Non-Hodgkin’s Lymphoma of the Stomach: One cycle of chemo made him really sick. He took herbs and life was restored

Eng (H241) is a 65-year-old male.  In 2007 he underwent an angioplasty procedure. Sometime in July 2009, he suffered from indigestion and nausea. Then in August 2009, he vomited blood. He was admitted into a government hospital. A biopsy done on 23 October 2009 indicated large cell, B-cell type gastric non-Hodgkin’s Lymphoma (NHL) of intermediate grade.

On 8 December 2009, he underwent chemotherapy with modified CHOP –  cyclophosphamide + vincristine + Epirubicin and Prednisolone.  Medical record indicated he received a LOWER dosage due to his past medical history.  He suffered the following severe side effects after just a cycle of chemotherapy.

  • Nausea
  • Vomiting
  • Fevers, temperature 38.1 C
  • Slow heartbeat (junctional bradycardia)
  • Hardening (consolidation) of the right lung
  • Stroke (left thalamus infarction)
  • Uncontrolled hypertension

As a result of the above, life was difficult for Eng. He had no strength and was unable to urinate. This is what was written on his medical report. “20 December 2009 – In view of patient’s poor tolerance to chemo and the lesion is localized within the stomach” patient was referred for radiotherapy.

Eng was asked to undergo 25 times of radiation treatment. He refused.  He was discharged and prescribed with the following drugs:

  1. Omeprazole
  2. Lovastatin
  3. Ticlid
  4. Isordil
  5. Amlodipine
  6. Perindopril
  7. Prazocin
  8. Gliclazide
  9. Laquid paraffin
  10. Lactulose

Patient’s daughter came to seek our help on 17 January 2010. She presented her father’s condition as below:

  1. No pain
  2. Unable to sleep
  3. Can’t eat  – no appetite, nausea and sometimes vomit
  4. Tired
  5. Bowel movements once every few days – constipatioin
  6. Cough with sticky phlegm
  7. Breathless
  8. No strength

We prescribed Capsule A, C-tea, Lympho 1 and 2 teas, Constipation tea and Appetite & Vomit tea.

24 January 2010: After one week on the herbs, his appetite and bowel movements improved. He could talk with a louder voice. But he still had difficulty with urination.

29 January 2010: No more nausea, every day he moved his bowels, and he was able to walk better. Before the herbs he was only able to stand up for a while only.

5 March 2010: Health improved – could walk. Appetite improved. Swelling of both legs were gone. He was able to urinate.  For the first time, his daughter brought her father to meet us (see video).

12 November 2010: Eng came to see us. He was doing fine.

9 December 2011: He was doing fine – almost two years since he started taking the herbs.  Eng came to see us with his daughter (see video).

 

Permission to use this video without having to mask patient’s face is granted by the family.

 

Comments

  1. Because of his medical history, Eng was only given “lower” dose chemotherapy. In spite of that, he suffered severe side effects. What do you think could happen if he was to be given a “FULL” dose? Can he die from the treatment?
  2. What is the idea or rationale of receiving “lower” dose chemotherapy? Do you mean to say that a “lower” dose can also cure him when using a “full “dose may not cure patients?
  3. Since further chemotherapy had to be aborted, Eng was asked to undergo 25 times of radiotherapy. Was this a wise advice? Can radiotherapy cure stomach lymphoma?
  4. What could have happened if Eng were to undergo radiotherapy? Would he not suffer even worse side effects?

The family decided to give up medical treatment. Eng’s daughter surfed the net and found CA Care. Eng was put on herbs. His conditions improved and as of this writing (13 December 2011), after almost two years, he is still doing fine.

  1. Does this not indicate that what Eng did for the past two years – taking herbs and change of diet – is good for him?  How much scientific proof do we need from this success story?
  2. Think hard – do you really need chemo or radiation for such a case? Is there not a better way of treating such a “sick” person like Eng besides such invasive treatments?

Let me end with these quotations:

 

 

Kidney Cancer: Remove One and a Half Kidneys Then Go For Dialysis!

What if you were told to remove one kidney because of your cancer? That’s okay. I have a patient and friend,  who had a kidney removed because of his cancer. He took herbs and was on our diet. He is living a good life for the past sixteen years.

But what if you were told to remove one and a half of your kidneys? That would be a dilemma. The remaining one half kidney may not function. You may need to go on dialysis for the rest of your life.

And what if removing your kidney does not really solve your cancer problem? Surgery does not cure cancer. It just buys you time. Cancer can recur. What if the cancer recurs? That means you need the toxic chemotherapy treatment besides having to undergo dialysis to keep you alive.

What if you live in a place where you are not sure if there is a “good” dialysis facility? That is not your doctor’s problem anymore. 

I am not “cooking” up these questions. I had to deal with this problem not long ago – while I was on a vacation. I received this email on 20 November 2011.

To: Dr. Chris K.H. Teo,

My father had been diagnosed with kidney cancer. I am now confused as to what to do. A friend recommended me to see Dr. Teo. Hopefully Dr. Teo can help. We are now in Singapore, if it is possible to meet, I will be looking for flights to Penang today. Thank you. (Translated from Indonesian)

Knowing that he was desperate, I told him to come and see me as soon as I was back in Malaysia. So on 24 November 2011, SK and his two sons came to Penang. Below is our conversation that day.

SK’s problem started about two years ago. He had blood in his urine. He consulted an urologist who prescribed him medication. The problem disappeared. Then in May 2011, there was again blood in his urine.

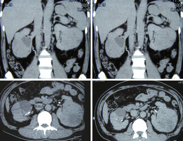
An ultrasound of his abdomen on 27 May 2011 indicated a 67.2 x 64.2 mm mass in his right kidney and a 70.5 x 56.0 mm mass in his left kidney.

SK was again prescribed medication and the problem disappeared after taking it. In mid-November 2011, SK again had blood in his urine. Accompanied by his two sons, SK went to Singapore for further consultation.

A CT scan done on 16 November 2011 indicated a large mass, 6.7 x 8.4 x 7 cm in size in the left kidney. The right kidney has a nodular mass, 6.6. x 4.9 x 6.4 cm in size. Appearances are highly of bilateral renal neoplasm.

A blood test on 16 November 2011 showed elevated creatinine (141.0) level. His alkaline phosphatase was at 165 (high) and GGT at 228 (high). Other parameters, including AFP, CEA and PSA, were within normal range.

A bone scan done on 21 November 2011 indicated no conclusive evidence of any bony metastases.

Based on the above, the doctor in Singapore said he was 95 percent sure that SK has kidney cancer. SK was asked to undergo an operation to remove the tumours in both his kidneys. This would involve removing one and a half kidneys. There is a 50:50 chance that the remaining one half of the other kidney may not function after the surgery. If this happens, SK would have to be on dialysis. In spite of this set back, the doctor said the tumours must be removed.

SK and his sons refused further medical treatment. SK told us, “What the doctor offered me is not going to solve my problems.” He opted for our therapy. On 24 November 2011, SK was prescribed Capsule A and B, Liver Tea, Kidney Tea, Detox+ WF Tea and Lung Tea. While back in Indonesia, we kept in touch via e-mails through his son.

E-mail Communication

1 December 2011

I wish to inform you about my father’s condition. After taking the herbs for 6 days and following your diet recommendation, he felt weak, sweat very frequently, lost his appetite, felt nauseous. Are these expected?

Reply: Continue taking the herbs and let me know what happen after one more week.

2 December  2011

Today my father vomited and could not eat anything. After eating he vomited. He felt nauseous. Should he continue taking the herbs? Because of the vomiting he cannot even drink the herbal teas. Please advise.

Reply: Okay. Take Capsule A only. Then see what happen after that. If okay, drink Detox tea + WF + Capsule A – see what happen. Let me know. Chris.

9 December 2011 

I wish to inform you about my father conditions:

a)      After stopping Capsule B, his stomach felt better, he vomited less but he still vomited at night.

b)      His whole body was very uncomfortable – very tired, sweating, blurred vision, dizzy when standing up. Are these the side effects of the herbs?

c)       Now my father is taking: Capsule A (1 capsule, 3 times per day), Energy and Kidney Teas. He does not take: Capsule B, Detox tea + WF, Liver and Lung teas. What is your advice? Should continue or stop any one of them?

d)      After 10 days on the herbs, we did a blood test. The results are attached. Please have a look if there is any improvement? What do you think?

Reply:

a)  He should not have such side effects – is he the kind of person who is fussy about his food? Difficult and selective about the taste of food?

b) Feeling of discomforts is because of his stomach? Any gastric problem before? Did he take Capsule A + B with honey water?

c) What about his blood pressure? His blood counts were low but I don’t expect such problems.

d) I have no other way. If you take the herbs and they are not helpful, go and find someone else to help you.

e) Go to this link and read what it takes to be a winner. http://cancercareindonesia.com/2011/09/11/kanker-paru-otak-suatu-penyembuhan-yang-tidak-mungkin-1-harapan-setelah-suatu-bencana-empat-puluh-siklus-kemoterapi-iressa-tarceva-dan-sutent-tid      Read this carefully.

f) Don’t expect after taking the herbs for 10 days the blood test results are going to be better. 

15 December 2011

Dr. Chris. Thank you for the information. My father is improving. He is now taking all the herbs, except Capsule B as you have suggested. In the next 5 days our herbs are going to be finished and we plan to come and see you on 21 December 2011. Would you be able to see us?

Reply:  Okay come and see me, 10.30 a.m. Chris 

Second Visit to CA Care – 22rd – 23 December 2011

SK, his wife and son came to CA Care after taking herbs for three weeks. On the second week of taking the herbs, he experienced healing crisis. He had more problems and was not getting better but these problems gradually resolved by themselves. If you know more by what we need by healing crisis, click on this link: https://cancercaremalaysia.com/2012/01/18/healing-crisis/ 

E-mail Communication 

6 January 2012

The e-Therapy machine is helping all my family members, including me. All of us are using the machine. Day by day my father’s condition, after coming back, is getting better. Now, his appetite is getting better, physically he looks more fresh and energetic. We celebrated Christmas eve by watching the movie at the cinema. He was so excited at the moment. Thank you for your advice and support, Dr. Chris. GBU

Reply:  Very good and happy to hear that. Yes, make your father happy always. Please let me know the following:

a) Before he vomited, now does he still vomit?

b) Any pain in the stomach?

c) Does the machine help him with the stomach problem? I asked you to use the program for Stomach function program.

d) Is there any pain any where?

Thanks so much and keep well always. Chris

6 January 2012

Yes, I hope day by day will be better and better.

a) No, a day after coming back from Penang he felt better with his stomach. He told me that after winds came out from his stomach, he felt so good. He never needs to take the Vomit herb until now.

b) He said that there is no pain in his stomach, but he felt so much wind in there.

c)  After coming back from Penang, and after he felt better with his stomach, he never used the Stomach function program at all. He does the cancer programs only.

d) According to him, there is a little pain in his kidney (more in the right kidney), the pains  comes just sometimes. 

Reply: Thanks so much for your answer. I am happy to note that he is not vomiting anymore. And he continues to take the other herbs? Chris

7 January 2012

Yes, he takes all the herbs: Energy, Liver-P, Kidney, Lung, Capsule A & B, Detox tea. And he is doing the machine program like you taught me. Morning, midday and at night – everyday.

Reply: One more question — After he took all the herbs — did he vomit this time? Before he came and saw me the second time and before using the machine —- he vomited after taking herbs or even drinking something. Now is he , no vomit? Chris

7 January 2012

Morning Dr. Chris,

Alright, no vomiting anymore. Even after taking the Capsule B (before you suggested that he stop taking it because he vomited after taking Capsule B).  Now he is taking all the herbs, except Vomit Tea.

Reply: Great and thanks. Chris 

15 January 2012

Dr. Chris,

My father vomited again this night. He told me there was a lot of gas in his stomach. Morning and mid-day he felt good, but in the night not good (every day). What do you think? Is it the effect after take capsule B? Your opinion please.
Thank you.

Reply: Can you try #72 -Stomach problem and there is also #124 Stomach Gas. Try one first and see what happens. Then later try another and see what happens. I think his stomach is not good. Let me know. Chris

16 January 2012 

What happen to the vomit now? Chris

20 January 2012

Dr. Chris,

My father is not vomiting anymore.

Reply: Okay thank you — next time you know what to do if he vomits again. You use the machine for his vomit? Chris 

26 January 2012

Hello Dr.Chris,

Happy Chinese New Year. Yes, my dad used the machine for his vomit. Thanks.

Comments 

This is indeed a sad story. I fully empathize with SK. He was in limbo having to choose between the “devil and the deep blue sea.” As a rule, any patient who comes to us with kidney tumour will be told to go back to his/her doctor for surgery. Get the diseased kidney out! Then come to us for herbs. But in this case, it is not possible for me to say that to SK. If surgery can ensure that the cancer does not recur and spread to other organs then I am tempted to “push” him towards surgery.  At least SK will end up with only just a problem –dialysis for the rest of his life. But what if the cancer comes back, example to his lung? Chemo would be the obvious answer! I have fully explained this scenario to SK and his two sons.

As you can hear from our conversation, SK and his family have already decided to decline further medical intervention. The treatment plan proposed by the Singapore does not make sense to him. Likewise, I tell all patients – evaluate what your doctor has got to offer you – if it makes sense, go for it. If it does not make sense, don’t go for it! It is your responsibility to make whatever decision that you are most comfortable with.

Sometimes before making a decision, it is wise for patients or their loved ones to “read and read”. Don’t just listen and believe what your doctor or friends said. Find the necessary information yourself, if you can. In this way, at least you can go to the “battle” well prepared.

This is exactly what I did in SK’s case. To be better informed, I searched the internet for the answers to the questions below. And you will be surprised that there are many others asking the same questions and there are equally many others who are willing to share their own experiences with you.

  1. Could You Live Without Your Kidneys?
  • A person can live with only one functioning kidney if the other is diseased or has been removed. But no one can live without both kidneys, unless he undergoes almost daily treatments on a dialysis machine.
  • I recently had both kidneys removed and only require dialysis 3 times a week for 4 hours each visit. In each session I filter approx 68 litres of blood. I have to take tablets for blood pressure as well as other conditions and can only drink 500ml of fluid a day as I no longer make any pee. I have a low potassium, sodium and phosphate diet. So yes, you can live without kidneys, but it’s not straightforward or easy.
  • I don’t have any kidneys and I haven’t had any for 6 years now. I do my dialysis 3 days in a week for 5 hours at a time.
  • About 9 months ago I had both kidneys removed. I need dialysis 4 times a week for 4 hours. I can drink 0. 5 litre to 1 liter per day, but for example I drank about 8 liter last weekend. Drink-throw up, drink-throw up, drink-throw up – that’s the answer.
  • I currently have half a kidney on one side and one 3rd on the other half of my body. So I don’t have one full kidney. I am still living an awesome life … doing anything I want.

2.   So, what is your life like on dialysis?

  • Obviously it is going to be a life changing thing but something that we must learn to cope with and becomes part of our life. No one would choose dialysis versus normal functioning kidneys. However without dialysis life is not possible at all. There are risks of taking off too much fluid or not enough fluid. There are risks of infection, both blood infections and infections of the fistula.  Again, no one volunteers to do dialysis but it is definitely better than dying from renal failure. In my experience, patients usually learn to cope well and make it a “normal part of life”.
  • I went on dialysis at age 45 and did very well. Most of the time I felt very good. I was in good shape. Here is what worked for me. I was very compliant with my treatment. I did not skip dialysis sessions and I didn’t end them before my time on the machine was done. I followed the diet, which can make a big difference in how you feel.  I did not have fluid restrictions. I took all my medicines. I had very good doctors and an extremely good nursing team at dialysis. I tried to educate myself about dialysis & kidney disease.
  • My brother suffered total kidney failure and had to go on dialysis. He feels constantly tired and generally ill, he’s on a massively strict diet plan (rule of thumb: if it’s nice, you probably can’t have it). Although he can do occasional driving work on my uncle’s farm, anything more than a half-day’s worth leaves him exhausted.
  • My mom was on dialysis. My mom has said she would rather die than do dialysis again. The restrictive diet was really hard especially the drinking less liquid part of it. Having said all that her Doctors were quite firm with her that she should continue working and have as normal a life as a possible while doing the dialysis, they said and I can see this to be true, that removing the things that normalize her life would make her more prone to depression and more apt to feel awful about her treatment. So she continued to work.
  • I am a 37 yr old female. To be perfectly honest I HATE dialysis, I hate having to sit in a chair for 3 and a half hours,  bored, and  senseless out of my mind, hardly a soul to talk to, having to sit without moving in case the stupid perm-a-cath in my neck decides to play up, the fact my pulse races anywhere up to and over 150. If it wasn’t for my husband, son and mum and dad I think I would just tell them to get lost and do without it. I am starting to hate Monday, Wednesday and Friday – the days in between aren’t much better. If I am not out in hot flushes in throwing up, but because of my family I keep going.
  • Deciding not to do dialysis is not suicide!!! It’s natural. I personally do not do well on dialysis but I see other people that do better. No one in my center is happy about being there especially me. On dialysis days I go from 5:30 am to 8:30 am. I can’t drive after this because it takes such a toll on me so my husband picks me up and takes me home and goes back to work. I am down for the day. They next day I feel a little better so I get some house work done and cook dinner for 2 days in advance. I always said I would not do dialysis but here I am doing it with the hope of getting a transplant and that is the only reason I have continued for 5 months. My quality of life stinks. I have nothing to look forward to. It is starting to take a toll financially. My marriage is suffering in several ways. So what I am living for is not to disappoint other people. I feel like a burden. I want my life back.
  • My brother has been on dialysis for 5 years now and is 24. The only thing that bothers him about dialysis is it can become an inconvenience. It does make him weaker and very tired, but only on the day he has it, and this usually only lasts a few hours. But as most people have said there is a fluid intake limit and if the patient exceeds this limit it can have side effects such as sickness. The machine affects everyone differently.
  • I have been on dialysis for almost three years. At first I liked going because it made me feel so much better. Then it was annoying and boring. Then I hated it with a passion and resented having to go. Now I just accept it and go, trying to make the best of it with books, CDs and my portable DVD player. Those three days a week make the rest of my life possible. On the regular days, I am reasonably energetic, I exercise and eat well, so I look as healthy as anyone else, maybe more so.

3.   How long can a person live on dialysis?

  • Until they die.
  • I’m 62 yrs old and have Agent Orange Cancer and diabetes type 2. I will be stopping dialysis, just too tired to keep going. Yes I know that it is death warrant but it is time to let go.
  • My wife is on dialysis. I have heard of people being on it for over twenty years, So, if you take care of yourself, it should be able to go indefinitely if needed.
  • I have been living with dialysis for the past 24yrs (I am 43yrs old) and I still doing quite well.
  • So how long can a person live on dialysis. As long as they need to, or as long as they want to, or as long as they can. It’s just like how long can you live at all. Tomorrow isn’t promised to anyone, regardless of their health!
  • My great aunt has been on dialysis for about 15 years! She’s living a long and healthy life so far. As of now, she is 89 years old!
  • The answer to that varies with individual. I have been on dialysis for 3 1/2 years now. It has been a horrific experience. One, the big dialysis machines (hemo) WILL KILL YOU. They beat you senseless so you have the shakes the rest of the day and get NO sleep at night. So you just sort of try and recover the next day, so you can get pasted all over again. Two, have a career? Forget IT. Once you have been tagged as a sicky you are going nowhere fast, no matter your degrees or training. Three, hemo dialysis just weakens you in the short run, medium run, and long run so other diseases can take hold. The person who answered that you can have a long productive life on dialysis is a quack. probably one of these quack doctors in the field. They probably never did one hour on dialysis. YOU WANT REALITY? Take it from a REAL patient.
  • My father just passed away last month, he had dialysis for almost ten years. I can see him getting weaker and weaker each day. Finally his heart became so weak that he cannot take dialysis anymore.
  • There are a lot of good answers in here. Unfortunately, it’s tough to give an accurate number since every case is different. One patient might make it for 20+ years, another might not make it to 4. A lot depends on how well the person takes care of themselves during dialysis and how much kidney function they have left. It seems to me, the less kidney activity you have the worse off you’re going to be.

Outlook of Kidney Cancer

The prognosis for kidney cancer is usually good when a single kidney is removed and the cancer is at its early stage. If both kidneys are removed or the remaining kidney does not function well enough, patients need hemodialysis or a kidney transplant. Unfortunately kidney cancer has a tendency to reoccur after surgery. When that happens, the game is virtually over because metastatic kidney cancer is generally resistant to chemotherapy and radiotherapy.

You may then ask, “So what can CA Care has got to offer?” As I have always said to patients. “We have nothing to cure your cancer – for whatever cancer you have!” Go to your doctor if you want a cure. Go to your doctor if you want to put up a good “fight” with your cancer. Come to us if you want healing. At CA Care we teach you how to live with your cancer and with our herbs and change of lifestyle and diet, hopefully these will help restore your health.  We hope to help rebuild your life so that you can still continue to live a pain-free and   meaningful life without fear. We want you to recognise that death is an inevitable part of life. Therefore you should be living your life without fear. Don’t you not realize that the day we are born, we are destined to die? No one can escape this ultimate destiny. Medicine cannot win over death no matter how heroic your doctor’s effort is or how great the technology applied is. Rather than fight, let’s accept the inevitable so that we can live a more relaxed and happy life.

Professor Jane Plant went to war with her cancer. At the end she said,

 

Update: 24 February 2012

Hallo Dr. Chris, My father’s health as a person is not bad. He can do some activities every day. He is in Jambi now. He came back to Jambi at 12th January 2012. Dr. Chris, do you think that my father have a hope to survive with his condition, your opinion please. He does all your suggestions, diet etc. Do you think the sciatica and sore in his waist is normal? Thanks.

Lymphoma: Chemotherapy Failed, Life Was Miserable But Herbs and e-Therapy Revived Her

Acknowledgment: The patient granted her permission to use this video without having to mask her face.

1.  A Long Journey From Home to Penang

MN (S-81) is a 56-year-old lady from Indonesia.  She and her husband came to a private hospital in Penang to search for an alternative treatment for her Non-Hodgkin’s Lymphoma.  But there was none. She was given the same option – undergo chemotherapy again.

They live in Labuan Batu, a town south of Medan. Coming to Penang is a long journey indeed. From home, first they had to travel for 9 hours by bus (or 6 hours by train) to  Medan. After an overnight stay in Medan, they took a plane to Penang.

2.  Non-Hodgkin’s Lymphoma

Sometime in early 2011, MN felt lethargic. Her stomach was painful. She had profuse sweating, specially her head . For the past one year she had been coughing. Doctors were unable to cure her coughs.

In May 2011, MN was diagnosed with non-Hodgkin’s lymphoma. She underwent six cycles of chemotherapy with CHOP.

After the completion of the chemo treatment the cancer recurred in the form of a small swelling at her left collar bone – at the same spot where she did a biopsy earlier. MN was asked to undergo another round of chemotherapy. She refused and came to Penang looking for alternative medicine.

(Note: CHOP regimen consists of four drugs – Cyclophosphamide, Doxorubicin (or Adriamycin), Vincristine and Prednisolone. The first three drugs of the CHOP chemotherapy regimen are usually given as injections or infusions in veins on a single day, while prednisolone is taken as pills for five days. Each cycle is repeated every 3 weeks for 6 to 8 cycles).

MN received her treatment in a government hospital in Medan. Each treatment required a two-day stay in the hospital.

 3.  Life was Difficult During and After Chemotherapy

The first five chemos seemed to help MN. Her health seemed to improve. However, the sixth chemo was “bad”. Her health deteriorated – “dropped”. She had no strength and was not even able to climb out of bed by herself. She had to be hospitalized for two weeks. After being discharged from the hospital, she regained some strength. She was able to walk for about 10 metres and had to stop. At home she was not able to do anything. Her husband had to do all the house chores.

She said, “I walked a bit, my feet felt numb. My hands felt numb. I felt difficult, nauseous. I was bald.”

After chemo, her stomach pains disappeared but her one-year-old problem of coughs and profuse sweating persisted.

4.  Recurrence

One and a half months after the completion of her chemo, a small lump appeared at the collar bone – the same site where she first had her biopsy. The doctor in Medan confirmed it was a recurrence. She was asked to undergo a second round of chemotherapy.

5.   More of the Same Advice in Penang

MN said, “I do not want any more chemo. That is why I come here.”

MN and her husband came to a private hospital in Penang in December 2011 in the hope of finding an alternative treatment to chemo. But she was told to do more of the same thing – undergo more chemotherapy!

Husband: “No point. If we wanted to do chemo, we could have stayed back in Medan (treatment was given free-of-charge because he was an ex-government staff). In Penang, I have to pay for the treatment.”

The oncologist suggested two options. The first option is to use drugs that cost RM 7,000 per cycle. This means, the six-cycle-treatment would come to about RM 42,000. The oncologist told them that this treatment will cure her cancer. The second option is to use cheaper drugs costing RM 3,000 per cycle. But the effectiveness is uncertain.

Chris: Well, that means you have to sell your house to pay for the treatment?

MN: “No, we have no house to sell. Even to come here now – the expenses are provided by our children.”

Chris: Do you believe what the oncologist told you  – that the expensive chemo can cure you?

MN and Husband: “No, we never believe what he said.”

MN: “I refused to do more chemo. I can’t stand chemo any more. I can’t walk, I can’t eat. I am still bald now.”

6.  Disappointed – But Later They Found CA Care

MN and her husband were disappointed. They did not find the alternative treatment they wanted from the hospital. They did not know what to do next. However, a day later a lady told them about CA Care.

Chris: So you came to see us (on 18 December 2011).

MN: “Actually my son also asked me to find for an alternative way. He said I should find that herbalist in Penang. But he did not know who.”

7.   CA Care’s Herbs and e-Therapy Restored Her Health

MN was prescribed Capsule A, Lympho 1 and Lympho 2 teas, C-tea and Cough No 3, 5 and 11 for her problems. She was also told to take care of her diet.

Husband: “Her health improved within three weeks.”

Chris: Yesterday you told us that before you first came to Penang (in December 2011), all your friends who saw you cried. Why did they cry?

Husband: “They looked at her – her health was so bad. She was so weak. When we went home all her friends were smiling. She looked better.”

MN: “ I was so full of hope after meeting you, doctor.”

Chris: Are you sure that after taking the herbs for three weeks you are really better?

MN: “Yes.”

Husband: “Now she can walk for some distance without any problem. Before she had difficulty after walking 10 metres.”

MN: “My husband had to massage my legs every day.”

Husband:”Every time after she walked I had to massage her legs. Now I don’t have to do that anymore. She had not recovered 100 percent yet but her health has recovered by some 75 percent now.”

MN:”I had coughs for a year. I did X-ray three times and I saw all these doctors. The cough persisted. I took your herbs for four days and the coughs were almost gone!”

Chris: Praise and be thankful to God for this blessing.

MN: “When I first came here in December and was in the hospital, there was this patient who also came from Medan. She came to my room and help massaged my legs. She felt sorry for me. My legs were numb. That was before I came to see you. After I took your herbs there was no need for anyone to massage my legs any more.”

Chris to Husband: Ho, ho, you don’t have to do any more work! Very good, very good.

NM and husband returned to Penang after taking three weeks of herbs. This was in January 2012. She underwent three days of treatment with the e-Therapy.

MN:”My health improved further. I don’t feel numb or tired anymore. Instead it is my husband who felt tired when we walked this morning.”

Chris: Oh no – I have to take care of your husband too?

8.  You are Blessed! 

Chris: You are indeed blessed. After seeing the oncologist in the hospital you all were disappointed because you could not find what you wanted from the hospital. You did not know where else to turn to. But a day later – after you prayed – an “angel lady” appeared and told you about CA Care.

Husband:”We were ready to go home “empty handed.”We did not have the funds to pay for such expensive treatment which we did not come for anway.” 

Chris: Indeed it was a blessing from God. I fully understand the situation you are in. 

9.   Go Home and Be Careful – Take Care of Yourself

Chris: I am so happy that I am able to help you. This is my advice – please go home and take care of yourself well. Take care of your diet, exercise and take the herbs. My herbs are not magic but I believe they do help you.

MN and her husband returned to CA Care on 8 January 2012 and underwent the e-Therapy.

Watch this video.

After three weeks of herbs

She reported her health had improved:

  • Her coughs were almost gone – now she coughs once a while. Previously it was continuously.
  • She had more energy.
  • Her appetite improved.
  • The “heaty” feeling in the left side of her abdomen comes once in a while. Previously it was often.
  • Profuse sweating in the head was much less. Previously it was soaking wet and happened often, day and night.
  • She slept well. Before it was difficult.
  • Numbness of her fingers was gone but the numbness of her legs persisted although there was improvement.
  • She had more strength to walk. She could walk 100 metres without feeling tired. Previously even doing 10 or 20 metres was difficult.
  • The only problem she has now is a feeling of “ discomfort /numbness” in her right shoulder.

After first session of e-Therapy

  • She felt real good.
  • The body felt lighter.
  • Numbness of the legs was much less.

After second session of e-Therapy

  • She felt better.
  • Numbness of her legs had improved further.
  • Urination and bowel movements were better.
  • She had more energy.
  • She had no more coughs.
  • Discomfort in the left shoulder still persisted.

After third session of e-Therapy

  • The discomfort in the left should was gone.

Comments

Many Indonesian patients who come to seek our help need to travel from afar.  We empathize with them. This is indeed a test of their commitment and a testimony of their real desire of wanting to help themselves. In contrast, we have phone calls and e-mails from patients who live just a few miles away and yet they complained that it is difficult to come and see us. They prefer consultation over the phone. Similarly we have patients from Sarawak, Sabah or Singapore who only want us to help them through the phone or internet. Unfortunately, we cannot help such patients. It is better that they go and seek help from herbalists nearby their homes. Life is easier that way – for them and also for us.

But for those like MN, who have travel so far to come and seek help, we pray that we never let them down. We shall do our utmost best to help them. Indeed this case is an example of a wonderful and rewarding effort that makes our day real great. We thank God for His  blessings – and hope many more cases like this will continue to come by our way.

Cervical Cancer Stage 2A –Survived Five Years With Herbs Only, Refused Radiotherapy

GK was a 70-year-old lady. In May 2000 she had vaginal bleeding. The doctor’s examination showed a large cauliflower growth involving the anterior lip of the cervix and also the vault at the vagina. A biopsy of the cervical growth was done and confirmed a moderately differentiated squamous cell carcinoma of the cervix, Stage 2A.

GK was asked to undergo radiotherapy. She declined. She started to change her diet. She came to seek our help on 10 August 2001, and presented with the following:

  • Pains in the back when walking.
  • Unable to sleep.
  • Constipation and sometimes with blood.
  • Watery discharge.

She was started on herbs – Capsule A, Utero-ovary, Cervical and C-teas. After a week on the herbs she reported some improvements. There was less blood in her stools. She slept better. She was more energetic. She was not constipated anymore. She felt hungry most of the time. She sweat  a lot.

After another week on the herbs, there were more improvements. She could sleep well. She had good appetite, more energy and there was no more sweating. The discharge was much less.

She was on the road to recovery. And over the years she had no more pains No more blood in her stools and no more discharge. After this we did not get to see much of GK anymore.

In early 2005, her son came and told us GK had problems – the cancer had recurred.

 

Watch the video clips above – they were recorded on 9 November 2001, 6 September 2002 – when GK was doing so well. Then on 9 January 2005 and 3 February 2005 her son told us about his mother’s misadventure.

  • Sometime in November 2004, GK had the responsibility of taking care of her grandchild. This caused a lot of stress and gave her a lot of problems. She started to have headaches due to lack of sleep. She lost her appetite. She started to let go of her herbs. Then she went back to her previous “bad” diet and started to eat meat, etc.
  • In January 2005 – i.e., about two months after her “misbehavior,” she started to have bleeding again. She had difficulty or could not urinate and move her bowels.
  • Things got worse. She had vaginal discharge every hour and her pampers had to be changed often.
  • She started to take the herbs again – but that was a half-hearted effort. She used only 4 tablespoon instead of the usual six.
  • We lost contact with the patient and her son after this. We suspected she must have died some months later.

Comments

GK had survived about five years after her diagnosis. She did not die like the other patients who had the same type and stage of cancer who died sooner after undergoing radiotherapy and chemotherapy.

Every cancer story invariably end sadly. We come to learn that with cancer we can only loose, never win (depending on how you look at it). But in this case, I felt it was rather a sad and tragic ending. There was a choice – an early demise could have been avoided. Take away the stress of being the “nanny” to the grandchildren and sticking onto the path that she had been travelling over the past four years – GK could have lived longer.

In our Oriental culture, parents like to have many children. This is because they hope that one day when they grow old their children will be able to take care of them. This is true with the “old” Chinese custom. Today, the trend is reversed. The children are busy earning money, so they “make use” of their parents to run errand for them – take the kids to school, baby sit the children, clean the house, etc. This is understandable since each of us has to earn to make a living. But it is a little “incomprehensible” if one has to exchange a mother’s life for “convenience”. There could be a better arrangement than that.

The good side of this story is that GK did not have to suffer even if she had cancer. And she managed to live for about five years in spite of not following what the doctor wanted her to do. Just imagine what could have happened if she were to undergo radiotherapy as suggested.  Read what happened to patients who had chemotherapy and /or radiotherapy for this kind of cancer. They suffered and some of them died sooner.