Hospital C in Johor
After my discharge from Hospital B in Singapore, it appeared that the doctors knew what had gone wrong with me, as outlined in their reports. Another hospital which is about one hour drive from our home (in Singapore) is Hospital C. It is in Johor. We moved to Hospital C for 5 days from 11 June @15:18 to 15 June 2024 @10:31.
The great difference between B and C is that in Hospital C, you pay in Malaysian ringgit – indeed a huge difference compared to Singapore dollars!
In Hospital C, I underwent these procedures and treatments:
- Lumbar X-ray
There is reduce lumbar lordosis. The alignment is preserved.
No fracture or dislocation.
Impression: Lumbar spondylosis with likely L2/L3 disc bulge.
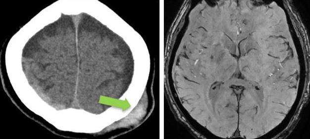
- CT brain – 11 June. Day 2 post mild head injury (after second fall).
Bilateral fronto- parietal hypodense subdural hemorrhage / effusion widest at frontal region, right measures 10 mm keft measures 13 mm in thickness.
There is hyperdense component seen at right parietal region (9 mm in thickness). Mild enhancement of the sulci bilaterally.
Gray-white matter differentiation fairly preserved.
No hydrocephalus.
No skull fracture.
Left parietal scalp swelling.
Impression: Bilateral fronto-parietal subdural hemorrhage as described.
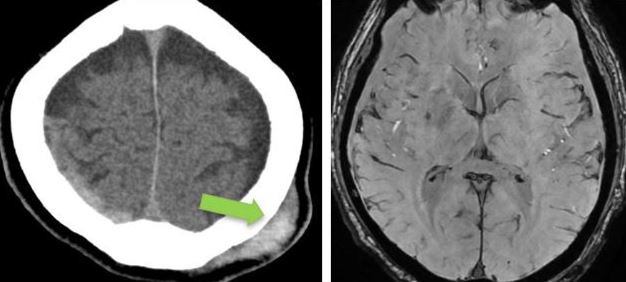
- CT brain. Comparison made with CT brain yesterday – 12 June 2024.
Impression: Right parietal extra-axil haemorrhage, stable in size compared to previous.
Bilateral fronto-temporo-parietal subdural hygroma.
No new intracranial haemorrhage.
Blood- Tests
11 June 2024 @14.44
White Blood Cells 12.0 H (4.0-11.0)
Neutrophils 82.0 H (40 – 75.0)
Lymphocytes 11.2 L (20 – 45)
Neutrophils (absolute value) 9.8 H (2.0-7.5)
Lymphocytes (absolute value) 1.3 L (1.5-4.5)
Sodium 118 (critical) (135-145)
Potassium 3.6 (3.5-5.1)
Chloride 91 L (98-109)
Creatinine 48 L (62-115)
Calcium 2.14 L (2.18-2.60)
Adjusted calcium 2.1 L (2.18-2.60)
11 June 2024 @19.58
Sodium 120 (critical)
Potassium 3.4 L
Chloride 92 L
Serum osmolality 249 L (280-301)
Free T4 25.4 H (12.2-22.4)
11 June 2024 @23.45
Sodium 124 (critical)
Potassium 36
Chloride 95 L
Urea nitrogen 2.4 L (2.5-6.5)
!3 June 2024 @6:31
Sodium 123 (critical)
Potassium 36
Chloride 92 L
Urea nitrogen 2.3 L
!3 June 2024 @11:53
Sodium 125 (critical)
14 June 2024 @ 8.10
Sodium 123 (critical)
Potassium 38
Chloride 94 L
Urea nitrogen 2.5
14 June 2024 @ 14:12
Sodium 127 L
15 June 2024 @ 6:34
Sodium 126 L
Potassium 3.7
Urea nitrogen 2.2 L
Staying in Hospital was about taking the following medications and monitoring of blood as above.
8am
1. Omeprazole x 1 capsule
2. Metoclopromide (maxalon) / domperidone (motilium) x 1 tab (either or)
3. Celebrax x 1 capsule
4. Paracetamol x 2 capsule
9am – 10am (breakfast timing)
1. NaCl x 1 capsule
2. Potassium Cl x 1 tablet
3. Neurobion x 1 tablet
1- 2pm (pre lunch)
1. Metoclopromide (maxalon) / domperidone (motilium) x 1 tab (either or if papa feels nauseated)
2. Paracetamol x 2 capsule
3. NaCl x 1 capsule
6pm
1. Omeprazole x 1 capsule
2. Metoclopromide (maxalon) / domperidone (motilium) x 1 tab (either or)
3. Celebrax x 1 capsule
4. Paracetamol x 2 capsule
8pm-9pm (after dinner)
1. Metformin XR x 1 tablet
2. NaCl x 1 capsule
11pm-midnight (before sleep)
1. Paracetamol x 2 capsule
In the morning of15 June 2024, I was discharged and returned to Singapore. Was I fully recovered? I am sorry, the answer is NO. I was still unable to walk by myself and had to use a walking frame.

Cost of Hospitalization in Hospital C for 5 days
The total cost of hospitalization is RM 14,308.05, covering the following items:
- Hospital Charges RM 12,197.04
Medication 1,970.64
Medical & surgical suppliers 890.00
Nursing procedure 663.68
Imaging 1,561.60
Rehabilitation services 880.00
Laboratory investigation 2,391.68
Nursing care 525.52
Administrative charges 56.56
House supply 48.80
Miscellaneous 97.52
Medical officer fee 42.96
Room and board 1,724.00
Equipment /instrumentation 1,333.08
- Doctor Charges RM 2,111.00
Dr. A – consultation & assessment. First consultation 235.00
Gen Ward visit (Weekday 8 am to 6 pm) 840.00
Dr. B – Rad Fee 60.00
Repeat Fee – Brain 120.00
Repeat Fee Xray 21.00
Dr. C; Imaging – repeat fee – CT brain 120.00
Rad fee – on call surcharge 60.00
Dr. D – consultation & assessment. First consultation 235.00
Gen Ward visit (Weekday 8 am to 6 pm ) 420.00
When you are in the hospital, remember that everything you used or was provided with has a price. So don’t be surprised. Take for examples:
- Vomit bag. This costs RM12.80 each. I needed this bag when vomiting. Worse is, the vomit was induced by the consumption of the prescribed medications.
- Every time I urinated, the disposable bottle costs me RM7.84 each.





You must be logged in to post a comment.