BY DOCUMENTING THIS STORY IT IS OUR HOPE THAT YOU OR YOUR LOVED ONES CAN LEARN SOMETHING MORE THAN JUST “GOING TO THE DOCTOR OR HEALER” TO SEEK TREATMENT.
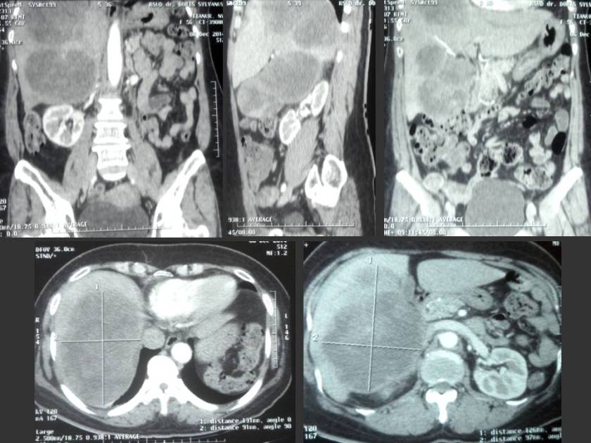
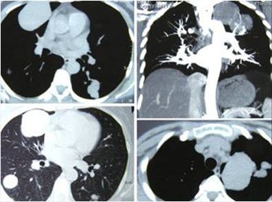
Alex (not real name) is 63 years old. His problem started about 3 years ago, in 2012 while visiting Australia he had severe pain in his right forearm. He was admitted into a hospital. An X-ray showed a growth in his lung. On returning home, Alex had a biopsy and was told that he had a high-grade undifferentiated soft tissue sarcoma in the right chest. The tumour was lodged behind the sternum but had spread onto the first rib. It was stage 3 cancer.
Alex underwent chemotherapy in December 2012. The regime used was Doxorubicin and Ifosfamide. The tumor shrank a bit. Then Alex had a surgery. This operation was done in a heart hospital in early 2013. During this surgery the doctor also did a by-pass for his heart. (Note: Alex underwent an angioplasty in the same hospital in 2004).
After the surgery, Alex had 36 sessions of radiotherapy.
A small tumor on the first rib was not removed during the surgery and this started to grow again. Alex underwent another surgery in June 2014. This time the surgery to remove the first rib and part of second rib was done in Singapore. After the surgery, Alex received another 36 sessions of radiation in October 2014 in a Malaysian hospital.
Hardly 2 months later, the tumor spread to the right lung membrane, spewing fluid into three-fourth of his right lung. Alex had to be hospitalised and fluid was tapped out. This happened in late in November 2014.
On 11 December 2014, Alex was started on a new sarcoma drug called, Pazopanib. Alex wrote, I did suffer side effects such as , nauseating, vomiting, developing blisters on my fingers and feet, tender skin, pains in my right forearm and coughing out blood which I was had to be hospitalized.
A CT scan in mid-March 2015, showed no improvement and the drug treatment was stopped on 26 March 2015.
Alex said, All this while, I was treated in the hospital and I have not started any herbal treatment. Only when I was discharged recently did I start to drink some (black faced General) herbal drink and some root herb, which name I don’t know (to show you when we meet).
Comment
The next day after receiving an e-mail with the above story attached, Alex with his wife and 3 children (lawyer, engineer and allied health-professional) showed up at our cancer. What did this mean? We felt he was desperate and wanted us to help him. The entire family sat down and listen to what we have got to say. Then we asked them to take a break, sit down among themselves and make their own decision, what to do next.
The first message we gave to the entire family. We cannot cure your cancer! Any person with any common sense will know that saying otherwise is not being truthful. Surgery (twice), chemotherapy, radiation (twice) and brand-new oral chemo drug could not help, what do you expect when you come to CA Care? We do our best to help but we would not be able to promise any positive outcome in anyway.
There are three points which we would like to share to you. Perhaps you may learn something from these.
- The Working of So Called Scientific Mind & Why I came to see you!
Alex told us that he was a student at USM doing chemistry. Alex said he believes in science and everything to be done must be “scientific.”
Naturally when Alex had cancer, he turned to scientific medicine; fully believing that science has the answer to his problem. Hence, surgery after surgery, radiation after radiation and chemo after chemo. Unfortunately the god called science did not deliver its promise.
After science failed, Alex turned to so the called “unproven and unscientific ” remedy. He took herbs, probably learned through friends or “newspaper cuttings.” That was indeed a reversal of “being scientific.”
Then Alex stumbled into CA Care website. He said, “I went through what you wrote and found it to be organised and “scientific” in your presentation.” On top of that Alex said that he knew about Chris Teo while he was a student at USM. So that attracted him to come and see us.
- My World View as a Biologist
I told Alex, if he was doing biology in USM , he would have been my student. I also told Alex that I would not blame him for believing is science. I understand science is the present god of modern day innovation. After all, this is what they teach students in school anyway.
I recall one USM student who wrote me. He wanted to come and work with CA Care. I asked him what he wanted to do? He said he wanted to extract the herbs and find the active ingredients — the stuff that make the herbs effective. I told him, “But I don’t believe that is the way to go. In herbal medicine we don’t talk about active ingredient like they teach you in chemistry or pharmacy.” Then he asked me to explain why. I replied, “I cannot explain this. You have learned the wrong things in school for years, how to make it right in just an e-mail?”
I told Alex this. As a chemist, you see 1 + 3 = 4. There is no two ways about it. It is definite, it is correct, any other answer is wrong. I understand you, for you are trained that way. Unfortunately, in biology 1 + 3 may turn out to 0 or 8 or 10 not necessarily 4 like you think. It is hard to explain this — you need to be wise and have some “scientific” experience to understand this. Taking herbs A + X + Y will do good for some patients. But giving the same herbs to the next person with the same cancer can result in a total failure. Why? Because biology is about life! I have often told patients, Healing cancer is about you — your attitude, your lifestyle, your mind. All these imbalances or things that go wrong in you do not show up in the CT scan or PET scan.
Starting a war in your body “sounds scientific.” But cutting, poisoning and burning does not guarantee you win the war. My observation about the world is this — nonbody wins in a war. The generals don’t get killed, only the helpless civilians. The same applies to the war on cancer in your body. It is better to learn how to live with your cancer. Cancer is not something you “catch” like the germs. It is the result of something that has gone wrong within your body, probably even caused by your own doing.
As I was writing this, I remember a lady who cried yesterday. She has breast cancer. I told her, You make your own cancer. She broke down and cried and said, Doc, you are correct! (That needs another article to explain that).
So my view on cancer is “opposite” of the medical views. You are welcome to accept or reject it.
So I told Alex, if you want to heal yourself, you need to realize that health is your responsibility. No one can heal you except you, yourself. To do that you need to initiate changes in your life.
By all means stick to your “science.” The next time your computer breaks down, fix it “scientifically.” But if your body breaks down due to cancer, I am afraid, you need more than science to fix it.
- Work for Your Healing – If you want to eat anything you like, there is no need to come and see us.
To follow the CA Care Therapy is not easy. The herbs have awful smell and lousy taste. There are several herbal teas to be brewed a day. This becomes a difficult chore if you don’t like to work in the kitchen. But the most difficult is, You must take care of your diet. You have been advised to take 10 or 30 eggs a day, or eat a lot of meat to boost your energy, etc. etc. We are sorry, we tell you the opposite. None of these! If you don’t want to take care of your diet, there is no point coming to see us. You cannot eat anything you like.
Let me end by sharing with you what I read from the medical literature.
In Your Medical Mind, by Dr Jerome Groopman and Dr. Pamela Hartzband, the authors wrote about Decision Analysis Meets Reality. They related a patient who used his scientific analytical knowledge to make decisions about his medical treatment. I am a scientist. I understand how research is conducted, what statistics show and don’t show. I was well aware of all the garbage that’s out there on the Internet. So I decided to go with top-tier journal, well-accredited papers, authored by specialists who are at recognized institutions.
After experiencing the medical system himself this patient suddenly came to this conclusion.
Clinical medicine is an area that moves away from clarity, an area that I think of as having higher uncertainty. You can’t really make rational decisions in this world. Doctors like to have what I call a “badge of rationality,” because it gives them authority, and they try to appear competent for the patients … even if the situation is highly uncertain, they go out of their way to appear certain, to ooze rationality?
They told me I had a 50 percent chance of getting graft-versus-host disease, with a 10 percent change of it affecting my liver, a 40 percent chance hurting my intestine, a 30 percent change involving my skin. I have no way to understand what all that means.
Dr. Manoj Kapoor, in The Wrong Prescription, wrote:
- Medicine still remains an art in applied common sense while treating most ailments. The moment we leave reasoning and correlation out and start applying modern technology advances, we get trapped in misdiagnosing.
- Science has progressed by leaps and bounds. A paradigm shift has happened. It is ” I treat and I cure”. However, the irony is that a cure for diseases like the common cold has still not been found.
- Science has fantastic treatments for all the symptoms, but the disease has not been eradicated…. and new ones are emerging.
Reflect on these quotations and ask, Where is the science?


You must be logged in to post a comment.