Patient is a 56 year-old-female from Medan, Indonesia. Sometime in March-April 2012, she had abdominal pains followed by bleeding. She had nausea with bloating of her abdomen. The doctor in Medan diagnosed it as cervical cancer. Patient came to a private hospital in Penang because she was unable to pass urine. She was told that this was due to the swelling of her kidney. A catheter was installed. She was then referred to a gynaecologist who told her that her cancer had spread to her bladder.
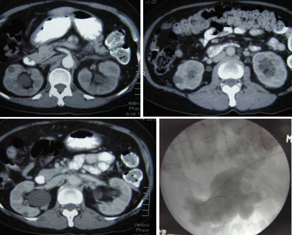
CT report dated 27 April 2012 indicated: Multiple simple renal cortical cysts seen bilaterally. Moderate right hydronephrosis and hydroureter as well as mild left hydronephrosis and hydroureter seen. Grossly distended urinary bladder. Fuzzy, irregular cervical edges noted. Impression: 1. Grossly distended urinary bladder with bilateral urinary tracts ? back pressure. 2. Fuzzy, irregular cervical edges. Suggest gynaecological assessment.
A biopsy was done and the histopathology report dated 28 April 2012 indicated: Poorly differentiated non keratinising squamous cell carcinoma of the cervix infiltrating the cervical stroma.
Patient was then referred her to an oncologist. The oncologist suggested radiotherapy. Patient and her family refused the treatment and returned to Medan. Patient was told to return of Penang again after three months. However, after a month and a week at home, she was unable to urinate again. The problem was resolved after the previously installed catheter was replaced. Nevertheless, patient suffered pains, nausea and vomiting. She was unable to move her bowels for the past five days and then her urination was blocked again. An attending doctor had to change a catheter to resolve her problems.
1. Found CA Care
Her children surfed the net for help and found CA Care. They wrote (translated from Bahasa Indonesia):
9 June 2012: Dear Sirs,
On this occasion I beg Dr. Chris K.H. Teo to help treat my mother. I have attached a form that contains information and some problems experienced by my mother. I really hope Dr. Chris K.H. Teo can immediately notify me what to do to help my mother. My family and I always pray for the healing of our mother, and I am very grateful to have been able to know Dr. Chris KH Teo. For giving me your attention I thank you. Sincerely, Az.
Reply: From North Sumatra? Come and see me in Penang. Bring all the medical reports / scans. And also please read: http://cacare.com/indonesia/
13 June 2012: Dr. Chris K.H. Teo.
Through this email I wish to inform you about my mother’s condition. She is so weak that she cannot go to Penang to meet with Dr. Chris. However, our family shall send my father to see Dr. Chris in Penang. Our family plead that Dr. Chris help our mother. For your kind attention, I thank you. Sincerely, Az.
Reply: Meet me at 10.30 a.m. Friday morning.
15 June 2012: Patient’s husband – Darwin – came to our center and presented this story.
We prescribed her the following herbs: Capsule A, Cervical 1 and Cervical 2 teas, Constipation tea, Bladder tea and Stomach Function tea.
June 19, 2012: Dr. Chris K.H. Teo,
Greetings. Through this email I wish to inform you that after taking the herbal teas from 17 June to 19 June – two days – my mother suffered the following:
a) Sometimes she had fevers (hot-cold) and even chills and shivered.
b) She had no strength to stand up. Today she fell.
c) She passed out blood-red urine with tiny clots – could be blood clots.
d) A part of her stomach felt hot.
e) Her whole body ached.
We request information from Dr. Chris about this development. I would like to know if my mother can take vitamin to improve her stamina. If possible, tell us what is good according to Dr. Chris? We hope for the response from Dr. Chris. Thank you for your attention. Yours truly, Az.
Reply: Only two days on herbs, don’t expect cure that soon!
June 24, 2012: Dr. Dear Chris,
I want to give a report about my mother:
Since taking herbs from 17 June to 21 June 2012 my mother’s condition are as follows:
a) Hot in the stomach area.
b) She feels chills.
c) Whole body with tingling pains in the bones. She needs help to sit up, stand or walk.
d) Urination is smooth and she passed out many small, moss-like clumps.
e) Bowel movements are good.
From 22 June 2012 to today, 24 June, my mother:
a) Is able to sit and walk by herself because no more pains in the bones.
b) Heat in the stomach and feeling of chills and shivering have all gone.
c) However, she has twisting feelings in the abdomen (below the navel).
d) The pains in the hip come and go. She also has nausea and vomiting.
We pray for your guidance and advice.
13 July 2012: The patient’s husband, Darwin, came to CA Care and reported that his wife’s health has started to improve further from 28 June onwards, i.e., twelve days after taking our herbs.
Darwin is indeed an amazing man. He did all the chores of brewing his wife’s herbs and took full control of caring for her. He produced a diary where he wrote what had happened to his wife each day (see below).
Since this is indeed an amazing healing story, I asked Darwin if I need to cover his face in our video presentation. His replied: No, no need to cover! He would like to share his wife’s healing story with all of us.
Transcription of our conversation on 13 July 2012
2. The Healing Crisis
Husband: I have been keeping a record of what happened every day since she started to take the herbs.
Chris: You came here in June (15 June 2012) and this is now July (13 July 2012) and she has been taking the herbs for about a month now? Your wife did not come, right? You came on her behalf?
H: That’s right.
C: After taking the herbs for a week – did she suffer?
H: Yes – exactly! These are the details.
- She had high temperatures – fevers.
- She felt dizzy.
- Her abdomen was heaty.
- Sometimes she trembled or shivered.
C: Before the herbs, did she suffer such problems?
H: No, not at all.
C: After taking the herbs, she had all these problems? For how long?
H. The problem started three days after taking the herbs. Her abdomen had twisting pains, her whole body ached, her abdomen itched. The problem persisted for about ten days.
C: What happened after the ten days?
H: Her condition stablised. Her appetite improved. By the 12th day her condition returned to normal. On the 16th day she had difficulty urinating. I brought her to the hospital and the doctor replaced her urinary catheter (a urinary catheter is a latex, polyurethane or silicone tube that is inserted into a patient’s bladder via the urethra. This allows the urine to drain freely from the bladder for collection). With the new catheter she was able to pass urine again.
C: Was this done in the hospital?
H: Yes, she was in the hospital for seven days. As the urine flowed out, it also allowed the waste to come out. She started to discharge pus, pieces of rotten tissues – sometimes string-like – with strong foul smell.
C: What? Things like these come out through the tube with her urine?
H: Yes, pieces of rotten flesh and very smelly. Some looked like plastic strings. Sometimes there was blood and pus. Finally the tube got blocked by the debris. A new catheter has to be installed. To help with the flow, I had to press the tube to break up the debris.
C: Okay, let’s see if I get it right. All these discharge – the rotten tissues, pus, etc – happened before you brought her to the hospital?
H: Yes, before going to the hospital.
C: It means that after taking the herbs, she had all the sufferings you mentioned and on top of it, rotten tissues and pus were discharged through the catheter. Is that right?
H: Yes.
C: It also means that your wife already had a catheter before she started to take the herbs? This was to help her discharge her urine. And after she took the herbs, all these rotten tissues and pus were discharged through the catheter until the device was clogged.
H: Yes, because of that I had to bring her to the hospital and a new catheter was fitted. And she stayed in the hospital for seven days.
C: While in the hospital, did the doctor give her any medication for her cancer?
H: No, only medication to help with her urination.
C: What happened after she came out of the hospital?
H: She became well! But she still continued to discharge these “waste.”
C: And the rotten tissues still came out?
H: No, no. No more tissues but only pus but only a little – not as much as before.
C: Before you took the herbs, did such thing ever happen?
H: No, no, nothing like that!
Similar Thing Happened in the Philippines
C: Amazing, amazing! I now remember of a similar case. There was a patient from the Philippines. He had Stage 4 pancreatic cancer. The doctor could not do anything except to insert a tube into his abdomen. After taking the herbs rotten-minced-meat-like tissues flowed out through the tube. It was very smelly. The colour was very dark brown. This rotten tissue kept flowing out of the tube for a few weeks. After two months on the herbs he regained his health. Later an ultrasound showed no more growth in his pancreas. (For more on this patient: https://cancercaremalaysia.com/2012/07/13/pancreatic-cancer-is-there-another-option/)
3. Health Restored After Herbs
H: From my thinking, my wife had to undergo a cleansing process. There are too much “germs” inside her and these have to come out. Because of that even the catheter get clogged up. I brought her to the hospital. I told the doctor that she (my wife) is taking herbs for her cancer.
C: What did the doctor say about that?
H: The doctor had no objection with the herbs. It is okay.
C: Amazing! Some doctors get angry if you take herbs. But your doctor is agreeable. That’s the kind of doctor who can help us and co-operate with us. Good, I am happy to hear that.
H: When I met the doctor I asked him to only help drain her urine from the bladder. That was all that I wanted him to do. Even if he prescribed medications, my wife did not take them. The only medications I allowed my wife to take were painkiller and the drip they gave her to help with the urine flow.
Herbs Certainly Helped Her
C: This is really amazing. Do you think that the herbs had helped your wife?
H: Yes, of course. You see doc., after the herbs she had fevers, nausea, vomiting, etc.
C: Okay, when she was in such a condition, what was in your mind?
H: I encouraged my wife to continue with the herbs. Healing was taking place – a cleansing was happening. The cleansing process started from the top and by the 8th day it went down to her lower abdomen and she had so much pain. All her joints and bones all over the body were painful. When she had fevers she trembled.
C: Were you not afraid and wanted to give up?
H: No, she continued to take the herbs. I was giving her all the encouragement.
C: But it was only you who were “pushing” her. What about other people in the family?
H: I was the main person taking care of her. I boiled her herbs. I didn’t trust others to do this chore.
C: Did it not cross your mind that after a week on the herbs – and she had all these problems – you wanted to give up?
H: Sometimes, I did think of that! But your wife and also you doc., did warn me about this healing crisis when I was here for the first time. So I was even more encouraged to proceed. So I persisted. So this month, I did not sleep much having to take care of my wife!
Suffering Before Healing
C: Okay, this is the kind of patient I really want and admire – patient who has such belief and “fighting spirit.” Many patients will write to me after taking herbs for two or three days. They have pains here and there and wanted me to explain why this and that happened. But how am I to know? I am here in Penang and they are there – somewhere so far away in Indonesia, Singapore or Australia. How do you expect me to know and explain everything? But what I know is this – patients would suffer healing crisis after taking the herbs. If you are not prepared to go through this “hump” you will not succeed. This is what I consider the “law of healing.” But many patients will “chicken out” with the slightest discomfort. But good for you that you did not give up and continued taking the herbs.
She Recovered After Twenty-six Days on Herbs
H: Two or three days before I left home to come here today, my wife had recovered. There were no more pains.
C: If you look at her – does she look healthy?
H: Yes, healthy. She can now walk around the house even with her catheter. She could even talk on the phone and laughed. To me she looked healthy.
C: Before the herbs, what were her conditions?
H: She was lethargic and lacked energy. She had difficulty talking to me over the phone. Her voice was weak and she had pains in her lower abdomen. It was on the 26th day after taking the herbs that I could see her coming to life again and well.
No Poisons for Her
C: What you did for her was correct. We still need the doctors to help us. But what we don’t want is to put poisons into her body.
H: Antibiotics? No, no. We refused that. What we accepted from the doctors were vitamins – okay; painkiller, okay But antibiotics, No!
C: This is a great story. It is patient like this that I really admire.
4. Beware. The Cancer Can Strike Back
C: You must be aware that her healing journey has just begun. It is not over yet – she is still in the healing process.
H: Yes, exactly.
C: Many patients – after they feel well and don’t feel like dying anymore – they would want to eat this and that.
H: No, no (waving his hands violently). That is not right!
C: So you must be very careful.
H: I am aware of that!
C: Let me warn you again to be careful with what she eats. When she was sick, you took care of her very well and she recovered. Don’t ever change her diet now. After she gets wells, you can slowly introduce one “new” type of food at a time. If that “new food” does not give any problem – you can then introduce another “new” food and see what happens. I can anticipate what your next problem is going to be – it is all about food. So be careful.
Healed Pancreatic Cancer That Turned Rotten
C: Take the case of the patient from the Philippines who had pancreatic cancer I told you earlier. The doctor said he had only three to six months to live. He took herbs and after two months became well. He lived for one and half years! He was able to back to his job – repairing air-con and fridge. Later, the doctor told him that he was “cured” – no more tumour. He stopped taking the herbs and went back to his “bad” diet. He suffered a relapse and died.
Remember, if your wife suffered a relapse, I am not going to be able to help her again. There is nothing much more that I can do for her.
Don’t Ever Go Back to Your Former “Bad” Diet
C: So this is my reminder again. Now that she has recovered. Remember don’t ever go back to her “bad” diet again. Apart from this diet problem, I do not see any other problem. This is because I have given her enough herbs for her problems. And I am not going to change any of these herbs for now. The only thing is her diet – this is the greatest mistake all cancer patients committed after they get well.
Her Current Problems
C: What are her problems now?
H: Only the urination.
C: Be patient. And did she still discharge those rotten tissues?
H: No more rotten tissues but there is still pus. No blood. No more nausea and vomiting. Even the bloating of her abdomen was resolved.
C: Okay, no need to take that Stomach Function tea for her stomach wind anymore.
H: Yesterday my brother-in-law had a bloated stomach. I gave him the Stomach Function tea. After one night and two days his stomach was flat and he was alright! The herbal tea was effective! (There is no need to cover my face in our video conversation. I would like to share my experience with others).



You must be logged in to post a comment.