Kanker Usus-Hati 1: Operasi diikuti kemo dan radioterapi bisa sembuh. Apakah ini benar?
Jasmine (not real name) is a 54-year-old Indonesian lady. Her problem started with bleeding. The doctor was not sure if it was from the anus or the female reproductive organ. Jasmine consulted a gynaecologist who told her that her uterus was “dirty” and may need cleaning up (whatever that means!). Jasmine did nothing after that.
Some months later, while at home, Jasmine could not stand up. She was also bleeding. The doctor diagnosed the problem as vertigo (dizzy spell and feeling off balance).
A few months later, Jasmine went to see a doctor in Medan who performed a digital rectal examination. He felt a mass in there! Jasmine was asked to undergo an operation.
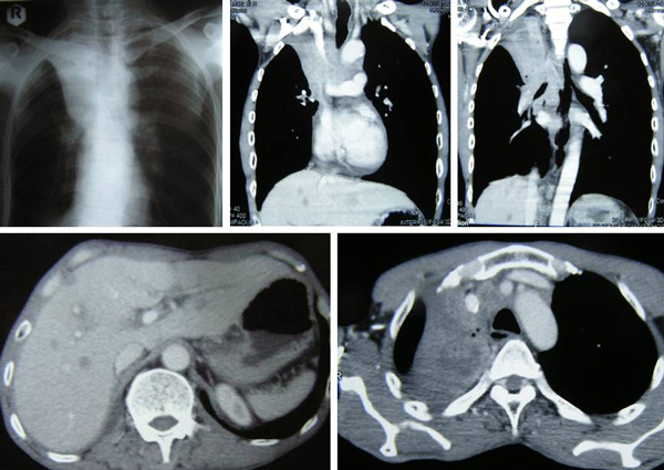
Jasmine and her family came to Penang for further consultation. Her blood test results showed CEA = 247.03 and CA 19.9 = 72.2. Jasmine was also told that her cancer had already spread to her liver. She immediately underwent an operation in Hospital A. The procedure cost her RM 60,000 plus.
The pathology report indicated:
- A moderately differentiated adeocarcinoma with metastases in pericolic lymph nodes (11/11) and segment 4a of liver. This was a T3N2Mx, Stage 4 cancer.
- The non-neoplastic liver shows features of chronic hepatitis with grade 2 activity, Stage 3.
Jasmine was asked to start chemotherapy three weeks after the surgery but she was unable to do so because of infection. She was told she needed 8 cycles of chemo to be cured.
Later, Jasmine switched to Hospital B and had her first cycle of chemo there.
After her first shot of chemo, Jasmine suffered severe side effects and decided not to stop the treatment. No more chemo for her! Her daughter and son-in-law came to seek our help.
I asked her daughter: You had surgery in Hospital A but you went for chemo in Hospital B. Why did you switch hospital?
Daughter: The cost of chemotherapy in Hospital A is very expensive — RM7,000 per cycle. In Hospital B it was only RM3,500 per cycle.
How could there be such a great difference, I wondered.
In Hospital A the oncologist suggested using Oxaliplatin + oral drug, Xeloda or TS-One. In Hospital B, the drugs used were Oxaliplatin + oral drug TS-One. They are basically the same!
This is one lesson I learned this morning. Though the drugs used are the same, patients who don’t know enough, may be asked to pay twice the price for getting the same treatment. So beware!
Before I proceeded further with our consultation this morning, I asked this important question (which I hope all patients should learn to ask their doctors).
Before you undergo the operation, did you ask the doctor if the operation can cure your mother?
This was what the surgeon told Jasmine. You operate first and then go for 8 cycles of chemotherapy. In addition you also need radiotherapy. If you do all these you will be cured!
Did you specifically ask the doctor if he can cure your mother by the operation?
Daughter: I did ask exactly that and the doctor said it depends on chemotherapy — must do 8 times chemo first, otherwise the cancer may recur.
When you started the first chemo in Hospital B, did you ask the oncologist if the treatment was going to cure your mother?.
Daughter: Yes, I asked. The oncologist in Hospital B replied: Cannot guarantee!
Did you tell the oncologist that the surgeon in Hospital A said that by undergoing 8 cycles of chemo it would cure your mother?
Daughter: Yes, I told the oncologist what the doctor in Hospital A said. He said just kept quiet. He said nothing!
Lesson number two I learned this morning — Someone is not telling the whole truth! Two doctors did not give the same answer for doing the same treatment! That much about the so called “scientific medicine.”
So patients, know that you are responsible for yourself. You have to find truth yourself. You can’t depend on others to tell you what you need to know!
So what is the truth in this story? You will know later. But in the meantime, please ponder carefully the following quotations said by doctors themselves:

















You must be logged in to post a comment.