Lessons I Learned While Warded in the Hospitals! Part 3: Undergoing surgery – was that a correct decision?

I was recovering from my fall for about 2 months. I almost fully regained my health, and I was looking forward to going home to Penang. Suddenly I had a relapse. My left leg was very weak and painful. I could not stand up. I was not able to walk again.

I was taken to hospital C (in Johore) which is about 1 hour’s drive from Singapore. The doctor did a scan of my head. The swelling had grown bigger. The next morning, the neurosurgeon, my wife and daughter sat down for a discussion. What option do I have now?

The surgeon laid out only one possibility – undergo an operation immediately. I asked the doctor some questions.

  1. Can the surgery “kill” the patient? Like during the surgery, the patient just died. While this is possible, it is not likely it will happen in my case.
  2. Can surgery cure me? Not likely. There is NO cure. The fluid may come back again.
  3. Looking at my case, can surgery help me to regain some aspects of my health? Most likely but there is no guarantee.
  4. Do I need to do more surgeries in the future? Surgery after surgery? May be, no one can predict this.

Based on the answers I got, I have decided there and then that I would proceed with the surgery. I have no other choice. I don’t know if there is any non-medical alternative to my problem either. In other wards I am ignorant like most cancer patients. Yes, over the years, I have helped many patients with CANCER of the brain, and they recovered. But my case I don’t have brain cancer!

My only request to the doctor and my family members is do not try to be a super hero. If my chances of survival or recovery is remote, please don’t try to save me at any cost. Let me go in peace. I don’t want to suffer – drag on and on until I die. It is not worth it. I am ready to die.

A friendly anaesthetist visited me to explain what is involved in the surgery. I was to be given a general anesthesia injection. This anesthestics will gradually make me “go to sleep”.  The surgeon shall then work on me. There will be no pain!

So, the question – did I make the right decision to undergo this emergency operation? Let me say that I received a “miraculous healing” immediately after the operation. Before the operation, I could not move my left leg – no strength and painful. After the operation, my left leg immediately had more strength and all pain disappeared. In fact, my left leg is now much stronger than the right leg. Thank you, doc, for your help. The operation did a lot of good for me.

Let me be clear. I am not anti-doctor, although I am critical with what some doctors do or tell their doctors to do. I have read enough books written by medical experts themselves who warn readers about being taken for a free ride by their doctors. So be careful.

The mani reason why I agreed to the surgery was because I fully trusted the neurosurgeon who is operating on me.

  • He is humble and caring person. I could “see” the sincerity in hm in wanting to help his patients under his care. I am aware that all “humans” can only try their best but they cannot guarantee or promise a cure! Yes, the surgeon did admit to that – but he was willing enough to do his best. He did NOT tell me – Ah, your case is easy, I can cure you (like a certain famous oncologist told his patients!). I have heard enough of such “fake” assurance! The surgeon’s honestly is the prime factor that made me trust him. Great doc., thank you for your concern and willingness to give your best! I understand, the final outcome, is in God’s hands, not ours.

The surgery was scheduled for 8 p.m. or slightly later. This would take about 4 hours!

God’s Blessing!

By mid-night, I received a message: Operation successfully completed.

When I agreed to the surgery, I accept the fact that before mid-night, that is in the next 5 hours I may die. So, I was calm and was not worried or stressful. Let Your will be done, Lord.

Thank God I am still alive! And am able to share my story with you all. 

Three operations and chemotherapy did not cure his colon cancer

ST is a 62-year-old man from Perak. Two years ago (May 2018) he was diagnosed with cancer of the appendix and adjacent caecum.

.

He underwent a right hemicolectomy in a private hospital in his hometown. It was a Stage 2 cancer. This operation cost him RM50,000.

A CT scan of the chest, abdomen and pelvis did not show the cancer had spread to other parts of the body.

After surgery, ST  underwent six cycles of chemotherapy. He received treatment every three weeks. The chemo regimen used was Mayo Clinic Regimen – consisting of 5-FU on day 1 and day 5 and folinic acid on day 1 to day 5. Chemotherapy was completed on 1 January 2019.The total cost of treatment was about RM40,000.

ST was well for about a year. He continued to lead his “old lifestyle”. No, he was not told to take care of his diet – the doctor said You can eat anything you like! Indeed this is the advice most patients and their family members like to hear!

In March 2020, ST started to have abdominal pain and at times, he vomited. He went back to the same hospital where he had his surgery. A CT scan was done and revealed:

  • Acute small bowel obstruction with no evidence of tumour recurrence.
  • Liver lesions – cyst or metastasis ?
  • Bilateral small renal cyst.

On 25 April 2020, ST went back to the hospital again due to small bowel obstruction. He underwent a laparotomy on 29 April 2020.

Intraop finding: Jejunoileal junction tumour infiltrated by posterior abdominal wall.

Histopathology of small bowel, retroperitoneal nodule and omentum: Adenocarcinoma with lymphovascular invasion.

On 8 May 2020 ST suffered bile leak from the wound site. He had to undergo another operation – relaparotomy, jejunostomy done stoma created. This means ST had to wear a bag.

ST was discharged from the private hospital on15 May 2020. The total cost of these two operations came to about RM80,000.

RM190,00 gone – but ST’s problem was not yet solved. Four days later ST had to be admitted into a government hospital duet to:

  • electrolyte imbalance and
  • severe AKI (Acute kidney injury- sudden episode of kidney failure or kidney damage that happens within a few hours or a few days. AKI causes a build-up of waste products in your blood and makes it hard for your kidneys to keep the right balance of fluid in the  body).

ST recovered and was discharged and was given the following medication:

  1. Simvastatin
  2. Mecobatamin
  3. Lomotil
  4. Loperamide
  5. Pantoprazole
  6. Liquid morphine – he has to take morphine every four hours.

A CT scan done on 4 August 2020 showed:

  • Progression of disease evidenced by increased number and size of cystic liver lesions – likely metastasis.
  • No evidence of recurrence.
  • Prostatomegaly.

ST was told to undergo more chemotherapy! This time the treatment would be 12 cycles and drugs to be used are:

  1. Folinic acid
  2. 5-FU
  3. Oxaliplatin

ST decided to give up chemotherapy and came to seek our help.

Chris: Who asked you to come and see us?

Daughter:  The owner of a bookshop in our hometown!

C: Why don’t you want to go for chemotherapy?

D: My uncle (my father’s elder brother) had chemotherapy for his lung cancer. He was 58 years old then. Just after two shot of chemo he died.

Watch this video:

Lessons We Can Learn From This Story

  1. Surgery did not cure him. ST underwent three operations and has spent about RM130,000 (RM 50K + RM80K) for the procedures. The procedures helped him for about a year. Then the cancer came back. It had spread to his liver.
  2. Chemotherapy did not cure him either. After surgery, ST underwent chemotherapy using a Mayo Clinic regimen – using 5-FU plus folinic acid. Unfortunately, the treatment failed.

ST was told to undergo more chemo – this time using a “better” combination of drugs – 5-FU + folinic acid + oxliplatin. Study the names carefully, it is about more of the same – you agree?

Chris: Did you ask the doctor in the government hospital if the chemo that he is giving your father is going to cure?

Daughter: No, cannot cure. It is only to prolong life.

Well, think for yourself too – do you think it is worth it – enduring all the sufferings? Prolong life for how long?

Let me share with you what we wrote in this book (Pages: 210-211):

When we first started CA Care, we encountered many cases of colorectal cancer. The first to come to mind was Yeoh, a man of great wealth. He had colon cancer and went to the top oncologist in Singapore for treatment. He was fitted with a pump in which the toxic chemodrug,5-FU was delivered at regular intervals. He even went to Sydney to consult another famous oncologist. One day, he suffered complications from the treatment and died.

Then there was Leong who was the owner of a construction company. He too had colon cancer and died while undergoing chemo with 5-FU. At that time the gold standard for treatment of colon cancer was 5-FU. One day before he died he called his daughter and told her. If Dr. Teo needs help with renovating his house or the cancer centre, please help him. I still remember this episode up to this day.

Then one day, I received a call asking me to meet a VVVIP ( I am sorry, with due respect, it would not be proper for me to identify this person). I prescribed herbs for this person who had cancer of the colon or rectum. The person got better but one day the person’s personal doctor called me to complain about me giving herbs to the “boss”. Later, this VVVIP went to Singapore for chemotherapy and died.

During those early days. What we “saw” and knew happened appeared acceptable. We just accepted it as the way it is. We learned that chemo can kill. As we get to see more patients over the years, we learn of many more reasons why patients don’t want to go for chemo.

Julie’s husband died within minutes after completion of his sixth cycle of chemo.

Julie, a lady from Indonesia came to seek our help after being diagnosed with lung cancer. She was asked to go for chemotherapy which she refused to do. Why? Julie had a bitter experience to share.

About five years earlier, Julie’s husband was diagnosed with colon cancer. He underwent an operation – performed by one of the best colorectal surgeons in Singapore. He was then sent to a well known Singapore private hospital for chemotherapy. Chemotherapy was started in June and by December Julie’s husband was dead. Julie: After receiving three cycles of chemo, he had difficulty walking.

Chris: And he still continued with the chemo?

In spite of the early warning that something had gone wrong, the oncologist still wanted the patient to finish the scheduled six cycles. Julie’s husband eventually completed the six cycles of chemo. Within a few minutes of completing the last cycle – after the “needle” was removed from his arm – he died.

C: Did you ask the oncologist why your husband died?

J: The oncologist said his heart could not stand the toxic drug.

 

 

 

 

 

 

Breast Cancer recurred four years after surgery. DVT of right leg. Herbs helped her!

Ria is a 53-year-old lady from Jakarta. About four years ago she was diagnosed with breast cancer and had a right mastectomy at a private hospital in Penang.  Since she did not bring the medical report of her surgery, I was not able to tell you how serious her breast cancer was. Anyway, Rias was asked to undergo follow-up treatments — chemotherapy and radiotherapy. She refused. She was not on any medication either.

Ria was okay after the surgery and did not bother to come back for any check-up after that. About three months ago (i.e. about four years after her mastectomy), Ria became breathless. She was admitted to a hospital in Jakarta and was told there was fluid in her lungs. The doctor wanted her to undergo chemotherapy. She refused.

Ria came back to the same private hospital in Penang where she had her surgery. She was referred to the lung specialist. A CT was done and showed the following:

  • There is a 5.5 x 5.1 x 3.5 cm mass in the manubrium sterni with an extension of the mass into the prevascular space of the mediastinum.
  • There is moderate to large right pleural effusion (fluid in the lung).
  • Collapse-consolidation of right lower lobe.
  • Right and left main pulmonary arteries and their lobar branches are consistent with pulmonary embolism (PE).

 

Ria’s right leg was swollen and USG confirmed it was due to extensive deep vein thrombosis (DVT) of the right common femoral, superficial femoral and popliteal veins.

The lung specialist was not able to offer Ria any help and referred her to the oncologist instead. Ria was told to undergo 6 cycles of chemotherapy with Taxol and Epirubicin. She refused chemo.

From the pictures above, her breast cancer must have spread to her lungs, bone and liver. In addition she suffered DVT of the right leg. The doctor wanted Ria to be admitted into the hospital right away, to treat her DVT.  She also refused.

Ria came to seek our help instead.

What can I do with such a case? Listen to our conversation that morning.

Three Weeks After Taking the Herbs

Ria came back to see us again. She was full of energy and was happy. Her swollen leg was almost (70 percent) healed. Before the herbs her right leg was “hot”, hard and painful. After taking the herbs, it was back to normal.

When Ria first came three weeks ago, I did not believe that I could do anything to help her. This was because I had a bad experience with DVT before. When we first started CA Care twenty plus years ago, I remember of a young man, an engineer, who had cancer and underwent chemotherapy. He developed DVT (deep vein thrombosis) in his thigh. His wife came to our house well after mid-night asking for help. I could do nothing for him. He immediately underwent an operation for his DVT and died.

I told Ria. “I am really surprised. When you first came three weeks ago, I did not write anything about your case history. See the blank page. This is because I thought your condition was so serious that you could die anytime. I did not expect you to live. I am glad that you are well now. God really loves you!”

Then jokingly I told Ria. Now that you are okay, why don’t you go for chemotherapy for your recurrent breast lumps. Ria replied, “Itu racun — that is poison”! What a surprising answer. Ria is not an educated lady. She makes kue — local cakes — to sell in Jakarta market. But she know what chemo is!

From the internet, I gather some information about DVT.

  • Deep vein thrombosis, or DVT, is a blood clot  that forms in a vein deep in the body. Most deep vein clots occur in the lower leg or thigh.
  • Deep vein thrombosis can cause leg pain or swelling with red or discolored skin on the leg. There is a feeling of warmth in the affected leg. This is what Ria said she had.
  • Deep vein thrombosis can be very serious because blood clots in your veins can break loose, travel through your bloodstream and lodge in your lungs, blocking blood flow (pulmonary embolism). And that is exactly what the CT scan showed Ria had: Right and left main pulmonary arteries and their lobar branches are consistent with pulmonary embolism (PE).
  • deep vein thrombosis canbreak loose and cause a serious problem in the lung, called a pulmonary embolism, or a heart attack or stroke.
  • A pulmonary embolism can be life-threatening. Signs and symptoms of a pulmonary embolism include: sudden shortness of breath, chest pain or discomfort that worsens when you take a deep breath or when you cough, feeling lightheaded or dizzy, or fainting, rapid pulse and coughing up blood

Can DVT kill you?

  • Yes, you can die of a deep vein thrombosis. If a pulmonary embolism(PE) occurs, the prognosis can be more severe.
  • If the clotis big or the artery is clogged by many smaller clots, a pulmonary embolism can be fatal. About 25% of  people who have a PE will die suddenly.
  • In the US, every five minutes someone dies from a blood clot or deep vein thrombosis. Each year between 100,000-180,000 Americans die as the result of pulmonary embolism.

 

 

 

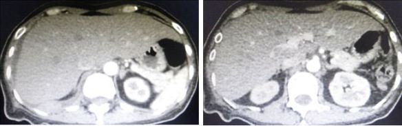
Cancer of the Oesophagus: Surgery, chemo and radiation failed. RM 200K gone!

PK is a 61-year-old Malaysian. In April 2017 he had difficulty swallowing. He consulted a doctor in Ipoh.

A CT scan on 14 April 2017 indicated:

  • Long segmental circumferential wall thickening of the mid-oesophagus with luminal narrowing.
  • No evidence of local infiltrations or mediastinal lymphadeopathy.

PK was referred to a private hospital in Kuala Lumpur for further management.

PET scan on 10 August 2017 indicated:

  • FDG avid primary at the mid oesophagus.
  • Intense FDG uptake in the left upper lobe lung nodule — suspicious of metastasis.
  • Small focal FDG avid lesion at L3 vertebra — suspicious of small volume metastasis.
  • No conclusive FDG avid lesion demonstrated elsewhere.

PK was told to proceed with one cycle of chemotherapy immediately. Five days later he had surgery. The total length of the tissue removed is 20.05 cm (picture below). This is made up of 10.04 cm oesophagus and 5.0 cm stomach tissue.

Histopathology report confirmed a moderately differentiated squamous cell carcinoma, ypT2ypN2.

Four of the 26 lymph nodes examined were positive for tumour metastases.

Following the standard procedure, PK underwent six cycles of chemotherapy and 25 sessions of radiotherapy.

A repeat PET scan was done seven months later. Is the cancer gone or is he getting worse?

Study the three pictures below and compare them with the PET scan done on 10 August 2017 (above).  You don’t need to be a doctor to know that PK is not getter better. He is getting worse and the cancer has spread more widely.

The PET scan report of 11 April 2018 stated the following:

  • New development of large reticulonodular changes at the left upper lobe, probably related to post-radiation inflammation.
  • New FDG avid mediastinal nodes, probably reactive nodes from inflammation.
  • Metabolic increment in the left level IV cervical node.
  • Mixed metabolic changes in the retroperitoneal and pelvic nodes.
  • New development seen at thoracic stomach wall nodule and peri-bowel node at celiac axis, and celiac trunk nodes.

His blood test results are as follows:

30 July 18 27 Sept 18
 CEA 25.7 H 33.8 H
 CA 19.9 132.1 H 164.2 H

All told, PK had spent about RM200,000 for this failed medical treatment. He was asked to undergo more chemotherapy. PK refused and came to seek our help.

Below is excerpts of our conversation that morning.

Part 1: Surgery, chemo and radiation failed

 

Part 2: My advice

Comments 

Generally most patients who come to us are those who have undergone all medical treatments and failed, like PK’s case. They probably have nowhere else to go. Then suddenly through words of a friend or the internet, they discovered CA Care. That is okay — after all this is what CA Care is about — to help those who are lost and in need of help.

Unfortunately, some patients are rather unrealistic. Even at this point of failure, they come with the hope that we can offer them a cure! That is impossible. We do NOT promise any cure. We only promise to do our best to help.

There is also another disappointing group of patients. They come seeking our help on their own terms and some even at their own time. They want to do things their way. They only want capsules and don’t want to drink the bitter teas — too much work having to brew them! What if I go for a holiday? They want to eat anything they like. For such patients, I generally send them home without any herbs. It is better for such patients to find someone else to help them.

Our core belief is that YOUR health is YOUR RESPONSIBILITY. We teach you how to get well but it is you who need to take charge of your own healing.

One of the things I often look for when talking to patients is their attitude and commitment. Do they believe in what we are doing — taking herbs and changing of diet, etc.?  If you do not trust us or believe in what we do there is no reason why you should come to CA Care in the first place.

When PK was first diagnosed with oesophagus cancer he put his total trust in the doctors.

He underwent surgery, chemotherapy and radiotherapy and along the way spent RM200,000. Did he ever thought or believe in an alternative healing method? No. Did he know about alternative healing? I believe it is a big YES.

PK came to CA Care with his sister who is our patient. His sister had breast cancer. She underwent an operation to remove her breast and was treated with chemotherapy. After one shot of chemo, she suffered badly — difficulty breathing and the colour of her skin turned dark. She gave up chemo and started to take our herbs. That was in June 2005. Now, it is October 2018 — thirteen years — and she is doing well and has no problems all these years despite forgoing her schedule to do six cycles of chemo.

From my conversation with PK and his family, I sensed that he has zero knowledge about cancer. To him doctors know best. And he is wealthy enough to be able to pay the medical bills.

Whatever it is, after seven months of medical treatments, we know the reality of what modern medicine has done for him. There is no need to find a scapegoat. What is done is done. For those who wish to learn, take note of what had happened to PK. Since the past two decades I got to learn new things everyday! So I am sharing with you both the good and bad news so that we can all learn from these experiences.

I prescribed PK some herbs and told him to take care of his diet. I hope to see him again in the next two or four weeks, that is if he ever comes back again for more herbs! (Update: Yes, he did come back after two/four weeks, but I told him: If you find the herbs difficult to take or if they don’t help you, please stop taking them. Find other person to help you).

About this same time, I also have another case of oesophagus cancer. Let’s call him Alex, a 58-year-old man from Melaka. Like PK, Alex too had problems swallowing food. Alex was subsequently diagnosed with cancer of the oesophagus. Unfortunately the cancer had spread to the stomach and bones. Alex refused surgery or chemotherapy and came to seek our help instead.

How did Alex know us? Through a friend in Melaka who had stomach cancer. This friend underwent surgery but refused chemo. Through the recommendation of the surgeon who removed his stomach, this patient came to seek our help. It has been three years now, and this friend is doing well. Perhaps because of this friend’s experience that Alex came to us with high hope that we could help him.

After studying his medical reports, I suggested to Alex to go for surgery — at least to have the tumour removed so that he can swallow his food. No, Alex would not want to go for surgery. I impressed on Alex that

surgery is probably a good option to solve his swallowing problem. He was adamant — he would not go for any surgery.

I have to respect his decision. I also know that surgery would not cure him because the cancer had already spread to the stomach, many lymph nodes and bones.

I struck a compromise with Alex. Okay, take the herbs for about a month and see what happens. If there is no improvement, he should go for the operation. If the herbs do not help and he still refuses surgery then he should go and find someone else who can help him. I cannot help him anymore.

Alex came back after two months! He has no more problem with his swallowing. He seems to be able to carry on with his life like any normal person, except of the pains in the backbone because of the cancer. Is he cured? Definitely not.

So what is next? I really don’t know. But for now we can see that his outcome is better than PK. There is no drama and no suffering. On top of it, there no need to spend RM200K in seven months!

 

 

 

Stomach Cancer Part 1: My advice

DK is a 58-year-old Indonesian. His problem showed up in June 2017, when he passed out blood in his stools. He went to the hospital for check up. His blood was low and he needed a blood transfusion. He then came to a private hospital in Penang for consultation.

CT scan on 16 June 2017 indicated a focal mucosal lesion in the gastroesophageal junction, in keeping with early tumour. A small perigastric node noted suggestive of reactive node.

An endoscopy indicated a cardio-oesophageal junction tumour.

Biopsy indicated abnormal villoglandular tissue with high grade dysplasia.

Based on the above, the doctor said DK has to go for surgery after which need radiotherapy.

DK decided to defer further treatment because he had undergone a heart by-pass operation just six weeks ago.

DK and his family came to seek our advice. We had a long, sober conversation that morning.

 

 

The following are some important points we discussed.

  1. We are in a very difficult situation. Taking our herbs cannot make the tumour go away. Let this truth be told. Others may promise you a cure. But not here. I don’t want to mislead you.
  1. The best option is surgery. But even operation does not guarantee you a cure. No one can tell. This problem is even more complicated in your case. Six weeks ago you had a heart surgery — and you are asked to go for another surgery followed by chemotherapy or even radiotherapy. So we have to be a bit more careful.
  1. Another concern is whether you have gone to the right doctor.

According to DK’s son the doctor had admitted that he deals mostly with colon cancer and therefore he needed another doctor (a stomach specialist) to assist him in the operation. In view of this, I suggested that DK go for a second opinion.

  1. Where do you go for such an operation?

One option is to try SGH/NCC (Singapore General Hospital / National Cancer Centre) in Singapore.

When talking to the doctor, ask these two questions. One, can the surgery cure me? Two, what would be the total cost of the treatment?

  1. Also take note that surgery may not be able to solve all your problem. It may not even cure you. No one can tell. But that is the only option you have.
  1. After the surgery, if you don’t want to go for chemotherapy, you can opt for our herbs. I have patients before you who did exactly that. After surgery he refused chemo and took the herbs. He is still doing well for years now. There is another patient who refused chemo. His surgeon sent him to see us. It has been three years now and he is doing fine.
  1. What if don’t go for the operation, I only take your herbs?

Let me be very clear. Herbs cannot cure you. Herbs can help you, extend your life — may be. We cannot talk about cure.

  1. I am aware this is a heavy responsibility to bear. If you take our herbs and you ended up with more problems you may want to blame us. It is because of your herbs! Your doctors may also blame us. So it is difficult.

In fact I would rather people NOT come and see me, if possible.

At CA Care we provide free advice — no consultation fee. And we have to bear a heavy responsibility. It is hard.

  1. It is okay, I want to take your herbs!

Let me be clear. Please don’t blame us if you end up with problems. I shall try my best to help and that is all I can do.

  1. There is need to rush. Go home and think carefully. You can go and seek the help of another doctors. Get this sorted out within a month. Unnecessary delay is also not advisable.
  1. I have given you my sincere opinion. If I were in your situation, I would have done what I have just told you. Go for the operation. May be I go to Singapore. Whether you want to accept my advice or not, it is your decision. So go home and think carefully.
  1. No, doc. I want to try your herbs!

What do your son and wife say? Let me remind you again, the herbs cannot cure you!

  1. Okay, in the meantime you can follow our therapy — take the herbs to see if you like it or not. Then you have to take care of your diet. In fact taking care of your diet may also help with your heart problems.

 

 

 

Pleomorphic Sarcoma: Tumour shrunk after 3 months on herbs!

On the last day of 2017, I received an email from a Malaysian lady in Germany. Let’s call her May. This is what she wrote:

Dear Mr. Chris Teo,

…. I would like to tell you a bit about my case. All our reports are in German. We will translate them and bring them back to you.

  • December 2016: I was diagnosed with undifferentiated pleomorphic sarcoma at blood vessels, which was near to my heart.  The tumor grew from my right upper pulmonary vein through the mitral valve into my left ventricle of my heart. Via complete sternotomy, the tumor was excised.(Sternotomy — surgery where sternum or breastbone in centre of chest was divided or cracked).

Sternotomy was done one more time to stop internal bleeding and to remove a hematoma.

  • January – June 2017: Cytostatic chemotherapy was done with Doxorubicin and Ifosamid for 6 cycles.
  • October 2017: From standard checkup (CT scan and MRI), it was confirmed that a tumor, 2.4 x 2.2 cm is growing close to the right upper pulmonary vein and it presses onto the vein.

This result highly indicates a local  recurrence. Sample of the tumor was taken via Endobronchial Ultrasound to pathology and it was confirmed it is the same high graded sarcoma.

  • November – December 2017: Chemotherapy (Gemcitabin and Docetaxel) for 2 cycles were done. Along with the chemotherapy, I took part in a double blind clinical study for Antibodytherapy Olaratumab).

During chemotherapy and antibody therapy  the tumor had shrunk to 1cm (result from a CT scan).

  • 27 December.2017:A CT scan of the whole body was done and metastasis was found in my brain. It was located above my left eye.
  • 2 January 2018: It is planned now to remove the tumor, as the tumor has caused brain edema which can cause stroke or bleeding anytime.

If the recovery process and the operation turns out successful and I still can fly, we will come back to find you to try your method to control the primary tumor near my heart.

Regards.

This was my reply to May.

Thank you for your email. Actually I was wondering who you are and why you want to come and see me. You are from Germany and I am in Malaysia, half a world away. 

Since Netherlands is so near you, why don’t you see Dr YY below. You can get her contact from the internet. I have read her 2 books but I have never met her personally. But that is the way to start … see her and ask for her advice. 

I also know Germany is very famous for alternative cancer therapy — why don’t you  scout around to go to these clinics — if you need help to find where and what, let me know. I may be able to help.  

Sarcoma is a very difficult problem … see, even chemo and chemo … did not work. You asked to see me in Penang — you are welcome to see me. Are you from Penang? 

Dear Mr Chris Teo,

I am from Kedah. If I am fit and the operation goes smoothly, I will come and meet you. Thank you and Happy new year.

In early February 2018, May, her husband and her mother came to our center.

https://youtu.be/k9D0BGSH5DI

May was prescribed a variety of herbal teas for her brain and sarcoma. Once in a while, I received updates of May’s progress.

Hello Uncle Chris,

8 Feb: I started soft tissue tea. My thigh has less pain. A bit pain at my left chest.

9 Feb:  I feel some short pain at my left chest. When I first swallow food or water, my tracea is pain.

10 Feb:  Same like 9.2

11 Feb:  My thigh is less pain. But still pain when I swallow food or water.

12 Feb:   My thigh still has a bit pain. Still pain when I swallow food and water.

13 Feb:   still pain when I swallow food and water.

14 Feb:   My cheek and neck is itchy and red. My thigh has no more pain.

15 & and 16 Feb:  My cheek and neck still itchy and red. Still a bit pain when I swallow food.

17 Feb:   No more pain when swallow food or drink water. My cheek and fore head are still itchy and red.

18 Feb:  Still itchy at fore head and cheek.

19 Feb:  Light pain at my left chest. A bit hard to explain.

On 28 March 2018 May, her husband and mother dropped by the centre before returning to Germany. And while in Germany May did write once a while to update us.

On10 May 2018, this is what she wrote:

Hello Dr.Teo,
I have check up and it shows that the tumour has reduced its size to half and no metatasis. A very big thanks to you from me and my whole family. My oncologist here in Germany is so curious about my therapy and would like to know more. So I gave him your website.  They haven’t see such improvement before with chemo and radiation especially with my rare sarcoma. Thank you once again.

Reply: You wrote: I have check up and it shows that the tumour has reduced its size to half and no metatasis.

Can you tell me what does this mean? Before the herbs you have tumour ? Where? What is the size?

Now, what did the doctor do? CT or MRI … then what is the size?

10 May 2018:

Dear Dr.Teo,

I had recurrence before I came to see you.  The primary tumour is located in the lymph node near my heart. The cancer metatasized to my brain. When I first met you in January. The doctor had removed the tumour in the brain but not the primary one.

The primary tumour in December was 5.5 x 3.2cm. Now it has become 3.2 x 1.9 cm. 

Comments

  1. When I received May’s email, my first reaction was to ask her to see other alternative healers — Germany is so famous for alternative medicine — why come to CA Care? But since she insisted of following our therapy, I could not turn her down. Perhaps she missed “home” too. Good to be back in your own “kampong” and be among your loved ones when you are ill — right?
  1. Below are pictures of the mass around her heart (top) and a tumour in her brain (below). After seeing this I shook my head in despair. As I told May, in my twenty plus years helping cancer patients, this is my first time seeing such a cancer. I really don’t know what I can offer May. But as you can see from this report, the herbs gave very encouraging results.

Sarcoma in blood vessel around heart

Sarcoma spread to brain.

Note:  Undifferentiated pleomorphic sarcoma (UPS), is a type of soft tissue cancer. The word “undifferentiated” means that the cells don’t resemble the body tissues in which they develop. The cancer is called pleomorphic because the cells grow in multiple shapes and sizes.

While sarcomas are rare tumors, they do represent one of the most common soft tissue malignancies in adults. Soft tissue sarcomas can develop in blood vessels and in deep skin, fat, muscle, fibrous or nerve tissues. The cancer typically becomes quite large over a period of weeks or months, sometimes growing quite rapidly. The cancer can spread to other locations in the body, most often the lungs.

  1. May told her German doctor that she wanted to come home to undergo our therapy. The doctor did not object to her taking herbs! After all the doctors in Germany had done their best — even surgery and chemotherapy failed — what else could they offer her except more of the same treatments.

From the start, I make it clear to May that I would not be able to cure her — to help her, probably yes. I know sarcoma is a very difficult cancer to handle. But, right in my head, I know that I had some wonderful successes with sarcoma. Read these stories if you want to know more: https://cancercaremalaysia.com/category/sarcoma/

  1. Now that the tumour has shrunk rather significantly, just after three months of herbs, I pray that things become better and better with time. But May will have to help herself. She should keep on doing what she has been doing after seeing us. Don’t ever think that she can do and eat anything she likes!
  1. This statement that May wrote, My oncologist here in Germany is so curious about my therapy and would like to know more, tickled me a bit! Most doctors/ oncologists generally don’t want to know! If you don’t want to know you are like “a frog under the coconut shell”, right?
  1. I must say frankly, I would not know what is May’s future but for what it is we need to lift up our eyes to Heaven and praise the Almighty God for this healing. God bless.

 

 

 

 

 

 

 

Colon cancer: After three surgeries and two cycles of chemo, he wanted to give up

Sam (not real name) is a 43-year-old Malaysian from a town in central Malaysia. He came with his family to seek our help. Unfortunately, he came empty-handed — no medical reports.

Generally in a case like this, we would ask the patient to go home and bring his medical reports before we prescribe the herbs.

But in this case, I could not send Sam home empty-handed since he had travelled so far to come and see us. I made clear to Sam that I am “blind” and I would take what he tells on faith, as the real truth. The next time, if he ever returns, I asked him to try and get all his medical records.

Sam said since he received treatments in a government hospital, it is not likely that they would release this records. I know this is not necessarily true!

This is  Sam’s story.

  1. His problem started with abdominal pains and difficulty in moving his bowels. This happened a year ago, April 2017.
  1. Sam went to a private clinic. But the GP asked him to go the government hospital for help.
  1. In May 2017, a colonoscopy and biopsy were done. He was diagnosed with cancer of the colon.
  1. Sam underwent an operation in July 2017. He stayed in the hospital for 3 weeks. After his discharge, just a few days at home, Sam suffered abdominal pains again. He was again admitted to the hospital. On examination, Sam was told that there was an internal leakage.
  1. Sam had to undergo a second operation. A colostomy bag was installed. This time, he spent 2 weeks in the hospital. About 3 weeks at home, he had problems again. This time pus started to ooze out through the wound.
  1. Sam was readmitted to the hospital for the third time. This time the doctor drained out 8 liters or 2 gallons of pus from his abdomen.
  1. While in the hospital he was in coma for 3 days. After two weeks of hospitalization, Sam was again discharged.
  1. Sam was told to undergo 12 cycles of chemotherapy.
  1. In February 2018, Sam received his first shot of chemo, followed by another shot 2 weeks later.
  1. The chemo made him sick — he had fevers on and off for 2 weeks and his back ached. It was at this time that Sam felt he could not finish the scheduled 12 cycles, and decided to come and seek our advice.

Listen to our conversation that morning.

 

Comments 

Can we learn some lessons from this tragic story? Yes, absolutely.

Lesson one: not all doctors have the same expertise and capabilities. Not all hospitals can offer equally effective treatment for cancer.

When patients with colon cancer come to us for advice, this is what I would say: Go and have the tumour removed. If you want a “good” colorectal cancer doctor, go and see Dr. X in Hospital Y in Kuala Lumpur. I have sent many patients to him and he did a very good job! According to my patients, he is also a compassionate doctor.

Let me be up front. By sending patients to Dr. X, I do not get any “referral fee”. Get that right. I am sticking my neck out for him because I want you to get the best treatment possible! I know Dr. X professionally through my patients and I am not sure if he even knows who I am either!

Not long ago, a man whom I knew years ago, came to see me because of his wife’s leukemia. She was seen by a doctor in a government hospital. Apparently she was not  given any “chemo-drug” and was sent home. To me, it looked like it was a “gone” case. I suggested to his man, Why don’t you bring your wife to see Dr. N. (in P hospital). He is good with leukemia. At least go and listen to what he has got to offer.

This is what the man answered me, What is it that the Dr. N can offer that cannot be found in the government hospital? After all the medicines are all the same. And the doctors are just as qualified. 

Yes, I know this man always acted “smart” since I knew him. There is no use for me to argue with him.

Not long after that, his wife died. It looked like he believed he had given his wife the best! Or, was it because treatment in a government is free of charge (being a retired government servant) whereas going to a private hospital cost money? Your guess.

Lesson two: Before you undergo any treatment, ask the doctor there basic questions! Can your treatment (surgery, chemo or radiotherapy) cure me? What are the side effects of the treatment? How much is the treatment going to cost? (in case your bank account cannot stand the “drainage”). 

In Sam’s case, can the three surgeries cure his cancer? Not likely. In fact, these could even make the cancer spread more aggressively.

Sam did ask the doctor about the side effects of chemo. The doctor explained there was no other option that he knows of. Yes, chemo causes many severe side effects. But without chemo, the cancer would spread. So it is a choice between the devil or the deep blue sea. Unfortunately, doctors are not taught more than this! If you have been reading my case reports in this website, you will learn that many colon cancer patients do not need  chemotherapy after their surgery. Yet they live!

Lesson three: Be knowledgeable. Read as much as you can about your problem. One point that sticks out like a sore thumb is the question about diet. Patients are often told to go home and eat anything they like. Take eggs, eat meat to become strong so that you can go through your chemo easily.

At CA Care we tell you to take care of your diet. You cannot take all these! What you eat will determine the direction of your healing.

Dr. Vincent deVita is one of the outstanding, “blue-blooded” oncologists in the United States. He was once the director of the National Cancer Institute. Read what he wrote (in Foreword, The Cancer Recovery Eating Plan):

  • We know that the cause of more that 70% of malignancies may be due in some ways to what we eat — what we eat has a tremendous influence on whether we will develop cancer.
  • Why has it taken the medical community so long to appreciate the connection between diet and cancer?
  • Most doctors are regrettably uneducated about the connection between what we eat and our health.
  • Most medical students receive little or no training in nutrition.

Read what Dr. Russell Blaylock wrote:

 

 

Surgery did not cure his liver cancer

LKS is a 63-year-old man. Eight years ago he was diagnosed with liver cancer and underwent a surgery. His gall bladder and part of his liver was removed. According to the surgeon there was no need for follow up chemo. There was no need to take medication either.

LKS was well and went back to his normal life — of course, eating what likes.

In late December 2017 (eight years after his surgery), LKS had wind in his abdomen and he had difficulty emptying his bowel. He went back to the same hospital where he had his surgery and did a CT scan.

LKS was told there was fluid in his abdomen. He was prescribed some medication and sent home. He was told nothing else could be done.

LKS and his family came to seek our help in mid January 2018. He presented with distended abdomen, otherwise he was alright.

His liver function test done on 19 December 2017 was as below.

Albumin 34 L
Globulin 46 H
Total bilirubin 73 H
Alkaline phosphatase 307 H
GGT 349 H
AST 136 H
ALT 44

LKS was prescribed liver herbs in addition to herbs for his abdominal distention. Within a week he felt better. Unfortunately this improvement did not last! LKS felt hungry and went to supermarket and bought some “instant food stuff” to eat. He was back to square one!

Comments

Most patients never learn. In spite of us spending hours telling them to stick to healthy diet, they would sure go back to their “bad” diet the moment they feel well. This is my advice to all patients who come and see us. If you want to take our herbs, take care of your diet. If you want to eat anything you like, then don’t come and see us. Yes, your doctors say you can eat you like or your diet has nothing to do with your cancer! Our 20 plus years of experience tell us otherwise — diet plays a vital role in cancer healing!

No need to listen to me. Read what other “enlightened” doctors have got to say.

The take home message of this case is there for you to see! Surgery does not cure liver cancer.

Yes, surgery can buy you some time. After surgery you may be told it is all “taken care off” or “I got the cancer all out”. Don’t be taken up by such assurance — I have seen enough cases of recurrence to tell you that such advice is misplaced and misguided. A misinformation.

Read more stories in: https://cancercaremalaysia.com/category/liver-cancer/

 

 

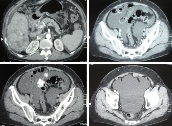
Surgery did not cure his colon cancer

MW is a 47-year-old vegetable seller at a wet market in Singapore. He is a jovial man! His problem started about 9 years ago, August 2007, when he passed out blood in his stool. He went to a “very good” doctor in a private hospital and was told he had colon cancer. He underwent a surgery. MW was fitted with a colostomy bag for a while and then underwent a second operation to rejoin his colon. MW said the total treatment cost is about SGD 40,000.

After the surgery the surgeon said there was NO need to undergo any chemotherapy, radiotherapy or take any medication.

Since MW did not bring his medical reports, I am not able to know more about his colon cancer.

About 9 years later, MW suffered a relapse. A PET-CT scan showed:

  • soft tissue lesion involving the prostate.
  • several sub-centimeter lung nodules.

His CEA in February 2017 was 34.0 (high).

MW consulted an oncologist in a government hospital. He was told to undergo chemotherapy. The drugs to be used are either: Oral capecitabine (Xeloda) + oxaliplatin injection, or Oral capecitabine (Xeloda) + Irrinocetan.

MW hesitated to undergo chemotherapy. The oncologist told him, If you do not want to undergo chemotherapy, then no need to come and see me. Don’t waste my time. I have too many patients to take care. 

Through the recommendation of a friend, MW went to Thailand for further treatment in September 2017. A six-week treatment in Thailand cost him about SGD 40,000.

Did the treatment in Thailand help you? MW said he felt better and his CEA dropped from 34 to 8. But unfortunately, MW said, This improvement was not sustainable.

After MW returned to Singapore, his CEA increased to 18.0

Did they ask you to go back again for more treatment? They never suggest that but I decided not to go back there again. I already spent so much money. In addition, the patient who recommended me to that place also suffered the same fate like me. Her well being worsened again.

Comments 

There are a few lessons that we can learn from this story.

  1. Surgery did not cure cancer! 

Over the years dealing with cancer patients, I have learned that patients like to hear what they only want to hear! They believe that “doctors know all” and whatever their doctors say will be the whole truth!

Listen to what Dr. Veatch said:

With due respect to the learned surgeon. He did his best and he believed that he “Got it all out.” That is what all patients want to hear any way!

  1. Cancer can come back again.

The truth is, if you think you are done with your cancer, know that the cancer may not be done with you yet!

In this case, MW was told everything was removed —  “clean” and he was cured by the surgery! Nine years later, we know that his doctor was wrong.

Here is another quotation for you to reflect on.

Dr. Barry Boyd highlighted what happens today in most health care settings. And probably this is going to happen in the future too. It happens in America and it happens in Singapore and Malaysia!

  1. To stay healthy is your responsibility.

I always remind patients to be careful — take steps to take care of yourself to minimize the possible recurrence of your cancer! Yes, you can do that but your doctors may not tell you, or may not know what to tell you!

You need to seek out such information yourself. Understand that to stay healthy or to get sick is your responsibility, not your doctor’s.

But take it from me, most patients couldn’t care less about my advice!

 

 

 

Lung Cancer: After Surgery, Chemo and Radiation, the cancer spread to his healthy lung

CK is a 62-year-old male from Kuala Lumpur. He and his wife came to see us with copies of his medical reports neatly filed in a folder. This is a very pleasant couple who is now helpless and directionless. This is what happened.

1)  20 December 2015: Had food poisoning after taking expired red wine. 

2)  21 December 2015: Consulted a GP who discovered “cracking sound” in his left lung.

3) 22 December 2015: CT scan of chest showed a 3.2 x 5 cm mass in the left lung.

4)  2 January 2016: A CT-guided biopsy confirmed a bronchoalveolar adenocarcinoma.

CK was referred to a cardio-thoracic surgeon in a “heart hospital.”

5)  14 January 2016: PET scan confirmed carcinoma of the left lung with no associated locoregional or distant metastasis.

6)  23 January 2016: Admitted to the “heart hospital” for lower lobe lobectomy, i.e. surgery to remove a quarter of the lung.

The surgery was a “success” and histopathology report showed:

  1. a) Aortic wall adventitia was infiltrated by tumour.
  2. b) One pulmonary lymph node showed tumour metastasis.
  3. c) lower lobe of left lung — invasive adenocarcinoma with predominant bronchoalveolar and papillary pattern.

7)  February to June 2016: Underwent 4 cycles of chemotherapy and 20 sessions of radiotherapy.

Things seemed to be okay after all these treatments but CK had chest pains, coughs and fever. He was prescribed “strong” antibiotics.

8) 30 March 2017 — after slightly more than a year.

Follow up CT scan showed multiple nodules and patchy opacities in the upper and lower lobes of right lung.

Radiologist suggested: Differential diagnosis: lung metastases and pneumonia. Suggest close follow up CT lung after a course of antibiotics.

CK went back to his surgeon about this new development. The surgeon was pretty sure that the spots were not cancer related.

9)  1 June 2016:  CT scan of chest. The radiologists wrote the following:

CT on 23 March and 30 March 2017 were reviewed. The current CT is about 2-3 months after  the previous CTs. The current CT showed the following:

  1. a) The ground glass opacities in the right upper and lower lobes of the lung appears more dense and larger.
  2. b) Newer small nodular lesions are seen in the right upper and lower lobes.

Based on the above observations, the radiologist was of the opinion that this new development was a metastasis or recurrence. However, ground glass opacities may  be due to drug induced lung changes and infection.

The changes in the left upper lobe (note: left lower lobe was removed) are suggestive of non-neoplastic process and fibrosis. If DXT (radiotherapy) was given, these could be due to that treatment.

10) 18 September 2017: Went back to the same GP again (as in 2). “Cracking sound” at the lower part of my good lung.

Cancer marker in December 2016 was 16. In July 2017,it was 173.

CK and his wife decided not to go back to his doctors again. Because it will just be repeating the same procedures all over again — another biopsy and more chemo.

Total cost of treatment = RM130,000 of personal savings.

Comments 

I had my first lesson about lung cancer some 22 years ago. The second patient of CA Care is VJ. He had lung cancer and had one side of his lung removed and underwent treatments at the “cancer hospital.” I was at the hospital and saw him suffer and eventually died.. Surgery did not cure lung cancer. Treatments received in the cancer hospital also did not cure lung cancer.

My second lesson about lung cancer came a few years later when the mother of my student underwent radiotherapy for her lung cancer. Yes, I encouraged her to go for the treatment. After completion of her treatment she died. Lesson number two, radiation does not cure lung cancer. To understand why, just go to the market and buy a piece of lung. Bring home and place the lung over fire and see what happen! The lung hardened — and is this not why the patient cannot breath?

Over the years, I have seen this story being repeated over and over again. In the case of CK, it is another one of those cases I have come across over the years.

Can herbs cure CK’s cancer? No. Can we help him? May be. CK’s problem recurred less than 2 years after treatment. After spending RM 130,000 he got nothing out of it.

Perhaps some people would want  to tell you that if you don’t go for treatment, you would die sooner. Nope — I don’t believe so. Over the years, I have patients who led a much better life if they do nothing.

Perhaps you may want to read some of the articles I have written earlier:

  1. He Died Of Lung Cancer — Treated by the Best Oncologist in One of the Best Hospitals in the World

2. Medically Given Up Lung Cancer: She died after 5 years on CA Care Therapy

3. Lung Cancer: Six to 12 Months to Live. Must do chemo, that’s the only way. With herbs still alive after 2 years!

4. Lung Cancer: Given Honest Answers Patient May Run Away from Chemotherapy

5. Two Billion Rupiah, Chemo And Surgery Failed. Oncologist said, “More chemo, you just have to trust me!”

6. Lung Cancer: Chemo Experiments That Failed and Failed

7. Lung Cancer Success Stories

My advice to CK.

Don’t give up hope yet. We shall do our best. If you can sleep, can eat, can move around and have you no pain, don’t ask for more. To that CK and his wife totally agreed. In fact that was what they hope for when they came to seek our help … “to have quality life.”

 

 

 

May God bless you.

Rectum-Liver Cancer: Part 1: Undergo surgery, chemo and radiation and you will be cured. Do you believe that?

Kanker Usus-Hati 1: Operasi diikuti kemo dan radioterapi bisa sembuh. Apakah ini benar? 

Jasmine (not real name) is a 54-year-old Indonesian lady. Her problem started with bleeding. The doctor was not sure if it was from the anus or the female reproductive organ. Jasmine consulted a gynaecologist who told her that her uterus was “dirty” and may need cleaning up (whatever that means!). Jasmine did nothing after that.

Some months later, while at home, Jasmine could not stand up. She was also bleeding. The doctor diagnosed the problem as vertigo (dizzy spell and feeling off balance).

A few months later, Jasmine went to see a doctor in Medan who performed a digital rectal examination. He felt  a mass in there! Jasmine was asked to undergo an operation.

Jasmine and her family came to Penang for further consultation. Her blood test results showed CEA = 247.03 and CA 19.9 = 72.2. Jasmine was also told that her cancer had already spread to her liver. She immediately underwent an operation in Hospital A. The procedure cost her RM 60,000 plus.

The pathology report indicated:

  • A moderately differentiated adeocarcinoma with metastases in pericolic lymph nodes (11/11) and segment 4a of liver. This was a T3N2Mx, Stage 4 cancer.
  • The non-neoplastic liver shows features of chronic hepatitis with grade 2 activity, Stage 3.

Jasmine was asked to start chemotherapy three weeks after the surgery but she was unable to do so because of infection. She was told she needed 8 cycles of chemo to be cured.

Later, Jasmine switched to Hospital B and had her first cycle of chemo there.

After her first shot of chemo, Jasmine suffered severe side effects and decided not to stop the treatment. No more chemo for her! Her daughter and son-in-law came to seek our help.

I asked her daughter: You had surgery in Hospital A but you went for chemo in Hospital B. Why did you switch hospital?

Daughter: The cost of chemotherapy in Hospital A is very expensive — RM7,000 per cycle. In Hospital B it was only RM3,500 per cycle.

How could there be such a great difference, I wondered.

In Hospital A the oncologist suggested using Oxaliplatin + oral drug, Xeloda or TS-One. In Hospital B, the drugs used were Oxaliplatin + oral drug TS-One. They are basically the same!

This is one lesson I learned this morning. Though the drugs used are the same, patients who don’t know enough, may be asked to pay twice the price for getting the same treatment. So beware!

Before I proceeded further with our consultation this morning, I asked this important question (which I hope all patients should learn to ask their doctors).

Before you undergo the operation, did you ask the doctor if the operation can cure your mother?

This was what the surgeon told Jasmine. You operate first and then go for 8 cycles of chemotherapy. In addition you also need radiotherapy. If you do all these you will be cured!

Did you specifically ask the doctor if he can cure your mother by the operation?

Daughter: I did ask exactly that and the doctor said it depends on chemotherapy — must do 8 times chemo first, otherwise the cancer may recur.

When you started the first chemo in Hospital B, did you ask the oncologist if the treatment was going to cure your mother?.

Daughter:  Yes, I asked. The oncologist in Hospital B replied: Cannot guarantee!

Did you tell the oncologist that the surgeon in Hospital A said that by undergoing 8 cycles of chemo it would cure your mother?

Daughter: Yes, I told the oncologist what the doctor in Hospital A said. He said just kept quiet. He said nothing!

Lesson number two I learned this morning — Someone is not telling the whole truth! Two doctors did not give the same answer for doing the same treatment! That much about the so called “scientific medicine.”

So patients, know that you are responsible for yourself. You have to find truth yourself. You can’t depend on others to tell you what you need to know!

So what is the truth in this story? You will know later. But in the meantime, please ponder carefully the following quotations said by doctors themselves:

 

 

 

 

 

 

Shopping for an illusive cancer cure!

A young Indonesian man and his sister came to our centre, trying to “shop” for a cure for their father’s cancer. They came with a long, rolled piece of fax-paper.

The following were written on that paper.

  1. August 2013. Father was diagnosed with cancer of the rectum which had spread to the liver.
  2. Went to a private hospital in Singapore for a biopsy.
  3. Underwent chemotherapy in a private hospital. Drugs used: Oxaloplatin + Leucovorin + 5-FU + Erbitux.
  4. After 4 cycles of chemo, underwent robotic surgery of the rectum in October 2013.
  5. One month after surgery, underwent 8 cycles of chemotherapy again. In total he had 12 chemos. His CEA reduced to less than 5.0. Metastases in liver disappeared!
  6. Took oral drugs: Xeloda and TS One.
  7. CEA shot up again.
  8. More chemo — 8 cycles. Drugs used: Compto + Leucovorin + 5-FU + Erbitux (note: same as before except for Compto instead of Oxaloplatin).
  9. CEA was 10.
  10. Through recommendation of his doctor in Indonesia, went to a doctor at NUH Singapore for surgery to remove the tumour in segment 5 of liver. This was in October 2014.
  11. Underwent radiofrequency ablation (RFA) in June 2015, in Mount Elizabeth, Singapore.
  12. Back in Indonesia, underwent TACE in Gatot Subroto Hospital, Jakarta in July 2015.
  13. CEA shot up to 40.
  14. Went back to the same private hospital in Singapore to undergo more chemo. Received 2 shots of chemo using the same previous drugs: Compto + Leucovorin + 5-FU + Erbitux.
  15. CEA reduced to 15.
  16. Continued with 6 more cycles of chemo with a private hospital in hometown, Semarang.
  17. CEA increased to 50.
  18. Continued with 4 cycles of chemotherapy in Semarang. Drugs used: Avastin + FOLFOX.
  19. Not effective.
  20. Chemo drugs changed to: Compto + Leucovorin + 5-FU + Erbitux (previous drugs as in Singapore).
  21. CEA reduced to 4.
  22. In February 2017, took Stivarga — oral drug (regorafenib).
  23. CEA shot up to 300 and in March 2017 it was at 800.
  24. Suffered severe side effects besides being not effective.
  25. Came to Penang cancer hospital and had one shot of chemo. Drugs used: Paritumumab (or Vectibix) + 5-FU + Irenotecan. One shot of this chemo cost RM 10,000.

After two weeks in Penang, this young man came to our centre. He came to know about CA Care from the internet and wanted to know more about our therapy.

While waiting to talk with me, this young man and his sister was given this notification to read.

Some important points for you to know before you see me

NO CURE FOR CANCER

  1. Most patient who come here, have already undergone medical treatments – surgery, radiation or chemo. Do these cure you?
  2. If you come here expecting me to cure you, know that I too cannot cure your cancer. From my experience, NO one on earth can cure any cancer. After some years cancer comes back again!
  3. But if you want me to help you – to give you another option, to have a better quality of life — may be it is possible. But it all depends on you. Because your health is your responsibility. Are you willing to help yourself? Are you willing to change your lifestyle, your diet, etc.?

OUR HERBS ARE BAD-TASTING, AND HAVE AWFUL SMELL

  1. Besides the bad taste and smell.
  2. You need to boil the herbs a few times a day — that’s a lot of work!
  3. You need to take two, three or four types of teas each day.

YOU MUST TAKE CARE OF YOUR DIET – YOU CANNOT EAT ANYTHING YOU LIKE

  1. You cannot each anything that walks – meaning, no meat, no egg, no milk, etc.
  2. Don’t take sugar (sugar is food for cancer).
  3. Don’t eat oily or fried food, table salt.

TRY OUR THERAPY FOR TWO TO FOUR WEEKS

  1.  May be the first 2 weeks on our therapy, you may suffer more pain, more tired, etc. That’s healing crisis. Don’t stop. Hopefully after 3 to 4 weeks you may feel better.
  2. If after a month on our therapy you still don’t feel better — the herbs are not helping you in anyway — then stop following our therapy. Please ask someone else to help you.
  3. If you feel better, continue with our therapy.

If you are still on chemo or radiotherapy (or are planning to do chemo or radiotherapy), or are taking other treatments elsewhere,

Go ahead and continue with these treatments first,  do not take our herbs yet.

 Comments

While waiting for me to talk to them and after reading the statements above, the daughter said: I don’t think my father can keep up with your therapy!

During the meeting I asked both of them the following questions:

  1. Why did you come to see me after everything else has failed?

Answer: Oh, we never knew that it is another option. We only thought medical treatment is the only way out.

  1. How much did the family spend for all these treatments?

Answer: Oh, could not count! So much.

  1. You were in Penang for 2 weeks already, what makes you take that long to come and see us?

Answer: I could not find CA Care!

  1. But, if you go into the websites: http://www.CancerCareMalaysia.com or CancerCareIndonesia.com, we have a google map in there that shows you exactly where we are.

Answer: Oh, I did not go into the website! I called your number but could not get through.

  1. We only answer phone from 10 am to 1 p.m. We close at 1 p.m. That is also stated in the website.

Response: I used my Indonesian hand phone and could not get through.

  1. Did you use the correct country code?

Answer: I just dialed without the country code!

  1. This a quotation:

Response: I agree.

  1. This is another quotation:

Response: I also agree with that.

After spending about 30 minutes with them, I sent them home to think carefully about the above.

I never get to see them again!

Let me close with another quote from an oncologist:

 

 

 

 

Colon Cancer: Go, have it removed!

RS is a 51-year-old Indonesia lady.  About two years ago, she passed out blood-stained stools. The doctor in her hometown said she had a tumour in her rectum.  RS was told to have it removed. She refused to undergo an operation. She said, I was afraid! She then opted for herbal therapy.

  • RS was given three types of herbal capsules. The herbalist told her that within three months she would be cured.
  • Three months came, nothing much happened. RS was told to take other capsules for another three months. Again nothing happened.
  • RS continued taking the capsules for another three months.
  • After a total of nine months on the herbal capsules, something happened. Her condition deteriorated!

RS  then switched to taking daun binahong tea and also used a type of spray for the mouth. You can read how great these products are in the internet. The spray that she used cost IDR 1.8 million per bottle.

RS never found any relief (let alone cure) from what she did. She and her daughter came to consult a doctor in a private hospital in Penang.

A colonoscopy confirmed an ulcerative tumour at the distal rectum involving the anal canal. CT scan showed an irregular lesion in the lower rectum measuring 1.5 to 2.0 cm in thickness. No evidence of distant metastasis.

RS’s daughter wrote me an email (unedited):

dear Dr Chris,

advise doktor that my mom has to operation, cut her rektum. is it only the way dok,? but we hope with another way. now my mom at XX hospital dok, do colonoscopy and ct scan. may i sent you the result of medical check up before we come. thank you.

Reply: No need to send the reports. Just come and see me and I’ll tell you what to do.

RS and her daughter came to CA Care. Listen to our conversation that morning.

 

 

The gist of our conversation

Part 1: Go for surgery

Chris: Tell me what happened from the very beginning.

Daughter: She passed out blood in her stools.

C: When was that?

RS: About two years ago.

C: What did you do?

R: I went to see a doctor and did a colonoscopy. There was a tumour in the rectum.

C: The doctor asked to operate but you did not want? Why?

R: I was afraid!

Herbal Capsule — Herbalist said can cure!

C: So did you go to the bomoh (sharman) and do jampi-jampi (chanting)?

R: No. I went to a herbalist and he gave me three types of herbal capsules.

C: How long were you on this capsules?

R: About 9 months. After that I stopped.

C: Before you took the herbal capsules, did you ask if these can cure you?

R: I did ask and he said, yes — can cure!

Daughter: The herbalist said can cure.

C: Can cure? After how  long?

R: The herbalist said take the herbs for 3 months, and I would be cured.

C: And did it cure you after 3 months?

R: No. So the herbalist said take for another 3 months?

C: Was it the same herbs? And are they more expensive?

R: He gave me different herbs. Yes, it cost more now.

C: So, you took the herbs for another 3 months.

R: I took a total of 9 months and I gave up. It did not cure me and I had more pain.

C: Did you ask him why the herbs did not cure you?

R: He asked me to continue taking the herbs!

Switched to binahong tea and spray

R: I stated to take herbal tea — binahong. The leaves of a creeping plant.

D: Boil the leaves as tea.

R: And I took it every morning.

D: Mom also use a spray (for the mouth). It is actually a nutritional supplement. It cost IDR 1.8 million per bottle.

C: Are you on all these now?

R: No more.

Doctor in Penang

C: Then you came to Penang and did a colonoscopy. What did the doctor ask you to do after that?

D: Operate, but mom did not want it.

C: Did you ask the doctor is surgery is going to cure you?

R: Never ask.

C: Did he say you need chemo after the operation?

D: The doctor said after the operation, mom can live a normal life.

C: Did he said, mama need to use a colostomy bag?

D: Ya. The doctor also said, if the cancer has spread, then mom has to go for chemotherapy.

C: How much is the operation going to cost you?

D & R: About RM25,000.

Go to Dr. X to your surgery

C: Removing the tumour would not kill you! It is okay. But remember that NOT all doctors are the same. Some do a good job, some don’t. If I were you, I would NOT think too much. Believe me, go for the operation. But let’s find a good surgeon for you! Yes, this is important — who can do a good job for you.

I know of one colorectal surgeon who is good. I have sent a few patients to him. He is a good person and did a good job. But I also want you to know that I do not get any financial incentive (professional they call it referral fee!) by asking you to go and see him. NO, I don’t do such thing — making money that way. What knowledge God gives me, I would share that with my patients without any fee.

So, I suggest that you go to Dr. X for the surgery. If you don’t want to go to Dr. X, of course, you can go to Singapore. But that is going to cost you three times more!

After the surgery, the doctor may want you to do chemo. If you want to do chemo, go ahead. But if you don’t want to go for chemo, you can come back to see me again after that, about 2 weeks after the surgery. Bring along all the medical reports.

If you don’t want to go ahead with the chemo, let the doctor know that you want to take herbs. As I have said, a few of my patients just did that. They had the operation but no chemo.

 

 

Part 2: My advice — why you need surgery

D: Actually we were supposed to go for surgery yesterday. But I consulted my friends in Surabaya. They suggested that I try to find out another option. One of them send me your name card. Mom does not want surgery if possible.

C: You were supposed to go for surgery and you deferred it. The doctor was angry with you?

D: No, he said it’s okay. I told him that we need to discuss with our family members first. .

  1. The cancer has not spread yet

C: Okay, Ibu. If you come with a tumour in your brain, liver, pancreas or lung, I would not encourage to go for an operation. But your case is different. There is a tumour is your rectum.

According to the report, the cancer has not spread to other organs yet. So you are lucky. If the cancer has spread to the liver, then it could meaningless for go for the operation.

In your case, the cancer has not spread yet. So it is best that you have it removed.

  1. No reason for you to suffer

C:  Ibu, you have made a mistake earlier for not going for an operation. The tumour is growing bigger and bigger. And now it is causing you so much pain and discomforts.

If you want to live a bit longer without sufferings, my advice is to have it removed. The tumour is growing in there. It will get bigger. You will have bleeding, pain and find it difficult to move your bowels. Why do you need to suffer like that? I hope you understand.

D: Yes.

  1. You are still young

Think properly, Ibu. You are still young. There is no reason why you need to die of this cancer. If you are at my age, perhaps there is no need to think of going for an operation.

There was a 80 plus-year-old lady who had colon cancer. Her children came to seek our help. The doctor was angry because the family declined surgery. The reason being, at that age, she might just die on the operating table. I gave her the herbs. She had pain after taking the herbs. After two weeks she was okay. She survived a few years and died of old age. No, her cancer was okay.

So Ibu, if you are as old as that lady — 80 plus,, then I would NOT push you to go for an operation.

  1. Herbs do not cure cancer

So please listen — don’t take the wrong path again! Taking herbs for 3 months and hoping the cancer would go away is absurd, not intelligent, not honest and not right. Outright stupidity.

If that herbalist said his capsules can cure your cancer, then we might as well close all the hospitals in this world. Everybody goes to him for a cure. It is not true, Ibu.

I have come across such case like yours before. A herbalist ask patients to take herbs and promised the cancer would be cured. Yes, he made money. The cancer does not go away. The patients go back to him again. This time, he will say, I have a better herbs for your problem. You pay more for this herbs. He makes more money the second round.

Now, do you want to go and see the herbalist who says he can cure you? You want to go to him? He would guarantee you a cure? You want?

R: No, don’t want.

C: Ibu, I have Jesus in my heart. I believe that God is with me in my work here at CA Care. I want to be honest to my patients. I will give my advice truthfully. I don’t want to bluff anybody. I also do not want to sugar-coat what I say. I know that sometimes what I say is something you don’t want to hear. Yes, truth hurts. Some patients come here wanting to hear only what they want to hear.

Even if you take my herbs, I cannot say that the tumour will disappear. My guess is, it will not disappear.

From my experience no one on earth can cure any cancer. Please know that. It is not that I don’t want to cure you. The truth is I cannot do that. This is my honest assessment of your situation. If my herbs can cure you, then we can tell all the hospitals to close shop!

  1. No need to rush — think carefully

C:  You have been living with this cancer for the past two years. So there is no need to rush to make your decision. Take your time — one week or one month — think carefully what you want to do. Remember what I have told you. But as I have said earlier, I do not think what you did earlier was right — wrong path.

If I am here only wanting to sell you my herbs, then I would surely tell you to take our herbs NOW. Take our herbs and don’t go for the operation. But I know right down in my heart, that is not the right thing to do.

  1. Follow your heart

C:  Mama, if you don’t want to follow my advice, I would not force you. It is up to  you. Yes, take my herbs and then some months or years down the road you may suffer. The cancer spreads to your liver. Of course you would not die yet — then you come to me again. What can I do?

Ibu, you are still young but if you want to “go home” faster or sooner, that’s okay. After all we learn that Up There Above is a better place than right down here! Right? So, can go home if you like.

  1. Pray and ask Jesus for guidance

C: Have peace in your heart and consider what you want to do next. For now there is no need for you to take my herbs yet. It would not make any difference and it is just a waste of money. Go home and pray first. Talk to Jesus what you have to do. But Ibu don’t tell Jesus what to do like saying I don’t want to operate. I don’t think that is right. Ask Jesus to guide you — open a way for you.

I know many people came to see us because they said god sent them here — some said Buddha asked to come, some said Kuan Yin (Goddess of Mercy) asked to come.

Okay, do you want to ask any more question? Mama, you are still young, you look healthy. There is no reason why you need to die because of this cancer. Please go home and discuss with your family first. And most important talk to God.


Comments

On 8 May 2017, I received this email from her daughter:

dear Dr Chris,

terima kasih Dokter, mama sudah operasi oleh Dr X, dokternya baik dan Helpful. saat ini mama tinggal pemulihan pasca operasi. terima kasih banyak Dokter. Tuhan Yesus menyertai dan memberkati pelayanan Dokter. amin.

(Thank you Doctor, mama already had surgery by Dr. X. This doctor is kind and helpful. Currently mama is in postoperative recovery. Thank you very much Doctor. May our Lord Jesus be with you and bless Doctor’s ministry. Amen.)

I spent talking to RS and her daughter for almost one and a half hours. I accept no professional fee. The greatest satisfaction I have is to be able to help people in need. I am glad that RS’s daughter wrote back to say that her mom had been operated on and was recovering in the hospital. When she left our centre, I thought I would not hear from anymore — because that is what usually happen!

To those of you who are reading this article, please also know that if you have a tumour in your colon or rectum, know that I would ask you to have it removed first before taking our herbs. This is if the cancer has not spread yet. If it has already spread to other organs, than it is a different story.

 

 

Brain Tumour & Diabetes: 1. His prayer answered in an unexpected way!

In an earlier article, I wrote about one bad morning at CA Care —  sharing with you a disappointing story. But luckily, not all days are like that — although you need to know that only 30 percent of patients who come to see us benefit from our work. The remaining 70 percent don’t. They just cannot benefit because of all kinds of reasons or excuses that they have. But to be frank, I am well prepared for such disappointments because I know I cannot win all! And most important of all, I know I cannot change the attitudes of human beings!

Not all days are cloudy though. Let me share with you what a great and blessed morning is like. A morning like this is worth many times the bad mornings!

Amar (not real name) is a 49-year-old Indonesian. In early December 2016 he had two seizures. He was unable to talk and had to be hospitalised. His blood sugar was extremely high, more than 600 mg/dl. Amar was asked to take three medications — Nocid, Eclid and Glucophage. In addition he had to be given insulin injection, Novorapid,10 units three times per day.

A CT scan and MRI on 9 December 2016 showed a 4.26 x 5.16 x 2.2 cm lesion in his brain. This was diagnosed as vertex meningioma. The doctor in Jakarta asked Amar to undergo an operation but he refused.

In January 2017 Amar and his wife came to a private hospital in Penang. He was asked to continue taking his medication:

  1. Dilantin(phenytoin) — an anti-epileptic drug.
  2. Hepamax — for his liver.
  3. NovoRapid® — insulin injection.

A month later, February 2017, he came back to Penang again with the main purpose of undergoing  an operation. This surgery would cost him RM35,000.

Chris: Did you ask the doctor if the surgery would cure you?

Patient: The doctor said some parts of the lesion can be removed! Even that the most serious risk of such surgery is getting a stroke. In addition, my hands and legs may become weak.

The night before the scheduled operation, Amar and his wife prayed to God for guidance! If possible, he would not want to undergo the operation!

Listen to this video!

 

 

Who ask you to come to our centre?

Gist of our conversation

Amar: The night before my scheduled operation, my wife and I prayed telling God that if possible, I do not want to undergo this operation. But I knew in my heart that this was not possible! After our prayer, that same night, we were told to come and see Pak Teo first before undergoing any operation.

Chris: Who asked you to come and see us?

A: My wife’s friend in Jakarta.

C: (Asking the wife). Tell us what happened.

Wife: I phoned my best friend in Jakarta that night. I told her about my husband’s operation. Then she told me, Don’t do any operation yet. Go and see Pak Chris first. She gave me your address. The next morning, we came to see you. I showed your address to the Grab driver and he brought us here.

C: So, you did not do the operation?

A: No. I went to see the doctor in the hospital that morning and told him that I was not ready to undergo the operation. I need some time to sort things out.

C: The doctor was not angry that you decided to postpone the surgery?

A: No. So we came to see you after that.

C: When you came here, did you believe what we told you?

W: Yes, absolutely.

Comments

At CA Care we encourage patients to talk to their God — never mind who you believe in. Just pray to God to help you. We believe if you sincerely pray, God will answer your prayer! But remember, the answer you get may not be what you want!

Many patients told us many “amazing stories” how they came to know us. One lady once told me that she was very desperate and did not know what more to do for her sister who had been hospitalised for some two months already. So that night she prayed (she is not a Christian!) before she went to sleep (in the hospital taking care of her sister). The next morning, she switched on her lap-top. She could not remember what she did but there it was the CA Care website that popped out in front of her!

I once asked a lady who go home and pray to her God first before deciding to take our herbs. She replied, I have already done that. The Goddess of Mercy (Kuan Yin) told me to come and see you!

In this case, you can hear for yourself how Amar and his wife came to know CA Care just the night before Amar was to undergo his brain operation! It is just like a fairy tale, but is that not a miracle? God works in mysterious ways, if only you sincerely ask Him for guidance and help.

But don’t misunderstand. Coming to CA Care is not the ultimate answer. We are not bomohs (sharmans) or magicians. The tumour will not go away. We cannot cure your cancer — get that straight and clear! Nevertheless many patients who came to seek our help benefited from our advice and what we do. Some live a normal life without the surgery!

In the next article, let us hear why Amar was  “fortunate” not to undergo his surgery yet!

 

 

Breast Cancer Part 1: Cancer Recurred Soon After Surgery, Gerson Therapy and Supplements

SN is a 40-year-old lady. Her problem started at the end of March 2016 when she found out that her right breast was swollen with rashes of the surface. There was also a lump in her right arm pit. A biopsy pn 29 March 2016 showed invasive ductal carcinoma.

At the time of this diagnosis, SN was breast feeding her baby. She did not immediately undergo any medical treatment, not until a few months later when her breast turned hard.

She started on an intensive Gerson Therapy in April 2016 based on the manual and Gerson Online Course. The therapy consisted of juicing, supplements and coffee/castor oil enema. She adopted a no salt, no oil (except flaxseed oil) diet.

SN was supposed to take 13 glasses of juices a day but she could only manage to take 8 glasses. She was supposed to do 5 times of coffee enema per day but she managed to do only 4 times a day.

She took the following:

Gerson supplements

  1. Acidol persin
  2. Potassium compound solution
  3. Lugol, half strength drop
  4. Niacin 50 mg
  5. Thyroid 2 grains
  6. Pancreatin
  7. B-12 tablet
  8. Dessicated liver
  9. CoQ10
  10. Selenium
  11. Milk thistle
  12. Inf-Zyme Forte (digestive enzyme)
  13. Colostrum
  14. Vitamin C 1000 mg
  15. Flaxseed oil

Other supplements

  1. Coconut oil
  2. Wheat germ oil
  3. Regulatpro Bio
  4. Wheat grass powder
  5. Chollera powder
  6. Chlorophyll powder
  7. Super blend wild berry by EzyProtein
  8. Natural raw food by Juvo
  9. Vitamin D 800IU
  10. Spirulina
  11. Garlic pill
  12. Probiotic powder

Spices / Herbs (dried)

  1. Oregano leaves
  2. Thyme leaves
  3. Dill leaves
  4. Tumeric powder
  5. Cayenne pepper powder
  6. Ginger powder
  7. Garlic powder 

All these went on for about one and a half month. It was a disaster after that! She ended up with a bloated stomach, vomiting and bad gastritis. Then she started to bleed for 2 weeks and had to be admitted into a hospital. In July, August and September, SN went in and out of the hospital for 5 times.

An endoscopy/colonoscopy was carried out. Nothing was found and the doctor said her intestine was just “too” clean.

USG of her right breast was done in May 2016 and showed multiple lesions, suspicious of malignancy.

  1. At 1.30 o’clock, 3-6 cm from nipple: a well-defined nodule with microcalcifications, 4.5 x 4.7 x 3.2 cm.
  2. At 1.00 o’clock, 6 cm from nipple: lobulated solid lesion, 2.3 cm in diameter.
  3. At 1.00 o’clock, 2 cm from nipple: deep seated nodule, measuring 1.8 x 1.2 cm.
  4. At 1.00 o’clock, 8 cm from nipple: 3 tiny nodules.
  5. At 1.30 o’clock, 6 cm from nipple: 9 x 6 x 9 mm nodule.
  6. At 1.30 o’clock, 10 cm from nipple: 8,2 x 6 mm nodule.
  7. At 11.00 o’clock, 4 cm from nipple: microlobulated nodule 2.2 x 3.8 cm.
  8. At 10.30 o’clock, 5 cm from nipple: 2 nodules, measuring 8 x 8.8 x 10 mm and 17 x 11 x 13 mm.
  9. At least 8 enlarged right axillary nodes, largest measuring 5.2 x 5.2 x 2.5 cm.
  10. 3 infraclavicular nodes measuring 11, 6.8 and 2 mm.\
  11. No focal solid or cystic lesions in left breast.
  12. No left axillary, left supraclavicular or infraclavicular abnormality.

On 2 June 2016, SN underwent a right mastectomy. Histopathology report confirmed an invasive ductal carcinoma with residual chest wall lesion. It was triple negative breast cancer — estrogen receptor negative, progestrone receptor negative and Cerb-B2 negative.

Her operation cost RM 33,000 (cover by health insurance!).

SN was asked to undergo follow-up chemotherapy. She refused.

Chris: Why did you not want to go for chemotherapy?

SN: I know of persons who had cancer and went to chemo. They all died. One was a breast cancer lady, about 50 + years old. After surgery she had chemo and was on an oral drug. Six years later the cancer came back and she died within a year. The second case was my Aunty. Also 50 + years old. It was tongue cancer and two-third of her tongue was removed. She had no chemo but underwent 30 sessions of radiotherapy. The cancer came back. She went for an “oxygen bath” in Hungary. She died within a year.

My grandma was 80 + years old. She had ovarian cancer. She underwent a hysterectomy, but no chemo. She died within 2 years.

C: I understand the phobia you have.

SN came to see us in October 2016. The cancer had recurred.

pt-1-swollen-neck-and-recurrence

Mastectomy did not cure her cancer. Gerson Therapy and all kinds of supplements did not cure her cancer. I told SN, My herbs would not cure your cancer as well. It is indeed a very, very difficult case to handle. I suggest that you try chemotherapy!

 

 

Part 2: Go for chemotherapy!

Part 3: Did chemo helped her?