SH (H785) is a 67-year-old lady. She was diagnosed with breast cancer in January 1998. A left mastectomy was performed. The histopathology report of 13 January 1998 indicated two malignant nodes. No residual tumour in her breast. Axillary fat and lymph nodes were free of tumour.
No chemotherapy or radiotherapy was indicated. But SH was put on Tamoxifen. She took this drug for 6 years.
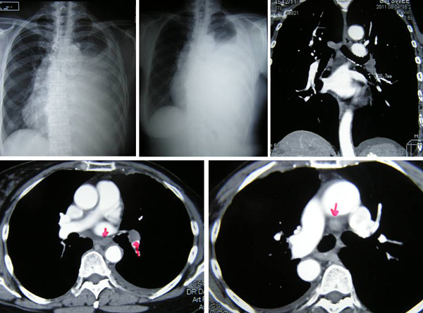
SH said she was well all these years and her progress was monitored by her doctor. About 10 years later, in early 2009, SH developed shortness of breath. She could not lift her left arm. She was tired and lost her appetite. A chest X-ray indicated large left pleural effusion. SH had the fluid in her lung tapped out. A CT scan on 7 January 2009 indicated several subcentimeter nodules in her left lung. The lymph nodes in the left axilla and aortopulmonary window were enlarged. Impression: left pulmonary and pleural metastasis.
SH sought a second opinion from another oncologist at a university hospital. Another CT scan was performed and it also confirmed a metastatic breast cancer with left pleural effusion with small benign liver cysts.
A bone scan done on 29 January 2009 indicated multiple skeletal metastases in the sternum and two ribs on the left side.
SH was prescribed Arimidex – another oral chemo-drug for breast cancer. She was on this drug for 2 years.
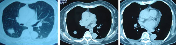
In August 2011 SH developed shortness of breath again. A CT scan on 4 August 2011 confirmed presence of mild left pleural effusion. Fluid was tapped out of her lung again.
The doctor told SH that Arimidex did not work for her. She was prescribed yet another oral drug – Aromasin. SH was on this drug for about 3 months now. At the same time SH received Zometa injection (for her bone) every 6 weeks. Each Zometa injection cost RM 1,200.
A bone scan done on 18 March 2011 indicated “sclerotic bone metastases in manubrium showing activity.” SH was told that if Aromasin did not work for her, she would have to undergo intravenous chemotherapy.
The following are her CA 15.3 readings throughout the years.
| Date | CA 15.3 |
| 17 January 2009 | 149.0 |
| 4 March 2009 | 230.0 |
| 8 July 2009 | 30.0 |
|
Year 2010 fluctuating values under 30.0 |
|
| 26 April 2011 | 51.0 |
| 22 June 2011 | 66.0 |
| 4 August 2011 | 67.4 |
| 27 October 2011 | 164.5 |
| 24 November 2011 | 227.0 |
| 23 December 2011 | 231.7 |
| 31 January 2012 | 477.0 |
SH and her family came to seek our help on 5 February 2012.
Below is her AcuGraph reading on 5 February 2012 which indicated a rather unbalanced internal energy.
Comments
Why did you take tamoxifen? To prevent recurrence, so you are told. Some patients are also often told this – if you survive 5 years, you are cured of your cancer! What a great lie. Did tamoxifen cure cancer in this case? It must have since his patient had survived for 5 years. That, “medically” is defined as a cure. But, you never ask – what if she does not take tamoxifen? She may also survive 5 years! Anyway the cancer came back after 10 years. This time it struck the lungs and the bones. Where then is the so called cure?
Reflect on the quotations below:
Second-Line Treatment: Arimidex
Arimidex (anastrozole) is indicated for the treatment of advanced breast cancer with disease progression following tamoxifen therapy.
Side Effects: Patients receiving Arimidex had a mean decrease in both lumbar spine and total hip bone mineral density. Patients should be informed that Arimidex lowers the level of estrogen. This may lead to a loss of the mineral content of bones, which might decrease bone strength. A possible consequence of decreased mineral content of bones is an increase in the risk of fractures. Arimidex may also cause heart disease.
Effectiveness:
Pooled Efficacy Results of Second-line Treatment
Source: http://www.rxlist.com/arimidex-drug/clinical-pharmacology.htm
Final results of the Arimidex, tamoxifen, alone or in combination (ATAC) trial, presented at the San Antonio Breast Cancer Symposium and published simultaneously in The Lancet, found that, compared with tamoxifen, anastrozole (Arimidex) improved disease-free survival by 13% and increased time to recurrence by 21% ,however, there was no statistically significant improvement in breast cancer survival or overall survival. (Note: be skeptical when reading figures like such percentages – they could be manipulated to bring out only the positive message.)
Some researchers questioned whether use of Arimidex was justified in light of its higher cost ($6.56 per day for Arimidex versus $1.33 per day for generic tamoxifen) and lack of a demonstrated survival benefit (Source: Journal National Cancer Inst (2005)97 (2): 86-87)
There are 197 comments by women taking Arimidix (as of 27 February 2012) in the website below: http://www.webmd.com/drugs/drugreview-4511-arimidex+oral.aspx?drugid=4511&drugname=arimidex+oral
Below are some examples.
Comment 1: Have not had bothersome side effects from this med so far, but am experiencing hair thinning. Some aches in a hip and knee, lack of sex drive, minor hot flashes …So far this med has not bothered me.
Comment 2: I am 63 and found I had breast cancer at 60. Had lumpectomy, 6 chemos over 7 months (carboplatin, docetaxol, nausea med, Herceptin IV’s, and a Neurlasta shot), followed by 8 more IV’s of Herceptin over 8 months, along with 31 radiation treatments, at last one 1miligram Arimidex I’m to take for 5 years daily. My complaint is that I was completely bald all over…I had started daily Arimidex about June 2010. A month ago, I was looking at some old pics made in May2011, and it started to hit me that my hair was thicker with more coverage than NOW (Jan. 2012). It was heartbreaking, it was becoming thinner and patchier on top front where you want it the most. I accidentally happened on a site, read that 40 or more women sharing this experience, and most believed it was the Arimidex. I tried Femara for 2 mo. with no improvement. I have aches and pains and feel “aged from the inside out” … I might just drop the Arimidex, take no “cancer” pill, and pray it won’t come back.
Comment 3: Taking this med for approx. 2 months. Extreme lower back pain 2 weeks after started, brushed it off. At this point just using my arms is very painful. My shoulders are in extreme pain. Talked to oncologist nurse and am changing to another but as of today I just want to cry I am sick of all this pain. Did not have any of this before!! I am in no way a baby, and can handle pain but even I have reached my limits. Hope this helps someone else who is experiencing the same issues with this drug.
Comment 4: I used this drug for 3 years and 4 months thinking I was doing fine on it. Suddenly I felt like my crotch was on fire. It took another 2 months of doctor appointments and medical procedures before I had a doctor that made the connection. Vaginal dryness given as a side effect is a huge under-statement. I’ve been free of this drug for 10 weeks and on estrogen cream for 4 weeks and am still miserable.
Comment 5: Constipation, depression, lack of motivation, muscle weakness One plus sleeping 6 hours a night instead of 5.
Comment 6: I thought I had it made …no symptoms except a little weight gain… Now my thumb is locking up and I had no idea it was from the Rx until reading the other reviews. I am achy after sitting for a short time and have really sharp pain in the back of my hand sometimes when I pick something up, even a cup of coffee.
Second-Line Treatment: Aromasin
Aromasin (exemestane) is indicated for the treatment of advanced breast cancer in postmenopausal women whose disease has progressed following tamoxifen therapy.
There are 99 comments from patients taking Aromasin http://www.webmd.com/drugs/drugreview-17966-Aromasin+Oral.aspx?drugid=17966&drugname=Aromasin+Oral. The following are some examples:
Comment 1: I have been on this medicine for 4 1/2 years. The past few months have been the worst. Every joint in my body hurts, night sweats and sleepless nights. It takes all I have to get out of bed in the morning.
Comment 2: Shortly after starting the drug (04/2010), I developed a cough, which I still have. Had a dose of sinus infection, sore throat, worse coughing just before Christmas. Chose to let my immunity fight it off instead of antibiotics. Took 3-4 weeks to get over it, but I did it on my own. Still have the cough. Tried arimidex first-made my hands, feet and face swell. Satisfied with aromasin except for cough.
Comment 3: I had a forced menopause after the 2nd cycle of chemo for my stage 2A BC. Never taking tamoxifen, was prescribed Femara for 2 months and then switched over to Aromasin following the chemo and radiation therapies. It has been 6 months since taking Femara and Aromasin. First experienced severe back and knee pains then had hand surgery for my Carpel Tunnel syndrome and now the pains has extended to all bones and joints, mostly in my hands and wrists. Memory loss and attention deficit is getting obvious. Hot flashes and insomnia is concerned. Without having daily walk and exercise and Melatonin Plus for sleep support, I would be miserable with all the side effects from the drugs.
Comment 4: After 20 days on arimidex I was suicidal, had severe bone pain, severe insomnia. I switched to aromasin and have found it easier to tolerate if I take meds for the side effects. I take ambien to sleep, percocet for pain, wellbutrin for depression. It’s either treat the side effects or I have a 70% chance of cancer recurrence. I will give it six months because sometimes the side effects do get better and I don’t want to die at age 63. But there does come a point when quality of life wins out – however short it may be.
Comment 5: Have had major side affects with it. Tried Arimadex first, then was prescribed this one; a little more manageable, but still have trouble. Joint pain, sweats, muscle cramps and renaud’s syndrome.
Comment 6: I was prescribed aromasin by my doctor after the other 2 AIs had adverse side effects. I took it for 3 yrs and 3 months. I could not tolerate the lack of quality of life.






































































You must be logged in to post a comment.