These are emails I received not long ago.
26 February 2018
Hi Dr,
I am from … Kedah and would like to meet to review my cancer (Hodgkin lymphoma) and what treatment that is suitable for me.
I dont have much clinical info of my cancer because I did not seek medical treatment from the hospital. The only treatment that I had was in 2014 in which I did radiation therapy to reduce the size of the tumor. In 2016 I had a relapse, and by end 2017 it had spread more and now grows bigger on my neck.
Terima Kasih, Mat (not real name).
Reply: You need to see the doctor first to know what happen — without medical reports, I cannot help.
27 February 2018: Tq. I’m actually going to see the doctor on Feb 27 to do the medical examination and I can bring the report. I need to decide if I need to go for surgery to remove the tumor on my neck or I can go take your herbs without surgery. Once I complete the medical report I shall email you again to make an appointment.
Hi,
I have my blood report and CT scan from hospital. Can I make appointment to meet?
Reply: Go and do all the necessary medical tests and see what the doctor wants to do. Complete all works by the doctor first before coming to see me.
Mat and his wife eventually came to our centre on 2 March 2018. He presented with the following:
- Big lumps around his neck
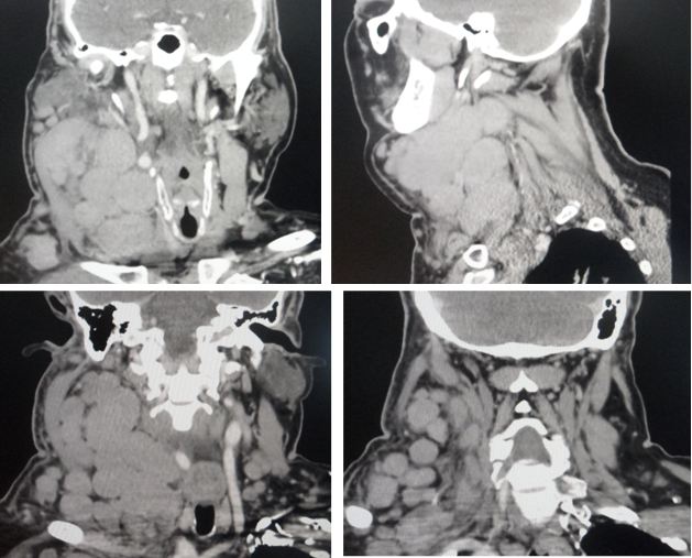
- CT scan showed that there are many lumps all clustered together to cause that swelling.
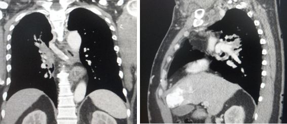
Medical report of 27 February 2018: Multiple enlarged right level II, bilateral level III and level V and right supraclavicular, right axillary, mediatinum and paraaortic lymphadenopathy. Consistent with recurrence of lymphoma.
This is Mat’s story.
In March 2014, Mat had a lump on his chest. A biopsy was done and confirmed a nodular sclerosing Hodgkin lymphoma. Had underwent 25 cycles of radiotherapy, but he refused chemotherapy.
Mat sought the help of traditional/religious healer who prescribed him virgin coconut oil, pegaga (Indian pennywort) and some other herbs.
In 2016, fluid accumulated in his lung and Mat had it tapped out. He was told that the cancer had spread. Mat did nothing about it.
In February 2018, Mat wrote us to ask for help (emails above). He also went to a hospital and did a scan (above). Mat was then told to undergo 12 cycles of chemotherapy — once every two weeks. Each cycle costs RM5,000.
Upon seeing his condition, I suggested that Mat seek medical help. But he was adamant that he would not want to undergo any chemotherapy. Surgery has risks and Mat was not willing for go for surgery either. So I was stuck and had no choice but to prescribe him some herbs — Capsules A, C and D; M and Lympho 1 + SAP, Lympho 2 + PLM. Although there is “something” in his lung, I did not prescribe any Lung Tea. Why? I was not even sure if Mat should even take our herbs in the first place!
I warned Mat that if the herbs do not help him after a month, he should stop taking our herbs. Go and see the doctor instead. Remember, Mat is 51 years old and I do not wish to mislead him to do something which is not helpful for him!
This was what happened after THREE weeks on the herbs.
THREE MONTHS later, I met up with Mat again. Listen to our conversation that morning!
Comments
What can we learn from this amazing story.
- Almost all patients who came to see us had seen their doctors. Medical treatments failed them. That is fine with us. After all we are here to help such helpless people. However, not all patients who came to see us can be helped. When I received Mat’s email, my initial reaction was, Go and see the doctor and let him help you. But Mat was adamant. He wanted to see me. So, I agreed.
Unfortunately, not all patients are like Mat. Often I was “interviewed” by patients or their family members, before they would decide to follow our therapy. These people generally come here to find a “magic cure,” or to find healing on their own terms — never mind after having spent thousands of dollars for their failed medical treatments. To such people, I would generally say, Go home, think first before you take my herbs! This is my polite way of telling you, Please go and find someone else to help you.
- Mat presented with a “difficult” case indeed. I was not “confident” that the herbs would help him. But what else could I do — send him home empty handed? But then, trying taking herbs for two weeks would not hurt. So, let’s try, that is, if you still believe me! And now, I must say, the “gamble” is worth it. I never expected such an amazing result.
So, to all patients — can you benefit like Mat? Not likely if you are not committed to your healing. This is the most important take home lesson. If you are half hearted or unsure, please don’t follow our Therapy!
- When Mat started on the herbs, he experienced “healing crisis” which we have already forewarned him. He felt tired, sleepy and his legs itched more than before. In addition, due to our diet, he lost weight. I always tell patients there is nothing to worry about these. But, let me tell you, I have many emails from patients who were worried after experiencing these (in spite of being forewarned). To them, after taking herbs for a few days — this not right, that not right! Here pain, there pain! No, we cannot help such people.
So, this is another lesson patients should know — healing crisis.
- After Mat took the herbs for two weeks, the swelling in his neck shrunk by 3 cm! That is amazing. But it grew a bit bigger after attending a “wedding party.” This is another human nature that we have to contend with. Most patients will misbehave after they get well (or assumed that they get well). So Mat is not the only one who misbehaved.
One other lesson to learn from this case: If you want to get well, take care of your diet. If you want to die sooner, go eat anything you like. Of course, the “stubborn” ones will argue, But my doctor said I can eat anything I like. No need to “pantang”. Perhaps, such doctors don’t know much. Tell this to Mat. See what happened to him!
Then read what these good doctors tell us about cancer and diet:
5. After three months on the herbs, Mat seemed to be on the right path to healing. I once again suggested that he go to the doctor for help — perhaps, go for an operation or chemo! No, he and his wife would not take that suggestion.
I also warned Mat that this healing journey would be a long struggle. For example, we had a lymphoma patient who had three small lumps in the neck. It took THREE YEARS to shrink them. Mat has a much bigger and complex masses. We cannot predict if these can ever go away. But I have confidence that if Mat stick to his path faithfully, he can benefit from the herbs. As it is now, only after three months, his quality of life is better. He can turn his head, left and right, without problem. The mass is getting smaller. He leads a normal life.
What else do you want? Instant, magic cure? No way! This is my final message for those reading this.





You must be logged in to post a comment.