Sarcoma Metastatised to Lung: Declined chemo. Still fine after 18 years!

In 2006 (wow! That’s about twelve years ago!) I wrote an article Healing of High Grade Soft Tissue Sarcoma Metastasized to Lung by Herbal Therapy in the Internet Journal of Health. 

http://ispub.com/IJH/5/2/11918.

This is a story about John (not real name) — 39 years old then. John’s problem started in February 1999 when he detected a small lump in his thigh. Since there was no pain he ignored it until the swelling increased to the size of a ping-pong ball some months later.

In March 2000, John underwent a surgery to remove the cancerous lump. The doctor resected quite a lot of the tissues out – the size of a “Milo tin”. The doctor tried to take out as much as possible, including the muscles – because it had already spread.

Histopathology report indicated a malignant tumour with features consistent with high grade soft tissue sarcoma. The doctor told John to get his papers in order and that he would probably have only 6 months to live.

About 3 months after the surgery, John sought a second opinion and was told by the second surgeon that the tumour was not completely removed during the first surgery. John underwent a second surgery. This was followed by 21 sessions of radiotherapy.

On both occasions – after the first and second surgeries, John declined chemotherapy.

About a year and half later, the cancer metastatised to his lung.

John underwent a third surgery to remove the nodules in his lung and the surrounding tissues. He again declined chemotherapy and opted for CA Care Therapy instead — that was in April 2000.Six years later, on 1 November 2006 I had the privilege of meeting John and interviewed him.

Chris: What made you so adamant in not wanting do chemotherapy?

John: I held on to my conviction of not doing chemotherapy after reading your book. You mentioned that after going through chemotherapy it does not really guarantee a cure or success. Chemotherapy kills both the good and the bad cells. The immune system will be weakened and compromised and you would probably succumb to the treatment rather than the disease itself. Based on that, I made my firm decision – no chemotherapy. If I had not read your book, I would have gone for chemotherapy because I had reached a point where I was about to say “yes” to chemotherapy. But then I pulled back. At that time the doctor was telling me that I could not afford to wait any more – he was putting pressure for me to go for chemotherapy.

Since then I have not heard from John and he was out of my “radar”.

Then came one blessed morning just before the Chinese New Year (2018).

A lady and her family came to seek our help for her cancer. As usual, my first question was, Who ask you to come here? 

The son replied, My friend. He was your patient many years ago. He had a lump in his thigh and then the cancer spread to his lung.

Chris: I can’t remember this case  … oh, oh … a man? I remember now — I think I talked to him once. You mean he is still alive? 

Son: Yes, doing well. He is a fighter and he takes care of his diet up to this day.

Listen to our conversation that morning.

 

 

 

Sarcoma: Without chemo die within 6 months! Six years on CA Care Therapy, still alive and well!

A few days ago, just before the Chinese New Year (2018), a couple from Indonesia came to seek our help. The husband, 58-years old was diagnosed with liver cancer.

As usual, my first question to patients who come to see us for the first time is, Who ask you to come here? The wife answered, H asked us to come and see you.

Chris: Oh H.  When did you last saw her? Is she still alive? Still healthy?

 Answer: Yes, she is doing very well. We communicate through handphone.  This is her picture she sent me yesterday.

C: I am really glad to know that she is alive! When you go home please tell her that I was thinking of her. I have not heard from her for a long time. I thought she had passed away.

Listen to this conversation this morning!

 

What is so special about this case you may want to ask. Oh yes, very special indeed.

About 6 years ago, H was diagnosed with a rare cancer — sarcoma “sitting” on top of her lung. The oncologist in Singapore said, Without chemo, 6 months to live. With chemo, you may live up to 2 years. But no cure.

H refused chemotherapy and came to seek our help instead. She was well. But we did not get to see H for some time already. The question in my mind, How is she doing? Still alive? Probably dead.

So, this is a miraculous case — thank God for such a blessing!

Below is her full story.

 

 

 

Woman, why do you allow this to happen to you?

The year 2018 started badly and sadly. I have many “sad” stories to share with you.

Rose is a 49-year-old Indonesian lady. About five years ago she had a swelling in her left breast. She came to a private hospital in Penang and have the lump removed. No further treatment was deemed necessary. The doctor probably thought it was just a fibroadenoma (a common non-cancerous breast lump).

Two years after the surgery, in 2016, the lump grew into a giant fibroadenoma and Rose underwent a mastectomy. Her whole left breast was removed. After surgery in Penang, she was sent home with no further treatment.

In early 2018, Rose started to cough and both her arms and legs are swollen. The lump in her breast grew back again. Rose came back to the same hospital and did a “health screening” test and paid RM 500 for a complied booklet about her health.

Her X-ray report said, “Lung metastasis from ? left breast carcinoma.”

 

Rose was referred to an oncologist of the hospital. She was told to undergo six cycles of chemotherapy.

Chris: Did you ask the doctor if chemotherapy is going to cure you?

Husband: We never ask.

Rose paid RM 160.00 for this consultation and was given a bottle of cough mixture to bring home!

What can we learn from this pathetic case?

  1. Your health is your responsibility. Many patients think that doctors know best and can fix all their problems. Once they go into the hospital, that’s it — they leave everything to the doctors! If that is your attitude, you will end up like Rose!

Rose found a lump in her breast. She had it removed. Hooray, it was not cancer — that is what everyone likes to hear. Then the lump grew back again — Rose went back to the same doctor and did a mastectomy. Did she ever ask any question — why this and why that? Probably not. The lump did not go away, as it grew bigger, Rose did not bother to consult another doctor — why did she allow the lump to grow so big like in the picture? Because it did not cause any pain, she said! When she started to cough and felt breathless, only then she decided to see the doctor again. She came back to the same hospital to do a “health screening” test. Is that the correct thing to do?

  1. Did Rose get the best of medical treatment? I am not too sure about that. A non-cancer lump became cancerous after two operations — is that a correct diagnosis? Did Rose go to the a “really good” doctor in town?

Remember, not all doctors are the same — in terms of experience, expertise and their empathy towards patients. As I was writing this story, one patient came. He said, The doctor told me there was about 5 liter of fluid in my lung. He tapped out 1 litre. I asked him why he did not remove the remaining 4 litre. He did not answer me. He was arrogant. What do you think of such doctors? Let him treat you again?

  1. Dr. Barry Boyd (in The Cancer Recovery Plan) wrote, “Most doctors don’t bother to counsel their patients after treatment. Once cancer treatment is completed, most patients are left on their own to cope with the rest of their lives. This is what I call falling off the cliff. Patients are left in free fall.”

Is this not what happened to Rose? Cut and cut, but was there any advice as to what to do to prevent or minimize the recurrence of the lump? No — just go home, do and eat what you like! Probably it is just your luck? If more problems crop up come back to us again and we cut you again or chemo you!

A taxi driver at the airport recommended that Rose come and consult us. When Rose came to see us, I thought it was a bit too late. Her health had deteriorated badly. I would try to help the best I can but I know I cannot make the big lump go away. I think it is not the lump that is going to kill her — it is the extensive lung metastasis.

 

 

 

Skin Cancer That Spread to Her Lungs: Severe headache and numbness of face and jaw gone!

Su (not real name) is a 42-year-old Indonesian lady. Some years ago, she was told she had endometriosis and was given hormone medication. Then in 2013, she came to a private hospital in Penang and had her uterus removed. She was told nothing else was wrong and she did not need any medication.

A year later, 2014, she developed a lump, the size of a mole, on her head. Once a while this lump became painful. She did not consult any doctor and ignored the problem.

In September 2015, Su came to Penang again to seek the help of a doctor in a private hospital. This was because the swelling over her scalp had grown bigger, burst and was bleeding. It was something like 6 to 8 cm in size. This was after she was using some herbs for the lump.

A biopsy was done and confirmed as squamous cell carcinoma.

Su went to another doctor in another hospital to remove the lump. After the “successful” surgery, nothing else was done. Su came back once a while for follow up. Everything was okay!

The operation scar after a big lump was removed from the back of her head.

A year later, Su had a whole body check up. A CT scan showed 3 tiny spots in her lungs. The doctor was not sure what these were. She was told to come back after 3 months for another scan.

After 3 months, Su was told to go for a PET scan. She refused.

Su went to consult another specialist in another hospital. A CT of chest was done and showed multiple well defined nodules in both lungs. The largest of these is 16 mm in size. Conclusion: Lung metastasis.

Su was told to consult an oncologist. She refused. She went home and searched the internet. She found Keladi Tikus (not from CA Care) and started to take this together with other herbs.

Three months later, she came back to the doctor who did the surgery for her. A CT scan showed multiple bilateral lung metastases. The metastatic lung lesions are progressively increased in size and number.

 

Su was told to go and see an oncologist. She came to seek our help instead.

I prescribed her: Capsule A, C, D and M sides Lung 1 and Lung 2. We don’t have any specific herbal tea for skin cancer.

After 3 months on the herbs, Su said she got better — of course, far from being cured. We are glad that she look well, feel well and has no pain. Her severe headache which occurred for the past 3 to 4 months started to subside after a week on the herbs and eventually disappeared totally. Su said besides the headache which lasted from 2 or 3 p.m. until dinner time, she also had pain and numbness of her face and jaw. These too were gone after taking the herbs.

Listen to her conversation.

Comment

Melanoma or skin cancer is very rare. But fortunately, we have helped two melanoma cases with great success before. See here: https://cancercaremalaysia.com/category/melanoma/.

When Su came to see us, we were hopeful that we could help her as well. On the onset Su seems to be responding to our therapy very positively. She is leading a normal, pain-free life. That is a great blessing enough. My only advice I have for Su is to continue doing what she is doing. Unfortunately, my experience showed me that when a patient gets well, she/he will forget what we told them!

 

 

Colon Cancer: Surgery and chemo failed to cure him. Part 1: So, what’s next?

Guna is a 45-year-old Indonesian. He was diagnosed with colon cancer and had an operation.  Guna then came to CA Care but decided to undergo chemotherapy instead. He received 8 cycles of chemotherapy. Each cycle cost about RM5,000. Every six-monthly follow-up examination showed he was well.

However, in March 2017, i.e. about two and half years later, a CT scan showed the following:

  1. An 8 mm nodule in left lumbar region, marginally increased in size. This could represent mesenteric lymph node.
  2. There is a 2.2 x 2.1 cm hypodense lesion in the left lower lumbar region, increased in size. Tumour deposit is considered.
  3. There is a 8 mm nodule in the left upper lobe of lung. This is suspicious of tumor or metastasis.
  4. Prostate is enlarged, measuring 3.4 x 6.8 x 4.6 cm.

The oncologist suggested that Guna do a PET scan to assess if there is any further spread of the cancer. If the metastasis is not extensive, Guna needs another surgery. If the metastasis is extensive, Guna has to undergo chemotherapy again.

Not knowing what to do, Guna went back to consult the surgeon who operated on him. He was given the same advice — go for a PET scan. A PET scan would cost RM4,000 plus.

Confused and not knowing what to do, Guna’s wife consulted the medium of two Buddhist temples in Medan. She was told “not to undergo further medical treatment and should see Dr. Chris instead.”

So, it was. A sad morning indeed. How did I handle such a case? Listen carefully to the video below.

 

 

Gist of our conversation

Guna: The oncologist asked me to go for a PET scan. If the result shows no extensive spread, then I need an operation. If the cancer has spread extensively, then no operation. Just chemotherapy.

Chris: PET scan can  show if there are any more cancer somewhere else. But after knowing this, what do you want to do? I don’t know what to say. I agree, you can go ahead and do the PET scan if  you like. This is to know exactly what is going on in your body. Correct logic – go ahead.

But after spending RM4000 plus for the PET scan what benefit do you hope to get? What if after the scan shows there are many more tumours. What do you want to do? Or what can you do?

The doctors say, go for another operation. Do you want that? You have to decide for yourself.

Or you have to go for more chemo. Do you want that?

Wife: My idea is this. We do not go for all these. Just take your herbs. May be that will help (cure?).

C: I don’t have any magic herbs to do that. You have already done 8 cycles of chemo and paid RM40K for that treatment. It did not cure you. It is not right for me to tell you that my herbs will make the tumours go away. How can? No, just not right and not honest! I am not god.

If you were to come and see me earlier — immediately after your operation —  and you started to take the herbs, maybe the story would be different. But you did not believe me then.

Now the cancer had metastatised and you expect my herbs to cure you. No way. But I am not blaming you. Cases like yours are very common! Operate, chemo and the cancer recurred. That is nothing unusual.

At CA Care, I want to be honest with my patients. I don’t want to mislead you. From my experience, I know that there is NO cure for cancer. Now, you have experienced this yourself. You have undergone the operation, had chemotherapy and spent so much money — did these treatments cure you? No, right? Now, you understand what I mean.

Most patients came here after their medical treatments have failed them. Then, they expect me to cure them! What can I do?

So, what do you want me to do for you?

As far as the oncologist is concerned there is a CT scan in the hospital. Okay use it. You pay RM4000 plus for that. I cannot dispute that suggestion. I also want to know what is going on in you. The scan can tell you that.

But think for yourself first, what do you want to do after the PET scan? Operation? Chemo again?

So, to ask you to go for the scan is not right. Not to ask you to go for the scan is also not right. My main concern is not to spend too much money to do something which may not benefit you.

So, what do you want to do now?

G: I really don’t know what to do now.

C: I too don’t know what to do. But I know the doctor knows what to do. He will ask you to go for more chemo.

Ask if Chemo Can Cure You

The last time you had your chemotherapy (two and a half years ago), did you ask the doctor if the treatment was going to cure you? Did you ask?

G: I did. The doctor said if no chemo, the chances of recurrence is higher. With chemo, the chances of recurrence is lower.

C: Chemo is said to reduce the chances of recurrence only? Reduction of a recurrence is not necessarily a cure. Right?

G: Yes.

C: Of course no one is going to say things honestly. Actually reducing the chances of recurrence also implies there is “no cure.” No guarantee that the cancer goes away.

Did the oncologist tell you about the percentage benefits you would get from chemo?

G: If no chemo, the chances of recurrence is 50:50. If chemo the chances of recurrence is 40:60, meaning 60 percent no recurrence.

C: This seems to say that the benefit of chemotherapy is only 10 percent. Chances of recurrence reduced from 50 percent to 40 percent. Right?

It also means that even with chemo there is still a 40 percent chance that the cancer can recur and the treatment will fail. Is that not what it means?

But cancer patients like you want a 100 percent chance of no recurrence, 100 percent of cure. Right?

Now you understand what I mean when I told you that there is no cure for cancer.

So, what can I do for you now?

Most patients who come to see me are asking for a cure. They expect the cancer to just disappear. Correct? It is not fair. You have undergone the surgery and had chemo and these did not cure you. Now, you expect the herbs cure you?

G: I am just a layman. I just did everything that the doctor wanted me to do.

C: I understand. Now, tell me what can I do for you? I am not god. I also feel very sad to hear your story. It breaks my heart.

G: I am confused.

C: I understand. I am also confused.

Comments

I am aware that some of you reading this would not like what I said. Surely you are entitled to your opinion. Most patients come wanting to hear what they want to hear only — they want to hear me saying that I can cure them.

If you belong to this group of patients, let me tell you. I know of some herbalists who can guarantee that their herbs can cure your cancer! You want to go there? Come and see me personally and I can show you the way to them if you like!

Take it from me, facing patients like this one is heart breaking. If I could have my way, I would want to send them away “empty-handed.” Go home and think first what you want to do. Or I would say, go to someone else who can help you. This is to say, I am being polite and indirectly telling you not to come and see me.

But for Guna and his wife this morning, it did not turn out that way. Both the patient and his wife went away rather satisfied. Part 2 of this story tells you why!

 

 

 

 

Xeloda for Liver Cancer: Is that the best treatment possible? What do you expect to achieve?

KDL is a 55-year-old Indonesian lady. For the past 10 years she had been having problems of “wind” in her abdomen. She consulted doctors for this problem and was prescribed medications. Unfortunately these did not solve her problems.

Eventually in June 2014, KDL went to a hospital in Johor. The doctor did a scope and found nothing! She was again prescribed medications but they were not effective.

In November 2014, KDL went to a private hospital in Melaka. A CT scan was done. The findings were:

  • Multiple liver nodules in both lobes, predominantly right lobe. The largest is 3.3 x 3.4 cm in segment 8.
  • Extensive intra-abdominal adenopathies involving porta, coeliac and para-aortic nodes — largest being 1.2 x 1.6 cm, in retropancreatic region.
  • Normal gallbladder configuration is not demonstrated. Hetergenous wall thickening seen.

Conclusion: CT features of gallbladder raises the possibility of GB malignancy with metastatic liver nodules and intra-abdominal adenopathies.

No surgery was indicated. KDL was prescribed an oral chemo-drug, Xeloda. This cost her RM 2,400 per cycle. A cycle consisted of taking 5 tablets per day for 2 weeks followed by a week of rest.

One year later, 27 July 2015, a CT scan was done and the result showed:

  • Several heterogenous hypodense nodules in bilateral lobes — largest is 4 x 4 x 3.5 cm in segment 8. (note: this has grown bigger).

An X-ray of the chest showed:

  • Several ill defined lung opacities of sizes from a few mm to 15 mm.
  • A 2 cm right hilar opacity also seen.

Impression: Suspicious of lung and right hilar secondaries.

Blood test showed:

CEA 135.0 (High)
CA 125 388.0 (High)
CA 19.9 179.0 (High)

 

KDL said that after a year of taking Xeloda her condition became worse!

  • She developed sleeping difficulties.
  • Her stomach was very uncomfortable, with “wind” moving around.
  • Her backbone felt numb / sore.

Comments

This is indeed a very sad story — and is this also a story of bad management?

Why bad management?

  • KDL has been having “wind” problems for the past 10 years. Why was her problem not correctly diagnosed in spite of her consulting the doctors even at an early stage?
  • One lesson we can learn from this case is, If you go to your doctor and was told that there is nothing wrong — please know that you may be in trouble later! That is, if after taking the doctor’s medication the problem still persisted. Again, don’t take “NO problem” as a good answer. Go and find 2 or 3 more doctors who may be able to do a better job.
  • Her stomach “wind” problems could be an early sign that something serious was coming. Could it be problems related to the pancreas? stomach or colon? or ovary? But, at the early stage, no one bothered to properly diagnose her — only prescribing drugs after drugs which did not work.
  • KDL’s problem was left to simmer for too long. Then 10 years later, someone decided to do a CT scan. Why wait for 10 years to do a scan? By that time it was too late, it was already a disaster.

Liver composite

After the CT scan the doctor could not do much, except to offer KDL Xeloda, which she faithfully took for a year. Xeloda made her worse off — physically and financially!

The question we may want to pose is: What can Xeloda do for KDL? Realistically, what do you expect to achieve from consuming Xeloda? Would Xeloda do more harm than good?

Would it not be better if the doctor just send KDL home without any medication? To most people —  patients, their family members and doctors — this suggestion may sound ridiculous, “madness” and unacceptable. But hang on, read this article and see if you can learn anything from it.

People die from chemo

Source: http://www.weeklyhealthylife.com/horrifying-professor-from-berkely-college-says-people-do-not-die-from-cancer-people-die-from-chemotherapy-and-in-terrible-pain/

For 25 years, the professor was studying the effects of chemotherapy and came to a horrifying conclusion!

The cancer industry is just an industry after all! Doctors, hospitals, pharmaceutical companies and other stakeholders in this industry profit whenever a patient accepts the toxic treatment that is chemotherapy, radiation or surgery …. despite the claims from the medical industry that chemotherapy does not work in the fight against cancer.

Dr. Hardin B. Jones, a former professor of medical physics and physiology at the University of California, Berkeley, has studied the life expectancy of cancer patients for more than 25 years, when he concluded that chemotherapy does not work.

He testified that chemotherapy patients often die a horrible death. They also died much faster and more painful than patients who opted for a different approach. What he found was that chemotherapy actually shortened the life and killed patients, and everything is kept secret because of the millions of dollars in play!

“People who refused chemotherapy treatment live an average of 12 and a half years longer than the people who are receiving chemotherapy,” Dr. Johns said in his study published in the New York Academy of Sciences. “People who accept chemotherapy die within 3 years, and many just a few weeks after starting the treatment.” “Patients with breast cancer who reject conventional therapy live four times longer than those who follow the system. This is something you will not hear in the mass media that will continue to spread the myth that chemotherapy is the best medicine to fight cancer!”

Modern medicine hides the truth about cancer therapy. One treatment costs 300000-1000000$! That is why it continues offering chemotherapy to cancer patients. Chemotherapy does not remove cancer nor extend the life. It just burdens the body so much that the patients eventually die from it.

After putting full faith in the doctors, KDL and her family finally realised that it was a big mistake. KDL stopped taking Xeloda. KDL’s son started to surf the net and found CA Care. Then the family came to Penang in late October 2015 to seek our help.

 

 

When KDL came into our centre, I asked if she had a “stroke” before. She said, No. But since the past 2 weeks, she was not able to lift up her left arm. She walked dragging her left leg. Her walk was unstable. One question came to mind, Has her cancer gone to her brain? An X-ray on 27 July 2015, showed lung metastasis. Or, could Xeloda have caused a blood clot leading to a stroke — could this be the reason why she presented as such?

We discussed the possibility of a brain metastasis. To know for sure, a CT or MRI of the brain may be indicated. But, what is the use of spending more money just to know if there is something in the brain? Okay, after the scan, can anyone cure her? There are enough tumours in KDL’s liver and lungs to worry about anyway.

Since herbs are not poisonous like chemo-drugs, KDL was given teas for her liver, lungs and brain. We told her: Let’s see what happen after a month.

Lack of Knowledge

When KDL and her family came to see us, we understood why she was “neglected” and left in such a limbo. She and her family were not educated. They trusted their doctors and have full faith in them. They did not know how to ask questions. They were clueless about their problem. They believed KDL was given the “best” treatment.

Indeed we felt very sorry for KDL and her family.

Let us repeat what we have always said to patients. Please read and learn. If you choose to know nothing about your health and put your full belief and trust that others can help you, know that you may end up “a dead duck.” So, patients, please empower yourself. But in KDL’s case, we understood. She was not educated. She was helpless and naive. She needed help. 

Another case: Xeloda did not stop recurrence of colon cancer 

As we were dealing with KDL case, a friend dropped by our centre. He is 70 years old and was diagnosed with rectosigmoid cancer in October 2014. He underwent a surgery and the histopathology report indicated a Duke Stage B cancer with no spread to the nodes or other parts of the body. The patient was given Xeloda which he took faithfully.

Barely a year later, October 2015, the cancer recurred. The patient underwent another surgery. The histopathology report confirmed a moderately differentiated adenocarcinoma of the colon, recurrent in the abdominal wall.

This patient took Xeloda, but was Xeloda useful for him? It did not stop the cancer from coming back. Our friend decided not to undergo further chemotherapy and came to us for help. 

What is Xeloda?

1

This is the “in thing” drug of today, being prescribed to patients with various cancers. Let me give you what they say about Xeloda in the net.

Xeloda is its brand name.  Its generic name is Capecitabine. It is used to treat advanced metastatic breast cancer, colon cancer, and many other cancers.

Xeloda is taken as a pill and when inside the body is converted to 5-FU (5-fluorouracil). Since 1957 – 1980s researchers and doctors were experimenting and treating cancer with 5-FU. Therefore 5-FU is actually an old drug, used to treat colon and rectal cancer, breast cancer, anal, esophageal, pancreas and gastric (stomach) cancer, head and neck cancer, liver cancer, ovarian cancer, etc. This is given as injection, not taken orally like Xeloda.

So it reality, 5-FU is an old drug. But Xeloda is considered a “newer drug” although it is the same old thing. So can we say that Xeloda is like an old wine packed in a new bottle?

Another drug which is like Xeloda is UFT (tegafur plus uracil). UFT is not popularly prescribed yet but perhaps one day someone may decide to make it as popular as Xeloda and push it for cancer treatment.

Why is Xeloda popularly prescribed?

I think it is because it is easy to use. Just send patients home and ask them to swallow the pill and you get 5-FU inside the body. Before Xeloda, drug like 5-FU, had to be given as an injection. So there is a lot of hassle. Also, chemo-injection has already earned a “notorious” reputation of causing adverse side effects. So, giving patients a new “form” of the same drug perhaps would be a better strategy. Most patients may not even know that Xeloda is a chemo-drug anyway!  So, the treatment  would not sound as scary as the dreaded “chemotherapy.”

The one most important question to ask is, Can 5-FU or Xeloda cure cancer?

Well, if it is effective people would not die of cancer then.

We got to know 5-FU since the 1990s. Two of our patients who had colon cancer were treated with 5-FU. They died. Even today, as you can see from the above stories, patients who took Xeloda did not get any cure. 

Side effects of Xeloda` 

  • Fatigue
  • Diarrhea
  • Hand -foot syndrome -skin rash, swelling, redness, pain and/or peeling of the skin on the palms of hands and soles of feet. Usually mild, start as early as 2 weeks after start of treatment.
  • Nausea and vomiting
  • Dermatitis
  • Elevated liver enzymes (increased bilirubin levels)
  • Poor appetite
  • Abdominal pain
  • Low white blood cell count.
  • Low red blood cell count (anemia)
  • Low platelet count.
  • Mouth sores
  • Numbness or tingling of hands or feet
  • Swelling of the feet and ankles
  • Fever
  • Constipation
  • Eye irritation (watery eyes, inflammation of the eyelids, redness).
  • Shortness of breath
  • Headache
  • Chest, back, muscle, joint, bone pain
  • Dizziness
  • Insomnia (sleep disturbances)
  • Excessive sleepiness, confusion, very rare seizures
  • Dehydration
  • Cough
  • Blood clots (Blood clots rarely can lead to pulmonary embolus or stroke)
  • Loss of balance
  • Nail changes, darkening of the skin
  • Taste changes

(Reflect on what happened to KDL after taking Xeloda for a year. Take note of the side effects written in red)

Yes, doctors who prescribe Xeloda would say this drug will do you a lot of good. So, go ahead and believe them and hope for the best!

Here are other views on Xeloda that I got from the internet.

 Xeloda killed my mother: http://www.rxlist.com/script/main/rxlist_view_comments.asp?drug=xeloda&questionid=fdb7906_pem

  • Xeloda killed my mother. She died on December 27th, 2007, ten weeks after starting a Xeloda regimen. She was 83, and she was in very good shape before beginning her treatment, in spite of the presence of secondary liver cancer (breast cancer metastasis). The drug destroyed the lining of her digestive system, and allowed a combination of bacterial infections to attack and kill a portion of her small intestine. She was within hours of death when emergency surgery repaired her intestine on 11/24/07. It appeared as though she would recover from her surgery, but she contracted pneumonia while hospitalized, and her system was too weak to fight back. I am heartbroken. I don’t want my mother’s death to prevent others from seeking proper treatment, but everyone should be aware of the dangers presented by bacterial infections that could cause major damage while this drug is being administered. James W. Moore jim@ed2c.com

Side effects of Xeloda

  • I have been taking Xeloda for over 6 months. My side effects began with very much pain in every part of my body … I have developed hand-foot syndrome. I’ve lost all the skin of the bottoms of my feet and I’m now my hands are peeling. My feet and hands are very sensitive to anything with a texture. I even have trouble opening a water bottle. Sometimes I want to stick my feet in buckets of ice! …. I just recently developed severe eye irritation which I brushed off as bad contacts or pollen in my eyes. I finally went to my eye doctor and he found severe eye irritation and swelling in my cornea. After speaking with a corneal specialist, he determined it was the result of taking Xeloda.
  • I have been on Xeloda for 3 years. I have the cancer cells in my left lung and spine, hip and left leg bones. Stage 4. Some new growth in the bones but no new growth in the left lung and no fluid build-up. I also have the hand and foot symptoms and sometimes I cannot walk and my hands are so smooth and sore I can’t even hold an envelope. Wear gloves most of the time and us a cane. BUT, life does not stop and neither should you. I still travel air, sea and land. And I have lots of praying friends and family. I have also changed my diet. NO SUGAR and very little meat mostly vegetables and fruit, organic if I can. Go till the Lord calls you home.
  • Xeloda is sort of an odd drug. For most people, it is viewed as an “easy” drug which is quite effective.  For others, including me, it is more problematic.  Usually, side effects start appearing in 7 – 10 days.  For me, they start getting bad on about day 10 and it lasts through day 21, getting slightly better, but never going completely away, depending on the particular side effect.
  • The most common side effect is … hand and foot syndrome … Hand and foot syndrome with Xeloda is the redness and tenderness of the hands and feet. With me, I slough off skin, bit sheets of skin on my hands and feet.  They become tender, and have a burning sensation.  In addition, they swell and feel tight. It is not unusual for the heels, toes and sides of the feet to develop deep fissures or cracks. Up to 60% of the patients taking Xeloda suffer from this, and it varies in severity.
  • When I first started taking the correct dosage of 4,000 mg a day … two weeks on and one week off, I had massive issues. I had diarrhea, gas, nausea, and constipation (yes, even while I had the diarrhea), dehydration, dry eyes, dry mouth (cotton mouth), cramping, stomach pain, loss of appetite.  It was severe enough that the oncologist backed it off to 3,000 mg. a day That took care of the most severe problems–the nausea, and diarrhea and stomach pain.
  • With 3,000 mg. a day, I still have: periodic constipation, hand and foot syndrome, vision changes (dry eyes which makes things sort of hard to focus on), dry mouth/cotton mouth, lack of taste, toxicity rash (the rash you see in the bottom picture which can also blister and tear easily…I call them my toxicity evening gloves), thinning hair (boy is this one annoying! I just got hair back and then I started to lose it again!), sensitivity to the sun, higher blood pressure than I usually do, discoloration of my nails and the worsening of a nail fungus, fatigue, anemia, heart burn. My feet also often get little blood blisters, which my onc says is probably because my skin is so thin…you bump it, and then you get a blister.  Fortunately, I only had mouth sores (stomatitis) once.
  • I had breast cancer in 2000 which had spread to my spine in one of my vertebrae. I was prescribed Xeloda by my oncologist. Despite the severe side effects of hands and feet going red, blisters in my mouth and skin disorders, the oncologist insisted on this drug. I decided to terminate the use within 11 weeks. I am now experiencing numbness in both my hands, swelling and stiffness in all the joints of my hands. I believe patients should be warned about these side effects so that they understand the risks involved in taking such severe treatments. These side effects may take six months or even a year to appear.

Source: http://www.webmd.com/drugs/drugreview-7906-Xeloda+Oral.aspx?drugid=7906&drugname=Xeloda+Oral

http://www.cancernetwork.com/review-article/infusional-5-fu-historical-evolution-rationale-and-clinical-experience#sthash.qo9g7xhu.dpuf

To round up, here are the links to stories of some patients who came to us after taking Xeloda.

  1. Breast Cancer: Surgery, Chemo, Radiation and Hormonal Therapy Did Not Cure Her. Xeloda made her miserable! Patient, Only You Should Decide What You Want To Do!

 2. Breast Cancer: Surgery, Chemo, Tamoxifen and Xeloda failed her!

  1. Leo was not convinced that Xeloda would do him any good. He had fevers and diarrhea. In addition he vomited and had pains around the colostomy stoma after taking Xeloda. https://cancercaremalaysia.com/2013/12/25/dissecting-chemotherapy-15-couldnt-afford-avastin-gave-up-xeloda/

 

 

Kidney Cancer Spread to the Lung Six Months After Surgery

SS is a 71-year-old male. Three years ago, in 2012, his urine contained traces of blood. A checkup in a private hospital showed:

  • Normal meatus (urinary meatus is the opening or hole at which urine comes out of the urethra) and urethra (theurethra  is a tube that connects the urinary bladder to the urinary meatus for the flow of fluids from the body. In male  the urethra travels through the penis, and carries semen as well as urine).
  • Mildly enlarged prostate, measures 5.5 x 4.0 x 3.8 cm.
  • Both kidneys are well visualised and shows a normal echo pattern with no focal lesion within it. No renal stones seen and there is no evidence of any hydronephrosis.
  • Creatinine level was elevated, at 156.8 (normal 63.6–110.5).
  • Fatty liver change.

SS was prescribed some medications. The bleeding stopped and he was well for two years.

One day in late 2014,  SS had pains when he turned his body from the right to the left. USG on 9 October 2014 showed:

  • Fatty liver change. No focal liver lesion.
  • A cyst with wall calcifications on the upper pole of the right kidney measuring 8 x 7 mm.
  • There is a lobulated hypoechoic lesion in the upper two thirds of the left kidney measuring 7.0 x 6.8 x 6.2 cm.
  • No hydronephrosis seen.

A CT scan, done on 16 October 2014, showed the following:

  • Small cyst in the upper pole of the right kidney measuring 5 xc 5 mm in size. No mass or focal lesion noted.
  • An irrregularly enhancing mass infiltrating almost the whole of the left kidney sparing the power pole measuring 7.8 x 6.2 x 10.3 cm.
  • Enlarged lymph nodes noted medially measuring 2.5 x 3.0 x 3.0 cm and 1.8 x 1.6 x 1.0 cm.
  • Subcentimeter paracaval and para-aortic lymph nodes.

Comp-Kid-ca

 

SS underwent surgery to remove his left kidney. The histopathology report dated 21 October 2014 indicated:

  • Grade 3 transitional cell carcinoma of the renal pelvis, T4N2Mx, Stage 4.
  • Two (2/10) hilar lymph nodes contain deposits of metastatic transitional cell carcinoma.
  • Free of metastatic tumour deposits.

The operation was a success (later you would want to ask if this is really true?) and everything was alright. SS was asked to go for chemo, he refused. Routine check up three months later showed everything was perfect. Another routine three-month check up on 22 January 2015 also showed perfect result.

Six months after surgery, 2 June 2015, X-ray showed an oval nodule in the left mid zone of the lung, measuring 13 x 12 mm. This nodule was not seen in the previous chest radiograph on 22 January 2015. An underlying metastatic deposit is considered.

CT scan of the thorax on 4 June 2015 showed:

  • A nodule in the apical segment of the left lower lobe measuring 15 x 12 x 13 mm.
  • Another smaller nodule is noted in the lingular segment of the left upper lobe measuring 5 x 5 x 5 mm.
  • These are suspicious of metastatic deposits.

Composite-Lung-Metastasis

SS was asked to go for chemotherapy. He went to consult an oncologist. Listen to this video.

 

 

You want me to do chemo, but I only have one kidney left. How does that affect me?

No problem. We shall use the drugs, carboplatin + Gemzar.

Can you cure me?

No cure. There is no cure for cancer! We shall go for 3 cycles first and see what happen.

Each cycle of chemo is going to cost RM 5,000.

After the chemo (and this is not a cure) how long do I have?

I am not God

I know that you are not God.

Probably you have six months to a year! I can’t say, all depends on yourself!

(Depend on luck? Fong shui? If this being the case, where is the so called “science” in oncology then?)

 

 

 

Breast Cancer: Surgery did not cure. Recurrence and cancer spread extensively to her lungs. But does she want to live?

TTH is a 73-year-old Indonesian lady. In early 2014, she felt a lump in her right breast. If touched she felt pulling pains in her breast. She came to Penang for consultation.

USG on 26 June 2014, indicated a spiculated hypoechoic mass at 11.00 o’clock, 3 cm from nipple. The mass measures 17.7 x 16.3 x 24.0 mm. There are feeder vessels seen supplying this mass lesion. No axillary lymphadenopathy. Impression: Highly suggestive of breast cancer. Category 4.

Breast-USG-S596

A mammogram of both breast also showed similar results.

Chest X-ray showed slight increased reticular markings of both lung parenchyma. No lung nodule seen.

TTH came to seek our advice on 27 June 2014. We suggested that she remove her breast.

Mastectomy

TTH underwent surgery on 7 July 2014.  Histopathology report confirmed:

  • Invasive ductal carcinoma, Stage T1.
  • Resected margins, niple and areola: Free.
  • Right axillary lymph nodes: Sinus histiocytosis (4/4).
  • Tumour negative for estrogen, negative for progesterone and negative for c-erb B2 receptors.

The mastectomy cost RM 6,600. The doctor said no need for chemotherapy or radiotherapy. There was not medication.

TTH came to seek our advise again after the surgery.  We prescribed her some herbs and told her to take care of her diet. We did not get to see THH again after that.

Recurrence and Extensive Lung Metastasis After a Year

A year later, 3 June 2015, TTH and her daughter came to see us again. Why did she come and see us? A routine check up with her doctor on 2 June 2015  indicated extensive lung metastasis. Her CA 15.3 was elevated to 100.2. This time her doctor said she needed chemotherapy and it would be better for her to go home and receive the treatment in Indonesia.

A CT scan done on 2 June 2015 indicated:

  • focal nodule noted in right anterior chest well, on the pectoralis muscle. The nodule measured approximately 8 mm in diameter.
  • There is an adjacent skin nodule approximately 5 mm noted.
  • There are extensive intrapulmonary nodules and masses noted in right and left lungs. They measured approximately 12 to 45 mm n diameter each.
  • Nodular thickening of the interlobular septae noted in both lung bases, consistent with lymphangitis carcinomatosis.

Impresssion:  Local recurrence with extensive lung metastasis and lymphangitis carcinomatosis.

Composite-1

Looking at the above images, we felt real sorry for TTH. How could such extensive metastasis happened within a year? An X-ray done a year ago showed the lung was clear — could this result be wrong?

Chris: You came to see us last year and took some herbs?

Patient:  I took the herbs for a while and stopped. There was nothing wrong with me and I thought I was cured already.

C: Did you take care of your diet?

P: People told me if I don’t eat this and that, I would not have energy – no strength!

C: Your cancer has recurred and it has spread extensively to your lungs. Even if you take the herbs, I am sorry I  cannot cure you.

P: Okay, in that case, there is no need to take the herbs then.

Comment

Last month we posted an article, Breast Cancer: It is all about you — your human nature and attitude

Speaking to TTH, it appeared to us that this patient felt she is already old enough. There is no need to do anything beyond the normal routine that she has been accustomed to. Our experience through the years tells that only 3 out of 10 patients benefited from our herbs. Those who succeeded showed their commitment and wanting to help themselves. Others just came to find an easy way out. Such people are really depressing to work with. It is better that they don’t come and see us at all.

Colon-Liver-Lung Cancer: Hunting For The Magic Bullet

A lady school teacher came to see us in early 2012. Her husband is a medical doctor (later, I got to know that her daughter is also a medical doctor).  She did not come with any medical report – she just wanted to tell me her story and based on that prescribe her herbs.

She had colon cancer that had spread to her liver.  She had completed her chemo and had also undergone a RFA treatment (radiofrequency ablation). In spite of that, her CEA was rising.

The first question I asked her, “What do you want me to do? What do you expect to get when you come and see me?”  Her answer, “I want to find a cure.” To that I told her, “No, I am sorry I don’t have anything to cure anybody. My herbs are not magic.”

Then I asked her to read my two books, Cancer – Why They Live and What You Need to Know About Chemos … She would not even look at the books! But she insisted on wanting to try my herbs. My answer was, “No.  For now, I would not prescribe you any herbs. Go home and pray to your god (s) after you have gone through my websites – www.cacare.com and www.CancerCareMalaysia.com

Were we being cruel to send her home without giving her the herbs? Sometimes we need to be “apparently” cruel to be kind and honest. While we fully understand that patients who come to us are helpless, desperate and lost – it is extremely unfair and wrong for us to make them believe that we can offer them a cure for their cancers. Our experience over the past 18 years dealing with cancer patients tells us this fact clearly – No one on earth can cure cancer! You just have to learn to live with your cancer and heal yourself. Saying that the treatment gives you a response does not mean a cure. To achieve a tumour shrinkage after treatment is equally meaningless. Shrinkage generally does not translate into a cure. And saying that if you remain alive for 5 years means your cancer is cured is scientifically baseless.

These are the “truths” that you may have missed out or you have not been told.  Read the medical literature, no one ever talks about cure for cancer. If they do, they generally mean being alive for 5 years. That is not cure! It is only a remission.  We have seen cancer recurring even long after that. My aunty had a recurrence after 13 years. Her cancer spread to her lungs and she died.

So when we sent this lady teacher home to “learn” more we were just being truthful – we cannot cure any cancer. Unfortunately she did not want to learn. She portrayed as a well-informed patient who knew all the medical terms — “after all I am the wife /also mother, of medical doctors.”

Patients who come to us with this kind of “shopping-for-magic-bullet” mentality, are sure to be very disappointed with us. We would send them home without any herbs and ask them to think over.

We understand most patients who come to us are generally medically given up – they have gone though all possible medical treatments and failed. They have nowhere else to turn to for help. I used to jokingly tell patients, “Yes, we are the last one stop.” Given that situation what do patients expect us to do? Cure their cancers? And we, at CA Care, promising them a cure?  Don’t be misled – we cannot cure your cancer. We also do not cure your medical results. At CA Care we want to heal you as a person. Healing is different from cure. Healing happens at all levels – physical, mental and spiritual.

Fast forward, April 2014 – about 2 years later. This same lady teacher came to see us again. I could not recongise her. She was dark (due to too much chemo?). I asked for her medical reports. Again – like before – she did not bring any. And she started to rattle her story below.

P: I was diagnosed with colon cancer in September 2010. I had an operation followed by 8 cycles of chemotherapy. I was okay for about 6 months. After that the tumour marker (CEA) started to go up. The cancer had gone to the liver. I did one time RFA (radiofrequency ablation). After one month, it seemed to be okay but my CEA did not go down. It was still climbing.

I did a PET scan and the result showed 2 tiny lymph nodes (collar bone) was infected, but the liver was okay.

I was started on chemo again – another 8 cycles. The CEA went down. It seemed to be okay. While on chemo, I was also given Avastin. After the chemo was completed, I was still on Avastin as maintenance.

A bit less than 6 months later, I did a PET scan. The doctor said everything was okay. But after the PET scan, the CEA started to go up again.

About a month later, I did a CT scan. There were tiny nodules in my lungs.

The oncologist started me on chemo again. This was the third round and I had 12 cycles. I was also given Erbitux.

After 12 cycles of chemo my CEA went down to 1.7 (normal 5). I continued to receive Erbitux as maintenance.

A scan later showed the nodules in the lung were still there but there were no other additional metastasis.

In October 2013, my CEA started to go up again. It was like 1.9.

My oncologist sent me to see a surgeon, to see if the infected lymph nodes could be removed. But the surgeon asked me to do a PET scan first before considering surgery. I did a PET scan.  The result showed everything was clear except for one nodule in my right lung. This could be an early metastasis. The surgeon was unable to proceed with the surgery because the nodule was too small. So nothing was done.

Today my CEA started to go up again. And all this while I was still on Erbitux.

Just before the Chinese New Year (January 2014) the oncologist started me on 5-FU (chemo again). My CEA was going up and Erbitux was not effective anymore. That was why the doctor added the 5-FU. I received this every week.

Even with the added 5-FU my CEA had gone up to 5 (from 1.7 before October 2013).

I have been going  for the chemo but for a few times now, I started to feel restless 5 or 10 minutes after receiving the drug. I felt restless and did not know where to put my legs, where to put my hands. I could not concentrate. When I talk to you, my eyes cannot focus on you. I am just restless and don’t know what to do. I don’t know whether this is the effects of the drug or it is psychological effect.

Two weeks ago, when they put the drug in, I felt very difficult. They called the doctor in. The doctor wanted to give me steroid (prednisone). But the week before I have asked the oncologist to take off the prednisone because it made me very drowsy. So when they wanted to give this again, I said no!

Last week I went to see my oncologist again. He stopped the Erbitux and said I was already too long on this. So he just gave me only 5-Fu. But I still felt restless even with only 5-FU.

In total I am on chemotherapy  for three and half years. (Note: 3 rounds of chemo with a total of 28 cycles besides the weekly 5-FU, maintenance Avastin and Erbitux).

Chris: To be honest, I am surprised that you are still alive today. I really don’t know what I can do to help you. What do you expect me to do in this situation? Because I don’t believe that by taking the herbs your CEA is going to come down, honestly. Now it is just at 5.

Patient: But I am scared that it will  go up.

C: Why do you worry wanting to get the CEA down – CEA is not going to kill you.

P: But every time the CEA went up, I went for a scan and they found something in there.

C: That is normal. We all know that. Nobody can cure any cancer. That’s my experience. What is more, even when you get cancer, they tell you to eat anything you like.

P: But I did “pantang” (abstain from certain food).

C: But the way you “pantang” is not the way we teach you to “pantang” at CA Care. It is useless if you don’t do it right. Follow what I tell you fully or don’t. No half measure.  Again let me tell you. If you come and see me hoping that your CEA can come down, no, I don’t think that is the correct logic. Honestly, I don’t think it will come down. For three and a half years the doctors could not get it down, and you expect me to do it!

P: It will not come down but I hope it will not go up.

C: I don’t know. You need to know that cancer cells are not the same, they are different. After round and round of chemo, some cancer cells are killed, but some can still remain alive or are not affected by the chemo drugs. Because of that some patients suffer from “more aggressive” cancer after chemo. Researchers have shown that chemo makes cancer more aggressive. That is why chemo does not work.

This is the attitude of patients. When all else have failed they come to us and expect me to do magic. How could I do it? My answer to you is, I am not going to be able to do it – as simple as that.

Other people may say, “Yes take this and take that, your CEA will go down, etc., and etc.” But I am not sure if this is going to be true or not. Why don’t you come back to see us only after you have decided you don’t want to do anymore chemo?

P: I thought of stopping the chemo.

C: It is not a matter of thinking you want to stop chemo. You have to decide – do you still want to continue with your chemo. If you want to continue, go ahead with the medical treatment. You have to be clear about this. I suggest that you go home and continue with your chemo.

Come and see me only after you have decided to give up chemo totally. When you reach that point, and you don’t want to do chemo anymore, and you have nowhere to go, then come and see me. Then we will try the herbs.

For now, don’t take the herbs yet. Go back and when you tell yourself. “I don’t want any more chemo and I have nowhere else to go,” then come and see Chris Teo. Then I’ll give you the herbs.

P: Now, I want to take a break from chemo and I want to take the herbs.

C: Take the herbs for how long?

P: Your wife suggested to try the herbs for one month.

C: You can take the herbs for one month, but I am going to tell you it is not going to give you any significant effects. No way. You have been on medical treatment for three and a half years and it never worked and you can’t expect to take the herbs for a month and it is going to work!

P: Not to go down but to see if it can control it or what.

C: Let me tell you again. When doctors have failed to help you for three and a half years, how can you expect my herbs to help you in a month. No way.

P: But Dr. Teo, I have a friend in Kuala Lumpur. He has lung cancer. The doctor said he only has 3 months to live. He did not go for medical treatment and he took your herbs instead. He is still alive today. It has been one year already.

C: Of course, patients who have not gone for chemo do better with our herbs!

I am obliged to prescribe this patient some herbs. She came back to collect the herbs the next day. She asked my wife:

a) What are the side effects of the herbs?

b) What are these herbs?

c) Some herbs could be dangerous and affect the kidney, etc.

My wife replied: No one has died because of our herbs. And many have been taking these for years. If you are afraid of the side effects or think they are dangerous, please don’t take them!

Comments: For those who have cancer and who know how to read, I strongly suggest that you read my recent book, Cancer – What Now?

Cover Front JPGIn this book I have discussed many topics that are important to you and your survival. Going for whatever treatment for your cancer is about you and your choice. Your life is in your hands.  When you get cancer, it is also about you. YOU, the person. It is not just about the tumour or the rising CEA, etc., etc.

I have written many articles trying to let you all know that shrinkage of tumour and decreasing of CEA are often meaningless. It makes you feel good for a few months and the cancer comes back again. Is this not what happened to the lady teacher above? PET scan said okay, all clear but soon something pop up again somewhere! More chemo again. When do you stop chemo?

In Chapter 3 of the book I talked about the types of patients who come to see us and their attitudes – wanting to find a magic cure when there is NONE. Of course, you can go for chemo, surgery, take this supplements and that supplements – beware of the empty promise! In Chapter 6, I wrote about the virtue of doing nothing!

I am aware that my way of dealing with cancer is rather non-conventional and against the commonly accepted norms. If you are following my writing in the websites, you will know that what we do in CA Care do help many patients. It is just whether you want to believe or not!

Look out for another story after this one. This is about a man with colon cancer who was at the point of death in the hospital and was asked to do chemo! His wife preferred to do nothing and brought him home in an ambulance! Like the Chinese say, if you have to die, die at home! This man remained alive at the point of time when I am writing this article.

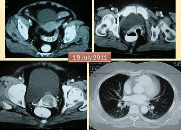
Cervical Cancer: Eighty-nine Percent Chance of Cure Vanished With the Collapse of Her Right Lung Four Months After Radiotherapy and Chemotherapy

BH (S108) is a 65-year-old lady from Indonesia.  An ultrasound of her pelvis showed her cervix was enlarged with a focal bulge over the posterior part. This bulge or mass measures about 23 x 12 mm.

A chest X-ray on 13 July 2011 showed no significant abnormality see in the lungs and heart.

A biopsy was performed on 14 July 2011 and confirmed malignant cells infiltrating deep into the cervical parenchyma.  BH was referred to a cancer hospital for further management.

A CT scan was done on 18 July 2011. It showed a bulky uterine cervix measuring 4.9 x 3.7 cm with a hypodense lesion seen within.  This is in keeping with carcinoma of the cervix. No metastatic disease is evident in the abdomen.

BH underwent radiotherapy. She was told that there was a eighty-nine percent chance that she would be cured. BH had 25 sessions of external beam radiation and 3 sessions of brachytherapy (i.e. internal radiation).  In addition BH received 2 cycles of chemotherapy. All treatments were completed by 12 October 2011.

BH said she was well after the treatment.  She came back for a check up on 25 November 2011 and was told everything was alright. She “believed” she was cured.

However, barely four months later, 15 February 2012, a CT scan showed:

  • Uterine cervix was unremarkable.
  • Presence of retrocrural, hilar and mediastinal adenopathy in keeping with nodal disease.
  • Collapse of her right upper lung, with a heterogeneous ill-defined mass lesion at the right pulmonary hilum approximately 4.6 cm, compressing the ascending bronchus and pulmonary artery.
  • A 2.4 cm, irregular soft tissue lesion present in the superior lingual left lung, likely indicating metastasis.

BH was asked to undergo more chemotherapy – 6 cycles and in addition 5 sessions of radiotherapy. She declined further medical treatment. She came to seek our help on 17 February 2012.

 

Did you ask if this additional treatment is going to cure you?

No guarantee to cure but the treatment might shrink the tumour.

In July 2011, when you had your first treatment – radiotherapy and chemotherapy – did you ask if the treatment could cure you?

For the first treatment, the doctor said there was 89 percent chance of cure. And she was “cured” after the treatment.

How could you say she was cured when barely four months later the cancer had spread to her lungs?

But the doctor said she was well after the first treatment!

It was not a cure! My aunty’s cervical cancer recurred in her lungs 13 years after an apparent “successful” treatment.

Did you suffer from your first chemo treatment?

It was difficult. My head was pounding (bursting), my vision was blurred, I vomited (the night after the chemo). I don’t want any more chemo.

Comments

  1. Many patients went to see their oncologists and were given impressive statistics of success. Patients felt reassured (never mind if the promise did not turn out to be true). In this case BH was told that she had eighty-nine percent chance of cure after chemotherapy and radiotherapy. But the reality was, barely four months later the cancer struck back and went to her lungs.
  2. Do you ever wonder why the cancer had spread so fast? Before the treatment in July 2011 her lungs were clear – no sign of cancer at all. The message is simple – in cancer, nothing is certain. The only thing that is the uncertainty of  the nature of cancer. It is unpredictable and anyone who promises you something good may not be able to keep that promise.
  3. When someone tells you — Your have 89 percent chance of cure – Do you really understand what he means? In this video the patient and his family believed that she was cured. She was alright for four months. Surely being well for four months does not mean cure at all.
  4. This case reminded me of another case of a lady from Kuantan. She came to CA Care on behalf of her 88-year old mother who had inoperable colon cancer (meaning the tumour was still in her colon). Her mother took herbs for just a  month. Her CEA decreased from 19.9 to 17.3, CA 125 decreased from 37.4 to 20.9 but her CA 19.9 increased from 51.6 to 313.5. The daughter, (a bank manager) wrote: I just trusted the wrong DR quack.  Another relative (brother?) wrote: How irresponsible a “doctor” you claimed to be. When patients come to CA Care we never promise anyone a cure at all – what if we were to say you have 89 percent chance of cure? What would you call such a person then?

Breast Cancer: Surgery and Hormonal Therapy Did Not Cure Her

SH (H785) is a 67-year-old lady. She was diagnosed with breast cancer in January 1998. A left mastectomy was performed. The histopathology report of 13 January 1998 indicated two malignant nodes. No residual tumour in her breast. Axillary fat and lymph nodes were free of tumour.

No chemotherapy or radiotherapy was indicated. But SH was put on Tamoxifen. She took this drug for 6 years.

SH said she was well all these years and her progress was monitored by her doctor. About 10 years later, in early 2009, SH developed shortness of breath. She could not lift her left arm. She was tired and lost her appetite.  A chest X-ray indicated large left pleural effusion. SH had the fluid in her lung tapped out. A CT scan on 7 January 2009 indicated several subcentimeter nodules in her left lung. The lymph nodes in the left axilla and aortopulmonary window were enlarged. Impression: left pulmonary and pleural metastasis.

SH sought a second opinion from another oncologist at a university hospital. Another CT scan was performed and it also confirmed a metastatic breast cancer with left pleural effusion with small benign liver cysts.

A bone scan done on 29 January 2009 indicated multiple skeletal metastases in the sternum and two ribs on the left side.

SH was prescribed Arimidex – another oral chemo-drug for breast cancer. She was on this drug for 2 years.

In August 2011 SH developed shortness of breath again.  A CT scan on 4 August 2011 confirmed presence of mild left pleural effusion. Fluid was tapped out of her lung again.

The doctor told SH that Arimidex did not work for her. She was prescribed yet another oral drug – Aromasin. SH was on this drug for about 3 months now. At the same time SH received Zometa injection (for her bone) every 6 weeks. Each Zometa injection cost RM 1,200.

A bone scan done on 18 March 2011 indicated “sclerotic bone metastases in manubrium showing activity.” SH was told that if Aromasin did not work for her, she would have to undergo intravenous chemotherapy.

The following are her CA 15.3 readings throughout the years.

Date CA 15.3
17 January 2009 149.0
4 March 2009 230.0
8 July 2009  30.0

Year 2010 fluctuating values under 30.0

26 April 2011 51.0
22 June 2011 66.0
4 August 2011 67.4
27 October 2011 164.5
24 November 2011 227.0
23 December 2011 231.7
31 January 2012 477.0

SH and her family came to seek our help on 5 February 2012.

Below is her AcuGraph reading on 5 February 2012 which indicated a rather unbalanced internal energy.

Comments

Why did you take tamoxifen? To prevent recurrence, so you are told. Some patients are also often told this – if you survive 5 years, you are cured of your cancer! What a great lie. Did tamoxifen cure cancer in this case? It must have since his patient had survived for 5 years. That, “medically” is defined as a cure. But, you never ask – what if she does not take tamoxifen? She may also survive 5 years! Anyway the cancer came back after 10 years. This time it struck the lungs and the bones. Where then is the so called cure?

Reflect on the quotations below:

Second-Line Treatment: Arimidex

Arimidex (anastrozole) is indicated for the treatment of advanced breast cancer with disease progression following tamoxifen therapy.

Side Effects:  Patients receiving Arimidex had a mean decrease in both lumbar spine and total hip bone mineral density. Patients should be informed that Arimidex lowers the level of estrogen. This may lead to a loss of the mineral content of bones, which might decrease bone strength. A possible consequence of decreased mineral content of bones is an increase in the risk of fractures. Arimidex may also cause heart disease.

Effectiveness:

 Pooled Efficacy Results of Second-line Treatment

Source: http://www.rxlist.com/arimidex-drug/clinical-pharmacology.htm

Final results of the Arimidex, tamoxifen, alone or in combination (ATAC) trial, presented at  the San Antonio Breast Cancer Symposium and published simultaneously in The Lancet, found that, compared with tamoxifen, anastrozole (Arimidex) improved disease-free survival by 13% and increased time to recurrence by 21% ,however, there was no statistically significant improvement in breast cancer survival or overall survival. (Note: be skeptical when reading figures like such percentages – they could be manipulated to bring out only the positive message.)

Some researchers questioned whether use of Arimidex was justified in light of its higher cost ($6.56 per day for Arimidex versus $1.33 per day for generic tamoxifen) and lack of a demonstrated survival benefit (Source: Journal  National Cancer Inst (2005)97 (2): 86-87)

There are 197 comments by women taking Arimidix (as of 27 February 2012) in the website below: http://www.webmd.com/drugs/drugreview-4511-arimidex+oral.aspx?drugid=4511&drugname=arimidex+oral

Below are some examples.

Comment 1: Have not had bothersome side effects from this med so far, but am experiencing hair thinning. Some aches in a hip and knee, lack of sex drive, minor hot flashes …So far this med has not bothered me.

Comment 2: I am 63 and found I had breast cancer at 60. Had lumpectomy, 6 chemos over 7 months (carboplatin, docetaxol, nausea med, Herceptin IV’s, and a Neurlasta shot), followed by 8 more IV’s of Herceptin over 8 months, along with 31 radiation treatments, at last one 1miligram Arimidex  I’m to take for 5 years daily. My complaint is that I was completely bald all over…I had started daily Arimidex  about June 2010. A month ago, I was looking at some old pics made in May2011, and it started to hit me that my hair was thicker with more coverage than NOW (Jan. 2012). It was heartbreaking, it was becoming thinner and patchier on top front where you want it the most. I accidentally happened on a site, read that 40 or more women sharing this experience, and most believed it was the Arimidex. I tried Femara for 2 mo. with no improvement. I have aches and pains and feel “aged from the inside out” … I might just drop the Arimidex, take no “cancer” pill, and pray it won’t come back.

Comment 3: Taking this med for approx. 2 months. Extreme lower back pain 2 weeks after started, brushed it off. At this point just using my arms is very painful. My shoulders are in extreme pain. Talked to oncologist nurse and am changing to another but as of today I just want to cry I am sick of all this pain. Did not have any of this before!! I am in no way a baby, and can handle pain but even I have reached my limits. Hope this helps someone else who is experiencing the same issues with this drug.

Comment 4: I used this drug for 3 years and 4 months thinking I was doing fine on it. Suddenly I felt like my crotch was on fire. It took another 2 months of doctor appointments and medical procedures before I had a doctor that made the connection. Vaginal dryness given as a side effect is a huge under-statement. I’ve been free of this drug for 10 weeks and on estrogen cream for 4 weeks and am still miserable.

Comment 5:  Constipation, depression, lack of motivation,  muscle weakness One plus sleeping 6 hours a night instead of 5.

Comment 6: I thought I had it made …no symptoms except a little weight gain… Now my thumb is locking up and I had no idea it was from the Rx until reading the other reviews. I am achy after sitting for a short time and have really sharp pain in the back of my hand sometimes when I pick something up, even a cup of coffee.

Second-Line Treatment: Aromasin

Aromasin (exemestane) is indicated for the treatment of advanced breast cancer in postmenopausal women whose disease has progressed following tamoxifen therapy.

There are 99 comments from patients  taking Aromasin http://www.webmd.com/drugs/drugreview-17966-Aromasin+Oral.aspx?drugid=17966&drugname=Aromasin+Oral. The following are some examples:

Comment 1:  I have been on this medicine for 4 1/2 years. The past few months have been the worst. Every joint in my body hurts, night sweats and sleepless nights. It takes all I have to get out of bed in the morning.

Comment 2:  Shortly after starting the drug (04/2010), I developed a cough, which I still have. Had a dose of sinus infection, sore throat, worse coughing just before Christmas. Chose to let my immunity fight it off instead of antibiotics. Took 3-4 weeks to get over it, but I did it on my own. Still have the cough. Tried arimidex first-made my hands, feet and face swell. Satisfied with aromasin except for cough.

Comment 3:  I had a forced menopause after the 2nd cycle of chemo for my stage 2A BC. Never taking tamoxifen, was prescribed Femara for 2 months and then switched over to Aromasin following the chemo and radiation therapies. It has been 6 months since taking Femara and Aromasin. First experienced severe back and knee pains then had hand surgery for my Carpel Tunnel syndrome and now the pains has extended to all bones and joints, mostly in my hands and wrists. Memory loss and attention deficit is getting obvious. Hot flashes and insomnia is concerned. Without having daily walk and exercise and Melatonin Plus for sleep support, I would be miserable with all the side effects from the drugs.

Comment 4: After 20 days on arimidex I was suicidal, had severe bone pain, severe insomnia. I switched to aromasin and have found it easier to tolerate if I take meds for the side effects. I take ambien to sleep, percocet for pain, wellbutrin for depression. It’s either treat the side effects or I have a 70% chance of cancer recurrence. I will give it six months because sometimes the side effects do get better and I don’t want to die at age 63. But there does come a point when quality of life wins out – however short it may be.

Comment 5:  Have had major side affects with it. Tried Arimadex first, then was prescribed this one; a little more manageable, but still have trouble. Joint pain, sweats, muscle cramps and renaud’s syndrome.

Comment 6: I was prescribed aromasin by my doctor after the other 2 AIs had adverse side effects. I took it for 3 yrs and 3 months. I could not tolerate the lack of quality of life.

Utero-Ovary-Lung Cancer, Part 4: Health Improved After the e-Therapy

Acknowledgment: Permission to use videos and pictures without having to mask the patient’s face is granted by the family.

 

20 December 2011

  • She was unable to urinate. Her bladder felt full and distended. We advised her to seek doctor’s help if the problem persisted.
  • Her legs had no strength.
  • After the first Detox program, she felt better .

Chris:  What do you mean by better?

Patient: My fingers are not tight any more – before I felt tight. I can now move my feet. Before, I was not able to do that.

(Patient stood up with the help of her son – she was not able to this before).

21 December 2011

  • She was able to urinate – problem resolved.
  • Strength and movements of her legs improved.

What about your breathing?

P: Good. It is getting better.

Okay Ibu, you came yesterday. Compare your condition before you did the therapy yesterday and today after doing the therapy – did you feel any better?

P: Yes, I felt better. I can now stand up. I can walk. I feel more alert.

D: She started to move her bowels again.

Slowly. I believe you will benefit more in the next few days. You are getting better now. Go home and learn how to take care of yourself. Do not do anything that is not right.

D: Mama, it is only one week (on the CA Care Therapy).

I really cannot believe that it was only last week that you were in the hospital on oxygen – and now you are here.

22 December 2011

Patient has undergone three sessions of the e-Therapy.

  • Last night was unable to sleep because she had to move her bowels and also urinate (Note: on the first day before the e-Therapy she was unable to urinate).
  • Yesterday her bowel movements were six times in the day time and four times at night.
  • Because of her frequent bowel movements she was not able to sleep well. She also feel weak.
  • Her stomach felt uncomfortable – with churning pain.
  • She sometimes coughed with white phlegm.
  • Her legs still lacked strength.

23 December 2011

  • Her stomach was still painful.
  • Bowels movements had reduced to six times.
  • Her coughing had improved.
  • She still lacked strength in her legs.

24 December 2011

RJ and her family were ready to go home. In the morning we went to visit them in their apartment.

  • Patient was doing alright. She had no more pain – the stomach pain she complained about earlier was gone.
  • There was no breathing difficulty at all and she was able to sleep flat.
  • Her frequent bowel movements were resolved.
  • Sleeping was difficult.
  • Coughs still persisted.

Daughter: For the past two days, mama was able to walk to the dining table outside to have her food there. Her appetite started to improve.  Last night she had difficulty sleeping. Her coughs still persisted. But this was not as bad as when she was in the hospital.

 

Utero-Ovary-Lung Cancer, Part 3: A Miracle Happened: An Interview with Her Daughter and Her Brother

Acknowledgment: Permission to use videos and pictures without having to mask the patient’s face is granted by the family.

 

Gist of our conversation

  1. Two days after her return from receiving chemotherapy in Singapore, RJ started to cough and she had fevers. She lacked strength. She was hospitalized in Methodist Hospital in Medan. At that time RJ was still able to walk by herself.
  2. Later her haemoglobin and platelet dropped and she had a blood transfusion. Eight packets of blood were given to her.
  3. After three or four days in the hospital, she was not able to walk. She had no strength.
  4. Suddenly she became breathless. X-ray indicated fluid in her lungs. The doctor tapped out the fluid using a syringe. The first tapping consisted of 19 withdrawals of 60 ml each. X-ray indicated there was still more fluid in the lung.
  5. A second tapping was done – consisting of 12 withdrawals of 60 ml each.
  6. Even after the pleural tapping, RJ still had to use oxygen for breathing.
  7. Before the pleural tapping, RJ was breathless and was on oxygen but at this point in time she did not gasp for air. After the first pleural tapping – the breathing was the same. But after the second tapping, her breathing became heavy and she was gasping for air.
  8. On 15 December 2011, her daughter started to give her CA Care herbs. Capsule A, Lung 1 + Lung Phlegm and Lung 2 + Lung Phlegm.
  9. From 15 December 2011 onwards, RJ was only on CA Care’s herbs. Her daughter kept aside all doctor’s medication.  This was done without the knowledge of the doctor or the nurses in the hospital.
  10. After taking the herbs, RJ started to discharge a lot of phlegm. In addition she moved her bowels very often and discharged a lot of stools. The first bowel movement had some traces of blood. After that it was normal – no blood.
  11. By 17 December (three days on herbs) RJ was able to breathe normally. There was no need to use oxygen anymore. She was also able to recognize people around her.  Before this she was not able to recognize the family memebrs around her.
  12. Even though she was on oxygen, RL was still gasping for air.
  13. After taking Cough 5 tea for two days, RJ did not cough anymore. Before this she was coughing very badly. So with no cough her breathing became normal.
  14. An X-ray indicated the lung had improved.
  15. After the herbs started to help RJ, the daughter began to gradually reduce the flow of oxygen in the tube.  This was done without the knowledge of the doctor or nurses. She even told the doctor, “Let me take charge of the situation.” The doctor responded, “You become your own doctor.”
  16. On 17 December 2011, the doctor told the family to go home and pray. The cancer had already spread   throughout the body. The daughter said, “At that time mother was really in terrible condition. She was gasping for breath, her eyes rolled upwards and she was not able to recognise any one of us. I had to dig into her mouth to open it and she bit me.”
  17.  All the family members from different parts of Indonesia flew home to be with RJ.
  18. On 18 December 2011, the situation improved. The oxygen supply to the tube was totally cut off. RJ did not need any more oxygen.  The doctor came in and said, “It is a miracle. Now you can go quickly to Penang.”
  19. RJ was discharged from the hospital on 19 December 2011, and the next day, she and her family flew to Penang.

We asked her daughter, “Did your mother really benefit from the herbs?”

She replied, “Now there is a vast difference in my mother’s condition. She had improved so much. She is beginning to have more strength and was able to move by herself. Even on the first day we came here, 20 December and now – two days later, there are a lot of improvements. The only problem she has now is the pain in her stomach.” (Note: this stomach pain was gone after the e-Therapy!).

Utero-Ovary-Lungs Cancer, Part 1: She Almost Died After Spending Two Billion Rupiahs on Chemotherapy in Singapore

Soon after undergoing chemotherapy in Singapore in December 2011, she ended up in a hospital in Medan. Is this the final destination after a long journey – one and half years of chemo and spending about two billion rupiahs? On 17 December 2011, all family members from various parts of Indonesia flew home to be with her. She was gasping for breath and unable to recognise people around her – her eyes rolled upwards and were not responsive. The doctor told the family members to just pray.

On 18 December 2011, a miracle happened – three days after taking Lung 1 and Lung 1 plus Lung Phlegm. Breathing normalized and she did not need oxygen anymore. On 20 December 2011 she and her family flew to CA Care Penang. For more, read Part 2 & 3 of this story.

Quotation: According to Big Pharma and the cancer industry, death from chemotherapy is acceptable as long as standard chemo protocol has been adhered to ~ Dr James Forsythe, The Compassionate Oncologist, pg. 91.

——————————————————————————————————————–

RJ is a 55-year-old female. She was a tennis champion.  Sometime in April 2010 she accompanied her daughter to Penang. Her daughter came for a checkup regarding her pregnancy. RJ ended up undergoing a checkup herself.  The gynaecologist suggested that RJ remove an 8 cm tumour in her uterus.  So, RJ underwent a THBSO procedure (total abdominal hysterectomy-bilateral salpingo-oophorectomy).  There was no mention of cancer after the surgery.

About 3 months later, RJ was asked to do a CT scan and PET scan. It was then that she was told she had cancer. She was asked to undergo chemotherapy. She refused.

Not satisfied, RJ went to Singapore for consultation.  A PET scan indicated metastasis to her lungs. RJ underwent chemotherapy  —  a total of about 20 cycles (not sure, lost count) spread over a period of over one and half years.  The drugs used were:  Gemzar & Docetaxel and Doxorubicin & Avastin.  The family was told with chemotherapy, there was a 40 percent chance of cure.

A PET scan on 16 February 2011 indicated:

  1. Multiple bilateral nodules in the lungs (3.2, 2.1 cm) while the smaller ones are likely below the resolution of FDG PET.
  2. No pleural or pericardial effusion noted.
  3. FDG uptake in the rim of a nodule in the right side of the pelvis, abutting the sigmoid colon and superior to the bladder.
  4. Paraaortic and mesenteric nodules.

The doctor told her that her lungs were clear of cancer. But in spite of that, RJ was asked to take the oral drug, Iressa for 3 months. She suffered severe Itchiness throughout the whole body.

She went back to Singapore again – and this time to another hospital. She was told that her problem was due to Iressa and she should stop taking the medication.

A CT scan on 29 September 2011 indicated:

  1. Nodules of sizes ranging from 0.5 cm to 2.9 cm in both lungs. The largest mass in the lingual lobe measures approximately 7.2 x 5.8 cm. This abuts the adjacent pericardium. There is also small amount of pericardial effusion.
  2. There is also a tiny left pleural effusion.

CT of 29 Sept 2011

A medical report written on 5 October 2011 reads: “Depression Counselling:  Cannot accept impending demise. Can’t sleep. Hoping for cure.”

RJ was asked to undergo more chemotherapy. She did as told. She received her last chemo in early December 2011. Two days after returning home from Singapore she started to cough and had fevers. She was hospitalised in Medan on 8 December 2011. While in the hospital her condition deteriorated and she became breathless. In spite of being given oxygen, her breathing was difficult and she was breathing like a fish gasping for air. Her eyes rolled and she was unable to recognize people around her.

At that point, a visitor told her family: “Why don’t you go and see Dr. Teo?” The next day, 14 December 2011, her two daughters flew to CA Care Penang to seek our help. The following is our conversation that day.

Acknowledgment: Permission to use videos and pictures without having to mask the patient’s face is granted by the family.

 

Cost of Medical Treatment

The daughters told us that in all the treatment cost almost 2 billion rupiahs.  Below  is the cost to undergo chemotherapy in Singapore (value in Singapore dollars. S$1.00 = RM 2.43, S$1.00 = 6,991 IDR).

Table 1: Estimated cost for chemotherapy with Docetaxel + Gemcitabine.

Table 2. Cost of a cycle of Gemcitabine (Gemzar) + Docetaxel

From the above a cycle of chemotherapy would cost approximately S$5,000. For a regimen of 6 cycles the total cost would be about S$45,000. Plus expenses for scanning etc. add in another S$3,000. So all in all, a patient should expect a total cost of about S$50,000 or RM 120,000 or IDR 350 million for the first round of chemotherapy.  But first round may not be good enough. Patients may need more rounds.

The cost goes through the roof when Avastin is used like in this case. But what actually is the benefit of Avastin? Do you know? Click this link to know: https://cancercaremalaysia.com/2011/05/27/dissecting-chemotherapy-part-6-avastin-does-not-cure-cancer/

Table 3.  Cost of a cycle with Avastin was about S$ 12,000 (RM 29,000 or IDR 84 million).

Some questions for you to ponder on

  1. Having spent about one and a half years on medical treatments in addition to a big bundle of rupiahs –  what do you think of this case? They say the treatment is proven and scientific – but what is the reality? What is proven?
  2. Being alive for one and half years but spending most of the time in and out of the hospital – is it worth it? Have you read this posting – How much is life worth? https://cancercaremalaysia.com/2011/05/27/dissecting-chemotherapy-part-4-how-much-is-life-worth-erbitux-for-lung-cancer/
  3. Do you believe that chemotherapy has a 40 percent chance of cure as claimed by the doctor? What percentage of success would you give in this case? What does the medical literature say about cure for lung cancer?
  4. This is an era of information technology. Check with the internet and ask if chemo-drugs such as Gemzar, Docetaxel, Doxorubicin and Avastin ever cure this kind of cancer? Patients – you should empower yourself!
  5. Often, alternative practitioners are accused of being charlatans, snake oil peddlers and worst of all provider of false hope! In this case, is the pot calling the kettle black? Who is actually giving false hope to patients?
  6. Does it ever occur to you to ask this question – What if I just DO NOTHING? Do you think you would end up almost dead after one and half years? Read this story about Ella https://cancercaremalaysia.com/2010/12/11/an-evening-with-ella-our-patient-our-friend/

When RJ’s daughters came to us on 14 December 2011, this was what I told them: “In such a situation (mother about to die in the hospital) I really don’t know what to say or do. I can give some herbs and you go home and try them. If she survived, come back again with all the medical reports. Now, what I can say is – just try. If you are lucky and with God’s blessing she might come out of the hospital alive, otherwise I really don’t know.”

This is not the first “about-to-die” case being brought to us. We encounter such cases very often. When nothing else can be done, family members come to us for help. What can I do? Pretending that I am a superman?  Or,  a god of some kind?  Since CA Care’s mission is to help the helpless and the lost, we generally do not turn them away. Make no mistake at all – we do not promise you a cure. We also do not promise we can resolve your problems. What we can do is try our best to help you the way we know how.  We understand that you have suffered enough and also have spent enough money on those medical treatments. CA Care is not here to “suck you dry” of your last dime before you die. We have no intention of misleading or cheating you. If we can provide you with some sense of “last” hope, we are here ready to help – often at the “risk” of being labeled a charlatan or quack. Nevertheless, the risk we take sometimes turn out to be a satisfying success – a miraculous blessing as you will see in this case.

Update: We received a sms informing us that the patient died in the early morning of 21 February 2012.

Kidney-Lung-Brain Cancer: Sutent = Heart Damage

MF (H614) is a 49-year old male.  He and his family came to seek our help on 27 May 2011. Watch this video and listen to his story.

 

 

Gist of our conversation.

  • MF was diagnosed with kidney cancer in June 2004. As a result his left kidney was removed. This operation cost him RM 8,000. After the operation MF was told that everything would be alright since the cancer had been removed. He was told not to worry and could go back to his normal life again. After all, the cancer has been cured.
  • It was not to be.  Three years later, June 2007, the cancer had spread to his lungs. MF received 10 times of radiation treatments. Then he was told that there was no further treatment.
  • MF turned to herbs. He received fresh herbs from a farm in Johor. He took the herbs for almost one a half years. According to MF, his lung cancer did not improve, but he did not get worse either.
  • But a CT scan done on 1 April 2009 showed the mass had increased in size from 5 x 5 x 7cm to 4 x 11.5 x 6 cm. The lymph node increased (?) from 2.5 x 4.5 x 6 cm to 3 x 3 x 4 cm. Impression: Features are suggestive of progressive enlargement of the right hilaar mass with lymph nod metastasis. Suspicious right main pulmonary artery thrombosis.
  • MF turned to medical treatment again. In May 2009, he was accepted into a Patent Assistance Program on Sutent offered by a local university hospital. For the first three months on Sutent, MF had to pay a total cost of RM 51,000 for the drug. After that, Sutent was supplied free of charge.
  • A CT scan on 4 September 2009, i.e.,  after about four months on Sutent – showed the right lower lobe is much smaller now …  measures approximately 5 x 4.4 cm.  Impression: Left renal cell carcinoma with lung metastases post nephrectomy and chemotherapy showing good response to chemotherapy as evidenced by significant reduction in size of the lung metastases.
  • MF was on Sutent from May 2009 until March 2011. He took 4 pills a day for 4 weeks followed by 2 weeks of rest. Then the cycle was repeated. He suffered numerous side effects after taking Sutent. Among them are:
  1. swollen and bleeding gum
  2. fingers of skin became thin and peeled off
  3. legs with blisters with fluid. It was painful when he stepped on the floor.
  4. rashes on the body
  5. breathing was slow
  6. coughs with blood clot
  7. skin became yellow like jaundice
  8. his black hairs and eye brow turned white
  9. urine with bubbles
  10. the worse side effect was heart failure – currently on heart medications.

He wrote, “This problem (heart failure) was detected in February 2011. And the doctor advised me to stop Sutent indefinitely. Now, I am looking for an alternative treatment. Hopefully you can help me.”

Update

 

3 June 2011

Dear Dr. Chris,

My father, from Malacca who visited you last Friday (27 May 2011) at Penang was admitted to Melaka General Hospital today. He doesn’t have energy to walk, lost the power to speak and see everything in blur ways. May I know what causes all these? My mother gave him the herbal tea to drink as you told. And he lost his appetite. Thus when the doctor checked his sensitivity, his left side of body is less sensitive than his right side of body. Are these the symptoms of having mild stroke? Hope you can reply me as soon as possible. Thank you.

Reply: I cannot tell you exactly what happen — because I am not there to know what actually was going on … even more so when after all the drugs that he was taking …. he is the one who took Sutent and got the heart attack right?

7 June

Dear Dr.Chris,

My father’s cancer cells from the kidney which spread to the lungs a few years ago, now has spread to his brain. I found this from the doctor after doing the CT scan yesterday. The doctor says that there are many white spots on his brain and he has a high level of calcium. Doctor says that maybe it has spread to the bone too, but unfortunately, they don’t have the machine for the bone scan in Melaka General Hospital. And, my father keeps on complaining about his headache. What should my mother and I do right now?

Reply: I think I have already told you this … from the Kidney it goes to the lungs and from the lungs it goes to the brain. That is the way it goes and Suntent makes things worse. I am in the US now and shall only come home in July. I really don’t know what else to say.

Lessons we can learn from this case

1. Surgery does not cure any cancer. It is a big mistake to think that after a surgery, the cancer is gone. It is most unfortunate that patients are not forewarned of this possibility of recurrence.  Even if you are told that the cancer has all been taken out, please take this with a pinch of salt! The cancer can come back again. And if you are told to go home and eat anything you like, remember that may not be a good advice at all as in this case. Read another story, Kidney Cancer Part 1: Get it removed! …….

2. MF was on herbs for more than a year. He was not getting worse. He said he was not getting better either. For sure, he did not suffer during those months while on herbs. Also he did not have to spend RM 51,000 on the herbs. MF turned to Sutent and he took the drug for over a year. He had to endure all the side effects. Sutent consumption had to be stopped after his heart was damaged. Which is more beneficial – the so called unproven herbs or the so called scientifically proven Sutent? In addition to those side effects, he had to fork out RM 51,000 –  worth it?

3.  After about four months on Sutent, the CT scan showed the lung mass became smaller. The CT scan report reads, “good response to chemotherapy as evidenced by significant reduction in size of the lung metastases”. Unfortunately, reduction in tumour size (although accepted by the US-FDA and medical community as an indicator of effectiveness) is meaningless. After a prolonged consumption of Sutent, in February 2011, MF suffered a heart failure and the doctor advised MF to stop taking Sutent indefinitely. So ended this sad story about Sutent.

4.  Before taking any chemo drugs – this is our advice to all patients. Ask some basic questions first  — such as, Can the drug cure your cancer? What are the side effects of the drugs?  Check with the internet to verify the information provided to you by the doctors.  Be reminded by what Professor Jane Plant said (in Prostate Cancer, page 231), “Much of the advice given to us, even from some government sources, cannot be regarded as reliable, because of the overwhelming influence of vested-interest groups. We must, therefore, rely very much on ourselves and our own efforts to safeguarding our health.”

Below are information obtained from the official website of the Sutent company http://www.sutent.com/

The possible side effects of Sutent are

  1. SUTENT can cause serious liver problems, including death.
  2. SUTENT may cause heart problems, including: heart failure, heart muscle problems (cardiomyopathy) and abnormal heart rhythm changes.
  3. SUTENT may cause high blood pressure
  4. SUTENT may cause bleeding sometimes leading to death. Serious bleeding problem such as painful swollen stomach (abdomen), vomiting blood, black sticky stools and bloody urine
  5. SUTENT may cause hormone problems, including thyroid and adrenal gland problem.
  6. Tiredness that worsens and does not go away
  7. Loss of appetite
  8. Heat intolerance
  9. Feeling nervous or agitated, tremors
  10. Sweating
  11. Nausea or vomiting
  12. Diarrhea
  13. Fast heart rate
  14. Weight gain or weight loss
  15. Feeling depressed
  16. Irregular menstrual periods or no menstrual periods
  17. Headache or change in your mental status.
  18. Hair loss
  19. The medicine in SUTENT is yellow, and it may make your skin look yellow. Your skin and hair may get lighter in color
  20. Weakness
  21. Fever
  22. Gastrointestinal symptoms, including diarrhea, nausea, vomiting, mouth sores, upset stomach, abdominal pain, and constipation.
  23. Rash or other skin changes, including drier, thicker, or cracking skin
  24. Blisters or a rash on the palms of your hands and soles of your feet
  25. Taste changes
  26. Pain or swelling in your arms or legs
  27. Cough
  28. Shortness of breath
  29. Bleeding, such as nosebleeds or bleeding from cuts.

Alert … Beware

I accessed this link on 18 September 2011: http://www.druglib.com/adverse-reactions_side-effects/sutent/seriousness_death/

Sutent (Sunitinib) – Adverse Event Reports – Death

Cases resulting in death (704). You shall see the entry like this …

Suspect drug(s): Sutent

Possible Sutent side effects / adverse reactions in 52 year old male

Reported by a physician from United States on 2010-03-31

Patient: 52 year old male, weighing 70.0 kg (154.0 pounds)

Reactions: Renal Cancer, White Blood Cell Count Increased, Disease Progression

Adverse event resulted in: death

Suspect drug(s): Sutent

Read more: Sutent for Advance Kidney Cancer https://cancercaremalaysia.com/2011/09/18/sutent-for-advanced-kidney-cancer/

Kidney Cancer Part 2: Two Oncologists Two Different Opinions – Is Sutent indicated in this case? https://cancercaremalaysia.com/2011/09/19/kidney-cancer-part-2-two-oncologists-two-different-opinions-%E2%80%93-is-sutent-indicated-in-this-case/

Read more about Kidney Cancer:  https://cancercaremalaysia.com/category/kidney-cancer/