8 cm Liver Tumour Shrunk After 8 Months On Herbs. Still Alive and Well After 2 Years

About a year ago, we documented the story of AS in our posting,  Liver Cancer: 3 cm Tumour OUT, 8 cm Tumour IN After 9 Months and S$28,000-Surgery.

Briefly these were what happened to AS.

  • He underwent a cholecystectomy on 31 December 2011 in Indonesia due to gallstones. During the open surgery the surgeon also did a liver biopsy for suspicious liver lesions.
  • AS went to Singapore for a second opinion. A review of his biopsy tissues showed poorly differentiated liver tumour.
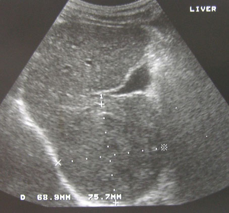
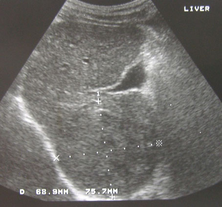
  • PET/CT scan revealed a mass in the left lobe of his liver, measuring 3.2 x 2.6 cm
  • AS subsequently underwent a liver surgery in Singapore.
  • CT scan on 16 August 2012 showed no evidence of recurrent HCC.
  • However, PET/SC scan on 11 March 2013 revealed recurrent HCC with mass measuring           0 x 4.8 cm.
  • Trans-arterial chemoembolization (TACE) of the liver tumour was attempted but failed.
  • With no other option left, the doctor suggested chemotherapy or Nexavar.
  • AS promptly rejected chemo and came to seek our help on 14 April 2013.
  • His alpha feto-protein on 15 April 2013 was at 1,064.

Video 1: Liver tumour: Surgery and TACE failed.

 

 

The question we all wish to ask is, What happened to AS after taking the herbs? The answer is, He is well and very much alive. CT in December 2013 (8 months after taking herbs) indicated the tumour had shrunk to 5.2 x 2.2 x 3.9 cm in size.

About 2 years later, 18 January 2015, AS and his wife came to visit us. AS’s wife was very agitated and upset. Since the past few weeks AS had been taking “bad food” – food that we tell patients not to eat. On top of that AS sometimes was not taking the herbs as he used to do.

Listen to this video.

Video 2: To live or to die is your choice!

 

 

Briefly my message to AS (and also all cancer patients) that night was very clear, crude and blunt.

  1. When patients are “half dead,” they would follow our advice without protest. But when they get well, most of them will “misbehave.” That is normal.
  2. To live or to die is your choice.
  3. There is no need to be upset about the patient’s choice. If he wants to die, let him die.
  4. My experiences have shown that if a patient eats anything he/she likes, this “good time” would probably last about 2 months. After that the cancer would recur and he/she cannot “enjoy” food anymore.
  5. I also told AS, Perhaps it is time you stop taking the herbs. Go home and eat a lot of what you want to eat and “go” faster.
  6. AS had lived for almost 2 years. He should be grateful that he is still alive – healthy and without pain. What more do you want? Be grateful for what you are now!

I wish to state too that telling AS the above was not done with anger! I have learned a lesson from one of our patients earlier on. His argument for wanting to eat anything he likes is because he does not want to go hungry. After all he is going to die anyway, so why go hungry and die with an empty stomach? He would probably become a hungry ghost! (Click this: Liver Cancer: Better to become a full-stomach ghost than a hungry ghost).

I am equally glad that AS took the message sportingly. He was not upset and only smiled. So let us respect his choice! 

Comments

Study the data below critically and then try to reflect on the questions posed.

PET/CT scan
2 February 2012 Post-cholecystectomy. Left hepatic lobe tumour, 3.2 x 2.6 cm.
3 May 2012 – liver surgery – hemihepatectoomy
16 August 2012 THREE MONTHS: CT abdomen/pelvis showed no evidence of recurrent HCC or focal liver lesions.
11 March 2013 TEN MONTHS: Interval development of an intensively hypermetabolic measuring 8.0 x 4.8 cm at the hepatic resection site consistent with recurrent disease.
22 March 2013 – TACE, blockage, procedure aborted
Declined chemotherapy or Nexavar
14 April 2013 – Came to CA Care, Penang. Started on liver herbs
26 December 2013 EIGHT MONTHS ON HERBS:   CT done in Jakarta: Hepar: Tampak lesi dengan enhance minimal ukuran 5.2 x 2.2. 3.9 cm disekitar klip lobektomi. Dibandingkan dengan CT scan Mei 2013 tampak menencil secara signifikan.Liver lesion is 5.2×2.2×3.9 cm. Compared to CT scan of May 2013, significant decrease in tumour size.
18 January 2015 Almost TWO YEARS ON HERBS:  Patient still well and healthy.

 

  1. Can surgery cure liver cancer? In this case, the answer is plain and simple. Surgery cannot cure liver cancer. For the initial 3 months, there was reason to be happy because CT showed no recurrence. The operation was a great success! But this success lasted only a few more months. The cancer came back. Is this not expected — a norm?
  2. Before surgery the tumour was only 3.2 cm. After surgery it grew to 8.0 cm. TACE was attempted and failed. The doctor suggested chemotherapy or taking of Nexavar. AS rejected further medical treatment. He and his family came to CA Care instead. He was started on herbs. What can you expect if you do nothing (medically) after that? At best within 3 or 6 months AS would be dead. That is what the medical literature would tell you.

11-Mar-13-recurrence

11 March 2013. The liver tumour recurred and grew to 8 cm in size (initial size was 3 cm)

  1. AS did not go for any more medical treatment. He said he had lost confidence in the doctors who failed him twice. He only took herbs and changed his diet according to our advice. It has been almost 2 years now. He is still alive and well – leading a normal, pain-free life. Herbs are said to be “unproven and unscientific.” What say you now? Or is this recovery merely due to “pure luck” (another favourite medical argument)? Or is this recovery merely due to luck – yet another favourite medical explanation!

 

Liver Cancer: 3 cm Tumour OUT, 8 cm Tumour IN After 9 Months and S$28,000-Surgery

AS (S-357) is a 65-year-old Indonesian. He came to seek our help on 14 April 2013 after having undergone a failed liver surgery in Singapore.

His problem started in late December 2011 when AS felt gastric-like pain in the stomach. An ultrasound at a hospital in his hometown indicated a possibility of gallbladder infection.

Not satisfied, AS went to Jakarta and on 31 December 2011 underwent a cholecystectomy (surgery to remove gallbladder). During the operation, the surgeon also did a liver biopsy for suspicious liver lesions.

In February 2012, AS went to the National Cancer Centre in Singapore for a second opinion. The histology slides from the early surgery and liver biopsy were reviewed. The liver biopsy showed poorly differentiated tumour.

A whole body PET / CT on 2 February 2012 revealed left hepatic lobe mass, measuring 3.2 x 2.6 cm (picture below).

2-Feb-12-before-surgery

On 25 April 2012, AS had another CT scan. The report indicated interval increase in size of the dominant heterogenous  hepatic mass from previous 2.9 x 2.6 cm to currently 0.3 x 3.5 cm. No other new focal hepatic lesion seen. (Note: this report stated a different tumour size compared to the earlier report. A mistake somewhere?).

On 3 May 2012, AS underwent a hemihepatectomy – i.e.  a surgery to remove one-half or a lobe of the liver. The tumour was at the left lobe of his liver. AS was discharged on 9 May 2012. The procedure cost S$28,000.

Liver histology indicated a hepatocellular carcinoma (HCC or liver cancer), 4 cm, Edmondson Grade 3 with 3 satellite nodules. Resection margins were clear. Vascular invasion was present. The 2 diaphragmatic nodules were metastatic HCC. Gallbladder shows chronic cholecystitis with no malignancy seen within.

About three months later, 16 August 2012, AS went back to Singapore for review. A repeat CT of abdomen and pelvis showed NO evidence of recurrent HCC or focal liver lesion.

Unfortunately this euphoria did not last long. Six months later (i.e. about 9 months after the surgery) another PET /CT scan on 11 March 2013, revealed a new recurrent hetergenous hypodense mass in the liver at the resected margin measuring 8.0 x 4.8 cm (picture below).

11-Mar-13-recurrence

On 22 March 2013, AS underwent TACE (transarterial chemo embolization) for his recurrent liver tumour. Unfortunately this procedure failed. The interventional radiologist was unable to access the tumour feeding vessel. So TACE could not be completed and the chemo drug not delivered. In spite of the failure, AS had to pay S$5,000 for the procedure.

AS was discharged on 25 March 2013 and was referred to an oncologist for chemotherapy. AS decided to give up further medical treatment and came to seek our help on 14 April 2013.

While talking to AS, his wife and son I posed this question:  Why don’t you want to go for chemotherapy? After all AS had willingly undergone surgery and TACE – why chicken out now?

The wife replied, We are scared!

AS replied: The doctor did not show any responsibility.

My reply: What do you expect from the surgeon? What more do you want him to do? His job is to cut you. And has cut you and there is nothing more that he can do. He has done his job. Now, he is passing you to the oncologist because he is a surgeon and not an oncologist!

From his reply I fully understand how AS felt – being let down by the surgeon. He was totally disappointed. He came to the surgeon in Singapore believing that he was in the safe hands of the expert. He was willing to pay S$28,000 for the surgery but he did not get what he had bargained for.  Now, he was passed on to another doctor – where is the responsibility then?

Let me tell you – AS is not the only one who felt let down or cheated. There are many, many others who come to us with a similar story. I am reminded of one really pathetic case. A man from Pontianak was pushed into undergoing surgery for his liver cancer (see  A great failure and let down )   He was told that his condition was serious and surgery must be done immediately.  The wife said: The surgeon even hugged me and assured me – Don’t worry, he (my husband) would be well and alright. Oh, it was so sweet of him. Unfortunately after the surgery, the cancer recurred. The patient and his wife tried to seek clarification from the surgeon. They were snubbed. The surgeon did not even want to talk to them. The wife was full of tears when she related this story.

Yes, I fully understand how patients feel after a medical failure.

I told AS and his family that his is a big problem and I am not sure if I could help him. I can only do my best. AS was prescribed Capsule A, B, C and D. In addition he has to take LL-tea, Liver 1 and 2 teas. We sent him for a blood test. The results as of 15 April 2013 showed his alpha-fetoprotein = 1,064.0 and total bilirubin = 25.0. Other liver function enzymes were within normal range.

Question You Should Ask: Can surgery cure me?

I always pose this question whenever a patient comes to see me,  Before you undergo surgery, chemotherapy or radiotherapy, did you ever ask the doctor if the treatment he is giving you is going to cure you?  You will be surprised   most cancer patients don’t ask such question. They take it for granted that they will be cured! 

 

AS told me. I did not ask that question. I only asked, What is the best way out for me! I told him, That’s the wrong question to ask! If you go to a barber, he will tell you the best option for your head is to cut your hair. If you ask a hammer what all of us look like in this world, the answer would invariably be, You all are nails meant to knocked down! You go to a surgeon he would most likely say, Operate.  That’s his best option for you. Ask the oncologist, he would invariably say, Go for chemo! You have missed the point here. Is the procedure suggested going to cure you? This ought to be the main concern.

By asking the wrong question, you get an answer that brings you elsewhere – perhaps where you don’t want to go. So, my advice to all patients, Ask this all important question – can your treatment cure me? Don’t be afraid, ask.

After you get the answer then use your commonsense to evaluate what the doctor tells you. Does it make sense? Do you believe in the statistics or percentage or whatever claim the doctor gave you? If this is not what you are looking for, go elsewhere. Look for another path.

Likewise, when you come to CA Care and tell me that you want me to cure you of your cancer I would tell you this, Go elsewhere – I don’t have the magic bullet and I cannot cure you! In my many years helping cancer patients I don’t really see any so-called cure for cancer. Cure means the disease goes away and never come back. Generally, the cancer recurs   after some years. My auntie died of metastatic cervical cancer after an apparent cure, 13 years later! Where is the cure?

In the case of AS, surgery did not cure him! After 9 months, the tumour grew back and this time it grew more than twice its original size. Where is the cure?

The next question you probably need to ask is about your diet.  This question will give you some idea about the kind of doctor you are dealing with! His answer shows his perception about health in general. And more important whether he is well read or not. Today the medical literature is replete with information about diet in spite of how important it is in helping cancer patients.  If he says you can eat whatever you like – I am sorry, I am not sure if this is the kind of doctor you should go to! I am fully aware that diet in cancer is a big, sore point between medical doctors and alternative medicine practitioners. Suffice for me to quote what two doctors said about diet (below).  Think hard about what your doctor tells you about diet and come to your own conclusion.  If you are not convinced that he is right, how do you expect him to be able to solve the bigger problem of treating your cancer?

1 deVita

1 Crime-med-ignore-nutrition

From Hepatitis to Liver Cancer: Nexavar for Free – No Thanks

Sonny (not real name) is a 59-year-old male. He was diagnosed with Hepatitis B about five years. He opted for herbal treatment from Taiwan. After six months, his alpha-fetoprotein increased further indicating it was not effective. Nevertheless he continued to take the Taiwanese herbs up to this day.  About three years ago he went to see a doctor and was prescribed Lamivudine and ever since he has been taking both Lamivudine and the Taiwanese herbs.

In September 2011 Sonny had bloated stomach and lost his strength. An ultrasound of his abdomen indicated liver cancer. On 30 July 2011, his alkaline phosphatase was at 224, AST = 79 and GGT = 354 (all these values are beyond normal range). He was told by the doctor that he had an incurable, terminal stage liver cancer. He probably has two months to live or at most six to eight months. Before he dies he would vomit blood.

Sonny went to Singapore for a second opinion. A CT scan on 4 October 2011 showed a 14 x 12 x 12 cm tumour  in the caudate lobe. There was also a 3.8 x 3.4 x 2.4 cm nodule in Segment 2 of his liver. There was tumour thromhus demonstated in the right portal branch and the main portal view. Thrombus was also seen in the proximal left portal branch. In addition he had liver cirrhosis with mild splenomegaly and moderate ascites.

Blood test on 4 October 2011 showed elevated alkaline phosphate = 315, AST = 164, ALT = 73 and GGT  = 614.

His tumour markers, however, were within normal range – AFP 14.7, CEA 0.8 and CA 19.9 27.2.

There was nothing the doctor in Singapore could do for him. He was offered oral chemo drug, Nexavar which cost S$10,000 per month. He was told this would not cure him but could prolong his life for two months. However, the Malaysian doctor who first saw him did not recommend Nexavar because of its severe side effects.

Sonny then went to the University hospital in Singapore for another opinion. There was nothing more that could be done. Since the University is currently carrying out a clinical trial on Nexavar, Sonny was offered to take this drug for free. He said no thanks to this offer of free Nevaxar – listen to what he has got to say in the video below.

 

Dissecting Chemotherapy 11: No Chemo for Dad’s Liver Cancer – Wisdom of a Daughter

Daughter: My father was diagnosed with liver cancer in August 2011.

The doctor wanted him to do chemotherapy. We did not allow him to do so. I argued with the doctor.

The doctor did not get angry with you? Yes, he was but I did not bother. Since we did not want to go for chemo (injection) he was asked to take an oral drug for his liver. This cost RM 20,000 per month.

Wait, wait. Let’s start from the very beginning. Actually what happened and when? D: My father had winds in his stomach. This was in August 2011. He consulted a doctor who told him that he had a gallstone. His liver had some shadows. The doctor then suggested that my father do a CT scan. He went to do a CT scan and the result showed a Stage 2 liver cancer. The doctor suggested chemotherapy. We told the doctor we wanted to go home first and consult with all the members of the family. After that we went to seek a second opinion from a liver specialist.

The Second Opinion – the Liver Specialist

D: The liver specialist studied the CT scan. He also suggested chemotherapy. This time I accompanied my father to consult with this specialist because I did not want him to undergo the chemotherapy. I told the doctor, “We do not want chemotherapy.” When the doctor saw my father, he encouraged him to get admitted into the hospital. He said, “Uncle get admitted immediately and tomorrow we shall start with the chemo.”

I was not happy. The first doctor we consulted with told us that my father had to stop all his heart medications before undergoing chemotherapy. My father had a heart by-pass before. But this liver specialist did not even consider this. He was pushing my father to do chemo quickly. But I refused.

Okay, you refused chemo. What did the doctor say? D: I argued with him. Then I requested that he do another CT scan for my father. So, a second scan was done.

Did you ask the live specialist if chemo can cure your father of his liver cancer? D: Cannot. I asked him, “Doctor, you want to give chemo to my father – can you cure him?” The doctor could not give me an answer. He just kept quiet – no answer. Then he said. “It all depends on the patient himself.”

What ? It now depends on the patient? D: I asked the doctor further – “ You give my father the chemo, what can  happen to him after that?” He answered, “The liver may become hard, the patient becomes yellow (jaundice). And his eyes may become yellow.” I countered the doctor, “Okay doctor, my father currently has no pains, can eat, can sleep, can walk and move his bowels – after the chemo, his health is jeopardised  and he may not be able to do all these – what’s the whole idea?

What did he say to that? D: The liver specialist said, “I have found the best oncologist to do the chemo for your father, do you know that? I have already made the necessary arrangements for your father to do the chemo tomorrow. Now you tell me you don’t want to do it.” But I said, “In the first place, we never ever agreed to undergo chemo.”

But he told you, There is no cure and the patient becomes yellow – why do the chemo then?  D: I eventually told the doctor very bluntly, “My father doesn’t want to do chemo.” My mother also said, “The patient refused chemotherapy.”

How did he respond to that? D: Okay, if the patient did not want chemo, there is nothing we can do.

Did you ask him how much the chemo is going to cost you? D: No, we never get into that. He did not tell us about the cost and also how many cycles of chemo he was going to give.

Assistant to the Liver Specialist:  Patients come in healthy, they go out yellow! Why not try the RM 20,000-per-month oral drug for liver cancer?

D: The second CT scan report was ready after two weeks.  I requested to have a copy of the report so that I can bring it to you (CA Care). I went to the hospital and met the assistant of the liver specialist. He is also a medical doctor – a nice person. I asked him, “From your experience giving chemo to so many patients, how many really do well? This nice and friendly doctor answered, “To tell you the truth, patients come in looking healthy, but they go out looking yellow after the chemo.” This is what the assistant told me. Then the assistant said, “If you don’t want to do chemo, why don’t you take the oral drug instead. “ This drug cost RM 20,000 per month. But I told the doctor, “But doc., this drug has so many severe side effects” (Read this post: Benefit and side effects of Nexavar).

My Friend’s Husband Took the Oral Drug for Liver Cancer, He Vomited Blood and Died Within Two Weeks

D: The doctor replied, “ No, no serious side effects – you only feel itchy and have reddish palms.” I told the doctor, “My friend ‘s husband had liver cancer. He took the oral drug that cost RM 200,000 per month.  He vomited blood and within two weeks was dead.” The doctor went silent. He kept his cool and smiled. The he asked, “If you don’t want to do chemo for your father, what do you want to do then?” I replied, “I am going to bring my father to take herbs.”

What was his response? D: He said, “Go ahead and try it.”

He did not get angry with you?  D: No, he was not angry.

Did you know what is the name of that oral drug? Nexavar? D: I did not take note of that. I only know that it can damage the liver and kidney. I read this on the packaging of the medication.

They Just Want You To Do Chemo – That is the way it is

D: Unfortunately, that is the way it is with doctors today. They just want patients to do chemo. After injecting the chemo into you, the poison is already in the body – if you die, you die. That is your business.

Wife: The doctor told us, my husband is still strong. He will be able to withstand the chemo – he can withstand the chemo. D: No, no, I think he will die.

This is the way our world is now. You need to take care of yourself. You have to be responsible for your own health and wellbeing. If not, it may be like “just jumping into the sea.”

Read related story: My friend – business partner – died after chemo for his liver.

Liver Cancer Part 2: After chemoembolization and Radiofrequency Failed, He Turned to Herbs and e-Therapy

TD (S21), 67-year-old Indonesian male had a 7.8 x 6.5 x 8.4 cm mass in his liver. He underwent He underwent six cycles of chemoembolization (TACE) and one radiofrequency ablation procedure. In addition, he received six monthly injection of Zometa. About six months after the completion of the treatments, new growths were found in his liver, around the right and left adrenal glands and T12 of his backbone.

TS decided to give up further medical treatments and came to seek our help on 14 August 2011. He was prescribed Capsule A and B, Liver 1 and Liver 2 tea, Bone Tea and Pain Tea. For his pain, TG underwent the e-Therapy.  Since he has four stents in the arteries of his heart, he was started on Ray therapy, followed by Detox 2 program the next day. Since there was no side effect, TD continued with the e-therapy from 17 to 21 August to 2011. He was happy with what he was doing.

Listen to his conversation.

Gist of our conversation.

TD had lower back pain and was not sleeping well. Otherwise he had no other symptoms.

  1. Since TD has four stents in his heart arteries, we had to be careful. We initially used the Ray e-Therapy using the Ray #29 – Lumbago program. As a result of this treatment, he had 20 percent less pain.
  2. On the second day, TD received e-Therapy using the hand paddle. The program used was Detox #2. As a result of this treatment, there was 50 percent less pain.
  3. On the third day, TD received Detox # 3. His pains and discomforts were reduced by 70 percent.
  4. On the fourth day, TD received Detox #3 and Lumbago # 98 programs. His pains and discomforts were further reduced by 90 percent.
  5. Five days on herbs and e-Therapy TD has less pain, felt better, could sleep well and bowel movements were good. It was time for TD and his wife to go home to Jakarta.
  6. TD was reminded to take care of his diet, take the herbs as prescribed, do the e-Therapy, be happy and think of best possible things that can happen and pray!

We also reminded TD that he is welcome to go to his doctors for more chemotherapy or radiotherapy if he wishes. The decision has to be entirely his.

Comments

No one cure can cure liver cancer – that is what we believe after seeing so many tragic cases that come to see us. Coming to CA Care does not mean we can offer a cure either. And patients are told this fact clearly. But what we can do is to offer relief and perhaps an ability to live a normal life. And for how long? No one can tell.

Read full medical history:  Liver Cancer Part 1: Tumour shrunk after chemoembolization (TACE) and radiofrequency ablation (RFA) but new growths after six months.

Medically written off liver cancer: Severe itchiness disappeared after four sessions of e-Therapy

Bob was a 57-year-old male. In early 2010 he went to a government hospital complaining of shortness of breath. Examination indicated irregular hard swelling below the costal margin (liver area). He was jaundiced. A CT scan on 19 April 2010 indicated multiple nodules of varying sizes in both lung fields suggestive of metastases. Soft tissue nodules at the hilum – right measures 1.4 x 1.4 cm, left measures 2.3 x 2.7 cm. Enlarged liver with a 9.9 x 10.5 cm lesion in the right lobe. Multiple lesions present in both lobes of the liver. These may represent metastases.

The doctor asked Bob to go home and wait for his time. This was no treatment for him and he was given a referral letter to the Hospice.

Bob came to CA Care on 7 May 2010 and presented with difficulty breathing and shortness of breath, itchiness throughout the whole body and he was not able to sleep flat.

He was prescribed: Capsule A & B, Lung 1 and Lung 2, Liver 1 and Liver 2 teas. A week on the herbs, Bob’s health improved. He was able to sleep well. He had more energy and his breathing had improved. On 30 May 2010, Bob said his appetite was extremely good. But he was unable to sleep because of severe itchiness. We put Bob on the e-therapy. After a day on the e-therapy, his itchiness subsided and he was able to sleep well. After four days, the itchiness disappeared.

Believing that he was already cured, Bob started to go around with his friends and ate anything he liked. He became breathless and died a few days later. He came to tell us his story a day before he died. Listen to the video below to know what happened.

 

Liver Cancer: Benefit and Side Effects of Nexavar

Mutu (not real name,H520) is a 48-year-old male. In November 2010 he had coughs with some phlegm. In late December 2010 he was admitted into a private hospital with complaints of right hypochondrial pain (i.e., pain under the rib-cage margin). He was nauseated but no vomiting. He also had post prandial dyspepsia (i.e., a medical term meaning feeling of unusual fullness, nausea, loss of appetite or belching following a meal).

CT scan of the abdomen showed multiple masses measuring 7.3 x 5.1 cm, 6.3 x 6.1 cm and 7.3 x 4.5 cm,   in the right lobe of his liver, suggestive of diffuse hepatocellular carcinoma or liver metastases. A biopsy was performed on 23 December 2010 and confirmed moderately differentiated infiltrating liver cancer.

A blood test results, done on 19 January 2011, are as follows:

Mutu was prescribed Nexavar – an oral chemo-drug that cost about RM20,000 per month.  He was told that Nexavar would not cure his cancer. It would only control it (whatever that means, see discussion later).

After taking Nexavar for a week, he suffered the following side effects:

  1. Bloatedness
  2. Shoulder muscle pain
  3. Sleeping difficulty
  4. Nausea and sometimes vomiting
  5. Dizzy when walking
  6. Loss of appetite due to bloatedness
  7. Cramps of fingers and toes
  8. Constipation

Listen to our conversation on 23 January 2011, the day he first visited us.

Comments

Let me highlight some of the important points of this case in a question-and-answer format.

  1. Assuming for a moment that you are a medical expert. I believe you have seen hundreds or thousands of CT scans and blood test results. From your experience, what can you make out of this case by just looking at the scans and blood test results? The images are bad and the AFP (alpha-fetoprotein) exceeded a million points. Honestly, is a biopsy really necessary? So, after a biopsy, what can you offer to “cure” the patient?
  2. It appears that all that modern medicine can offer is Nexavar. Would you as an expert offer this drug to the patient knowing that it cost about RM 20,000 per month and it does not cure? I guess you would if the patient is rich enough to pay for it or if his insurance covers the cost. This is a win-win situation you may say. After all this is what buying a health insurance is for! But hang on. In this case what if Mutu’s total medical cover is limited, assuming it is RM 100,000? That means the insurance pays for only five months’ supply of Nexavar. What happens after that? And within 8 to 11 months patient dies (see point 4 below)?
  3. As an expert, would you admit to your patient that Nexavar cannot cure his cancer? Yes, you did in this case. That is honorable of you.  Obviously not many patients are going to pay that kind of money if there is no cure.  You justified by saying that Nexavar can control it. That sounds good, convincing and heroic  isn’t it? Especially if the patient is desperate and helpless. Such patients need that “last straw”. But what do you really mean by control?
  4. Have you gone into the website of the drug company that sells Nexavar? If you do, you may find this very impressive table with equally impressive so-called “scientific” data.

  • In a study of 602 people … Nexavar helped slow cancer growth and helped extend the lives of patients compared with patients who did not receive Nexavar.
  • Nexavar extended overall survival by 44%.
  • See the diagram below (from: http://www.nexavar.com/scripts/pages/en/index.php. Accessed on 1 February 2011)

For the benefit of those who are not used to reading and interpreting research data, let me explain a bit more. From the diagram above, we know that there were 299 patients taking Nexavar (n= 299) and the  median overall survival is 10.7 months. Compare this to 303 patients who did not take Nexavar (group called Placebo, n = 303) which had a median overall survival of 7.9 months.

The glaring facts of this study showed that:

  • By taking Nexavar patients lived longer by 2.8 months. Take note that they were not cured at all. Eventually patients died. The median survival ranged from about 8 to 11 months, irrespective of whether they take Nexavar or not.

So based on the above experimental data, ask this question. Would you spend RM 20,000 per month and for every month, to live 3 months longer? Again, take note that the price of Nexavar varies –  depending on  where you buy it and whether you pay cash or pay through insurance claim. Obviously the price is higher when your insurance pays for it.

Of course, if this point is crudely presented like I did above, extending life by 2.8 months is not impressive at all!  The educated people deviced a better way of saying things in a nicer, attractive but deceptive way. Another way of saying is:  Nexavar extended overall survival by 44%. Increasing survival by 44% is very impressive indeed.

Mark Twain (of the USA) made famous this phrase:  “There are three kinds of lies: lies, damned lies and statistics.” This phrase is now used to describe “ the use of statistics to bolster weak arguments, and the tendency of people to disparage statistics that do not support their positions”. In simple language, the   statisticians (the experts of numbers) “massage” the data to make what seems ugly to look pretty. Take note also this “manipulation or massage” of data is not wrong – it is academically legitimate!

So take it from me that “Extending life by 2.8 months” or “Extending overall survival by 44%” are both right and academically acceptable. Unfortunately I still cannot figure out how they come up with the 44 percentage figure. I need a bit more time to learn this “art of stretching the truth with numbers.”

With a simple mind like common folks, I would have just do this: I would take 10.7 minus 7.9 = 2.8. Then I would divide 2.8 by 7.9 and multiple by 100 to convert it into a percentage. If I did this, I ended up with only 35%. To avoid having to explain “the confusing concept of statistics”  let us give the benefit of the doubt to the experts and the drug manufacturer and accept what they say: Nexavar extended overall survival by 44%.

But folks let’s concentrate on what matters most.  You can choose between these two “options” below. But know that both mean the same thing!

  • As a patient if you are told that Nexavar can extend survival by 44%, what would be your reaction?
  • On the other hand, if you are told that Nexavar can extend your life by only 2.8 months, what would be your reaction?

Having got over this, what if you are clearly told that the extension of survival by 2.8 months is no free lunch.  Apart from having to pay RM 20,000 per month, there are a variety of side effects you may have to endure. In this case, Mutu suffered eight side effects after consuming Nexavar for a week.

But don’t fault the drug company. You have been forewarned. Patients taking Nexavar may suffer the following side effects (according to the company’s website):

  1. Decreased blood flow to the heart and heart attack.
  2. Bleeding problems. Nexavar may increase your chance of bleeding.
  3. High blood pressure.
  4. A skin problem called hand-foot skin reaction. This causes redness, pain, swelling, or blisters on the palms of your hands or soles of your feet.
  5. Perforation of the bowel.
  6. Possible wound healing problems. You may need to have a surgical or dental procedure.
  7. Birth defects or death of an unborn baby.
  8. Rash, redness, itching, or peeling of your skin
  9. Hair thinning or patchy hair loss
  10. Diarrhea
  11. Nausea or vomiting
  12. Mouth sores
  13. Weakness
  14. Loss of appetite
  15. Numbness, tingling, or pain in your hands and feet
  16. Abdominal pain
  17. Fatigue
  18. Weight loss

Those medically trained may find the following list of side effects more exacting:

Very common: lymphopenia, hypophosphataemia, haemorrhage (incl. gastrointestinal, respiratory tract, cerebral), hypertension, diarrhoea, nausea, vomiting, rash, alopecia, hand-foot syndrome (palmar plantar erythrodysaesthesia syndrome), erythema, pruritus, fatigue, pain (mouth, abdominal, bone, tumour, headache), increased amylase and lipase.

Common: leucopenia, neutropenia, anaemia, thrombocytopenia, anorexia, depression, peripheral sensory neuropathy, tinnitus, congestive heart failure, hoarseness, constipation, stomatitis (including dry mouth and glossodynia), dyspepsia, dysphagia, dry skin, dermatitis exfoliative, acne, skin desquamation, arthralgia, myalgia, renal failure, erectile dysfunction, asthenia, fever, influenza like illness, weight decrease, transient increase in transaminases. Uncommon: folliculitis, infection, hypersensitivity reactions (including skin reactions and urticaria), hypothyroidism, hyperthyroidism, hyponatraemia, dehydration, reversible posterior leukoencephalopathy, myocardial ischaemia and infarction, hypertensive crisis, rhinorrhea, interstitial lung disease–like events (pneumonitis, radiation pneumonitis, acute respiratory distress, etc), gastro oesophageal reflux disease, pancreatitis, gastritis, gastrointestinal perforations, increase in bilirubin, jaundice, cholecystitis, cholangitis, eczema, erythema multiforme, keratoacanthoma / squamous cell cancer of the skin, Stevens-Johnson syndrome, gynaecomastia, increase in alkaline phosphatase, INR abnormality, prothrombin level abnormality.

Rare: QT prolongation. Not known (cannot be estimated from the data available): angioedema, drug induced hepatitis, radiation recall dermatitis.

Date of Revision of the Text: November 2010

5. Solutions?

The lady was indeed sharp. She asked me: “Then, that are the solutions?” I must admit I cannot guarantee any cure. We know that in cancer there is no such thing as a cure (meaning, real cure, not just surviving 5 years). In the case of advanced liver cancer, we all know that survival is only in terms of months. So, we are faced with a difficult case. This is the first time that a patient came in with his alpha-fetoprotein reading well over a million. The highest we have ever seen in 14 years is about half that value.

We have two suggestions for Mutu.

a)      Take care of your diet. He was given a list of food that he can and cannot eat. Unfortunately this list is way off the mark compared to our recommendation.

b)       Take herbs and hope for the best. If a patient has no pain, can eat and sleep – these are about all we can hope for. How long to live is not ours to decide.

It is up to Mutu to decide if he wants to continue taking the Nexavar and reap whatever benefits (and also side effects) that are associated with it. But ask this: Is it worth it?

Some of you may say: Ah, you snake oil peddler – you and your herbs and dietary fad – these are just quackery. They are not proven and not scientific. Hang on, before you cast the first stone, take time to read the following ten stories. Tell us where we go wrong if you think that we are wrong!

1.  Liver Cancer: Two months to live yet still fine after one and a half years!

2.  Liver-Bile Duct Cancer: Herbs Kept Him In Excellent Health

3.  Only On Herbs And She Lives More Than Five Years!

4.  He Declined Medical Treatment

5.  Hepatoma – He Refused Chemotherapy

6.  Healing of Metastatic Liver Cancer

7.  The Story of Tony

8.  Colon-Liver Cancer: Seven Years On The Herbs

9.  The Story of Goh

10. The Story of My Buddy: Colon-Liver Cancer


Liver Cancer: Two months to live yet still fine after one and a half years!

PC, 63-year-old female, had coughs for about three weeks. Then she developed fevers. She went to a hospital but the doctor could not find any wrong with her. She was sent home with a supply of Panadol (paracetamol). Not satisfied, PC went to a private hospital in Ipoh. A chest X-ray showed left pleural effusion (i.e. fluid in her left lung). The fluid was tapped out. An ultrasonography on 23 September 2009 showed a 2.6 cm lesion (suggestive of hepatoma or liver cancer) in the right lobe. In addition, there was underlying liver cirrhosis with portal hypertension and ascites. The spleen is enlarged. Biopsy of the lesion was not advisable in view of ascites, low platelet and the tumour site too deep and adjacent to the portal vein.

PC was asked to go home. There would be no treatment for her. She was also told that she had only two months to live.  Four days later, 27 September 2009, PC came to CA Care for help. She presented with the following:

  • Difficulty sleeping
  • Poor appetite
  • Tiredness
  • A bit of difficulty in breathing
  • Feeling of “muscle pull” in the chest once a while

PC came to see us after being told by one of our patients who had been doing well with our herbs.

We prescribed PC with Capsule A and B, Lung 1 and Lung 2 teas, Liver 1 and Liver 2 teas.  We reminded her that after taking the herbs for a few days, she might feel tired, have diarrhea, etc. This is a healing crisis and there is nothing to worry about – continue taking the herbs.

These are natural herbs with no additives. They have to be brewed. The taste and smell of the concoction are not going to be pleasant. PC replied: “If I want to get well, I have to drink them!”

Two months on the herbs, PC came back and told us that both her sleep and appetite had improved. Similarly her breathing had also improved. There was no more feeling of “muscle pull” in her chest. One year and four months later, on 14 January 2011, PC was still well. Below is the video recording of her visit that day.

Liver Cancer Part 2: One and Half Years and Still Alive

Blood test results done over the past one and half years

19 Oct. 2009 20 July 2010 24 Nov. 2010
ESR 70   H 39    H n/a
RBC 4.1 4.1 4.0
Haemoglobin 13.2 12.8 14.0
Platelet 580  L 67.0 46.0
WBC 4.5 4.0 4.4
Total bilirubin 36    H 39.1 42.0
Alkaline phosphatase 165  H 137  H 193  H
AST 49    H 51    H 44    H
ALT 22 55    H 36
GGT 452  H 357 H 359  H
Alpha-fetoprotein 14.7 n/a n/a
CEA 0.9 n/a n/a
CA 125 19.3 n/a n/a

Comments

After one and half years, PC was doing fine. Her blood test results did not show deterioration of her condition although some numbers are not good. Platelet count is low and we advised PC to take papaya leaf tea for a month or two. After that, go for another blood test. Hopefully her platelets will increase. PC is not keen to drink this tea because of its bitter taste!

Like most patients, PC is more interested to see if she can reduce the daily intake of her herbal teas! As much as we understand that it is really “difficult, bothering or even sickening” having to drink the awful tasting herbal concoctions, we told PC that she has no choice but to continue doing what she is doing. No change!

We have to remind PC of what happened when she went to see her doctors in September 2009. She was told that there would be no treatment for her. Just go home. She has only two months to live. Now PC has survived one and a half years without any problem. She is able to sleep well, her appetite is good and there is no pain. Life has been good all the while. What more can she ask for?  We reminded PC that she must learn to be grateful and thankful for what she is now. Taking “bitter” herbs is a small price to pay for being alive – and good life too!

Our message to PC and to all patients: Be well behaved if you want to live longer! And there is no point being alive if you think that drinking herbal teas is an intolerable chore. And above all, learn to be thankful and grateful for what you have and what you are.

The Story of My Buddy: Colon-Liver Cancer

Hanafi and I come from the same state of Kelantan. We were classmates in the 1960s. One day in October 2004, another classmate e-mailed me saying that Hanafi was in the hospital, stricken with colon cancer that had metastasised to his liver. He had undergone an operation to remove the diseased colon. Upon hearing this, I called him at his home and asked if I could be of help in anyway.

Hanafi and I come from the same state of Kelantan. In short, we are Kelantanese. Never mind that he is a Malay and I, a Chinese; he a Muslim and I, a Christian. As Kelantanese we share a strong bond of friendship and trust.  But these are not all. We were classmates while studying at theCollege of Agriculture (Malaya) in the 1960s. And being Serdangites we share another common bond of comradeship. After we graduated from College, we did not get to see each other.

One day in October 2004, another Serdang classmate e-mailed me saying that Hanafi was in the hospital, stricken with colon cancer that had metastasised to his liver. He had undergone an operation to remove the diseased colon. Upon hearing this, I called him at his home and asked if I could be of help in anyway. But I did not suggest that he take our herbs. That would be unethical. In fact, by calling him at his home, I had already violated my own code of ethics. I generally do not do such a thing, lest I be accused of trying to promote my herbs. But, Hanafi was my classmate. I thought I would have to do what I did. I provided him with all the information he wanted to know about colon cancer. In his own wisdom he decided to take our herbs.

After his surgery, his doctor recommended chemotherapy which Hanafi readily agreed. I respected his decision. Hanafi went through twelve cycles of chemotherapy, not six like most patients. The tumour in his liver did not budge. Chemotherapy was abandoned and he received two treatments of RFA (radiofrequency ablation). This procedure also failed.

The next option would be more chemotherapy or a liver surgery. He declined both! He had learnt his lesson. Let him tell you his story ….

Herbs and Chemotherapy

Change of Lifestyle and Diet

Each time I go to Subang Jaya to meet up with cancer patients, I requested that Hanafi come and have lunch with me and the rest of our CA Care family. He would do that after his round of golf. While eating, we talked. Listen to these video recordings taken over a period of time. There is no question at all, as of this writing – 2009 and almost five years after his diagnosis – Hanafi is very much alive and well today.

Enjoy Life to the Fullest

There is no greater satisfaction than to be able to help a dear friend to be on his feet again! And there is no greater satisfaction than to know that this friend listens to our advice and is prepared to take the extra mile to CHANGE and heal himself.  And with God’s grace and blessings, Hanafi earned his healing.

The Family Visited Us In Penang


Liver Cancer: Severe Itch

Bob was a 57-year-old male. In early 2010 he went to a government hospital complaining of shortness of breath. Examination indicated irregular hard swelling below the costal margin (liver area). He was jaundiced. A CT scan on 19 April 2010 indicated multiple nodules of varying sizes in both lung fields suggestive of metastases. Soft tissue nodules at the hilum – right measures 1.4 x 1.4 cm, left measures 2.3 x 2.7 cm. Enlarged liver with a 9.9 x 10.5 cm lesion in the right lobe. Multiple lesions present in both lobes of the liver. These may represent metastases.

The doctor asked Bob to go home and wait for his time. This was no treatment for him and he was given a referral letter to the Hospice.

Bob came to CA Care on 7 May 2010 and presented with difficulty breathing and shortness of breath, itchiness throughout the whole body and he was not able to sleep flat.

He was prescribed: Capsule A & B, Lung 1 and Lung 2, Liver 1 and Liver 2 teas. A week on the herbs, Bob’s health improved. He was able to sleep well. He had more energy and his breathing had improved. On 30 May 2010, Bob said his appetite was extremely good. But he was unable to sleep because of severe itchiness. We put Bob on the e-therapy. After a day on the e-therapy, his itchiness subsided and he was able to sleep well. After four days, the itchiness disappeared.

Believing that he was already cured, Bob started to go around with his friends and ate anything he liked. He became breathless and died a few days later. He came to tell us his story a day before he died. Listen to the video below to know what happened.

 

Liver-Bile Duct Cancer: Herbs Kept Him In Excellent Health

The son of Henry (not real name) came from Jakarta, Indonesia. He told us an interesting story about his father. His father is 70 years old. He was diagnosed with bile duct cancer that had spread to his liver.

He declined further medical treatment and immediately took our herbs – Capsule A and B, Liver 1 and 2 teas, and LL-Tea. His health improved – his appetite improved and he regained his strength and energy.

Since he felt well, he stopped taking the herbs after five months. His health deteriorated. He was back in the hospital again. A scope done showed a bile duct blockage. The doctor suggested surgery but he refused. Henry again took our herbs. His health was again restored. After four months on the herbs, he again stopped taking the herbs. Within three weeks he started to vomit and he had fevers. Henry again went back to the herbs and he was well again until now. His son said: “I am afraid to stop the herbs again.”

Henry first started taking the herbs about two years ago. The herbs made him well up to this day. He has no complaints. He is healthy – can eat, can sleep and can move around. His son said: “Oh, he is very strong.  When you see him you would not think that he has cancer – he can even climb the tree. He is very, very okay.”

Comments: According to medical literature, median survival of liver cancer patients without medical treatment is 1 to 4 months. Prognosis worsens without increased tumour size. Patients with tumours larger than 6 cm have a mean survival of 3.5 weeks. Generally patients who come to us are often told that they only have 6 months to live.

In this case, Henry survived for 2 years without any medical treatment. He only took herbs. He continues to lead a quality life – without any pain, able to eat, sleep and move around like any healthy person. What more can such patient ask for?

 

 

Only On Herbs And She Lives More Than Five Years!

Seam (B984) a 49-year old female, was diagnosed with hepatocellular carcinoma in August 2003. CT abdomen on  26 Aug 2003 indicated:

  1. 8.7 x 6.6 x 10 cm mass in Segment 6 & 7 of liver
  2. Caudate lobe ruptured
  3. Peritoneal nodules
  4. Portal vein thrombosis
  5. Splenomegaly (swelling of the spleen)
  6. And probably splenic metastases.

Being poor (a seamstress at a factory), Seam could not afford to pay for any   medical treatment at the private hospital. The doctor at the government hospital told her there was nothing that could be done for her. Seam came to us in early January 2004 and presented with dizziness and lethargy. She was started on our liver herbs.

After taking the herbs, she felt very good. She could eat and sleep well and was more energetic. She did not feel dizzy any more. She had also gained weight and her facial expression looked good and healthy.

As of this writing, March 2009, more than 5 years since she first came to us, Seam is doing very well indeed – leading a pain-free normal life.

He Declined Medical Treatment

Mac (K151) was a 69 year-old male. His problem started when he began to loose weight. An ultrasound done on 25 November 2002 indicated a 7.5 x 6.9 cm mass in segment 7 of the right lobe of his liver. A FNAC biopsy done on 19 December 2002 confirmed diagnosis of hepatocellular carcinoma.

The doctor suggested that he underwent surgery but the family declined further medical intervention. He opted for a change of diet, had traditional massage and took herbs. His son came to see us on 22 March 2003 and was prescribed liver herbs. He showed improvements. The ultrasound done on 9 June2003 indicated no significant change from the last scan, meaning his condition had not deteriorated. His blood test results did not show any deterioration either.

  25 Nov. 2002 9 Jun 2003 20 Oct 2003
ESR 4 8 6
RBC 4.65 4.03 L 4.1 L
Platelet 195 219 194
Total bilirubin 16 17 9
Alkaline Phosphatase 79 80 95
AST 39 42 H 27
ALT 16 31 22
Alphafetoprotein 6.1 2.5 5.0
CA 125 n/a 14.4 8.6

On 15 July 2005, Mac’s son called to say that his father had pains. He wanted some pain tea for his father.  But it was not to be. The next day, Mac died, 2 years 8 months after being diagnosed with liver cancer. In fact, he was till cycling around a week before this. In short, he did not suffer much when he died.

Comments

Mac managed to live for 2 years and 8 months without medical intervention. His liver tumour was 7.3 x 6.9 cm in size. Also, Mac did not suffer from his illness. Meaning his quality of life had been good. We could not ask for more. A review of medical literature showed that this is beyond what can generally be achieved with medical treatments. Generally doctors would say: You have only 6 months to live, in such cases.

It has been documented that survival without treatment for liver tumour was only 1 to 4 months. For those with tumour larger than 6 cm, the mean survival without treatment was 3.5 weeks.

We reported the case of Gan who had a 9 x 10.5 x 9 cm mass in his liver. He died after 2 years and 4 months. In the case of Seam, she had a 8.7 cm x 6.6 cm x 10 cm mass in her liver more than 5 years ago. Seam was also on herbs and as of this writing Seam is still leading a normal life.

Ponder this question: Is the taking of herbs better than medical treatments?

 

Hepatoma – He Refused Chemotherapy

Gan was a 62- year old man. Sometime in July 2000, he had fevers with vomiting and diarrhoea for about two weeks. He was admitted to a private hospital. A CT scan done on 1 August 2000 showeda 9 x 10.5 x 9 cm mass in segment 4 and 8 of the liver. The mass was seen to extend towards the porta hepatis.

The doctor said this was a heptocellular carcinoma. Subsequently, Gan was referred to a university hospital for further treatment but he did not follow up with that. He opted for herbs instead. He came to see us on 6 August 2000. He did not have any discomforts except that around midnight he had mild fevers. He was put on liver herbs.

Gan responded well to the herbs. After a week, his appetite increased. He slept well throughout the night while previously he had disturbed sleep and was awakened every hour of the night. He felt more alert or energetic. He looked much better than before. The midnight fevers had also disappeared.

On 10 September 2000, Gan told us that he had more energy and was able to go jogging. On 21 September 2001, i.e., one year and two months on the herbs, we met up with Gan again. He also told us that he was not going to do any more blood tests since the alpha-fetoprotein levels had increased from 179 in August 2000 (before taking the herbs) to 88,917 in June 2001 (after taking the herbs). He did not see any point knowing about it anymore. However, he was doing fine and had gone back to work as a mechanic. He had no symptoms or discomforts.

The following were his blood test results:

 

Parameter 1 Aug. 2000 7 Nov. 2000 9 Mar. 2001
Total protein 67 74 75
Albumin 31 (low) 44 42
Globulin 36 (high) 30 33
A/G ratio 0.9 (low) 1.5 1.3
Total bilirubin 28 (high) 13 19
Alk. Phosph. 359 (high) 60 65
ALT/SGPT 53 34 30
AST/SGOT N/A 29 28
GGT 677(high) 48 N/A
Platelets 362 319 331
ESR   3 3
Alp-fetoprotein 179(high) 4,441(high) repeat on 14 Nov. 3,996 31,900(high) repeat on3Mar. 34,68
Remarks Before taking herbs Three months on herbs Seven months on herbs

The alpha-fetoprotein values on 4 May 2001 and 27 June 2001 were 47, 800 and 88,917 9, respectively.

Comments

Gan obtained amazing relief from all his symptoms after taking the herbs for just one week. He was able to sleep, eat and work. Again, this case points to the fact that our herbs are not toxic to the liver. After three months on the herbs, the results of his liver function went back to normal.

We did not know what else could be done for him. Perhaps, this is a case of live and let live and hoping for the best. Of course, Gan had the option of going for surgery or other medical interventions which he, from the very beginning, declined.  Looking at it from the positive viewpoint, Gan did not fare that badly compared to those who opted for medical treatments. Perhaps he had made the correct decision. Many who had surgery died soon afterwards, while others developed more tumours in their livers.

Gan died without suffering on 31 December 2002.  Review of medical literature showed that survival without treatment for liver tumour was only 1 to 4 months. For those with tumour larger than 6 cm, the mean survival without treatment was 3.5 weeks. Gan lived without suffering for 2 years and 4 months. We could not ask for more.

 

Cancer Recurred Three Months After Surgery

Suria was a 38-year old man from Indonesia. He came to Penang for his wife’s operation but instead found himself to be suffering from liver cancer. For the past 20 years he had gastric problems and since the last ten years he had blurry visions. His daily diet: ayam goreng (fried chicken). A CT scan of the liver dated 2 March 2001 indicated a lobulated mass seen in the left lobe of the left liver. This possibly represents a hepatoma. The small nodular lesions seen in the right lung possibly represent metastatic lesions.

Suria came to see us on 13 March 2001 and decided not to undergo chemotherapy. He was put on Capsules A and B, Liver P and LL-tea. He returned to Indonesia. After two months he came back again and reported that he was doing well but was bothered with our recommendation to abstain from meat, oil, salt, dairy products and sugar.

We were indeed surprised to see Suria in Penang again on 26 August 2001. After talking to him for a while we felt really sorry for him. He could only give us an anguished laughter once in a while. We also felt sorry for his small daughter and young wife who accompanied him on this trip. The short sad story went like this. On his return to Indonesia, he started searching for a cure for his liver cancer. He went to see a doctor in a Jakarta hospital who then referred him to a specialist inSingapore for further treatment.

Suria had a part of his liver resected on 5 May 2001 in Singapore. Before the operation, the surgeon told Suria that he had a 98% chance. Unfortunately, this assurance was misleading. Barely three months later, scan done on 21 August 2001, showed that there were at least two space-occupying lesions in the liver, the configuration of which would be compatible with the presence of metastatic disease. There were also multiple small pulmonary nodules seen in the lung bases on both sides consistent with metastatic lung disease.

The surgeon was unable to help Suria anymore. The 98% chance of success he gave to Suria was meant to be a guarantee that Suria would not die because of the operation, but it was NOT a cure or non-recurrence of his liver cancer. The doctor washed off his hands from this case and referred Suria to an oncologist in a university teaching hospital. Suria then met up with the oncologist and was given the obvious answer: Go for chemotherapy!

The following are excerpts of our conversation on that sad day.

Hello, how have you been?

I had the tumour in my liver resected.

When did you do that?

Three months ago, on 5 May 2001. After I came to see you and took the herbs, I went back toIndonesia. Then I went to see a doctor in Jakarta. The doctor in Jakarta told me that the lump was getting bigger. If I were to get it resected, I would have more chances and can live longer – ten or more years. If I did not go for an operation, I would have no chance at all. So he referred me to a surgeon he knew in Singapore.

When you were in Indonesia and were on the herbs, were you alright?

Yes. I had no problems. I could eat. I could sleep. I could work. I was fine. It was just that the doctor in Jakarta said the lump was getting bigger and I should get it resected.

The operation in Singapore, how much did it cost you?

About S$35,000.

Before the doctor performed the operation on you, what did he say to you? Can you be cured or not by the operation? Hejamin me (Indonesian word for guarantee) that I had a 98% chance. 

What else did he say?

After he operated on me, he told me that from what his eyes could see, everything was clean and clear. I should be OK. But he added that he would not be able to say for sure if the cancer would not recur.

What did you think the surgeon meant when he said he gave you a 98% guarantee?

My understanding was that I would be cured. That was what I thought all along. Now the doctorpusing sedikit (twist a bit) and told me that he only guaranteed 98% that the operation would be successful. But he only told me all this after he had operated on me.

Three months after the operation, you came back for a check-up?

Yes. I just went for the check up and had this CT scan done. After that I came to see you.

When you went to see the surgeon again, what did he say?

He said nothing. He just referred me to an oncologist in the university.

What did the oncologist say?

He asked me if I would like to take oral drugs for four weeks and see if they were effective or not. If the drugs were not effective, I should go for chemotherapy.

Did he tell you that the lumps have already come back to your liver? He told me something like that. (Suria was probably not told or aware that the cancer had also spread to the lungs).

Do you want to go for chemotherapy?

No. I don’t want to do chemotherapy. When I first came to see you I had already decided that I did not want to do any operation or any chemotherapy.

Then, why did you change your mind?

When I came to you and you gave me your herbs you told me not to eat meat, no oily food, no dairy products, no salts and no white sugar. I didn’t like that. So, when the doctor said I can eat anything I like, I preferred to go for medical treatment instead.

Oh, that was the reason?

Yes, yes. The doctor said I can eat anything I like.

Now Suria, you misunderstood me. Your diet has nothing to do with my herbs. The diet has everything to do with your liver cancer. Even if you do not take my herbs I would still advise you to keep to a good diet and abstain from all kinds of bad food. This is because of your liver cancer, not my herbs. If you are on my herbs and you still take bad food, you will not drop dead. You will be wasting your effort, your money and my time. So, the strict diet I ask you to adhere to is for your own good and for your liver cancer.

Comments

We felt really sad for Suria. We wonder how often and how many of such tragedies happen in this world? Where is truth, where is fairness? Rabbi Harold Kushner (in Living A Life That Matters) wrote that we live in the world of two opposing moralities. There is the morality of cleverness and wit, in which success means getting the better of the other person by means of a slick business deal or a clever answer … Then there is the morality of righteousness, in which the highest good is thoughtfulness toward others. The worst sin is hurting another person.