It was “hell” after surgery + chemo + hormonal therapy. Herbs made her happy, happy! So where is the science?

Rina (not her real name) was a 30-year-old lady from Indonesia. She led a healthy life except that she was told there was one or two cysts in her uterus. She had the following problems during her menses.

  • She had pain about 3 days before her menses and the pain persisted until 2 days after the menses started.
  • It was a pulling pain.
  • Before menses she had pain in her back and breasts.
  • Before menses she suffered from mood swings.
  • Before menses she likes to eat sour food.

But it was not to be. In August 2023, Rina had a laparoscopic surgery in a private hospital in Jakarta. The histopathology report confirmed:

  • Salphingitis – inflammation of the left and right fallopian tubes.
  • Leioyonma (also referred to as fibroids or myomas).

The medical treatment cost Rina IDR 200 million or about RM61,000.

In December 2023, Rina underwent 3 cycles of chemotherapy. Unfortunately, she did not know the drugs used on her.  After chemotherapy, Rina was given Pamorelin injection, once a month for 3 months. Since her wellbeing was going downhill, Rina decided to stop further medical treatment.

Did the above treatment “cure” or help Rina?

Unfortunately, the answer is a big NO. That is why Rina decided to come and seek our help. Rina and her sister said each day life was “hell” for her. This happened after the completion of chemotherapy. She suffered:

  • Pain on and off. She had to take pain killer medications.
  • Once a while she had “wind” or gas in her stomach.
  • She was not able to sleep.
  • She felt tired all the time.
  • Her appetite was very poor.
  • Her urination was 5 to 6 times per night.

When I met her, Rina presented as a desperate and frustrated lady. This could be “seen” from her facial expression.  She told me that there was constant pain in her uterus.

In spite of the medical treatments, there was blood discharge for 1 to 2 days, then there was pain, then there was blood discharge again.

The pain was intense during the night or early morning. When asked to rate her health condition on a scale of 0 to 10, Rina said it was 10 – real hell that she had to go through each day.

I prescribed her some herbs to take care of her uterus, fibroid, PMS, gassy stomach and frequent urination.

The next day Rina texted me saying that her problems improved after taking the herb for only ONE day!

  1. After taking the herbal tea, I felt sleepy.
  2. Even though I felt sleepy, I have more energy.
  3. Pain in the uterus was less.
  4. Abdominal pain is totally gone!
  5. Urination frequency at night was reduced!

One month after the herbs.

Rina and her elder sister came back to Penang again. It was amazing to learn that Rina had recovered – no more hell! See the video below;

Her sister said: Before she on herbs, she would call me very often and complained about all problems that she had.  Now she is far, far better – her problems almost gone.  

Rina regained her health and was back to normal again.

ProblemsBefore the herbsOne month after taking the herbs
PainRated at 10 (scale of 0-10)Gone!
Stomach gas / windDiscomfort on and offImproved
Unable to sleepSlept at 4 or 5 a.m.  woke up after a few hoursSlept at 10 or 11 p.m. and woke up at 7, 8 or 9 a.m.
AppetiteVery poorAppetite normal
Frequent urination5 x per night2 x per night
No energyPreferred to stay homeLike to go out and be on the move

Comments

  1. I spent some time trying to understand the reason for her menses problem. After some questions, it appears to me that Rina suffered from PMS (premenstrual syndrome).

Over the years, I have helped many ladies with PMS. This can be easily solved by taking our PMS herbs for a month or two.

  • With her problems, Rina went to a private hospital for surgery. This baffles me! Does Rina really need surgery for her problems? Can this be solved by a much less invasive and cheaper way?

Please reflect on the quotations below:

  • Even more baffling is that Rina had to undergo chemotherapy! Based on the histology report, Rina did not have any cancer. Why does she need chemotherapy? Is this just a case of prevention stretched a bit too far?  Rina suffered from inflammation of the left and right fallopian tubes. Surgery was done to take care of that. Did she really need chemotherapy for her inflamed fallopian tubes which have been removed? Where is the science in that?
  • After 3 cycles of chemotherapy, Rina underwent hormonal treatment with Pamorelin. This is even more baffling. Why Pamorelin? From the internet, I learned that  Pamorelin is used to treat prostate cancer! Prostate cancer drug on the lady? A lady can have prostate cancer? Does it sound right or scientifice?

Oh, no – Pamorelin is also used to treat endometriosis in women. That is what scientific medicine say? You buy that? Say what you like, the medical report never mention that Rina suffered from endometriosis anyway! She has fibroid.

  • It looks like Rina has be overtreated. Is this not the reason why Rina suffered badly after her chemotherapy?
  • Since I am not able to know the name of the chemo drugs used, I am not able to speculate why Rina suffered so badly. But for Pamorelin, the main side effects of this drug are: hot flushes, night sweating, vaginal dryness, headache, dizziness and nausea, to name just a few!

My final comment.

Ladies, it is your life. Decide carefully before you allow anyone to use the knife and toxic drugs on you. These may not be the answer to your problem.

Problems of Endometriosis Improved After Taking Herbs

Laura (not her real name) is an Indonesian lady. At the age of 38 she felt uncomfortable during her menses. She discharged excessive amount of blood which contained blood clots. One feng shui practitioner told her to see a doctor and check if there was anything in her uterus.

Laura did an ultrasound on 31 August 2019 and the doctor told her she had endometriosis.

The doctor then suggested that Laura undergo an operation which she refused. Why? Laura’s aunty was also diagnosed with endometriosis some years earlier and was operated on. The problem recurred and she had to undergo a second operation to remove the whole uterus.

 The doctor then asked Laura to take Provera 100 mg.

Laura did not get better after taking this hormone pill.  She then went to Singapore for further treatment. This time, the Singapore gynaecologist did not ask her to go for surgery.  The doctor said, It is okay. No need to worry. When you grow old and have your menopause, this problem will go away. Laura was prescribed two types of drugs (both are hormones!):

  • SunoLut (Norethisterone 5 mg). She had to take this for 3 months.
  • After finishing SunoLut she was asked to take Yasmin (Drospirone 3 mg  and ethinylestradioal   0.03 mg). This is a combined contraceptive pill. She is supposed to take this until she has menopause (i.e. at least 10 years from now).

Laura was on Yasmin for about a year. She was not happy with the result. Her problems got worse instead of  getting better!  It was at this junction that Laura sent me an email with this message:

Actually I don’t like (the medication prescribed by the doctor which I am still taking up to this day). I feel I am not getting well after the hormone medication. Honestly, I prefer herbal medications from Prof Chris Teo. Thanks for your kind attention. Hopefully I can hear from you soon.

A few years ago, Laura and her aunty came to our Centre. Laura knows that we are involved with only cancer. So this email was a long shot, hoping that we also have herbs for her problems! Yes, we do.

The following are Laura’s problems:

1. In September 2021, she did another ultrasound. The endometriosis was still there (see picture above). In fact her condition had deteriorated after taking the doctors’ medication. 

2. She had twisting pain on the right, lower abdomen and right lower back during her menses (3 days) and this dragged on for another 7 days after her periods.  

3. The pain usually occurred from 3 a.m. to 5 a.m. On certain days the pain started from evening and lasted the whole night until the next morning. She had to take Panadol before going to bed otherwise she would not be able to sleep well for the whole night (during these 10 days).

The pain in the day time was not intense. She just felt uncomfortable like she was having menses.

4. Laura had a Sinovac vaccination and she said she had “double pain” after that, i.e.the pain became twice more intense after the injection. The nature of the pain was the same.

5. Laura felt tired.

6. During her periods, she had bad colic problem. She felt too much “wind” in her stomach.

7. When she was in pain, she felt her breathing was faster.

8. Before her periods, Laura felt tightness in her breast. She craved for chocolate and had mood swings. These are symptoms of PMS – premenstrual syndrome. Or these could be the side-effects of the contraceptive pills that she is taking.

Based on the above information, I prescribed Laura the following herbs:

  • PMS pills
  • Pain Tea
  • Stomach function tea
  • Utero-ovary tea
  • GY6  – tea for her endometriosis

In addition to the herbs, I also suggested that Laura stop taking her contraceptive pills.

ONE WEEK AFTER TAKING THE ABOVE HERBS, Laura reported great improvements. She was happy!

1. Pain almost gone after taking the Pain Tea.

Laura took the Pain Tea at about 10 p.m. She was able to have a good night sleep without pain and woke up at 7 a.m.

She needed to take Pain Tea once a day at night. The pain generally went away about 30 minutes after taking the Pain Tea.

Laura tried taking the Pain Tea three times a day. There was no benefit with such extra dosage.

2. After taking the herbs, the problem of “rapid” breathing also disappeared.

3. The problem of stomach wind improved. Before taking the Stomach Function tea, Laura used to have bloated stomach in the evening, after dinner at about 7 p.m. This bloating lasted the whole night. After taking the Stomach Function tea her condition improved by about 50 percent. She felt much better.

4. After taking the herbs, she felt she had more energy and felt healthier.

5. Her PMS problems seemed to improve after taking the PMS pills for 4 days!

ONE MONTH AFTER TAKING THE HERBS.

1.  Lara had stopped taking the Pain Tea because she did not have any more pain. In total she took 14 times of pain tea – i.e. for two weeks, once a day in the evening.

2. The problem of stomach “wind” had reduced tremendously.

3. Her mood swing still persist but had improved tremendously and her craving for chocolate had also reduced!

4. Laura confirmed that since starting on the herbs, she had stopped taking her doctor’s hormone medication.

Comment.

The common ways of solving gynaecological problems in women are: surgery, hormone and pain killer. Yes, these modalities may be able to treat the symptoms but sometimes they come with a host of side effects often not made known to the patients beforehand.

Study Laura’s case critically. After declining surgery, she was prescribed one hormone pills after another – Provera, Sunolut (norethisterone) and Yasmin (drospirenone and ethinyl estradiol). Laura’s condition did not improve, in fact her condition deteriorated. If she was to continue with these hormone pills, we would never know what she would end up with in years ahead – but certainly Laura knew that she was not getting better!

After being on hormone pills for about 3 years (from August 2019 to September 2021) Laura suffered severe stomach pain or discomfort, bloating, breast tenderness, mood swings and PMS.

The question to critically asked is: Why?

Are these symptoms due to the side effects of the hormone pills? Read for yourself the information obtained from the internet.

1. Provera is a form of progesterone (hormone). 

This  hormone is taken at a high dose to treat the symptoms of recurrent or metastatic cancer – breast cancer, kidney cancer and endometrial cancer. However, Provera is also prescribed for  absent or irregular menstrual periods, or abnormal uterine bleeding and endometriosis.

Like other medicines, PROVERA can cause some side effects such as:

  • Swollen or tender veins
  • Difficulty breathing
  • Nervousness, confusion, loss of concentration
  • Trouble sleeping
  • Fatigue, drowsiness or sleepiness
  • Depression
  • Dizziness
  • Headache
  • Tremor
  • Skin conditions such as hives, itching, rash, acne
  • Excessive hairiness
  • Unusual hair loss or thinning
  • Sweating
  • Irregular vaginal bleeding or spotting
  • Lack of menstrual periods
  • Nausea, vomiting
  • Constipation
  • Diarrhoea
  • Dry mouth
  • Yellowing of the skin or eyes
  • Breast tenderness
  • Unusual secretion of breast milk
  • Unusual changes in vaginal secretions
  • Changes in sexual drive
  • High fever
  • Weight change
  • Fluid retention and an increase in blood pressure

2. SunoLut (norethisterone).

This is a synthetic and potent progestogen hormone which stops uterine bleeding. Norethisterone 5mg tablets are prescribed to treat various menstrual problems, including painful, heavy or irregular periods, endometriosis and premenstrual syndrome (PMS).

Side-effects of SunoLut:

  • Abdominal cramps
  • Bloating
  • Breast pain
  • Hair loss
  • Headache
  • Irregular vaginal spotting or bleeding
  • Menstrual irregularity
  • Nausea
  • Vomiting

Rare side-effects include:

  • Acne
  • Dizziness
  • Extra hair growth on the face and body
  • Tender breast
  • Weight gain

Severe side-effects may also occur:

  • Eye abnormalities: double vision, blurred vision, headache with extreme pain (migraine), sudden onset of bulging eyes sudden partial or complete loss of vision
  • Blocked blood vessels in the lungs due to abnormal blood clotting (possibly) fatal and serious long-term disabilities)
  • Stroke due to abnormal blood clotting.
  • Heart attack due to abnormal blood clotting.
  • Chest pain
  • Shortness of breath
  • High blood sugar (diabetes)
  • Vaginal yeast infection
  • Liver problems such as jaundice and poor liver function
  • Enlargement of benign tumors of the uterus (fibroids)
  • Mental depression

Warnings

  • Ovarian Cyst – Women who are using oral contraceptives are at increased risk of formation of an ovarian cyst/enlarged follicles associated with mild abdominal pain in patients using this medicine.
  • Breast Cancer – Women using combined oral contraceptives (example progestin with estrogen) are at an increased risk of developing breast cancer.  Women who have breast cancer should not use this medicine.
  • Genital Bleeding: An irregular menstrual pattern including genital bleeding, is common among patients using this medicine.
  • Heart Diseases: Patients who have diseases such as increased blood pressure, raised blood sugar level (diabetes mellitus), high blood cholesterol level, obesity, autoimmune diseases, an existing blood clot in the vein or a history of blood clots in the veins are at an increased risk when using this medicine. Vision or Visual Abnormalities: Women who are using oral contraceptives are at an increased risk of sudden loss of vision, displacement of the eye, double vision, migraine, and other issues related to the eyes
  • Combined Oral Contraceptives Use: Women using combined oral contraceptives (progestin with estrogen) are at risk of developing liver tumors. The rupture of the tumor maybe possibly fatal due to bleeding.
  • Ectopic Pregnancy: Women who are using progestin-only oral contraceptives are at increased risk of pregnancy that grows outside of the uterus (ectopic pregnancy).

3. Yasmin (drospirenone and ethinyl estradiol).

This is a  combined contraceptive pills and is used to prevent pregnancy.


Warnings of Yasmin

Women with a past medical history of breast cancer, high blood pressure, liver or kidney problems, diabetes, and high cholesterol should know that taking combined oral contraceptives may worsen these problems or increase the risk of serious side effects.

You should not take Yasmin if you have: undiagnosed vaginal bleeding, liver disease or liver cancer, severe migraine headaches.

Taking Yasmin can increase your risk of blood clots, stroke, or heart attack.

Yasmin contain drospirenone, which can increase the potassium levels in the body. This pills can increase the risk of hyperkalemia, or higher than normal potassium.

Common Yasmin side effects may include:

  • Nausea and vomiting
  • Breast tenderness
  • Headache
  • Mood changes
  • Feeling tired or irritable
  • Weight gain
  • Changes in your menstrual periods
  • Decreased sex drive
  • Premenstrual syndrome (PMS)
  • Stomach pain or discomfort.

There is one more important question – Does the contraceptive pill increase cancer risk?

The website of the Cancer Research UK (https://www.cancerresearchuk.org/about-cancer/causes-of-cancer/hormones-and-cancer/does-the-contraceptive-pill-increase-cancer-risk) said:

  • Yes, the contraceptive pill (birth control) can slightly increase the risk of breast cancer. But it can decrease the risk of ovarian and womb cancer. Overall, the protective effects outweigh the risks, but each person’s risk will be different. 

The website of the National Cancer Institute, USA provided this answer (https://www.cancer.gov/about-cancer/causes-prevention/risk/hormones/oral-contraceptives-fact-sheet):

  • Breast cancer: Overall, women who had used oral contraceptives had a slight (7%) increase in the relative risk of breast cancer compared with women who had never used oral contraceptives. Risk declined after use of oral contraceptives stopped.

In 2017, a large prospective Danish study reported breast cancer risks associated with more recent formulations of oral contraceptives. Overall, women who were using or had recently stopped using oral combined hormone contraceptives had a modest (about 20%) increase in the relative risk of breast cancer compared with women who had never used oral contraceptives. 

  • Cervical cancer: Women who have used oral contraceptives for 5 or more years have a higher risk of cervical cancer than women who have never used oral contraceptives. The longer a woman uses oral contraceptives, the greater the increase in her risk of cervical cancer. One study found a 10% increased risk for less than 5 years of use, a 60% increased risk with 5 to 9 years of use, and a doubling of the risk with 10 or more years of use.
  • Endometrial cancer: Women who have used oral contraceptives have a lower risk of endometrial cancer than women who have never used oral contraceptives. The protective effect persists for many years after a woman stops using oral contraceptives.
  • Ovarian cancer: Women who have used oral contraceptives have a 30% to 50% lower risk of ovarian cancer than women who have never used oral contraceptives. This protection has been found to increase with the length of time oral contraceptives are used.

Gone ! 4 cm cyst disappeared after herbs!

Daisy (not real name) is a 42-year-old Indonesian. She had a 5 x 3 cm cancerous tumour in her cervix. She underwent an operation to remove the tumour in November 2016.

After the surgery, she told her doctor that she did not want to go for chemotherapy. She wanted to take herbs instead. Okay —  no problem!

Daisy was well after that. She used to be “plump” but after taking care of her diet her weight went down to 59 kg from 76 kg. She looked fairer and prettier!

On check up in July 2017, her doctor found a cyst in her abdomen about 48 mm in size. The doctor suggested there was no need to do anything yet, just wait and see.

In November 2017, a repeat USG was done in Batam, Indonesia. The doctor told Daisy the cyst was still there and it measured 37 mm.

At this point in time, I prescribed Daisy herbal teas — GY 5 and GY 6. Hopefully the teas will get rid of the cyst!

In April 2018, Daisy came to our centre with a smiling, happy face! She just went to her doctor in Batam and did a second USG. The cyst was gone!

Listen to our conversation that morning.

Chris: Okay, how are you now?

Daisy:  A few days ago, I went to my doctor and did an USG. The cyst is gone.

C: God helped you! Before the herbs, what was your problem?

D: When I bend forward, I felt pain. Now there is no pain.

C: Earlier on, you said you had “twisting” pain in the abdomen when you were tired.

D: No more.

C: Some months back, an USG showed there was a 4 cm cyst. Then another USG later said it was 2.7 cm. and now it is gone. How long were you taking the herbs?

D: Two months.

C: You believe that? You believe what the doctor told you?

D: Laugh.

C: Is it true or not, I really don’t know. Did the doctor know that you had a cyst in there? Did the doctor ask you what you did to make the cyst do away?

D: The doctor knew I have a cyst (3.7 cm) and the doctor knew I refused to undergo chemotherapy. No, the doctor did ask or want to know why.

C: Okay, after another 2 or 3 months, go and do another USG.

D: The doctor told me to come again after one year!

C: Laugh. You can go to another doctor and ask to do another USG. Don’t have to go back to the same doctor. We just want to know that the last USG is really correct or not. So let’s see what happen after another 2 or 3 months.

Comment

There is nothing unusual about this case. We have seen that our herbs, GY 5 and GY 6, each tea taken once a day, did make cysts go away after a few months. No, you don’t need surgery for such a case!

Update: As I have suspected, some months later USG found the cyst again. Why? It is most likely that the followup USG done by the doctor was NOT correct! The doctor gave the wrong information? Yes, this do happen once a while.

 

 

Bye bye Ovarian Cyst and Bye bye Repeat Surgery

This is an e-mail, we received on 21 August 2013:

Dear Mr Chris,

I am happy to know through my friend about your nature cure herbal medicines. I would like to consult you for my wife fibroid problem at Ovarian and Uterus .

We did laparoscopy and removed the cyst last year, but still we suspect it’s growing up again. Recently we didn’t take any treatment or  medication (allopathic). The doctor(in Singapore) didn’t prescribe any medicine and advice her to take birth control pills regularly to suppress the Hormone. But she stopped taking as it shows some side effects like tiredness and general weakness.

Now she has no other symptoms except severe hair loss and her stomach looks bloated.

Reading your website I understand there is a fibroid tea for to cure the cyst , how to get the medicine. We are Indian Nationality currently residing in Singapore. Do you have any clinics in Singapore or nearby or shall we need to visit you personally?

Kindly advice us where to buy the medicine if taking medicine is enough.

Best Regards
R

Reply: Better that you come and see me personally with all the medical reports and scan …then we take it from there.

 

 

This patient was out of our “radar” for quite a while after her visit. Then on 13 November 2015, we received this e-mail:

Dr Chris,

Since that day we met, my wife taking herbs Utero-Ova and GY6. It works amazingly and recent studies on her medical report shows very good improvement and she is getting better. Thanks for your advice and consultation.

However , hearing the so many news of people suffering from Cancer, she is very much worried and She want to take some other herbs that could prevent Cancerous cells affecting her well being. Is there any? Especially for Breast Cancer and Colon Cancer (for Male /Female) , if there is,  can you prescribe that.

Waiting for your advice. Regards.

Reply:  Thank you very much for your email. I am real glad that your wife benefited from the herbs — yes, many others like her also had similar good effects. Can you share with us why you say your wife is getting better? She went to see the doctor and what did the medical report say? Health wise — how is she now compared to before taking the herbs — in what way is she better?

Regarding, cancer prevention. No, I don’t have any magic bullet for that. You need to take care of your diet, be happy and excercise always …if you like to use the e-therapy machine for health maintenance .. it may help you. For that you need to come and see me again and we discuss. Take care.

Good Morning Dr Chris,

At that time of consultation she was under English Medication and suggested surgery to remove her cyst, earlier she had lap. surgery in Singapore to remove the cyst. After sometime it grew back to around 7 cm., and the same treatment and Surgery was prescribed in Singapore and Surgery was advised  to be  repeated, whenever it grow.

After taking the Herbs for six months, the size reduced to 4cm and we continued taking for two years, last month she had the scan and the report shows only less than 5 mm cysts and nothing more … Regards.

Medical reports 

  1. 2011 – pains during menses (severe dysmenorrhea). Blood discharge with clots. Scan showed chocolate cysts in both ovaries.
  1. Prescribed painkiller and hormone pill (progesterone).
  1. More pain during every menstrual cycle.
  1. Doctor suggested operation.
  1. Patient went back to India for further management.
  1. Scan in India in June 2011, showed bilateral ovarian cysts.

Right ovary: mass about 4.7 x 8.4 cm with both solid and cystic components seen. Ovary not seen separately.

3-Right-ovary

Left ovary: mass about 8.5 x 5.2 cm with both solid and cystic components and ovary could not be visualised separately.

left-ovary

  1. MRI on 17 June 2011 showed enlarged left ovary with cystic components and suggestion of bleed displacing the uterus to the right side. Possibility of endometriosis needs to be considered. The lesion measures about 9.7 x 6.0 cm.
  1. Fluid removed from cycts. IUD placement. No medication. Waited for few months.
  1. Return to Singapore. May 2012. Laparoscopic bilateral ovarian cystectomy, adhesiolysis and hydrotubation. Diagnosis: benign endometriotic cysts.

2-Laparoscopic-surgery

  1. Unfortunately, the cyst recurred. Again 8 cm in size.
  1. Started on GY 3 and GY 6 from CA Care. Now, cyst almost gone, 5 mm. 

Comments

Ladies if you have problems with your periods, uterus and ovary, we suggest that you listen to this video careful. There are many things that you can learn from our conversation. Perhaps your doctors would not ask you such questions that we asked.

Before you rush to have your ovaries or uterus removed, please read the following:

In What Doctors Don’t Tell You, Lynne McTaggart wrote:

  • Hysterectomy outranks all others when it comes to the most unnecessary of surgical procedures.
  • Three-quarters of all hysterectomies are performed on women under 50 for highly dubious reasons.
  • In abdominal hysterectomies, side-effects can occur in more than 40 percent of operations. These side-effects include bowel problems, incontinence, risk of fatal blood clot.
  • One-third to nearly one-half of all women report a decrease in sexual response.
  • If a woman’s ovaries are removed at the same time, she will experience severe menopausal symptoms.

In The Hysterectomy Hoax, Dr. Stanley West, M.D.; wrote:

  • More than 90 percent of hysterectomies are unnecessary.
  • Only 10 percent of all hysterectomies are done for cancer. Unless you have cancer, it is unlikely that you need a hysterectomy.
  • Hysterectomy can have long-lasting physical, emotional, and sexual consequences that may undermine your health and well-being.
  • It is no secret that many women develop serious health problems after hysterectomy. Depression, fatigue, urinary disorders, joint aches and pains, and unwelcome changes in sexual desire are the most common complaints.
  • No man would agree to have his sexual and reproductive organs removed for anything short of life-threatening illness.
  • The fact that women allowed this to happen (to themselves) attest to their lack of knowledge about the consequences of hysterectomy and about the availability of alternatives to surgery.
  • I understand why doctors want to perform hysterectomies better than I understand why women agree to them.
  • Hysterectomy is a relatively easy operation. It does not require the surgical finesse need to perform … many of the other alternative procedures. Many gynecologists simply do not have the experience to do all of the other operations that can be substituted for hysterectomy when surgery is needed.
  • Gynecologists are surgeons. We make our living by performing operations. If hysterectomy is the operation a surgeon knows best, it is the one he or she will recommend and perform most often.
  • Clearly, many doctors have an economic incentive to recommending hysterectomy.
  • Your reproductive system is a beautifully crafted apparatus powered by the ebbs and flows of a variety of hormones.
  • It is time for women to recognize hysterectomy for the threat it is and to refuse to have the surgery except when their lives are at stake.

(Who is this author, Dr. Stanley West? He wrote: At this point, you must be wondering who I am and why I am opposed to hysterectomy. I am a gynecologist … chief of reproductive endocrinology and infertility at St. Vincent’s Hospital, one of New York’s most prestigious medical institutions … I have helped hundreds of women avoid hysterectomy. I didn’t set out to crusade again hysterectomy. In medical school, I believe what I was taught: that hysterectomy is good for women. Then and now, prevailing medical wisdom holds that the uterus is a disposable organ that serves no useful purpose once a woman has all the children she wants. What’s more, it is regarded as something of a nuisance.)

In Sex, Lies & the Truth About Uterine Fibroidsthe author Carla Dionne asked: Do physicians lie to their patients? Some do. Most don’t. Some aren’t aware that incomplete information is construed as a “lie” by their patients. Some simply don’t keep up-to-date on the latest medical information.

This is  our message: Ladies if you have problems with your menses – excessive bleeding, severe pain, cyst, fibroid, endometriosis, premenstrual syndrome, menopause, etc., know that you don’t need hormone pills or surgery! Herbs can help resolve your problems.

Read more here:

1.  Ovarian Cyst & Fibroid Gone After 3 Months on Herbs

2. My 6.9 cm Ovarian Cyst Disappeared !

3. Nur with Ovarian Cysts Refused Surgery. Conceived, Caesarean Birth, Cysts Disappeared!

4. Ovarian Cysts Unable to Conceive Took Herbs, Pregnant and Gave Birth

5. Endometriotic Cyst Disappeared After Three Months on Herbs

6. Hot Flashes Gone After Three Months on Menopause Pills

7. Menstrual Pain and Bleeding Resolved After Herbs

 

 

 

 

Remove your healthy uterus and ovaries to prevent cancer, anyone?

Mei (not real name) came to see us on behalf of her sister who has just been diagnosed with ovarian cancer. Mei also told us that her mother died of the same cancer many years ago. That put Mei in a very precarious position — would she end up having the same problem? After all, according to the doctor this evil trait runs in the family! I told her, No!

Mei is only 40 years old. But to her, the future is rather scary. She went to see a gynaecologist  who did a Pap Smear and examined her. Everything was normal. But due to her family history, the doctor suggested that Mei remove her healthy ovaries as a preventive measure!

During our conversation we thought Mei has PMS (premenstrual syndrome) problems which can be easily taken care of by taking PMS pill and Utero-Ovary tea.

If you say “YES” to many of the questions below, the chances are you have PMS problems.

  1. Do you have blood clots in the menstural discharge?
  2. Do you suffer any of the following before the periods?
  • Breast pain / sensitive?
  • Backache?
  • Bloatedness of the stomach?
  • Mood swing?
  • Craving for certain food (e.g. chocolate, sour food, etc.)

Listen to this video

Okay ladies, do you want to take the Angelina Jolie’s pathway? Have all your female organs removed because you are afraid of getting breast or uterine/ovarian cancer.

The following are some medical terminologies you may come across relating to the removal of the female reproductive organs.

  • Hysterectomy is a surgical procedure that removes the uterus.
  • Oophorectomy is a surgical procedure to remove one or both of your ovaries.
  • Bilateral Salpingo-oophorectomy (BSO) refers to the surgical removal of both ovaries and the tubes.
  • Radical hysterectomy refers to the excision of the uterus en bloc with the upper one-third to one-half of the vagina. The surgeon usually also performs a bilateral pelvic lymph node dissection. Removal of the ovaries and fallopian tubes is not part of a radical hysterectomy; they may be preserved if clinically appropriate.
  • TAH/BSO means total abdominal hysterectomy with bilateral salpingo-oophorectomoy.

Angelina Jolie removes female organs after cancer scare

http://www.app.com/story/life/family/parenting/shari-puterman/2015/03/26/angelina-jolie-less-woman-hotter-ever/70513236/

http://www.usnews.com/news/articles/2015/03/24/angelina-jolie-goes-public-on-decision-to-remove-her-ovaries

 Why I disagree with Angelina Jolie’s mastectomy decision 

  • When I heard about her double mastectomy, my heart sank for her because I’m sure she was paralyzed by fear. After all, nobody wants to hear the “C” word leave their doctor’s lips. Her decision was based on the doctors she trusts, but I disagree with it. She’s supposedly removing her ovaries next.
  • Preventive breast removal is a disturbingly popular trend that is being hailed as a reasonable, if not celebrated, choice. Angelina’s story makes me admire Suzanne Somers even more. She was diagnosed with breast cancer years ago and was forced to make a life or death decision. She chose well. The author of “Bombshell” still thrives today and is as vivacious as her old character of Chrissy from TV’s “Three’s Company.”
  • Mastectomies and breast implantation generate trillions of dollars for surgeons, radiologists, hospitals, pharmacies and drug companies. Lifestyle factors, diet, persistent organic pollutants, vitamin or mineral deficiencies and your body’s innate ability to detoxify poisons all play a role in developing cancer.
  • Common sense will tell you that if remove your breasts, or ovaries, or whatever … you’re still a delicious host to cancer in your lungs, uterus, pancreas, wherever.
  • It’s a dangerous trend. Don’t remove body parts to prevent cancer, instead make your body an inhospitable host!

http://articles.sun-sentinel.com/2013-05-23/health/fl-suzy-cohen-052613-20130523_1_breast-cancer-brca-1-mastectomy 

Removal of Ovaries, Fallopian Tubes Wrong Anticancer Option for Most 

  • Removing the ovaries triggers menopause and all of the symptoms that come with it. For women under 45, removing the ovaries can also result in bone thinning and increased risk of heart disease because of reduced estrogen levels. Women who have the procedure often have to undergo hormone therapy to reduce these effects. And although having a salpingo-oophorectomy does reduce the risk of developing cancer, it does not remove it completely. 

http://www.scientificamerican.com/article/removal-of-ovaries-fallopian-tubes-wrong-anticancer-option-for-most/ 

Below are quotations from books written on hysterectomy. They can shed some light on the problems facing women today. 

In What Doctors Don’t Tell You, Lynne McTaggart wrote:

  • If you are a woman in America, you’ve got a one in three chance of losing your womb by the time you’re 60.
  • Hysterectomy outranks all others when it comes to the most unnecessary of surgical procedures.
  • Three-quarters of all hysterectomies are performed on women under 50 for highly dubious reasons.
  • In abdominal hysterectomies, side-effects can occur in more than 40 percent of operations. These side-effects include bowel problems, incontinence, risk of fatal blood clot.
  • One-third to nearly one-half of all women report a decrease in sexual response.
  • If a woman’s ovaries are removed at the same time, she will experience severe menopausal symptoms.

In The Hysterectomy Hoax, Dr. Stanley West, M.D.; wrote:

  • More than 90 percent of hysterectomies are unnecessary.
  • Only 10 percent of all hysterectomies are done for cancer. Unless you have cancer, it is unlikely that you need a hysterectomy.
  • Hysterectomy can have long-lasting physical, emotional, and sexual consequences that may undermine your health and well-being.
  • It is no secret that many women develop serious health problems after hysterectomy. Depression, fatigue, urinary disorders, joint aches and pains, and unwelcome changes in sexual desire are the most common complaints.
  • No man would agree to have his sexual and reproductive organs removed for anything short of life-threatening illness.
  • The fact that women allowed this to happen (to themselves) attest to their lack of knowledge about the consequences of hysterectomy and about the availability of alternatives to surgery.
  • I understand why doctors want to perform hysterectomies better than I understand why women agree to them.
  • Hysterectomy is a relatively easy operation. It does not require the surgical finesse need to perform … many of the other alternative procedures. Many gynecologists simply do not have the experience to do all of the other operations that can be substituted for hysterectomy when surgery is needed.
  • Gynecologists are surgeons. We make our living by performing operations. If hysterectomy is the operation a surgeon knows best, it is the one he or she will recommend and perform most often.
  • Clearly, many doctors have an economic incentive to recommending hysterectomy.
  • Your reproductive system is a beautifully crafted apparatus powered by the ebbs and flows of a variety of hormones.
  • It is time for women to recognize hysterectomy for the threat it is and to refuse to have the surgery except when their lives are at stake.

(Who is this author, Dr. Stanley West? He wrote: At this point, you must be wondering who I am and why I am opposed to hysterectomy. I am a gynecologist … chief of reproductive endocrinology and infertility at St. Vincent’s Hospital, one of New York’s most prestigious medical institutions … I have helped hundreds of women avoid hysterectomy. I didn’t set out to crusade again hysterectomy. In medical school, I believe what I was taught: that hysterectomy is good for women. Then and now, prevailing medical wisdom holds that the uterus is a disposable organ that serves no useful purpose once a woman has all the children she wants. What’s more, it is regarded as something of a nuisance.)

In Sex, Lies & the Truth About Uterine Fibroids, the author Carla Dionne asked: Do physicians lie to their patients? Some do. Most don’t. Some aren’t aware that incomplete information is construed as a “lie” by their patients. Some simply don’t keep up-to-date on the latest medical information.

 

 

 

Ovarian Cyst & Fibroid Gone After 3 Months on Herbs

Ida (M690); a 41-year-old Indonesian lady,  came to see us today (9 October 2014) and shared her story. She and her husband also agreed to allow us to use this video without having to cover her face — Let all those who have similar problems know!

 

  •  In 2003 she had a laparoscopic surgery to remove a 1.6 cm ovarian cyst. After the surgery she was pregnant and had a baby.
  • In 2010 there was again a 2.7 cm ovarian cyst and a uterine fibroid. Ida was asked to undergo surgery again. She declined.
  • Ida came to seek our help on 5 February 2010. She presented with backache. Her menses blood was dark and there were clots. She had white discharge which caused itchiness. Sometimes she had discomforts due to bloated stomach.
  • Ida was prescribed GY 5 and GY 6 herbs.
  • On 10 May 2010 — 3 months after taking these herbs, Ida came back and told us that her gynae could not find any more cyst and fibroid.
  • We told Ida to stop taking the herbs since her problems had resolved.
  • It is now 2014. I asked Ida if she suffered any problems since 2010. She answered, “No”. Did you go back and see your gynae again? “No.”

My 6.9 cm Ovarian Cyst Disappeared !

Chris (C):  When did you have the cyst?

Anita (A):  It was in July, 2003.

C: There’s a cyst in the left ovary?

A: Yes, left ovary. It was 6.9 cm. The doctor asked me to go for an operation. But I said no.  I came here and took the herbs and it went down to 3.7 cm. That was three months later.

C: How did you know it went down to 3.7 cm?

A: I went to see the doctor again to have a scan.

C: Do you continue to take the herbs?

A: Yes. I continued taking until ….. I went again in November.

C: That 2003 also?

A: Yes. And the doctor was surprised: Eh, how come there’s no more inside. I better check again. So she did the scan. Scanned, scanned and confirmed it’s gone.

Nur with Ovarian Cysts Refused Surgery. Conceived, Caesarean Birth, Cysts Disappeared!

 

 

Nur is a 25-year-old Indonesian lady. She often suffered severe pains during her menses. She would break into cold sweat and sometime fainted due to the intense pains. An ultrasound indicated presence of cysts in both her ovaries. The one in the left was about 7.5 cm. The doctor also suspected endometriosis. As a result Nur was asked to undergo surgery. Without surgery, she was told that she would not be able to have any baby! However, with surgery the doctor predicted that she might be able to conceive but there was no guarantee.

Nur would not take the risk of going under the knife. She came to us for help. We prescribed GY 5 and GY 6 on 10 May 2001. During the first week of consuming the herbs, she suffered churning pains but this eventually went away. After two months on the herbs she was pregnant!

Everything went well and when it was time to deliver the baby, the doctor suggested that she underwent Caesarean birth. The idea is to kill two birds with one stone (of course, it cost her more money too. A Caesarean birth costs 4 million rupiah while normal birth costs 0.5 million rupiah inIndonesia). According to the doctor, he is going to remove the two cysts after delivering the baby.

Fortunately (or unfortunately) what the educated mind thinks and reality do not tally! The doctor started to search for the cysts but found NONE. Nur’s baby is now eight months old and she brought her miracle baby to the TVRI talk-show (video clip above).
Besides having her baby, Nur told us that she had an additional bonus. Before taking the herbs, she suffered severe stomachaches very often. This has since disappeared! I come to understand later that Nur is a science graduate – she studied animal husbandry!

Ovarian Cysts Unable to Conceive Took Herbs, Pregnant and Gave Birth

This is the medical report written by a doctor of Chu Clinic for Women.

Date: 5 November 2007

This 31 years nullipara, married December 2006, was seen on 26 August 2007 for being unable to conceive.

She is clinically well. Menstrual cycles are regular and not painful. A pelvic scan showed a normal sized uterus with bilateral ovarian cyst. The left cyst was clear and measured 39 x 27 mm. The right cyst was biloculated and measured 51 x 36 mm.

She was advised to have a laparoscopy with ovarian cystectomy and tubal patency test. Otherwise she could wait and have regular ultrasound to monitor the size of the ovarian cysts.

She has not seen me again after the initial examination.

Note: This lady declined surgical intervention. She came to CA Care for herbs. After taking the herbs she became pregnant and gave birth to a baby girl.

She had gone back to her doctor and monitored the size of the ovarian cysts. After taking the herbs the left cyst was 3.40 x 3.35 cm and the right cyst was 4.37 x 3.05 cm.

She again went to check for the size of the cysts. This time the doctor told her they were of normal size.

 

Endometriotic Cyst Disappeared After Three Months on Herbs

Choo/b750 is a 35-year-old lady. She suffered from endometriosis. On 15 October 2001, Choo underwent an operation to remove the cyst in her right ovary. According to the gynaecologist, the cyst was then adherent to the uterus and the right broad liagament. The rectum was also densely adherent to the uterus.

After the surgery, Choo was put on Dimetriose and Norethisterone for six months. Her menses stopped for about nine months, only to commence in June 2002. Her periods subsequently became rather heavy with some clots. Choo also experienced pains.

An ultrasound done on 27 December 2002 (i.e. about a year after surgery) showed a small cyst within the right adnexa. This measured 11.7 x 11.3 mm. The doctor prescribed her painkillers. Then the doctor wanted Choo to take injections to stop the menses again. Choo did not want to follow through with the doctor’s advice.

Choo came to see us on 5 January 2003 and presented her condition as follows.

1.      Her menses was regular.

2.      She had pains during her periods.

3.      There were dark brown clots in the blood.

4.      She suffered PMS, i.e. before her periods she felt bloated, her breasts were painful and she had mood swings.

We prescribed GY5 and GY 6, each herb to be taken daily.

About three months on the herbs, Choo and her husband came to see us on 13 April 2003 and informed us that her doctor did an ultrasound on her on 8 April 2003 and indicated NO cyst was detected.

In addition, Choo told us that she felt much better now.

1.      Her menses remained regular.

2.      There were only slight pains during her periods unlike before.

3.      The clot in the blood was much less.

4.      The blood was not dark anymore.

5.      Her PMS was gone – no mood swing, no bloatedness.

Comments: I remember a lady who came to see us about her fibroid problem. When she told her doctor that she was taking herbs, she was given a good shelling for indulging in an unproventherapy! Indeed, for many people it is unbelievable that herbs can do wonders for many conditions including the disappearance of fibroids and cysts.

But to us at CA Care, such wonderful effects of herbs come with no surprise at all because we have been seeing these happening over and over again. And for many times we have demonstrated that the knife and hormone pills may not be the answer to certain problems of cysts, fibroids and endometriosis.

No Periods For Thirteen Years! Hormones Did Not Help But Herbs Did

Vani/G58, is a 40-year-old lady who had a unique problem. At the age of 12, she had her periods only twice; then her periods became irregular. At the age of 28, her periods stopped totally until to the day when she came to see us.

Vani is married since the past 7 years and is without any child. In 1955, the doctor indicated that she suffered from polycystic ovarian syndrome. She was put on hormone therapy to induce her menses. Initially she was prescribed Marvelon (oral contraceptive) after which it was changed to Bromocriptine. She was also prescribed testosteron, prolactin, LH and FSH on different occasions. Unfortunately, all these hormonal treatments did not work for her.

In 1997, Vani had breast cyst and this was surgically removed. In 1999, an ultrasound indicated bilateral enlarged ovary (3cm).  In November 2001, Vani suffered neck pains. Her neck swelled and there was yellow discharge.

Vani came to see us on 7 June 2002 and presented as follows:

1.      She was not able to sleep.

2.      She often felt tired.

3.      She had burning sensation when urinating.

4.      Both her ankles were painful and suffered cramps in the fingers.

5.      Sometimes, she felt pains in the back.

Vani was put on GY 5, GY 6 and Mt. Guava deTox tea.

On 21 February 2003, Vani came back to see us after a long silence – it has been eight months since she first came and saw us. She reported the following:

1.      She had her periods a few days ago. It lasted three days. The blood was brownish and scanty in amount.

2.      She confirmed that for the last ten years she was NOT on any medication, except the herbs.

3.      She was able to sleep after taking the herbs.

4.      She felt less tired.

5.      She had no more burning sensation when urinating.

6.      The pains in the ankles and cramps of her fingers had disappeared.

7.      The stomach bloatedness which she used to have was much less after the herbs.

8.      There was NO more swelling in the neck. However, if she did not take the deTOX tea, the neck became painful and the pain would disappear after taking the deTOX tea.

Comment

Amazing results but we could not understand her! She did not take the herbs as she was supposed to. Over the one year period she only consumed herbs for five weeks. Can anybody understand her?  But the great thing is, when she came back to see us – she appeared happy and satisfied and said everything was good for her!

Hot Flashes Gone After Three Months on Menopause Pills

My body was very hot. I had hot flashes every day. After taking your herbs, the symptoms disappeared. I took the herbs for about 3 months and the hot flashes disappeared totally. Two weeks after taking the herbs, I already felt better.

 Chris (C):  How are you now? Your menopause, okay?

Lady (L):  Okay. No problem. Very good.

C:  How were you before taking the Menopause herbs?

L:  Hot. My body was very hot. I had hot flashes everyday. After taking your herbs, the symptoms disappeared. I took the herbs for about 3 months and the hot flashes disappeared totally.

C:  Now?

L:  Now I’ve stopped taking the herbs. I have no more problems.

C: You took for only 3 months?

L: Yes, only 3 months.

C: What’s the difference before and after taking my herbs?

L: A lot of difference.

C: How long after you take the herbs was there a difference?

L: Two weeks after taking the herbs, I already felt better. The hot flashes were not so frequent anymore.  After 1 or 2 months, I seldom got the hot flashes. In three months, it disappeared totally.

C: The hot flashes came every day?

L: Yes. I felt hot a few times a day. It came for a short period, went away and came back again. I would perspire until soaking wet, like having a shower. I felt so hot, I needed the air-conditioner all the time. The whole house was air-conditioned.

I even took off my clothes despite the air-conditioner. The attack came 2 or 3 times a day, day and night.

C: At night also?

L: Yes, at night too. Day and night.  But after taking the herbs, all these disappeared.  And I do not have to take the menopause herbs anymore.

C: You mean before you come now, you already stopped taking the herbs?
L: Yes. It’s been a long time since I took the herbs. And I no longer have those hot flashes.

Fibroid and Ovarian Cyst Gone After Herbs

Jane (not real name, H-237) was 43 years old when she was diagnosed with breast cancer in 2009. Earlier Jane had undergone surgery to remove a small ovarian cyst. Unfortunately an ultrasound in August 2010 showed:

  • The uterus contains a 1.2 cm fibroid in the anterior wall.
  • A 3 cm thin walled cyst in the left ovary which appears benign.

1-Fibroid

3-Left-ovary

 

Jane was prescribed GY 5 and GY 6 herbal teas in addition to the other herbs she was taking for her breast cancer.

Jane continued to take the herbs and in May 2013, I got to see Jane again and reviewed her case. She was doing well and happy. The fibroid and cyst were gone. Below is our conversation that day.

 

 

Menstrual Pain and Bleeding Resolved After Herbs

MM is a 45-year-old housewife. She came to seek our help on 25 January 2013 regarding her recurrent menstrual pain and bleeding. In fact a week earlier she had been hospitalized for this problem.  Listen to her story.

  1. Since 14 years old, MM suffered menstrual pain with blood clot. In our Oriental culture, problem like this is not something that family members would talk about! Furthermore, pain during menses is considered part of being a woman! So the problem that MM had was just left as it was.
  2. In the early 1990s she was told that she had ovarian cyst. She did nothing about it.
  3. In July 1992, she underwent a laparoscopic surgery to remove two ovarian cysts, each 10 cm in size.
  4. In 2006, MM suffered heavy bleeding and underwent another surgery. This time a 7 cm fibroid was removed. According to the doctor, her ovaries were clean.
  5. During the period between 2006 and 2010, MM started on Ayurvedic treatment for her recurrent bleeding problem. At first she received treatment in Kuala Lumpur (costing RM 300 per day). Later she went to Kerala, India for the treatment. According to MM, the treatment in Kerala was cheaper – RM 3,000 for a six-week treatment (inclusive of flight cost).
  6. In 2010, the pains and bleeding became more severe and she went to a university hospital in KL and underwent uterine arterial embolization (UAE). The procedure failed. She suffered severe pain and has to be knocked off by morphine. According to MM, My advice to anyone, never go for AEU! MM had a very high tolerance for pain and had never cried but UAE made her cry in pain!
  7. MM tried acupuncture. This helped. Her problem came on and off. Her periods became regular.
  8. In early January 2013, MM suffered severe bleeding and she was hospitalized. 

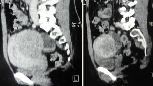
CT scan done on 18 January 2013 indicated a large uterus. There is a large posterior wall uterine myoma measuring 6.6 x 8.4 x 8.9 cm with central hypodensity likely to represent necrosis. It causes anterior displacement of endometrial and bladder depression. 

Bilateral ovarian cysts. Right ovarian cyst measures 3.2 x 3.7 cm and left ovarian cyst measures 2.8 x 5.2 cm. There is an suggestion of left hydrosalphinx.

E-53--a

E-53--b

 The doctor suggested that MM undergo a total hysterectomy. It was at this point that MM drove to Penang and sought our help. MM said she suffered pain before and during her periods and this was usually followed by severe bloating of the stomach. Having understood her problem, my reaction on that day was, We shall try our best. 

MM was prescribed PMS Pill, GY-5 and GY 6 teas. In addition, she was asked to take A-Lung-2 and A-Kid-6 tea to balance her meridian disharmony (See another story Nocturia – frequent night time urination resolved by herbal therapy). 

Problem Resolved After the Herbal Therapy 

Two months later, 24 March 2013, a happy MM came to our centre again. Her long standing problems had been resolved. Listen to what she said.

 Chris:  You took the herbs for two months. What happened?

MM:  No more pain and no more bloatedness. My periods were normal – 5 days. No blood clot.

C:  Before taking the herbs?

M:  A week before I came to see you, I had to be hospitalized due to severe bleeding and pain. That was why I did the CT scan.

C:  You mean when you went home and started to take the herbs, all your pain and bleeding were gone?

M: Yes.

C: I really don’t know what to say to you! You will have to continue taking the herbs for a while more.

Did the herbs really help you?

M: Yes.

C:  And you are happy now?

M:   Yes.

C:  Not too bad. You have improved!