One morning in November 2019.
Two Indonesians came to seek our help. One of them is from Medan and the other from Jakarta. Both of them had colon cancer. They had surgery followed by chemotherapy. The treatments did not cure them. Let us examine each case in detail. And let us hope we can learn something from their experiences.
Case 1: SPW is 53 years old. He is from Jakarta. About eight months ago, SPW passed out blood-stained stools.
A colonoscopy indicated tumour in his colon.
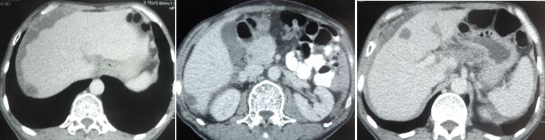
A CT scan done on 20 March 2019 showed gallstones, in addition to a tumour in the colon. SPW underwent surgery to remove the mass in his colon and the gallbladder stones.
Pathology report confirmed cancer, adenocarcinoma, pT3NxMx.
After the surgery, SPW was sent home without further treatment.
About two months later (Jun 2019), a PET scan was done. The result showed the cancer had recurred at the previous operation site. There was NO spread to the liver, lung, lymph nodes or bone.
PW underwent 6 cycles of chemotherapy, at a private hospital in Jakarta. The chemo was given every two weeks. The regimen used was FOLFOX-4, consisting of Eloxatin (or oxaliplatin) + 5-FU + Leucovorin (folinic acid).
About five months later, in November 2019, another PET was done. The results were disappointing.
- The doctor suspected the cancer had spread to the liver.
- Metabolic activity of the recurrent mass in the colon was less intense but the cancer did not go away.
- PET scan showed reactive lymph node.
The oncologist asked SPW to undergo more chemotherapy but he refused further treatment. Why?
SPW said he suffered severe side effects during the chemo.
- He lost 15 kg of body weight within that few months of treatment.
- He was depressed.
- He suffered severe fatigue.
- He lost his appetite.
- He could not sleep at night, and had to take sleeping pills.
- His fingers were numb.
- He had difficulty walking.
Current condition: He has to urinate four times during the night.
Case 2: Wongso is a 67 year-old from Medan. In March 2018 he passed out stools with blood. A colonoscopy was done in a hospital in Medan. There was a mass in his colon.
Wongson underwent an operation to remove the tumour in his colon in April 2018. The pathology report confirmed cancer – adenocarcinoma, pT4N1Mx. One of the two lymph nodes was affected. A CT scan on 9 May 2018, showed the cancer had spread to his liver.
Wongso underwent chemotherapy at the government cancer hospital in Jakarta. He received 6 cycles of chemotherapy. The regimen used was FOLFOX-4, consisting of oxaliplatin, folinic acid and 5-FU.
A CT scan on 5 September 2018 showed that the tumour in his liver had shrunk from 2.49 cm to 2.06 cm. But it did not go away.
Wongso was prescribed an oral drug – Xeloda. He took the pill for two weeks followed by a week of rest. This constitutes a cycle. Wongso took a total of 12 cycles of Xeloda. His CEA was initially at 2.6 but this increased to 79.8 in November 2019.
CT scan on 29 October 2019 showed:
- Mild ascites around the liver.
- Multiple cyst in both lobes of liver.
- Fractured compression at L4 vertebrae.
In spite of this failure, the oncologist still insisted that Wongso continues to take the Xeloda. Wongso was still on Xeloda when he came to seek our help. His complaints were: stomach pain, probably due to “wind”. He moved his bowels 3 to 4 times a day. He had to urinate 3 to 4 times each night.
Comments
The standard treatment recipe for colon cancer is: surgery, chemotherapy and oral drug such as Xeloda. Sometimes patient is also asked to go for radiotherapy before surgery. This is the cases where the tumour is too large.
If you have cancer, you have to go through these treatments no matter where you are – in the most famous and expensive hospital or in just any ordinary cancer hospital. Yes, you need to undergo this so called proven method of treatment. But, the question you need to ask is: does this proven and scientific method of treatment works for you? I cannot answer that question! But if you come to see after being diagnosed with colon cancer, my only advice is to go for surgery to remove the tumour, that is if the cancer has not spread extensively elsewhere. If there is a widespread metastasis, the value of surgery is questionable. So, that is as far as I would go. In fact, after I met with the two patients above, the next day, there was another Indonesian who also had colon cancer. He has not undergone any treatment yet. My advice to him was: Go and have the tumour removed. Go to this surgeon X in Hospital Y in Kuala Lumpur. He is a good doctor. I think he would be able to help you.
Looking back over the past twenty plus years helping colon cancer patients, I could recollect many sad experiences. In the early years, I have a few patients who underwent chemotherapy with 5-FU after surgery. At that time the only drug deemed effective was 5-FU. One patient went all the way to Sydney for his 5-FU treatment. He died while undergoing the treatment. Then there was this building contractor. He too had colon cancer and underwent chemotherapy after his surgery. He did not make it. Before he died he told his daughter to not forget CA Care and she should try to help us whenever we need to do any renovation work. Over the years, I lost many good friends.
Now, the chemo regimen for colon cancer has been “updated.” In the case of SPW and Wongso, the oncologists treated their colon cancer using FOLFOX-4 regimen, which consists of a combination of fluorouracil, leucovorin, and oxaliplatin.
In fact, besides FOLFOX, there are other variations such as:
- FOLFIRI – consisting of folinic, 5-FU and irinotecan.
- CAPOX – consisting of capecitabine or Xeloda and oxaliplatin.
- XELOX – consisting of Xeloda (trade name) and oxaliplatin.
If you study the above carefully, these are merely different combinations of the same five drugs below:
- 5-FU.
- Folinic acid or
- Oxaliplatin
- Irinotecan
- Capecitabine or Xeloda.
One important question which most patients want to ask is: Can chemotherapy cure colon cancer? Or What is the success rate of chemotherapy for colon cancer. I tried to search the answers from the internet and these are what I got.
- Chemotherapy is used after surgery in many colon cancers which are stage 2, 3, and 4. It has been shown that it increases the survival rates. This is not the case in stage I cancers, and therefore chemotherapy is rarely used in this setting. The vast majority of stage I cancers are cured with surgery alone.
- Although clinical trials have demonstrated that adjuvant chemotherapy improves survival for stage-III colon cancer, the benefits remain controversial for stage-2 lesions. Stage-2 colon cancer patients receive adjuvant chemotherapy despite its uncertain benefits.
- Surgery is the primary curative modality in 70–80% of colon cancer patients who present with a non-metastatic disease. However, recurrence is common and is seen in nearly 30% of stage 3 cases after 5 years.
- Nearly a quarter of all colon cancer cases are stage 3 at diagnosis.
- Chemotherapy does not cure metastatic colorectal cancer, but it can improve symptoms and prolong life.
- Upon diagnosis, 20% of newly diagnosed colorectal cancer patients present with metastatic disease (Stage 4) with no curative treatment options currently available.
- The overall five-year relative survival of colorectal cancer patients in the US is 64% and in England it is 50.7%.
- Below is the survival rate in England, based on the stage of disease at diagnosis.
| Stage at diagnosis | Number of cases | 5-year relative survival (%) |
| Dukes A / Stage 1 | 26,727 | 93.2 |
| Dukes B / Stage 2 | 74,784 | 77.0 |
| Dukes C / Stage 3 | 72,806 | 47.7 |
| Dukes D / Stage 4 | 28,377 | 6.6 |
- The above data are obtained with patients in the US and England. We need to take note that survival rate does NOT mean cure. Unfortunately many patients are told that if they can live five years and more you are considered “CURED”. Unfortunately this is a wrong advice.
- Take note also that the above result need not apply to you. You may respond differently from these people. The above result should be treated as just an indicator of what can happen to you.
- In summary, if you are diagnosed with advanced or Stage 4 cancer, you chance of survival is probably 10 to 15%, no matter what you do. On the other hand, if you have a Stage 1 cancer, you don’t need chemotherapy at all after surgery. Even for Stage 2 cancer, chemotherapy is of doubtful benefit.
- Overall, that data tells that for colon cancer, you have a 50:50 chance with chemotherapy if your cancer is at Stage 3.
Most patients believe that surgery and chemotherapy can cure their cancer. Unfortunately this is often not the case. In the case of SPW and Wongso, were they ever told the truth about their chances? Unfortunately, they had to learn the hard way.





One thought on “Colon Cancer: Surgery and chemo did not cure them – ended up in a more dire situation.”
Comments are closed.