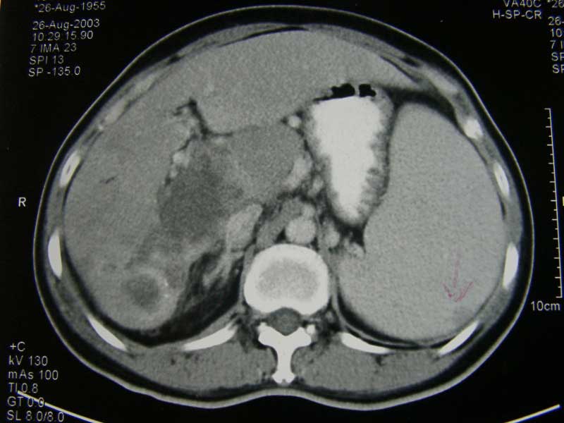
Seam (B984) a 49-year old female, was diagnosed with hepatocellular carcinoma in August 2003. CT abdomen on 26 Aug 2003 indicated:
- 8.7 x 6.6 x 10 cm mass in Segment 6 & 7 of liver
- Caudate lobe ruptured
- Peritoneal nodules
- Portal vein thrombosis
- Splenomegaly (swelling of the spleen)
- And probably splenic metastases.
Being poor (a seamstress at a factory), Seam could not afford to pay for any medical treatment at the private hospital. The doctor at the government hospital told her there was nothing that could be done for her. Seam came to us in early January 2004 and presented with dizziness and lethargy. She was started on our liver herbs.
After taking the herbs, she felt very good. She could eat and sleep well and was more energetic. She did not feel dizzy any more. She had also gained weight and her facial expression looked good and healthy.
As of this writing, March 2009, more than 5 years since she first came to us, Seam is doing very well indeed – leading a pain-free normal life.


One thought on “Only On Herbs And She Lives More Than Five Years!”
Comments are closed.