Fighting lung cancer with chemotherapy, radiotherapy and immunotherapy failed. One billion rupiahs gone. Herbs helped him!

Aman (not his real name), fifty-five years old, had been a smoker for the past thirty years.  His problems started with fevers, loss of appetite and loss of energy. There was no cough. He consulted a doctor in his hometown (Indonesia) and was told he had tuberculosis (TB).  He was prescribed TB medication but it was not effective.

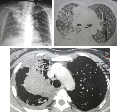
    Not satisfied, Aman came to a private hospital in Penang for further management. A CT scan on 22 October 2019 showed a lung mass measuring 4.6 x 4.8 x 6.0 cm. A biopsy indicated a Large Cell Lung Carcinoma.

    Aman underwent the following treatments:

1. Nine cycles of chemotherapy.  The drugs used were: Cisplatin + Eptoposide.

2. Thirty-three times of radiotherapy.

3.Twenty-four injections of immunotherapy. The drug used was Imfinzi or durvalumab. Each dose of Imfinzi cost IDR40 million. This was given every two weeks. This means Aman was on Imfinzi for two years.

Did all these medical treatments cure Aman? Unfortunately, the answer is NO.

A PET scan on 26 July 2022 showed a 2.1 cm metabolic active lesion seen in the lobe of right lung (see image above). This showed the tumour did not go away! Aman was told to do another biopsy to reconfirm that this mass is still a cancer! However, the oncologist told Aman that there would be NO more chemo or immunotherapy for him. The only option left is surgery.

The family was disappointed having spent more than one billion rupiahs for the above treatments that failed.     Aman came to seek our help. He gave up further medical treatment and was started on our herbs. It has been almost two years now – Aman is still healthy and leads a normal life (see photo below taken in May 2024).  He plays golf regularly. I once asked him, Is there any other problems? He jokingly answered: Just money problem!

Ask this question: Aman spent three years undergoing chemotherapy, radiotherapy and immunotherapy. The family spent more than a billion rupiahs for these treatments. What did he get?

The tumour shrunk from 4.6 cm to 2.1 cm. The oncologist gave up – no more treatment – and asked Aman to go for surgery! Is that a good answer? Take note, is this all the scientifically proven cancer treatment can offer?

Undergoing immunotherapy (the state-of-the-art treatment that is being promoted today) creates NO “magic”? But a change of diet and lifestyle plus taking of herbs restored Aman’s health! And more important, at a cost of peanuts!

Cost of Chemotherapy For Colon-Lung Cancer in Penang

Harry underwent surgery of his Stage 3B colon cancer in Hospital A in Penang. However, after the surgery he underwent 8 cycles of chemotherapy in Hospital B, also in Penang . Harry handed me his the medical bills for two cycles of chemotherapy that he received.

1.The chemo done on 20 January 2022 costs RM 6,624.50

2. The chemo done on 16 February 2022 costs RM 9,856.30

Based on the above, the average cost of a cycle of chemo is RM8,240.40. So we can guess that Harry had to spend a total of RM65,923 for the 8 cycles of chemotherapy to treat his colon cancer.

Unfortunately, the cancer did not go away. Six months after the completion of his chemo treatment, the cancer recurred in his lung. Harry was told to undergo more chemo. This second round of chemo is estimated to cost him RM66,000. Harry refused the treatment.

Let us try to understand what makes chemotherapy such an expensive treatment and why this is being promoted everywhere as the only “proven” treatment modality.

The itemized costs of chemotherapy are as below:

There are many things we can learn from the above table.

1. By wanting to “kill” the cancer, we need medicine to repair the damaged body as well.

There are 3 types of chemo drugs used for treating Harry’s cancer.

  1. Eloxatin or oxaliplain.  This cost RM 1,653 per cycle.
  2. TS-1 (Tegafur + Gimeracil + Oteracil). This cost 1,390 per cycle.
  3. Raltitrexed (Tomudex). This cost RM 4,140.

Since chemo drugs can cause damage to the body, patients are give drugs that can help “repair” that damage. These are not cancer drugs.

  1. Netupitant  and palonosetron. This drug in capsule is to be taken by mouth about 1 hour before the start of chemotherapy with or without food. This drug is a combination of netupitant and palonosetron and  is used to prevent nausea and vomiting caused by cancer chemotherapy. This cost RM 630.60 per cycle.
  • Pegfilgrastim or Pelgraz. One common side effect of chemotherapy is neutropenia or low levels of neutrophils (a type of white blood cell). Pelgraz is used to help fight infection following chemotherapy.  This cost  RM 1,210 per cycle.

Other non-cancer drugs administered to Harry were:

  • Chlorpheniramine. This is a antihistamine used to relieve symptoms of allergy, hay fever and the common cold. These symptoms include rash, watery eyes, nose, throat, skin, cough, runny nose and sneezing.
  • Dexamethasone. This is a corticosteroid and is used to treat many different inflammatory conditions such as allergic disorders and skin conditions.
  • Dextrose injection. This is used for nutrition support to treat low blood sugar and to decrease high potassium levels in the blood.
  • Diphenoxylate and atropine. This combination of drugs is used to treat severe diarrhea.
  • Esomeprazole or Nexium. This drug reduces the amount of acid your stomach makes. It’s widely used to treat indigestion, heartburn and acid reflux, and gastro-oesophageal reflux disease.
  • Granisetrom or Kytron. This drug is used to prevent nausea and vomiting caused by chemotherapy and radiotherapy.
  • Itopride or Ganatron. This drug is used  to treat symptoms of functional dyspepsia, i.e. patients having difficulties digesting food. Patients feel full after eating; they have bloating and have stomach pain.
  • Loperamide or Lomodium. This is a drug to treat diarrhoea or runny poo.
  • Pantoprazole.  This drug is used to treat heartburn, acid reflux and gastro-oesophageal reflux. It is also taken to prevent and treat stomach ulcers.

Just ask yourself. Before going into the hospital for chemotherapy, do you have the above 11 conditions that need medication? If no, why do you need them when undergoing chemotherapy?

2. You help me, I help you! That makes everybody happy. Then the project will have the full support of all interested parties.

For each cycle of chemo delivered to a patient the doctor earned about 7.5% to 11.4% of the total cost of the treatment. The more chemo he/she gives to patients the money more he/she earns. Good – the oncologist is well rewarded and should be happy.

On the other hand about 88% to 92% of the treatment cost goes to the hospital. So all parties should be happy.

Total cost of chemo treatmentHospital’s  earningDoctor’s earning
Jan. chemo – RM 6,524.505,779.50 (88.5%)745.00 (11.4%)
Feb. chemo – RM 9,856.309,111.30 (92.4%)745.00 (7.5%)

From the gross earning, the hospital needs to spend on cost of equipment, laboratory charges, room charges for treatment, nursing care , medical supplies and cost of drugs.

Other parties that are happy when you undergo chemotherapy are the companies that make the drugs and medical supplies. They too have a share of the pie.

Hospital charges of each chemo treatmentCost of chemo drugCost damage control drugsCost of other drugs and medical supplies
Jan. chemo – RM 5,779.503,043 (52.6%)102.70 (1.7%)193.00 (3.3%)
Feb. chemo – RM 9,111.305,793 (63.6%)666.50 (11.4%)211.00  (2.3%)

3. Nothing is for free in the private hospital.

For everything that is used in your treatment, know that you need to pay for it. There is no free lunch, except the natural air that your breathe in! Yes, if you need oxygen while in the hospital, you have to pay for it.

In one institution, I learned that you need to pay for the chair that you sit on while undergoing chemotherapy.

A careful look at the medical bills, you will know that the alcohol swab, gloves, face mask, gown, plaster, etc. used during your treatment have to be paid for too.

There is one item that attracted my attention which I was not sure what it means –  Cytotoxic/Chemo Reconstitution. A check in the internet gives this explanation.

  • A process in preparing a ready-to-use form of chemotherapy agent for the patient.
  • Some drugs must be stored in powdered form because they rapidly lose their power once they are mixed into a solution. These drugs will then have to be reconstituted, or mixed with a liquid or diluent, before they can be administered.
  • Before starting reconstitution, ensure that SOPs are adhered to – Hand-washing – Gloving – Gowning – Reconstituting – Disposal of waste products.

For each chemo treatment a patient pays RM 95.00 for this process. So nothing is for free!

Let me come to the last point. Everyone involved in chemotherapy are happy! The oncologist earns good income.  The hospital has a good share of the pie too (88% to 92%). Of course, the drug companies make good profit from the chemo treatment (52% to 63% of hospital’s earning). The important party that is not asked or forgotten, is the patient! Was Harry happy after receiving 8 cycles of chemotherapy? His metastatic lung cancer came back after six months. Do you think he was happy?

Stage 3B Colon Cancer Spread To Lung After Surgery. Chemo Failed.

Harry (not his real name) felt breathless sometime in May 2021. An examination by the doctor in a private hospital indicated three of the heart blood vessels were blocked. In June 2021, Harry underwent coronary angioplasty – i.e., a procedure using a tiny balloon catheter that is inserted in a blocked blood vessel to help widen it and improve blood flow to the heart.

While in the hospital Harry also suffered altered bowel habits and rectal bleeding. A colonoscopy was done and showed transverse colon (hepatic flexture) tumour and hemorrhoid.

Harry underwent a right hemicolectomy and omentectomy on 28 June 2022.

The histology report confirmed:

  • mucinous adenocarcinoma of colon with tubulo-villous adenoma at its edges.
  • Invasion of mesocolic fat, pT3 tumour.
  • Three of 8 lymph nodes are involved by metastatic tumour, pN1.
  • One microscopic focus of serrated  adenoma found at the tip of appendix.

Comment:  The  combination of mucinous adeonocarcinoma, tumour in the right colon and presence of serrated adenoma in the appendix is uncommon.

Stage 3B – T3N1M0

Harry was told to undergo chemotherapy in the same hospital where he had surgery. However, he was not happy with what he had gone through in that hospital and decided to take a break and ask around for various  opinions. Two months later, he decided to go for chemotherapy at  another hospital.

Before starting chemotherapy a PET scan was done. The PET scan report dated 9 September 2021 showed:

  • A focus tracer accumulation seen anterior to the third part of the duodenum (0.8 x 1.0 x 0.9 cm). This FDG avid lymph node likely represents metastasis.
  • Patchy ground glass opacity seen in the left lower lobe of the lung.
  • There is no evidence of metastasis to the brain, nodes,  neck, thorax, mediastinum, pelvis, thyroid, lung, stomach, liver, pancreas, spleen, adrenals and bones.

Harry underwent 8 cycles of chemotherapy.

He did not suffer any severe side effect except a little numbness of his hands.

The chemo treatments was completed in April 2020. A PET scan done on 7 April 2022 indicated:

  • Comparing with the scan done on 9 September 2021, the present scan indicate complete metabolic response to the treatment. Problem solved!
  • Patchy ground glass opacity seen in the left lower lobe of the lung is unchanged in appreance.
  • No evidence of FDG avid lesion seen in any other parts of the body.

Six months later, Harry did another PET scan. PET scan report dated 13 October 2022 showed:

  • Patchy ground glass/consolidative opacity seen  in the left lower lobe of the lung was grown larger.
  • New patchy nodular opacity seen in the anterior segment of the right upper lobe.

Harry was told to undergo another 8 cycles of chemotherapy using the regimen – TS 1, Irinotel + Avastin. The estimated cost of this second round of chemo would be about RM 66K as outlined  below (a note given to by the hospital).

Harry declined to undergo further chemotherapy.

Chris: Why did you not want to go for more chemotherapy?

Harry: I have done that before and it did not work!

C: When you did the first round of 8 cycles of chemo, did you ever ask the doctor if the treatment is going to cure you?

H: No. I did not know anything. I just followed what I was told to do.

C: In all, including  your heart operation, how much have you spent?

H: Roughly about RM200,000.

Comment

One big lesson we can learn from this case is that surgery and chemo did not cure Harry’s Stage 3B colon cancer.

After the completion of chemotherapy, Harry had a PET scan which showed everything was clear – no more cancer! So the treatment was effective. But that was just a …. (put in any word you like)!

About 6 months later, another PET scan showed that the cancer had recurred. Harry was asked to do more chemo.

Ask these questions:

1. What is the use of doing a PET scan when the result is so short-lived. A “success” had turned into a “disappointment” within 6 months.

2. Harry was asked to go for another round of 8 cycles of chemo which is going to cost him another RM 66K at least. Is that going to be a good investment for him?

My Adopted Brother Died of Cancer

It was a good death

In  late April 2022, I received a message from my “adopted brother”. He was admitted to the government hospital and was down with cancer.

He was a smoker but had stopped smoking some two years ago!

I had a chance to talk to his doctor who told me my brother had anaplastic thyroid cancer. In addition, there were extensive metastases in his lungs and liver.  Without doubt – by just looking at the CT scan images (below) – I knew that his days were numbered. No treatment would be able to save him.

The following are records of our conversation during the last few days before he died. I hope you can learn some lessons from this.

Chris: The doctors said they want to do biopsy for the lung and liver to confirm if it is cancer or not. NO, I would not do that if possible. That is why I say I need to see the CT pictures.

Brother: 3:39 pm, 22/04/2022]: Ok. I will try  my best.

B:  4:20 pm, 23/04/2022]: Hi Ko Dam. Tomorrow  they are going to extract some samples from the swelling near the base of my throat.

C: Your lung is bad — yes– I expect that because of the long smoking. I have all the herbs for lung, lymph, liver and thyroid.

B: 11:50 am, 24/04/2022: Sorry reply a bit late.  They are taking blood samples from me. Thank you so much Ko Dam.

C:  Now,  the question is what treatment the doctors are going to give you? Generally it is chemotherapy – 6 x and then radiotherapy. For the thyroid it is radio-iodine to drink. This is okay… you don’t dink every day. For chemotherapy,,ask the doctor can cure or not?  For radiotherapy — ask, can cure or not? Also with chemo and radiotherapy — you suffer from the effects of treatment or not? I would not do chemo or radiotherapy (radioiodine for the thyroid — ok). BUT I cannot say you must follow me.You have to decide what you want to do. Of course I have herbs for your lung and liver …no problem .. I shall help you with that.

B: They did not say anything yet. Just now they took samples from my throat.  I will follow your advice completely.

C: Can you breathe okay now — without oxygen?

B: When I go to the toilet I feel ok.

C: Listen to what the doctor want you to do. Ask questions and then don’t commit to anything yet. Say you need time to discuss with your family first and to prepare. No need to rush. My main concern is your breathing now.

B: 24/04/2022: Ok.

C: When are they going to let you out of the hospital?

B: 24/04/2022: Don’t know yet.

C:  How are you now? Breathing still need oxygen?

B: 7:27 pm, 24/04/2022: They still insist that  I use the oxygen.

C: Okay, but without oxygen — are you ok?

B: 7:34 pm, 24/04/2022: If I walk around more I do feel a bit tired.

C: I am going to send you many herbs …bitter, not good taste …can take or not. Then must take care of diet – no meat, fried food, hawker food, etc.

B: 8:06 pm, 24/04/2022: Have to take. No problem.

C: let me know as soon as you know what doctors want you to do.

B: 8:07 pm, 24/04/2022: Ok. Will do.

B: 10:16 am, 28/04/2022: This is the report for the samples they obtained from the thyroid the other day. They will send the surgical team to talk to me later.

C:  Okay, just listen but tell them you need to seek second opinion or advice from family members before doing anything.

B: 10:48 am, 28/04/2022: Ok.

C:  I sent out the herbs already and I hope by Saturday it should get to you. Attached is the instruction on how to use the herbs. I sent the herbs for one month first,  see how you react to the herbs. Then I shall send again if everything is okay.

(Note:  the herbs here delayed due to the Raya holidays and arrived a day after he died)

B: 0:05 pm, 28/04/2022: Ok. Tqvm Ko Dam.

 B:0:19 pm, 29/04/2022: Hi Ko Dam. Going to be discharged today. In the process of doing the paperwork.

C: 0:21 pm, 29/04/2022: What did the doctor say?

B: 0:23 pm, 29/04/2022: He gives a discharge cause I have no money.

C: What do you mean? Why, staying in GH also have to pay?

B: 0:39 pm, 29/04/2022: They asked me if I have any savings to the tune of RM10,000. I said  I don’t  have the money. Maybe this is for the operation and chemo. I can breathe ok.

C: Now what is important is your breathing –  can you breathe okay?  Your lung is not good. Make sure you can breathe … if cannot you need to use oxygen.

B: 6:52 pm, 29/04/2022: Ko Dam arrived home safely now.

B: 3:13 pm, 03/05/2022: Less coughing. But still weaķ due to low oxygen.

C: My concern is your breathing … low oxygen … can you get oxygen from somewhere?

B: 3:17 pm, 03/05/2022: Now I use portable oxygen. Tomorrow rent the permanent one. We rent from the pharmacy.

C: How are you today? Is your breathing okay?

B: 0:04 pm, 05/05/2022: Okay thank you. I’m on the oxygen machine.

C:  Do you need to use the machine all the time of the day?

B: 0:28 pm, 05/05/2022: Yes.

C: Who is going to cook the herbs for you?

B: 0:29 pm, 05/05/2022: Wife.

C: She is working from 10 am to 10 pm?

B: 0:32 pm, 05/05/2022: Stop working until I get better.

C:  Without oxygen — you cannot breathe?

B: 7:23 pm, 05/05/2022: Yes.

C: So 24 hours must use oxygen?

B: 7:24 pm, 05/05/202: Yes

Daughter: 1:31 am, 06/05/2022  Hi Ku Dam . I’m Alicia. My father just passed away.

A Good Death – The Ultimate Healing  

My attempt to try and “save” my adopted brother failed. He did not have the chance to even “receive” the full range of herbs that I sent him.

To be honest, deep down in my heart,  I knew well in advance that this would be the ultimate result – death. And this is case it was a good death. And I am grateful for this.

Death is one thing in life which is beyond our control. It has always been my wish that when the time for me to die, let me go Lord in peace, without suffering. That is also what I ask for.

The doctor sent my brother home because he could not cough out RM10,000. I am glad that my brother declined further medical intervention. If he had RM10K, he might just ended up dead on the operation table – who knows? Or even if the operation is a success, can he be cured? NO way. He might end up suffering.

This suffering is not confined to the sick. It affects his wife and daughter as well. It ends up everyone having to suffer. Is it worth it?

You might say I am very pessimistic. You do not provide hope. I understand. But I am also realistic. In my brother’s case he had anaplastic thyroid cancer. In my 27 years of caring for cancer patients I have seen NO more than half a dozen of such cases. This is what the internet says:

Anaplastic thyroid carcinoma, also known as undifferentiated thyroid carcinoma, is a rare, highly aggressive malignant tumor accounting for 2 to 3 percent of all thyroid gland neoplasms. Anaplastic thyroid carcinoma continues to be one of the most deadly diseases worldwide and carries a very poor prognosis.

On top of this aggressive, rare cancer he also had metastases in his lung and liver. His metastasis was very serious indeed. There is no way anyone can pretend to be a “hero” trying to save him. Added to that was the metastasis to the liver. I was not able to know how extensive it was because I was not able to see the CT scan of his liver.

So again, I am being realistic. But that does not mean that I give up on him and leave him to die. Don’t get me wrong – what we can do is to make his life better. I know that our herbs may be able to do that. So,  I sent him a boxful of herbs but the transit was delayed due to the festive season. My brother died.

No, life is not cheap. It is precious but what is the use of living if you are just a “vegetable”? 

No question about it,  my brother’s sudden death is very “hurtful” for those around him. It was a great loss for his wife and only daughter. Let us grieve for the loss of our loved one. But, I believe, we need to be realistic and accept the fact that it is better for him to go rather than drag on with his suffering.

About a week ago I received an email from someone in Penang. The writer wanted to bring her 65-year-old mother for surgery or/and chemo, in spite of extensive cancer in her live. There was also cancer in her bones.

This was my reply:

I have seen thousands of cases –  where chemo had failed them miserably. Then they come to see me for help!  Your mom’s case is way too advanced — nothing can cure her. So learn to live with it and not fight it. If you fight you die faster ending up miserable besides finding a big hole in your bank account.

But it is up to you. Some people don’t believe in herbs but some do. Some people believe that the doctors know best. Well, it is all yours to decide. 

My final comment – No one on earth can cure such serious cancer. So if you have to die, better die in peace without any suffering. If you fight it will be like Iraq or Ukraine …. bomb, bomb, bomb. Who win?

The writer replied:

I understand that my mother’s sickness could not be cured. But we are hoping the best that at least she can have a better quality life then just waiting to die with it. Is it possible to remove the tumour and eat herbs to maintain/control the cancer? I’m not a doctor. This is just my guessing. 

You may not agree with my take. That’s okay. If you wish to fight a war, go ahead.

To me, there is no better death than to be able to smile, fold my arms together and go in peace! There is no need for anyone to display any “heroic” act in trying to save me. Let’s be realistic.

Even in the United States, lung cancer remains incurable!

This is an email I just received today.

Dear Dr. Teo,

My name is Daniel (not his real name). One of your patients from Indonesia referred me to you to get information on your successful study on lung cancer treatment.

In March 2017 I was hospitalized for a week and was subsequently diagnosed with stage IV lung cancer. I underwent treatment by an oncologist from the City of Hope Cancer Treatment and Research Center. They started the treatment with TARCEVA, one pill a day. And by the grace of God my cancer were gone in about 4 months.

Unfortunately, a new lung cancer developed in early 2018 and they replaced Tarceva with a new pill TAGRISSO. Tagrisso worked well for about a year only.

Since there is no more new medication available, then I went for chemotherapy using Keytruda and Alimta. This was done every 3 weeks for 6 times in 2019. But the effectiveness of the chemo only lasted for few months.

In May 2019, the doctor detected a new cancer that was growing in my right lung. He was reluctant to give me another chemotherapy treatment this time.

I am now back on Tagrisso pill pending further decision. In other word, we just let the cancer cell to grow and hopefully slowly at this time.

Since you have a great success in combating this decease, I am seeking your help or information on any treatment or herbal that you use to treat your patients. I believe this might be the answer to my prayer.

Thank you for your help and I am looking forward to hear from you soon.

What can we learn from this sad story.

  1. When the lung cancer is tested positive for EGFR receptor, the doctor generally ask you to take Iressa pill, that is if you are an Asian. Iressa is not allowed in the Western countries — but the Asian countries, okay! So perhaps that is the reason why Daniel was given Traceva instead of Iressa.
  2. The medical people call this “chemo-drug” the smart bomb or targeted therapy. In Malaysia Tarceva or Iressa costs something like RM8,000 per month. And there seems to be a promotion, buy one free one. Or buy 10 months and you get the medication free for life! Think hard, what does that imply?

Read more: https://cancercaremalaysia.com/2017/04/08/lung-cancer-spend-rm80000-and-you-get-free-tarceva-for-life/

https://cancercaremalaysia.com/?s=lung+cancer+tarceva&submit=Search

  1. For Daniel Tarceva worked like magic. Within 4 months, the tumour was gone (?). Yes, this happened in Malaysia too! But lowering of CEA or disappearance of the tumour does not mean the cancer is gone forever. The sad truth is that, within a year, the cancer recurred.
  2. From Tarceva Daniel was told to switch to Tagrisso — a much more expensive drug. About 2 months ago, a distant relative of mine came to see me. He had lung cancer and was on Tagrisso. It cost him RM15,000 per month. He had been on this new drug for about 9 months. No, the cancer did not go away. And he was told that if he takes Tagrisso for a total of one year, he would be given the drug free for life.
  3. Daniel took Tagrisso for about a year, and he suffered another recurrence.
  4. Since the smart bombs are not that smart after all, the doctor had to turn to the conventional method of chemotherapy. Daniel received 6 cycles of chemo using Keytruda and Alimta.

Read these stories: https://cancercaremalaysia.com/2011/08/06/dissecting-chemotherapy-part-7-avastin-alimta-nearly-killed-me/

Alimta was also on offer: Buy two, free two. If you make it to 12 cycles, free for life!

https://cancercaremalaysia.com/2018/10/28/alimta-for-lung-liver-lymph-nodes-bone-cancer-buy-two-free-two-if-you-make-it-to-12-cycles-free-for-life/

  1. Unfortunately, the chemo treatment only lasted for a few months. A new growth appeared in Daniel’s right lung. Daniel was back on Tagrisso again pending further decision.

Such sad story happens most of the time, everywhere in the world. So let’s face reality. In my years of helping people with cancer, I have come to a sad conclusion that there is no cure of cancer. In this case, you can argue that Tarceva, Tagrisso, Alimta, Keytruda had helped Daniel. Without these drugs he would not have lived that long. Maybe that is true. These may have prolonged Daniel’s life. But at what cost? For sure, these drugs are expensive! Yes, these drugs come with various side effects.

So why complain? What if you take herbs and can just live just as long? It is definitely cheaper and has no destructive side effects! No, the world does not want to know or encourage this!

 

Lung Cancer: Free “Tarceva-for-life” failed

FY is a 50-year-old Malaysian. His problem started with headache, poor appetite and weight loss. He consulted a doctor in a private Hospital A in his hometown. He was told there could be something in the brain. A CT scan was done and there was a lump in his lung. A biopsy confirmed a moderately differentiated adenocarcinoma.

FY was referred to a private Hospital B in Penang. The biopsy tissue was sent to Kuala Lumpur for further analysis. EGFR mutation was detected. In the meantime, FY underwent five times of radiation to the head (due to the headache). This treatment cost RM11,000. The oncologist suggested taking oral chemo.

FY decided to seek further treatment in another private Hospital C. The oncologist in Hospital C prescribed oral drug, Tarceva. This was the deal. Take Tarceva for ten months, thereafter it will be provided free of charge for life. Each month’s supply cost RM4,500, meaning FY will have to fork out a total of RM45,000 first before he could enjoy the free supply of Tarceva.

In all, FY took Tarceva for 11.5 months. So, he managed to enjoy free Tarceva for 1.5 months.

Medical Reports 

The progress of FY’s treatment was monitored by scanning and blood tests. 

CT scan thorax done in Hospital A, 29 August 2017.

  • a suspicious 3.4 x 2.8 x 3.3 cm lump in the lower lobe of his left lung.

CT scan of brain, neck, thorax, abdomen and pelvis done in Hospital C, 26 September 2017.

  • lesion at apical segment of left lower lobe of lung and small cavities due to primary carcinoma.
  • multiple small metastases in both lungs.
  • enhancing lesions at left parietal lobe, vermis and right cerebellum.
  • patchy sclerosis of body of T1 vertebrae suggestive of metastasis.
  • lymph node at level 4 of neck.

MRI thoraco-lumbar spine done in Hospital C, 3 October 2017.

  • abnormal signal intensity within C7,T1 and T2 vetebral bodies. Features suggestive of metastases.
  • L4/L5 disc bulge.
  • L5/S1 disc bulge. 

Whole body PET Scan done in Hospital C, 18 January 2018.

  • metabolic activity noted in the right (1.8 cm) and left sides of neck (1.9 cm) .
  • metabolic activity noted in the left base of the tongue.
  • metabolic activity left axillary lymph node (2 cm).
  • irregular metabolic active mass (3.2 cm) seen in the apical segment of the lower lobe of left lung.

Whole body PET Scan done in Hospital C, 21 August 2018.

  • metabolic activity node see in the left (1.3 cm) side of the neck.
  • metabolic activity left axillary lymph node (0.6 cm).
  • FGD-avid mass (4 cm) seen in the apical segment of the lower lobe of left lung. This is larger and has more metabolic activity compared to the previous PET CT on 18 Jan. 2018.
  • metabolic active nodule (1.9 cm) seen in the posterior segment of the upper lobe of right lung – not seen in the previous scan.
  • another metabolic active nodule (1.7 cm) seen in the posterior basal segment of the lower lobe of the left lung — not seen in the previous scan.
  • a few 2-5 mm, non metabolic active nodules seen in the right and left lungs. These are not seen in the previous scan.
  • increased metabolic activity seen in the left adrenal gland (1.4 cm).
  • metabolic active lesions seen in the spine of C7 and T1. These re larger and more metabolic active compared to the previous PET CT scan.
  • metabolic active bony lesions seen in the spine T12, left sacrum and medial wall of the left acetabulum. These are not metabolic active in the previous scan.

You don’t need to be a doctor to know that FY is getting worse, not better, after taking Tarceva.

Below is a table with values of CA125, CA15.3 and CA19.9 taken over a period of about a year while FY was taking Tarceva. The most telling results are the values of CA125. In September 2017, the value was 434. After taking Tarceva it gradually decreased to 48 and down to 15 in February. But in March 2018 (barely five months later) the CA125 started to increase and in August 2018 it was at 46.5.

Date CA 125 (0-35) CA 15.3 (0-31.3) C19.9 (0-37)
26 September 17 434 9.8 39.4
24 October 17 48 7.7 16.9
28 November 17 15 n/a n/a
27 December 17 15 n/a n/a
23 February 18 15 4.9 8.2
26 March 18 18 5.8 15.6
23 April 18 19 5.9 11.0
22 May 19 22 5.2 17.0
25 July 18 40.6 5.1 17.2
17 August 18 46.5 n/a n/a

The numbers above clearly showed that Tarceva was gradually losing its effective after five months!

In August 2018, the oncologist told FY that Tarceva was not effective anymore. He has to switch to i/v chemotherapy and radiotherapy. A cycle of chemo would cost RM12,000.

If FY does not want chemo, he can opt for another new, more expensive oral drug (probably Tagrisso which cost RM30,000 per month).

FY and his wife came to seek our help. They decided not to continue with further medical treatment – at least for the moment.

Chris: Can this new drug cure you?

FY: No, only control.

Comments

This my third case in which patients were asked to take Tarceva for ten months with the promise that at the 11th month onwards they get Tarceva without charge for life!

Do you ever wonder why patients are offered Tarceva for free, after being told to buy a ten-month- supply first?  Is it a noble, charitable intention or “smart” business deal?

Read this story: Lung Cancer: Spend RM80,000 and You Get Free Tarceva for Life

Daughter: My father has lung cancer. It is positive for EGFR. The doctor suggested taking the oral targeted therapy, Tarceva. One box, lasting one month, cost about RM8,000. After we take Tarceva for ten months, and if the medicine works, for the rest of his life the medicine will be free. But must complete the ten boxes first. That’s the deal!

Chris: You mean after spending RM80,000 they will give you Tarceva for free for life? But what happen if your father dies before the ten months?

D: I was thinking. May be my father cannot last that long. Maybe before the ten boxes, sure die one.

C: I have one patient who came and see me. She was asked to take Nexavar (for liver cancer). The deal was buy one, free one. But must pay RM20,000 first (for the first month’s supply) and next month she will get one month’s supply of Nexavar for free! But after she took the drug for a week, her health deteriorated, had to be hospitalised and she died. Already paid RM20,000, cannot claim back.

Another question that bugs me is, why free only after TEN months? Why not earlier? Why not buy one, free one like they offered for Nexavar?

Let’s study the blood test numbers critically.  Let’s look at the bigger picture. The CA125 was at 434 in September 2017. After taking Tarceva the value dropped to 15. Bravo! Tarveca seemed to do the magic. But this euphoria did not last long. A month later, in March 2018, the CA125 started to increase. By August 2018, it was at 46.5.

By offering patients free Tarceva after ten months, seems appealing and noble at the first look; but in reality does the drug company or doctor not know that by a few more months, patients don’t need Tarceva anymore because it is not effective?

From a business point of view, it also does not make “sense” why the drug company would give Tarceva for free. Business is to make money. Just imagine what could happen if all patients get free Tarceva for life — will that not make  the drug company go bankrupt?

Let me share with you what my favourite Jewish rabbi, Harold Kushner said:

When I started to ask these questions, I became more curious. To kill the curiosity in me, I googled cost of generic Tarceva in India.

This is what I get.

  • In many countries, the brand-name Tarceva 150 mg drug costs about $18,700to 19,000 (price subject to vary) per 30 tablets. However, the mass production of generic cancer drugs versions are available for less than 15% of the retail price of the brand-name drug. Mar 22, 2018

Click this link and you get prices of generic Taceva available in India

https://dir.indiamart.com/impcat/erlotinib-tablets.html

(Exchange rate: Indian Rupee 10,000 = RM 563)

In India you can buy a month supply of generic Tarceva for less about RM563. Wow, amazing — I learned something new today!  At one time Tarceva was selling for RM 8K per month. Now the price dropped to RM5K — and that is still many times more expensive than the Indian generic.

Erlotinib   Rs 11,900, 150 mg, 30 tablets

Erclocip  Rs 7,230 for 30 tablets

Erlonat  Rs 6,000 for 30 tablets

Erlonat by NATCO,Rs 10,000 for 30 tablets

I have another question. I wonder why the Power-that-Be in developing countries do not look to India for the cheaper, generic drugs? Is that not a good way poor for poor countries to save money?

If you are skeptical about this suggestion, that is okay. Go ahead and spend your money.

But if you are poor and cannot afford to buy these expensive, American drugs, I believe my suggestion makes sense.

Take this case, FY paid for the  “expensive original” Tarceva, right? For less than a year, he already spent RM45,000. Look what happened to him?

Go to these links and read:

Generic cancer drugs that we can trust

Access to cancer medicines in India

India to supply generic cancer drug to US 

India approves generic cancer drug

Dying to Survive: Indian generic medicines have a tale to tell

Terminally ill dad saves more than $200k bringing in cancer drugs from India

 

 

 

Alimta for lung-liver-lymph nodes-bone cancer: Buy two, free two. If you make it to 12 cycles, free for life!

A young couple came to me on behalf of his father. The young man sounded very disorientated. I could not figure what he was saying in his soft voice. Luckily he brought along his wife who could present their father’s case clearly and logically.

Ono (not real name) is a 64-year-old. He lives in an Indonesia town about seven-hour-bus ride to Kuching, Sarawak.

Ono’s problem started about four to five years ago when he had abdominal problems. He consulted a doctor in a private hospital in Kuching. According to the doctor there was stone in his gallbladder. He was told not to worry and was sent home.

About two to three years later, Ono suffered a mild stroke. He was given medication and was okay after that.

In July 2018, Ono had severe abdominal pain with cold sweat. According to the daughter-in-law this was not due to gastritis or wind in the stomach.

In mid September 2018, Ono went to a private hospital in Kuching. An USG showed his gallbladder had pus and there was infection of the liver.

Ono underwent an operation to remove his gallbladder. A pathology report indicated a perforated gallbladder with malignant glands. It was a moderately differentiated adenocarcinoma.

Blood test on 10 September 2018, showed elevated liver function enzymes.

Alkaline phosphatase 133 H (30-120)
GGT 152 H (0-50)
AST 34 (0-45)
ALT 44 (0-55)

CT scan on 27 September 2018 indicated the following:

  • metastatic liver nodules.
  • metastatic paraortic lymph nodes.
  • right upper lobe lung mass (2.3 x 3 cm), likely tumour, metastasis.
  • small left lower lobe nodule, likely metastasis.
  • right hilar and mediastinal lymph nodes.

Biopsy report dated 29 September 2018 confirmed:

  • right upper lung lobe mass — moderately differentiated adenocarcinoma.
  • subcarinal lymph node — no malignancy. Another report C2354-18 on the same date, subcarinal lymph node aspirate: few atypical cells that are suspicious for carcinoma.

MRI on 2 October indicated:

  • T4 pathological facture causing compression on the thecal sac and spinal cord.
  • T2 – T7 and S1 – S2 metastatic vertebral lesions.
  • mild L4/5 posterior disc bulge.

EGFR PCR 6 October 2018: None of the mutations were detected.

11 October 2018: Tumour cells do not demonstrate a staining reaction to ALK-1.

Blood test on 13 October 2018 showed the following:

Alkaline phosphatase 114 (30-120)
GGT 137 H (0-50)
AST 32 (0-45)
ALT 65  H (0-55)
CEA 69.3 H (0-5)

Ono was referred to the oncologist for follow up. He underwent one cycle of chemotherapy using Alimata, dosage 690 mg. The total cost per cycle is RM8,500. Ono was told that he might need to go for four to six cycles.

Was Ono better after the first shot of chemo? According to the son, he had less pain but he is still in great pain. The pain was in the chest. It was more severe at night than daytime. Ono’s son said he had to massage his father’s legs throughout the whole night to make him comfortable. In fact that was the reason why he was so disorientated when he came to see us due to lack of sleep. Ono had no energy and need to lie down all the time. His breathing was difficult.

I had to be up front with Ono’s children. I said, I cannot cure your father. Actually I told them to go home and continue with the chemo if they want to. Either way, the  outcome would not be different. Ono’s children was very disappointed. They wanted to try the herbs.

Comment 

At CA Care I learn many things each day. Today’s lesson is something I did not know before until I encounter Ono’s case.

The total cost of one cycle of chemo (Alimta and Carboplatin) is RM8,520.70. Of this total

  • Alimta 500 mg cost RM4,600
  • Alimta 100 mg cost RM2,560
  • Kemocarb – carboplatin 450 mg cost RM151.50

So the total cost of the chemo-drugs is RM7,311.50. The remaining RM1,209.20 is the cost of hospital care inclusive of RM500 oncologist’s fee.

There are two interesting points to highlight after studying the detailed medical bills.

 Alimta Special Offer

From the above, for every two cycles of Alimta, Ono will get the next two cycles free of charge. So it is like buy two, free two. And the offer gets even more attractive after that. If Ono could make it to a total of 12 cycles of Alimta, he will receive free Alimta for life!

One point that bothers me is this, does the offer: buy two free two and after 12 cycles you get free for life, really makes business sense? Like the Malay saying, ada udang disebalik batu? (is there a prawn behind the rock?). I am sure you are smart enough to come to your own conclusion.

Why not use generic Alimta from India?

Ono paid a total of RM7,160 for Alimta. Just for curiosity, what would this generic drug cost in India?

In India you have a choice between the expensive and cheap generic Alimta.

  • Eli Lily or US brand cost Rs 91,343 for 600 mg injection (or RM5,175 as opposed to Kuching which cost RM 7,160)
  • The generic Alimta cost one-fourth the price, Rs 23,990 to Rs 24,000 (or RM1,359).

Indeed if the Power-that-Be in the developing countries is wise, why don’t they opt for the cheaper generic drug from India?

But you may say, the Indian stuff does not work. The American one is better. Really?

Take a look below. In addition to Alimta, Ono also received carboplatin. The oncologist in Kuching did not use the American stuff. He used generic carboplatin from India called Kemocarb. Ono paid only RM151.50 for this generic carboplatin. Great doc., you tried to save money for your patient. That’s the way to go!

 

 

 

 

 

 

Lung Cancer Part 2: Treatment with Tarceva and Zometa failed — what now?

For 13 months, GG was treated with Tarceva and Zometa for her lung cancer. About seven months on Tarceva and Zometa, GG started to have serious problems: double vision, eyes highly sensitive to bright light, ear ringing, legs with no strength, severe muscle pull at the neck. GG did ask the doctors if the sufferings that she had to endure was due to the side effects of the treatment, i.e. due to the Tarceva and Zometa. The doctors categorically denied that her suffering was NOT due to the treatment!

GG told us that in the next few days, she would have to see her oncologist again. Since Tarceva is not effective anymore, she will be told to take another new drug. Because of the severe headache, she would consult the brain specialist again. All along, MRI showed nothing in the brain.

Sensing that GG is still not done with her doctors yet, I suggested that GG go and see her doctors first. There is no need to panic or rush to do something.

I told GG to find out in more detail what the oncologist has to offer her. The oncologist had indicated earlier that GG might be prescribed a new drug. This is more expensive (about RM10,00 per month). She will have to pay for this — so the deal of free Tarceva for life vanished.

For this new drug, besides the cost, I reminded GG to ask if it can cure her or not. GG quickly responded, “But I cannot afford” to pay for the treatment anymore. After all she had spent more than RM100K thus far. She is running out of funds. Her health insurance would only pay RM50K per year for her medical treatments.

I assured GG and if everything else fail, she can come and see us again. I shall do my best to help her.

I warned GG that our CA Care Therapy is not easy to follow. The herbs has to be boiled. It is smelly and taste awful. Besides she cannot eat anything she likes. No oil, no sugar and don’t eat anything that walks (i.e. with legs).

Then my last shot. I asked GG whom she prays to. GG prays to Kuan Yin, the Goddess of Mercy. I suggested that GG go home and pray first and ask Kuan Yin for guidance — whether she should continue with the medical treatment or opt out of medical treatment and start following our therapy.

In this way, no one can make us a scapegoat if GG never get well or die.

Two days after sending GG home without any herbs, GG came to see me again.

Chris: Did you talk to Kuan Yin? What did she say?

GG: It is okay to take your herbs.

 

Comments

Decide for yourself how truthful it is the doctors when they told GG about the side effects of the treatment. Is it the whole truth? Read what doctors say about themselves.

So, don’t swallow everything that the doctors say. Google side effects of Zometa / side effects of Tarceva and see what you get!

Let me share with you what I got.

Side effects for Zometa

  1. Bone Pain
  2. Feeling Weak
  3. High Blood Pressure
  4. Low Amount Of Magnesium In The Blood
  5. Low Amount Of Phosphate In The Blood
  6. Low Amount Of Potassium In The Blood
  7. Trouble Breathing
  8. Backache
  9. Chills
  10. Chronic Trouble Sleeping
  11. Constipation
  12. Cough
  13. Diarrhea
  14. Dizzy
  15. Feel Like Throwing Up
  16. Fever
  17. Fluid Retention In The Legs, Feet, Arms Or Hands
  18. Flu-Like Symptoms
  19. Head Pain
  20. Inflammation Of Skin Caused By An Allergy
  21. Inflammation Of The Eye
  22. Intense Abdominal Pain
  23. Joint Pain
  24. Low Energy
  25. Muscle Pain
  26. Pain
  27. Throwing Up
  28. Urinary Tract Infection 

INFREQUENT side effects

  1. Abnormally Low Blood Pressure
  2. Anemia
  3. Atrial Fibrillation
  4. Decreased Blood Platelets
  5. Infection
  6. Low Level Of Granulocytes In The Blood
  7. Confused
  8. Cramps
  9. Difficulty Swallowing
  10. Drowsiness
  11. Excessive Sweating
  12. Feeling Agitated
  13. Indigestion
  14. Loss Of Appetite
  15. Numbness And Tingling
  16. Painful, Red Or Swollen Mouth
  17. Taste Problems
  18. Upper Abdominal Pain 

RARE side effects

  1. Acquired Decrease Of All Cells In The Blood
  2. Acute Kidney Failure
  3. Atypical Femoral Fracture
  4. Blurred Vision
  5. Bone Necrosis Of The Jaw Bone
  6. Bronchospasm
  7. Fanconi’s Syndrome
  8. Giant Hives
  9. High Amount Of Potassium In The Blood
  10. Hives
  11. Hypersensitivity Drug Reaction
  12. Inflammation Of The Iris – The Colored Part Of The Eyeball
  13. Inflammation Of The Uvea Of The Eye
  14. Inflammation Of The White Outer Coat Of The Eye
  15. Kidney Disease With Reduction In Kidney Function
  16. Life Threatening Allergic Reaction
  17. Low Amount Of Calcium In The Blood
  18. Lung Tissue Problems
  19. Seizures
  20. Signs And Symptoms At Injection Site
  21. Slow Heartbeat
  22. Stevens-Johnson Syndrome
  23. Toxic Epidermal Necrolysis
  24. Worsening Of Asthma
  25. Arthritis
  26. Chest Pain
  27. Dry Mouth
  28. Extreme Loss Of Body Water
  29. Feeling Anxious
  30. Increased Feeling Of The Skin
  31. Involuntary Quivering
  32. Itching
  33. Leg Cramps
  34. Muscle Spasm
  35. Not Feeling Well
  36. Numbness
  37. Pink Eye
  38. Rash

Source: https://www.webmd.com/drugs/2/drug-21757/zometa-intravenous/details/list-sideeffects

Side effects for Tarceva

  1. Skin changes
  2. Diarrhoea
  3. Increased risk of getting an infection
  4. Loss of appetite
  5. Sore mouth and ulcers
  6. Cough and shortness of breath
  7. Liver changes
  8. Feeling or being sick
  9. Numbness or tingling in fingers and toes
  10. Headaches
  11. Hair loss
  12. Depression
  13. Tiredness and weakness (fatigue) during and after treatment
  14. Tummy (abdominal) pain, indigestion and wind (flatulence)

Occasional side effects

  1. Nosebleeds
  2. Bleeding from the stomach or bowel
  3. Cracked skin (skin fissures)
  4. Swelling around the fingernails
  5. Eye problems
  6. Rare side effects
  7. Liver damage
  8. A hole in your stomach, food pipe (oesophagus) or bowel
  9. Abnormal hair growth

Source: https://www.cancerresearchuk.org/about-cancer/cancer-in-general/treatment/cancer-drugs/drugs/erlotinib/side-effects

Do you need to pay RM100,00 to collect such possible side effects? Think carefully — why do you think GG is suffering so badly now?

My last word. If I have a choice, I would rather NOT take on this case. I am not sure if GG is here just wanting to hunt for a magic bullet. I cannot cure her. But I have no choice. I have to help GG the best I know how, if she is committed to her healing. Let’s see if she turns up again in the next two to three weeks.

From what I can see, right now she is in severe pain and discomforts. My prayer: Oh God, please give me the wisdom to make her life a bit more comfortable.

 

 

 

 

 

Lung Cancer Part 1: Free Tarceva for Life — A Crashed Dream

GG is a 59-year old Malaysian lady. About four years ago (June 2014) she had a bit of cough. She consulted a GP who  said there might me something in her lung. GG was asked to consult a lung specialist in Hospital A in Penang.

A CT scan on 5 June 2014 indicated mild fibrosis in both lungs. There was a 1.6 cm nodule in the right lower lobe, likely benign in nature. Minimal atelectasis (collapse or closure of a lung resulting in reduced or absent gas exchange) in the right lung base. Conclusion: Features are suggestive of infective process, such as tuberculosis.

GG was sent home without any medication.

Unfortunately, GG did not get any better in spite of returning to see her doctor again and again.

Her tongue became crooked. GG went for acupuncture. Great! Her headache went away and her tongue became straight again. The acupuncture treatment was for about two months. She received two treatments per week. Each treatment cost RM 8.00.

Unfortunately again, GG’s problems did not go away. In September 2017, she developed severe headaches and could not stand the pain. She started to cough, especially at night. GG went to consult a neurologist in Hospital B. A scan showed nothing in her brain but there was a 2.6 x 2 x 2.5 cm mass in the left upper lobe of the lung. There was also a 2 x 1.6 x 2 cm mass in the right lower lobe.

There was partial collapse of her T3 vertebra. There were lytic and sclerotic lesion seen in the right 6th rib and the left 10th rib.

A core needle biopsy of the lung mass was done. The result confirmed cancer — an invasive moderately differentiated adenocarcinoma.

GG went for a second opinion in Hospital C. A PET scan was done followed by a biopsy again.

The PET scan results suggested primary lung cancer with metastasis to the perihilar node and multiple bony metastasis involving the spine, pelvic bones, bilateral ribs, right skull base, left scapula and left humerus.

A tissue specimen sent to Kuala Lumpur for further analysis indicated positive for EGFR gene mutation.

GG was started on oral drug Tarceva in October 2017. And she had been taking this drug until now. GG had to pay RM5000 plus per month for this medication. In addition she received monthly Zometa injection for her bone. This cost about RM1500 per month.

Chris: Did you ask the oncologist if these treatment can cure you?

GG: No, cannot cure. Can control only.

C: How long do you need to be on the medication?

GG: Take Tarceva until I die.

When GG came to see us, she was already on Tarceva for 13 months.

The oncologist offered an interesting deal. GG has to buy Tarceva for 10 months. After that she will be given free Tarceva for life. In other words, spend $50 to 60K on Tarceva first and then you get whatever Tarceva you need for life.

For the past three months GG received free Tarceva but had to spend about RM300 per visit on hospital expenses.

Unfortunately, about two weeks before she came to CA Care, GG had to be hospitalised for ten days. This cost her RM21,000.

All in all, up to this point in time, GG said she had already spent RM100,000 for her medical treatments. Never mind, insurance pay!

C: Why do you come and see us. Why don’t you continue taking the Tarceva. After all it is for free now!

GG: The oncologist said Tarceva is not effective anymore! I need to change to another more expensive drug. And this time I need to pay for that drug. It will probably cost RM10,000 per month and I cannot afford that.

C:Did you suffer any side effects while on Tarceva?

GG: Initially there was a bit of hair loss. My skin was dry and there was a bit of itchiness. After about seven months on Tarceva and Zometa, I started to have more serious problems.

  • Double vision. If I close one eye, it is okay. With two eyes opened it is havoc.
  • Cannot stand the bright light with my eyes opened.
  • Both ears with ringing sound.
  • Legs no strength.
  • Severe muscle pull at the neck.

C: Did you have such problems before taking Tarceva?

GG: No such problem.

 

 

Indeed when GG came to see us she was really in a bad shape. She could not sit up for long and needed to lie down. Her son pushed her around in a wheel chair.

I asked GG to leave behind her stack of medical reports and CDs of the scan. I need to do some “homework” to understand what had happened.

One month after commencing Tarceva, GG had a CT scan. Did the tumours in her lung disappear? As shown by the scan below, there was no magic.

One year after consuming Tarceva, CT scan showed GG’s condition did not get any better either. Study the images (above and below) and see for yourself that the tumours in the lungs did not go away.

GG had been a RM1,500-Zometa-injection every month. Her bones did not get any better either. MRI in September 2018 showed severe compression fracture of body of T3 vertebra and sclerotic lesions in bodies of T2, T3, T4, T5, T6, T7 and T11 vertebrae.

Every month, GG did blood test and her CEA, CA 153 and CA 19.9 were monitored. The results (as in tables below) were disappointing.

In September 2017 when GG started seeing her doctors in Hospital B, her CEA was only 11.7. Then GG started to take Tarceva  prescribed by an oncologist in Hospital C. The CEA increased to 58.6. Over the months, even with Tarceva, the value fluctuated. It August 2018 (after almost a year on Tarceva) it was 42.5. In September 2018, it was 14.8 (Table below).

The rise and fall of CA 15.3 and CA 19.9 showed similar trend. Look at the big picture.

GG started off with CA15.3 = 35.5 and a year later it was 98.

For CA 19.9, it was at 120.4 in September 2017 and it was at 178.9 in September 2018.

You don’t need to be a doctor to know that the treatment did not work. GG needs to try her luck elsewhere. If she continues with the medical treatment, she was told that she needs a new, more expensive drug. This time she has to pay for the drug. Her dream of enjoying free Tarceva for life turns out to be just a “crashed dream” or an illusion.

 

Patient said her condition had improved after taking herbs but doctor said she had deteriorated!

YN is a 54-year-old Indonesian lady. She had problems with her lungs. The doctor in Surabaya diagnosed it as TB. YN had been taking TB medication for the past seven months. Her condition did not improve.

YN then did a CT in May 2008.

The result showed:

  • 8 x 5.5 x 5.5 cm mass in right lung.
  • Segmental atelectasis, that is collapse of one or several segments of a lung lobe.
  • Multiple subcentimeter nodule in both lungs.
  • Subcentimeter lymphadenopathy (swelling of the lymph node).
  • Fluid in the lung.
  • Gallbladder stone.
  • Thyroid lesion, 1.5 cm.

YN came to the cancer hospital in Penang. The doctor wanted to perform a biopsy and if cancer is confirmed YN will have to undergo chemotherapy.

YN refused further medical treatment and came to seek our help instead.

Chris: Why don’t you want to go for chemo?

YN: My late husband had colon cancer and had surgery in Singapore. Then he had six cycles of chemotherapy at another private hospital in Singapore. He died immediately after receiving the sixth treatment. In all we spent about 1 milyar (one thousand million rupiah) for his treatments. And he died within six months after his diagnosis.

C: Did the doctor say chemo can cure your husband?

YN: Yes ,he said chemo can cure! So, I don’t want any chemo. I shall try your herbs and if they help me, I shall come back to see you again.

Having seen the CT scan (above) I explained to YN that taking our herbs would NOT cure her at all. To help her may be but to cure, no. YN understood this.

I was a bit more curious. Most Indonesian men smoke and ended with lung cancer. YN does not smoke. What about her working environment? She sells things at a store in the market.

YN told me that in 2011, she had a hysterectomy in a hospital in Jakarta. Was it cancerous? YN did not know.

Then in 2013, she had another operation to remove her ovary. Again, was it cancerous. YN did not know either.

Looking at the scan and know her medical background, it appears to me that YN has metastatic lung cancer — I cannot figure out how the doctor ever diagnose her with TB.

Part 1: YN first visit

Two Months on Herbs

YN came back to see us again after taking the herbs. Her condition has improved very much.

  1. All pains throughout the body were gone after taking herbs for a month. Before the herbs, she had pain all day long.
  1. She used to have pain in the left side of her chest. This was also gone.
  1. She was still unable to sleep due to the coughs. Unfortunately the Cough 5 and Cough 6 that we prescribed did not work for her because each time she was taking only one TEAspoonful instead of the recommended 2 or 3 TABLEspoonful.
  1. YN was not able to sleep flat and needed to be propped up when lying down. For this, I suggested that YN add in Lung Phlegm into her lung tea. The problem could be due to fluid in her lung (pleural effusion).
  1. YN does not feel tired anymore after taking the herbs. She can also climb up the stairs. Before this she was always tired and unable to climb up the stairs.
  1. The problem of wind in her stomach disappeared after taking our Gastrovit herb.
  1. Breathing is normal now. Before YN was breathless.
  1. Before seeing us, her right ear oozed out blood. This happened about once in every two weeks. After being on our therapy, this problem resolved.

Before YN came to see us for this second visit, she did a chest X-ray. According to the doctor her condition had deteriorated and she has much “less hope” now compared to before.

Chris: Before you came, did the doctor say medical treatment can cure you? Any hope?

YN: He said I have no hope. Now, he said I have much more “no hope”.

C: Two months ago, before taking the herbs, you had so many problems. And now most of the problems are gone. You are much better now. And the doctor said you have even LESS hope now. Do you believe what he told you?

YN: No, I never believe him.

Part 2: Better after taking the herbs 

 

 

 

 

Lung Cancer Patient from Selat Panjang — still alive and healthy?

I once asked an Indonesian patient who came to see me. Do you know where Selat Panjang is? He shook his head — No. 

Well, I don’t expect him to know — the Indonesian archipelago has 18,307 islands!

But I am glad to say that over the years taking care of cancer patients, my geography about Indonesia has improved a notch! I know where Selat Panjang is — because I have patients who come from that Riau islands.

Let’s watch this video first.

Comments

When patients come here for the first time, I normally ask a few general questions, such as Where are you from? Who ask you to come here? 

Here are some lessons we can learn from my conversation with this lady (let us call her Alice) from Selat Panjang that morning. 

Where are you from? 

From her hometown, Selat Panjang, Alice had to take a three-hour plus ferry ride to Batam. From Batam, it  was another two-hour plus ferry ride to Johor. From Johor she took a ten-hour bus ride to Penang. Unfortunately, Alice got off  at the wrong place! This was her first time in Penang — a real daring adventure!

Over the years, I learned that some other patients need to travel for one or two days just to reach Penang. They had to take a train or bus for hours to the airport and then fly to Penang. Some patients had to change planes one or two times to get to Penang.

I really feel sorry for people like Alice who has to travel so far and so long just to come and seek our help.

So, those of you who live nearby, consider yourself lucky or blessed. You need not have to suffer such “ordeal” to come and consult us. I used to joke with some patients. Some patients just have to drive across the Penang Bridge to come and see us and that they consider “very far away”!  To others, taking one- or two-hour plane ride is considered “far”? Think about Alice and others like her! 

Who ask you to come and see us? 

Alice came because someone in Selat Panjang told her about us.

About three years ago, a lady came to seek our help on behalf of her father who had lung cancer. The father was bed-ridden and was unable to move his bowels and urinate. This lady brought back some herbs for her father. He was also told to take care of his diet. Within two weeks he got better. It has been three years now and he is still alive and healthy.

Can you believe this story? To be honest, I don’t. More often than not, people tend to exaggerate their “success”!

So I took some time trying to get more details from Alice. Did you really meet this patient? Yes. Alice met and talked to the patient himself. This patient made a photocopy of our name card and gave it to Alice. Up to this day, Alice said the man still takes care of his diet. I asked Alice if he is he really alive and healthy? Yes, he puts on weight and is not a skinny, half dead person! Really still alive? Yes.

If you ask me if a bed-ridden, lung cancer patient would survive that long my answer would probably be no way. The condition of Alice’s father is almost the same as this man, both of them have lung cancer and are bed-ridden.

One important lesson I learned about helping patients is the need to share.

When we started our cancer centre in Penang, the first thing I did was to knock down the wall of our consultation room to make it an open space. I see patients in this open hall. Why? From the very beginning I believe that we are all in here together — you and me, and many other patients who come to CA Care for help. There is nothing to “hide” from each other — let us learn to share and help each other.

When I first started CA Care in 1995, I knew nothing about cancer. I did not even know the difference between radiotherapy and chemotherapy let alone know what herbs to prescribe for various cancers. With time I read a lot and learned from the experiences of patients who came and shared their experiences.  My patients taught me how to heal them! I in turn shared those experiences to help others. As I said, we all are in here TOGETHER. And this how CA Care grows.

I am glad to learn that this lung cancer patient in Selat Panjang decided to share his healing experience with others who need help. It is noble of him to help his fellow islanders!

Over the years, I must say that 99.9 percent of the patients are very co-operative. They are willing to share their success stories. It is because of this willingness to share that makes CA Care what it is today. However, over the years, I have also come across some “rotten apples” who don’t want to share. They even ask me to delete their stories posted in the website. So be it, I respect their wishes.  Luckily, such rotten apples are rare, otherwise I would have closed CA Care years ago! 

Why are you here? 

Alice came with a strong feeling that we could help her father. Her father has lung cancer that has spread to his bones. Because of that he is bed ridden. According to the oncologist, without chemo her father would die within six months.

I was upfront with Alice and I did not want to play god in this game. I told Alice I would not be able to cure her father. I would not be able to repeat the success that happened to the patient who introduced her to us. Remember what happen to others, need not happen to you. What happen to you need not necessarily happen to others. In cancer, your healing or failure is uniquely yours.

I also ask Alice to ignore the oncologist’s prognosis. To me, telling patients that they have six or a few months to live if unethical.  When patient asks me how long he/she has, my answer is, Don’t worry we shall do our best to help you. Read what Professor Jerome Groopman, a well known oncologist at Harvard Medical School wrote:

I am also aware that one of the sales tactics, to push more treatment to patients, is to instill fear into them. Make patients helpless and you can pull them by their noses — tell them to jump into a pit, they would willingly do it. I would not want to do that.

Alice has come all the way to seek help. She deserved to receive the best from us as honestly as we can provide. After spending some hours with Alice, I asked her to relax, go back to her hotel first and call her family in Selat Panjang to explain what it takes to embark on this healing journey. It is not easy. If her father is not willing to follow our advice, it is better not to take our herbs. No, we do not wish to putting any fear into the family by rattling out meaningless statistics or create a do-or-die situation.  Be calm and think properly.

Healing needs a strong sense of commitment. Nobody can help you except you yourself. I am glad that Alice understood this. She took time to talk to her father and family. The next day she came back and said she wanted to try our therapy. For the rest that follows, I pray that God will guide and bless the patient.