Cancer Recurred After Chemotherapy and Radiotherapy

Tahe (M319), a 75-year-old male from Bogor, Indonesia started smoking since the age of eighteen. In 2000 he underwent a heart by-pass surgery. In 2005 he had flu-like symptoms and had difficulty in breathing. These problems persisted for about three months. He then went to a hospital in Jakartaand was diagnosed with tuberculosis (TB). He was put on TB drugs. However, after taking medication for a week he had more coughs. Not satisfied, he went to a private hospital in Singapore.

Tahe, his wife, daughter and son-in-law came to see us on 29 February 2008 and related the story of what happened in Singapore.

  1. The doctor thought he had lung infections. Tahe was put on antibiotics. After two weeks the coughs still persisted.
  2. A CT scan was done and there was a big tumour in his lung. According to the doctor it was an aggressive tumour.
  3. Tahe underwent chemotherapy, each cycle every three-weekly interval. He received a total of six cycles. The tumour totally disappeared.
  4. Four months later another tumour was found growing on the other side of the lung. Tahe again underwent six cycles of chemotherapy. The tumour disappeared again.
  5. Four months later, a tumour recurred. This time it was at the site of the first tumour.
  6. The doctor wanted Tahe to have more chemotherapy, but at that time Tahe suffered bleeding at the anus. Chemotherapy was not indicated.
  7. Since the tumour in the lung grew bigger, Tahe underwent twenty-eight times radiation treatments.
  8. In spite of all that were done, Tahe’s problem still persisted.
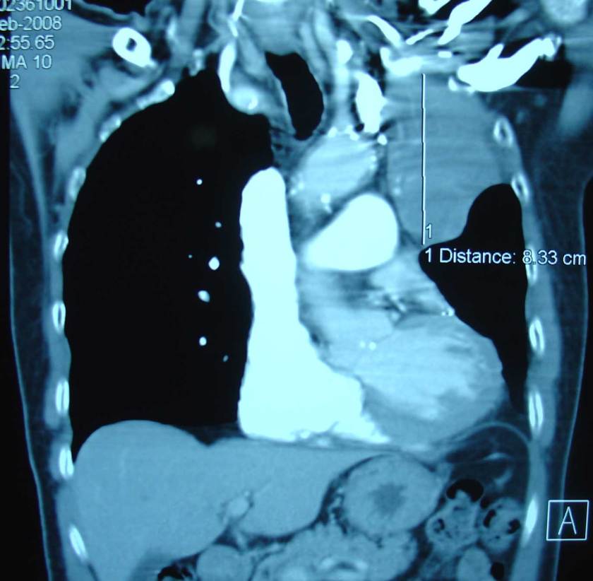
  9. The result of the CT scan of the thorax and liver done on 21 February 2008 indicated:
    • There is a small new left-sided pleural effusion.
    • There is extensive volume loss demonstrated within the left hemithorax. This is secondary to left upper lobe collapse.
    • There is mildly heterogenous pattern of enhancement to the collapse lung at the perihilar region.
    • There is a possible recurrence of a left hilar pulmonary mass causing bronchial obstruction.
    • There is a 8 mm pulmonary nodule in the right upper lobe.
    • There is an enhancing mass adjacent to the falciform ligament.
    • There is a 12 mm hepatic density within segment 6 of the liver.
    • There are several subcentimetre hypodensities scattered throughout the liver which are too small to characterize.
    • There is a left adrenal mass measuring 3.7 cm.
    • There is a right adrenal mass measuring 2.7 cm.
    • There is no destructive bony lesion identified.

It is obvious that the treatments thus far had failed to cure Tahe. The doctor suggested more chemotherapy. But Tahe declined further medical treatment. He and his family came to seek our help instead. Tahe was prescribed Capsule A & B, Liver Tea, Lung 1 & 2 Teas, LL-tea and Kidney Tea.

Below are excerpts of our conversation of the night of 29 February 2008.

Chris: Okay Bapak – do you want to undergo more chemotherapy?

Tahe: No. I don’t want any more. My body is already weak. I am already old and have no more strength.

Wife: All his bones ached.

Chris: You must have spent thousands for your chemo?

Wife: Yes, so much.

Son-in-law: He spent a lot of money!

Chris: I have written this before – People who have money and who think they are educated, often die sooner. From my experience, in the case of lung cancer the tumour may shrink or even disappear after the treatment. But this does not mean that the cancer is gone or cured.

Tahe: Ya, correct.

Chris: Now Bapak, you seem to agree with what I have said. But if I were to tell you this before you had your chemotherapy, you would not believe me.

Tahe: I did not know this.

Chris: Yes, even though you know this after I have told you this, you would not have believed me!

Tahe: No, I believe you.

Chris: No. Those who have not experienced what you have experienced or who had not taken the same road that you took, will never believe me when I say that:  after the chemo the tumour would come back.

Wife: The doctor told us before that his medication can only help 80%. No, the cancer would not go away totally.

Chris: Yes, this is what I have seen happen very often. After the surgery, chemotherapy or radiotherapy, the tumour may go way but after four or six months the tumour comes back again. And when it comes back, the cancer is going to be more aggressive. This is because the body is already weak. How can a weak body fight the cancer?

Wife: Now this is the time for God. Earlier on we were experimenting. The radiologist did tell us that doctors can only help 80%, the remaining 20% is due to God.

Comments: At CA Care we tell patients:  it is our hands but God who heals. We claim no credit. But in this world man believes that he is smatter than God! The fact of the matter is scientific medicine has failed Tahe. Let us be humble enough to accept that. The doctor suggested that Tahe go for more chemotherapy. What do you think could be the outcome – success or death?

 

Chemotherapy and More Chemotherapy Then Tarceva and Surgery Cancer Spread to the Bone and Brain

San is a 65-year old male from Indonesia. He sent us this e-mail on 8 August 2007.

I was first diagnosed with stage 3B lung cancer on August 1, 2005. The cancer was found in my left lung. At that time my left lung was two-third filled with fluid. The doctor tapped out the fluid from my lung and this was followed by chemotherapy. Doctor said chemo had to be done immediately otherwise the cancer would spread further.

I agreed and underwent chemotherapy immediately. The treatment consisted of six cycles of Gemzar and carboplatin. After the treatment, the cancer almost disappeared and the CEA dropped to normal value. The fluid in the lung dried up. After this round of chemo I was asked to continue with a drug called Tarceva. But the drug was not effective.

The doctor tried another round of chemotherapy on me. After the second round of chemo the doctor suggested surgery. After thinking for sometime, I and my family agreed to have an operation. This was done in April 2006. During the operation, almost one half of my left lung was removed. After the operation the doctor gave me another round of chemotherapy. This consisted of four cycles. He told me that this chemo was to clean up all the left over cell.

After the operation, I was cancer-free for eight months. By March 2007, while on a routine check up, the doctor found that the cancer had come back. There was fluid in the lung again. In addition, I was told that the cancer had spread to my back bone and brain.

When the doctor found that the cancer had recurred, he immediately suggested that I go for radiotherapy for my brain. This was followed by chemotherapy again (my fourth round). The first cycle of chemo did not appear to be effective anymore. The CEA was elevated. The doctor changed to another drug. The “new drug” was able to hold/control the cancer the way it was (it did not shrink the tumor but my CEA was stable). During chemotherapy my body felt pain and weak. I preferred to stay in bed and had no mood to do anything. I also experienced skin irritation.

After the chemo, my conditions had deteriorated.

• My both feet can not feel the floor anymore. The doctor said this was due to the effects of the chemo drug.

• I lost all of my hair.

• My hands feel numb.

• I have no appetite and no strength.

• I cannot walk straight. I feel out of balance.

• I feel pain in my left chest, my neck, and back bone. Sometimes I have to stay in bed the whole day because of the pain.

• I cannot sleep well. Probably I can only sleep 3 to 4 hours (maximum). Sometimes to force myself I take sleeping pills but it only works for approximately 4-5 hours (maximum).

• My bowel movements are uncertain. Sometimes I experienced diarrhea but there were times I was constipated.

• My appetite is not good at all but I forced myself to eat in order to regain strength. I always force myself to eat even though sometimes I cannot taste the food because my tongue is numb and has no taste.

• There are redness and small swellings at the side of my nails.

• I cough during the day and night. It is a continuous cough but sometime it stops by itself and then comes back again. Most of the time, it has yellow colored-phlegm.

• Most of the time I feel breathless. When I walk too far I feel I am running out of breath. When I walk up the stairs I need to rest several times after every 4 to 5 steps. Lately, there was one time that I felt a pinch pressure at my chest and I had difficulty breathing. This happened at night and I don’t know when it will come again.

Before the medical treatments I was a very active man and was able to do anything. I feel that the cancer is taking everything from my life.

Please advise how I can treat my cancer. I am taking “the oil from red fruit” but it does not seem to help. So I plan to stop it. My doctor only gave me vitamin B12 to counter the effects of my chemotherapy. Besides that I didn’t take any other supplement.

I’m now desperately seeking your help.

Comments: This is a sad sorry. It is also an often repeated story that we encountered most of the time. It reflects the state-of-the-art of medical treatment for lung cancer today. Patients and their family members can learn some lessons from this tragic story.

1. When someone is down with cancer, the initial reaction is panic. This is further compounded when the doctor said that chemotherapy must be done immediately otherwise the cancer is going to spread further. Gullible patients buy such veiled professional warning easily. Is this reasoning right? We always tell patients and their family members to keep their cool after their diagnosis. The cancer had already spread long before it had been diagnosed. Cancer cells were already in the body but remained undetected. Therefore, it is not entirely true to say that chemotherapy has to be done immediately to stop the spread. The cancer had already spread! It is wise to take time to evaluate your options. Why the rush? We believe any decision made is haste or under duress is never a good decision. There is a Arab saying: Haste is from the Devil.

2. After the chemo was done, the CEA dropped. Indeed the doctor is happy and the patients are happy. The magic bullet has done its job, so they say or that is what they want you to believe. But are patients ever told that this so called drop in CEA is not going to last?

3. As an insurance patients are often prescribed drugs. In this case, San was asked to take Tarceva. Not long ago, lung cancer patients were asked to take Iressa, but this drug had already been withdrawn (in the Western world but not in Asia!) because it had cause severe and sometimes fatal side effects besides being shown to be ineffective. Tarceva is just another sibling of the same drug family. It is not surprising at all that Tarceva, in spite of its high cost, was not effective. Medical literature showed that Tarceva only prolonged life by merely two months. It was never shown to cure lung cancer.

4. When the treatment is not effective, often the next course of action is to give more of the same thing! San was given more chemotherapy and this time more toxic drugs were used. Besides chemo, more fire power were called in — radiation and the knife. These methods are what they callslashing, burning and poisoning in the belief and hope that all cancer cells in the body can be eliminated. Perhaps the world needs to be reminded of what Einstein said: doing the same thing over and over again and expecting different results is insanity.

5. We have learnt early after establishing CA Care that removing a part of the lung is never a way to cure lung cancer. Our patient Number Two (of the thousands we have seen) had a lobe of his lungs resected. He suffered badly and eventually died. San had half of his left lung removed but the cancer spread to his brain and bones. The knife is not shown to have cured advanced stage cancer.

6. San wrote that he was cancer-free for eight months. I would dispute that. When the tumor is removed, no one is able to see the cancer anymore – therefore, the period-that-you-do-not-see-the-cancer is mistakenly perceived as cure. We also learnt that surgery is only to buy time — to remove the rotten tissue. It may not necessary remove all cancer cells from the body.

7. The thing that matters is: do patients recover and are truly cured? Evidence such as reduced CEA and shrinkage of the tumour do not mean anything much at all. These are good selling pointsto provide false hope but patients should know that these so called good signs don’t last. It is all an elusion.

8. In San’s case, the cancer recurred and spread to his brain and bones. The battle is about to be lost but the General thinks there is still a fighting chance that the war can be won. Give more fire power! This time, the embattled cancer cells fight back. This time the cancer cells have already become numbed and resistant to the drugs. And they strike back with vengeance.

9. At last, the doctor saw reality. Short of declaring the war lost, he prescribed vitamin pills. The patient, in this case, was left hanging high and dry often worse off than he first started — physically and financially drained to the core. They are lucky if the State Social security or Health Insurance pays for the costs. Unfortunately in this part of the world, the patients and their family members need to resort to their entire life’s saving or selling their property, etc., to settle the hospital bills.

10. Dr. Lai Gi-ming, Taiwan Cooperative Oncology Group, National Research Institute was right when he wrote: The thing that most frustrates modern doctors is that, after surgery, chemotherapy and radiotherapy, all they can do is keep chasing and chasing the cancer! It is only at this stage that patients come to CA Care for help.

 

The Patient Died After A Meaningless Decline of CA 15.3 and Tumour Shrinkage Following Treatment With Iressa and Tarceva

I received an e-mail from Dr. Mark (not real name), a Ph.D. in cancer biology working in a hospital. This is what he wrote:

After visiting the CA CARE website … I realized that this is what I have been looking for in order to help my mum. I would like my mum to try your herbal therapy.

My mum is 70 years old. She had coughs for months last year and her GP said she had asthma which was not known to her before. The doctor didn’t order an X-ray for her. Later she recovered from the coughs and we just ignored that incident.

At the end of April 2007, she kept complaining of stomach discomforts, bloatedness and loss of appetite. She saw a Gastro-specialist and the diagnosis was H. pyroli infection and she was given antibiotic treatment. Unexpectedly, an X-ray test was also done and her lung was found abnormal. She did a CT scan and blood test including tumor markers on that same day. The results showed a possibility of lung cancer. One week later she did a lung biopsy. The result showed that the lung tumor mass was a moderately differentiated adenocarcinoma. However, she didn’t have breathing problems or coughs at that time.

She was then referred to an oncologist at the same hospital. My mum is an Asian woman with non-smoking history and the tumor type is adenocarcinoma. Hence she falls into the category that may respond well to a new targeted drug (Tyrosine Kinase inhibitor) called Iressa. The doctor said we can monitor her progress using CA15.3, the tumor marker with highest titer when first found (5147 on 24 April 2007).

After one month of taking Iressa, her CA15.3 went down to 367 (on 28 May 2007). On 30 July 2007, it declined further to 68.  We were so happy that the drug worked so well. A CT scan showed that tumor had shrunk (August 2007). At the forth month, the CA15.3 raised to 154 (on 27 August). The doctor was a bit worried but mum continued taking Iressa. A month later the marker rose to 713 (on28 September 2007). A CT scan showed more shadow in the lung compared to scan done in August 2007. She did a brain CT scan for the first time and some metastases were found in the brain and bones but the lesions were small.

My mother started taking another targeted drug called Tarceva (works on similar mechanism but seemed to be more effective). She had side effects like rashes, dry skin and loss of appetite. We were very positive of this new drug because according to the literatures more side effects means higher chances of response. However one month after taking the Tarceva, her CA 15.3 went up to 1496 (on 26 October 2007). The doctor suggested that she go ahead and take for one more month and then do a CT scan after that. I have asked the doctor if results showed that Tarceva doesn’t work, will he put my mum into chemotherapy. He said yes, but due to my mum’s weak conditions, it will be a mild one.

Mum just has a routine blood test yesterday. The results showed that her kidney and liver function were fine. She is not anemic, but her lymphocytes count was quite low (10%). She is very weak now and cannot walk steadily. She had fallen down a few times due to the weakness of the legs. But luckily she didn’t hurt or break her bone. She eats porridge everyday due to poor appetite and has no strength to bite. All along her stomach is not good and she burps a lot after a drink or a meal. Sometimes she complains about having headaches. She sleeps well and her bowel motion is normal. She doesn’t complain about breathlessness or coughs.

Besides having Tarceva, she is on Bonefos for her bone metastasis. We also give her supplements.

All along I would like her to build up her immune system through taking of Traditional Chinese medicine. However, I haven’t found one that I feel comfortable with. I agree with your holistic therapy and want my mum to have a try.

On 18 December 2007, I received an e-mail from Dr. Mark again. He wrote:

My mum has passed away on 30 November 2007. I think she died from pneumonia. Her left lung was totally white. She had yellow sticky phlegm but she had no strength to cough them out. Her white blood count was very high and neutrophil count was over 94%.

My mum only managed to take the herbs and capsule A+B for a few days before she could became unable to swallow anything, including drinks. She was very brave and positive. She knew that I brought some herbs that could help her illness. After taking, she said that the herbs were bitter and salty, but she still drank it. She deteriorated very, very fast. I didn’t notice that she had any lung problems before visiting you, hence I didn’t get the Lung Phlegm tea for her.

In order to monitor her progress, we started a diary for her since 21 November 2007. We recorded what she ate and her response after taking the herbs. However, it ended after a few days.

On the evening of 26 November 2007, we managed to get a doctor to make a home visit. He said that my mum’s left lung was hardly functioning and she was dehydrated. However, her blood pressure was normal and had no fevers. He suggested giving her oxygen and dripped her with dextran saline. He said that her condition was considered stable at that moment and we have to be prepared if she gets worse – whether to stay at home or to send her to the hospital. My mum shook her head when I asked her whether she wanted to go to the hospital. The next day, we rented an oxygen tank and set up drips for her by a nurse at home. The nurse pointed out that my mum was having lots of phlegm and since she couldn’t cough it out, she might be at a risk of getting pneumonia.

On 28 November 2007, she was not improving at all and I asked her again trying to convince her to go to the hospital to solve the phlegm and constipation problems. She finally nodded her head. So we immediately arranged for an ambulance to send her to the hospital which is about 5 to 10 minutes away from our house.

An X-ray film showed that her left lung was totally white. Her heart was shifted to the right, probably due to the fluid in the lung. She had high blood pressure and her heart rate was over 130/min. The first night at hospital, we all felt that she was more conscious and comfortable and we felt more relief. However, on the evening of the second day, she became unconscious. The doctors told us that they wouldn’t do resuscitation because it would only prolong her suffering. On the night of the third day we lost her, while all the family members gathered around her. Although we were really sad, we were also glad that she didn’t suffer much from pain. My brothers who were overseas were able to return home in time to keep her accompany when she was conscious.

I really want to say thanks to you and your wife again, for your kindness and hospitality and of course your herbs. It’s too late for my mum to take your herbs. However, it is never too late to know you and CA Care Therapy.

Comments

Dr. Mark had written a detailed account of about his mother’s case – thanks to his training as a observant scientist. I have the privilege of meeting Dr. Mark when he came to see us with his mother’s medical report on 20 November 2007. What struck me most about this case was that CA 15.3 was used to monitor the progress of lung cancer. I asked him if this is a typing error in his e-mail. Shockingly the answer was no.

Initially on 24 April 2007, the doctors used a few markers such as CEA = 462.9; CA 125 = 324; CA 15.3 = 5147; and CA 19.9 = 14. Among them CA 15.3 turned out to give the highest reading. That being so the doctor decided that CA 15.3 could best reflect the treatment progress. Conventionally CA 15-3 is used mainly to monitor patients with breast cancer.

One notorious side effect of Iressa is pulmonary (lung) toxicity. Patients taking Iressa have been reported to suffer from a complex disease known as interstitial lung disease (ILD). This disease causes difficulty in breathing with or without coughs or low-grade fever. The symptoms become severe rapidly and patients have to be hospitalized. The New Straits Times of 6 December 2002 had this heading: 81 deaths linked to lung cancer drug. The Japan’s Health Ministry confirmed 291 cases of debilitating side effects and 81 patients died due to Iressa. On19 September 2005, Japan Today,had this heading: Miracle cancer drug turns into deadly remedy: The drug produced serious side effects such as severe pneumonia, resulting in death.

Recall what Dr. Mark said: She deteriorated very, very fast. I didn’t notice that she had any lung problems before visiting you. Was Dr. Mark’s mother another victim of the fatal side effect of Iressa? No one asked. No one dared to ask? Or no one wanted to know?

We felt sorry that the herbs were unable to help in this case. This is what we often tell our patients.It is not how long we live – it is the quality of life that we live while still alive that matters. Be happy and grateful if we can eat, can sleep, and can move around. To fight cancer and destroy it totally is an impossible task no matter what others may want us to believe. The initial drop in the tumour maker and the shrinkage of tumour are meaningless as this case had demonstrated. Don’t be misled by such an illusion. In fact, this is not an isolated case. We have encountered and documented many other cases like this, which delivers the same message of misguided and misplaced hope. You may wish to read our other articles (The Meaningless Shrinkage of Tumor While on Tarceva Treatment, Even High-tech Treatments Do Not Guarantee That Cancer Can Be Cured or Will Not Spread) about Iressa, Tarceva and Bonefos and what they can do for cancer patients.

 

The Deadly Disease and The Truth That You Need to Know

1.      Lung cancer is the most common cancer that afflicts mankind. Unfortunately, it is also the most deadly. A review of medical literature on lung cancer revealed a dismal track record in the treatment of lung cancer.

2.      Let me share with you CA Care’s experience with lung cancer. Based on the data of 627 cancer cases covering the period from September 2000 to February 2004, the following facts were apparent:

  • Lung cancer represents 13.1% of all cancer cases and is the second most common cancer we have seen (the most common being breast cancer).
  • A total of 40 patients were asked specifically if they were a smoker or non-smoker. Eighty-two percent of them who smoked for some 30 to 60 years
  • ended up with lung cancer.
  • Lung cancer patients were treated with chemotherapy (31.5%), radiotherapy (24.7%), surgery (11.9%) and oral drugs (2.6%). Do these treatment cure lung cancer? Unfortunately no. See below.
  • From what we were told, 23.4% of those who came to us were medically given up. They were given three to six months to live or advised to go home and find some kind of alternative treatment.

Medical Treatment of Lung Cancer

I have made a lengthy review of medical literature on lung cancer and I must say I am indeed saddened to learn of the dismal track record in the treatment of lung cancer. I did not expect such a poor performance at all.

People with lung cancer are asked to undergo surgery, chemotherapy and radiotherapy.  Most of the time patients die soon afterwards, irrespective of the treatments they had undergone. Can this be true? I wish that what I have read is not true.

Often we hear people parroting that medicine is based on solid, scientific research. Here is a body of research data on lung cancer, quoted from the world’s respected journals, and all seem to be pointing to the same conclusion:

  • Despite years of research, the prognosis for patients with lung cancer remains dismal.(Alexander Spira and David Ettinger. 2004. Multidisciplinary management of lung cancer. New England J. of Med. 350:379-392).
  • · Although chemotherapy may be a logical approach, there is virtually no evidence that it can cure NSCLC. The monetary cost … is high. The other cost of chemotherapy is its toxicity and its potential detriment to quality of life (Stephen Spiro and Joanna Porter, 2002. Lung cancer – where are we today? American Journal of Respiratory and Critical Care Medicine. 166:1166-1196).

Disappointing as it may sound, the above statements sum up the reality of the situation. That’s about chemotherapy and lung cancer. What about radiotherapy?

Dr. Jeffrey Tobias, an oncologist whom I have very great respect for (Dr. Jeffrey Tobias and Kay Eaton in Living with Cancer) was very explicit when he wrote:

  • For patients with NSCLC who are inoperable … radiotherapy is worth considering but in truth is likely to be more valuable for palliation of symptoms rather than a treatment with a real prospect of cure.

Although it appears logical that patients need to undergo radiotherapy after surgery, a report by PORT Meta-analysis Trialist Group, 1998. Postopertive radiotherapy in non-small-cell lung cancer: systematic review and meta-analysis of individual patient data from nine randomised controlled trials. The Lancet 352: 257-263, showed that:

  • giving radiotherapy after surgery for early-stage lung cancer resulted in more death (66.9% of patients) than if patients were treated with surgery alone (61.6%).

This research report clearly carried this message:  radiation after surgery may cause death to lung cancer patients. In practice, are patients told about this risk? On the contrary, often they are told that radiation treatment is very safe, especially with the high-tech machine we have today. In 2002, Eric Vallienes of the University of Washington, Seattle, USA, Adjuvant radiation therapy after complete resection of non-small-cell lung cancer. J. Clinical Oncology 20: 1427-1429, summed up the current position clearly:

The role of adjuvant postoperative thoracic radiation therapy remains controversial.  There is no proven curative role for the use of adjuvant radiotherapy.  Despite this, adjuvant radiotherapy is still considered the standard … by many in the US.

I don’t intend to paint a pessimistic view about chemotherapy and/or radiotherapy for lung cancer, but I feel it is also my duty to point out the reality of the current situation. I do this with a strong belief that it is extremely unfair if patients were misled, mis-informed or dis-informed. Patients must be told the truth of their chances of a cure. If there is none, say is out loud and clear. It is no fault of anybody if no cure exists. After being told the truth, it is then up to the patients to decide what to do – to go for the invasive treatments or to seek other options. At the very least, patients should be given the option to make their own decision, after being told the bare truth about the treatments.

M. Cullen 2003. Chemotherapy for non-small cell lung cancer: the end of the beginning. Thorax 58: 352-356 wrote:

  • In 1948 … was the first reference of chemotherapy in lung cancer … from this auspicious beginning there then followed a gap of almost forty years in which there was little progress, at least in SCLC. The absolute survival benefit for radical radiotherapy + chemotherapy was 4% at two years … 10% at one year.

Are patients told that they only have a 10% chance of survival after one year? (Note: the title of this paper is very interesting indeed – the end of the beginning!)

G. Silvestri. 20004. Chemotherapy for advanced lung cancer: is the glass half full or half empty?Thorax 59: 821 wrote:

  • Respiratory physicians may not believe that the small survival benefit achieved with chemotherapy is enough to offset the toxicity associated with treatment. Perhaps we are biased against chemotherapy because we have seen the worst … neutropenic fever and sepsis after receiving chemotherapy. There is also a perception that the additional expense associated with chemotherapy does not outweigh the benefit, particularly as it relates to quality of life. Clearly, the benefit remains small and the toxicity remains real. The author suggested that patients with advanced lung cancer should share in the decision whether or not to undergo chemotherapy.

After reading what Dr. Silvestri wrote, it dawned on me that in the US or UK, there seems to be two kinds of professionals: the respiratory physicians and the oncologists. Each of them may hold different views about lung cancer and they would probably advise you to do different things! So, pick your choice.

The editorial of the Journal of Clinical Oncology 2000, Vol. 18(19): 3441-3445 had this curiously interesting title: Art of Oncology: When the tumour is not the target – Tell it Like It Is. The author wrote:

  • When we honestly communicate the potential pros/cons of cytotoxic therapy for patients with incurable cancer, we allow patients the ability to make informed decisions. Some choose to proceed with cytotoxic therapy; some don’t. When we hold back the truth, either because it is too hard for us to do or because we don’t want to abolish hope, we diminish the chance for an appropriately informed decision to be made. I believe that this causes us to treat too many patients for too long, for little benefit, and without them knowing about it.

Take note of what the editorial said: I believe that this causes us to treat too many patients for too long, for little benefit, and without them knowing about it. Take note too that it comes from the Journal of Clinical Oncology.

If we ask patients what they expect or hope for, when they undergo chemotherapy, radiotherapy or surgery, most of them would say they expect to be cured. Period, or, if this is not at all possible, at least some degree of a fighting chance of a cure.

I have come across many patients, especially from Indonesia, who had used up all their life-time savings to pay the bills for their treatment. Some have even resorted to selling their land(s) or houses to raise funds to finance their search for a cure. One patient told me that one oncologist even asked his family to go home to Indonesia and sell their properties and then come back for more treatment. Sad indeed. In patients’ simple mind, after the treatments, their cancer will be gone forever. Does such a cure exist? Unfortunately not. That is if the research data published in the peer-reviewed journals are correct. Then, if a cure does not exist, were patients told about their odds?

Dr. Tom Smith (Medical College of Virginia, USA) puts all the cards on the table, allowing patients to make informed decisions about their care plans. I salute Dr. Smith for his dignified and honourable conduct. Let us pray that there are many more Dr. Smiths around. Dr. Mark Siegel of Yale University School of Medicine wrote: I support a model of shared decision making. However, many patients don’t seem to understand the jargons used in medical literature. There is a need for amore straightforward (and honest) way to describe these data … which will allow patients to understand. For example what does all these means: 10% survival at one-year, tumour response, etc? Why use complicated jargon? Trying to hide something? Why not just say how many died and how many cured after a treatment? Such concept is never used in cancer treatment. In oncology terms like response used to indicate tumour shrinkage is indeed mind-boggling. Let me explain.

Let me close with this quotation:

  • Surgery, radiation therapy, combination chemotherapy or a combined approach … yet after 20 years the improvement in long-term survival has been slight. The current treatment is nonspecific, nonselective and toxic. New combinations of chemotherapy are not likely to make substantial improvements in survival. IT IS CLEAR THAT NEW APPROACHES ARE REQUIRED.( Lung Cancer – Time to Move On from Chemotherapy. Editorial, New England J. Medicine, 2002.46:126-128).

The above statement is made in one of the world’s most respected medical journal. Is there anyone still trying to deny that fact? Of course to the medical profession, new approaches means more of something of the same … more new chemotherapy or more of new machines or more of new drugs, etc.

But what about a new approach that involves a complete overhaul of the present, closed and lopsided mindset, to a new thinking altogether? What about a change of diet, lifestyle and use of non-toxic herbs instead?

Dr. Candance Pert was a research scientist at the National Institute of Health, USA and a Research Professor at Georgetown University Medical Centre, USA. She wrote (in Molecules of Emotion,pg.153) that her father was diagnosed with small-cell lung cancer in 1980. He underwent chemotherapy, bone marrow transplant and radiotherapy. After the seventh radio-treatment, she said: I noticed a distinct shift in my own feelings, from hopefulness to a numbing emptiness …  My father died almost a year to the day after being diagnosed.

Dr. Pert wrote: Certainly, a new approach to the treatment of cancer … is desperately needed …Cancer continues to kill more people every year, often a slow and painful death made even more excruciating by toxic treatments. Most chemotherapy patients were dead within two years.

State-of-the-art chemotherapy … was nothing more than different combinations of the same toxic drugs given on different schedules. If my father was going to survive, I knew that a new approach, a major breakthrough in understanding and treating this disease had to happen.

Insanity: Doing the same thing over and over again and expecting different results. Albert Einstein.

 

Six Months to Live – Yet Ten Years Have Passed

Raju (not real name), a male of 66 years, suffered from cancer of an undetermined origin. The cancer had spread to his backbone. His spine, T8, was eroded. His case was referred to two specialists overseas but no one was able to determine where the origin was. Raju had undergone chemotherapy but he gave that up after one cycle. He had six radiation treatments after which he remained confined to the deck chair unable to move for about two months. Raju’s son said: “They told me that my father had Stage 4 cancer. They told me to get his will done and gave him about 6 months to live. We got that done – the will and the bank account.” It is now 2009 and Raju is till doing fine! Listen what Raju himself has got to say …

Raju’s son came to seek our help on 17 December 1999. He told us that his father had backaches and was on morphine, 30 mg twice daily. He was unable to lie down flat to sleep. So all day and night, he had to sit and sleep on a deck chair. He had a poor appetite and was tired. Both of his legs were swollen. Raju was constipated and had burning sensations in the chest. We prescribed Raju some herbs: Capsule A, Bone Tea and C-tea.

After one week on the herbs, Raju personally came with his son to our Centre. He told us that the herbs were helpful. However, Raju was not happy with the bitter taste of the herbs. Chris told him: Uncle Raju, healing needs inputs and sacrifices from you. It does not come easy. We have given you the best that we have! The rest is your responsibility.

It was a great surprise for us to see Raju again on 30 December 1999. This time, he walked confidently into our Centre all by himself, without any help. He looked great. He told us that there were less pains and the morphine intake was reduced to 15 mg twice daily and then to 15 mg once a day. His appetite was very good. He was able to lie down flat and sleep. There was no more swelling in both his legs. His bowel movements were back to normal and the burning sensations in his chest had disappeared.

Chris asked Raju if the bitterness of the herbs was worth the price to pay. Raju gave a broad and satisfying smile.

From that day on, Raju was on his healing path. After two months on the herbs, he was able to walk around the neighbourhood. One month later, he could follow his son to Ipoh (a town about 200 km away) to visit relatives. After eight months on the herbs, he could take a bus ride by himself to come out to town. Later he visited India with his family.

On 26 April 2001, one year and four months later, Raju shared his experiences with us. This video-taped interview was done a week before Raju was to go to India for a second visit.

 

Brain Cancer – Yet She Lives !

CT, 42 years old, came to see us in September 2008. There was a tumour in her head. The neurosurgeon in a private hospital in Penang told the family that she must undergo surgery immediately. Without the surgery CT would become blind and paralysed. If she underwent surgery, there was no guarantee that she would be cured.

The family decided against further medical treatment and came to seek our help on 12 September 2008. CT was prescribed Capsule A, Brain 1 and Brain 2 teas, C-tea + Brain Leaf tea.

Two days on the herbs, CT’s condition improved and all pains were gone. She was able to talk better. She returned to her hometown, Medan, Indonesia. Two months later, CT came back to see us again. Her health was restored. After this second visit we never get to see CT again.

Some months later, we had news that CT was not well.  Well, we thought this was it – the end of the story – since she had not been taking herbs anymore. In the meantime, we were rather excited about her healing story. This was yet another miraculous healing which we can share with you all. We made 10 video clips documenting her healing.  But our efforts seemed meaningless since we didn’t even know what the end result was. These video clips were stored away – forgotten.

About two years later – June 2010 – CT’s neighbors came to our centre. They told us that CT was still doing fine. We were taken aback by this news thinking that she was not around anymore.  Of course we were really happy and grateful to hear this news. On 1 October 2010, CT’s relatives came to see us. They again told us that CT was indeed well.

Let us follow CT’s healing story by listening to these videos which we thought would not have seen day light anymore. Our conversation was in Bahasa Indonesia. To help those who don’t understand the language, there is a brief English summary after each clip.

1. The Confirmation – CT Was Indeed Well After Two Years

Neighbours (June 2010)

  • CT is still alive?
  • Yes, she is healthy now and is teaching in her school.
  • Thank God for everything – that she is well.
  • At one time, she ate meat and became ill.
  • Now if she walks in the sun, she gets headaches or become giddy.

Relatives (October 2010)

  • CT came to see my husband in the hospital. She asked us to come and see you immediately. My husband has nose cancer.
  • You have seen her? Is she alright? She said she will come to see you one day.
  • I did not expect to be able to help her – it’s God’s blessing.

2. To Operate or Not To Operate?

  • If no operation, she would be blind or paralysed. The operation cost about RM 18,000 to

RM 19,000. Can operation cure her? No guarantee – not sure. If no operation, she would be paralysed. With operation would she end up paralysed as well? Don’t know!

  • Do you want to operate? The surgeon said this must be done immediately. Decide quickly.
  • Do you want to know the experiences of other patients?

a)    For one patient, the tumour recurred and grew bigger than the initial tumour that was removed soon after the operation.

b)    My friend’s wife was urged to operate immediately, although I cautioned him against this. After the operation she was paralysed and died soon afterwards.

c)    Another patient had surgery. The tumour recurred. He had surgery again and again. After that this same surgeon told the brother. Please bring him home (to Jakarta, before he dies in the hospital)!

  • I cannot encourage you to go for the operation. But I also cannot say: Don’t go for the operation. (This has to be entirely your decision. I cannot take responsibility for this decision).
  • In whatever you do, the most important point is: Can you achieve a cure? But it is uncertain – there is no guarantee. Now, even if you take my herbs, I cannot guarantee that you can be cured.
  • So, what is your decision?

3. What to Do Now?

  • I shall prescribe you some herbs. You can try drinking them. Let’s see if these will help you. Within 2 weeks, we should be able to know if they help or not. If the herbs help and you get better, continue taking them.
  • There was this man, Ramli, from Aceh. He had brain cancer like you. He was also asked to operate. He refused and came to see me. He took herbs. After a week he came back – looking better and was able to sit down and talk to me nicely. Before that he was not able to sit and talk. He was full of anger. He went home to Aceh and was able to ride his motorbike and travelled over 100 km. After three months, he stopped taking the herbs. He suffered a relapse. Went to a hospital in Aceh, underwent an operation and died.
  • So it is now up to you what you want to do.
  • One important point: You must take care of your diet. You cannot eat anything you like. No meat, no sugar, etc for you. These are not good for your cancer.

4. Medical History


  • For the past two months she had been having headaches. Her speech was slurry.  One day she vomited and was unconscious. Later she developed severe headaches. They were so severe that she yelled in pain.
  • I am going to give all the herbs that I have for brain cancer. From my experience these herbs help patients with such problem.
  • God help you. So go home and talk to God.
  • We should be able to know the outcome within two weeks. If there is no progress – then I really don’t know what else to do.

5. Two Days After the Herbs


  • You came on Friday – only 2 days ago. How are you today?
  • Look at me first before we talk!
  • Okay, you looked better. Your face looks good and clear.
  • No more dizzy! Blurred vision has improved!
  • The surgeon told us that if there was no operation, within a week there would be bleeding and she would be paralysed.
  • Thank God. Now we are on the right direction – proceed!
  • What kind of fish can I ….?  Wait first, wait first. I am not going to talk about food yet. Can I eat bread? Wait.
  • Let me tell you this; All patients – when they are dying they will follow my diet advice. But when are get better they will want to start eating anything they like!
  • After taking the herbs for 2 days, how did you feel?
  • I felt a “flowing” sensation in my left leg – like massage. I also felt the “flow” in my left side of the head. But there was no pain.
  • Before the herbs, my face swelled a bit. After a day on the herbs, the swelling subsided.

6. Herbs are Bitter – She Vomited

  • Are you better? You went home to Medan. Did you still continue taking the herbs?
  • Yes – I took them three times a day!
  • Was the herbs bitter? Oh yes, really bitter! I vomited for about ten times after taking the herbs.
  • Brain 1 and Brain 2 did not cause any problem. It was the C-tea and Brain Leaf that made me vomit.
  • That was strange, I thought it was the Brain Teas that were difficult to drink, not the C-tea and Brain leaf. I thought these were good tasting – I too used to drink them.

7. Diet – A Problem

  • Initially, the diet was not good tasting doc!
  • When I ate too much I vomited.
  • She did not eat well, that made her weak.
  • Can I meat mutton? Oh, no!
  • It is important that you eat well. You cannot live without eating. But just eat proper food. Take a lot of fruits! Take beans, etc.

8. Gone Were The Pains and Anger


  • I was amazed doc, the pains in my head were all gone.
  • Previously you said there were severe pains.
  • She was in severe pains. They had to tie her down while in the hospital. She could not control herself and was yelling in pain. For 8 days she was in pain and was always full of anger. She was angry with everyone. She was angry with the doctor, etc.

9. No Problem With Memory & Bodily Movements

  • Let me ask you about your memory. Can you remember things? Any problem with your memory?
  • Before she used to forget things. Now she is starting to remember things – her memory is improving. Before the herbs, the pastor came to visit her. The next day she could not remember the visit. Now it is improving.
  • Now, can you remember your friends, what happened, etc. Yes!
  • I just want to go back to work.
  • Go back to school and teach again? Can you do that? Yes!
  • Can you write? Can you read? Yes, I can.
  • What about your bodily movements?
  • I could not lift heavy things because I did not have much strength.
  • What about walking, etc. Any problem?
  • CT stood up – she showed us how to kick a ball!

10. No Other Problems – Take Care

  • Since the past 2 months that you were on herbs, did you experience any problems?
  • Nothing much, but she always like to sleep.
  • Of course, she needs to relax.
  • Okay, think back – what could have happened if you were to have that operation.
  • Honestly, I did not expect you would recover. I believe God helped you. At the same time, I have also encountered many similar experiences like yours with other patients. For example, Prapti. I did not except her to survive. But she did.
  • I am indeed happy. Since the herbs helped you, continue taking them. Take care and God bless you.

 

Brain Cancer: She Was in a Coma

Daisy (not real name), then a 21-year-old female, presented with vomiting and headaches. A CTscan indicated obstructive hydrocephalus. Her condition returned to normalcy after the installation of V-P shunts. Barely one and a half years later Daisy suffered a relapse. Subsequent imaging indicated tumors in the brain and this was diagnosed as pineoblastoma. Daisy was in a coma and had to be warded in the intensive care unit of the hospital. Medically she was written off. Doctors told her parents to find whatever “cures” they thought would help Daisy. A stranger told her parents about CA Care herbs. Two weeks after taking the herbs, Daisy emerged from coma and was discharged from the hospital. She suffered total memory loss and had to learn how to read and do the basic household chores all over again. Daisy remained well for more than 5 years. She only took herbs.

Daisy said: While in the hospital, mine was a dark world. I did not see any images, and I did not feel any pain. And I did not remember hearing anything too. But although I was in a coma, I was not brain-dead. According to my mother, I did react to what was going on around me in the ward. When my friends came they cried and told me not to leave them yet. My mother said my eyes were also full of tears when my friends cried. At one time, I became very angry. At times, I laughed. When my judo coach from Korea came, I talked to him in Korean much to the amazement of those around me. There were times when I asked for pizza, satay, etc. Nevertheless, I could not remember all these events.

My mother said that after I took your herbs, I started to pass out a lot of urine and it was dark and dirty. My parents panicked and called Uncle Patoppoi to check what had happened. Uncle Patoppoi asked my parents to continue giving me the herbs. My friends told me that while I was in the ICU, my skin peeled off like a moulting snake. They have to apply oil to my skin.

After taking your herbs for a while, one day I started to talk. My mother was beside my bed and she usually would be singing hymns. I said to her: “Oh, your hymn is out of tune” and I laughed. People around me were astonished and called the doctor and the nurses. I was alive after all. From then, I started to recover. This incident happened about a week or two after taking your herbs.

I came out of the ICU and I was in the regular ward. I spent about a month doing physiotherapy. I remember telling the nurse who wheeled me to the physiotherapy room: “Where are you going to bring me. I am not sick. I am alright”. This is the first incident that I remember, the rest were all blank.

I lost my ability to move around and to do things. When I saw a toy block, I thought that I could pick it up. No, I did not have the strength to do that. During physiotherapy I had to learn to do things all over again like a young child. I had to learn the alphabets, A, B, C. I rearranged the toy building blocks from one place to another.

My memory came on and off. Sometimes I remembered things, sometimes I did not. There was a doll in my home. I asked my mother: “who’s doll is that?” In fact, it was mine and it was with me all the time when I was in the hospital. My mother had to teach me how to sweep the floor, wipe the table and do other house chores. Slowly, I regained all these basic skills.

I helped my mother to sell things in her shop. One customer paid me 500 Rupiah. I gave him back 1000 Rupiah as change!

I was home for almost a year. I did not suffer any headache or pain. However, there was one occasion when I had seizure. This caused my parents to panic. But it only occurred once and then everything was back to normal again. There was only once when I vomited while taking a walk with my father. Apart from those two events, I was recovering without any problem. After one year I became normal again. In mid-2000, I decided to dedicate my life to God. So I left home to study at a seminary (Sekolah Tinggi Telogi Berita Hihup) in Solo, West Jawa.

Since your discharge from the hospital, I did not see any doctors at all. I was only taking your herbs and nothing else.

Declined Surgery Only On Herbs

Sunan, a 35-year-old man from Thailand was diagnosed with brain tumour in May 2002. The family declined surgery and gave him herbs instead. We met up with Sunan in Pattaya, Thailand, in November 2002 and found him to be doing very well. He had since gone back to his normal work.

In May 2002, Sunan fell down and was unconscious. He was referred to three hospitals. There was a tumour in the brain. The secretary of Sunan’s boss called for advice. She wanted to know if Sunan needed to do a biopsy and then undergo surgery later. For this was what the doctors suggested to the family.

I responded that they had to answer to these two questions:
(a) Can surgery cure? The answer was No.
(b) Can surgery remove all of the tumour? The answer was No.

If both the answers were negative, what then was the use of surgery? Of course the doctors have their reasons. The family decided that Sunan NOT to undergo further medical intervention. So, no biopsy was done. Sunan took herbs instead.

Two weeks on the herbs, Sunan showed improvements. He was able to walk whereas before this, his walk was unbalanced. He was able to see clearly without double vision.

He could see in all directions whereas previously, he could only see at eye level and not sideways or up and down. His personality changed. He became talkative whereas previously, he was a quiet man.

Brain Tumour Shrunk With Herbs

·    In 2002 had fluid in the brain (hydrocephalus) and was diagnosed with pineocytoma.

·    A V-P shunt (tubing) was installed but she suffered relapse six months later.

·    Reinstalled V-P shunt because earlier one was wrongly placed.

·    No further treatment ~ wait and see.

·    In 2004 ~  tumour grew in size. Neurosurgen suggested radiotherapy as growing tumour could kill her. Declined radiotherapy and opted for herbs.

Progression of tumour growth from 2002 to 2007

Date of MRI                    Tumour size (cm)

1 Nov. 2002                     1.5 x 2.0 x 2.1

9 Oct. 2003                      2.0 x 2.6 x 2.6

8 Oct. 2004                       2.5 x 2.7 x 3.1

Wait and see policy. Tumour size increased by 231% (?)

Question: Will the tumour grow further next year?

Started on Herbs, 17 October 2004

14 Oct. 2005                   2.0 x 2.0 x 3.5

7 Nov. 2006                    1.5 x 2.5 x 3.0

20 Oct. 2007                   1.4 x 1.9 x 3.0

Result: Tumour size decreased by 43 % (?)  Pasien leads a normal life.

 

 

An Evening With Ella: Our Patient, Our Friend

At the middle of September 2009, Ella and her friend, Helen, came to Penang for a week’s holiday by theBatu Feringghi Beach. It was our pleasure to welcome her to this Island Paradise. Ella visited our center on Friday afternoon and got to meet some patients during our CA Care session. One evening we sat down to talk after a buffet dinner at the Park Royal. Listen to what we talked about and at the same time learn some survival tips from this full-of-life-friend from Melbourne.

How does the herbal tea taste like?

Yak, horrible isn’t it?

A concoction of snake venom and mud water!

A special brew from the Snake Oil Peddler of Malaysia? (That is what people in the West like to call people across the fence from them!)

The tea can’t be that bad if you want to walk through life with much laughter …

Oh no, three doctors misdiagnosed your problem?

That could happen even in Melbourne?

It took a year before the fourth doctor found out what was really wrong with you?

That happened in Melbourne, Australia?


Oh no, again.

No chemo after surgery – never ever!

Doctor said she was a brave lady.

Indeed it takes a lot more courage to say no to chemo and decide to take the alternative path.

The surgeon said: No chemo, you have three months. With chemo, it would be two-and-a-half years.

What?

What would your common sense say to that?

You have a choice.

After three months of “house arrest” life came back to normalcy again.

She is very much alive and enjoying life to the fullest.

That includes having a one-week holiday in Penang.

And that happened almost a year after surgery and after having refused chemo!

Missing out on chemo was not that bad after all!

She had lived three times over what her doctor gave her!


Given a choice – which one would you choose?

Do chemo and live for two-and-a-half year inclusive of the side effects,

OR, have a solid one-year life of happiness without chemo?


My Take

We are glad that we are able to help Ella in her time of need. We are even more happy and grateful to the Almighty to see her last week – so well and full of life. There are a few things we can learn from Ella.

  1. Patients have choices or options. You choose what you believe in and live with the consequences of your choice – for good or for bad. There is no point trying to point fingers at others when things go wrong. Remember, it was your choice. Ella knew what she wanted. She empowered herself well ahead of time about what cancer really is and what chemo could do to her. She was not blind when she made her choice.
  2. Ella was so lively and positive in her attitude. That is the way it should be. Do what you have to do first, to help yourself and then be happy with it. Live a positive life.
  3. Ella said she wanted to prove her doctor wrong! Good to have something to look forward to, a wish in life so to say. At CA Care we have seen such predictions proven wrong most of the time. But let us not blame the doctors. They only say things based on what they know or have been taught. And that is all there is to it. I have since realized about the tight system or box that they are brought up in. Patients who choose to go into the box with them have a limited view about the well known limited choices of surgery, chemo or radiation. Get out of the box and you see a totally different view for your problem. When we see Ella again in Penang, she would have proven her doctor wrong!
  4. Christmas time is party time with all the so-called great and wonderful food. Ella enjoyed the celebration but chose to stick to her healthy diet. Many patients don’t have that will power. Last night a lung patient came and said: Oh, the Hari Raya – we went home to our kampong and I “tak tahan” (cannot stand) seeing those foods. So I ate some, here and there. I suffered after I came home.

Ella is not a kiasu (afraid-to-lose-want-to-win-all-the-time) type. Kiasus like to ask a lot of questions but it is  no use – they don’t believe in what we do.

Our therapy is not easy to follow. It is not for any Tom, Dick and Harry. Is not for the faint hearted either. Patients need to be brave and be fully commitment to find their own healing. There is no magic bullet. It requires a change in lifestyle, diet and attitude towards life. We can show you the way, but you have to travel the road yourself. For that reason, it is a pleasure and our privilege to be able to help such a person like Ella – not a kiasu but ever ready to help herself. And we share the joy of her healing.

An E-mail from Ella

15 October 2009

Hi Chris and Im,

I have viewed the video and it is fine.  Thank you, it would be good if it gives people hope to be open minded and believe that cancer need not be a death sentence, if they choose to adopt the more natural and none invasive approach.

They need to question their doctors: Why they condemn the natural way of treating cancer; Where do they get the proof that these treatments do not work. If it is from their medical journals then this is a bias conclusion as it is in the interest of their profession to dominate the sickness industry.

We have been brainwashed for too long into thinking that this INDUSTRY has our best interest at heart. If this was so then they would not seek out and destroy the real facts and evidence which has been proven to assist the many illnesses we see in our society to-day.

In my research, I have found that the people whom are speaking out against the use of chemo and radiation are in fact medical doctors and scientists themselves, who see the same miserable results time and time again.

Sadly their findings are rarely printed in the notable medical journals like the LANCET etc.

Thinking of you both with much love, Ella.

Special Note

Ella was told by her surgeon that if she did not go chemotherapy, she would have only three months to live. With chemo and radiation, she would have two and a half years.

Time has proved that the surgeon’s prognosis is wrong! Ella is on our herbs for the past three years and is doing fine up to this day.

E-mail of 21 October 2010

Hi Chris and Im,

All is well here in Australia and we are all looking forward to some warmth as it has been a long winter.  Right now the birds are singing as I have just fed them their daily feed of wild bird seed. We can learn a valuable lesson from them as no matter if they are big or small, they all get their share.  It was like when I lived in Africa and had the opportunity to witness the animals come to the water holes at night and although they hunt each other for food by day, it seems they have an instinct to share the water as they all know how important it is to survival. If only we humans could adopt the practice of sharing rather than the greed which has taken over.

Some days I just sit in a quiet area of my garden and I can picture you both in your home or clinic doing the good work you do.  Bless you both.

Next year we may be moving home as we want a bigger garden so as we can grow our own food as it is getting harder and harder to obtain good clean food. Our gardens here are facing the wrong way and do not collect enough sunshine.  We have a pool where all the sun is.

I am itching to return to Penang so next year. I will try and make it happen. I down load all your stories for future references. They are amazing.

My thoughts and love are with you each day, keep well.  Love Ella  xxx

 

June Regained Her Health After 8 Days on e-Therapy

June (not real name) was 42-years old when she was diagnosed with ovarian cancer in December 2006. A TAHBO surgery was performed. The histopathology report confirmed a bilateral ovarian adenocarcinoma with metastasis to the omentum.

June underwent 6 cycles of chemotherapy and at the same time was started on CA Care herbs. Unlike others, she did not suffer from the side effects of chemo. Unfortunately in December 2008, a scan showed tumour recurrence, with a 2.6 x 2.1 x 3.2 cm mass seen in the medial part of the spleen – this was probably a splenic metastasis.

June was asked to undergo more chemo. In no uncertain term her doctor told her: If you do not do chemotherapy, within the next 3 months your condition would deteriorate to the extent that I would not be able to help you anymore. You are taking your life for granted. June adamantly declined chemo and stayed on with the herbs. Three months passed, June was well. After six months June presented herself to her doctor. During this visit the doctor asked June to find out from Professor Teo what herbs she was taking. Then at another meeting with her doctor, June was asked if she would continue to take the herbs or would consider chemo.

June was well until about March 2010 when she started to develop problems. I requested June’s husband to bring her to Penang for a week to undergo our e-Therapy. So June came on 8 March 2010 and the first e-Therapy was started right away. At the time I was rather concerned if June was able to even up walk up to my study upstairs. Her health condition was not good. After three days her facial expression changed from pale to bright and after 8 days she was as fit as a fiddle. It was most satisfying to see the brilliant smile in her face. She was so full of energy.

June went home to Kuala Lumpur and the next day went around shopping!

The following are excerpts of our video conversation.

Chris: Before you came to see us … that was last Monday (8 March2010) and this is now Wednesday (17 March) … compared to now, is there any difference in your health?

J: Yes, I feel very normal now.

C: When you came, how did you feel?

J: Short of breath, very tired, very sickly, stomachaches and pains, could not walk properly, very bad appetite, difficult to sleep.

C: Okay, all these … like appetite, how is it now?

J: Very good.

C: Can you sleep well?

J: Yes.

C: Walking?

J: No problem.

C: You said you were tired?

J: This morning not too bad but yesterday after 3 p.m. onwards … flat (Note: this was due to the side effects of the e- therapy).

C: You believe that (the therapy) helped you?

J: Yes.

C: You feel much better now?

J: Yes, much better.

C: You inspire me … honestly, I don’t believe in this (therapy) … well, but when I look at your face, I know that it was good.

Side effects of e-Therapy

C: Now… flat (out tired) and aches in the bones?

J: This was the second time … after the treatment. Yesterday was worse than the first time.

Husband: Yesterday she had fevers.

A Chat with the Husband

H: I came on Monday. Today it is Tuesday – 8 days of therapy. (Before she came here) on Saturday and Sunday, she slept the whole day. She did not have any strength at all. Then there was no appetite.

C: That was when you were in KL (Kuala Lumpur)?

H: Yes, on Monday night was the treatment. Tuesday there were some pains and after that on Wednesday there were no more pains.

C: You feel that it (the therapy) helps her?

H: It helps. No more pains and now she can eat a lot.

C: I do not believe – but then I become a believer. It is better that way than to believe first and start to bluff people that it works. You have to start from not believing anything, see for yourself … then believe!

 

Dying In the ICU After Surgery for Ovarian Cancer and Chemo for Lymphoma

(May this failing be a “Guiding Light” to those who come after her)

Chinese New Year (January/February 2009) was a time of celebration. Wan, a 30-year-old, married female with a 2-year-old child, visited her mother in Kedah. She enjoyed the food that mom cooked for that day. Wan was OK then – healthy as mom’s eyes can see. But after the meal, she felt some “wind” in her stomach. Mom suggested that she consulted a doctor. She did not get to see any doctor until 2 weeks later. Unexpected, this was the beginning of a tragic road to her quick death?

Wan’s mother and auntie came to seek our help on the morning of 25 March 2009. This was what had happened.

Wan went to see a doctor in a private hospital. She was told that she had ovarian cancer and needed an operation. Wan then moved on to another private hospital believing that another doctor was better able to handle her case. On 16 February 2009, Wan underwent an operation to remove her so-called cancer in the ovary. It was a total hysterectomy. But Wan’s condition did not improve in spite of the surgery. Her stomach was still bloated. Later she became breathless. While still in the hospital for a week, her lungs were filled with fluid. The doctor tapped out the fluid and she was able to breath.

Wan was still not well. She felt heaty. Wan was referred to an oncologist of the hospital for subsequent management. This doctor said Wan’s problem was actually due to lymphoma and the primary was not the ovary. The doctor also warned that Wan must undergo chemotherapy immediately. There would be no time to wait because the cancer was aggressive and was very serious.

On Monday, 2 March 2009, Wan was started on chemotherapy. The next day (Tuesday) she was alright. However, in the early morning (about 2.30 a.m.) of Wednesday, 4 March 2009, Wan started to have pains in her abdomen. The nurse gave her an injection for gastric. Later, the pains became unbearable and she was given a pain killer injection. On the morning of Wednesday, Wan started to have diarrhea. Later she had a fit, ground her teeth, became breathless and at one time her heart stopped beating. At 10 a.m. of Wednesday she was admitted into the ICU. Her face and hands were swollen. She was given oxygen and the doctor induced her into a coma and she became unconscious. On Saturday, 21 March her lungs had “bubbles” and she could not breathe. Her doctor had to fit tubes on both side of her chest to drain fluid out.

So from 2 March until 25 March 2009, Wan was in the ICU struggling to stay alive.

Just before Wan’s mother and aunty came to see us, they were told by the doctor that Wan’s chance of survival was very minimal.  The family can expect her to die any time.

See the video and read the transcript of our conversation.

Mother: She was admitted on Sunday. On Monday they operated on her. It was a total hysterectomy. However, her tummy was still big after the operation and she was breathless. On checking they found there was fluid in her lungs. The fluid was drained. She felt better after that. But she always felt hot. It is not a fever. The air-conditioner was set at 10 degrees and she would still be perspiring. On further checking, they said it is lymphoma.

Chris: How long was she in the hospital? Has she gone home?

M: No, she hasn’t gone home at all. She is still in hospital. It’s been more than a month now.  She was there since February.

Aunty: Since the operation, she hasn’t gone home. After her lung problem, she was referred to another doctor.

C: After draining the fluid from the lungs, she was okay?

M & A: Yes

C: Why was she still in hospital?

A: Because they wanted to give her chemo.

C: She was not allowed to go home first?

A: They say cannot wait. It is a very aggressive type. It is already very serious. Chemo must be done immediately.

C: When was the chemo done?

A: Only once, on Monday.

M: After that she was alright. She was alright on Tuesday. But at night, early on Wednesday morning around 2:30 a.m., she complained of stomach pains until daybreak.  She was given injections for gastric, as well as a pain killer. She had diarrhea. Her stools were very dark. She had diarrhea again from 7.00 am to 8.00 am. She had pains in her stomach again. She asked me to get the doctor to check her quickly as she could not stand the pains anymore. She was struggling in bed, kicking the bed very hard. She was biting and grinding her teeth. It looked as if she was having a fit.

When the doctor came, I explained what had happened (the events that took place throughout the night and morning). He did a routine check on her and left. He did not answer my questions or say anything. He just left.

I was waiting for some pain killer to be administered, but later when a nurse passed by, I asked about the pain killer and she explained that the pain killer had already been given the night before. So, they could not give her another pain injection now. Then she just went away.

I then requested for my daughter to be cleaned up. And as the nurse was cleaning her, she started to feel breathless. Then suddenly her head turned to one side, and a little foamy saliva started to drool out of her mouth. I screamed and a sister came in to adjust her drip and a couple of things. Actually, her heart stopped beating for a while.

C: Her heart stopped?

M: Yes, it did. They revived her. (by banging, etc – we were not allowed to see). An hour later, about 10:00 a.m. she was brought to the ICU. She is there until today. She is still there – unconscious. When they brought her in, her face was already swollen. The neck, shoulder and arms were swollen too. She looked very different. The swelling subsided on the third day. And now, she looked very thin.

C: How is she now?

A: Still unconscious. Never wake up yet. It is already about 20 days.

M: Cannot let her wake up. She is given oxygen. When the oxygen is removed, her pressure dropped. They kept putting her to sleep. We’ve never spoken to her since she went in.

A: I spoke to the doctor. He said she cannot let her wake up as the oxygen pressure is very high. She may not be able to take the high pressure. That is why they made sure she is totally unconscious.

M: Last Saturday, they drained more fluid from her lungs. It looks like there is very little chance of saving her. This morning, the doctor told us to be prepared. The doctor said her condition is very serious and the cancer will spread very fast.

A: I was wondering why the chemo must be done when she was still so weak.

M: Actually after the operation, she was alright. She could watch television and was normal. The nurse asked her to get up and walk and she got up and walked – just a little breathless at first (Mother cried).

C: If it is possible, you can start by giving her Capsule A and Juvo (food supplement made from a variety of beans). If after 2 or 3 days, there is some progress, then we can slowly add more herbs. It is a very difficult situation. What is going to happen the next few days no one can tell. But we will try our best.

A: They already conceded they could not do anything else anymore for her.

Comments

The total cost of her treatment as of 24 March 2009 is RM 194,730.13. Indeed it is very expensive to die in this modern day scientific age.

Can any body answer this question: Her mother told us: When the doctor came, I explained what had happened (the events that took place throughout the night and morning). He did a routine check on her and left. He did not answer my questions or say anything. He just left. Why did the doctor just left without answering her question? In a similar case, Sam and his wife were coerced into consenting to a liver operation on Sam. The surgeon even hugged Sam’s wife and assured her everything was going to be alright. At the same time warned that he must be operated on immediately. But after the cancer had recurred, the surgeon became “hostile” and did not even want to talk to them. Why is this so?

There is an Arab saying: Haste is from the Devil. Wan did not even have a chance to recuperate properly from her surgery. She was immediately asked to go for chemotherapy. She was told the cancer was aggressive. How true is this? Before she came into the hospital she was alright. What made the cancer aggressive? Or is this a spin – a veiled threat to instill fear into patients so that they would agree to chemotherapy?

The doctor’s medical report indicated that Wan required an emergency dialysis. Her renal function had reversed. What had her kidney failed? What could be the cause? The toxic chemo-drugs? Wan did not have such a problem before.

 

Vegetable-State Terminal Cancer Brought Back to Life with Herbs

Poh is a 54-year old female. She had a 14 cm tumour in her distal sigmoid colon. She underwent surgery. The cancer was staged as Duke’s C. About two weeks after surgery, Poh underwent twenty-five times of radiation treatment and at the same time took the oral chemo-drug, Xeloda. Within a week after being on Xeloda, Poh became uncomfortable, her heart beat rapidly and she had difficulty breathing. The doctor stopped her Xeloda and replaced it with UFT. Before Poh could even finish a course of UFT, her legs started to weaken and her entire person lost strength. She could not walk and had to be confined to the wheelchair.

MRI of her brain did not show any evidence of metastasis. There were, however, disc bulges at C5/C6, L3/L4, L4/L5 and L5/S1. This was diagnosed as lumbar spondylosis.

Poh’s husband and son came to seek our help on 4 November 2005. Tears welled up in his eyes as he related his wife’s story. He said: “After the surgery, my wife was alright. She was normal – could walk around perfectly, could eat and do the normal chores in the house. It was only after she started radiotherapy and took the oral chemo-drugs that her condition deteriorated. This happened within about two months after the surgery. Everybody I asked told me to do all these.”

Poh was indeed in bad shape. She was put on morphine and had to lie in bed unable to move by herself. If she gets up, she will feel breathless. At one time, she had to be admitted into the Intensive Care Unit (ICU) for twelve days. The family spent about RM 50,000 for her treatment. With anger and frustration her husband said: “I spent money is okay, but how could she end up like this?”

Poh was then a living vegetable.

After one week on the herbs, Poh was able to wake up from her bed and walked ten steps with the help of her husband! Her daughter said she was thrilled when she was able to stand up. Her case was not be hopeless after all. On 3 February 2006, i.e., three months on the herbs, Poh was able to walk into our centre! As of this writing (a year after being on herbs) Poh is doing fine. She leads a normal, pain-free life.

Still Alive After Nine Years Even Without Surgery, Chemotherapy or Radiotherapy

Tim (not real name) was 86 years old when he was diagnosed with recto-sigmoid cancer in October 1999. There was no evidence of metastasis. He did not undergo any surgery, chemotherapy and radiotherapy – the universal standard recipe of cancer treatment.

His nephew, who is a medical doctor, suggested that Tim sought our help. On 2 April 2000, Tim’s children came to us for help (Tim did not come himself). His condition then appeared to be normal for a person of his age. He could eat, sleep, move around and moved his bowels without problem. However, he had pains when he ate too much. He also had rashes after taking antibiotics.

Tim was prescribed some herbs. And he continued taking the herbs any way he liked. Actually we did not take much notice of his progress after that.

It was not until seven years later that Tim’s case was brought to our attention. His children came on   6 May 2007 to inform us that their father passed out blood in his stools.

An ultrasound done on 25 April 2007 showed the presence of several small cysts in his liver but there was no solid mass. His bowels were filled with gas.

Colonoscopy showed a fungating tumour at 12-15 cm from the anal verge. A biopsy confirmed the clinical diagnosis of an infiltrating, focally necrotizing moderately differentiated rectal adenocarcinoma.

I had a chat with Tim’s children and daughter-in-law and got know more about what was going on. Tim’s wife has died many years ago and Tim is, up to this day, staying alone. He refused to move in and stay with any of his nine grown-up children prefering to live by himself, in spite of his age. He has this “independent” streak in him. With this, we can understand why his children suspected that Tim was not taking the herbs properly after some years of an apparent cure.

The following are excerpts of our conversation on 25 April 2007 which could shed some light as to what had gone wrong.

Chris: Earlier he was talking the herbs regularly?

Daughter-in-law: Regular and after so many years he was already okay.

Chris: It has been 7 years … 2000 until now. He was taking Capsule A, GI tea and C-tea. Later you said he did not take the teas any more and was only on Capsule A. And you said he was alright.

Son: For his colon, I think the last few years I brought him for a check up. It was all clear. I also took his stools for examination. They said there was nothing. Everything was okay.

Chris: This was done in a hospital?

Son: Yes, Metro.

Chris: So this means that 3 or 4 years ago, he was still okay.

Son: He passed out blood in his stools. At first we thought it was piles.

Daughter-in-law: This was already one year.

Son: We went to this surgeon (in the hospital) and he also said it was piles.

Chris: Cannot be, cannot be. Because has a background of colon cancer.

Daughter: Exactly, he has a history of colon cancer!

Chris: Let me explain. Colon cancer cannot go away. There is no such thing as curing cancer. Even when the tumour was cut off, the cancer can still come back. In your father’s case the tumour was still left in there.

Daughter-in-law: At the later stage, he started to take less herbs.

Chris: Oh, the dosage was reduced from 2 capsules three times a day to – what did he do?

Son: One capsule per day!

Chris: He might as well not take the herbs at all.

Son: He (my father) told me: I am already healthy. Why waste money?

Chris: He was not taking the herbs properly. There is no two way about it. The cancer will come back. Okay what do we do now? First I want to ask you: Is he prepared to take herbs again?

Son: Yes. He is prepared to take anything now.

Daughter: Ha, ha, papa is well behaved now – well behaved now!

Chris: Before he was stubborn?

Son: Yes, very, very stubborn.

On 15 January 2009, Tim’s daughter came to our centre to collect more herbs for her father, meaning Tim is still doing fine. Lest we forget, Tim is now 95 years old!

Comments: This is an unbelievable case of healing for the following reasons:

  1. Looking at the photographs of the rectal lesions we know that Tim’s cancer was very serious indeed.
  2. In spite of declining medical intervention, Tim is still alive – more than 9 years now. How could that be? Any doctor would tell us without surgery, the tumour would have grown big and blocked the rectal passage. His colon or rectum might just burst, etc., etc., etc. But this did not happen!
  3. Even more amazing – Tim had not been taking the herbs properly. At the April 2007 meeting with his children, I stressed the importance of taking the herbs properly. After all from 2000 to 2007 his problem was still under control. I honestly do not know if my advice was taken seriously or not. Whatever it is, from 2007 up to this day, Tim seemed to have recovered.
  4. I am aware that this report is very brief. I wish I could present you with more evidence but that is all I have in our file.
  5. Let me pose a few questions for you to ponder:

a)     All too often we are told that if there is a tumour in our colon, we must get it out as quickly as possible. This advice seems logical and convincing. But in this case – do you think this logic is applicable, given that Tim was already 86 when he was first diagnosed?

b)     If Tim were to have a surgery, what then would be the next requirement? Chemotherapy of course!

c)     What could have happened to such a patient like Tim if he had surgery? Would be able to live 10 years after that? Can Tim cope with the colostomy bag – fitted after his surgery – by himself? His life would have been difficult having to live with the stoma through out his life.

d)     After surgery, if Tim was subjected to chemotherapy, what do you think such drastic treatment would do to a person of 86?

e)     With such a tumour growth, it is amazing that there is no serious liver metastasis. Why is that so?

f)       Over the years, we have come across numerous cases of failed colorectal cancer. Patients died a few years later, after having undergone surgery, chemotherapy (and even radiotherapy). Why is it so?

g)     Let me quote just one example. Tony Snow was the press secretary of George W. Bush, then President of the USA. In my writing earlier: Case Report 7: Ten Questions About The World’s Most Well Fought Battle Against Colon Cancer, I wrote:

I would imagine that the most powerful man on earth (the President) would be able to do something great to help his beloved staff and fellowman who was in great distress. I believe that Snow would have gotten the best – the best advice, the best doctor, the best drugs and the best hospital – for him to fight his war against cancer. So, to me, this battle against cancer would probably be the most well fought battle ever waged inAmerica – the world’s most powerful nation.

Snow as diagnosed with colon cancer in 2005. He underwent surgery, 6 months of chemotherapy and was well. Then 2 years later cancer recurred and Snow had surgery again in April 2007 followed by more chemotherapy. In July 2008 Snow died about 3 years after his diagnosis.

(Initially medical expert said): This is a very treatable condition. Anyone who looks at this as a death sentence is wrong. What does the life’s reality tell us? Snow died – dead wrong or dead right?

What do you think is the real cause of his death? The recurrent tumour in the abdomen has been taken out. Only some cancer could have been left in his liver. Could this kill Snow? Or was it the treatments used to treat the cancer that killed him?

(Another expert said): This is a treatable disease. What do you think of such a statement? Surely, any disease is treatable but can it ever be cured? Treatable does not mean curable at all.

 

A Healing Story from France

In June 2007 we received an email from Fil (not real name) from France. He wrote to seek help for his 77-year-old father, Jak (note real name) who had been diagnosed with colon cancer. Five years before his cancer diagnosis the doctor had told Jak that something was not right with his brain. He very often suffered vertigo.

Jak’s problem started with severe bleeding while in the toilet. He was immediately hospitalized and on 1 June 2007 underwent an operation to remove part of his sigmoid colon. In his email, Fil wrote:Today, he is in very poor condition. He tries to get up but walking is very difficult. He needs help. He prefers staying in bed. He has very bad appetite and little hope of healing. He does not want to undergo chemotherapy or radiotherapy. He lost muscles mass and will need training. He wants to live – 5 years more in order to see his little son reach the age of 16.

Jak’s conditions were as follows:

  • Pain: in pain stomach region. His condition is very poor. He is not strong enough to be on his legs.
  • Can you sleep? Yes, sleeping is quite okay.
  • Do you feel tired? Yes, very tired. Almost no strength.
  • How often is your bowel movement? Difficult and constipated.
  • How is your appetite? Very little.
  • Do you have difficulty breathing? No

On 23 June 07, Fil wrote: A few days after the surgery the cancer specialist met my father and said he was far too weak to receive chemotherapy. Last Monday, she came back and found him in a better condition but still wondered if he would be a “good candidate” to follow the treatment. She spoke to me over the phone.

Concerning chemotherapy – to do or not to do, she quoted these figures: WITHOUT chemo, 50% chance to be alive for 5 years and WITH chemo, 65 %. She is scheduled to meet my father for the third time on 3 July. I don’t know what position she will take. However, the doctors in charge of him try to influence the decision by explaining that the operation was well done and it will be more secured to undergo chemotherapy. As a matter of fact, my father seems not ready to go through another bad experience.

On 26 June 07, Fil wrote again: I am working every day on my father’s healing. The last weekend, I had a talk with my father and mother. My father will get back home next Thursday. We made a concrete decision: No chemo, my father will follow your advice on diet and he will take your herbs. Beside that, I am now getting more and more involved in cancer field. Are you ready to work with me and be my coach, teacher, guide, all of that?

This was my reply to Fil: Thanks for your email. Yes, you are indeed an amazing person who wants to learn. Don’t worry I am here to help you and guide you. No problem at all Fil. I like your spirit and your enthusiasm to help your father …   wonderful. Sure, if you learn enough and believe in what I do  ….help others too.

On 3 July 07, Fil wrote: Chris, I got a phone call of my mother. My father had pains in the stomach region this morning. What do you think about this?

My reply: He started taking herbs on Friday afternoon, which means 4 days of treatment. Generally in the first week, patients may find “life” a bit
difficult … due to the healing crisis. Go into my website and read about the CA Therapy and the healing crisis. I don’t worry too much.

Fil submitted a list of drugs that the doctors prescribed to his father:

1. LOVENOX : treatment against thrombosis.
2. INEXIUM :  treatment against gastro-esophagus reflux.
3. AMLOR : against high blood pressure.
4. TAHOR : against cholesterol.
5. OMIX : against prostate hypertrophy.
6. PLAVIX: for patients with recent heart attack, recent stroke, or poor circulation in the legs, known as peripheral arterial disease (PAD).
7. DIANTALVIC: pain (paracétamol + dextropropoxyphène).
8. NUTRICREMAL: nutriment additive with protein vanilia, chocolate.
9. TARDYFERON: mineral additives.
10. FORLAX: for constipation.
11. EDUCTYL NORMACOL: for constipation.
12. Nureflex, Néomercazole.

I wrote him: I counted there are 11 drugs that were prescribed. You mean you father had been feeding on these drugs? Did the doctor tell you what these drugs are for? Find out using the net and let me know. Different countries have different names for the same drugs … this makes things more confused for people. The more confused people are the better… so they become experts!

Fil wrote on 9 July 2007:  I visited my father two times this weekend:

  • A few weeks ago in the hospital, he said that he would like to live 5 years more just to see his little son reach the age of 16.
  • We found him in a very good shape, very active, asking questions, talking about different subjects, arguing as he always did before. He showed us that he was even able to walk some steps without the walking stick.
  • I told him: Whoa!! You are very ok, today!! Much better!!
  • He started to answer that he was still not so good and so on. It was like he could NOT believe he was better. Even more, he refuses to accept the idea, etc…
  • On Sunday morning, I came alone to visit my parents. It was a different story. My father was in a different mood, no power, face down, almost like he “will not finish the day”. You can see this “up and down attitude”.
  • What is your opinion about this kind of patient who doesn’t believe they can heal themselves? We have to fight two or three times harder for such person than a person who is positive!!
  • Not only that, he mismatches any positive comments. It works better on him to say: “You are not GOOD today!! You feel sick don’t you? You won’t succeed in your healing!! After such comments, he will look at you and smile a little bit. So, what can we do?

On 13 July 2007, Fil wrote: The main news about my father. His doctor got the results of his blood analysis today. He called my parents and said:

  • Several markers are much better!! I don’t understand
  • Did I give special medicine to your husband?
  • My mother answered: No, I don’t think so.

Chris, I think we are on the right track! I shall continue to work on the mental blocks of my father and maybe I will be able to find the solutions.

On 19 July 2007 Fil wrote: My father has improved a lot in his “movement” and he is able to walk without a walking stick. However, he still has pains in the stomach area. They did a scope and a scan on him. It was this afternoon and my mother just read me the report over the phone:

  • hypertrophy of the pancreatic head with necrotic centre with blockage of the mesenteric vein.
  • cephalic cellular function or inflammation.

On 23 July 07, Fil wrote: This weekend, a daughter of my parent’s friends came to visit my father. She is 47 and got her third cancer: colon, liver and lung. She is undergoing her 3rd chemo. She said: chemo doesn’t work! We talk about alternative therapy. That’s why people go toward herbs and alternative medicines.

On 1 Aug 07, Fil wrote: Sorry to bother you again, but I wanted to share with you my feelings. Indeed, I want to let you know how difficult it is for me to handle the healing of my father and how important it is for me to get support from yourself and Dave (not real name). I need to fight against the doctor, language barrier and comprehension of a new field and the negative thinking of my father. Fortunately, my mother helps a lot in this experience. I hope I don’t bother you too much with my questions, misunderstanding and some panic situations and so on.

On 7 August 07, Fil wrote: I want to share the healing of my father with everyone.

Please, see these 2 videos – before and after herbs. .

29 November 2007, Fil wrote: For my father, some news came after the check up in November.

  • Blood analysis: the markers are all okay so far.
  • However, after the last scan, doctors claimed the cancer might have spread out to around the abdomen and lung area (nodules, nodes, etc…)
  • His doctor said that it is time to start chemo; he did not want to recognize the good effects of herbs because it is an alternative treatment.
  • He told me: Chemo + Alternative Treatment could be the least decision to make.
  • My father is ready to choose a new doctor – one with more open mind than this one.

13 June 08, Fil wrote: I got a question from my dad about quantity of teas he has to drink every day. As you know, he had to change his eating habits. It wasn’t that easy for a 77-year-old. In addition, drinking the teas every day make him go to the toilets every 2 hours. Therefore, he has been often asking me: Can I reduce the quantity of drinking in order to avoid urinating less often? I answer to him many times was: “You have to drink teas if you want to survive” and so on. At that point, I believe he really gets tired of going to urinate so often. So, I am asking your opinion. Please, tell me if he can reduce the quantity of liquid per day. Thank you in advance.

14 Jan 2009 Fil wrote: Dear Chris, Happy New Year 2009. Please, find below the links to two short videos taken during Christmas 2008.

Hope these will help you to illustrate my father’s story. Let me know if I can do more.  And again best wishes!

Comments: It has been our pleasure to help Fil and his father, Jak. And we are indeed glad that so far his condition has been good despite of not undergoing chemotherapy. The question that patients may wish to note is: According to the doctor, for a patient like Jak, statistics show that there is a 65% of surviving five years with chemo. Without chemo 5-year survival is 50%. In other words, the benefit of chemotherapy is only 15%.

I wonder how many patients would agree to undergo chemotherapy if they are clearly told that the treatment can only increase survival by 15%. Most patients undergo chemotherapy with the full expectation that they will be 100% cured. Or if not a 100%, at least have a much higher chance than 15%.

The number quoted by the French doctor is far cry from what I have heard here. Here, they talk of 95% or 50% chance and without chemotherapy the patients will die. Let us be really clear: there is no statistical data to show that without chemotherapy, colon cancer patients die.

Before Fil wrote us, there was another person in France (Dave) who had undergone surgery and chemotherapy for his colon cancer. Dave came to Penang and decided to try our herbs. We taught him how to boil the herbs, etc. etc. So when Fil wrote us, we found it easier to ask Dave to help explain everything to Fil. Fil’s father continues to take the herbs to this day while Dave dropped out after about three months. He opted for more surgery and more chemotherapy and in early 2009 we received news that Dave had died.

The rationale of chemotherapy, according to the French doctor is to act as a security blanket. There is a strong assumption that chemotherapy can help ensure a higher chance of survival. But what if after chemotherapy patients die? Does this ever happen? Surely it does happen more often than any one care to admit.

On 17 January 2009, Fil replied our questions posed to him:

a) About your father’s treatment: Did he receive any chemo at all? No chemo at all because we just refuse the treatment.

b) The doctor suggested chemo?  Why? The doctor said that it is a kind of security not to have the cancer coming back. They even fixed on him a chemo port close to the right shoulder.

c) How is his health condition now compared to before his cancer? Pretty good condition in respect to his age.

d) Did he go back to see his doctor of medical check up? Yes, every 3 months right after the operation and now every 6 months.

e) He was taking the medications for hypertension, prostrate, pain, cholesterol, etc. Is he still on all those drugs? You said he suffered vertigo very often— what happen now? Same? Medication for memory, prostate, stomach and  pain. That’s it ! My father has had vertigo for 20 years, it is the same not more.

f) Generally after patients take our herbs, some of these problems disappear — what happen in your father’s case? Rather better condition.

g ) It is one and a half years after his cancer operation – what is his attitude now?

Is he confident about his future? He is pretty confident.

h) When he first started the herbs, did he ever believe it is going to work for him? Frankly not because of his negative attitude and he always has doubts in his mind. My mother and I worked hard to convince him. It was a long process day after day.

i) From the view of your mother, what does she think about his healing? She thinks it is a pretty good situation compared to people who have had cancer and chemo.

j) From your view as a son, what have you to say about this healing? I think that it is really amazing to achieve this healing and I have to tell you that I now become a vegetarian! You can have an idea of my conviction and I even would like to help other people. It is not an easy job, as you know much more than any body else in this world.

k) Do you think you would travel the same road again if you were to do it all over again? EXACTLY THE SAME.

On 27 February 2009, we received an e-mail from Fil

Just few words to share with you:

1. The 47 year-old woman (daughter of my parent’s friends) mentioned above suddenly died last week. She had surgery, chemotherapy and radiotherapy many times during more than 12 years of her disease. I could not convince her to try herbs or even to change a little bit about her diet. I am sad about that and at the same time I consider that I have done my job of “knowledge transmission” even if I know very little about this subject.

2. My dad saw the oncologist last Tuesday. She found him in a very good condition and his cancer markers are okay. They plan to do a colonoscopy in 6 months.

Like at each meeting, she repeated the same words to my parents: Indeed, I wasn’t enthusiastic to start chemo after your surgery because you were very weak at that time! At the same time no words said about what my father did – alternative treatment, nutrition or what ever!

I just can not believe how these doctors can behave like hypocrites. I had to fight against this lady doctor to keep my dad out of the hospital in July 2007. Please, tell all your patients not to give up when facing such powerful medical people! Anyone has the choice to decide to suffer or to continue his life peacefully till the end.

Thanks Fil for your co-operation and willingness to share!

UPDATE: 4 September 2009

My father is doing well. He has very good appetite even too much from my point of view but as you know, old people don’t want to give up foods. However, I suppose he quit eating meat, milk products, eggs from the beginning of the herbs treatment in July 2007.

UPDATE: 7 January 2011

Hi Chris,

Happy new year to you and yours. We haven’t been in contact for a while. I just wanted to give some news of my dad. He just came from his oncologist appointment.

She just said everything is Okay, next medical check in 1 year! No question about herbs or whatever.

He is running to 81 this spring ! After his colon cancer in 2007.

Should I remind that he got surgery but no chemo. Thanks to the herbs and your advice for vegetarian diet.

Warmest regards.

 

Update: 18 June 2013
Chris,
My dad dead a few days ago. He wasn’t able to swallow food more than one month ago, because of alzeimer but not because of cancer.
He has gone in peace and love without any suffer in his armchair. It was THE most important thing to me.