Fay (not real name) is 44-years-old. In July 2015, she found a lump in her left breast.
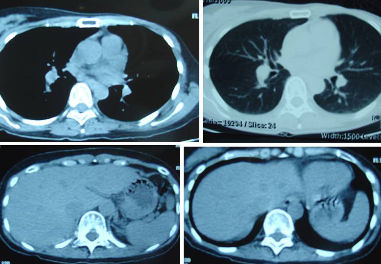
- Mammogram showed a cluster of subtle heterogenous microcalcifications in the left breast, suspicious of malignancy.
- Ultrasound confirmed the presence of a 1.5 x1.0 x 1.3 cm irregular lobulated hypechoic mass lesion at 2 o’clock of left breast.
- A fine needle biopsy confirmed a ductal carcionoma.
Fay proceeded to have a mastectomy in September 2015. Histopathology of the left breast and axillary lymph nodes indicated:
- Invasive micropapillary carcinoma, grade 3 with in situ carcinoma.
- Lymphatic and vascular invasion by malignant cells seen with metastasis to 3 of 12 lymph nodes.
- Nipple and excised surgical margins are free of neoplasia.
- Receptor status: Tumour cells are positive for ER, PR and c-erb-B2.
The total cost of the operation was about RM 13,000 (inclusive of RM 2,000 surgeon’s fee).
Fay was asked to see an oncologist for further management. The breast surgeon told Fay that she did not have to do radiotherapy but chemotherapy is a must. The surgeon said:
- If no chemo, the chances of survival is 57 percent.
- With Tamoxifen (take for 5 years) the chances of survival is 68 percent.
- With Tamoxifen and Chemo, the chances of survival is 81 percent.
- With Tamoxifen + Chemo + Herceptin, the chances of survival is 88 percent.
After being told the above, Fay decided not to go and see the oncologist. She also decided NOT to undergo chemotherapy. She came to Penang to seek our help instead.
Why did Fay come and see us?
- She had a friend who had breast cancer, similar like her cancer. She did not go for chemo and opted for alternative therapy. She remained well for many years. So Fay knew alternative therapy is effective.
2. Fay came to see us with her best friend whose sister-in-law is our patient. Let’s call this patient, Jane. Jane had breast cancer. The tumour was ER and PR negative and c-erb-B2 positive. She was asked to go for radiotherapy and chemotherapy with Herceptin. Jane refused after seeing her mother-in-law died after 2 cycles of chemo. Today Jane is still very healthy — more than 5 years now after her diagnosis. Breast Cancer: Does chemotherapy and radiotherapy make sense? https://cancercaremalaysia.com/2013/06/10/breast-cancer-does-chemotherapy-and-radiotherapy-make-sense/
- Fay also knows that her best friend’s father had prostate cancer. He also refused medical intervention and was on our herbs. He is still doing fine — almost two and half years now.
Why did Fay refused chemotherapy?
She knew about the side effects of chemotherapy. Fay said before coming to CA Care, she and her family had already decided that she would NOT go for chemotherapy! Why? Fay said even after doing all these treatments, as suggested by her surgeon, there is no guarantee of a cure!
Let us try to fully understand what the doctor told Fay.
- If Fay does not go for chemo after the surgery, her chances of survival is 57 percent, or something like 50:50. So not going for chemo does not mean that she is going to die because of the cancer. She can still live a healthy life. Or, if she does not get it right, she dies. Her chance is like flipping a coin, head or tail.
- If Fay takes Tamoxifen for 5 years, the chances of survival is bumped up to 68 percent. This means Tamoxifen provides only 11 percent benefit. But this comes with a price. Fay is aware that Tamoxifen has many side effects — and the greatest fear is getting another cancer! Read these:
Ask yourself, are you happy to go ahead and take Tamoxifen with the hope of getting 11 percent benefit but exposing yourself to the many risks above?
Hang on. Read this: Breast Cancer: Do this chemo – 100 percent cure! You believe that? https://cancercaremalaysia.com/2014/07/30/breast-cancer-do-this-chemo-100-percent-cure-you-believe-that/
Now, they are asking women to take Tamoxifen for 10 year instead of 5 years! That means a longer exposure to side effects and risks?
- If Fay takes Tamoxifen and undergo chemotherapy, the chances of survival is 81 percent.
- If Fay takes Tamoxifen + Chemo + Herceptin, the chances of survival is even higher, 88 percent. Take note, the addition of Herceptin to chemo provides a 7 percent benefit. But at what cost? Money wise, it is going to cost RM 150,000 for 1 year of Herceptin injection. In addition Herception has side effects. Check the internet if you want to know more about this. But here are some examples: it can cause flu-like symptoms in 40 percent of patients. This include fever, chills, muscle aches and nausea.
WP can tell you what it is like after receiving Herceptin: https://cancercaremalaysia.com/2015/09/28/metastatic-breast-cancer-she-found-her-healing/
One danger which you may not be told is, Heceptin can damage the heart and its ability to pump blood effectively. This risk has ranged between 5% to 30%. The risk of severe heart damage is greater when Herceptin is given along with other chemotherapy drugs that are known to cause heart damage. Adriamycin is an example of a chemo-drug that can cause heart damage. http://www.breastcancer.org/treatment/targeted_therapies/herceptin/side_effects
- So you have to decide if getting an extra 7 percent benefit from Heceptin is worth it! Remember, you have to spend RM 150,000 in addition to enduring the side effects. Game for this?
Can chemotherapy cure breast cancer?
Fay was told that if she takes Tamoxifen and undergo chemotherapy, the chances of survival is 81 percent. So this cook-book treatment provides a 24 percent benefit over not undergoing chemo + Tamoxifen.
Are you happy with this 24 percent benefit? Fay said NO, because even if she does nothing after surgery, she still have a 57 percent chance of survival. So the benefit of 24 percent due to chemo + Tamoxifen is not good enough. She wanted a 100 percent chance of cure, which unfortunately Fay knows no one can offer her!
Fay also knows that going for chemotherapy is not like going for a “honey moon.” It can be a hellish experience. If you are unlucky, you may be dead even before the schedule treatment is completed. Just read this:
Read these stories:
2.3 cm Malignant Breast Lump: Surgery, Chemo and Radiation — Disaster. https://cancercaremalaysia.com/2015/04/25/2-3-cm-malignant-breast-lump-surgery-chemo-and-radiation-disaster/
Breast Cancer: Surgery, Chemo, Radiation and Tamoxifen Did Not Cure Them https://cancercaremalaysia.com/2015/03/22/breast-cancer-surgery-chemo-radiation-and-tamoxifen-did-not-cure-them/
We can’t cure Fay either!
When Fay came to see us, she and her husband have already decided what road to take — no more medical treatment after the mastectomy. She wanted an alternative route. Let us be clear. When you come to us we would not tell you to go or not to go for chemo. That has to be your decision, not ours.
Of course, if you need to know more about chemo, radiation or Tamoxifen, we shall provide you with as honest information as possible. But do not make us a scapegoat if something goes wrong along the way.
Dr. Barbara Joseph is a medical doctor and she too had breast cancer. This is her advice to those who have cancer.
Dr. Susan Love is one of the world’s most outstanding breast cancer surgeon. Listen to what she has got to say below:



















You must be logged in to post a comment.