PR is a 33-year-old Indonesia. This is an email (translated and edited from Bahasa Indonesia) I received from him on 10 October 2017.
Part A: Medical history
A year ago, I often had stomach pains on the left side. I consulted doctors in Indonesia and Malaysia and did USG, CT Scan and colonoscopy. There was a tumor inside the colon. After a biopsy, I had surgery.
After operation the result was malignant tumor and I was required to undergo chemo for 8 times (infusion) and take medication (Xeloda) for 2 weeks and rest of 1 week.
After 4 cycles of chemo I did a CT scan again. The cancer had spread to the liver. I have to chemotherapy until 7 times. Then I did a CT scan again. The result was still the same, I decided to stop chemo and I chose my own herbal consumption (garlic mixed with honey).
Part B: Are you currently taking herbs?
No. I consumed herbs 1 month ago, some kind of root, but it was not effective. I now feel pain and uncomfortable in the upper right abdomen and waist and shoulder. For more than 2 weeks I stopped taking the herbs again. I am now taking painkillers from the doctors (Ultraset and Acorxia).
Part C: Current health condition
The more detailed information you provide, the better we can understand your problems.
- Do you feel pain? Where, how often and how serious? I often experience pain at the bottom of the right rib, pain when exhaling and also often uncomfortable at the waist, shoulders, and abdomen.
- Can you sleep? I have trouble sleeping. While sleeping only briefly and often woke up again.
- Do you feel tired? Sometimes.
- How often have you had a bowel movement? Is it difficult, with blood? Defecate sometimes 1 to 2 times a day, no bleeding and no pain.
- How is your appetite? Normal appetite, but I eat less because of stomach feeling full.
- Any bleeding? Where? No bleeding.
- Do you have a problem: digestion? diabetes? high blood pressure? No diabetes or high blood. Only when defecate feeling less satisfied (stools only a little bit sometimes).
- How often do you urinate? With blood? Normal, and no blood.
- Do you cough? With phlegm, what color (white / yellow)? Throat itchy? No cough, just throat often feel thirsty.
- Breathing difficulties? Yes, sometimes with pain in the upper abdomen right under the ribs.
- Any other complaints: The stomach, shoulders and waist feel uncomfortable. The portion of the pit of the stomach is rather hard. Body often feels hot but cannot stand the cold weather.
PR came seek our help after this email.
Listen to our conversation that morning.
Gist of our conversation.
His problem started about 2 years ago when he lost his appetite and had difficulty moving his bowels. After a medical checkup he was told there was a mass in his colon. He went to a private hospital in Melaka for a colonoscopy. It was colon cancer and he underwent an operation in July 2016. The operation cost RM 30,000.
Chris: Did you ask the doctor if the operation can cure you?
PR: Bisa sembuh (yes, can cure!). But after the operation the doctor said the cancer was aggressive. I have to undergo chemotherapy.
C: So you have chemo?
P: Yes, after the fourth chemo, CT scan showed the cancer had spread to the liver. Then, I have more chemo and stopped after the 7th chemo.
C: Did the cancer go away?
P: No, the liver got worse.
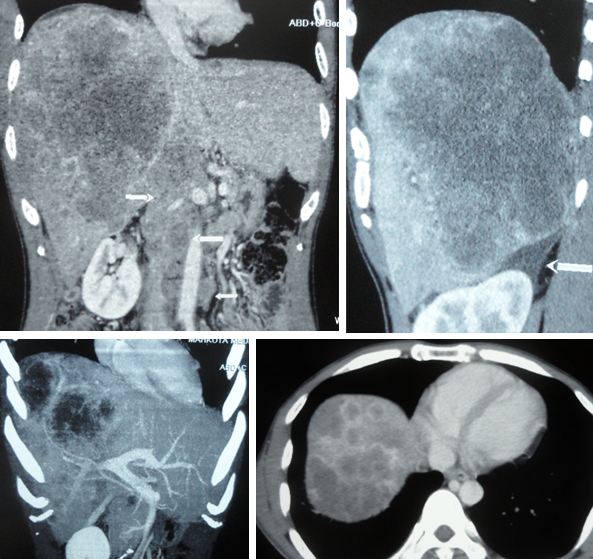
- Liver metastasis in both lobes, predominantly right lobe. The conglomerate of nodules in right lobe measures 11.4 x 15.1 x 18.1 cm. Mild ascites seen.
- Multiple para-aortic adenopathies, largest 1.8 x 2.2 cm.
Chest X-ray: Left lower zone nodules seen. Lung metastasis.
Blood test: 6 Oct. 2017
| ESR | 42 H |
| Platelet count | 245 |
| ALT (SGPT) | 63 H |
| AST (SGOT) | 150 H |
| ALP | 256 H |
| GGT | 211 H |
C: How much did you spend in all for the treatments?
P: The operation cost about RM 30,000 and the 7 cycles of chemo (including Xeloda) cost RM5,000 / cycle.
C: Let me ask you this — before the operation did the scan show any cancer in your liver?
P: No, there was no liver metastasis.
C: Before the chemo — was there any cancer in your liver?
P: No cancer in the liver.
C: But after 4 shots of chemo, CT scan showed the cancer had gone to the liver?
P: Yes.
C: So, what did the doctor say?
P: Continue with the chemo!
C: What is the whole idea of doing more chemo when you got worse? What do you think made the cancer spread to the liver?
Comments
To answer the last question, perhaps you may want to reflect to the following reports.
Shock study: Chemotherapy can backfire, make cancer worse by triggering tumor growth
The extremely aggressive therapy, which kills both cancerous and healthy cells indiscriminately, can cause healthy cells to secrete a protein that sustains tumor growth and resistance to further treatment.
The scientists found that healthy cells damaged by chemotherapy secreted more of a protein called WNT16B which
“WNT16B, when secreted, would interact with nearby tumor cells and cause them to grow, invade, and importantly, resist subsequent therapy,” said Nelson.
In cancer treatment, tumors often respond well initially, followed by rapid re-growth and then resistance to further chemotherapy.
Chemotherapy could spread cancer cells and lead to more advanced tumours, says study
Chemotherapy is used to kill cancer cells and stop tumours from growing – but a new study suggests it could in fact help the disease spread, leading to more aggressive forms of cancer.
While the treatment was found to shrink tumours in the short term, chemotherapy drugs increase the chance that cancer cells will migrate to elsewhere in the body and may trigger a ‘repair’ system which allows them to grow back stronger, according to a team of US researchers.
Treatment Can Make Cancer Stronger
Doctors use radiation and chemotherapy to destroy cancer cells. About half of patients are cured — that is, all of their tumor cells die.
The other half of the time, some tumor cells survive treatment. These cancer cells are more aggressive than they were before treatment, says Mark W. Dewhirst, DVM, PhD, professor of radiation oncology at Duke University.
“When you give a tumor treatment, whatever cells survive are going to be more resistant to that treatment,” Dewhirst tells WebMD. “Those not killed are healthier cancer cells.”
Source: https://www.webmd.com/cancer/news/20080610/treatment-can-make-cancer-stronger#1
Why do chemotherapy drugs cause liver damage?
Chemotherapy drugs may cause liver damage because they are toxins and they place added stress on the liver’s filtering function. The liver removes toxins and chemicals from the blood stream and changes them into products that can be readily removed through the bile or urine. If toxins accumulate in the body faster than the liver can process them, then liver damage will result.
Read our two articles:
Chemotherapy SPREADS and MAKES cancer more AGGRESSIVE
Chemotherapy Spreads Cancer and Makes It More Aggressive: Articles From the Internet







You must be logged in to post a comment.