Lung-Bone-Brain Cancer: Pain Gone After 4 days of e-Therapy

Patient, 66-year-old, was diagnosed with lung cancer that had spread to her bones and brain. She had undergone radiotherapy, took Iressa and later switched to Tarceva but the treatments failed her. After 9 months of medical treatment she decided to try out our CA Care Therapy.

Patient led a miserable life. She was constantly in pain and had difficulty sleeping. Patient, her husband and daughter came to CA Care Penang on 8 June 2014. She was started on the e-Therapy. After 4 days, her pains were gone!

Listen to her story.

 

 

Patient was in pain for 2 weeks before coming to see us in Penang.

Nature of her pain:

  • Poking pain in the left rib.
  • Pain radiated from front to the back.
  • Pain comes on and off lasting from 5 minutes to 30 minutes at a time.

After the e-Therapy

The following are notes recorded by her daughter.

Day One

  • Started with Detox #2 on Sunday evening. Felt mild pain at the ribs while undergoing the therapy.
  • Mild pain at 2 am to 4 am.

Day Two

  • Detox # 3 and Insomnia #18 on Monday morning. More pain during the session. Went home felt very, very tired, restless and irritable. Had deep sleep for 30 minutes.
  • Pain at 2 p.m. and then at 9.30 p.m. The pain gradually increased at 11.30 p.m. and 4 a.m. Able to sleep but woke up due to the pains.
  • Overall she had more hours of sleep.
  • The pain now is a bit less than what she experienced while at home before the e-Therapy.
  • Good appetite.

Day Three

  • Pain # 65, 80 and 89. No pain and had good sleep during the therapy. Had mild pain at 1 p.m., 3 p.m. and 4.30 p.m. Duration of pain decreased.
  • At night she was alert, talkative and energy level higher.
  • No pain throughout the night but had coughs with a lot of phlegm.
  • Wake up, sleep, wake up, sleep. Didn’t sleep well.

Day Four

  • Whole day and night NO pain.
  • Before the therapy she had pains every day and night.
  • At night she had pain 2 to 3 times and daytime it was 3 to 4 times per day.
  • After 4 days of the e-Therapy the whole day and night no pain.
  • She felt better, whole day comfortable. She was happy.

Daughter: (The e-Therapy)… It is very good. At night no pain, the whole day no pain. Very good mood. Very good appetite. Happy.

Chris: You can’t ask for more!

Prostate Cancer: When All Is Well Health Deteriorated – Severe Pains and Walking Difficulty – WHY?

CN (H878) is a 61-year-old male. For the past four or five years he suffered urine blockage.  The doctor prescribed Xatral, a medication to treat the symptoms of enlarged prostate (benign prostatic hyperplasia or BPH). No one bothered to check his PSA. Xatral apparently helped resolve his problem.

In October 2009, he started to have backpain in addition to urine blockage. On 25 March 2011 his PSA was at 991.90. This alarmed his doctor. The doctor told him that CN had prostate cancer.

A biopsy was done on 29 March 2011 but the result indicated no malignancy. A second biopsy was done on 5 April 2011. Again it was negative for malignancy although benign prostatic hyperplasia was indicated.

Due to the severe backpain, MRI was done and showed L4 vertebra was more sclerotic than the other vertebrae. A biopsy was done of the L4 and the result indicated metastatic carcinoma consistent with a primary from the prostate. His PSA then was at 1018.

1 Biopsy-reports

2 Bone-MRI

3 PSA-values

 

CN was subsequently treated with Lucrin injection (RM 1,300 per month per injection). He also took the oral drug, Casodex (RM 21 per tablet /day).  The treatment brought down his PSA level from the initial level of 991 to 0.2 within six months. Unfortunately, after six months, the PSA started to rise again from 0.2 to 25.1 in May 2012 (Table below).

CN was asked to undergo chemotherapy. He refused. CN came to seek our help on 11 May 2012.

 

 

Declined Chemotherapy and Radiotherapy

Chris: The doctor asked you to go for chemo and radiotherapy – you want that?

Patient: No, don’t want. No point.

C: Why no point?

Daughter: No meaning!

C: Why no meaning?

Daughter: He is taking these medications that the doctor gave and he already suffered.

C:  Do you have friends or relatives who had gone for chemo or radiotherapy – were they cured?

D: Cannot cure.

P:  I know of two friends. About two months ago one of them, aged 67, had colon cancer. After operation he did chemo for four times. The doctor asked him to go home – six months later, he died. There was another one, 51 years old. He had skin cancer. He received radiation but there was one more tumour which could not be treated. He had chemo – four times, he also died.

C: So two friends went for chemo – they all died. So you don’t want to follow them?

When CN came to see us on 11 May 2012, he presented with the following:

  1. He was unable to sleep – remaining awake till 4 to 5 a.m. each night.
  2. He had backache.
  3. He had no strength and found it difficult to even bend forward.
  4. He had difficulty moving his left arm.
  5. He suffered hot flushes and felt “heaty” in his body.

CA Care Therapy

CN was prescribed Capsule A, deTox tea, Prostate A, Prostate B, Bone and Pain Tea. He was also given Menopause Pill for his hot flushes.  He was told to abide by our recommended diet. After two weeks, he returned and told us that he was happy!  Look at the video – he could walk normally!

Chris:  When you came you said the doctor gave  you the injection and also the oral drug, Casodex. Because of that you said you could not sleep, had hot flushes. I gave you the Menopause Pill. After taking the Menopause Pill – still has problem?

Son: Much less now.

C: And you said you could not sleep at night – you were still awake until 4 a.m. or 5 a.m. Only then you could sleep. What happen now?

Patent: Can sleep. Better, very good.

C: You feel good already – so no need to take herbs!

P: No, no, cannot. I feel very happy.

(Note: Since patient could not speak / understand much English, our conversation was very limited).

He returned home with a month’s supply of herbs but he never came back after that.

Crash!

To our surprise, CN and his son and daughter turned up on 10 August 2012. He was in severe pain and could hardly walk into our centre. His son had to support him to slowly walk into our centre – watch the video to see how he suffered.  In short, his health had deteriorated – WHY?

 

 

Chris: I asked you to come back and see me in July – you did not come. Why?

Son: When taking the herbs, he was okay already.

C: So when you were on the herbs, everything was okay? No pain?

S: Just a bit of pain only.

C: So you were happy. Then now there is this pain – what did you eat wrong? Tell me what did you eat that I say you cannot eat?

Patient: Fish head curry!

C: Okay, very good. (Pointing to the daughter) You took care of him?

S: No, me, me! I brought him to Kuala Lumpur the last two weeks.

C: Before that he was not in Kuala Lumpur? In your hometown, did he eat  anything he liked?

Daughter: A little bit la!  Went out to eat outside.

C:  But still okay?

D: Under control.

C: So the past two weeks he went to KL. And what did he eat?

S: Eat outside lor.

C: Everyday eat outside? Aya, you want to die la. Can die one you know!

S: Every night we went outside to eat – like pan mee.

C: You see I have told you before. One day eat, okay. Two days eat outside, okay. And one week, was he still okay?

S: One week still okay but after that he started to have pains.

C: Where is the pain?

P: From the stomach radiating to the back.

C: Before this bad food, do you ever have this problem?

S: No, no, never have this kind of problem.

C: This is my experience. Patients – when they eat bad food for a day, never die. Two days also never die but after two weeks they begin to see the bad effects. Only two days ago, I asked my wife why you did not come. I was wondering why – either you are already well or you are already dead. Now you are here.

S: (Everyone laughing).  Ya, now want to die already. The past few days he could not walk much and his condition became more serious.

Why did he suffer again? Two reasons:  He stopped taking our herbs for the past one month and on top of that started to eat any food he liked.

e-Therapy Restored Him

 

 

We immediately put CN on the e-Therapy. His condition improved after one session. And after four sessions of the e-therapy (i.e. four days)  CN felt he had recovered and did not feel it was necessary to travel (one and a half hours drive) to Penang to undergo more sessions of the e-therapy. When CN left he gave me a hug!  After that CN mysteriously disappeared (again!). Since then we did not get to see him again!

Comments

Since CN felt well with the herbs – no more pains and he could sleep well – he decide to forget taking the herbs. Since preparing herbs is indeed a chore and he is feeling great, CN decided not take the herbs for a while. So he did not take the herbs for a month. In addition, he went to stay with his youngest son in Kuala Lumpur for two weeks. His son is a bachelor and does not cook at home. Father and son went out for outside food every evening. After two weeks on bad food CN started to have pains. He had to return to his hometown and immediately drove to see us in Penang.  CN was in severe pains. His son had to support him to slowly walk into our centre. The video would be able to convey the agony he suffered. And this was on 10 August 2012. Compare this situation to what he was like some ten weeks ago, 25 May 2012.

To us at CA Care, things like this happen very often. When patients get well, they will not come and see anymore. When they get into trouble they will show up. Some patients do not take their herbs or they go out to eat anything they like once they feel well.  They want to believe they are cured!

For CN’s case, I really empathize with him. What happened is understandable – but NOT excusable because he cannot get away with what he did wrong. CN’s wife died in an accident some twenty two years ago, so CN lives alone in his home. His children are married and they live their separate lives while the youngest who is close to him, works in another town. My guess is that life to CN could be boring and probably meaningless as well. My favourite author, Harold Kushner  – a Jewish Rabbi, in Who Needs God wrote: More than any other human problem, loneliness, the absence of meaningful human connection, drains the joy and the sense of purpose from our lives … in my experience, more die of loneliness. There is perhaps nothing sadder than experiencing intense joy or intense grief and having no one to share it with.  At CA Care we understand this message. We try our best to treat patients like a human being.  As I have often said cancer is not only about a tumour in your breast, lung or liver. It is about you as a person.

Having seen CN in severe pain, we immediately put him on the e-Therapy. His condition improved after one session. And after four sessions, CN felt he had recovered enough and did not feel it necessary to undergo more sessions of the therapy. The sad part of the story is, up to this day we do not know what has happened to him. Since our last hug, we never get to see CN again. We are more than happy to help him or any other patients, in any way we can – that is, if the patient is willing or needs our help!

The following are the side effects of Lucrin and Casodex, as obtained from the internet.

Side effects of Lucrin: Approximately 52 percent of lucrin users report hot flashes and fluid retention under the skin occurs in at least 8 percent of users. More than 5 percent of patients experience dizziness, pain throughout the body, headache, nausea and vomiting. Some patients experience diarrhea, loss of appetite, anxiety, tingling in the extremities, forgetfulness, sour taste and insomnia. Fever and fatigue, breast tenderness and impotence in men are also possible.

Source: Lucrin Side Effects | eHow.com http://www.ehow.com/about_5306460_lucrin-side-effects.html#ixzz24XoOrKCa

Side effects of Casodex:  The very common side effects are: dizziness, hot flushes, feeling sick, abdominal pain, constipation, blood in the urine, abnormal enlargement of the breasts, breast tenderness, chest pain, weakness or loss of strength, fluid retention. the less common side effects are: sleepiness, decreased sex drive, impotence, depression, loss of appetite, weight gain, anaemia, indigestion, wind (flatulence), hair loss (alopecia), excessive hair growth, dry skin, itching (pruritis), rash and liver problems.

Sourcehttp://www.netdoctor.co.uk/cancer/medicines/casodex.html

 

Part 4: Can the e-Therapy help him?

Lung Cancer: An Outstanding Survivor

This case study consists of four parts:
Part 1: Tragedy struck again and again.
Part 2: Experience with Iressa & Tarceva while on CA Care Therapy.
Part 3: Side effects of medical treatment and attitude of doctors.
Part 4: Can the e-Therapy help him?

 

When patients come to see us, they face two problems. One – they suffer the side effects of the treatments as discussed in Part 3 of this article. We are expected to solve these problems for them, i.e., to “repair” the damage. Two, we also have to take care of their cancer – which actually should be our main concern. But most often than not, we ended up doing the “repair” work while the management of cancer has taken second place.

As I have said, we are indeed amazed that Sujo did not have any problem with respect to his lung cancer! Look again at the condition of his lungs when he first came to see us. He started to take the herbs and was well. Since then he did not have any problems with his lungs. Now, he has problems with his mobility!

Lung-compo-2Lung-compo-1

 

One way to help Sujo with his current problems is to use the e-Therapy.

 

 

Muscle Tightness, Numbness and Trembling of Legs

Chris: When you came you said you have problems. What are these problems?

Patient:   My legs feel numb. The muscles at the backbone feel tight.

C: You said the stomach muscles on both sides of the stomach also feel tight?

P: Yes, I feel tight on both sides of my stomach.

Wife: This happen after eating – he does not feel comfortable.

C: If your stomach is not full – okay?

P:  Less problem.

The e-Therapy Helped to a Certain Extent

C: You did Program 66 – for the hip and leg. Did you feel any better?

P: I feel better – less tight.

C: Yesterday, you did Program 102 for the backache and muscle spasm. How was it?

W: The muscle does not feel as tight as before.

P: But not much better – a bit better only.

C: About 20 percent better?

P: About like that.

C: Your leg – how is it now?

W: His leg trembled involuntarily. This happens especially at night.

D: His legs shake by themselves.

C: Both legs?

W: Yes.

C: What happened to the trembling last night?

P: The trembling was much less.

C: The numbness in your legs – what happen?

P:  The numbness is still there. No improvement.

After Four Days of e-Therapy

C: Last night – you did the therapy?

P: Yes.

C: After doing the e-Therapy for a few days now, do you feel any better?

P: I feel a bit lighter.

C: You have three problems. One is the numbness of the leg. How is it now?

P: The leg numbness still persists. The therapy does not help.

C: What about the tightness of the back muscles?

P: The back muscles are less tight now – better.

C: The muscles are less tight now and there is no pain?

P: No pain.

C: The hip muscle – you said the muscles were tight. What happen now?

P: I feel a bit better now.

C: You said there was pulling of the stomach muscles. This usually occurs after a meal.
What happen now?

P: The same – not helpful.

C: The numbness of your legs?

P: No difference – also not helpful.

C:  The leg numbness – the e-therapy does not help you at all?

P:  After undergoing the e-therapy I feel a bit better – it helps. But then after that the problem comes back again.

Comment

Indeed, the e-therapy is not a magic therapy. Sujo underwent only four sessions of the therapy here. I don’t expect any magic either! Nevertheless, in all it was not a wasted effort. He did benefit from the e-therapy even though this did not solve all his problems all at once. I am hoping with more of the therapy over a period of time, his problems will improve. He needs to undergo the therapy 2 to 3 hours daily. I have taught his wife and daughter how to go about doing the e-therapy properly. I am optimistic Sujo would improve.

 

Up On My Feet Again Four Days After Another (slipped disc) Attack

What does earthquake and backache (or slipped disc) have in common? Both are unpredictable. They strike at any time – at any unsuspecting moment. Let me share with you what happened in this second week of April.

On Monday morning, 9 April 2012, I was getting ready to go to our cancer centre. As usual I went to my computer to check if I have any emails waiting to be answered. The Google Chrome did not work!  I looked at the wire connection and thought it could be due to some misconnection. I bent down to check. I turned a bit and twisted my back! I could feel the muscle “snapped.” Initially it did not feel that bad. I could still go downstairs to have my breakfast. Then I went upstairs into my study to try to “repair” my back. After all I expected to have a busy morning at the centre – formulating all those herbal teas that had to be replenished. But it was not to be. The problem became more serious. I thought I should just stay home. I sat on my reclining chair and did the e-Therapy, using my favourite program – Lumbago. It did not work! In fact, it gave me more pain. I felt tightness of my stomach muscle. I could not stand up straight after being in a sitting position. Then I found it hard to walk. Lying down or etting up was a torture. The amazing thing was – I did not feel any numbness in my feet.

So for the whole day, I stayed in bed – reading many books! Since I could not walk much, I had to take lunch and dinner in our bedroom! Wah, good to have a loving wife sitting together for (sorry, not candle light) dinner. Then it was back to bed again to rest by “fragile” back. I did more programs from the e-Therapy machine, such as Backache & Spasm.

Day 2: Tuesday 10 April 2012. I did not get any better! It seemed that the machine was “useless”. It was indeed a difficult day – painful to wake up, painful to sit up straight and painful to lie down. I had to use a walking stick to push myself up.  But when I lie down on my back, I was just fine. But turning to the left or right was painful. Unfortunately, I did not video tape what I had suffered. But to give you an idea of I went through, just see the video of this Aceh lady – how she struggled to get up and walk. Yes, I was just like that, more or less.

Then I remembered that I had appointments with two patients on Wednesday (tomorrow). One was from India. It would be unfair if I could not meet this person who had to fly all the way from India. I managed to write an email to him asking if it was possible to defer his trip. I wrote the same to another patient in Kuala Lumpur. Good that both understood my situation and agreed.

I did not let up on using the e-Therapy but the problem did not seem to improve. I took a few doses of the Backache Wine over a period of time. These generally would help based on previous experiences. But the wine did not help either. What has gone wrong? With this same therapy, I managed to help others “like magic” but I could not do that for myself? Was this just a placebo effect that we the alternative practitioners are often being accused of? It is all in the mind! And my mind cannot work on me?

Day 3: Wednesday 11 April 2012. My condition improved slightly. There was less pain and less muscle tension. Actually when I was lying down I felt great. I was my normal self in that position. In fact I told my wife that if the person in India comes because he has already bought his plane ticket, then what we could do is – let him come and see me in my home. I can still talk – just cannot walk around too much. Fortunately we did not have to come to that.

In the late afternoon – the house trembled! I was in bed reading. I felt the bed shaking lightly at first and then it became more violent. The glass panels of our three-tier- from-floor-to-ceiling book shelf rattled vigorously.  I thought it was going to topple down. The shaking lasted for quite a while and then stopped. That was the 8.7-magnitude earthquake off the coast of Sumatra.

Day 4: Thursday 12 April 2012. I felt much better. I was able to walk downstairs and have my meals – breakfast, lunch and dinner. It looked like I would be okay by tomorrow! I found out that the e-Therapy program: Muscle Spasm and Detox seemed to make me better.

Day 5: Friday 13 April 2012. This is our cancer care day. I was able to go up and down the stairs with a lot more confidence. I took a walk in the garden. And just be sure that I would be well rested for our afternoon consultation, I remained in bed all morning. Then at about 2.30 p.m. we went to see patients at our centre. About a dozen patients came for help that afternoon. The consultation session ended by 6.30 p.m. I came home to take a rest.

Day 6: Saturday 14 April 2012. Great day! I could manage to sit up in front of my computer and write the first draft of this story! Yesterday’s consultation session with patients did not cause any adverse effects. But I was aware that I was still fragile. I felt my back was still “soft” – perhaps could break any time!  No, I have no more pains when waking up or lying down. There were no pains when I stood up. I could walk about without a walking stick.  I could now bathe by myself but I could not bend down to wipe and dry my legs! Yes, I did recover. But not fully yet!

At the end, I realised that the e-Therapy did not let me down! Perhaps I was expecting too much too soon. Okay, let me go back to my bed and rest. I should not be sitting down in front of the computer for too long!

In the evening we brought our visiting relatives for dinner in town.

Comments

  1. I am aware that there is no cure for low back pain. It will recur and recur. I just have to be careful and try to avoid any situation that can cause it to come back. Indeed it is hard to anticipate. It can strike at any odd moment at any place. I just have to learn to live with it.
  2. This was not the first time I suffered from such problems. It happened many times before. The first two times landed me in hospital. That was in the “good (or bad?) old days” when I believed modern medicine could solve all the world’s problem. I have written about this earlier (see  My Own Personal Experience With Lower Back Pain)  With a problem like this, the obvious reaction is to rush to the hospital. No, I did not do that now.  I just wanted to relax and allow my body to heal. It is not an emergency!
  3. This week’s episode is just unfortunate but it was one of the worst that I have ever suffered since the past many years. Nevertheless, I thought I could handle it myself. My earlier experiences with the orthopedic taught me  that I need not rush to the hospital for this kind of problem. I just need to take care of myself. I would “reserve” going to the hospital for some other more serious problem!
  4. While in bed, I took time to read many books. I read Mitch Albom’s – Have a Little Faith and Randy Pausch’s The Last lecture. Professor Pausch had pancreatic cancer and underwent surgery and chemo. Then he ended up with 10 spots in his liver and was told he had a few months to live. Read this if you have time.  I also read Life Before Life – documentation about young children telling about their past lives. Then I read some chapters of Michio Kaku’s, Parallel World, Bruce Lipton’s, The Biology of Belief and Jerome Groopman’s,  How Doctors Think. So, it was a time well spent in bed.
  5. Those of you who have this e-Therapy machine – can you read at the same time you do the program? No, you have to hold the hand-set! About a month ago, I made a bit of modification and instead of using the hand set we could also use a stick-on electrode (used for ECG, etc.). So, this time I have the opportunity to try out this hands-free treatment on myself for the first time. So with my hands free, I can do other things. Real cool!

Let me conclude by quoting some of what Dr. Jerome Groopman wrote in his book, How doctors think.

  • How doctors think about a problem like chronic low back pain is heavily influenced by the speciality that they are trained in – who you see is what you get.
  • Each of the various muscles, tendons, bones, joints and ligaments in the lower back contains sensory nerves that can transmit messages of pain through the spinal cord to the brain. There are also organs in the abdomen and pelvis that, when they become inflamed or diseased, can signal pain in the back. Given all of these structures, the source of the chronic low back pain is often a mystery. Doctors can be hard-pressed to identify why a patient is uncomfortable.
  • Each approach to diagnosis and treatment is essentially a “franchise,” and that too many franchises are battling for control.
  • The technology has also developed rapidly. New sorts of screws, rods, and cages, as well as other devices, can be inserted into the spine. These instruments are aggressively marketed and generate high profit margins for both the manufacturer and the hospitals that use them.
  • Research showed that 85 percent of patients who suffer from low back pain cannot be given a precise diagnosis; the pain is usually vaguely ascribed to “strain” or “sprain” in the lumber region. It turns out that the diagnosis is not critical, because the outcomes tend to be similar anyway. With acute low back pain, 90 percent improve within two to seven weeks without specific therapy. Even with an acute ruptured disc … 80 percent feel significantly better within six weeks without surgery. Over time the disc retracts, so it no longer presses on the nerves and the inflammation subsides.

Wow! Lower back pain heals by itself but it takes about two to seven weeks to do so. So, I am not doing badly  – being able to be on my feet after a few days!

Update: 30 April 2012 

I was able to drive to the Botanical Gardens and walked around. There was not more pain anywhere in my body. It appeared that I was back to my normal self again. One lesson learnt: As one gets older, the body will need more time to recover from any health challenge!

Walking, Sensitivity of Leg and Stiff Neck Improved After e-Therapy

CR is a 73-year-old female from Indonesia. She is our breast cancer patient and has been taking our herbs for many months now. In late March 2012, she and her family returned to Penang for a routine check-up. Everything is alright. However, she has a long-standing problem. About three years ago, she underwent a surgery for hip and shoulder joint replacement. After this surgery she had the following problems:

  1. Her left leg felt heavy when walking
  2. There were pricking (electric) shock when the tips of her left leg fingers were touched or her left sole stepped on something.
  3. There was numb feeling in her lower left leg.

The surgeon was unable to help her with the above problems – that’s the way it is! Otherwise, CR could undergo another surgery to correct the problem!

About a month ago, CR had stiff neck.

We suggested that CR undergo the e-Therapy since she had about four days in Penang. It is with great satisfaction to note that the e-Therapy helped her very much.

Watch this video.

 

 

Breast-Bone Cancer: e-Therapy Relieved Pains of Her Backbone

Ati (S-71) is a 44-year-old lady from Aceh, Indonesia.  Sometime in early 2011, the nipple in her right breast retracted. There was no discharge but she felt pulling pains. Although Ati is a staff in a hospital, she refused medical treatment. She went to seek the help of a sinseh in Medan and was on his herbs. Since this did not help her, she came to a private hospital in Penang in February 2011.

Ati underwent a mastectomy. The histopathology report indicated an infiltrating ductal carcinoma, Stage 2 (T2bN1Mx). One of the five axillary lymph nodes was positive for metastatic cancer. The tumour was positive for ER, PR and c-erbB2 receptors.

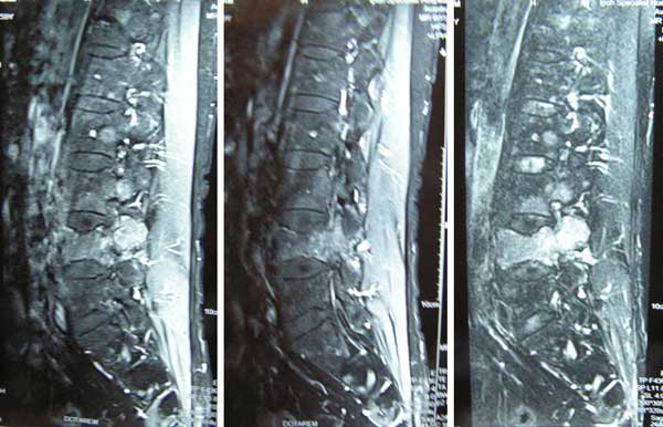
After this Ati returned to Aceh. She started to take the tea made from sour sop leaves for about one and half months. She came back to see her surgeon again for a follow up. MRI done on 8 April 2011 indicated multiple ill define mixed lytic and sclerotic lesions involving the spine – predominantly at the lower thoracic and lumbar spine as well as in the pelvis. These are likely bony metastases.

At was asked to undergo chemotherapy. She refused.

In December 2011, Ati came back to Penang again. MRI done on 5 December 2011 revealed extensive vertebral metastasis involving the thoracic and lumbar spine. There was a fracture at L4 vertebra and bilateral neuroforaminal narrowing at L4/5 and L3/4.

Blood test done on 7 December 2011 indicated elevation of the liver function enzymes.

Alkaline phsophatase 109.88
GGT  142.45  High
ALT    74.1    High
AST   66.44   High

Unfortunately her doctor said there was nothing wrong with her liver. Instead Ati was asked to undergo a colonoscopy. She refused.

Ati and her husband came to seek our help on 8 December 2011. She presented with severe pains in her backbone and wind in her abdomen. We prescribed herbs and told her to come back and see us if the pains still persisted.

On 1 January 2012, Ati came back again. We put her on the e-Therapy to help with her pains and restricted mobility. After four days on the e-Therapy her pains had almost disappeared and her movements improved by more than 50 percent.   Watch the videos below and see for yourself the wonderous healing that took place.

 

Permission to use these videos without having to mask their faces was granted by the patient and her husband. 

Gist of our conversation

Video 1:  Life is hard with cancer in her backbone, but life was good after the e-Therapy

  1. Her mobility was torturous because of the extensive bony metastases. There was also a fracture at L4 vertebra.
  2. She had pains along the backbone and raising her arms was painful.
  3. Ati underwent the e-Therapy from 1 January to 5 January 2012. After just one session of the e-Therapy, she experienced some improvements. She felt better. She could turn her body to left or right when sleeping. The winds in her stomach had improved. However, she still felt tightness along her backbone. With more sessions of the e-Therapy her conditions improved further. She could stand up by herself without any more help.
  4. She did not suffer any side effects of the e-Therapy.
  5. After 5 days, she and her husband decided she was well enough to go home to Aceh.

Video 2: An interview with her husband

  1. After 4 days here, her condition had improved a lot. Before the therapy she had to be supported when walking, but after the first day of the e-Therapy, her condition had improved by about 30 percent.
  2. Then the next day, her conditions improved further. She had less pains and her body felt lighter. By the fifth day, she felt real good. Over all, her conditions had improved by at least 50 percent.
  3. Before she came here, she urinated standing up. Now she can squat down. At home, her mobility was restricted. She moved by sitting on the floor and pushed herself forward bit by bit. Then she had to push herself up slowly. She slowly took a step at a time to walk.
  4. At home she slept most of the time because she had to lie down. I had to carry her to the toilet. Now after the therapy she can sit up and watch the TV – but not for too long.
  5. Actually my wife is a staff in the hospital.
  6. The oncologist asked her to go for chemotherapy but we refused. Even my friends in Indonesia who are doctors advised us not to go for chemo. They asked us to go for alternative treatment. They told us, “Find someone whom you can trust and feel comfortable with.”
  7. When we came to Penang, we have already made up our mind not to go for chemo even if the oncologist in the hospital here told us to do so.
  8. After much thinking during the night and after talking to many friends we decided to seek the help of Dr. Chris. We have confidence in Dr. Chris.
  9. We would like to express our gratitude to Dr. Chris for whatever help he had given us for the past few days. We remain grateful and do not know how to repay you for this kindness.
  10. Chris: We are here to help you. There is no need to repay for what we have done for you. Don’t worry we do this not expecting to get anything in return. It is God who helped you! (Note: e-Therapy for this patient is done without any charge. But we decide who needs the e-Therapy. It is not patient’s right to demand this therapy).  My main concern is to know if what we are doing here really helped you or not.
  11. Certainly Doctor, the therapy worked and it helped my wife.  Since we came here last Sunday and it is now Thursday – 5 days, my wife’s condition had improved by a least 50 percent. Her pains are very much less and she can walk by herself. She can now turn her body and swing her legs. Before I had to hold and support her and she felt pain. Now when I hold her there is no more pain.
  12. As a Muslim, I pray that God bless you and let you live longer to help others like us.
  13. Chris: God bless you and I am really happy to see you getting well.

AcuGraph Study

As in the videos, the AcuGraph readings taken on 1st , 3rd and 5th January 2012 showed improvements.  Her total qi was higher and the energy of the various meridians was more balanced on 5th January compared to her first day, 1st January 2012 (below).

Comments

Indeed we started 2012 with a great story! But let me confess – it was a near miss.

I remember reading what a Red Indian chief said, “Two dogs live in us – one Good Dog and one Bad Dog. And they always fight with each other.” After reflecting on what we saw of Ati when she first came on 1 January, the Bad Dog said to me in the middle of the night, “Just send her home. She might just die here and that would create a lot of problems for all of us.“ Unfortunately the two dogs did not “fight”. The Good Dog remained silent. When I woke up the next morning, I conveyed this feeling to Im – we might just have to do that.

But when we saw Ati’s face and also the way she walked the next morning, we knew that the Bad Dog was wrong!

I have written an article earlier about my experience with back pains – something that I have to live with for many years now (see, http://painandwellness.org/2011/11/08/lower-back-pain-resolved-after-e-therapy/). This video clearly documented the suffering anyone with back pain has to go through. Every moment and every step represent a struggle.  I know from experience that it is hard. I can understand the suffering that Ati had to endure.

The Bad Dog in me might be right but I am glad that it did not win.

Utero-Ovary-Lung Cancer, Part 4: Health Improved After the e-Therapy

Acknowledgment: Permission to use videos and pictures without having to mask the patient’s face is granted by the family.

 

20 December 2011

  • She was unable to urinate. Her bladder felt full and distended. We advised her to seek doctor’s help if the problem persisted.
  • Her legs had no strength.
  • After the first Detox program, she felt better .

Chris:  What do you mean by better?

Patient: My fingers are not tight any more – before I felt tight. I can now move my feet. Before, I was not able to do that.

(Patient stood up with the help of her son – she was not able to this before).

21 December 2011

  • She was able to urinate – problem resolved.
  • Strength and movements of her legs improved.

What about your breathing?

P: Good. It is getting better.

Okay Ibu, you came yesterday. Compare your condition before you did the therapy yesterday and today after doing the therapy – did you feel any better?

P: Yes, I felt better. I can now stand up. I can walk. I feel more alert.

D: She started to move her bowels again.

Slowly. I believe you will benefit more in the next few days. You are getting better now. Go home and learn how to take care of yourself. Do not do anything that is not right.

D: Mama, it is only one week (on the CA Care Therapy).

I really cannot believe that it was only last week that you were in the hospital on oxygen – and now you are here.

22 December 2011

Patient has undergone three sessions of the e-Therapy.

  • Last night was unable to sleep because she had to move her bowels and also urinate (Note: on the first day before the e-Therapy she was unable to urinate).
  • Yesterday her bowel movements were six times in the day time and four times at night.
  • Because of her frequent bowel movements she was not able to sleep well. She also feel weak.
  • Her stomach felt uncomfortable – with churning pain.
  • She sometimes coughed with white phlegm.
  • Her legs still lacked strength.

23 December 2011

  • Her stomach was still painful.
  • Bowels movements had reduced to six times.
  • Her coughing had improved.
  • She still lacked strength in her legs.

24 December 2011

RJ and her family were ready to go home. In the morning we went to visit them in their apartment.

  • Patient was doing alright. She had no more pain – the stomach pain she complained about earlier was gone.
  • There was no breathing difficulty at all and she was able to sleep flat.
  • Her frequent bowel movements were resolved.
  • Sleeping was difficult.
  • Coughs still persisted.

Daughter: For the past two days, mama was able to walk to the dining table outside to have her food there. Her appetite started to improve.  Last night she had difficulty sleeping. Her coughs still persisted. But this was not as bad as when she was in the hospital.

 

Ovarian Cancer: After Surgery Left Leg Swollen, Painful and Uncomfortable – Herbs and e-Therapy Helped Her

SLK (S51) is a 49-year-old Indonesian female. For about a year she had complaints of abdominal distension with mild abdominal pain on and off.  She suffered occasional pain during menses. An ultrasound showed a large right ovarian cyst with nodules within it.

SLK came to a private hospital in Penang and underwent a surgery on 4 October 2011.

Things did not turn out right for SLK after the surgery.

  • She was discharged after 8 days in the hospital for her surgery.
  • After being discharged from the hospital, SLK suffered cramps and muscle pull in her left thigh. She had to be hospitalized again. This time it was for 6 days.
  • Unfortunately the pains and discomforts in her leg did not go away. The doctor told her that he had done his best and could not offer any more help.
  • The next day, on 20 October 2011, a desperate SLK and her family came to CA Care. They wanted us to help SLK with the pain in her leg.
  • Unfortunately there were no medical reports and we did not know what had happened. We told the family to go back to the doctor and ask for all the medical records.  We did not get to see SLK again after that.

On 23 November 2011, SLK and her husband came back to see us again – this time with a photograph of the ovarian cyst that had been removed and its histopathology report.  The histopathology report dated 14 October 2011 indicated clear cell  adenocarcinoma of the ovary. Endometriosis.

Let SLK tell her story.

Gist of our conversation:

  1. The surgery for my ovarian cancer was done on 4 October 2011. Before the surgery I was able to walk without any problem. But before that I used to have cramps in my left leg – but no swelling.
  2. There were some varicose veins in my left foot.
  3. Four days after the surgery, my left calf became uncomfortable – muscle pull.
  4. On 12 October 2011, I was discharged from the hospital, i.e. after eight days.
  5. But on 14 October 2011 I had to be readmitted into the hospital because my left leg became swollen. It was painful and heavy. I was discharged on 19 October 2011. While in the hospital I received a total of 12 injections – 2 injections a day. In addition I took Warfarin and Dalfon (a non-steroidal anti-inflammatory drug). These medications did not help much. I was still in pain and my leg felt uncomfortable.
  6. That was why on 20 October 2011 we came and see you.
  7. We returned to Jakarta on 2 November 2011. At that time my leg was still swollen, but the size had somewhat reduced.
  8. At home, I continued taking the doctor’s medication – Warfarin and Dalfon.
  9. I came back to Penang again and saw my doctors (the surgeon and blood specialist-oncologist) on 18 November 2011. The oncologist asked me to continue taking the Warfarin for another six months and this time with an increased dosage. The doctor said I would be cured after six months.  In the meantime, I was asked to undergo chemotherapy for my ovarian cancer.
  10. I refused to undergo chemotherapy. I also did not want to take the Warfarin anymore. We waited for you to return from Laos and came to see you.

CA Care from 23 November to 28 November 2011

  1. I took the herbs that you prescribed me and also underwent the e-Therapy. These treatments helped me.
  2. After three times of e-Therapy, I could now walk. And my leg did not swell any more. Previously if I walked, my left leg become swollen. I could now walk to the market and also travel by bus. I felt lighter when I walked. Before coming to CA Care I could not walk like I do now.
  3. Husband: Now she can walk so far – from Gurney Park to Pulau Tikus market – with no problem. Before your treatment, we had to take a taxi to come and see you. Now we just take the bus and walked to wherever we want to go.

Watch this video carefully and see how SLK walked, before and after the herbs plus the e-Therapy

 

Pancreatic Cancer: Severe Itch Disappeared and Health Improved After Herbs and the e-Therapy

Bak (M952) is a 56-year-old male from Indonesia. Sometime in November 2010, he complained of itchiness but he did nothing about it. In April 2011, he went for a checkup in a hospital in Aceh, North Sumatera. He was told there was a tumour in his bile duct. On 8 April 2011, he came to Penang for further checkup. CT scan of his abdomen and pelvis indicated the following:

  • A rounded hypodense lesion seen in mid-transverse colon measuring 10.5 x 21.3 mm. The doctor was unsure of what it was polyp ?
  • Pancreatic head and uncinate process carcinoma with distal CBD (common biliary duct) obstruction.
  • Left inguinoscrotal hernia.

His liver function results on 8 April 2011 are as follows:

Parameters

8 April 2011

5 October 2011

Total protein

79  H

76

Albumin

26  L

34

Globulin

53  H

42

A/G ratio

0.5  L

0.8  L

Total bilirubin

284.4  H

62

Direct bilirubin

212.2  H

Indirect bilirubin

72.2    H

Alanine transaminase

90   H

44

Alkaline phosphatase

222 H

62

GGT

67   H

68  H

AST

110 H

46  H

Alpha-fetoprotein

4.62

CEA

3.5

CA 19.9

1569.55

7.9

Bak was asked to undergo an operation for his pancreatic cancer. He declined, but he opted for ERCP (Endoscopic Retrograde Cholangiopancreatography). This is a specialized technique to clear off the bile duct obstruction. Three plastic stents (tube) were installed to help with the flow of the bile. The total cost of hospitalization came to RM 4300.

After this procedure, Bak was asked to undergo chemotherapy. He refused. Instead, on 10 April 2011, he came to seek our help. He presented with the following:

  • Severe itch throughout the whole body
  • No appetite
  • Fevers, unable to sleep
  • Diarrhoea
  • Yellow urine

We had no choice but to put Bak on the e-Therapy hoping to help him with the itchiness. After one session of the e-Therapy, the itchiness was reduced. After two sessions, his itch was reduced by 50 percent. After four sessions of the e-Therapy his itch was totally gone. Bak had fevers. We prescribed him with Appetite & Fever tea. After taking a glass of this tea, his fevers were resolved. Then he went home to Aceh.

On 7 July 2011, Bak came back to see us again. He said for the past two weeks, he started to itch again. It came on and off and affected the palms, elbows and feet.  We were not able to put him of the e-Therapy because he had to go home the next day.

On 5 October 2011, Bak showed up at our centre again. This time he came specifically for the e-Therapy. Bak said that since taking the herbs in April 2011, his health had improved. He felt more comfortable, his sleep was better and he felt more energetic. Previously he had to wake up 4 to 5 times a night to urinate. After taking the A-Kid-6 tea his urination frequency has reduced to only once a night. He started to itch again but this was not as serious as before the e-Therapy. Before the e-Therapy the whole body was itchy and he had to scratch until the skin bled. Now the itch was confined to his elbows and feet only.

A blood test was done on 5 October 2011. The results showed improvements in his GGT, AST and CA 19.9 (Table,   Column 3).  Bak underwent the e-Therapy again from 5 October to 11 October 2011. After two sessions, the itch reduced by about 50 percent. By 10 October 2011, six days on the e-Therapy, the itch was almost totally gone. What remained were the itches on his finger tips.

Over the past six months since taking the herbs, his health had improved, his sleep was good and so was his appetite. The e-Therapy had helped tremendously with his itchiness.

The video clip below documented his progress with the e-Therapy.

 

Breast Cancer: Herbs and e-Therapy Restored Her Wellbeing After 106 Times of Radiation Treatments Part 6: Four Days of Healing at CA Care

Acknowledgment: Permission to use this video without having to hide her identity is granted by the patient.

This is a bitter-sweet story of Le, a 37-year-old female from Indonesia. She came to us on 14 October 2011 after having been diagnosed with breast cancer that had probably spread to her lungs. She had undergone 106 radiation treatments besides taking a variety of supplements.  She presented with aches and pains throughout her body, especially the joints. Bodily movements were difficult.  She could not sleep well and she had coughs.

After four days here, how do you feel now? Le: Healthier. I feel better.

When you came here last Friday (four days ago), compared to to-day, do you feel you are better? Le: Yes. I can walk faster now. I have more energy. It is like I was before I had cancer. When I came here I was still tired and lethargic. But yesterday I could walk from the apartment to the market. My husband took the wrong turn and we missed the market. We had to walk up and down everywhere. But I was alright. I had no problem walking. And I also walked fast. Before I had to drag my feet when walking and my back was hunched.

What about your sleep? Le: Before I came here, I had to wake up five times a night to urinate. I coughed. So my sleep was not good and disturbed. I often had dreams of my loved ones who had died. They came to invite me to “go home”. After I took the herbs and did the e-Therapy I could sleep well. I had no more dreams.

In terms of bodily movements, are you more agile now? I realized the first day you were here, you had difficulty moving your hands, etc. Le: I am back to being a normal person now. I can do the following (demonstrate all the actions):

  1. Raise my arms up high and straight up.
  2. Put my hands behind my heads to tie my hair. Before when I had long hair my daughter had to tie my hair for me.
  3. I can hold the broom and sweep the floor. I can swing my arms.
  4. I can make my bed and fold the blanket.
  5. I can bend down and touch the floor with my hands.
  6. I can bend my wrists.
  7. I can undress and wear the bra by myself.
  8. I can fold my legs and cut my toe nails.
  9. I can climb in bed right away without any having to slide in slowly.
  10. I can fold my arms and use my little finger to clean my ear.
  11. I can clap my hands – no pain.
  12. I can use my hand to smack the mosquito – no pain. Before it was painful even to touch the skin.
  13. I can snap my fingers and make this clicking sound.
  14. I can grasp something and bend my fingers.
  15. When I breathe deeply, there is no more tightness in my chest.
  16. This morning I walked faster than my husband.

Now you seem to have regained your movements and quality of life. Are you happy? Le: Yes. This is what I have been hoping for. When I was unable to walk I told my pastor that I wanted to die. I have lost all hope. This is because

  • Movements were so difficult.
  • I can’t even scratch my buttock when I felt itchy. My husband had to help me scratch.
  • I could not button my trousers – my husband had to do this for me.

See now, I can twist my body to the right or left without any pain, I can stand on one leg and I can eat rice with my hand.

Now do you still want to die? Le: No, no more.

I really don’t know why I did what I did that Friday night (four days ago). Usually I would only ask you to take the herbs first for a few weeks or months before going into the e-Therapy. However, that night I sensed that you were having much difficulties and so we decided to put you on the e-Therapy right away. I did not know why I did that. Perhaps it was God who was helping you!

Okay, four days on the Therapy. Did you feel good? Le: Absolutely good.

Are you confident now? Le: Absolutely confident. When I came here, I knew that this is God’s answer to my prayers.

When you go home, take the herbs as instructed. Then you must take care of your diet as we have taught you. Exercise. Don’t think too much – relax and take it easy. Don’t stress yourself too much. What is important is to try to live a normal life. Le: My facial appearance looks good now. More “glow”.

Okay, I am real happy. Please take care when you are at home. Remember what we have told you. Do not do anything that is not right. And above all, remember that healing takes time. Have patience. 

Read her full story:

Part 1: Well Being Restored After Two Days on Herbs and e-Therapy

Part 2: Alternative Therapies  –  My Twenty-One-Million-Rupiah Per Month Treatment

Part 3: Why I Declined Chemotherapy / Medical Treatments 

Part 4: Radiation Helped but Did Not Cure, Tamoxifen Disastrous

Part 5: My Dreams and Near Death Experience 

Part 6: My  Four Days of Healing at CA Care  

Breast Cancer: Herbs and e-Therapy Restored Her Wellbeing After 106 Times of Radiation Treatments Part 5: My Dreams and Near Death Experience

Acknowledgment: Permission to use this video without having to hide her identity is granted by the patient.

This is a bitter-sweet story of Le, a 37-year-old female from Indonesia. She came to us on 14 October 2011 after having been diagnosed with breast cancer that had probably spread to her lungs. She had undergone 106 radiation treatments besides taking a variety of supplements. She presented with aches and pains throughout her body, especially the joints. She could not bend her fingers.  She could not sleep well and she had coughs.

My Dreams

Before I came here, I used to have dreams everyday when I slept. My sleep was not good and disturbed.

What did you dream about? Le: My relatives and loved ones who have died visited me. They told me they have already built a house for me there and invited me to come “home” with them.

Are you sure? Le: Yes. So according to religious belief, I would have to put flowers at the road junction to make peace with the spirits so that they don’t come back again. I did that.

You dreamt of your loved ones asking you to come “home” with them? Le: Yes. But I told them I didn’t want to go. We even sat down together to have a feast – eating together but I told them I did not want to stay there. In one dream, my husband and I visited the “Garden of Eden.” He was carrying a big luggage containing all my clothes.

Oh, it seems your time is not up yet! And after you came here, you took the herbs and did the e-Therapy for four days. Did you still dream? Le: I could sleep very well and soundly. I did not dream anymore.

My Near Death Experience

One night in March 2010, as I opened the dressing of my breast wound, blood suddenly “shot” out from the wound  – one hole was on top of my breast and another below my breast. The blood spurt out rather far off. I had to use eight towels to soak up the blood. I tried to use ice to “cool” it down and stop the bleeding. It did not work. Then my son suggested that I only use the bandage and nothing else. I pressed on the wound and the bleeding stopped. My ears made a “hissing” sound and my vision became blurred and withdrawn. I started to float away – far, far away.

Like you went through a tunnel? Le: Yes, yes. Then I found myself on a white vehicle but there was driver. I was alone on the vehicle. It drove pass the clouds and I floated around, among these clouds. It was all white. I did not feel any pain or anything. It was just absolute emptiness – total blank with no feelings.

When or how did you come back? People around me were singing hymns. Then my daughter tugged my arm and said, “Mama, please do not leave me.” I then woke up. When I regained consciousness, I felt dizzy. My vision was blurred and I saw multiple images.

Read her full story:

Part 1: Well Being Restored After Two Days on Herbs and e-Therapy

Part 2: Alternative Therapies  –  My Twenty-One-Million-Rupiah Per Month Treatment

Part 3: Why I Declined Chemotherapy / Medical Treatments 

Part 4: Radiation Helped but Did Not Cure, Tamoxifen Disastrous

Part 5: My Dreams and Near Death Experience 

Part 6: My  Four Days of Healing at CA Care  

Breast Cancer: Herbs and e-Therapy Restored Her Wellbeing After 106 Times of Radiation Treatments Part 4: Radiation Helped but Did Not Cure, Tamoxifen Disastrous

Acknowledgment: Permission to use this video without having to hide her identity is granted by the patient.

This is a bitter-sweet story of Le, a 37-year-old female from Indonesia. She came to us on 14 October 2011 after having been diagnosed with breast cancer that had probably spread to her lungs. She had undergone 106 radiation treatments besides taking a variety of supplements. She presented with aches and pains throughout her body, especially the joints. She could not bend her fingers.  She could not sleep well and she had coughs.

You did radiotherapy – how many times of radiation did they give you? Le: One hundred and six.

Are you sure? Is that correct? Le: Sure, correct. I received 25 treatments on my left breast (a), then another 25 times below my collarbone (b). Another lump appeared on my right breast and I again had 25 treatments for my right breast (c). Then they radiated my ovaries – that was done for six times. The cancer spread again to my left breast and I again had 25 treatments (d). Actually I have just completed the 106th treatment a few days ago. Then I came here.

You got one treatment a day, so this means you have been going to the hospitals for at least 106 times then? Le: Yes.

Do you want some more radiation? Le: Oh no. I don’t want anymore. That is why I came here. Every time I went for radiation, I prayed, “O god please help me to stop this radiation treatment”.

While undergoing radiation, you were told to take Tamoxifen? Le: Yes, before they radiated my right breast. Husband: About three months ago, around August 2011.

So in August 2011, you started taking Tamoxifen and at the same time had radiation? Le: Yes and ten days after taking Tamoxifen my left wrist swelled. It was a soft swelling – not hard. Then my right wrist also swelled. This was bigger than the one on my left wrist. I had pain when I bent my wrists.

Did you ask the doctor why this swelling? Le: The doctor said the cancer had spread to my wrists. Husband: No, the doctor said the cancer had spread to all her bones.

And you still continued to take the Tamoxifen? Le: Yes. Then within a month, I lost my strength. Husband: The swellings in her wrists were “hot”. Le: Every joint  in my body felt “hot”.  After a month of taking Tamoxifen I was not able to walk.

You couldn’t walk? Le: Yes, I could not walk (demonstrate her physical disability).

Before you took the Tamoxifen, were you able to walk? Le: Okay, no problem. I could exercise and do the “Thian Kung”. Husband: After taking Tamoxifen, she could not walk.

Then what did you do? Le: I took supplements and drank coconut water. The situation improved.

Did you become normal again physically? Le: No, not until I came here (CA Care Penang). After I took your herbs and did the e-Therapy, I can now stand up straight. Before this I could not do this.

Read her full story:

Part 1: Well Being Restored After Two Days on Herbs and e-Therapy

Part 2: Alternative Therapies  –  My Twenty-One-Million-Rupiah Per Month Treatment

Part 3: Why I Declined Chemotherapy / Medical Treatments 

Part 4: Radiation Helped but Did Not Cure, Tamoxifen Disastrous

Part 5: My Dreams and Near Death Experience 

Part 6: My  Four Days of Healing at CA Care  

Breast Cancer: Herbs and e-Therapy Restored Her Wellbeing After 106 Times of Radiation Treatments Part 1: Well Being Restored After Two Days on Herbs and e-Therapy

Acknowledgment: Permission to use this video without having to hide her identity is granted by the patient.

It all began with a small lump in my left breast. I ignored it. Some years later, I went to see an oncologist. He asked me to undergo a biopsy and later operate. I declined. I opted for alternative therapy. I took all kinds of supplements (See Part 2: Alternative Therapies  –  My Twenty-One- Million-Rupiah Per Month Treatment).

The lump grew bigger and eventually burst. It was then that I went to see a radiologist and underwent radiotherapy. I had my first radiation treatment in November 2009. I received 25 treatments for my left breast. The tumour shrunk and eventually disappeared.

Three months later, another lump grew just below my neck. It grew bigger and bigger. I again received another 25 radiation treatments for this. The lump also disappeared after the treatment.

Four months later, two more tumours appeared, one on each of my breasts. I again received 25 radiation treatments for each of my left and right breasts.

I also received 6 radiation treatments for my ovaries.

While on radiotherapy, another lump appeared just below my left collar bone but this eventually disappeared after I completed the radiation treatment for my two breasts. However, now I have another lump in my abdomen.

While undergoing the later stage of radiotherapy, I took Tamoxifen.  After two weeks on Tamoxifen my fingers became stiff and it was difficult and painful to bend them. After a month on Tamoxifen I was unable to walk. Also, my neck muscles became stiff.  Before the Tamoxifen I was agile and had no mobility problems. I could exercise. I stopped taking Tamoxifen after a month. My doctor told me the cancer had gone to my bones.

Early this month, a good friend in Makassar called me. She advised that I have had too much radiation already and my body would not be able to accept it anymore. I should look for other alternative treatment. But all this while, I had been on alternative treatments. I took all kinds of supplements. My friend suggested that I go to Penang and meet a Chris Teo.

The above is a bitter-sweet story of Le, a 37-year-old female from Indonesia. She came to us on 14 October 2011 after having been diagnosed with breast cancer that had probably spread to her lungs. She presented with aches and pains throughout her body, especially the joints. She could not bend her fingers.  She could not sleep well and she had coughs.

Le was prescribed Capsule A, Breast L and Breast M teas, Pain tea, Lung 1 and Lung 2 teas besides Cough # 10. She was put on the e-Therapy with Detox #2. That was on Friday evening.

On Sunday night (two days later), Le came back and reported as follows.

I went back to my apartment and slept through the night, from 7 pm to 6 am. I woke up just to eat and drink the herbal teas and then went back to sleep again.

Before this therapy, were you able to sleep? Le: Difficult.

On Saturday (no e-Therapy but only on herbs) did you sleep through the day? Le: Yes. I slept, woke up to eat and then went back to sleep again. I ate corn and fruits.

When you were at home, could you sleep like this? Le: No. At home when I woke up from sleep, I would feel pains. Now, I have no more pain. I could sleep in any position or posture, I had no pain. I was unable to do such a thing when I was at home.

Did you really sleep well – soundly? Le: Yes. I also passed out a lot of “gas” … boot, boot. I would walk to and fro from Kenny’s apartment to the market. I did not have any problem walking. I could not do such thing at home. I would become breathless if I walk like that.

Now, when you walk, did you become breathless? Le: No. Now, I can also hold the broom and sweep the floor. I can now make my bed and fold the blanket. I could not do that before. I could not even lift the blanket let alone fold it. This morning, I even “hit” the pillows.

Now, what other problems do you have? Le: Coughs. Before, I was not able to twist my body around – to the right or left. I would have muscle pull or cramp. Now, no more cramps. After taking the herbs for two days, there are no more body pains.

No more pain anywhere? Le: No more.

So, for the past two days, do you really feel well? Le: Yes. Strong (taking a deep breath).

Do you have any other problem? Le: Only cough now.

Read her full story:

Part 1: Well Being Restored After Two Days on Herbs and e-Therapy

Part 2: Alternative Therapies  –  My Twenty-One-Million-Rupiah Per Month Treatment

Part 3: Why I Declined Chemotherapy / Medical Treatments 

Part 4: Radiation Helped but Did Not Cure, Tamoxifen Disastrous

Part 5: My Dreams and Near Death Experience 

Part 6: My  Four Days of Healing at CA Care  


e-Therapy is Effective for Aches and Pains

The e-mails below do not need further comments from us. They speak for themselves!

11 October 2011

Dear Dr Teo,

I have been reading about this e-therapy on your blog and also receive some info about this from your good friend Hanafi.

I am very interested to try this machine and hope it can help me with the pain that I have been experiencing on my right shoulder and upper right arm. I only experience this pain when I am going to sleep.  The pain will disappear in the morning and throughout the day. However, if I raise my hand half way and try to move backward, then I can feel some pressure on my upper arm.

Another reason for wanting to try this e-therapy is because I also have some blood pressure issues.

Since early June, I have been taking your Capsule A, C-tea and Thyroid tea.

Thank you.

Reply: Where are you from? KL? If KL then susah, you have to come to Penang. You need to do a few days to know if it works.

13 October 2011

Dear Dr. Teo,

I am very keen in purchasing the e-therapy machine.  After reading the testimonials from people who had use the machine on your blog, I also feel that I can benefit from the use.  As the price is also quite high, I agree with you that I need to try first to see the effect on me.

I have spoken to Hanafi and he is willing to let me try his machine.  I would probably be able to try this machine this weekend.  Please assist me in giving the instruction as to what type of treatment I should do.

FYI, since the past two days, I had been having this lower back pain that started rather mild on Tuesday afternoon and gets worst yesterday.  The pain seems to radiate from the back and I can also feel inside my body on the right side near the hip sometimes.  The pain is more on the right side than the left. The pain also becomes more pronounced when I move, walk or change position especially doing all these when I lie down.

The pain is also restricting me from moving or bending. When I need to bend, I have to do it slowly to avoid feeling the sharp pain.  The pain is more like a dull muscle ache. What puzzled me is I did not so anything strenuous, had a fall or bumped into anything. In the past I would probably had taken a few pain killers to solve this situation.

Reply: First you must do Detox #2 —that will take 34 minutes. Drink a lot of water, if your face feels tight or if you feel heaty. Next day do Detox #3. Third day do Lumbago #98. After you are done with it, continue with another program Backache #57. Let me know what happens after you do the program.

16 October 2011

Dear Dr. Teo,

I managed to use the e-therapy machine yesterday at 6.30pm.  Kak Inin started on a moderate intensity just to get me have a feel of the treatment.  After doing the Detox #2, I did not feel any changes to my health initially.

When I went to bed last night, I did feel some difference from the previous few nights. I do not feel the pain on my lower back and inside my abdomen. And I can roll from side to side with no discomfort. Also   there was less discomfort on my upper right arm and shoulder.  The pain on my lower back seemed to be less on Friday but got worst on Friday night (day before starting e-therapy).

Another difference that I observed was when I woke up in the morning, It is easier for me to get out of bed.  I can spontaneously sit-up and get up as opposed to a few days back when I have to move my body slowly before I can get off the bed and after 10-15 minute all the body ache will disappear.  I only experienced this backache since last Tuesday (about 4 days back), I did not have this back ache before this.

I also slept well.  Normally, I woke at least once during the night. On bad nights, a few times. So last night I managed to sleep close to 5 1/2 hours straight.

Today, I will try Detox #3. With just 1 session, I am happy that there has been improvement on some of my health issues. Will do this Detox #3 and will let you know the outcome.

Thank you and regards.

17 October 2011

Dear Dr. Teo,

I managed to use the e-therapy machine again yesterday at 3.00pm.

Again I had better sleep last night and pain in my lower back is no longer there.  Pain on my upper right arm and shoulder is also getting better. Generally, my whole body feels ‘lighter’.

As for my blood pressure, the readings are still not below 120/80.

Looking forward to see you tomorrow.

18 October 2011

Our conversation —  Subang Jaya, Selangor.

Breast Cancer: From Despair to Hope in Five Days

1: Healing In Five Days

2: Her Tragic Story

Acknowledgment:  Permission to use these video clips without having to close the patient’s face is granted by the family.

The gist of our conversation:

1.  Breast lump, ten years ago and she did nothing about it.

She discovered a lump in her breast more than   ten years ago but did nothing about it. The lump grew bigger. In 2008, she went to Kuching, Malaysia for a full-body check up. At that time she did not experience any serious discomfort. However, the check up revealed a stage 4 breast cancer since it had probably spread to her bones.

Did she suffer any pains before the check up? Yes, she had pains around the shoulder blade. After a massage the pains disappeared.

2.  Trips to China to find the cure.

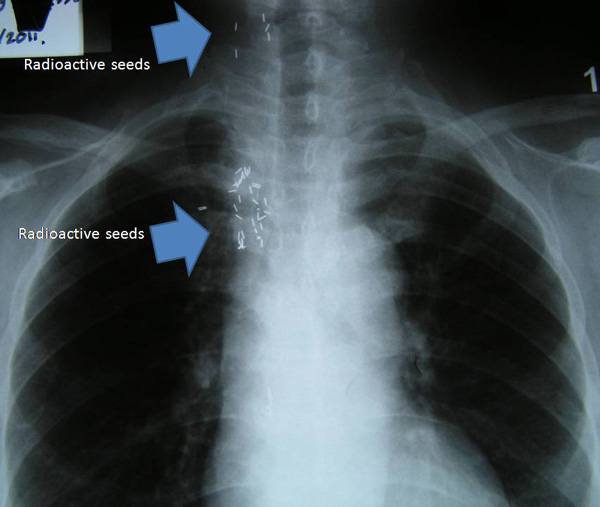
The doctor in Kuching suggested chemotherapy. She refused. The family decided to bring her to China for medical treatment. She received treatments such as chemotherapy, cryoablation and radioactive seeding  in the Chinese hospital.

She stayed about one to two weeks in China during each trip there.  She returned home feeling “alright” only to go back to China again for more treatment each year.

Did they teach you to take care of her diet? No, she was told to eat anything she likes. They did not teach her anything about the diet.

3. A Minor Fall

In January 2011, she had a minor fall. This cause one of her legs to become swollen. But even before the fall, she always had pains in her legs. She consulted a doctor in Kuching about this problem and was told that nothing was wrong with her leg but she probably had cancer in her colon.

4.  Leg Operation

Since February 2011, she was not unable to walk and remained immobilized at home. One of her leg was in pain and the other was swollen. She was unable to place her feet on the ground and stand up because of pains.

She went to Jakarta for further consultation.  Subsequently she underwent a surgery intervention for both of her legs.

Two months after the surgery she was able to walk. There were no more pains in the foot when she stepped on the ground. But the pains in the lower parts of her legs persisted.

 5.  Did no return to China anymore

 Did she go back to China again after this? No. We made a total of six trips to China.  In 2008, she went to China thrice, in 2009, twice and in 2010 once. No use – at every visit they asked us to do PET scan, chemo, etc. She became tired, vomited, etc.

6.  Hospitalization – September 2011

In late September 2011, she had pains in her abdomen and was unable to walk again. She had to be hospitalized. The oncologist suggested a PET scan to find out what was wrong with her. The family declined.  By this time she was taking a variety of medications prescribed by the oncologist, bone specialist and neurologist.

3.  CA Care Penang – 9 October 2011

She was wheel chair bound. She had to be carried up into the airplane. She was unable to stand up by herself.

She was unable to sleep and had pains in her legs throughout the day and night.  After listening to her story that 9 October night, we could only say this to her family, I really don’t know what I can do to help you. But I shall try my best. It was indeed a hopeless and helpless case.

After five days on the e-Therapy and herbs, her conditions improved.  The pains in her legs were almost gone. She was able to sleep and above all she was able to stand up by herself with minimal help.

Update: On 26 October 2011, her daughter-in-law called to say that patient (now at home in Jakarta) is able to walk by herself with the help of a walking stick. On the day when she returned home, she was able to slowly walk into the airplane – no need to be carried into the plane like the week before.