (NSAID) used to treat pain or inflammation caused by arthritis or ankylosing spondylitis.

Side effects
·         Increases risk of life-threatening heart or circulation problems, including heart attack or stroke. The longer you use this drug, the higher the risk.
·         Increases risk of serious effects on the stomach or intestines, including bleeding or perforation (i.e., forming of a hole). These conditions can be fatal and such effects can occur without warning at any time while taking the drug.

Notes on Methotrexate
The brand names of methotrexate are: Rheumatrex Dose Pack, Trexall, Folex PFS, Methotrexate Sodium,etc. It is used to treat certain types of cancer of the breast, skin, head and neck, or lung. It is also used to treat severe psoriasis and rheumatoid arthritis. In short, methotrexate is an oral, chemo-drug!

Side effects
·         Methotrexate can cause serious or life-threatening side effects on the liver, lungs, kidneys, and bone marrow (immune system).
·         Other possible side effects include: mouth sores, rash, diarrhea, blood count abnormalities, persistent cough, unexplained shortness of breath, gradual hair loss and sun sensitivity.

Concluding remark
It is indeed my privilege to be able to help Ani with her daily suffering. But more important, I think, is the ability for her to stop taking those toxic, “poisonous” drugs.

Ani called and told us the following:

a) She is also using Obesity program – so far she lost 5 kg.
b) Up to this date she has not taken any painkiller and she is well. Before this, she has to take painkiller to help with the pains.
c) Her sleep was very good.

UPDATE March 2011

After the e-Therapy:

1. More active, a new healthier person

2. Lost weight and is slimer

3. Had good sound sleep

4. No need to take the painkiller anymore

5. High blood pressure became normal

6. Lump in her lung was gone

7. Varicose veins much less

More … experiencing the e-Therapy  https://cancercaremalaysia.com/2011/04/14/experiencing-the-e-therapy-a-chat-with-my-buddy/

Unresolved Seven-year-old Stroke Disabilities Vanished Within Three Days

Pak Nias (not real name) is a 55-year-old man from Nias Island, situated about 125 km west ofSumatra on the Indian Ocean. Some years ago the tsunami swept through this island and caused much destruction. As a result of an earthquake that followed, Pak Nias’ house collapsed and he and his wife were trapped in the rubbles. Their bones were broken and they were excavated to a hospital in Medan for emergency treatment.

Before this tsunami, Pak Nias had a stroke in October 2002, and arising from that he suffered the following disabilities:

  • His arms and legs were always in constant pains and numbness. Every day, he felt the pulling pains at his limbs.
  • He could barely lift his two hands above shoulder level. So putting on his shirt was a painful experience every morning.
  • When he walked, he had to take a step at a time and after 10 metres or so, he had to sit down because his legs were painful. He felt heavy and his gait was stiff when walking.
  • When he was in Penang he had to have a massage from a professional masseur. After the massage he felt good for a day but the problem recurred after that.
  • His fingers were stiff and it was painful to bend them. He felt pains when he   touched his fingers. He was unable to even button his shirt. He could not hold a pen with his right hand and had to use his thumbprint for documentation.
  • His right hand had been weak and he could not use this right hand for years.

Pak Nias had seen five neurologists in the private hospitals of Penang. They prescribed him medications but these were not effective at all. He was told: These problems are the results of your earlier stroke. So for the past seven years plus Pak Nias had to endure these sufferings with no where else to turn to for help.

Pak Nias came to CA Care on 15 March 2010 with his wife (who had breast cancer and has been our patient since February 2009). Pak Nias told us about his sufferings. I suggested that he try the CA Care e-Therapy. Within two days he experienced amazing results and on the third day he related his healing experiences. Listen to what he said in this video clip.

For your study, watch carefully his hand movements one day before the e-Therapy and two and three days after the therapy.

For those who don’t understand Bahasa Indonesia, the following are the highlights of what he said.

  • I have no more difficulty bending my fingers and I can touch my hands and fingers without any more pains.
  • I can now lift my arms above my head easily, without problem or pain.
  • The pains and numbness in my limbs have improved tremendously.
  • Yesterday my wife and I went to the shopping mall and we walked from the ground floor up to the third floor, round and round non-stop without any difficulty. I didn’t have to sit down anymore. My legs were strong, unlike before.
  • I can now walk briskly, not step by step anymore.
  • I can button my shirt now.
  • Yesterday without knowing, I realized that I was using my right hand! Something I was unable to do for years before.
  • I feel much better – lebih enak.

Side effects

  • Pak Nias felt sleepy during the e-Therapy but after that he could sleep well –  much better at night without waking up.
  • He passed out a lot of urine and stools, like never before.

Conclusion: Is Pak Nias’ health restored after the e-Therapy? Of course! He is very much better than before! I want to believe that he is telling an honest and truthful story about himself. He could not be making up this story.

Comments: This is an unbelievable story – but at CA Care unbelievable healings do happen very often.  Believe it or not, proven or not, this whole story is being recorded on video and it is the patient who said it all. This tells the whole truth. No, no, some pseudo-scientists would insist that it is a placebo and is unacceptable until and unless it has been published in peer reviewed journal.

Pak Nias’ wife said this: Every time my husband comes to Penang with me, he always prayed that God will show him a way to someone who can help him with his disabilities. Indeed, 15 February 2010 was the day of blessing for Pak Nias. It is our privilege to be His agent of blessing.

I told Pak Nias: But you must also know that it is you and your attitude that makes this possible. I offered to help you with the e-Therapy. You readily agreed and wanted to try. What if you were to say: No thanks! This miracle could not have happened. So in a way you helped make it happen.

Let me tell you this. A few weeks back, I offered to help two of our cancer patients with our e-Therapy. One had pains in his back but said: We shall consider your offer after the Chinese New Year (CNY)! He died soon after. The time frame, after CNY may mean wait for one year!

I have also offered to help another patient, a lady with ascites (fluid in the abdomen).We fixed an appointment to do the therapy. An hour before the appointment, some one called to cancel it. Later, I offered to let her family bring home the e-Therapy device for her to use since I would be away on vacation. The answer was: Never mind, I would only try it after the Chinese New Year! Sadly, after the CNY she landed in the hospital and later died in the hospital.

A lesson that I learnt: Those to be blessed must also be willing and need to play their roles too.Wait, after the Chinese New Year, is never, never a blessed answer!

The e-Therapy Is Not A Placebo

Pak Nias returned to CA Care in mid-April 2010. His regained wellbeing was maintained. This was not a placebo effect. Pak undergone another four days of the  e-therapy and this time his hypertension surprisingly disappeared. He had been taking pills for hypertension pills for the past seven years. After the therapy, there was not further need for the pills.

Multiple Myeloma: e-CA Care Therapy Helped After Twenty-eight Cycles of Chemotherapy Failed Him

Goh (H443) was 58-years old when he was diagnosed with multiple myeloma – a rather rare cancer in Malaysia. His problem started in October 2006 when he complained of indigestion and acid reflux. He went to see a gastroenterologist. Examination showed he had polyps and fatty liver. It was noted that he was anemic (low blood) with low platelet count. A biopsy was done and indicated multiple myeloma.

Goh was referred to a haematologist in a private hospital in Kuala Lumpur. A repeat bone marrow biopsy was performed and confirmed that he had a plasma cell neoplasia, which quite extensively infiltrate the bone marrow.  The marrow cytogenetic analysis showed a complex karyotype which is seen in multiple myeloma.

Goh immediately underwent chemotherapy with Cyclophosphamide, Dexamethasone, Zometa and Thalidomide.  Each of this monthly chemo cycle cost about RM 4,000.  Goh received a total of 22 cycles.

About three years later, in May 2009, Trephine biopsy showed: “Multip0le myeloma with some residual disease.” Goh was asked to undergo another 33 cycles of chemotherapy. A new drug, Velcade – bortezomib  –  was used this time.  This was the so-called targeted therapy and was given intravenously (injection into the vein) twice weekly. Each cycle of this chemo cost about RM 7,000. Goh was told that even if he underwent this treatment  he would get another relapse in two years time. In other words, this treatment would not cure him. In total Goh said he had already spent about RM200,0000 for his treatment.

Goh received 6 cycles of Velcade and suffered severe side effects. He had difficulty breathing and had to be hospitalized. He decided to give up further treatment and came to seek our help on 29 October 2010. In fact we were rather reluctant to prescribe him any herbs for reason that we did not have any experience in healing multiple myeloma unlike other common cancers.  However, Goh insisted that he would like to try our herbs.

  • He presented with severe numbness of the hands and legs. The problem occurred in the evening and at night. He was alright in the morning.
  • He was unable to withstand cold.
  • He was always tired.
  • He had difficulty sleeping and fall asleep around 2 to 3 a.m.

Five months on the herbs and later on the e-Therapy, Goh reported that:

  • He could sleep well.
  • His appetite had improved.
  • His high blood pressure had become normal. Before taking the herbs it was 150+/90+. After taking the herbs it became 120/80.

His blood test results showed a slight improvement after taking the herbs. More important is that his health did not deteriorate (Table below).

25 Oct. 2010 12 Dec. 2010 1 March 2011
Haemoglobin 11.5 12.7 12.5
RBC 3.4 3.7 3.8
Platelet count 135 174 143
WBC 3.9 5.0 3.8
Lymphocyte 28 58 41

 

 

Literature Review on Velcade

The US-FDA approved this drug for the treatment of multiple myeloma in May 2003. It is also approved for mantle cell lymphoma.

Proof of Effectiveness

  • The effectiveness of Velcade is based on response rates.
  • There were no controlled trials demonstrating a clinical benefit, such as an improvement in survival.

Approval of Velcade was based on a study of 202 patients. Patients were administered with Velcade injection twice weekly for 2 weeks, followed by a 10-day rest period (21-day treatment cycle) for a maximum of 8 treatment cycles.

Results showed:

  • 2.7%  achieved a complete response (i.e., 100% disappearance of the original monoclonal protein from blood and urine on at least 2 determinations at least 6 weeks apart by immunofixation, and <5% plasma cells in the 133 bone marrow on at least two determinations for a minimum of six weeks, stable bone disease and calcium).
  • 25% achieved a partial response (50% reduction in serum myeloma protein and 90% reduction of urine myeloma protein on at least 2 occasions for a minimum of at least 6 weeks, stable bone disease and calcium).
  • 17.6% demonstrated a clinical remission (75% reduction in serum myeloma protein and/or 90% reduction of urine myeloma protein on at least 2 occasions for a minimum of at least 6 weeks, stable bone disease and calcium).
  • Overall response rate = 27.7%.

Source:  http://www.medilexicon.com/drugs/velcade.php

 

Side Effects

The following are some side effects of Velcade .

  • Fatigue, generalized weakness
  • Peripheral neuropathy: characterized by numbness and tingling of the hands and feet.
  • Nausea and vomiting
  • Diarrhea
  • Poor appetite
  • Constipation
  • Low platelet count which can lead to increased risk for bleeding
  • Low red blood cell count or anemia
  • Headache
  • Difficulty sleeping
  • Joint pains
  • Swelling of the face, hands, feet or legs
  • Low white blood cell count which can lead to increased risk for infection
  • Shortness of breath
  • Dizziness
  • Rash
  • Upper respiratory tract infection
  • Cough
  • Bone pain
  • Anxiety
  • Muscle cramps
  • Heartburn
  • Abdominal pain
  • Low blood pressure
  • Itching
  • Blurring of vision
  • Blood test abnormalities: such as low sodium, low magnesium, low calcium and low potassium.

 

Comments

 

Mayo Clinic in the United States, is one the world’s premier multiple myeloma treatment centers, with more than 60 years of experience treating this blood disorder. Mayo claimed that although no cure exists. Treatments can prolong survival and greatly improve patients’ quality of life.

Take note that even an outstanding hospital in the world says there is no cure for multiple myeloma. Then, as most oncologists would say, their treatment can prolong life and improve quality of life – do you believe that?

Treatments for Multiple Myeloma

 

Patients may be asked to undergo the following:

1.       Stem-cell transplantation or autologous stem-cell therapy. This involves transfusion of the patient’s own immature blood cells to replace diseased or damaged marrow. This procedure cannot cure myeloma but it can prolong survival.

2.       For those who are not candidates for transplant, then chemotherapy is offered using  any of the following regimens:

  • Melphalan, prednisone, thalidomide (MPT)
  • Bortezomib (Velcade), melphalan, prednisone (VMP)
  • Lenalidomide plus low-dose dexamethasone.

In this case, Goh received Dexamethasone, Zometa and Thalidomide. Goh received a total of 22 cycles over a period of two years. The treatment did not cure him. About a year after the completion of the treatment he suffered a relapse.

Goh was asked to undergo another 33 cycles of chemotherapy using Velcade. After 6 cycles with Velcade he had to be hospitalized for breathing difficulty. It was then that Goh realized the futile effort of chemotherapy. He decided to stop further medical treatment.

Before patients under any chemotherapy /or radiotherapy, it would be prudent for them to ask some basic questions, such as:

  • How effective is the recommended regimen or procedure? What can it do for you? A review of literature indicates that Velcade does not cure multiple myeloma. Its effectiveness is shown as nothing more than a  “response”. It is really disappointing. It has never shown to even prolong life, let alone cure.
  • What are the side effects? Weigh out the harm versus the benefit. You can be sure that treatment with Velcade comes with a host of side effects. In fact, Goh is now experiencing these problems.
  • How much does the treatment package cost? In this case, Goh  would have to spend another RM250,000 for the treatment what would not cure him. This is in addition to the RM100,000 already spent on the first round of chemotherapy.

Having understood your odds – ask this question: Is it worth the gamble? Goh came to seek our help as a last resort. He knew about CA Care long before but he would rather go for medical treatment. Now, he knew that he had taken the wrong path. Five months on the herbs, his health has not deteriorated!  In fact he got better and his quality of life has improved. His sleep was better, appetite improved and he had more energy.  Even his high blood pressure had normalized!

 

 

 

 

Lung Cancer: Pain and Sleepless Night after Chinese New Year Dinner

Sujo (M858) is a 58-year-old male from Indonesia. Sometime in August 2010, he complained of breathlessness when climbing the stairs. A check up with a GP in Medan indicated fluid in his lungs.  Sujo came to a private hospital in Penang in October 2010. A CT scan indicated gross left pleural effusion associated with severe lung collapse. There was lytic lesion at T4 vertebral body associated with erosion. His liver showed fatty infiltration.

Two liters of fluid were tapped out of his lung. A pleural biopsy showed a papillary, gland forming malignant neoplasm. According to the HPE report, a possible diagnosis includes:

  1. Papillary adenocarcinoma of pleural origin – malignant mesothelioma, or
  2. Metastatic adenocarcinoma from a primary in the bronchus/lung.

Sujo went to an oncologist at the cancer hospital for a second opinion. His blood test on 21 October 2010 showed CEA = 85.86 and CA19.9 = 78.6. Sujo was asked to undergo chemotherapy, which he promptly rejected.

Instead, on 22 October 2010, Sujo came to seek our help. He had no symptoms and was prescribed Capsule A, Lung 1 and 2 teas, Bone Tea and C-tea. After taking these herbs, Suja came back to see us twice and reported that his health had improved. He was able to eat, sleep and walk distance without any problem. His breathlessness had resolved. His bowels movements were good.

Pain After Chinese New Year Dinner

Sujo and his wife told us that on the eve of the Chinese New Year (2011) Sujo took chicken curry (only the gravy not the chicken). Besides that he also ate steam fish with salted beans (tau chiau). Two days later, on the morning of the second day of CNY, he suffered severe pains.  Sujo said: “I am very tolerant to pain. But this pain was so severe that I cried. I have never cried before in my life.” It was a “pulling pain” and he was not able to lie down. He had to sit upright and the pain lasted from 8 to 9 p.m. until 3 a.m.  Then he would fall asleep for about 2 hours. The pains persisted every day.  Sujo took the painkiller, Tramadol 50 mg – once or twice a day. But the medication did not relieve his pains.

Sujo confirmed that before this dinner, he did not have any pain at all. The pains only came after the dinner.

Sujo came to see us on 13 February 2010. He presented with severe pains in the back and shoulder blade. He had partially lost his voice. Acugraph reading showed his Qi was very low. The past 8 days or so, he was not able to sleep.

Seeing  Sujo’s condition, we put him on the e-therapy right away. See below for the amazing results.

Day e-therapy Response
13 February 2011 – night Detox 2  (34 minutes) Next morning, less pain and was able to sleep whole night.
14 February 2011 – morning Detox 3  (51 minutes)Loss of voice  (32 minutes) Next morning, pain reduced. No problem sleeping. Voice returning – louder.
15 February 2011 – morning Intercostal  (24 minutes) Loss of voice  (32 minutes) Lumbago FS  (20 minutes) Next morning. Pain 70% gone. Pain mainly at “Shingle” area suffered since 4 years ago.         Voice even louder. No problem with sleep.
16 February 2011 – morning Detox 3   (51 minutes)Shingles  (35 minutes) Next morning. Over all condition better than the previous morning.
17 February 2011 Detox 3  (51 minutes)Shingles  (35 minutes) Sujo is going home to Medan tomorrow morning. He looks good – health restored!

Listen to our video conversation:

Part 1: Pain and Bad Food

Part 2: Pain Relieved After e-Therapy

Comments

For most people, an auspicious day (may it be Christmas, Valentine, Thanksgiving, or whatever) generally calls for a celebrative feast. And very often cancer patients find it a good excuse to indulge in the food that they like. Of course, most of them could not get away from such folly after that. Last year, KM – who had colon-liver cancer and had survived for three years, decided to celebrate the 2011 Chinese New Year in style. He ate fried chicken, etc. Almost immediately he landed in the hospital with severe pains, He died after that. Now we have Sujo who did about the same thing like KM. His wife said: “I thought it is okay to eat such food since it is Chinese New Year!” Unfortunately, cancer does not understand Chinese culture!

Some people may wish to dispute that the pains had nothing to do with the dinner! Of course there is scientific proof to substantiate such connection. But common sense and experience tell me so. Let me give you some stories.

My close relative was brought to my house. She was in a semi-concious state with limbs all stiff. Not knowing what had happened the logical thing to do was to send her to the nearest private hospital immediately. She was admitted.  In the meantime, I had the opportunity to find out what had happened. This relative had been eating a few of kilos of “dokong /duku” before the problem. She ended having a bloated stomach and went to see a GP who prescribed certain medication. After this medication, she become semi-concious and her limbs turned stiff.

While we waited around her hospital bed, the neurologist came.  With an air of authority and competence he insisted that a lumbar puncture be done. I humbly tried to suggest to the learned doctor that this could be the result of the drug that she had just taken. No, he would hear it – go for the lumbar puncture. Preparation was underway for the procedure and it was almost mid-night when my relative awakened! She refused the procedure!  The next morning, she was discharged and we became poorer by RM1,500! That was the cost of one night hospitalization without doing anything significant.

There was this man from Medan who had lung cancer. He was supposed to undergo radiotherapy that day, but unfortunately the machine broke down. Since he was free, he walked around the hospital and saw some durians. He and his son feasted on the durian – that was about 3 p.m. By 6 p.m. the man became breathless and had to be admitted into the ICU. A CT scan was done. Nothing appeared wrong on the film! The son asked the doctor if this was due to the durian. The doctor said, NO, nothing to do with the durian!

Bob had liver cancer that had spread to his lungs. His doctors told him there was no treatment and he would just go home and wait for his time. He came to CA Care and was started on the herbs. His health was restored. After being “well” Bob started to eat what he liked. A few days later he came back to us feeling “half dead”. The next day he died. Listen to what he said by clicking this link: http://cacare.com/index.php?option=com_easyfaq&task=view&id=338&Itemid=39

The story of June is worth repeating. June vomited and had to be hospitalized. Two hours before June vomited she was in perfect health. Her problem started after she ate a packet of nasi briyani at 4 p.m. By 6 p.m. the nausea and vomiting started. By about mid-night June was admitted into the hospital. One doctors said: “Based on my experience this is due to her recurrent cancer.” June was asked to undergo chemotherapy immediately. My advice was: “Do nothing! Try to flush out the “rubbish” in her stomach.” Of course the oncologists were upset. Anyway, ten days later June walked out of the hospital – without the chemo of course! Listen to her story by clicking this link: http://cacare.com/index.php?option=com_easyfaq&task=view&id=340&Itemid=39

In the case of Sujo, it is clear that for the past four months he was leading a pain-and-problem-free life. But on the second day of the Chinese New Year his life turned into “hell” – how could that be? He must have done something different or wrong. That was the question I posed to him and his wife.

The pains did not go away, and lasted for about eight days. Tramadol could not help him. When he came to CA Care on 13 February 2011 he was still in pain. But the next morning, 14 February 2011, the pain almost disappeared and he was able to sleep that night.

Okay, ask this question: Could the pains just appear and disappear without any reason? Common sense tells us that something must have happened to trigger the event. In the first instance he ate bad food – hence the pain. In the second instance, he was on the e-therapy for 34 minutes and the pains almost disappeared! Of course all these problems do not show up in a CT scan or MRI. So let us not waste time and money doing these procedures.

While in Penang, Sujo had his blood test done. The results are as follows:

Before receiving his latest results, I was a bit skeptical – not knowing what to expect. But it was indeed a blessing to see that both his CEA and CA19.9 had gone down by about 30% and 24% respectively after 4 months on our therapy.  Impressive results indeed bearing in mind that he did not receive any medical treatment!

Most amazing of all is the healing of his pain. When he came, we told both Sujo and his wife that we expected to solve his problem by about a week. So they should be prepared to stay that long in Penang. Based on experience, we were rather confident that the pain would go away after undergoing  the e-therapy. Apart from our experience, we have no other option! Undergoing the e-therapy at CA Care in Penang is free-of-charge (only for our cancer patients!).  The next morning, we were glad to be able to tell Sujo and his wife that they were really blessed! The e-therapy was effective for his pains and loss of voice. Most important Sujo was able to sleep.  After three days, we were very happy  to be able to tell Sujo and his wife that they  could go home to Medan! Amazing healing indeed!

Herbs are Effective for Pain and Side Effects of Chemotherapy

At the Seminar on Integrative Oncology: Cancer Care Beyond Boundaries, organised by the Department of Nuclear Medicine, Radiotherapy & Oncology, School of Medical Sciences, Health Campus, Universiti Sains Malaysia, Kota Bharu, Kelantan from 20- to 21 August 2008; Chris told the seminar participants that:

  • Herbs can mitigate the side effects of chemotherapy.
  • Herbs are also effective to alleviate pain.

Listen to this video.