Nose cancer: NO to chemo. Gave up radiotherapy half way. Still alive! Why?

 
 

This is an email from Linda (not her real name) received this morning:  1 March 2024   8:48 AM

Dear DR Chris,

Hi … How have you & wife been? It’s been almost 8 years since we last talk. First and foremost, the whole family would like to extend our greatest appreciation for your 5 Stars and tip top God-gifted abilities in dad’s NPC case. 

The herbal decoction that was prescribed worked wonders. I remembered within a week of consumption, he’s able to slowly regained his strength & appetite.  Believe it or not, he is still working till now! To which, I am glad to say that. 

We have successfully achieved our main initial goal, that is “to live peacefully with his cancer.”  

As of current, he is still facing the consequences of the side effects from the 13 sessions of radiotherapy that was done in 2017, i.e., weaken gum & loose tooth, hair thinning & he has not regained his sense of taste fully.

But thank God, from what I observe or physically see, there are no symptoms of an advancing cancer. He himself did not complaint of any discomfort, etc, which could be related to signs of an advancing cancer. I take it as good news. 

In your opinion, do you think it is advisable to continue with the NPC 1  & NPC 2  or do you have any other ‘magic’ potions to recommend?  

Again, thank you so much!! May God showers HIS countless blessings on you & family, and may HE bless you with happiness and rewards you for your kindness.

Thank you for your guidance & wisdom. As a Muslim, we believe in GOD’s plan, and meeting you is part of it. 

Regards, Linda.

PS: Over the years and up till now, dad has been promoting your CA Care to his circle of clients & friends. 

Within these 7 years, we met a number of our clients who are diagnosed with NPC just like dad. They completed the radio/chemotherapy treatment and within 1 year or so, without having a chance to fully recover from the side effects, they encountered a recurrence and sadly they succumbed to it. These experiences are really an eye opener. Wondering if the therapy kills the cancer first or the person receiving it?

May God bless us all with health & wealth. Looking forward to your reply.

The Story of Her Father

On Sat, Jun 10, 2017 at 3:00 AM, Linda wrote:

Dear DR Chris Teo,

I apologize for writing without the benefit of an introduction, I am writing this email, with the hope that I can schedule an appointment with you, on behalf of my father who has been diagnosed with nose cancer (T2N1).

My father, ABA, 58 years old, has been diagnosed with nose cancer (T2N1) in February 2017 and was scheduled for 33 sessions of radiotherapy and 6 rounds of chemotherapy (4 hrs of cisplatin IV infusion), with an approximate total cost of SGD$9,700.

He declined the chemotherapy treatment (oncologists here are very persistent, we had to go thru a series of ‘debates’) but complied to radiotherapy treatments.

We were initially ensured of a total recovery.   Doctor mentioned that only 30% suffered from mild side effects and seeing my father is young he is confident that my father will be able to spring back to life in seconds.

Little did we know that radiotherapy is just as bad. He is currently on his 13th session. The tormenting days started as early as day 2.  He is unable to eat – maybe because of the many big ulcers, sudden chills, fever, nausea/vomiting and scalded skin. He is so weak.

And ever since radiotherapy, I noticed he started to develop tight congestive cough at night. As of now, he said he had loss his sense of taste and hearing to his right ear.  

On 6 June 2017, during a scheduled consultation, we expressed our concern on his deteriorating health, and if there is anything that they can provide to aid him during this time, and they mentioned a list of medications in which they don’t recommended.  Their only advice is to allow his antibody to fight it off naturally.

At the end of the day, we were only prescribed with a tin of Ensure Vanilla powder. Disappointed with their lack of concerned and couldn’t help feeling betrayed, that was when we finally decided to called it off and stop the radiotherapy treatment. 

It has been more than 48 hours from his last radiotherapy session and he doesn’t seem to be getting any better.

Our family do believe in herbs but we have no knowledge on it.  We sincerely hope you are willing to look into my father case.  My father is eager to take all possible aggressive measures to combat this disease or at least to live peacefully with it. 

We understand that this is one of many such requests that come across your desk and greatly appreciate any guidance that you can give. We lived in Singapore.

Thank you, in advance, for your help. I look forward to hearing from you at your earliest convenience. 

Our Therapy Helped Him

On Wednesday, July 12, 2017, 3:47 AM.

Hi Dr Chris,

Hope all is well. The whole family would like to extend our greatest appreciation for your help, advices and herbs. Just like the pastor (link below), he is now strong enough to walk and work!

  • The swell on his right lymph node have totally disappeared.
  • Although his sense of taste has not recovered fully, but he’s eating now. Ulcers gone! 
  • Phlegm/mucus isn’t that thick anymore.
  • No more congested cough throughout night. Amazing!

Initially we had to bring the tea to him, now he will be the one asking for it!

Thank you so much. God bless u and family.

More Successful Stories

  1. The story of Eng. https://alternativecancertreatments.quora.com/ti-125865463
  2. Case of Pastor Danny.

https://cancercaremalaysia.com/category/npc-nasopharyngeal-carcinoma

Breast Cancer: Should I go for radiotherapy after my surgery?

One morning, a couple flew in from Kuala Lumpur specifically to seek our advice. He is a Datuk, and following the norm, his wife is referred to as Datin. But for this story, let us call her Ms B. 

Listen to what Ms B and her husband told us this morning:

 Comments 

In an earlier posting I wrote about Ms A — whether she should take tamoxifen after her lumpectomy. As a follow up, this story about Ms B is whether she should go for radiotherapy after her breast surgery. First, put these two stories side by side, what can we learn from these two stories?

  1. There is a striking difference with the attitude of Ms A and Ms B. I have often said, cancer is about human being. It is not just about a lump in your breast. Ms A came to see us as a side line while on a home coming trip for the Chinese New Year. Ms B and her husband specifically flew from Kuala Lumpur just to consult with us and flew home immediately after that. 
  1. While Ms A came willingly, trying to seek our opinion, I was not too sure if she had the full support of her husband. He could even be hostile to the idea of his wife taking herbs and not taking tamoxifen as recommended by the doctor.

On the other hand, Ms B’s husband was solidly behind his wife’s desire to find another alternative to the recommended radiotherapy.

No, the subject of radiation being “scientifically proven” never cropped up at all. The couple came with a certain degree of belief in whatever they are seeking from us. What they needed is the extra “confidence” to go forward.

As a result, they wanted to give our therapy a try. On the contrary, I sent Ms A home without any herbs!

Okay, what is my answer to their question: Should I go for radiotherapy as recommended by my breast surgeon (the same surgeon that operated on Ms A).

  1. I am sorry, I cannot answer that question out right. Because in the healing of cancer, there is no right or wrong way. It just has to be your own way. You have to make that decision yourself.
  2. At times when you are lost, I ask you to pray to your god. In this case, Ms B needs to see the answer from Kuan Yin, the Goddess of Mercy.
  3. However, let me say that radiation itself causes cancer. There is no doubt about this.
  4. Patients need to understand that they need to learn how to heal themselves. Change your lifestyle, your attitude in life and your diet. Don’t stress yourself too much.
  5. You are going to face a lot of pressure around you for not taking the “medical path”. There are enough “professors” giving you all kinds of advices. You need to be strong and firm in your decision. In this case, Ms B’s daughter is a doctor! Indeed, it is a difficult situation for her.

Besides coming to talk to us, I suggest that you read what is written in the internet. Here are some examples. 

Forum Topic: Long Term Radiation Side Effects 10+ years After? https://community.breastcancer.org/forum/70/topics/816658

Barbarella 60 wrote:

I am new to this forum and I am looking for others and help in what I am now experiencing.  I had left breast Stage 1, ductal in situ, 1cm in size about 18 years ago. I had a lumpectomy … 3 treatments of chemo consisting of Adriamycin, Cytoxin, and 5 fu, followed by 7 weeks radiation, then 3 more treatments of chemo.

I was given extra doses of radiation because of a hospital confusion. I also had 5 years of tamoxifen. Do you think overkill?

Now 18 years later I am experiencing severe left breast fibrosis with major dimpling at the lumpectomy incision site, hardening and swelling of the breast.  I thought my cancer had returned but negative.

Also having stabbing left chest pains occurring occasionally.

Now 2 years after the onset of the fibrosis I am having shortness and trouble breathing, dizziness, tired with no absolutely no energy.  I had all heart tests including cardiac catheterization angioplasty.  All negative.

I am grateful for my life, but all the side effects from the chemo & radiation have had a significant effect on my health.

Has anyone experienced side effects becoming major health issues years after the treatment? I don’t know where to go, since no one seems to know about this.

CessaLyn wrote:

I was diagnosed w/ right side, stage 1 ductal in situ 3 cm, estrogen positive, breast cancer, with no lymph nodes involved, on Dec 27, 2004, had lumpectomy 17 days later on Jan 13, 2005, followed by 12 weeks of radiation.

I’m here over 7 yrs later, w/ no reoccurrence, yet still suffer greatly from underarm & chest wall/muscle/rib pain, with swelling! Hurts to raise my arm above my head, or to wash the back of my hair, or to stretch in any fashion? I’m told it is probably costochrondritis … began almost immediately with the start of the rad treatments.

…  Please, Please, Please, – anyone who is newly diagnosed, in early stage, take the time to do the research, read personal experiences and not just what the radiologist/oncologist is telling or not telling you, I sometimes wonder if it was a $ issue not to bring up other types of rad treatment since the final bill to my insurance co. For just the rad treatments was close to $79,000 – YOU have to live with the side effects, they don’t! Happy to be here, but would like a little less pain.

… You are right.  They need to give you truthful, information on the treatments and the side effects.  Back 18 years ago lumpectomy & radiation.  I remember not having a second thought in having radiation.  Now my armpit is swollen, pain & fibrosis in left breast and possible heart & lung damage.  If I had it all to do over again I would have a double mastectomy.  No radiation.  But what’s done is done.  Gotta go on from here, no redo. They know a lot more information today than then. But our decisions should be discussed by independent parties with no financial involvement.

Gilbert wrote:

I had a lumpectomy followed by 31 rad treatments that ended Jan10,  I am really sore over my whole breast, thought about calling the doctor, but not sure what he could do anyway.  He wasn’t very helpful when I was going through treatment. They sure don’t inform us very well about the effect that the radiation will have on us.  I think it it’s all about the money.  Every time I would ask about a certain problem They would tell me the only side effects were just fatigue.[bs] and that could last for awhile after rads were over. I seem to be getting sorer by the day, I hate to think that this could go on for years..

I do remember how tight and red and burning it was for a while afterwards.  I think it took quite a while for my skin to feel like it wasn’t going to rip.  I know but that is how tight it was.  I was very diligent in using all the cremes they recommended.  I also had 3 months (9 weeks), 5 days a week, of radiation. Then immediately after radiation I started the 2nd series of 3 treatments for 7 weeks of chemo. After that 5 years of tamoxifen.

Believe it or not, my whole arm pit and back towards my shoulder blade is still numb.  If I have an itch I have to use a wooden back scratchier and just scratch as hard as possible to feel it.  It is very uncomfortable having an itch that can’t be satisfied! Just one of the sides I’ve had for 18 years.

Sunny1012 wrote:

I am new to this nightmare.  I had a lumpectomy on January 8, 2014 for ILC Stage 1 and sentinel lobe removal.  I had a long consultation with the radiation oncologist and did not leave feeling convinced about radiation treatment.  I am considering skipping radiation and just doing the Tamoxifen even though I am not crazy about that either.

I have read every piece of research I can on radiation and its a damned if you do and damned if you don’t situation.

I also would like to hear from survivors who can share the pros and cons of radiation in their choice and life to this point. The decisions we must face on this journey are overwhelming .  Please share your thoughts. Thank you

Desalonde wrote:

I am a bit further along than you are but can only share your sentiments and not really shed much light. I have read lots of medical articles going back years and consulted 3 rad oncs and it seems clear there is no consistent “prescription” even for same person…. different docs give different opinions depending on where they trained so a lot of it is culture and custom not hard science about what is minimum effective dose.

That means making decisions with blinders on.

What is worse…. RO may be ( mine is) defensive and irritated when you quote a literature info of concern to you and insist that you” trust” their experience……even though they disagree among themselves and may contradict the literature.

It’s primitive and makes me mad because women deserve better science to reduce the suffering that accompanies these treatments! 

Here are what researchers and doctors said about radiation for cancer!

 

 

 

 

Laryngeal-Liver Cancer: After chemo and radiation failed, doctor said go home and wait to die

KP is a 56-yer-old man. His problems started about 4 years ago, in 2013, when he had coughs and often vomited blood. He was subsequently diagnosed with cancer of the larynx and underwent 12 sessions of radiotherapy and 7 cycles of chemotherapy. This was done at a government hospital.

He was okay after the treatments.

In 2017, i.e. barely 4 years later,  KP had difficulty eating. Whatever he ate, he vomited it out. HIs stomach felt uncomfortable. He felt very tired.

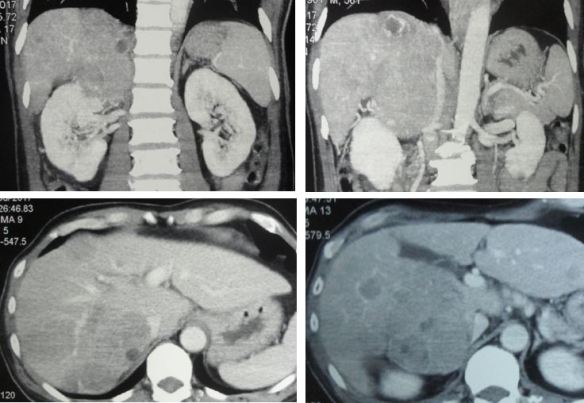
A CT scan done in a private hospital in July 2017, showed the following:

  • Multiple masses in both liver lobes. The largest is about 7.5 x 8.6 x 14 cm.
  • The mass compressed the inferior vena cava and the right adrenal.
  • Right vocal cord paralysis.
  • Mild ascites.
  • Abdominal paraorta and aortocaval adeonopathy.

The doctor told KP that nothing more could be done. He was asked to go home — without any medication, and wait to die.

Listen to what his daughter told us this morning.

Part 1: Go home and wait to die

Part 2: Doctor has given up. Anything CA Care can do for him?

 

Comments

  1. Doctors can treat cancers, but they CANNOT cure them, even with their so-called scientifically proven magic bullets — surgery, chemotherapy and radiotherapy.

  1. Doctors know how to treat patients but they don’t know how to make patients healthy.

  1. Sometimes, doctors play god, which often may make the patients much worse off after the consultation. Perhaps it would be much better if doctors don’t say anything at all.

 

 

 

 

 

Lung Cancer: After Surgery, Chemo and Radiation, the cancer spread to his healthy lung

CK is a 62-year-old male from Kuala Lumpur. He and his wife came to see us with copies of his medical reports neatly filed in a folder. This is a very pleasant couple who is now helpless and directionless. This is what happened.

1)  20 December 2015: Had food poisoning after taking expired red wine. 

2)  21 December 2015: Consulted a GP who discovered “cracking sound” in his left lung.

3) 22 December 2015: CT scan of chest showed a 3.2 x 5 cm mass in the left lung.

4)  2 January 2016: A CT-guided biopsy confirmed a bronchoalveolar adenocarcinoma.

CK was referred to a cardio-thoracic surgeon in a “heart hospital.”

5)  14 January 2016: PET scan confirmed carcinoma of the left lung with no associated locoregional or distant metastasis.

6)  23 January 2016: Admitted to the “heart hospital” for lower lobe lobectomy, i.e. surgery to remove a quarter of the lung.

The surgery was a “success” and histopathology report showed:

  1. a) Aortic wall adventitia was infiltrated by tumour.
  2. b) One pulmonary lymph node showed tumour metastasis.
  3. c) lower lobe of left lung — invasive adenocarcinoma with predominant bronchoalveolar and papillary pattern.

7)  February to June 2016: Underwent 4 cycles of chemotherapy and 20 sessions of radiotherapy.

Things seemed to be okay after all these treatments but CK had chest pains, coughs and fever. He was prescribed “strong” antibiotics.

8) 30 March 2017 — after slightly more than a year.

Follow up CT scan showed multiple nodules and patchy opacities in the upper and lower lobes of right lung.

Radiologist suggested: Differential diagnosis: lung metastases and pneumonia. Suggest close follow up CT lung after a course of antibiotics.

CK went back to his surgeon about this new development. The surgeon was pretty sure that the spots were not cancer related.

9)  1 June 2016:  CT scan of chest. The radiologists wrote the following:

CT on 23 March and 30 March 2017 were reviewed. The current CT is about 2-3 months after  the previous CTs. The current CT showed the following:

  1. a) The ground glass opacities in the right upper and lower lobes of the lung appears more dense and larger.
  2. b) Newer small nodular lesions are seen in the right upper and lower lobes.

Based on the above observations, the radiologist was of the opinion that this new development was a metastasis or recurrence. However, ground glass opacities may  be due to drug induced lung changes and infection.

The changes in the left upper lobe (note: left lower lobe was removed) are suggestive of non-neoplastic process and fibrosis. If DXT (radiotherapy) was given, these could be due to that treatment.

10) 18 September 2017: Went back to the same GP again (as in 2). “Cracking sound” at the lower part of my good lung.

Cancer marker in December 2016 was 16. In July 2017,it was 173.

CK and his wife decided not to go back to his doctors again. Because it will just be repeating the same procedures all over again — another biopsy and more chemo.

Total cost of treatment = RM130,000 of personal savings.

Comments 

I had my first lesson about lung cancer some 22 years ago. The second patient of CA Care is VJ. He had lung cancer and had one side of his lung removed and underwent treatments at the “cancer hospital.” I was at the hospital and saw him suffer and eventually died.. Surgery did not cure lung cancer. Treatments received in the cancer hospital also did not cure lung cancer.

My second lesson about lung cancer came a few years later when the mother of my student underwent radiotherapy for her lung cancer. Yes, I encouraged her to go for the treatment. After completion of her treatment she died. Lesson number two, radiation does not cure lung cancer. To understand why, just go to the market and buy a piece of lung. Bring home and place the lung over fire and see what happen! The lung hardened — and is this not why the patient cannot breath?

Over the years, I have seen this story being repeated over and over again. In the case of CK, it is another one of those cases I have come across over the years.

Can herbs cure CK’s cancer? No. Can we help him? May be. CK’s problem recurred less than 2 years after treatment. After spending RM 130,000 he got nothing out of it.

Perhaps some people would want  to tell you that if you don’t go for treatment, you would die sooner. Nope — I don’t believe so. Over the years, I have patients who led a much better life if they do nothing.

Perhaps you may want to read some of the articles I have written earlier:

  1. He Died Of Lung Cancer — Treated by the Best Oncologist in One of the Best Hospitals in the World

2. Medically Given Up Lung Cancer: She died after 5 years on CA Care Therapy

3. Lung Cancer: Six to 12 Months to Live. Must do chemo, that’s the only way. With herbs still alive after 2 years!

4. Lung Cancer: Given Honest Answers Patient May Run Away from Chemotherapy

5. Two Billion Rupiah, Chemo And Surgery Failed. Oncologist said, “More chemo, you just have to trust me!”

6. Lung Cancer: Chemo Experiments That Failed and Failed

7. Lung Cancer Success Stories

My advice to CK.

Don’t give up hope yet. We shall do our best. If you can sleep, can eat, can move around and have you no pain, don’t ask for more. To that CK and his wife totally agreed. In fact that was what they hope for when they came to seek our help … “to have quality life.”

 

 

 

May God bless you.

NPC: Undergo chemotherapy,100 percent cure; if radiotherapy, 80 percent cure. You believe that?

Dear DR Chris Teo,

I apologize for writing without the benefit of an introduction, I am writing this email, with hope that I can scheduled an appointment with you, on behalf of my father who has been diagnosed with nose cancer(T2N1).

My father, Aba (not real name), 58 years old, has been diagnosed with nose cancer (T2N1) in February 2017 and was scheduled for 33 sessions of radiotherapy and 6 rounds of chemotherapy (4 hrs of cisplatin IV infusion),with an approximate total cost of SGD$9,700.

He declined the chemotherapy treatment (oncologists here are very persistent, we had to go thru series of ‘debates’) but complied to radiotherapy treatments. We was initially ensured a total recovery. Doctor mentioned that only 30% suffered from mild side effects and seeing my father is young he is confident that my father will be able to spring back to life in seconds.

Little did we knew, radiotherapy is just as bad. He is currently on his 13th session. The tormenting days started as early as day 2.  He is unable to eat maybe because of the many big ulcers, sudden chills, fever, nausea/vomiting and scalded skin. He is so weak. And ever since radiotherapy, I noticed he started to develop tight congestive cough at night. As of now, he said he had lost his sense of taste and hearing to his right ear.

On 6/6/17, during a scheduled consultation, we expressed our concern on his deteriorating health, and if there is anything that they can provide to aid him during this time, and they mentioned a few lists of medications in which they don’t recommended.  Their only advice is to allow his antibody to fight it off naturally. At the end of the day, we was only prescribe with a tin of Ensure Vanilla powder.

Disappointed with their lack of concerned and couldn’t help feeling betrayed, that was when we finally decided to called it off and stop the radiotherapy treatments.

It has been more than 48 hrs from his last radiotherapy session and he doesn’t seems to be getting any better.

Our family do believe in herbs but we have no knowledge on it.  He has been taking rodent tuber and  jus rerama (butterfly plant)  as supplements for almost a month now. We sincerely hope you are willing to look into my father’s case.  My father is eager to take all possible aggressive measures to combat this disease or at least to live peacefully with it.

We understand that this is one of many such requests that come across your desk and greatly appreciate any guidance that you can lend. We live in Singapore and ensure that I have no issues travelling to Penang on behalf of my father for the consultation and also the follow up treatments.

Thank you, in advance, for your help. I look forward to hearing from you at your earliest convenience.

Best of regards.

Reply: Come and see me with all the medical reports and scans … no need to bring your father … only you come ….. fly in the morning … go back in late afternoon. 

Summary of medical reports:

  1. 9 Feb. 2017: Right PNS biopsy — Non-keratinizing papillary squamous cell carcinoma.
  2. 23 Feb. 2017: MRI – Nasopharynx and Neck — right nasopharyngeal mass (4.8 x 3.9 x 3.0 cm) with extension across midline and into the right parapharyngeal space with right mastoid effusion. Enlarged right lateral retropharyngeal node, 1.4 x 1.2 cm.
  3. 23 Feb. 2017: Bone scan — there is no conclusive scan evidence of bone metastasis.
  4. 5 April 2017: Diagnosed with T2N1 nasopharyngeal cancer, EBV negative, p16 positive.
  5. 30 May 2017: MRI — Since the previous MRI stuy dated 23 Feb. 2017
  • stable size and extent of the known right nasopharyngeal tumour.
  • slightly larger right lateral retropharyngeal lymph nodes — 1.5 x 1.2cm fro, 1.4 x 1.1 cm.
  • larger cystic right level 2 lymph node suspicious for nodal metastasis — 2.2 x 1.5 cm fro, 1.3 x 0.7 cm.

Aba’s daughter (let’s call her Linda) and her husband came to seek our help. We talked for more than an hour. Below are some excerpts of our conversation that morning.

 

 

Here are some of the points we discussed.

  1. Do chemo, 100 percent cure, if radiotherapy 80 percent cure

Linda: He was told to go for chemo – 6 times and radiotherapy – 35 times. He declined chemo but went along with radiotherapy.

Chris: Chemo! Can cure or not?

L: The doctor said, 100 percent cure with chemo. The doctor also said if the patient is my father or mother, I would also ask him/her to do the same.

C: So chemo can cure 100 percent. What about radiotherapy?

L: If he did radiotherapy it will be 80 percent cure.

  1. Only 30 percent of patients will suffer mild side effects of radiation

L: The doctor also said that only 30 percent of patients will suffer from mild side effects of radiation.

C: Mild side effects? That’s what the doctor said?

L: The doctor said my father is still young.

C: Did you father know that the doctor said the radiation side effects is very mild?

L: He knew.

C: And after 13 times of radiation, why did he gave up?

L: He had bad mouth ulcers, etc. When to see the doctor and was told no medication to help him. Only let the body’s antibodies (immune system?) help him.

  1. Why are you so against chemotherapy?

C: Chemo would give a 100 percent cure — why don’t you ask your father to go for chemo?

Son-in-law: He wanted to go for it.

L: I quarrelled with the doctor. I have read a lot of stories. Even my uncle — he had one cycle of chemo for his colon cancer and he wanted to die already. Only one shot, and want to die already.

  1. Oncologist pushing my father to go for chemo!

L: The doctor was very, very …

SIL: insisting.

L: When I told the doctor that I don’t want my father to go for chemo, she was like trying to put the blame on me — if my dies, I would be the one responsible for it.

C: The doctor was really pushing you on that? How old is this oncologist?

L: She is a young lady doctor.

SIL: Some  young doctors are like that! Very pushy — chemo, chemo, chemo!

L: She said, this is the standard American protocol.

C: (From my experience) Nobody can cure any cancer! There is another young oncologist who told one of our patients. In my professional life as an oncologist, I have not come across a case where a patient dies because of my chemotherapy!

  1. Fellow patient undergoing the same treatment already died!

L: There was another patient who also underwent the same treatment (like my father in the same hospital). Last week my father asked the nurse what had happened to him. The nursed checked and found out that he already died.

  1. Mom with colon cancer. Surgery but refused chemo. Ten years still alive!

L: I read a lot.

C: Before you father got cancer, did you also read?

L: Actually my mother also had cancer — colon cancer. She went for surgery but she refused chemo. It’s now ten years. She never go for any check-up and she is still alive.

7. My take on this case

  • We cannot change human attitude. So let me tell you honestly — out of ten patients who come and seek our help, only three patients would benefit from our therapy. We cannot help the remaining seven patients because we cannot change their attitudes. We can help the cancer but we cannot help human beings.
  • You need to take care of your diet. You cannot eat anything you like. So what to eat now? I can’t help people like that! I know many people swear and curse me because I say you cannot eat this and cannot eat that.

SIL: My father is a very stubborn person. He likes to eat — so we have to change him on that.

C: That is the problem. I have no herbs to make him change his attitude, his stubbornness. I can tell you, I give up on such person. No use. My experience is when he gets well, he will not listen to my advice anymore. He eats anything he likes and he dies.

Comments

There are many lessons we can learn from this story.

  1. It pays to read and read, to know more. It is not enough to just go and see an oncologist and believe he/she can take care of you.

Linda read about her father’s cancer treatment. She took note that her uncle almost died after one shot of chemo. Linda’s mother also had cancer. She was told to undergo chemotherapy after her colon cancer surgery. She refused. She is still alive after ten years!

When the oncologist told Aba and his family members that chemo was going to provide a one hundred percent cure of his NPC, Linda was skeptical. You can only be skeptical and dare to question the doctor if you have some basic knowledge of what cancer treatment is all about. Unfortunately, many patients dare not ask. And they don’t read. They swallow everything that is being fed to them!

 

  1. Experience and wisdom are what you need to look out for when it comes to making life and death decision. Read and ponder the following wise words of Dr. Ruggeiri below.

It is not difficult to understand what Dr. Paul Ruggieri is trying to tell us. Substitute the word surgeon with oncologist and see how the message strikes you! It may sound like this … the first ten years of practice, an oncologist learns how to chemo people …. she is eager to chemo anyone who walks into her office … she is going to show off her stuff …. bla, bla, bla.

So if I have a choice, I would choose an experienced, sympathetic and wise doctor rather than a sweet, young one! (I know it is hard, wishful thinking?).

 

  1. Radiotherapy provides a 80 percent chance of cure. And only 30 percent of patients suffer side effects. Even that, according to the oncologist, these side effects are mild. Do you believe that?

Obviously this oncologist does not know what it is like to suffer from the treatments she is dishing out to her patients!

Pastor Danny had NPC and underwent chemotherapy and radiation treatments (using the same drugs as recommended for Aba). And he suffered severe side effects.

  • Suffered severe side effects of radiation – mouth sore, difficulty swallowing, burnt skin, etc.
  • At the same time, he received two cycles of chemotherapy.  The side effects were worse than radiation and he had to be hospitalized. He was unable to sleep, was in pain and became anxious and depressed. He was put on morphine and as a result suffered constipation and hallucination.
  • The treatment caused much misery. I would rather die – it was miserable and never again!

Read more: https://cancercaremalaysia.com/2012/05/21/a-u-turn-from-death-the-nose-cancer-journey-of-pastor-danny/

Dr. Peter Ooi related his NPC treatments as below:

Radiotherapy Experience

  • The treatment burnt my whole throat – like it was on fire.
  • My wife cried, because I couldn’t drink even a drop of water.
  • I could not walk by myself.
  • I was not told about the side effects of radiotherapy.
  • I have no more salivary glands (that is why in the video you see Peter having to taking sips of water very often when talking to us). 

Chemo Experience

  • I was not told about the side effects of chemotherapy – the only thing mentioned was hair loss.
  • I stopped chemo after the fourth cycle – I was too weak.
  • I developed a phobia for “needle”. The veins in my hands just “disappeared” when I see a needle!

Read more: https://cancercaremalaysia.com/2012/01/29/nose-npc-cancer-eleven-plus-years-on-herbs-part-1-my-radio-chemotherapy-experience/

Doc, you call these mild side effects?

  1. The oncologist told Linda that chemotherapy can provide a one hundred percent cure! What the oncologist did not tell is that chemotherapy can also come with a heavy toll! Sometimes, chemotherapy kills.

According to Linda, a fellow patient undergoing the same treatment as her father died along the way!  Is that not proof enough? Read what these two doctors say.

Last week the newspapers reported that one of Singapore’s most prominent oncologist was suspended for eight months due to professional misconduct. According to this report, Dr. Ang Peng Thiam, a 35-year veteran and medical director of Parkway Cancer Centre, was found guilty of these charges:

  • That he made false representation to the patient who was suffering from lung cancer that there was a “70 per cent” chance of responding to the treatment he suggested, and
  • That he failed to offer her surgery as an option.

The patient died six months after seeing this famous oncologist.

The disciplinary tribunal found that Dr Ang “had no reasonable basis” for saying there was a 70 per cent chance of response and felt that he had “wrongly held out false hope” to the patient and her family. He made the claims intentionally even though he knew or ought to have known there was no basis for him to do so.

The judges said doctors were obliged to present the range of viable options and what the pros and cons of each of these were. Patients must get to decide for themselves what treatment they want, the judges added. “It was not Dr Ang’s role to decide, but to inform,” the judges said.

Cancer patients, can you learn anything from the above episode?

Read more: https://badscienceblindtruth.wordpress.com/

Let me end by asking you once again to reflect on the wise words of Dr. Ruggieri below:

 

 

 

 

Brain Cancer: Operation, Radiation, Blind After Two Weeks

rice-field

Amar (not real name) is a 32-year-old Indonesia male. In April 2016, he had a seizure and vomited. He was immediately sent to the hospital in Batam. After performing an X-ray, he was given some medication and sent home. He was able to go back work.

One week later, Amar went into a coma and was sent back to the hospital again. The doctor told the family Amar had stage 4 brain cancer. He was asked to immediately undergo a brain surgery. The doctor said that was the only option left. The risk of surgery would be: Amar could suffer memory loss or he could go blind.

The operation was carried out in Batam and Amar regained consciousness. The operation cost IDR 170 million. Unfortunately the surgeon was only able to remove 70 percent of the tumour. Amar was asked to undergo chemotherapy which the family rejected.

This is what Amar’s brain looked like after the surgery.

brain-augus-batam

Amar was brought to consult two doctors in Johor Baru. One surgeon suggested that Amar should undergo another surgery to removed more of the tumour in his brain. An oncologist suggested radiotherapy. The family opted for the latter and he had 30 sessions of radiation. Radiotherapy cost the family RM 12,000.

Two week after the completion of the radiation treatment, Amar became blind. As a follow up the oncologist put Amar on oral chemotherapy. Amar had three round of chemotherapy. Then his brother decided to come to Penang to seek our help.

 

Chris: When you were asked to undergo the operation, did you ask the surgeon if he was going to be able to cure your brother?

Brother: We did not ask. We did not know else to do.

C: Actually, surgery would not cure anything! Then you went for radiotherapy. Did you ask if this was going to cure him?

B: We asked about the benefit of radiation. The doctor said radiation cannot cure, but we need to try. We want the radiation to kill the cancer cells!

C: Then the oral chemo-drug. What good will that do to your brother? Let me be very outright with you. No one can cure your brother’s cancer. For all that you have done, your brother ended up blind. You now come and see me. What do you expect me to do?

B: I want to find a cure for my brother.

C: That is impossible. There is really nothing much I can do. You may just waste your money and efforts. So go home and discuss with the family — what they really want to do.

B: The family do not know what to do. I want to try your herbs.

What if you do nothing?

do-nothing

The son and daughter of this patient came to our centre. Yes, they felt compelled to do the utmost for their father. But sometimes, it is wiser and braver not to do a thing. In this case, it would be a bad joke to believe that 5 times radiation and a biopsy would make sense. What do you hope to achieve? To say that radiation is going to kill the cancer cells or to stop the cancer from spreading is only a good selling point, nothing than that. Let’s not be naive.

Let us recall two well documented brain cancer cases in the US. Let’s see if we can learn anything from these.

  1. Senator Kennedy and glioma

Senator Kennedy was diagnosed with a malignant glioma in May 2008, after being hospitalized following a seizure. A month later, he underwent what was described as “successful” surgery at Duke University Medical Center, Durham, North Carolina, and then received both chemotherapy and radiation after returning home to Massachusetts.

Six months after the diagnosis, Senator Kennedy had returned to the Capitol and was working part-time while still continuing with treatment. However, in January 2009, he collapsed during the inaugural luncheon for the new president Barack Obama. Senator Kennedy died in August 2009 — barely one year after his diagnosis.

Source:  http://www.medscape.com/viewarticle/708105

  1. Beau Biden, US vice president’s son, died at 46 of brain cancer.

The son of Vice President Biden and former state attorney general of Delaware, died after battling brain cancer. In 2010, Beau Biden had suffered what officials described as a mild stroke. Three years later, 2013,  he was admitted to the University of Texas M. D. Anderson Cancer Center in Houston. Doctors removed a small lesion from his brain and then followed a normal course of radiation and chemotherapy. By November 2013, he had been given a clean bill of health, but after a recurrence in 2015, Biden began an aggressive treatment and was admitted to Walter Reed.  He died in May 2015.

Source:  https://www.washingtonpost.com/politics/2015/05/30/e1ac5a2a-0731-11e5-a428-c984eb077d4e_story.html

The above are outstanding “sons” of America where the best of medical treatments can be found and are available. Senator Kennedy or AG Biden would have access to the best of medical technology to combat their brain cancer. Yet, they died. What chance do we — common folks — have? Or are we  being misled and sold false hope?

Read what Dr. Tobias has got to say about surgery for brain cancer ….

6-surgery-tobias-brain-ca

See our next posting: Brain Tumour – No to Surgery.

 

 

 

Bring her home and let her die in peace and with dignity.

Part 1: The mantra of  NO CURE BUT THERE ARE TREATMENTS is meaningless.

Part 1: The mantra of  NO CURE BUT THERE ARE TREATMENTS is meaningless.

Part 2: Come back and see me again after a week!

Part 3: Praise God! GM came to see us! She is still alive!

 

GM is a 33-year-old female. Her problems started about 3 months ago (mid April 2016), when she had a “flu.” She took some medications from the pharmacy but these did not help her. Then she went to three hospitals. Doctors prescribed antibiotics. These did not help her either. Then  a CT scan on 15 April 2016 indicated a left sinonasal polyposis (presence of multiple benign polyps in the nasal cavity and paranasal sinuses. It causes a particular pattern of chronic sinusitis). Since the antibiotics did not help, there was nothing much the doctors in her home state could do.

On one of the sisters own initiative GM came to consult an oncologist in Penang. MRI on 21 April 2016 showed the following:

  1. Lobulated irregularly enhancing soft tissue involving the left frontal, left maxillary, left ethmoidal sinuses, nasal cleft, etc.
  2. Bony breech of the anterior aspect of the left ethmoidal/orbital bone with tumour extending anterior to the subcutaneous tissues.
  3. Enlarged both submandibular and left cervical lymph nodes.
  4. Enhancing foci in the right body and both rami of the mandible bone suspicious of metastatic deposits.
  5. Fluid filled left frontal and left maxillary sinuses. Mucosal thickening in the left sphenoidal sinus.

Impression: Features are suggestive of left sino-nasal carcinoma with diffuse local infiltration.

Composite

 

It was suggested that GM suffered from a rare, aggressive and “almost uniformly fatal” cancer known as NUT Midline carcinoma. From the onset the family was told that there would be NO cure, but the disease can be treated!

From end of April to 1 August 2016, GM underwent chemotherapy and radiotherapy. In addition she received a variety of antibiotics and medications (details, Part 2 of this story).

It was a losing battle all the way. In all, the family spent RM 100,000 for the treatment until “everyone” gave up. It was at this point that GM’s two sister came to seek our help.

On the first day of the sisters’ visit to us, we did not prescribe any herb. We only asked that the family had a discussion first. For us, this is a gone case. In fact even the oncologist told the sisters that he preferred not to offer any more chemotherapy. Nothing that were done worked! So the notion of there is NO CURE BUT THERE ARE TREATMENTS for the disease turned out to be a cruel joke. GM suffered badly — from the treatments? From the cancer? In fact GM had twice told her father that she wanted to die and the family should not worry anymore about her. She knew her time is up.

Our advice to the 2 sisters on their first visit was: Bring her home and let her die in peace and with dignity.

Listen to our conservation below.

 

 

 

 

 

RM 2,830 lost for not wanting to proceed with radiotherapy

TT was diagnosed with cervical cancer. She underwent an operation to remove her uterus, ovaries and omentum. She was then referred to an oncologist who recommended both chemotherapy and radiotherapy. TT was not at peace at all about undergoing these invasive treatments but she did not have any other choice. She consulted with the oncologist three times and was assured that everything would be okay and that chemo and radiation were her only option — nothing else. During her second meeting with her oncologist, TT was told to pay RM 13,000 as a deposit for her radiation treatment.

Someone told TT about CA Care. TT and her husband decided to forgo further medical treatments. TT went back to hospital and cancelled her appointment for her radiotherapy. What then happened to the RM 13,000 deposit?  Can TT get a refund? Listen to this video.

 

Gist of what TT and her husband said.

  1. They were angry. Why don’t you want to go for radiotherapy? We are still unprepared!
  2. For your RM 13,000 deposit, we could only refund you RM 4,500. The remaining amount is forfeited.
  3. Why must I lose that much money for just not wanting to go for radiotherapy? We have not started with any treatment yet?
  4. Husband started to take pictures of the person. When I go back to Indonesia, I shall report this to the mass media
  5. Okay, okay be patient. Let me consult.
  6. You have to pay for the oncologist’s fee — RM1,700 and the cancer hospital fee is RM 6,000 plus.
  7. The treatment has not even started yet. Why so expensive? It was only the nurse who made some markings. We did not even see the doctor yet.
  8. TT and her husband was referred to the finance department. They demanded to know: Why must I lose so much money just to cancel the treatment? Your hospital comes to Indonesia for publicity. What I can do is to go home and tell the press about this. Okay, you can have your RM 8000 plus, return me my RM 4,500. It is okay. I am not a poor man. I can come to Penang for treatment means I can afford it.
  9. The hospital called up the cancer hospital and after some discussion said: Hang on for 10 minutes. We have miscalculated.
  10. The actual figure: RM 2,830 to be forfeited to cover the following cost:

HospitalBill Tiu Tjin Tjhin

Question: Do you mean that by just asking a patient to go for radiotherapy the oncologist earned RM1,700 up front?  Even when no treatment was given?

When you saw the oncologist three times for consultation, did you pay him any fee? Yes, of course, we paid him RM 60 for each visit. So, this RM1,700 is over and above his consultation fee.

The hospital earned RM 1,130 for putting marks on my tummy!

Comment

We have nothing much to say about this episode. Just feeling sad. Reflect on the quotations below and perhaps we all can learn something about the present-day “so-called-noble-profession.”

Medicine a business

As I was writing this story, there is this news report … if there is anything we can learn from this story it this: Before you proceed with any treatment, ask these important questions first:

  1. Can the treatment cure me or not?
  2. What are the risks and side effects?
  3. What will that cost me in total — financially and emotionally?

Don’t get caught up with the idea of wanting to only win. Know that you can lose the “battle” badly as well. In this case below: Imagine, daughter had an operation, (did the parents ask — can cure or not? can win?), then she was paralyzed, hospital bills came to more than RM 2 million !!!, parents declared bankrupt (besides the frustration and heartaches). That is not wining at all. So patients, beware.

Penang Adventist Hospital ordered to pay couple RM6 million

FMT Reporters:  July 15, 2015

See more at: http://www.freemalaysiatoday.com/category/nation/2015/07/15/penang-hospital-ordered-to-pay-couple-rm6-million/#sthash.HiQCSfF3.dpuf

The couple were earlier declared bankrupt after they could not pay the hospital RM2.35 million in unsettled medical bills.

GEORGE TOWN: The Penang High Court has ordered the Penang Adventist Hospital (PAH), a private centre, to pay RM6,023,802 in damages to the parents of a 18-year-old paralyzed girl.

The victim’s parents, Kee Boon Suan and his wife Ang Mooi Sim from Nibong Tebal, filed the suit three years ago. The High Court had ordered the couple in 2011 to settle RM2,350,013.85 due to the hospital in unpaid bills. The court order led the couple to be declared bankrupt.

In his verdict on the medical negligence suit here on Tuesday, Judicial Commissioner Nordin Hassan said he found PAH and three doctors had committed medical negligence during a spinal surgery performed on Kee Jun Hui on June 4, 2008.

He said the patient’s parents were also not briefed by the doctors-in-charge on the surgery details.

He said the hospital was responsible for the negligence acts by the doctors-in-charge and nurses, who had breached their duties and duty of care to the patient.

Nordin said PAH orthopedic surgeons Dr. Cheok Chee Yew and Dr. Wong Chung Chek neglected their duties after performing the surgery on Jun Hui.

He said the patient had collapsed several times during the post-surgery recovery period while still under the hospital’s custody.

He said anesthetist Dr. Patrick K. S. Tan neglected his duties and failed to instruct hospital nurses to attend to the collapsed patient after being informed of Jun Hui’s inability to move her limbs.

M.S. Dhillon, Rhina Bhar and K.B. Karthi represented the plaintiffs while Mahindra Singh Gill acted for the hospital.

All three doctors were represented by legal counsel J. A. Yeoh.

Mahindra later told newsmen that PAH would appeal against Nordin’s judgment at the Court of Appeal.

In 2011, PAH originally hauled Kee and Ang to court for failure to settle their medical bill for Jun Hui’s surgery.

In 2012, the couple sued the hospital for medical negligence, as their daughter was paralyzed after the surgery.

The hospital was named the first defendant in the suit followed by Cheok, Patrick Tan and Wong.

 

 

 

 

Follow your heart not your head when it comes to deciding whether you should go for chemo /radiation or not

TT is 56-year-old Indonesia lady. She presented as a easy going, cheerful lady who takes care of her health rather seriously. One late morning we got a phone call from her requesting to see us immediately. Her urgency was rather understandable since she was to start her radiotherapy on Monday. We waited for her to come, even though our centre was about to be closed for the day!

This is her story.

In 2013, TT had her routine pap smear. According to her doctor, there was nothing, except some kind of fungus infection. She was given antibiotics. She was okay for 6 months. A checkup 9 months later showed fungal infection again. She was on antibiotics again and was better. But her problem persisted after that. TT was not happy and wanted to solve her problem. She was referred to another doctor. She was found to be positive for HPV (human papilloma virus — a virus associated with cervical cancer).

TT was referred to an oncologist who recommended surgery. TT came to a private hospital in Penang and  underwent a radical hysterectomy with bilateral salpingo-oophorectomy (that is the removal of the uterus, cervix, fallopian tubes (salpingo), and ovaries (oophor) and  omentectomy. Histopathology indicated squamous cell carcinoma, Stage 2B with pelvic involvement.

The operation cost about RM 25,000.

TT was asked to undergo follow up chemotherapy. She met up with 2 oncologists in the hospital. One oncologist suggested 6 cycles of chemo and 30 times radiation. Another oncologist offered 4 cycles of chemo and 20 times radiation plus 2 times of brachytherapy, also known as internal radiotherapy. Obviously, TT was drawn to the second oncologist because of less severe treatment.

During our conservation, we asked TT: Did you ask the oncologist if he could cure you with that treatment? She replied: 60 to 70 % chance of cure. When she asked the oncologist if there was any other option, the answer was: No, no other way. Must do chemo and radiotherapy as soon as possible. It you don’t do quickly the cancer is going to spread and will be more serious.

TT agreed to undergo the recommended treatments. She was scheduled to start treatment on 15 June but unfortunately the oncologist was on leave and her treatment was brought forward to 23 June 2015.

TT came back to Penang in mid June. However, TT said she was not satisfied and felt heavy in her heart. She was not sure if these treatments would be good for her or not. She was in a dilemma and went to see the oncologist again. The oncologist said these to her:

  • Don’t listen to what other people say.
  • The dosage you are going to get is only small dosage.
  • Your hair don’t drop.

TT had no choice. She paid RM 13,000 as an advanced payment for the radiation treatment. Then she drove to a cancer hospital to have her “marked.” TT said as she drove to that hospital she felt she was led to the “slaughter house.” When the young technicians removed her clothing to make markings on her body she felt she was being “processed” for a death. But again, she had no other choice.

Then she went back to the hospital where she was supposed to undergo chemotherapy. She met someone who told her: Let us sit down and pray together. After the prayer this someone said: Why don’t you go back and see the oncologist again and ask him again if you can skip chemotherapy. But for radiotherapy, you have already paid for it.

For the third time, TT went to see the oncologist and express her reservation about chemotherapy. The oncologist told her again:

  • Don’t worry I guarantee that you would not loose even 1 kg after the treatment.
  • If you have no appetite, I shall give something to help you with that.
  • If your blood count is low I will give injections to help avoid infection.

TT was not convinced with the above assurance because staying in the same boarding house was a patient who was undergoing chemotherapy. He was once a very strong man but with the treatment he lost 16 kg and lost his appetite and could not eat. He told TT, if I know I have to go through this, I would rather die.

The next day (i.e. Thursday) after meeting the oncologist, TT decided to go shopping — a way to take pressure off her. On Friday morning, while she was preparing food in her boarding house one person told her this:

  • Who is sick? You are not sick. Don’t go for chemo. It would be a disaster.
  • Before you proceed further with your treatment, go and see this Chris Teo first and talk to him.

So, that Friday, late morning we got a call from TT requesting to see us urgently.

At CA Care, we spent almost an hour talking to TT and her husband.

Knowing that TT was under so much stress and jittery about what she was going into, it would not be fair or ethical to put more pressure on her. In situation like this, we know patients are generally vulnerable and we don’t intend be become “vultures” taking advantage of such desperate patients.  So basically our advice to TT and her husband were as follows:

  • Relax and take it easy. Go home and talk to your God. It’s Friday and you still have until Monday morning to listen to what God has to say. God will not shout out loud to answer you but I believe He will touch your heart in one way or another. Listen to your heart.
  • We tell everyone who comes to us, God will answer your prayer if you sincerely ask Him for guidance. And if He does not answer you, in time of desperate need like this, then there is no reason why you should worship Him day in and day out.
  • Go home first and don’t make any decision yet, not until you have done your part. Read these two comic books: Knowing The Truth May Save Your Life And Money and The Treacherous Journey. At least before you ask God to help you, you need to help yourself first. Go home and read. At most you need only 1 or 2 hours to understand the messages in these books.
  • Come and see us again if you decide you don’t want to follow up with your oncologist. But if you decide you want to go ahead with your chemo /radiotherapy, then go ahead.
  • Nobody should decide for you what you should do.
  • Follow what your heart says for that is where God speaks to you.
  • For now, there is no need to take any herbs — why the rush? You do not get cancer only yesterday!
  • There is no need to pay any consultation fee. God bless you and guide you.

TT and her husband understood our message and their facial expressions showed they felt very happy indeed. There was no compulsion, no threat, no sales talk! This has always been our way — to help those who need our help as honestly as we know how.

Monday — TT and her husband came back to see us again. The first word that out of her husband was, God has spoken to us. The husband read the books aloud while TT relaxed and listened. The story of Ella inspired her a lot, No chemo you live only three months, with chemo two and a half years! 

Tuesday — We chatted with TT and her husband to know more of what had happened. Watch this video (in Bahasa Indonesia) to get more details.

TT was determined that she was not going for chemotherapy or radiotherapy as recommended by her oncologist. By reading and knowing more she and her husband felt that there is another option — not radiation or chemo. We make it clear to them that this important (life and death) decision has to be TT’s decision. She had made her choice and she should be prepared to enjoy or suffer the consequences of that decision. TT said, I felt very much relief. Peace! The heavy load in my heart has been lifted away.

You have already paid RM 15,000 as a deposit for your radiotherapy. What has happened to that money? That’s another story to follow.

 

 

 

Breast Cancer: Surgery, Chemo, Radiation and Hormonal Therapy Did Not Cure Her. Xeloda made her miserable! Patient, Only You Should Decide What You Want To Do!

Mdm PG was 59 years old when she was diagnosed with breast cancer in June 2009. She immediately underwent a right mastectomy. Histology report indicated:

  • Three lesions of invasive ductal carcinoma.
  • Focal lympho-vascular invasion is seen at the periphery of the 2 small lesions.
  • Resection margins, skin and nipple are not involved by tumour.
  • 4 out of 13 axillary lymph nodes contain metastatic carcinoma, with focal extracapsular spread.
  • pT2N2aMx, Stage 3A

Prognostic factors:

  • Oestrogen receptor –   Moderate reactivity
  • Progesterone receptor –   Moderate reactivity
  • C-erb-B2 –  No reactivity
  • P53 –  Weak reactivity

PG underwent follow up chemotherapy and radiotherapy. She was also on Fermara (for 5 years). At the same time, she started to take herbs. The following is a brief summary of her treatment progress (extracted from the e-mails from her daughter).

May 2013 – almost 4 years after diagnosis

My mum is doing extremely well and I thank God every day for you and His protection over my mum’s life.  My mum recently went for her blood test and check-up again.  The doc said that her bones are getting brittle due to the regular intake of this hormonal pill that she has been taking every day for the past 3 years to keep her condition under control.  It is one of the side effects of this pill.  He is advising her to go through a kind of treatment to strengthen her bones.

I found out the name of the bone strengthener that the doc recommended to my mum.  It’s called “Zometa.”  It is an injection.  The hormonal pills that she has been taking is called ” Femara.”

October 2013

I would like to update you with regards to my mum’s latest blood test.  Her tumor marker is 5.9.  Her usual is 3.5.

January 2014

I would like to give you an update of my mum’s latest tumor marker result.

CEA 7.1  H
CA 125 29.4  H
CA 15.3 24.1  H

Her CEA is out of the normal range and it has escalated from 5.9  last Oct to 7.1 this week.  Both her CA125 and CA15.3 have also gone up even though it is still within the normal range.

The doc is suggesting for mum to go for a pet scan to find out the problem.

My sis and I are personally not so comfortable with her having to go through another cycle of invasive treatment should we find out if there is another growth elsewhere in her body.  We are really hoping that we can help treat mum’s condition with your herbs and diet advise.

February 2014

I’ve attached my mum’s latest report to show it to you.  The doctor said that there is a relapse and the lymph nodes behind her lungs are affected but there is no spreading to her organs which is a good thing.

The doc has changed her oral medication to Tamoxifen because her Fermara  doesn’t work anymore.  She recently went for a jab to protect her bones from turning brittle.

May 2014

Tumor markers on 7 May 2014
CEA 13.5  H
CA 125 64.5  H
CA 15.3 33.5  H

My mum went for her medical appointment yesterday. Result is negative. ..conditions of marker has worsen. Doc said there is a high chance of relapse but he doesn’t know which spot … could be bone, liver or kidney. If my mum does not wish to find out the cause, the doc can’t prescribe proper medication for treatment but he will change her current medication to see if there is any improvement upon her next visit on 19th June.
The doctor explained that the life span of such case if the patient refuses finding and treatment,  usually won’t pull through. The cancer cells will multiply very fast within a year and she will not make it.

Mum’s tumour marker in January this year comparing to now has escalated from  a marker of 7 to 14 now and another two marker have also increased from positive range now all to negative range. She is  physically very well but result has shown otherwise.

Doc suggested mummy to go for PET scan to at least find out what’s the problem so we can seek early treatment since she is still healthy now. And not wait till she turns fragile and can’t proceed with any more treatment.

March 2015

My mum’s cancer marker has apparently gone up quite a bit recently and the doc said that there are tumours growing quite rapidly in her body that explains why the cancer marker is high. The doc asked if my mum has been taking any other medication that is causing interference with his. And he immediately changed my mum’s medication from tamoxifen to Exemestane Aromasin 25mg per tab and he is trying to see if the new medication can help control her tumour  growth.

The nurse warned my mum about all the side effects. My sister advised my mum to stop taking your herbs and see if there is any improvement with the western medication alone because she also believes that there could be that possibility of your herbs clashing with the oncologist’s prescription. I personally am against the idea of my mum stopping your herbs temporarily.

Doc mentioned since last year that cancer has spread to her bones and there are tumours found around her chest outside her lungs and other parts of her body too. He said it was a good thing that it didn’t spread to her organs. I’m a little worried that my mum will eventually feel the adverse side effects of her new medication if she continues with it and not take your herbs. I’m really concerned.. Anyways, no matter what the doctor said and her deteriorating condition, my mum is still in high spirits and her appetite is well and she still goes to church and play mahjong with her friends regularly like a healthy person. Her strong belief in God keeps her in good spirits too.

June 2015

I am wondering if I can bring my mum to come see you on. She has been taking Xeloda for the past one month and the sole of her feet started to turn black since last week.  I am not sure if it is due to Xeloda.  Would love to show you her feet. Blood test also showed that her glucose level is very high.  So I am not sure if she could be diabetic.

Not sure if Xeloda is the culprit? Just read the internet.

Side effects of Xeloda: Hand-Foot Syndrome

Hand-foot syndrome, also called palmar-plantar erythrodysesthesia, is a side effect of some types of chemotherapy.  In mild to moderate hand-foot syndrome, the following symptoms may occur on the palms of the hands and/or the soles of the feet:

  • Redness (similar to a sunburn)
  • Swelling
  • A sensation of tingling or burning
  • Tenderness (sensitive to touch)
  • Tightness of the skin
  • Thick calluses and blisters on the palms and soles

Symptoms of severe hand-foot syndrome include:

  • Cracked, flaking, or peeling skin
  • Blisters, ulcers, or sores on the skin
  • Severe pain
  • Difficulty walking or using the hands

The drugs that may cause hand-foot syndrome include:

  • Axitinib (Inlyta)
  • Cabozantinib (Cometriq)
  • Capecitabine (Xeloda)
  • Cytarabine (Cytosar-U)
  • Docetaxel (Docefrez, Taxotere)
  • Floxuridine (FUDF)
  • Fluorouracil (5-FU, Adrucil)
  • Idarubicin (Idamycin)
  • Liposomal doxorubicin (Doxil)
  • Doxorubicin (Adriamycin)
  • Sunitinib (Sutent)
  • Sorafenib (Nexavar)
  • Pazopanib (Votrient)
  • Paclitaxel (Taxol)
  • Vemurafenib (Zelboraf)
  • Regorafenib (Stivarga)

Not everyone who is treated with these medications develops hand-food syndrome. The severity of hand-foot syndrome can vary from person to person, even among people taking the same medication for the same form of cancer.

Source: http://www.cancer.net/navigating-cancer-care/side-effects/hand-foot-syndrome-or-palmar-plantar-erythrodysesthesia

Lisa Bonchek Adams  was 37 years old when she was diagnosed with breast cancer in 2007. After all the medical treatments in one of the world’s best cancer hospitals (in New York), she died in March 2015.  In her blog, Lisa wrote about her experience with Xeloda:  http://lisabadams.com/2012/11/

… the end of the (chemo) round ended up bringing hand/foot syndrome  from the Xeloda. Hand/foot syndrome is not the same as neuropathy (though it may include some of those symptoms), which many people on chemotherapy experience.Hand/foot syndrome is associated with a few particular drugs, Xeloda is one. The capillaries in your hands and feet leak and/or rupture, causing the chemo to spill into the extremities. This causes them to be extremely red, swollen, painful, sensitive to touch, cracked, peeling, and potentially ulcerating. Numbness and tingling also accompany the condition.For the past month I’ve been trying to keep these effects at bay, but eventually the toxicity builds up. Fine motor activities like tying shoes are hard at the moment, anything that touches/puts pressure on hands and feet. Thankfully I have some shoes with furry insides and cushioning. Socks must be worn 24/7 and slippers at all times. Holding the steering wheel is uncomfortable but doable, thankfully …

Our Meeting and Advice

We got to meet Mdm PG and her daughter in mid-June 2015. GP looked great but she felt miserable inside. She told us that she did not suffer any effects taking Xeloda during the first week. After the second week things started to get worse. She had sores in her mouth, both hands and soles peeled making walking difficult. Then she felt “tired” throughout the day.  She was not able to continue living the “good life” she had earlier on.

The daughter said, “before the Xeloda she was okay. Able to walk about, taking the bus anywhere she wanted to do. She can spend time playing mahjong, etc. Now she can’t do that anymore. She look good and healthy before that. But the doctor said, she was not healthy because the blood test was bad. Now, after the Xeloda her blood result was better, but she was feeling bad.”

PG reminded us that when she was diagnosed with (Stage 3) cancer, the doctor told her that she could last about 3 years if she did all the treatments. Now, it is already 6 years. She believed the herbs did help her. But now living such a miserable life after Xeloda, life has not much meaning anymore.

PG told us that she has 2 daughters – both love her very much and wanted her to live as long as possible. But unfortunately, these  2 daughters  have their own ideas about her treatment. One daughter wanted to strictly the doctor’s treatment while another daughter wanted her to go for herbs and was not happy with all those medical drugs. PG said, they started to “quarrel in front of me and that left me in a limbo — not knowing what to do and who to please!”

Indeed, we have “sensed” this feeling all along when we read the many emails the daughter wrote us. So, this meeting was a good opportunity for us to give our advice frankly and directly. These are what I told PG:

  • You have already understood that nobody on earth can cure cancer. Even with medical treatment the doctor already told you would only last 3 years. Now, it is 6 years. Look at it in a positive way. You have been well blessed. During these years, you did not suffer and have lived a good life (unlike now due to Xeloda). PG responded, I am aware of this. I have been taking your herbs and I felt well. Your herbs helped me a lot.
  • If you can eat, can sleep, can move around and have no pain, please don’t ask for more. Be ever grateful to God for this.
  • No one lives forever, even for those who are supposed to be healthy. One day, I too would return “home.” So let us not fear death because no one can escape this reality. I have read many books of people who have “gone” and saw “heaven” and came back to earth. They said, Up There, it is so beautiful – calm and peaceful, free from all miseries. So why are we so afraid to go there?  Don’t be afraid.
  • We fully understand the dilemma you are in — trying to please both daughters, but each wanting you to take a different path. I am afraid I cannot decide for you and tell you what to do. You will have to make your own decision. Let each of your daughter know what is important for you in life. Tell them how you feel and they must respect your wishes.
  • If you feel that you want to endure all the suffering undergoing more medical treatments, go ahead and tell your daughters you want to do exactly that. If you cannot endure these sufferings and want to just go on herbs, say that out clearly to your daughters. Your daughters should respect and honour your wishes.
  • You need to tell your daughters that what you want to do, is entirely your decision and they should not feel guilty or responsible for whatever the outcome. In this way, there would be “peace.”
  • The last thing — which is a real disaster — to have family members quarrelling among themselves.

23 June 2015

Thank you so much for taking time out to see my mum and I the other night.We are eternally grateful. Words cannot describe how grateful I am. I can never repay your kindness. My sis will still be bringing my mum to see the oncologist the next few days. Hopefully she will make a firm decision and not be swayed by their persuasion. She is recovering well, Dr.

============================================

5 July 2015

Hi Dr Chris,

Guess what?  My mum has decided not to continue with the Chemo treatment anymore.  She told my family and her friends that she will depend solely on your herbs to help stabilise her condition.  Praise The Lord!  She is very diligent in taking your herbs everyday now.

===============================================

 

 

 

Surgery, Radiation and Chemo Did Not Cure Malignant Peripheral Nerve Sheath Tumour (Neurofibrosarcoma)

Alex (not real name) is 23 years old. He was born with a certain nerve disorder. His right arm had many benign lumps. When he was 11 years old, his right palm started to swell. He could not write with his right hand anymore.

Composite-1-Hand

Alex underwent a debulking surgery — the lumps were removed. He was told that it was not cancerous. Later in September 2013, there was a swelling in his right arm pit. The mass grew bigger and became painful.

Composite-2-Armpit

A CT scan in January 2014 indicated:

  • A large axillary mass — malignancy needs to be considered. The right subclavian, axillary and brachial arteries pass above and lateral to this mass.
  • No evidence of lung or mediastinal metastasis.

A true-cut biopsy was done and indicated:

  • High grade spindle cell sarcoma favouring malignant peripheral nerve sheath tumour.

Alex underwent an operation to remove this entire right upper limb. Below is the surgeon’s note indicating the extensiveness of the surgery.

Alaister Lim scan

Histopathology confirmed a malignant peripheral nerve sheath tumour (T2bNoMo), Stage 3.

After the surgery Alex received 32 times of radiation treatment. There was no other medication.

Barely six months later, August 2014, the cancer spread to his lungs. Alex underwent 3 cycles of chemotherapy. The treatment was not effective. Alex again had more chemo — 12 cycles in all. The drugs used were Gemzar and Cisplatin.

lung--600

In February 2015, follow up examination showed:

  • Mixed response of the lung nodules. Some nodules are smaller but some previously small ones are larger.
  • A new nodule seen in the left upper lobe adjacent to the left 4th rib.

Chemotherapy did not help control his lung metastasis. Alex decided to give up medical treatment and came to seek our help.

Comment

It is indeed a sad story. As we talked to Alex, we had full admiration for his determined spirit. No, he did not sulk in spite of the fact that he had gone very rough patches since he was born. When he was not able to write with his right hand, he learned to write with his left. He attended university in Australia. When asked if there was anyone taking care of him there, he replied, No, I took care of myself. When medical treatment failed him, he said he wanted to try another way. There was no sign of bitterness in his voice. And he was determined to live.

Internet information about malignant peripheral nerve sheath tumour

Malignant peripheral nerve sheath tumors — MPNSTs (also called neurofibrosarcomas):

  • are a type of cancer that occurs in the protective lining of the nerves that extend from the spinal cord into the body.
  • can occur anywhere in the body, but most often occur in the deep tissue of the arms, legs and trunk.
  • tend to cause pain and weakness in the affected area and may also cause a growing lump or mass.
  • occur more frequently in people with an inherited condition that causes nerve tumors (neurofibromatosis) and in people who have undergone radiation therapy for cancer.

http://www.mayoclinic.org/diseases-conditions/malignant-peripheral-nerve-sheath-tumors/basics/definition/con-20035841

  • are aggressive, locally invasive soft tissue sarcomas, typically presenting as a rapidly growing and painful lump.
  • these tumours account for up to 10% of all soft tissue sarcomas.
  • a common cause of nerve sheath tumors is neurofibromatosis type 1 (NF1).
  • Evans et al. estimate the lifetime risk of developing MPNSTs in the population of patients with NF1 to be as high as 13%.

http://www.hindawi.com/journals/sarcoma/2009/756395/

  • a very rare tumor, with an incidence of 1 per 1,00,000 population.
  • these tumors may arise spontaneously in adult patients, although 5% to 42% of MPNST have an association with multiple neurofibromatosis Type-I

http://www.ncbi.nlm.nih.gov/pmc/articles/PMC1560134/

  • are rare sarcomas with one of the poorest prognoses of all the soft tissue sarcomas.
  • information about adjuvant treatment is scarce.

http://www.ncbi.nlm.nih.gov/pubmed/21303750

  • NF1 is an autosomal dominant condition with a birth incidence of about 1 in 2500 and a prevalence of 1 in 4000.

http://jmg.bmj.com/content/39/5/311.full

  • A peripheral nerve sheath tumor (PNST) is a neoplasm arising from a peripheral nerve.
  • All ages and both sexes may be affected by PNSTs.
  • Sporadic MPNSTs are most common between 40 and 50 years of age, while those occurring in the setting of NF1 are diagnosed some 10 years earlier.

http://atlasgeneticsoncology.org/Tumors/PeriphNervSheatID5094.html

  • Peripheral nerve tumors are uncommon and many neurologists will see only a handful in their careers, unless they have a practice enriched in patients with neurofibromatosis.

http://www.uptodate.com/contents/peripheral-nerve-tumors

  • The role of chemotherapy in advanced malignant peripheral nerve sheath tumor (MPNST) is unclear.

http://annonc.oxfordjournals.org/content/early/2010/07/23/annonc.mdq338.full

  • MPNSTs are highly aggressive in NF1. Conventional chemotherapy does not seem to reduce mortality, and its role must be questioned.

http://www.ojrd.com/content/8/1/127

  • The recommended treatment of this type of sarcoma is the surgical extirpation including wide margins and complementary radiotherapy.However, the prognosis is poor. http://www.sciencedirect.com/science/article/pii/S174194090500004X
  • Malignant peripheral nerve sheath tumors are rare soft tissue sarcomas. They are considered to carry a poor prognosis with current therapeutic approaches.

http://www.casesjournal.com/content/2/1/7612

  • Malignant peripheral nerve sheath tumors (MPNST) are uncommon, biologically aggressive soft tissue sarcomas of neural origin that pose tremendous challenges to effective therapy.
  • Prognosis is generally poor, with high rates of relapse following multimodality therapy in early disease, low response rates to cytotoxic chemotherapy in advanced disease, and propensity for rapid disease progression and high mortality.
  • MPNSTs comprise ∼2% of all sarcomas, a small fraction of a group of cancers that affect 5 people per million per year.
  • Whereas MPNST may arise at any age with no gender predilection, it tends to present earlier in life than most other complex sarcomas.
  • Half of MPNSTs are associated with neurofibromatosis type 1 (NF1), the autosomal dominant condition that, affecting 1 in 3000 live births, represents the most common human cancer genetic predisposition syndrome.
  • The lifetime risk of developing MPNST in a patient with NF1 syndrome is 8%–13%.
  • In general, MPNST is known to have high metastatic potential and poor prognosis.
  • As is the case with all soft tissue sarcomas, complete surgical extirpation with clear margins is the treatment of choice.
  • In the case with most large (>5 cm) high-grade limb sarcomas, adjuvant radiation is advocated to reduce local recurrence. The risk-benefit profile of adjuvant radiation in patients with NF1 must be carefully discussed with all patients in view of the heightened risk of radiation-induced sarcomas.
  • There are no randomized data examining adjuvant chemotherapy specifically in MPNST.

http://theoncologist.alphamedpress.org/content/19/2/193.full

 

 

 

2.3 cm Malignant Breast Lump: Surgery, Chemo and Radiation — Disaster

This is a tragic story which I find it real hard to “understand.” WF is 32 years old. In early 2014, WF felt a lump in her left breast. At that time she was pregnant and was about to deliver her baby. So nothing was done until after the birth of her baby.

On 14 March 2014, WF had an ultrasound of her breasts. “There is a 17 mm x 9.6 mm lesion at 2 o’clock position of left breast, 4 cm from the nipple.” A FNAC (Fine needle aspiration cytology) done in a Taiping private hospital showed “benign breast lesion.”

WF did another FNAC in April 2014. This time it was done in a private hospital in Penang. Unfortunately, the result showed “atypical cells … Highly suspicious of an infiltrating duct carcinoma.”

A trucut biopsy was done on 12 April 2014 confirmed an invasive ductal carcinoma.

WF consulted another doctor in another private hospital.

25 April 2014Ultrasound of Both Breasts Irregular hypoechoic lesion between 1-2 o’clock. It measures 23 x 18 x 12 mm. Some microcalcifications seen. In keeping with a neoplasic lesion.

Based on the above, WF had surgery. A wide local excision of the left breast mass was done (lumpectomy). The tumour removed was 23 mm in size. Two of the axillary lymph nodes were involved. All resection margins were free of malignancy. Immunohistochemical study indicated a triple negative tumour: ER negative, PR negative and c-erb-B2 negative. It was a Stage 2B cancer.

9 May 2014Ultrasound of Thyroid Multiple tiny nodules seen on both thyroid lobes, likely benign.

WF subsequently had 6 cycles of chemotherapy. Neither she nor her husband knew what drugs were used. Anyway, each cycle cost RM 6,000. WF lost her hair, felt tired and nauseous during her treatment. Chemotherapy was completed by October 2014. Then WF received 20 sessions of radiation and this was completed in November 2014.

About a month later, in late December 2014, the cancer spread to WF’s brain. There were 3 lesions in her brain. WF received 2 sessions of radiation to her head in January 2015.

Two months later, March 2015, CT scan showed the cancer had spread to her lungs, bone and liver.

WF was again asked to undergo 4 cycles of chemotherapy. WF did one cycle after which she and her husband came to see us and decided not to proceed with the treatment.

Chris: Did you ever ask the doctor if surgery, chemo and radiation were going to cure your cancer?

Husband: The doctors said there is a  80 percent chance of cure?

Chris: Did you ever ask what happen to the remaining 20 percent?

No reply.

Study the numbers of her blood tests.

Date CEA CA 15.3 (normal 0-32)
5 June 2014 Less 0.5 12.3
18 Nov 2014 0.4 9.7
10 Feb 2015 Less 0.5 13.2
10 March 2015 n/a 20.3
24 March 2015 n/a 37.0
7 April 2015 n/a 96.1
22 April 2015 1.4 142.6

In March 2015, WF was started on chemotherapy again because her CA 15.3 started to rise, indicating that the earlier chemotherapy had failed. Therefore, the answer is more and more chemo?

The following are results of her CT scan and MRI.

  1. Before chemotherapy
9 May 2014CT scan of Brain, Neck, Chest, Abdomen and Pelvis Recent wide local excision of left breast carcinoma and left axillary clearance.Brain: There is no shift in the midline structures of the brain. No mass or abnormal enhancement. No extracerebral fluid collection.Lymph nodes: There are no enlarged supraclavicular, axillary, internal mammary, mediastinal or pulmonary hilar nodes.Lung: There is no pulmonary nodule or other significant pulmnary abnormality.

Liver:  Liver parenchymal density is normal. Two small hypodense lesions in segment 8, both measuring 4 mm and another two hypodense lesion in segment 7, both measuring 3 mm. Likely represent small cysts.

Bone: no significant lytic or sclerotic bone lesion seen.

 

  1. After chemotherapy
9 January 2015MRI of brain Bilateral cerebral metastases.Left frontal cortex – 21 x 16 x 15 mm well defined multilobulated massLeft basal ganglia – 9 x 8 x 9 mm.Occipitotemporal cortex – 8 x 8 6 mm.

Lesions also associated with perilesional oedema.

10 January 2015CT scan Neck, Thorax and Pelvis There is no evidence of local recurrence.Interval development of a few small lung nodules within the right lower and left upper and lower lobes. They are too small to characterise but may represent secondary deposits.Apical region of left upper lobe – 3 mm noduleRight lower lobe – 3 mm nodule

Basal segment of left lower lobe – 4 mm nodule.

10 February 2015MRI of brain Partial regression of bilateral cerebral metastases.Left frontal cortical lesion – 11 x 8 x 10 mmLeft basal ganglia – 7 x 6 x 5 mmRight occipitotemporal cortex – 6 x 5 x 4 mm

There is no associated perilesional oedema.

No new nodule seen.

24 February 2015MRI of brain Cerebral metastases increased in size.Left frontal cortical lesion – 17 x 11 x 15 mmLeft basal ganglia – 8 mmRight occipitotemporal cortex – 9 mm

Perilesional oedema has also increased.

24 March 2015MRI of brain Cerebral metastases minimally increased in size. Reduced perilesional oedema. There are likely post radiation changes.Left frontal cortical lesion – 16 x 13 x 16 mmLeft basal ganglia – 8.3 x 8.0 mmRight occipitotemporal cortex – 9 x 9 mm
7 April 2015CT scan Neck, Thorax and Pelvis Increased size of pulmonary metastases. Interval development of hepatic and skeletal metastases. And mild retroperitoneal lymphadenopathy.Lung: Apical region of left upper lobe – 4 mm nodule with central cavitation.Right lower lobe – 4 – 5 mm noduleBasal segment of left lower lobe – 4 – 5 mm nodule.

Liver:  Numerous small hypodense lesions inn both lobes of liver. Larger lesions measuring up to 15 mm.

Lymph nodes: Multiple mildly enlarge para-aortic lymph nodes – measuring up to 12 mm. Smaller lymph nodes are present along the aortocaval space.

Bone: There is an irregular poorly defined lesion in the manubrium sterni eroding the bony cortex. There is also suggestion of similar lesions in the lower cervical spine.

We need to acknowledge that the oncologist did a “good” job of taking the base line of WF’s health before chemo and radiation were started. Yes, before the treatments, WF’s brain, lymph nodes, lung, liver and bone were all clear! Meaning at that point in time, her cancer did not spread anywhere! So the doctor confidently told WF and her husband that there was a 80 chance of cure!

Then chemotherapy and radiotherapy were started.

Barely a month after treatments were completed, problems started to show up.

First, the brain. There were 3 metastatic spots in the brain. There was no such tumour before right?

Radiation was given to the brain.  The tumours shrunk a bit —  by just a bit — and then started to grow again.

By end of March 2015,  WF’s CEA started to increase telling us that chemotherapy / radiation had failed.

Then, more chemo was suggested. WF had one cycle of this second-round chemo.

In April 2015, CT showed the cancer had spread to her lung, liver, lymph nodes and bone, besides the brain.

1-Mouth-sores

Sores causing difficulties to eat

2 Compo-Brain-Lng

Brain and lung

3 Compo-Liver

Liver

Ask these questions.

  1. April 2014 she was diagnosed with a 2 cm malignant breast lump. A year later, April 2015, the cancer had spread to her brain, lung, liver, lymph nodes and bone. She did surgery, chemo and radiotherapy as dictated by the doctors. How could this be? Why do the treatments when the cancer cannot be contained or cured?
  2. Dare you ask, what if WF were to do nothing? Just leave the lump as it is. Would she end up the way she is now – with more cancer all over in the body?
  3. Is WF’s case unique or exceptional? There are many more tragic stories like this. Here is another example, click this link: Does chemotherapy make sense?
  4. When asked if the treatment would cure her cancer, WF was told, There is a 80 chance of cure. Do you believe this prognosis? Listen to another story: Breast Cancer: Do this chemo – 100 percent cure! You believe that?
  5. In WF’s case, what made the cancer so aggressive? Do you dare ask this question? Read this: Chemotherapy SPREADS and MAKES cancer more AGGRESSIVE,

Is The Present Day Cancer Treatment Based on Faulty and Inadequate Science?

  1. Some people may wish to say this is a triple negative cancer. So it is an aggressive type! Some people may say it is just your luck! My response: Many patients live a healthy life by making a CORRECT choice! It is your life.

Paula Black was given 3 to 6 months to live after being diagnosed with breast cancer. She declined chemotherapy!  Read more https://cancercaremalaysia.com/2015/01/15/advanced-breast-cancer-part-1-you-need-not-have-to-die/ and https://cancercaremalaysia.com/2015/01/19/advanced-breast-cancer-part-2-to-die-or-to-heal-is-your-choice/

Jane had a 1.2 cm lump in her right breast. Like WF above, she did a lumpectomy. Her tumour was a double negative type — negative for ER, negative PR but strongly positive for c-erbB-2. P53 was strongly over-expressed.

Jane was told to undergo chemotherapy. The package of chemotherapy + Herceptin would cost RM 120,000 while radiotherapy cost an additional RM 35,000. Jane was told that the benefit of chemotherapy and radiotherapy would be 16 percent – i.e. 16 out of 100 women are alive and without cancer because of the combined therapy.

To Jane the benefits of chemo and radiation did not make sense. She promptly refused further medical treatments and came to seek our help on 10 January 2010.

Jane told us that she refused chemotherapy because she did not want to lose her hair. In addition, her mother-in-law had lymphoma and died after two cycles of chemotherapy.

It is now 2015 (five years plus),  Jane is still doing fine. Yes, your life is in your hands – to stay healthy or to die is your choice! More about Jane: https://cancercaremalaysia.com/2013/06/10/breast-cancer-does-chemotherapy-and-radiotherapy-make-sense/

 

 

 

Breast Cancer: Surgery, Chemo, Radiation and Tamoxifen Did Not Cure Them

Three ladies, one after another, came to seek our help in early March 2015. All of them had breast cancer. They had undergone medical treatments. And now they needed help because modern medicine did not cure them. By writing their stories, perhaps others may learn some lessons?

Patient No: 1.  Mary (not real name) is 52 years old. She is a medical doctor.  Her hair was thick, straight black. Actually it was a wig.

In September 2011 (47 years old then) Mary was diagnosed with breast cancer — an invasive ductal carcinoma. The tumour was 3.5 cm in size. She underwent a mastectomy. Eight of 12 lymph nodes were involved.  It was a triple negative (negative for estrogen, progesterone and Her2) cancer, Stage 3A (pT2N2Mo).

Mary had 8 cycles of chemotherapy using Doxorubicin and Paxus (Paclitaxel). In addition, she received 25 sessions of radiotherapy.  May was well.

Two years later, December 2013, the cancer recurred. There were many nodules, 0.3 to 8 cm in diameter, in the previously cancerous breast. There was a 1.5 cm node at the arm pit.

Mary again had 6 cycles of chemotherapy using Taxol and Gamzar. Unfortunately this second chemo treatment did not cure her! The cancer came back again.

Mary received another 6 cycles of chemotherapy using cisplatin. The treatment was completed sometime in February 2015.

In March, came to see us with one of our patients (who had refused chemotherapy for her cancer and now doing well).

Patient No: 2. The next day, Sally,  a 59-year-old lady, came to seek our help.  She had left breast cancer 6 years ago and had a mastectomy. She declined chemotherapy and radiotherapy. She took Tamoxifen for 5 years. Actually, Sally came to see us earlier and was started on the herbs for a while and then “disappeared”.

Sally said she saw her doctor every six months for routine checkup. Everything was okay, until 11 March 2015 when a CT scan showed the cancer had recurred.

  1. There was an enhancing left axillary lymphadenopathy seen measuring 10.8 x 18.9 x 13.4 cm.
  2. There were several ill-defined hypodense lesions seen in the left lobe of the liver measuring about 10 mm.

Blood test on 10 March 2015 indicated CEA = 14.8 (H) and CA 15.3 = 173.6 (H).

The doctor asked Sally to go for chemotherapy to be followed by removal of the tumour in her liver by surgery.

Sally declined further medical treatment and came to ask for herbs.

Patient No:3.  The next day, 44-year-old Amy (not real name) came to our centre. She did not look good at all.

Sometime in March 2011, Amy had a small lump in her left breast. A mastectomy was done. It was a Stage 2 breast cancer. This was followed by 6 cycles of chemotherapy and 30 sessions of radiotherapy. Amy took Tamoxifen for 2 years.

Barely two years later, December 2012, the cancer spread to her liver. Amy had 6 cycles of chemotherapy again. In addition, she received 15 radiation treatments to her liver.

Amy took 10 cycles of oral Xeloda (one cycle means 2 weeks of Xeloda with one week rest). Her CA 15.3 which was 4,000 plus started to decline to 900. But the cancer did not go away.

A CT scan in May 2014 showed more nodules in her liver (pictures below). The cancer had also spread to her bone. Amy received bonefos injection for her bone metastasis.

In January 2015, Amy developed ascites (fluid in the abdomen). She went for tapping twice to remove the fluid – once in January and once in March. On 28 February 2015, her CA 15.3 was at 958.8. The day before we met Amy, we received this e-mail.

Good afternoon Dr Chris,
Saya  dari Jakarta. Adik saya didiagnosa sakit kanker hati sekunder. Perutnya membesar setiap hari,isinya cairan. Dan dia merasakan sangat nyeri di dada. Malam ini kami terbang ke Penang. Apakah masih ada kesempatan untuk konsultasi dengan anda hari Jumat? We are really need your help. 

(I am from Jakarta. My sister was diagnosed with metastatic liver cancer.  Everyday her stomach swelled and is filled with fluid. She had pains in her chest. Tonight we are flying to Penang. Do I have a chance to consult with you on Friday (tomorrow)? We really need your help.)

Comments

If the 3 stories above are not good enough, let me share with you 3 more stories to make it half a dozen!

Patient No 4. About the same time I was writing this article, I received this e-mail below.

Hello Dr Chris,

…. I would like to update you and seek and advise from you with regards to my mum’s health report recently.

My mum’s cancer marker has apparently gone up quite a bit recently and the doc said that there are tumours growing quite rapidly in her body. That explains why the cancer marker is high.

The doc asked if my mum has been taking any other medication that is causing interference with his. And he immediately changed my mum’s medication from tamoxifen to Exemestane Aromasin 25mg per tab and he is trying to see if the new medication can help control her tumour growth.

How is this new medication different from tamoxifen? The nurse warned my mum about all the side effects. My sis advised my mum to stop taking your herbs and see if there is any improvement with the western medication alone cos she also believes that there could be that possibility of your herbs clashing with the oncologist’s prescription.

I personally is against the idea of my mum stopping your herbs temporarily.

Doc mentioned since last year that cancer has spread to her bones and there are tumours found around her chest outside her lungs and other parts of her body too. He said it was a good thing that it didn’t spread to her organs.

I’m a little worried that my mum will eventually feel the adverse side effects of her new medication if she continues with it and not take your herbs. I’m really concerned.

Anyways, no matter what the doctor said and her deteriorating condition, my mum is still in high spirits and her appetite is well and she still goes to church and play mahjong with her friends regularly like a healthy person. Her strong belief in God keeps her in good spirits too. Do you think it’s time to bring her to come see you soon and it’s time to re-evaluate her herbs?  God bless.

(Note: This patient had breast cancer. She underwent a mastectomy followed by chemotherapy and radiotherapy. In addition she took Tamoxifen. To play safe, she also took our herbs. Both medical treatments and herbs did not physically  cure her … her cancer spread. However, “emotionally” she seemed alright and could live a normal life).

Patient No 5. Earlier we have posted this story in our website, Breast Cancer: Do this chemo – 100 percent cure! You believe that?  June (not real name), a 32-year-old, was diagnosed with breast cancer and had a mastectomy. She was asked to go for chemotherapy: 4 cycles of andriamycin + cyclophosphamide, 12 cycles of Taxol, one year of Herception plus taking oral Tamoxifen for 10 years!

The total costs of the above treatment (excluding Tamoxifen) is approximately SGD 120,000, which is about RM 300,000.

The oncologist told  June that if she did not do this recommended treatment, her cancer will recur within the next 2 to 3 years. The cancer will be all over the body and she will die! But if June were to undergo chemotherapy as suggested by the oncologist she will achieve a 100 percent cure!

We asked June if she believed what her oncologist told her. June replied, “No, because I have done my homework. I know that cancer cannot be cured.”

We leave it to you to draw your own conclusion about “professional experts”. Are they after your money or your cancer? Do they tell you the whole truth or do they behave like what Dr. Mendelsohn had warned us:

5-b--Doc-like-car-salesman-

Patient No 6. This story is also posted in our website, Breast Cancer: When a so-called “cure” was not a cure  In this case, due to a thumb-sized lump, MT had a mastectomy followed by 6 cycles of chemotherapy and 30 radiation treatments. She took Tamoxifen for 5 years.

MT was told by her doctor that her breast cancer was at an early stage and that she had a 90 percent chance of complete cure with the treatments that she had undergone. MT believed her doctor and did exactly as what was told. Each year she came back to her doctor for routine checkup. At every visit she was told that she was fine.

After 5 years, MT was told to stop Tamoxifen because she was already cured.

But barely a year later, in April 2011, MT started to have pains in her tail bone and shoulder blade. Then her legs started to hurt as well. She became breathless and was unable to walk far. MT returned to her doctor and was told that  her cancer had recurred in her bone and lung.

MT asked her doctor why the cancer recurred. The doctor’s answer,  “ I do not know why. But don’t blame yourself. It is your fate.  Also the recurrence has nothing to do with what you eat. It is just your fate.”

The recurrence was just due to her luck? It is like saying “Up-There Someone” was running a casino. The destiny of mankind down-here was determined by the rolling of a dice. It seems  more acceptable for the educated to promote this theory than admitting that “scientific medicine” had failed her.

But here are some rare, honest but blunt opinions which you may wish to ponder on: 2 Beating-the-dog

24 Same-treatment-diferent results 25 Some-body-must-be-iying

1 Breast-Treatmen not effective

4 Sellman-Tamoxifen-danger 5 Sellman-Tamoxifen-initiate-

Let us end by reflecting on what one of the world’s greatest minds has got to say:

1 Insanity-by-Einstein

The Story of Mom’s Lung-Brain-Bone Cancer

This is the story of a 66-year-old lady who had lung cancer. The cancer has spread to her lymph nodes, bones and brain.

This is what her daughter wrote about her mom.

Mom who cooked and ate meat, dairy, eggs, honey, garlic and onion as part of her diet since young, became a vegan since 3 years ago when she started to follow Master Ching Hai’s teachings.

Mom had high blood pressure for about a decade now. She used to take medicine to control her blood pressure but has since stopped taking it about 6 months now. Mom is a non-smoker.

Since June 2013, mom started to complain about being tired and she slept a lot. She felt no mood or lazy to do housework. We thought all these were due to aging. She also tended to forget things, like misplacing items.

Sometime in early August 2013, she lost her balance and fell. Mom declined to see the doctor.

Mom started to look very tired. She also had a hard time formulated her speech and stammered. She started to take vitamin B12 pills in the hope of improving her condition. We all thought she might suffer from vitamin B12 deficiency being a vegan. Mom wanted to monitor for 2 weeks before seeing a doctor.

Walking extremely slow, one step at a time, and very tired, we brought mom to see a GP. The doctor advised blood test together with a CT scan at a hospital. The doctor suspected a minor stroke.

Mom Had Cancer

We brought mom to a university hospital. Her CEA was more than 1,000. She was referred to an oncologist who suspected mom had cancer. He prescribed mom Dexamathasone, to reduce swelling of the brain and Omezole – to take care of the side effects of the steroid medication.

CT/PET scan on 3 September 2013, confirmed that mom has Stage 4 lung cancer. The cancer had spread to her brain, mediastinal nodes and bones. The next day, she did a biopsy. The tissue was positive to EGFR.

Radiotherapy and Iressa

From 11 to 23 September 2013, mom had 8 session of radiation treatment to her brain. From 21 September to 11  November 2013 (about 7 weeks) she took Iressa.

Deceptive Positive Results

A second  MRI and PET scan was done on 13 November 2013. The results were great! Mom’s brain metastases reduced tremendously. Also the lesions in her lungs shrunk.

However, liver function test taken on 11 November 2013, indicated liver damage.

Mom had to stop Iressa.

Another blood test on 9 December (i.e. 3 weeks after stopping Iressa), indicated liver got better. Mom started to take Iressa again. This time, a table on alternate days. But in January 2014, mom started to take Iressa daily.

More of Deceptive Positive Results

During the Chinese New Year (February 2014) mom started to lose her voice. A third MRI/PET/CT scan was done on done. The results were:

  • The oncologist was pleased with the MRI result. The oncologist mentioned that in September 2013 MRI there were about 50 lesions in her pain. In this February 2014 MRI showed less than 10 lesions. The oncologist said when he first saw mom’s MRI, he did not think mom was going to make it.
  • However, the PET scan results showed a different story. In the September 2013 PET scan it was a nice result with much reduced lesions (almost not seen). But for this February 2014 PET scan results, some lesions had recurred near her right neck (near vocal chords — therefore loss of voice?).
  • The oncologist mentioned that he was very worried, “it looks like the cancer cells got smarter and tried to overcome the Iressa.” Mom was asked to continue with her Iressa.
  • The oncologist, however, suggested a few options:

1. Start chemotherapy on day 1 and day 8, then rest for 3 weeks. In addition, mom take another oral drug, Tarceva or Afatinib (which was recently approved and is now available for free). We told the oncologist that we preferred not to do chemotherapy. As such the oncologists suggested the following options.

2. Start radiotherapy to the body in addition to taking another type of oral drug similar to Iressa.

3. Take only Tarceva or Afatinib without chemotherapy. But the oncologist said this was not a viable option.

  • For  mom’s voice issue, we brought mom to see an ENT specialist. Endoscopy to the nose/throat showed the left vocal cord was not moving (paralysed?) but the right one was doing fine. The ENT specialist said the problem could be due to the cancer. There is no medicine that he could prescribe for mom.

March 2014 — Iressa failed, switched to Tarceva 

  • Blood test on 5 March 2014, showed the tumor markers were slightly higher. The oncologist said he was worried that the cancer cells were growing and spreading. He suggested chemotherapy. He said he would give mom a lower dosage, perhaps 80 percent strength instead of the normal 100 percent strength. However there will be side effects such as low white blood cell count but the doctor said this can be countered by taking medicines. He also mentioned that patients can get better after going through the “weak” phase.
  • As we were reluctant to undergo chemo, the oncologist suggested radiation treatment to the neck and the left side of the lung. This treatment cost RM 9,100. Mom received 10 sessions of radiation.
  • The oncologist switched mom to Tarceva since Iressa doesn’t seem to be effective anymore. Tarceva cost RM 8,000 per month while Iressa cost RM 7,000 per month.
  • On 24 March 2014, mom received her fist xGeva (denosumab)  injection to protect her bones. This cost RM1,600 per shot and mom is supposed to have it every month.
  • 28 March 2014, mom started to lose her appetite.

April 2014 — 9 months Later 

  • Blood test on 7 April 2014 showed mom’s calcium level had gone down a little due the previous xGeva injection. She was prescribed medicine to bring up mom’s calcium level.
  • Mom was having frequent bowel movements. The oncologist said this might be due to the side effect of Tarceva, which causes minor diarrhoea.
  • Mom still had coughs and still choked when drinking fluid. The throat was dry and her voice hoarse. Her appetite was poor.
  • At this point, we discussed chemotherapy with the oncologist.

1. What after one session, we decided to stop the treatment. Any side effect / problem?

Oncologist: Of course we can stop at anytime, no problem.

2. How does the treatment work in terms of session, timing and rest period?

Oncologist: Do chemo on day 1 and 8 and this is considered as one cycle. Do 3 cycles first.

3. Drugs to use?

Oncologist: Two options. One, Carboplatin + Alimta which is more expensive, costing around RM 8,000 per cycle. Two, Carboplatin + Gemcitabine which cost about RM 1,000 per cycle. This option is much easier on patients but may be less effective (?). It it would be Carboplatin + Gemcintabine, the oncologist suggested that mom go for 4 to 6 cycles.

May 2014 — Tarceva Failed 

  • 5 May 2014, we told the oncologist about mom’s side effects. The oncologist recommended to stop Tarceva for 4 days and we were asked to come and see him again after that. He prescribed medications for insomnia, itchiness, and inflammation.
  • 9 May 2014, after 4 days not taking Tarceva, mom got much better. Acnes on scalp were drying up and there were not more rashes. But there seemed to be a new growth at mom’s neck. Oncologist asked mom to take Tarceva again but on alternate day.
  • MRI on 19 May 2014, showed disease progression. There were about 7 tumours.
  • PET/CT scan on 21 May 2014, showed disease progression:

1. Lymph node at the neck has enlarged.

2. Few new lesions at T9. 

The Final War Plan 

The oncologist laid out the following options.

  1. Tackle the brain first – and fast! He recommended that mom go for Cyberknife and then followed up with chemotherapy. After that mom continue taking the oral drug again after 4 months. If mom’s backache persist then we need to give radiation to that location.
  2. The oncologist also explained that giving mom whole brain radiation again would cause more side effects (e.g. sleepy, headaches) and only low radiation dosage could be give. If mom’s goes for Cyberknife she shouldn’t have such side effects because Cyberknife is more targeted.
  3. Cyberknife cost RM 67,000.
  4. Another option is to go for chemotherapy first. Do MRI after 1 or 2 months and if the tumour is shown to be growing very fast then go for Cyberknife.
  5. The oncologist assured us the mom would be able to tolerate chemotherapy. The only thing we need to really watch out is the white blood cell count.
  6. Mom will have to continue with her monthly xGeva injection to strengthen her bone.

One Final but Most Important Question

Can all these treatment cure mom?

The answer is: No cure. There is no guarantee that the cancer will not recur even after Cyberknife. 

CA Care – the Last Resort, 23 May 2014 

Patient came to seek our help and was prescribed herbs. On 8 June 2014, patient and her husband and daughter came to CA Care Penang and underwent the e-Therapy for her pains.

Comments

As I was about to upload this story, I received an email from Singapore. This is what it says.

Dear Mr Teo, 

My husband, age 61 was diagnosed with lung cancer 2 years ago. He was on Iressa since last year September 2013. Two months ago the oncology asked him to start chemo as he has developed tightness in the chest. We decline. So we just have to carry on with Iressa. Two weeks ago he developed bloatedness  in the stomach with  wind and fluid. Again oncologist scheduled him for chemo this coming Monday. Currently he feels  very fatigue and is too weak to go for chemo cause he lose a lot a weight. 

We are not in favour of chemo because in year 2012 he had gone through that already and we find it is too damaging to the lung and show no result because 10 months later lung had fluid. 

It is indeed sad.

1 Insanity-by-Einstein

Don’t those who are supposed to know, know that Iressa does not cure any cancer? And chemo does not cure lung cancer either? Click this link: https://cancercaremalaysia.com/category/lung-cancer/ and you will see that I have written no less than 70 stories about lung cancer and chemotherapy / Iressa / Tarceva, etc.

Can we not learn something from these stories? 

More stories about this patient:

Lung-Bone-Brain Cancer: Pain Gone After 4 Days of e-Therapy

Pain Recurred After Eating Rojak

Given honest answers … about surgery, chemotherapy or radiotherapy … the chances are high that the patients will “run away” from them!

YB is a 52-year old lady. About three and a half years ago she was diagnosed with breast cancer and had a mastectomy in Kuala Lumpur. It was a triple negative tumour. YB went to Singapore for follow up treatments. She received 6 cycles of chemo using FEC. Then she had 12 more cycles of chemo using Taxol and Carboplatin. No radiation was indicated.

When YB started chemo, she also took our herbs and took care of her diet. The side effects she suffered was much less compared to others. She was alright after the chemo treatment.

Unfortunately things did not turn out right. YB took a trip home to Kuala Lumpur (she was staying in Singapore) to visit relatives. She felt dizzy and started to vomit. Her condition deteriorated. Whenever she moved her head, she would feel dizzy or had severe headaches and would start to vomit.  She had to lie down. As long as she did not move her head, she was okay.

YB did a CT scan and MRI. There were tumours in her brain.

YB’s daughter wrote: 11 January 2014.

Dear Dr Chris,

My mother has a relapse of her cancer to the brain. MRI shows 3 lesions in her brain. One of them is approximately 3 cm which caused swelling and subsequently dizziness, vomiting and headache. Meanwhile, she’s been given steroid to reduce the swelling. We are planning to see you right after the full report is out.

12 January 2014::

Dear Dr Chris,

CT scan result is out and it seems that the primary tumor is from the left lung. However, my mom has not suffered any symptoms or difficulties with breathing.

What would you do if she was your mother and given the following details?

1. The neurosurgeon suggested surgery to remove the big tumour in her brain. According to him,  the two small tumours cannot be removed  surgically and YB has to undergo radiotherapy. Surgery would cost SGD6,500 and radiation cost SGD 2,000 to 3,000 (foreigner’s rate. Singapore citizen pay much less).

2. Can surgery cure her brain cancer? The surgeon said, NO, the tumour will recur. Because of that YB has to go for radiation. Whatever  it is the family was told that YB will eventually die.

3. Did the doctor indicate how long your mom could survive? The surgeon said this,

a. If patient does nothing and is only on steroid, she has 2 months to live.

b. If patient undergoes chemotherapy and radiotherapy, she has 6 to 7 months to live.

c. If patient undergoes surgery, chemotherapy and radiotherapy, she has 6 to 7 months plus 3 months.

According to the surgeon these are based on statistics and also on the assumption the surgery goes not well without any complications.

What does the family want to do now? Everybody in the family decided to give up further medical treatment. They would rather go on herbs.

Did the doctor give you such information out front? No. We have to ask questions after questions and we get answers bit by bit. Nothing is laid out neatly like the above.

Comments:

Bravo to patient empowerment!  For you to make a decision you need honest answers. You do not get honest answers if you dare not ask! So patients, learn how to ask questions. Don’t just be satisfied with just an answer! Ask and ask, dig and dig until you are satisfied.  This is because it is your life and you have to bear the consequences of that intervention not your doctors.

After you get the answers, use your common sense to make your decision. Follow what your heart says.

It seems very clear. If doctors give honest answers … about surgery, chemotherapy or radiotherapy … the chances are high the patients will “run away”!

What would you do if you are told that chemotherapy spreads and makes cancer more aggressive?

What would you do if you are told the following about radiotherapy?

  • Radiation makes cancer more aggressive. 
  • Radiation reprogrammed less malignant breast cancer cells into Induced Breast Cancer Stem Cells (iBCSCs). This explains radiotherapy actually enriches the tumor population with higher levels of treatment-resistant cells.  Researchers UCLA Jonsson Comprehensive Cancer Center said radiation treatment killed half of the tumor cells  treated. The surviving cells are resistant to treatment and become iBCSCs. They were up to 30 times more likely to form tumors than the non-irradiated breast cancer cells. 
  • Radiation gives a the false appearance that the treatment is working, but actually increases the ratio of highly malignant to benign cells within that tumor, eventually leading to treatment-induced death of the patient.